2021 Vol. 19, No. 5

Display Method:
Expert Forum
The responsibility and orientation of general practice from the response to public health emergencies
DUAN Hong-yan, XU Cheng-yang, LI Ming-yan, WANG Shu-hui, WANG Yu-dan, WANG Yong, WANG Liu-yi
2021, 19(5): 705-708. doi: 10.16766/j.cnki.issn.1674-4152.001898
1099 29
Abstract:
General practitioners (GPs) are the health gatekeepers of residents and play an important role in the prevention and control of public health emergencies and major infectious diseases. Since the spread of the COVID-19 epidemic, the whole country has launched an unprecedented epidemic prevention and control campaign top the epidemic. All medical staff of primary medical institutions had been mobilized and played an active role in the epidemic prevention and control. However, the epidemic has also exposed some shortcomings of general practice services, such as shortage of GPs; inadequate GPs' service capacity, especially the public health service capability; the blocked tiered medical services, and imperfect long-term cooperation mechanism between hospitals and primary medical institutions; insufficient community health management, community health care, community health education and community psychological intervention; GPs have not really played the role of residents' health gatekeeper. So the system of general medical service should be established and perfected. More GPs with competency should be trained. Prevention and treatment coordinated development should be built up. Health Alliance between general hospitals and primary medical institutions should be strengthened. First contact at grass-roots level and free two-way referral should be realized. Community health education, community psychological intervention and community health management should be improved. By providing diversified forms of general practice service, we can continuously improve the comprehensive service ability of primary medical institutions, deepen the connotation of general practice service, and promote the standardized development of general practice. Qualified GPs are not only medical practitioners, but also public health physicians, which can help to realize the efficient and coordinated operation between basic medical and basic public health services.
2021, 19(5): 709-712.
3601 232
Abstract:
2021, 19(5): 713-714.
603 32
Abstract:
Clinical effect of onlay and fibre post-core crown in repairing tooth defect after root canal treatment
CHEN Wen-li, XIE Xiao-fei, LIU Fang, TIAN Rui-xue, HUANG Yong-song, LI Jian-cheng
2021, 19(5): 767-770. doi: 10.16766/j.cnki.issn.1674-4152.001912
1880 12
Abstract:
  Objective  To compare the clinical efficacy of onlay and fibre post in repairing severe molar defects.  Methods  Patients with two to three axial walls left in molars after root canal treatment in the First Affiliated Hospital of Bengbu Medical College from January 2017 to December 2018 were selected as study subjects. Fifty-eight patients had 60 teeth, and they were randomly divided into onlay group and fibre post-core crown group. Modified USPHS was used to assess the fracture, abutment preservation, edge fitness, adjacency relationship and bleeding index at 6 and 12 months postoperatively.  Results  Six months during observation period, the tooth body integrity and restoration integrity for the onlay group and fibre post-core crown group were 100%. No difference was noted between the groups regarding the edge adaptability, syntopy and healthy gums. The pile nuclear crown and onlay were above A level for more than 90% and 95%, respectively. In the follow-up observation after 12 months, no difference was noted between the two groups in terms of evaluation indexes, restoration, integrity and gum health. In the post core crown group, the number of defects was large and the degree was serious.  Conclusion  In the restoration of severe molar defects, using all-porcelain onlay is more advantageous than the fibre post-core crown in the restoration of gingival health of adjacent teeth. It is worth popularizing and applying in repairing the large area defect of tooth body.
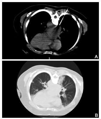
Analysis of the main influencing factors of bleeding and pneumothorax complication under CT-guided lung biopsy
ZHANG Guang-dong, YUAN Mei, LI Wu-hao, MEI Qi, TAN Yu-lin
2021, 19(5): 771-774. doi: 10.16766/j.cnki.issn.1674-4152.001913
1589 10
Abstract:
  Objective  To explore the safety of CT-guided lung biopsy, analyze the high risk factors of bleeding and pneumothorax, and summarize the operational skills to reduce the incidence of bleeding and pneumothorax.  Methods  The clinical data of 285 patients with lung mass who underwent CT-guided lung biopsy in the first affiliated Hospital of Bengbu Medical College from September 2018 to April 2020 were analyzed retrospectively. The risk factors such as sex, age, tumor size, distance from pleura, puncture angle, puncture depth, puncture times, basic lung disease, lesion location, patient position and other related factors were divided into different grades. Chi-square test was used to analyze whether there were differences in the incidence of bleeding and pneumothorax among statistical data, and logistic regression was used to analyze the independent risk factors of bleeding and pneumothorax.  Results  CT-guided lung biopsy and puncture: a report of 285 cases, 52 (52/285, 18.25%) had bleeding and 43 (43/285, 15.09%) had pneumothorax. Univariate analysis showed that postoperative bleeding is related to the distance between the mass and the pleura and the depth of puncture needle (all P < 0.05). The occurrence of pneumothorax after surgery was related to factors such as the distance between the lesion and the pleura, the depth of puncture, the number of punctures, and basic lung disease (all P < 0.05). Logistic regression analysis analyzed that the puncture distance was an independent risk factor for bleeding; the basic lung disease, the number of punctures and the puncture distance were independent risk factors for pneumothorax.  Conclusion  CT-guided lung biopsy is safe and has fewer serious complications. Basic lung diseases, long puncture distance and more puncture times are the main risk factors of bleeding and pneumothorax in CT-guided lung biopsy. Reducing the number of punctures, avoiding pulmonary vesicles and cavities, and choosing a relatively short puncture path can effectively reduce the postoperative complications of lung biopsy.
Observation on the clinical effect of recombinant human interleukin-11 combined with Kangfuxin liquid in the treatment of radiation-induced oral mucositis
YAO Wei-wei, DONG Qing-hua
2021, 19(5): 775-777,785. doi: 10.16766/j.cnki.issn.1674-4152.001914
1218 8
Abstract:
  Objective  To observe the clinical effect of recombinant human interleukin-11 (rhIL-11) aerosol inhalation combined with Kangfuxin liquid gargle in the treatment of radiation-induced oral mucositis.  Methods  A total of 110 patients with head and neck tumour radiotherapy in Changxing County People' s Hospital from July 2016 to July 2020 were randomly divided into control group (n=55) and study group (n=55). The patients in the control group were treated with oral gargle of triple drug solution, whereas the patients in the study group were additionally given rhIL-11 aerosol inhalation combined with Kangfuxin liquid oral gargle. The degree of oral mucosal reaction was compared between the two groups at the end of radiotherapy. The degree of oral mucosal pain was evaluated during radiotherapy. The time of oral mucosal reaction above grade 3 was recorded. The clinical efficacy of radiation-induced oral mucositis was analysed.  Results  The proportion of patients with severe radiation-induced oral mucosal reaction at the end of radiotherapy in the study group (14.54%) was significantly lower than that in the control group (36.36%, χ2=6.899, P=0.009). The NRS scores of oropharyngeal pain in the study group at 2 weeks, 4 weeks and at the end of radiotherapy (1.17±0.32, 3.28±0.74 and 4.41±0.83) were significantly lower than those in the control group (1.69±0.43, 4.35±0.81 and 6.03±0.92, t=4.196-6.235, all P < 0.001). The time of severe radiation-induced oral mucosal reaction in the study group (8 patients) was (5.47±0.79) weeks, which was significantly later than that of the control group [20 patients, (4.51±0.62) weeks, t=5.273, P < 0.001]. The overall effective rate of the study group (96.36%) was significantly higher than that of the control group (81.82%, χ2=5.986, P=0.014).  Conclusion  Recombinant human interleukin-11 aerosol inhalation combined with Kangfuxin Liquid gargle can effectively reduce the degree of oral mucosa injury in patients with head and neck cancer during radiotherapy, relieve the pain response, alleviate the progress of the disease and improve the clinical efficacy of radiation-induced oral mucositis, and thus, this treatment is worthy of clinical application.
Clinical characteristics and treatment of penetrating aortic ulcer
YOU Jia-yun, YU Chao-wen, NIE Zhong-lin, GAO Yong, LU Ran, WANG Qiang, WANG Chen-meng
2021, 19(5): 778-781. doi: 10.16766/j.cnki.issn.1674-4152.001915
1740 26
Abstract:
  Objective  To analyse and summarise the clinical characteristics of patients with penetrating aortic ulcer (PAU) and the choice of treatment.  Methods  Clinical data of 32 PAU patients admitted to the Vascular Surgery Department of the First Affiliated Hospital of Bengbu Medical College from January 2016 to November 2019 were retrospectively analysed, including 12 cases in the conservative treatment group and 20 cases in the endovascular aneurysm repair (EVAR) group. The clinical characteristics and therapeutic effects of the two groups were analysed.  Results  The hospital time of the patients in the EVAR group was short compared with the conservative treatment group (all P < 0.05). The D-dimer level, ulcer diameter, depth of the ulcer and concurrent aortic intramural hematoma (intramural hematoma, IMH) of the EVAR group were higher compared with those of the conservative treatment group, and the differences were statistically significant (all P < 0.05). No statistically significant differences were observed in the other areas (all P>0.05). Recent follow-up on new conservative treatment group patients showed that the incidence of aortic dissection was higher than that in the EVAR group, and the difference was statistically significant (P < 0.05). Long-term follow-up showed that the risk of ulcer increases for the two groups. The incidence of new aortic dissection for the EVAR group was slightly lower than that for the conservative treatment group, but there was no statistically significant difference (P=0.089, 0.089). Other indicators had no statistically significant differences (all P>0.05).  Conclusion  EVAR is a safe and effective method in the treatment of PAU as it can reduce the incidence of recent aortic dissection compared with the conservative treatment. EVAR is recommended for patients with persistent pain symptoms, combined IMH and signs of aortic rupture.
Comparative study of different drug delivery methods in the catheter-directed thrombectomy for deep venous thrombosis in lower extremities
CHEN Hai-rui, ZHANG Jian-ping, WANG Xiao-gao, WANG Ying, YU Chao-wen, LU Ran, CHEN Shi-yuan, SUN Yong, GUAN Ze-yu
2021, 19(5): 782-785. doi: 10.16766/j.cnki.issn.1674-4152.001916
905 7
Abstract:
  Objective  To explore the therapeutic effects of different drug delivery methods for catheter-directed thrombectomy (CDT) of deep venous thrombosis (DVT).  Methods  Forty-six patients with DVT admitted to the Department of Ventilators of Taihe County People's Hospital from January 2017 to January 2020 were selected and divided into 24-hour continuous administration group (23 cases) and intermittent administration group (23 cases) according to the method of urokinase administration during CDT treatment. Plasma D-dimer content and fibrinogen value were monitored, and the total dosage of urokinase was counted. The efficacy was observed through the degree of lower limb swelling regression and deep venous angiography.  Results  The increase of plasma D-dimer value was more obvious in the continuous administration group than in the intermittent administration group, and the difference on the second day after thrombolysis were (81.87±12.32) mg/L and (63.53±15.75) mg/L, respectively, with statistically significant difference (P < 0.001). The amount of total urokinase in the continuous administration group was lower [(328±65) million units] than that in the intermittent administration group [(445±21) million units], with statistical significance (P < 0.001). The lower extremity swelling subsided better in the continuous administration group, and the difference of calf circumference before and after thrombolytic therapy were (1.27±0.54) cm and (2.13±0.78) cm in the intermittent administration group (P < 0.001), respectively. Angiography images confirmed that thrombolysis in the vascular lumen was more in the continuous administration group. The venous patency score (4.74±1.55) was statistically significant compared with that of the intermittent administration group (6.68±1.32, P < 0.001).  Conclusion  Compared with intermittent administration of D-dimer, CDT method in the treatment of DVT with continuous administration of urokinase has more value. The amount of urokinase is less, patients have better lower leg swelling subsidence and the clinical effect is better.
Relationship between respiratory function and carotid intima-media thickness in patients with obstructive sleep apnoea hypopnea syndrome
ZHOU Dong-xia, LIU Shun-lin
2021, 19(5): 786-788. doi: 10.16766/j.cnki.issn.1674-4152.001917
699 8
Abstract:
  Objective  To explore the relationship between respiratory function and carotid artery lesions in patients with obstructive sleep apnoea hypopnea syndrome (OSAHS).  Methods  A total of 127 patients with OSAHS who were treated in the Anji Third People's Hospital from July 2016 to December 2019 were selected as the research objects. All patients were divided into mild hypoxia group (n=34), moderate hypoxia group (n=52) and severe hypoxia group (n=41). Polysomnography (PSG) index, carotid plaque detection rate and intima-media thickness (IMT) of the different groups were compared. Pearson correlation was used to analyse the relationship between PSG and carotid IMT.  Results  apnea-hypopnea index (AHI), Oxygen Desaturation Index (ODI) and oxygen desaturation lasting time in mild hypoxia group were lower than those in moderate hypoxia group and severe hypoxia group (all P < 0.05). lowest oxygen saturation(LSaO2) in mild hypoxia group was (77.47±6.58)%, which was higher than that in moderate hypoxia group [(72.37±7.37)%] and severe hypoxia group [(68.37±6.90)%]. IMT, plate number and Crouse score in mild hypoxia group were lower than those in moderate hypoxia group and severe hypoxia group (all P < 0.05). The detection rates of plaque in the mild, moderate and severe hypoxia groups were 14.71%, 25.00% and 53.66%, respectively, and the difference was statistically significant (χ2=14.793, P < 0.05). Pearson correlation analysis showed that IMT was positively correlated with AHI, ODI and Maximal accumulated oxygen deficit (MAOD, all P < 0.05) and negatively correlated with LSaO2 (r=-0.605, P < 0.05).  Conclusion  The respiratory function of patients with OSAHS is related to carotid artery disease. The higher the AHI and ODI, the higher the IMT. PSG-related indexes must be identified and intervened in time to reduce the degree of carotid artery disease.
Effect of different administration methods of dexmedetomidine on perioperative indexes in elderly patients with colorectal cancer
SHAO Gang, QI Rui-hua, ZANG Hong-cheng, YE Xu-qin
2021, 19(5): 789-793. doi: 10.16766/j.cnki.issn.1674-4152.001918
663 7
Abstract:
  Objective  To investigate and analyze the effect of different administration methods of dexmedetomidine combined with transverse abdominal plane (TAP) block on the recovery and immune function of elderly patients after radical resection of colorectal cancer.  Methods  Total 95 elderly patients with colorectal cancer undergoing radical surgery admitted to the First People's Hospital of Fuyang District from June 2018 to June 2019 were divided into observation group (48 cases) and control group (47 cases) according to the random number table method. The patients in the observation group were given dexmedetomidine in TAP block, and the patients in the control group were given intravenous load before anesthesia induction. The general data, hemodynamic parameters (HR, MAP, SpO2), SAS score (Riker sedation and agitation score), recovery during recovery, postoperative pain score, and immune index (CD4+, CD8+, CD4+/CD8+) were observed.  Results  The HR and MAP of the two groups at extubation were significantly higher than those at the end of operation (all P < 0.05). The restlessness scores at eye opening, extubation and 30 min after extubation in the observation group were significantly lower than those in the control group (all P < 0.05). The recovery time of spontaneous breathing, eye opening time and extubation time in the observation group were significantly lower than those in the control group (all P < 0.05). The VAS scores of the two groups on the 1st and 3rd day after operation were 6. The VAS score of the observation group were significantly lower than that of the control group at 1 d and 3 d after operation (all P < 0.05). The levels of CD4+, CD8+, CD4+/CD8+ in the observation group were significantly higher than those in the control group (all P < 0.05).  Conclusion  Dexmedetomidine combined with TAP block is more effective than intravenous drug combined with TAP block in shortening the recovery time and improving the postoperative immune function of patients, which is worthy of clinical promotion.
Correlation between liver-controlled attenuation parameters and serum 25-hydroxyvitamin D level in patients with type 2 diabetes
FAN Jun-fang, HU Jing, GENG Xu, ZHUANG Lan-gen, SHI Zhao-ming
2021, 19(5): 794-797. doi: 10.16766/j.cnki.issn.1674-4152.001919
778 13
Abstract:
  Objective  This study aimed to investigate the correlation between controlled attenuation parameters (CAP) of the liver and serum 25-hydroxyvitamin D[25(OH)D] in patients with type 2 diabetes mellitus (T2DM).  Methods  A total of 160 patients with T2DM who were admitted to the First Affiliated Hospital of Bengbu Medical College from May 2019 to July 2020 were selected. On the basis of the CAP value, the patients were divided into the following groups: without NAFLD (43 patients), with mild NAFLD (35 patients), with moderate NAFLD (35 patients) and with severe NAFLD (47 patients). Vat, SAT, 25(OH)D and other biochemical indexes were measured, and differences in biochemical indexes amongst the groups were compared. Logistic regression analysis and Pearson or Spearman correlation analysis were performed, and ROC curve was used to analyse the optimal threshold of CAP for predicting vitamin D deficiency in patients with T2DM.  Results  25(OH)D in the non-NAFLD group was significantly higher than that in the moderate and severe NAFLD groups, and 25(OH)D in the mild and moderate NAFLD groups was significantly higher than that in the severe NAFLD group (all P < 0.05). CAP was negatively correlated with 25(OH)D and HDL-C (r=-0.436, -0.193, all P < 0.05), whereas CAP was positively correlated with WHR, BMI, VAT, SAT, TC, TG, FINS, HOMA-IR, FFA, CRP, γ-GT and ALT (r= 0.276-0.447, all P < 0.05). 25(OH)D was negatively correlated with CAP, VAT, FBG, TC, TG, FFA, HOMA-IR, ALT, CRP and γ-GT (r=-0.436--0.156, all P < 0.05). Logistic regression analysis showed that FFA and 25(OH)D were the influencing factors for the development of NAFLD in T2DM. ROC curve showed that CAP265 dB/m as the diagnostic threshold had a sensitivity of 0.776 and a specificity of 0.637 for predicting vitamin D deficiency.  Conclusion  Liver fat content is negatively correlated with serum 25(OH)D in patients with T2DM, and 25(OH)D is a protective factor for NAFLD in T2DM.
Related influencing factors and preventive measures of heart rate variability in patients uffer from chronic kidney disease
YU Fu-hai, SHEN Cai-jie, LU Cao-jie, ZHAO Fu, WANG Jian, ZHANG Dan
2021, 19(5): 798-800,855. doi: 10.16766/j.cnki.issn.1674-4152.001920
1030 5
Abstract:
  Objective  To analyse changes and influencing factors of heart rate variability (HRV) in patients with chronic kidney disease (CKD) for conducting targeted intervention.  Methods  A total of 138 CKD patients who were admitted to the First Hospital of Ningbo from March 2017 and March 2019 were enrolled as study objects. MARS Holter analysis software and Seer Light ECG box were used to monitor patient' HRV time-domain analysis parameters for 24 h [standard deviation of 5-minute average NN intervals (SDANN), standard deviation of NN intervals (SDNN), the percentage of NN50 in the total number of normal-to-normal intervals (pNN50), square root of the mean of the squared differences between adjacent normal RR (rMSSD)] were detected. The multivariate linear stepwise regression analysis was applied to analyse their influencing factors.  Results  The results of multiple linear stepwise regression showed that interleukin 6 (IL-6) was an influencing factor of SDANN (t=2.243, P=0.029). Haemoglobin (Hb), C-reactive protein (CRP), IL-6, brachial and ankle pulse wave velocity (baPWV) were influencing factors of SDNN (t=2.084, 3.515, 4.594, 5.523, all P < 0.05). Blood phosphorus and baPWV were the influencing factors of pNN50 (t=2.021, 2.536, all P < 0.05). Hb, IL-6 and serum potassium were the influencing factors of Root Mean Square of the Successive Differences (rMSSD, t=2.156, 4.417, 2.642, all P < 0.05).  Conclusion  CKD patients are accompanied with decrease of HRV time-domain analysis parameters, which is related to anaemia, micro-inflammation status, electrolyte imbalance and arteriosclerosis. Clinically, intervention can be conducted aiming at the above risk factors.
Application of serum markers combined with colour Doppler ultrasound in the prenatal diagnosis of pernicious placenta previa
CHEN Gui-zhen, DU Dan-li, LI Xiang, GONG Ying-ying, YANG Na-na
2021, 19(5): 801-804. doi: 10.16766/j.cnki.issn.1674-4152.001921
650 6
Abstract:
  Objective  This study aimed to explore the application value of serum matrix metalloproteinase 9 (MMP-9) and creatine kinase (CK) levels combined with colour Doppler ultrasound in the prenatal diagnosis of pernicious placenta previa.  Methods  Fifty patients with pernicious placenta previa who were delivered in the First Affiliated Hospital of Bengbu Medical College from January 2019 to August 2020 were selected as the observation group (3 patients with penetrating type, 31 patients with implanted type and 16 patients with adhesive type), and 50 cases of non-placenta previa and non-implanted patients served as the control group. Colour Doppler ultrasound, MMP-9 and CK examinations were performed after admission. Independent sample t test was used to compare two groups of general information, and one-way analysis of variance was used to compare the levels of MMP-9 and CK in each group. The cut-off value of the variable was obtained through the ROC curve, and the Delong test compared the area under the ROC curve (AUC) of each indicator individually and in combination. Respective Youden indices were compared.  Results  No significant difference in general information (age, gestational age, gestation times and parity; t=1.855, 0.669, 1.666, 0.267; all P>0.05) was found between the observation group and the control group, and the differences in the levels of MMP-9 and CK in each group were statistically significant (F=43.134, 22.600, all P < 0.05). The observation group was higher than the control group, and the level of CK in the penetrating type was higher than that in the implanted type. The implanted type was higher than the adhesive type and control group, and the level of MMP-9 was higher in the penetrating and implanted type than that in the control group (P < 0.05). The best cut-off value of CK was 38.00 U/L, and MMP-9 was 362.90 ng/mL. Furthermore, the AUC (0.902) and the Youden index (0.76) of the three combined diagnoses were greater than the detection results of each individual index.  Conclusion  Serum MMP-9 and CK levels combined with colour Doppler ultrasound can improve the prenatal diagnosis of pernicious placenta previa, which is better than the detection value of each individual index.
Expression and significance of serum NSE and S100B protein during different degrees of neonatal asphyxia
ZHAO Bing, DING Zhou-zhi, CHEN Xin
2021, 19(5): 805-808. doi: 10.16766/j.cnki.issn.1674-4152.001922
716 4
Abstract:
  Objective  Neonatal asphyxia is a common disease during the neonatal period. Early and correct diagnosis of this disease is very important for treatment. This study investigated the expression of neuron-specific enolase (NSE) and central nervous system-specific protein B (S100B protein) in the serum of newborns with different degrees of asphyxia. This study examined whether these proteins can be used as indicators in the diagnosis of neonatal asphyxia.  Methods  Seventy newborns admitted to the NICU of the First Affiliated Hospital of Bengbu Medical College from December 2018 to April 2020 were selected and assigned to the asphyxia group. Then according to the Apgar(appearance, pulse, grimace, activity, and respiration) score at birth, the they were again divided into mild asphyxia group (n=40) and severe asphyxia group (n=30). 40 healthy newborns were selected as the normal control group, during the same period. The Levels of serum NSE and S100B were measured within 24 h after birth in each group and 7 days after treatment in the asphyxia group.  Results  The levels of serum NSE and S100B in the mild asphyxia and severe asphyxia groups were significantly higher than those in the control group. The levels of serum NSE and S100B in the severe asphyxia group were significantly higher than those in the mild asphyxia group (all P < 0.05). After the treatment, the levels of serum NSE and S100B in the mild asphyxia and severe asphyxia groups significantly decreased (all P < 0.05). The sensitivity and specificity of serum NSE to the prediction of neonatal asphyxia were 81.43% and 97.50%, respectively. The area under the receiver operating characteristic curve (AUC) was 0.939. By comparison, the sensitivity and specificity of serum S100B to the prediction of neonatal asphyxia were 80.00% and 100.00%, respectively. The AUC curve was 0.916.  Conclusion  Both serum NSE and S100B can be used as an important basis for the diagnosis of neonatal asphyxia and have a certain reference value for clinical evaluation of the degree of neonatal asphyxia.
Analysis of clinical data and genetic characteristics in children with genetic epilepsy with febrile seizures plus
LIU Wei-rong, YAO Yin-ping, JIANG Tao, ZHANG Hang-hu, HU Jia-ni, SHAO Xiao-li
2021, 19(5): 809-811,816. doi: 10.16766/j.cnki.issn.1674-4152.001923
853 6
Abstract:
  Objective  To investigate and analyse the epidemiology, clinical characteristics and family genetics of children with genetic epilepsy with febrile seizure plus (GEFS+).  Methods  A total of 1 435 children with epilepsy who were admitted to Shaoxing People's Hospital were selected. The incidence rate, epidemiology and clinical characteristics of GEFS+ and their family members were analysed.  Results  Among the 1 435 epileptic children, the incidence rate of GEFS+ was 3.07% (44/1 435). A total of 362 family members (excluding 44 GEFS+ affected children) were obtained from 29 families and family members, of whom 214 (59.12%) were affected. In 44 cases of GEFS+ children, 86.36% (38/44) of the first convulsive seizure occurred as febrile and followed by afebrile or low fever. Among the family members involved, 22.90% (49/214) of the first convulsions occurred as febrile; the later convulsions, without fever or with lower degree of fever. Head MRI examination was conducted in 44 cases of GEFS+, the incidence of temporal lobe abnormalities accounted for 11.54% (3/26)in the children with GEFS+ and for 12.63% (12/95) in the affected family members. Video EEG monitoring test (VEEG) examination was conducted in 44 cases of GEFS+, 23.08% (3/13) were with temporal discharge, and among the affected family members was 20.0% (11/55). Among all the family members, 93.46% (200/214) were GEFS+, 1.87% (4/214) were idiopathic generalised epilepsy and 4.67% (10/214) could not be classified clearly. In addition, 75.97% (196/258) were continuous inheritance, 44.57% (115/258) were paternal (mother) - child family inheritance, 21.71% (56/258) were intergenerational inheritance and 10.47% (27/258) were two line inheritance(maternal and paternal inheritance).  Conclusion  Some children with GEFS+ will develop into refractory epilepsy after clinical standard treatment. The incidence rate of FS or FS+ in family members is high, and the possibility of autosomal dominant inheritance is high.
Analysis of pathological characteristics and prognosis of stages ⅠB1 and ⅡA2 cervical squamous cell carcinoma and adenocarcinoma
XU Jie, GAO Long-fei, DENG Zhao-ya, LIU Jian
2021, 19(5): 812-816. doi: 10.16766/j.cnki.issn.1674-4152.001924
1111 8
Abstract:
  Objective  To explore the pathological characteristics, prognostic factors and differences among patients with ⅠB1 and ⅡA2 cervical squamous cell carcinoma (SCC) and cervical adenocarcinoma (AC).  Methods  To retrospectively analyse the clinical data of 260 patients with stages ⅠB1 and ⅡA2 cervical SCC or AC who underwent radical resection of cervical cancer in the First Affiliated Hospital of Bengbu Medical College from January 2016 to January 2019. The differences in pathological characteristics, prognostic factors and between the two pathological types were compared.  Results  SCC was mainly the lettuce flower type, whereas AC was primarily the endogenous infiltrating type (all P < 0.05). Differences in age, tumour size, depth of invasion and cell differentiation between the two pathological types were not statistically significant. The 3-year progression-free survival (PFS) of stages ⅠB1 and ⅡA2 cervical SCC and AC was 94.6% and 89.4%, respectively, and the difference was not statistically significant. Log-rank analysis revealed that the clinical stage, tumour size and depth of invasion were all influencing factors on the prognosis of these two pathological types. Further analysis of the prognostic factors found no statistically significant difference in tumour size, depth of invasion and clinical stage among patients with stages ⅠB1 and ⅡA2 cervical SCC and AC at 3 years. Incorporating multiple predictors of survival such as clinical stage, tumour size and depth of invasion into Multivariable Cox regression analysis the result demonstrated that clinical stage was an independent risk factor for the prognosis of patients with stages ⅠB1 and ⅡA2 SCC and AC (all P < 0.05).  Conclusion  The pathological characteristics of stages ⅠB1 and ⅡA2 cervical SCC and AC are roughly similar. AC is mainly of endogenous infiltration type, and thus it can be easily missed. Endocervical curettage can substantially reduce the missed diagnosis rate of AC. In the presence of intermediate risk factors and with the conduct of appropriate a adjuvant therapy, after surgery the patients with stages ⅠB1 and ⅡA2 SCC and AC can achieve the same prognosis.
Investigation on the status of dyslipidaemia among contracted residents in Shanghai suburban communities during COVID-19 epidemic
YANG Jing-lin, FAN Ai-qing, ZHANG Peng, LIU Hao, ZHANG Shao-chen
2021, 19(5): 817-820,859. doi: 10.16766/j.cnki.issn.1674-4152.001925
858 4
Abstract:
  Objective  By collecting and analysing situations of dyslipidaemia in contracted residents who were housebound because of the COVID-19 epidemic in Shanghai suburban communities. Comments and suggestions were provided for further development of communities' general practice.  Methods  Data were retrieved through the HIS system from January 15 to April 24, 2020. Thirty-one housebound patients with dyslipidaemia who did not increase lipid-lowering drugs and receive exercise direction during the housebound time were screened out of the 573 contracted patients who visited the Lingqiao Community Health Service Center. Biochemical tests were performed in the Lingqiao Community Health Service Center and the Seventh People's Hospital of Shanghai. The urea nitrogen (BUN) levels of patients before and after housebound were compared. The levels of total cholesterol (TC), triglyceride (TG), low-density lipoprotein cholesterol (LDL-C), high-density lipoprotein cholesterol (HDL-C), glutamic-pyruvic transaminase (ALT), glutamic-oxaloacetic transaminase (AST) and renal function test indicators serum creatinine (Scr) and urea nitrogen (BUN) of housebound patients were compared between week 0 and week 12.  Results  After 12 weeks of housebound, the levels of TG, TC and LDL-C (3.057±1.837, 5.236±1.141 and 1.824±0.353) were higher than those at week 0 (2.034±1.009, 4.625±1.213 and 2.629±1.167), with statistical significance (all P < 0.05). However, the levels of HDL-C and liver and kidney function test indicators ALT, AST, Scr and BUN showed no significant difference before and after follow-up (all P>0.05).  Conclusion  Housebound affects the effect of management for patients with dyslipidaemia. Communities' general practice should focus on special groups in contracted residents such as housebound people. In addition, new scientific and technological means should be introduced to gradually develop the "Internet+" chronic disease health education work. At the same time, the composite of general practitioners should integrate talents specialising on sports, medicine and popular science.
Study on the relationship between different degrees of sarcopenia and the risk of falls in the elderly in the community
ZHOU Xuan, CHEN Wen-ying, ZHANG Shan, HONG Xiu-fang, XIONG Yan-hua
2021, 19(5): 821-824, 845. doi: 10.16766/j.cnki.issn.1674-4152.001926
973 12
Abstract:
  Objective  The aim of this study was to explore the relationship between sarcopenia and the risk of falls among the elderly in the community.  Methods  This study selected 500 elderly people in the districts of five community street health service centers in Hangzhou as the research objects, and divide them into Non-myopathy group, pre-sarcopenia group, myopathy group and severe myopathy group, the postural stability related indexes were measured in random sequence, and the factors related to fall risk in patients with different degrees of myopathy were analyzed by single factor analysis and Spearman analysis.  Results  The average speed of centre of pressure (CoP) in the severe stage of sarcopenia is significantly higher in feet apart/eyes closed feet apart with eyes closed (FAEC), feet together/eyes open feet close together eyes open (FTEO) and feet together/eyes closed feet together eyes close (FTEC) than in the prophase of non-sarcopenia and pre-sarcopenia. the mediolateral (ML) movement distance in the severe stage of sarcopenia is significantly longer in Feet apart with eyes open (FAEO), FAEC, FTEO and FTEC than in the non-sarcopenia and pre-sarcopenia (all P < 0.05), while the difference in anteroposterior (AP) movement distance is not statistically significant (P > 0.05). There were statistically significant differences in age, smoking history, drinking history, fall history in the past year, impaired balance function, decreased reaction, lower limb muscle strength, body mass index (BMI) and modified falls efficacy scale (MFES) scores among the four groups (all P < 0.05); Spearman analysis found that different degrees of myopathy were positively correlated with impaired balance function, decreased response and decreased lower limb muscle strength, while negatively correlated with BMI. The severity of sarcopenia and sarcopenia were positively correlated with the fall history and MFES score in the past year. The severity of sarcopenia was also positively correlated with the drinking history, CoP average speed and ML moving distance.  Conclusion  The risk of falls in the elderly with severe stage of sarcopenia is related to the history of falls, decreased response, lower limb muscle strength, impaired balance function, posture stability, and fear of falls in the past year. Community intervention strategies should be improved based on these risk factors.
A qualitative study on parental stigma in parents of children with tethered cord syndrome
CHEN Yue-xiang, LIU An-nuo, ZHU Gui-yue, LIU Jin-yu
2021, 19(5): 825-829. doi: 10.16766/j.cnki.issn.1674-4152.001927
744 9
Abstract:
  Objective  The aim of this study was to explore the experience, origin and coping style of the associated stigma in parents of children with tethered cord syndrome caused by congenital factors, and provide basis for formulating targeted intervention measures.  Methods  We used the phenomenological research methods, the purpose sampling method to select parents of children with tethered cord syndrome, from February 2018 to December 2019, from the neurosurgery department of Anhui Children's Hospital in Anhui province, 18 patients were diagnosed with meningomyelocele bulging, bifida spine, fur sinus combined the semi-structured interviews was conducted. The Colaizzi's method was used to analyze the field recording.  Results  The experience of the associated stigma in parents of children with tethered cord syndrome caused by congenital factors was summarized as three themes: inferiority and complaint, guilt and remorse, anxiety and worry. The sources are summarized as follows: lack of disease knowledge, Poor family finances, negative social support, discrimination and indifference. Coping styles are summarized as follows: passively waiting, isolated avoidance and face positively.  Conclusion  Associated stigma experience of in parents of children with tethered cord syndrome is complex, which comes from social factors, family factors, personal factors, their active ability to cope with the care of disease in children with associated stigma. The medical staff should provide targeted intervention measures based on their different psychological experiences, sources and coping styles, provide disease knowledge education, science popularization, care skills guidance, and special disease subsidy policies, etc., to increase parents' awareness of diseases and reduce their ties. Stigma, improve their active coping ability, face problems, solve problems, and cooperate with treatment.
Clinical value of transvaginal ultrasonography in the diagnosis of abortion during early pregnancy
WU Dan, LOU Ye-lin
2021, 19(5): 830-832,837. doi: 10.16766/j.cnki.issn.1674-4152.001928
1099 7
Abstract:
  Objective  To evaluate the clinical effect of transvaginal ultrasound in the diagnosis of abortion during early pregnancy.  Methods  The research objects were 140 cases of threatened abortion and 140 cases of healthy pregnant women. The pregnancy outcomes were tracked by using transvaginal ultrasound. The luteal characters and ultrasonic echo characteristics of pregnant women with different pregnancy outcomes were compared, and the differences of ultrasound indexes of corpus luteum and uterine spiral artery blood flow were counted.  Results  The shape of corpus luteum in healthy pregnant women was circular (100.00%); in threatened abortion group, a small number of corpus luteum showed rod shape (21.21%) and dot shape (4.04%). In the abortion of early pregnancy group, the proportion of the subjects with rod shape (34.15%) and dot shape (26.83%) corpus luteum was the highest. The detection rate of heterogeneous hypoechoic corpus luteum in healthy pregnant women was the lowest (12.86%), and in the middle in the group with successful fetus protection group among those with threatened abortion was (38.38%), and the highest in the abortion of early pregnancy group (58.54%). The PSV of luteal blood flow of healthy pregnant women was significantly higher than that of the other two groups, whereas RI was significantly lower than that of the other two groups (all P < 0.05). The PSV(peak systolic velocity) of luteal blood flow in the fetus protection group among those with threatened abortion group was significantly higher than that in the abortion of early pregnancy group, whereas the luteal blood flow RI was significantly lower than that in the abortion of early pregnancy group (all P < 0.05). The pulsatility index (PI), resistive index(RI) systolic/diastolic (S/D) ratio in healthy pregnant women were significantly lower than those in the other two groups (all P < 0.05), and the PI and RI of uterine spiral artery blood flow in the successful fetus protection group among those with threatened abortion were significantly lower than those in the abortion of early pregnancy group (all P < 0.05).  Conclusion  Transvaginal ultrasound detection of corpus luteum and uterine spiral artery blood flow has a high value in the diagnosis and prognosis evaluation of abortion of early pregnancy.
Diagnostic value of contrast-enhanced LI-RADS classification criteria in hepatocellular carcinoma
ZHANG Jia-ling, GE Hui, WU Wen-juan
2021, 19(5): 833-837. doi: 10.16766/j.cnki.issn.1674-4152.001929
1143 5
Abstract:
  Objective  The aim of this study was to explore the diagnostic efficacy of the Contrast-enhanced ultrasound liver image report and data system (LI-RADS) for hepatocellular carcinoma (HCC) and evaluate its application value in HCC.  Methods  The ultrasound contrast data of 163 focal liver lesions in 150 patients with high risk factors for HCC who were treated at the Third People's Hospital of Bengbu from September 2018 to June 2020 were selected, and four physicians with more than 5 years of experience in contrast-enhanced liver ultrasound were divided into two groups according to the standard of conventional contrast-enhanced ultrasound and the LI-RADS classification standard of contrast-enhanced ultrasound to diagnose 163 lesions. Using pathological results as the gold standard, we calculated the sensitivity, specificity, positive and negative predictive value, and diagnostic coincidence rate, and draw ROC curve to compare the diagnostic efficacy of the two groups.  Results  One hundred and sixty-three lesions were confirmed pathologically for 122 HCC, 16 for non-HCC malignant lesions, and 25 for benign lesions. The coincidence rate of conventional diagnosis of HCC was 87.1% (142/163), and the area under the curve (AUC) was 85.7%. In the LI-RADS classification, LR-5 has the highest specificity (95.1%) but low sensitivity (72.1%) in the diagnosis of HCC. If LR-4+LR-5 were diagnosed as HCC, its sensitivity (98.4%, 120/122), specificity (82.9%, 34/41), diagnostic coincidence rate (94.5%, 154/163) and AUC (90.6%) were all higher than the conventional methods. The diagnostic accuracy of classification method is better than that of conventional method, and the difference between the two groups were statistically significant (χ2 =4.654, P=0.031).  Conclusion  The LI-RADS classification standard of contrast-enhanced ultrasound can improve the diagnostic coincidence rate of HCC and has high diagnostic value.
Dynamic changes and significance of serum NSE and S100B protein in patients with craniocerebral injury
LIANG Jiong-fang, GAO Feng-ping, LIU Ke-hong
2021, 19(5): 838-840, 850. doi: 10.16766/j.cnki.issn.1674-4152.001930
1825 7
Abstract:
  Objective  To explore the dynamic changes and clinical significance of serum NSE and S100B protein levels after craniocerebral injury.  Methods  A total of 105 patients with craniocerebral injury received by the Emergency Department of Zhejiang General Hospital of Armed Police from January 2018 to December 2019 were selected as the study objects. According to Glasgow's score, they were divided into mild group (n=30), moderate group (n=45) and severe group (n=30). Another 30 healthy people in the same period were selected as the control group. Dynamic monitoring and statistical analysis of serum NSE and S100B protein data after head injury were conducted.  Results  The serum NSE and S100B protein levels among the four groups were (34.51±5.39) μg/L, (19.31±2.72) μg/L, (13.68±3.02) μg/L, (6.11±2.35) μg/L and (2.29±0.28) μg/L, (1.47±0.15) μg/L, (0.81±0.18) μg/L, (0.32±0.09) μg/L (F=357.010, 653.126, all P < 0.001)respectively. For each group at the same time, the difference in serum NSE and S100B protein was statistically significant (all P < 0.05). The differences in serum NSE and S100B between groups within the group and at different time points were statistically significant (all P < 0.05).  Conclusion  Serum NSE and S100B protein levels can dynamically reflect the progress of acute craniocerebral injury a which have important clinical guiding significance for the revision of the disease disease classification, formulation of treatment plans assessment of prognosis.
The evaluation instruments of the general practitioner's ability for the patient encounter-A systemic review
LI Jian, PIAO Hui-hong, LIU Ying-ying, XIE Mian, CHEN Xi, CHEN Chao
2021, 19(5): 841-845. doi: 10.16766/j.cnki.issn.1674-4152.001931
1283 38
Abstract:
  Objective  The development of general practitioners has been highly valued by the state. It is an urgent scientific problem to objectively evaluate the general practitioner's ability for the patient encounter. The key to solve the problem is to establish a quantitative evaluation instrument (scale) for general practitioners' ability for the patient encounter. This article systematically reviews the quantitative evaluation instruments for the general practitioner's ability for the patient encounter at home and abroad, and provides the basis for establishing the Chinese instrument.  Methods  Using PubMed, FMRS, ChinaNet, Wanfang and other data resources, the relevant literature about the evaluation instruments of the general practitioner's ability for the patient encounter from January 1978 to March 2020 were searched. After browsing and screening, most relevant articles were included for analysis and review.  Results  A total of 686 papers were retrieved, 108 articles were screened out by browsing abstracts, and 43 references were screened out by reading the full text. The evaluation instrument of the ability for the patient encounter for the medical license examination was often used to evaluate the ability for the patient encounter of general practitioners. There were few and imperfect instruments dedicated to the evaluation of the ability for the patient encounter of general practitioners. The United Kingdom and the United States had established a more advanced evaluation instruments of the ability for the patient encounter in the medical license examination, however, the scales had not been made public, and the examination methods had been used to evaluate the ability of the patient encounter for general practitioners. The published evaluation instruments related to the general practitioner's ability of the patient encounter mainly included Leicester assessment package, MAAS scale and Davis Observation Code. All of these instruments had shortcomings. Leicester assessment package was a widely translated evaluation instrument for general practitioners in China, but its inherent defects still existed.  Conclusion  It is a historical task for Chinese scholars in general practice to establish a set of scientific and practical evaluation instruments for the ability of the patient encounter for general practitioners.
Progress in early diagnosis of congenital biliary atresia
CHEN Xue-zhong, GUAN Yan-xing, ZHAN Chun-lei
2021, 19(5): 846-850. doi: 10.16766/j.cnki.issn.1674-4152.001932
937 5
Abstract:
Congenital biliary atresia is the most common cause of neonatal cholestasis and is the main indicator of paediatric liver transplantation. If not treated promptly, it can lead to progressive liver fibrosis, cholestasis cirrhosis and even death. Timely Kasai surgery or liver transplantation can significantly improve the prognosis of children with congenital biliary atresia, so early differential diagnosis is extremely important. However, congenital biliary atresia and other causes of neonatal cholestasis have many common points in clinical manifestations, laboratory tests and imaging features, which brings great difficulties to clinical differential diagnosis. In the past decade, various non-invasive diagnosis approach for congenital biliary atresia has made great progress, including the development of early screening, features of biomarkers, improved inspection of qualitative and quantitative indicators of ultrasound, and the applications of radionuclide hepatobiliary dynamic imaging, endoscopic retrograde cholangiopancreatography (ERCP) and magnetic resonance cholangiopancreatography (MRCP). Currently though, no clinically non-invasive method is available for the differential diagnosis of congenital biliary atresia with high sensitivity and specificity. Intraoperative biliary exploration and angiography remain the most accurate methods for diagnosing congenital biliary atresia, but the invasiveness of the method and the high requirements for the surgeon limit its clinical application. Based on the characteristics of early clinical early differential diagnosis of congenital biliary atresia, this review further explores the best strategy for early diagnosis and diagnosis of congenital biliary atresia by multidisciplinary and multi-technical combination to improve the early differential diagnosis of congenital biliary atresia. This review provides reference for promoting the sensitivity and specificity of the early differential diagnosis of congenital biliary atresia.
Clinical study of the effects of moxibustion combined with Gandou Decoction on improving early hypersplenism in Wilson disease
SHENG Yu-qin, YANG Wen-ming, ZHANG Juan
2021, 19(5): 851-855. doi: 10.16766/j.cnki.issn.1674-4152.001933
873 4
Abstract:
  Objective  To explore the clinical effects of moxibustion combined with Gandou Decoction on improving the early hypersplenism of patients with Wilson disease (WD).   Methods  Sixty patients with WD and early hypersplenism were selected from October 2016 to May 2020. They were randomly divided into a control group and an observation group, with 30 cases in each group. The patients in both groups were administered with sodium dimercaptopropionic acid injection once a day for six times a week). The patients in the observation group were treated with additional moxibustion and Gandou Decoction, a course of treatment that lasted for 8 days. Both groups were treated for 2 weeks. The Clinical efficacy and changes in WBC, RBC, PLT, Hb and liver function index(ALT, AST, Alb and Alb levels) were observed after two courses of treatment.   Results  The clinical efficacy in the observation group (90.0%) was significantly better than that in the control group (63.3%, χ2=5.963, P=0.015). The levels of WBC, RBC, PLT and Hb in the first and second courses of treatment in both groups were significantly different from those before treatment (all P < 0.01). No significant difference was observed in WBC, RBC, PLT and Hb levels before treatment and after the first course of treatment in the observation group compared with those in the control group (all P>0.05), and these indicators in the observation group after the second course of treatment were significantly higher than those in the control group (all P < 0.05). The levels of ALT, AST and Alb in each course of treatment in both groups were significantly different from those before treatment (all P < 0.01). Compared with those in the control group, no significant difference was found in the levels of ALT, AST, Alb and Alb in the observation group after the first course of treatment (all P>0.05). After the first and second courses of treatment, the levels of ALT and AST in the observation group were lower than those in the control group (all P < 0.05). Moreover, the level of Alb level in the observation group after the second course of treatment was significantly higher than that in the control group (P < 0.01).   Conclusion  Moxibustion combined with Gandou Decoction can improve the clinical symptoms of WD patients with early hypersplenism.
Application value of 3D printing technology combined with PBL teaching in standardised training of orthopaedic residents
ZHANG Pei, GAO Yong, CUI Pei-yuan, WU Min, LIU Quan, GUAN Jian-zhong
2021, 19(5): 856-859. doi: 10.16766/j.cnki.issn.1674-4152.001934
931 8
Abstract:
  Objective  To explore the application value of 3D printing technology combined with PBL teaching mode in the standardised training and teaching of orthopaedic residents.   Methods  Forty-six residents who participated in the orthopaedic training base of the First Affiliated Hospital of Bengbu Medical College from January 2019 to January 2020 were selected and divided into two groups by random number method, with 23 residents in each group. The observation group accepted 3D printing technology in combination with teaching PBL teaching mode, whereas the control group accepted PBL teaching mode only. The two groups were assessed by the same set of excellent teaching experience. For culture teaching, the two groups of orthopaedic residents were tested for their cutting-edge knowledge, theoretical knowledge, professional skills and case analysis. For objective appraisal of the teaching model, the learning interest, comprehension, content mastery, combination of theory with practice, teamwork and satisfaction of the two groups of residents were evaluated.   Results  The scores of residents in the observation group were significantly higher than those in the control group in terms of frontier knowledge [(91.74±3.10) scores vs. (75.78±3.19) scores], theoretical knowledge [(85.65±3.13) scores vs. (81.09±1.90) scores], case analysis [(88.30±3.28) scores vs. (75.09±3.18) scores] and professional skills [(85.52±5.47) scores vs. (77.96±4.70) scores], with statistical significance (all P < 0.05). The indicators of the observation group were significantly higher than those of the control group in terms of learning interest, understanding ability, content mastery, combination of theory with practice, teamwork and satisfaction (all P < 0.05).   Conclusion  The combination of 3D printing technology and PBL teaching mode can fully stimulate the self-learning and problem-finding ability of disciplined training physicians.
Investigation on health literacy and influencing factors of rural low-income population in Henan Province
LI Meng-lei, NIU Dan-dan, LYU Ben-yan, ZHANG Fan
2021, 19(5): 860-862, 879. doi: 10.16766/j.cnki.issn.1674-4152.001935
710 6
Abstract:
  Objective  To explore the health literacy status of rural low-income people in Henan Province and its influencing factors, so as to provide scientific basis for improving the health level of low-income people.   Methods  By using stratified random sampling method, rural residents in Zhengzhou, Nanyang, Xinxiang, Shangqiu, Luoyang and other cities were randomly selected as the research objects from September to December 2019. Chi-square test was used for univariate analysis, and variables with statistical significance in univariate analysis were included in logistic regression analysis to study the factors affecting the health literacy of rural low-income people.   Results  The health literacy level of rural low-income people in Henan Province was 20.66%. There were differences in health literacy among low-income groups of different gender, age, education level, occupation type, marital status, chronic disease, and their own health status, and the difference was statistically significant (all P < 0.05). The logistic regressive analysis showed the influence factors of the health literacy of rural low-income groups were gender, age, education level, occupation type, marital status, chronic disease, and their own health status. The OR and its 95% CI were 1.343 (1.172-1.538), 0.912 (0.867-0.960), 1.328 (1.233-1.429), 1.066 (1.066-1.159), 0.755 (0.678-0.840), 0.718 (0.614-0.839), 1.136 (1.049-1.231).   Conclusion  The health literacy level of rural residents in Henan Province is uneven. According to the characteristics of low-income groups, various forms of health education should be carried out to strengthen the health management of chronic diseases for low-income groups, so as to meet the health needs of low-income groups.
Status quo of uncertainty in illness and its correlation with coping in kidney transplant recipients
GUO Xue-jie, LIU Hong-xia, HAN Meng-xi, HU Shu-jing, LI Dan, ZHU Xiao-rong, ZHANG Bei, PENG Fu-cong
2021, 19(5): 863-866, 886. doi: 10.16766/j.cnki.issn.1674-4152.001936
804 9
Abstract:
  Objective   To explore the current status of disease uncertainty in kidney transplant recipients and analyse the correlation between uncertainty in illness and medical coping modes in kidney transplant recipients to provide reference for further research.   Methods   Convenience sampling method was used to select 259 kidney transplant recipients as research objects. General information questionnaire, Mishel's Uncertainty in Illness Scale (MUIS) and Medical Coping Modes Questionnaire (MCMQ) were used to survey kidney transplant recipients.   Results   Kidney transplant recipients' score of uncertainty in illness was (87.86±12.67) points, of which the average score of the four dimensions from high to low was the uncertainty dimension (37.88±8.13) points, the lack of information dimension is (19.34±4.69) points, the complexity dimension is (16.00±3.22) points and the unpredictability dimension is (14.63±2.62) points. Kidney transplant recipients tend to select confrontation (64.1%), the average scores of the three coping modes are confrontation (19.98±3.81) points, avoidance (14.44±2.97) points and acceptance-resignation (8.81±3.17) points. Total uncertainty in illness, uncertainty, complexity and lack of information are positively correlated with the acceptance-resignation (r=0.320, 0.297, 0.131, 0.249, all P < 0.05), but there is no correlation between the unpredictability dimension and coping modes.   Conclusion   Kidney transplant recipients' uncertainty in illness is at a moderate level. The medical staffs should pay more attention to the assessment and management of uncertainty in illness in kidney transplant recipients and its correlation with coping modes, guide patients to adopt effective coping modes to reduce their uncertainty in illness and promote the health of kidney transplant recipients.
Alveolar macrophage phenotypes in bronchoalveolar lavage fluid from sepsis
ZHANG Yao-yao, WU Qiang, GAO Shan, HOU Ting-ting, WANG Hua-xue, ZHANG Feng, ZHANG Yong
2021, 19(5): 867-870. doi: 10.16766/j.cnki.issn.1674-4152.001937
1215 20
Abstract:
  Objective   Sepsis is an immune disorder and an infectious disease with high mortality. As important antigen-presenting cells, macrophages play an indispensable role in innate immunity and adaptive immunity. Macrophages may polarise into two distinct phenotypes presenting as M1 and M2 when cells accept different stimuli. M1 macrophages and M2 macrophages enhance inflammation and tissue repair and remodelling, respectively. This study aimed to observe changes in alveolar macrophage (AMs) phenotypes in the bronchoalveolar lavage fluid (BALF) of patients with sepsis and analyse the correlation between the two distinct AM phenotypes and prognosis of patients with sepsis.   Methods   Twenty-nine patients who experienced consecutive sepsis and admitted to the intensive care unit of the Department of Pulmonary and Critical Care Medicine from July 2020 to December 2020 were included in this study. These patients underwent bronchoalveolar lavage on the first and the seventh days after the admission. The proportion of AMs in BALF was assessed via flow cytometry by using three colour fluorescent stains. CD68 was used as the marker of, total AM whereas CD86 and CD206 were used as M1 and M2 AM markers, respectively. The basic clinical data of the patients were collected and analysed. They were divided into a survival group and a non-survivor group according to mortality data within 28 days.   Results   The morphological structures of the M1 and M2 AMs were different. Flow cytometry revealed that the M1 AMs have a larger cell size and granularity than the M1 AMs. In the survivor group, the proportion of M1 and M2 in BALF were (21.39±9.91)% and (4.66±2.53)%, respectively, on the first day. On the seventh day, the proportion of M1 and M2 in BALF were (3.62±3.31)% and (44.41±7.47)%, respectively. The percentage of M2 and M1 AMs from BALF increased and decreased, respectively, on the seventh day compared with that on the first day (all P < 0.05). In the nonsurvivor group, the proportion of M1 and M2 in BALF were (18.37±2.75)% and (20.40±2.27)%, respectively, on the first day and (7.00±1.98)% and (19.69±4.24)%, respectively, on the seventh day., the percentage of M1 decreased, whereas that of M2 continued to increase compared with that of M1 (all P < 0.05). No statistically significant differences were observed between the first and the seventh days (P>0.05).   Conclusion   Early dynamic monitoring of changes in AM phenotypes can help predict the prognosis of patients with sepsis within 28 days.
Multivariate analysis and correlation study of anaemia in patients with maintenance haemodialysis
LYU Qing, CHEN Wei-dong, LIU Lei
2021, 19(5): 871-874. doi: 10.16766/j.cnki.issn.1674-4152.001938
1014 15
Abstract:
  Objective   To investigate the multiple aetiologies and correlation of anaemia in patients with maintenance haemodialysis (MHD).   Methods   A cross-sectional investigation was used to analyse the demographic data, dialysis treatment information and laboratory indicators of patients with MHD in three blood purification Centers of Bengbu from October 2019 to June 2020. According to the target haemoglobin level recommended by Kidney Disease: Improving Global Outcomes (KDIGO) guidelines in 2012, 304 patients with MHD were divided into anaemia group and non-anaemia group. Single factor was first used to carry out the analysis for two groups. The single factor with statistical significance was then included in the logistic multiple-factor analysis so as to analyse the risk factors of anaemia in patients with MHD.   Results   The average age of the 304 patients with MHD was (55.30±13.13) years, the average dialysis age was 48 (32, 84) months, and the prevalence of anaemia was 58.2%. The prevalence of hypertension, ferritin and parathyroid hormone (PTH) in anemia group were higher than those in non-anemia group (all P < 0.05), and albumin, Ca2+, and the number of people taking α-calcidol were significantly lower than those in non-anemia group (all P < 0.05). Logistic multiple-factor analysis of single factor with statistical significance showed that hypertension and ferritin were the independent risk factors of anaemia in patients with MHD, whereas α-calciferol and Alb taken were the protective factors.   Conclusion   The condition of hypertension and high level of ferritin are the independent risk factors of anaemia in patients with MHD, whereas the nutritional status of patients and application of α-calciferol are the protective factors. Therefore, the above influencing factors should be given attention. They should be actively dealt with to reduce the incidence of renal anaemia in patients with MHD and further improve their quality of life.
A randomised controlled trial of warfarin anticoagulation after mechanical heart valve replacement via WeChat platform management
PAN Qiao-ling, ZHU Xiu-ying, RU Yuan-hui, ZHANG Pei, SHI Huo-shun, LI Ni, XU Guo-dong
2021, 19(5): 875-879. doi: 10.16766/j.cnki.issn.1674-4152.001939
577 6
Abstract:
  Objective   A prospective, randomised, single-centre study was conducted to compare the efficacy and complications of warfarin anticoagulation in patients undergoing mechanical heart valve replacement postoperative management of patients was performed via WeChat platform or conventional methods.   Methods   According to the inclusion criteria, the patients in our hospital after undergoing mechanical valve replacement were randomly assigned to an experimental group (WeChat platform management group) and a control group (traditional management group). The control group received routine postoperative nursing guidance, whereas the experimental group received continuous nursing intervention via WeChat platform. Through regular outpatient follow-up, warfarin dosage was adjusted, and the general situation and complications of the two groups were recorded. The primary end point was international normalised ratio (INR) compliance rate, whereas the secondary end point included death, thromboembolism, bleeding and the number of, and anticoagulation-related emergency department visits.   Results   A total of 297 patients were enrolled in this study. No significant difference was observed between the two groups in terms of baseline characteristics, including gender, age and type of surgery. Compared with the control group, the experimental group had significantly improved INR compliance rate (75.48% vs. 59.38%, respectively; P < 0.001). No significant difference was found between the two groups in terms of major bleeding events (1.31% vs. 2.78%, respectively; P=0.368), thromboembolism events (1.31% vs. 0.69%, respectively; P=0.598) and deaths from any cause (0.65% vs. 1.39%, respectively; P=0.527). However, the incidence of mild bleeding events (17.6% vs. 30.6%, respectively; P=0.023) and the number of anticoagulation-related emergency department visits [0.86(0.00, 1.00) vs. 1.36(1.00, 2.00), respectively; P=0.031] in the experimental group were lower than those in the control group.   Conclusion   Compared with routine postoperative management, the application of WeChat platform to manage anticoagulation treatment of the patients after mechanical heart valve replacement can improve the INR compliance rate, reduced the incidence of mild bleeding events and the number of, anticoagulation-related emergency department visits.
Application effect of grading nursing of accidental aspiration risk in among elderly patients in eurological department
ZHAO Qiu-mei, SIMA Zhen-fen
2021, 19(5): 880-882. doi: 10.16766/j.cnki.issn.1674-4152.001940
710 4
Abstract:
  Objective   To study the application effect of grading nursing of aspiration risk in neurological elderly patients and provide reference for clinical.   Methods   A total of 182 elderly patients in the Department of Neurology of Shaoxing People's Hospital from August 2018 to August 2020 were selected as the research objects. The patients were randomly divided into control group and observation group with 91 cases in each group. Patients in the control group were offered routine nursing intervention and assessment including discharge admission education, dietary instructions and discharging guidance among others. Relative to patients in the observation group, risk of accidental aspiration was graded according to their GUSS score first, then targeted interventions were implemented. The incidence of accidental aspiration, incidence of aspiration pneumonia, GUSS score and patient satisfaction were compared between the two groups.   Results   The incidence of accidental aspiration and incidence of aspiration pneumonia in the observation group were 7.69% and 2.20%, respectively, which were significantly lower than those of the control group, with 35.16% and 15.38% (χ2= 20.396, 9.867, P < 0.05). The GUSS score and patient satisfaction score in the observation group were (16.87±3.12) points and (95.23±2.07) points, respectively which were significantly higher than those of the control group, with (16.87±3.12) points and (90.41±2.13) points (t=3.679, 15.481, P < 0.05).   Conclusion   Grading nursing of aspiration risk can effectively reduce the incidence of aspiration in elderly patients in eurological department, improve the swallowing function of inpatients and promote the quality of nursing, and thus, it is worthy of clinical promotion.
Effect of graded nursing model on the incidence of incontinence-associated dermatitis in patients with fecal incontinence in orthopedics department
XU Jie, SHEN Jian-ping, SUN Xiu-fang, SHENG Jian-ping, XIA Bing-jiang
2021, 19(5): 883-886. doi: 10.16766/j.cnki.issn.1674-4152.001941
792 5
Abstract:
  Objective   The aim of this paper was to prevent and reduce the occurrence of incontinence-associated dermatitis (IADS) in orthopedic patients with fecal incontinence, the graded nursing mode was applied to the nursing of clinical orthopedic patients with fecal incontinence, and observe effects of the graded nursing mode on the occurrence of incontinent dermatitis, the quality of life of the patients and their self-care ability.   Methods   A total of 150 patients with fecal incontinence who were hospitalized in the Department of Orthopedics, Keqiao District Traditional Chinese Medicine Hospital, Shaoxing City, Zhejiang Province from January 2019 to January 2020 were selected and divided into a control group and an intervention group according to a random number table, with 75 cases in each group. Patients in the control group were given routine nursing care, and the intervention group applied a graded nursing model on the basis of the control group. The incidence of IADS, the severity of IADS, the quality of life (by health survey short form SF-36) and self-care ability (self-care ability scale, SCAS) were compared between the two groups.   Results   After intervention, the incidence of IADS was 4.00% in the intervention group and 21.33% in the control group, which the difference was statistically significantly between the two groups (P < 0.05). After intervention, the severity score of IADS in the intervention group was (8.4±1.5) points, which was significantly lower than that in the control group (15.1±1.7) points, P < 0.05; Before intervention, there was no statistical significance in SF-36 score and self-care ability score between the two groups (P>0.05). After intervention, SF-36 score and ESCA score in the intervention group were (86.75±6.12) points and (126.75±11.22) points respectively, which were significantly higher than (76.37±6.75) points and (76.37±10.71) points in the control group (all P < 0.05).   Conclusion   The hierarchical nursing model can effectively reduce the incidence of IADS in orthopedic patients with fecal incontinence, relieve its severity, and improve the quality of life and self-care ability of patients.
General Practice Research
Risk factors and recurrence characteristics of neuromyelitis optica spectrum disease
LIU Chu-chu, HUANG Jie, LIU Yu-hui, ZHOU Hua-dong, XU Li
2021, 19(5): 715-718,829. doi: 10.16766/j.cnki.issn.1674-4152.001899
1064 14
Abstract:
  Objective  To investigate the risk factors and recurrence characteristics of neuromyelitis optica spectrum disease (NMOSD) through a case study.   Methods  Total 204 NMOSD patients diagnosed in the Department of Neurology of the First Affiliated Hospital of Bengbu Medical College and the Department of Neurology of Chongqing Army Characteristic Medical Center were included from January 2016 to August 2017. There were 54 males and 150 females, with an average age of 37.5 years. There were 818 cases in the control group, which matched the age of the NMOSD group. Patients' general clinical data and serum AQP4-IgG levels were collected, and related factors were analysed.   Results  Multivariate analysis found that women with a history of exertion and patients with previous autoimmune diseases increased the risk more than 2 times (OR=2.473, 95% CI: 1.714-3.486; OR=2.319, 95% CI: 1.573-3.349; OR=2.210, 95% CI: 1.001-4.740). For people with low income level, history of upper respiratory tract infection, history of gynaecological surgery/obstetric surgery, alcohol consumption, the risk of patients with history and trauma surgery increased by more than 1.5 times (OR=1.502, 95% CI: 1.020-2.121; OR=1.651, 95% CI: 1.121-2.382; OR=1.712, 95% CI: 1.060-3.375; OR=1.830, 95% CI: 1.011-3.184; OR=1.928, 95% CI: 1.032-3.516).   Conclusion  Economic income level, history of fatigue, history of upper respiratory tract infection, history of gynaecological surgery/obstetric surgery, history of trauma surgery, history of drinking and other autoimmune diseases may be risk factors for NMOSD to a certain extent. Recurrence of NMOSD patients may lead to more severe clinical symptoms, imaging findings and worse prognosis.
Application of non-invasive impedance cardiography with transthoracic impedance cardiography in the treatment of refractory hypertension
WU Yong, YU Ting, PENG Min, SHI Liu-fen, YU Gui-fang, YUAN Xiao-chen, GONG Kai-zheng, XU Min-zhi
2021, 19(5): 719-722. doi: 10.16766/j.cnki.issn.1674-4152.001900
967 19
Abstract:
  Objective  To explore the effectiveness of non-invasive hemodynamic monitoring with transthoracic impedance cardiography (ICG) to guide the antihypertensive treatment of patients with refractory hypertension (RH).   Methods  From November 2018 to October 2019, 120 patients diagnosed with RH (outpatients and inpatients) of the Affiliated Hospital of Yangzhou University were selected. According to the treatments they were assigned into different groups, the control group (n=60) was given routine treatment, and the study group (n=60) was given the treatment guided by the non-invasive hemodynamic monitoring with ICG. The treatment was followed up for a year. The blood pressure control level and hemodynamic indices including heart rate (HR), acceleration of cardiac function index (ACI), peripheral vascular resistance (systemic vascular resistance, SVR) and pleural fluid composition (thoracic fluid content, TFC) of the two groups were compared. The levels of cardiac function indexes and the incidence of cardiovascular and cerebrovascular events were also compared.   Results  After the treatment, the 24 h average systolic and diastolic blood pressure of the two groups were improved, and the systolic blood pressure [(129.50±7.41) mm Hg vs.(153.69±6.22) mm Hg] and diastolic blood pressure [(80.21±5.20) mm Hg of the study group was lower than that of the control group (98.62±6.11) mm Hg, P < 0.05]. The hemodynamic levels of the two groups were improved, the levels of HR, TFC and SVR in the study group were lower than those in the control group and the ACI level was higher than that in the control group (all P < 0.05). The cardiac function of the two groups was improved, the left ventricular ejection fraction (LVEF) level of the study group was higher than that of the control group and the level of left ventricular end-systolic dimension (LVESD) and left ventricular end-diastolic dimension (LVEDD) was lower than that of the control group (all P < 0.05). The incidence of cardiovascular and cerebrovascular events in the study group was lower than that in the control group(6.7% vs. 21.7%, P < 0.05).   Conclusion  The application of non-invasive hemodynamic monitoring with Transthoracic ICG to the adjuvant treatment of RH patients can effectively guide RH antihypertensive therapy, reduce blood pressure and hemodynamic levels and is more conducive to the improvement of cardiac function. It can also reduce the occurrence of cardiovascular and cerebrovascular diseases.
Analysis of clinical characteristics of malignant tumors complicated with venous thromboembolism and evaluation of predictive models
YAO Yu-ting, XU Qi-xia, PANG Ying-ying, ZHOU Yue, WANG Yue-yue
2021, 19(5): 723-726, 808. doi: 10.16766/j.cnki.issn.1674-4152.001901
997 20
Abstract:
  Objective  The aim of this study was to investigate the clinical characteristics of malignant tumors complicated with venous thromboembolism (VTE) and verify the predictive value of COMPASS-CAT and Khorana score.   Methods  A total of 128 patients who were diagnosed with malignant tumors and VTE in the First Affiliated Hospital of Bengbu Medical College from January 2016 to January 2020 were collected as the VTE group, and a total of 256 patients with malignant tumor without VTE matched by age, sex and tumor type were selected as the control group. Logistic regression model was used to analyze the risk factors of VTE. The predictive value of COMPASS-CAT and Khorana risk score (KRS) for venous thromboembolism in cancer patients was compared, to construct a more effective predictive model to guide thrombosis prevention in patients with malignant tumors.   Results  (1) D-dimer>0.55 mg/L, central venous catheter, and cardiovascular risk factors were high risk factors for VTE in patients with malignant tumors (P values were less than 0.05). (2) The proportion of COMPASS-CAT score≥7 was statistically significant between the VTE group and the control group (P < 0.001). The probability was 4.051 times higher in high risk patients than in low risk patients by COMPASS-CAT score. There was no statistically significant difference in the proportion of Khorana score≥3 points in the VTE group and the control group (P>0.05). The area under ROC curve (AUC) of COMPASS-CAT score was higher than that of Khorana score (AUC: 0.670 vs. 0.583, P < 0.05). (3) On the basis of COMPASS-CAT score, including D-dimer>3.83 mg/L to a joint prediction model was constructed, its AUC was 0.879. Compared with the COMPASS-CAT score, the AUC of the joint prediction model increased by 0.209, and the difference was statistically significant (P < 0.001).   Conclusion  The COMPASS-CAT score can better predict the risk of VTE in patients with malignant tumors, while the KRS has limited predictive value. Combining COMPASS-CAT score and D-dimer>3.83 mg/L to construct a new prediction model can improve the prediction performance of malignant tumor-related VTE.
Cerebral protective effects of anterograde cerebral perfusion via right axillary artery and retrograde cerebral perfusion via superior vena cava in patients with Stanford type A aortic dissection
TIAN Zhen-yu, LI Cong, LI Hao-wei
2021, 19(5): 727-730. doi: 10.16766/j.cnki.issn.1674-4152.001902
978 9
Abstract:
  Objective  To explore the protective effects of Antegrade cerebral perfusion(ACP) via right axillary artery and Retrograde cerebral perfusion (RCP) via superior vena cava on Stanford type A aortic dissection.   Methods  The data of 76 patients with Stanford type A acute aortic dissection from January 2018 to January 2019 in Henan Chest Hospital were analysed retrospectively. According to the way of cerebral perfusion, they were divided into two groups: group A (46 cases) received ACP via right axillary artery and group B (30 cases) received RCP via superior vena cava. The sex, age, disease history, smoking history, operation mode, perioperative clinical data, the occurrence of transient transient nervous system dysfunction (TND), permanent nervous system dysfunction (PND) and death in hospital were compared between the two groups.   Results  The circulatory arrest time and cerebral perfusion time in group A were (16.18±3.28) min and (20.77±2.82) min, respectively, which were significantly lower than those in group B which were (24.82±3.53) min and (24.86±3.19) min. The differences were statistically significant (t=10.892, 5.867, all P < 0.05). The incidence of TND in group A was 17.39%, which was significantly lower than that in group B (43.33%, P < 0.05), whereas the incidence of PND and hospital mortality in group A were 4.35% and 3.33%, respectively, and there was no significant difference compared with those in group B (3.33% and 3.33%, all P>0.05).   Conclusion  The time of cardiopulmonary bypass and cerebral perfusion of ACP via right axillary artery was shorter than that of RCP via superior vena cava. The former could significantly reduce the incidence of TND with better brain protection.
Study on the inhibitory effects of miR-140-5p targeting YES1 proto-oncogene
WANG Chao, MEI Zhi-jie, CAO Zhen-xue, LIANG Yu-jie, CHEN Meng-jie, ZHANG Yong-qi, GUO Yuan-yuan, YANG Xiao-huai
2021, 19(5): 731-735. doi: 10.16766/j.cnki.issn.1674-4152.001903
863 3
Abstract:
  Objective  To study the targeted regulatory relationship between miR-140-5p and YES1 and elucidate the role of miR-140-5p in regulating the occurrence and development of prostate cancer through YES1. The potential mechanism of action of miR-140-5p in prostate cancer cells was also determined.   Methods  The expression of miR-140-5p in prostate cancer tissues and cell lines was detected via real-time quantitative PCR. The effects of miR-140-5p up-regulation on the proliferation and migration of prostate cancer cells were investigated via cell Counting Kit-8 (CCK-8) assay, cell cloning experiment, and migration and scratch assay. The target gene of miR-140-5p was identified via luciferase reporter assays and Western blotting.   Results  The expression level of miR-140-5p in cancer tissues was significantly down-regulated compared with that in adjacent tissues (P < 0.05). The expression level of miR-140-5p was significantly lower in prostate cancer cell lines than in RWPE-1 cells (P < 0.05). After transfection via CCK-8 assay, the proliferation rate of cells transfected with miR-140-5p significantly decreased, and the number of clones in the hyroid cell clone experiment group was significantly lower than that in the control group (P < 0.05). The healing ability of cell lines transfected with miR-140-5p in the scratch experiments significantly decreased (P < 0.05). Transwell assay revealed that the migration ability of cell lines transfected with miR-140-5p (P < 0.05) decreased, suggesting that overexpression of miR-140-5p can inhibit cell proliferation and migration. Bioinformatics analysis and luciferase report analysis identified YES1 as the potential target gene of miR-140-5p. YES1 overexpression in prostate cancer cells was negatively correlated with miR-140-5p expression, and the difference was statistically significant (P < 0.05).   Conclusion  These experiments demonstrated that miR-140-5p can inhibit the development of prostate cancer by directly targeting YES1, suggesting that miR-140-5p may be a new target for the diagnosis and treatment of prostate cancer.
Effect of luteolin on proliferation and migration of human lung cancer cell line H460
CHU Na, ZHANG Xuan, RUAN Da-peng, CHEN Si-yuan, WANG Yun
2021, 19(5): 736-739. doi: 10.16766/j.cnki.issn.1674-4152.001904
864 9
Abstract:
  Objective  To explore the effect of luteolin (LUT) on the proliferation and migration of human lung large cell carcinoma H460 cells and analyse its mechanism of action.   Methods  After the H460 cells were treated with different concentrations of LUT for 24 h or 48 h, the cell viability was detected by MTT assay. The clone formation ability and migration ability were detected by plate clone formation test and scratch test, respectively. The expression levels of E-cadherin and N-cadherin protein were detected by Western blotting.   Results  LUT can inhibit the activity of H460 cells in a concentration-dependent and time-dependent manner (P < 0.05). After H460 cells were treated with 0, 10 and 20 μmol/L LUT for 48 h, the clone formation rates of the control, LUT10 and LUT20 groups respectively were 1.00±0.05, 0.78±0.05 and 0.49±0.04, and the scratch healing degree respectively were (30.37 ±2.92)%, (26.23±2.42)% and (22.16 ±1.74)%. The expression levels of N-cadherin and E-cadherin proteins were 0.62±0.01, 0.61±0.01 and 0.59±0.01; 0.85±0.05, 0.88 ±0.05 and 0.94 ±0.05, respectively. Compared with those of the control group, the plate clone formation rate and scratch healing rate of LUT10 and LUT20 groups decreased (all P < 0.05), the expression level of E-cadherin protein was up-regulated (all P < 0.05) and the expression level of N-cadherin protein was down-regulated (all P < 0.05).   Conclusion  LUT can effectively inhibit the proliferation and migration of H460 cells, which may be related to the regulation of E-cadherin and N-cadherin-related marker proteins of epithelial-mesenchymal transition.
Effect of ultrasound-guided transverse abdominal plane block on postoperative analgesia and early attention network in elderly patients with abdominal radical hysterectomy
GE Yan-yan, SHI Chao, TAO Jing, FANG Shi-wei, LIU Lei, LIANG Qi-sheng
2021, 19(5): 740-744. doi: 10.16766/j.cnki.issn.1674-4152.001905
683 6
Abstract:
  Objective  This study aimed to investigate the effects of ultrasound-guided transverse abdominal plane block (TAP) on postoperative analgesia and early attention network in elderly patients undergoing radical abdominal cervical cancer.   Methods  A total of 60 elderly patients with cervical cancer undergoing radical laparotomy in the First Affiliated Hospital of Bengbu Medical College from October 2018 to December 2019 were selected and divided into two groups using the anaesthesia method. After induction of general anaesthesia, the observation group (group T) was treated with bilateral TAP block and general anaesthesia under ultrasonic guidance before skin resection, whereas the control group (group C) was treated with simple general anaesthesia. Both groups were measured by the Attention Network Test and observed before anaesthesia induction. The skin was cut instantly, and 5 min before extubation and 30 min after extubation, MAP, HR and SpO2 indices were calculated. Intraoperative opioid dosage; postoperative 24, 48 and 72 h visual analogue scale method score; preoperative and postoperative 1 day and 5 day attention network efficiency; postoperative nausea, vomiting, dizziness sleepiness and incidence of adverse reactions; and patient's satisfaction were compared.   Results  MAP and HR of group C were higher than those of group T at each time point (all P < 0.05). The amount of opioids in group T was less than that in group C (P < 0.05); VAS score of group T was lower than that of group C at each time point (P < 0.05). Alertness, orientation, executive control, mean reaction time and accuracy were all impaired 1 day after operation (all P < 0.001). On the fifth day after operation, attention network efficiency of T group was restored (P < 0.05), and orientation (P=0.323) and mean reaction time (P=0.256) of the C group were restored, but alertness (P < 0.001), executive control (P < 0.001) and accuracy (P=0.014) were not restored. The T group had fewer adverse reactions and higher patient satisfaction that the C group.   Conclusion  Ultrasound-guided transverse abdominal plane block can alleviate postoperative pain and early attention network damage in elderly patients undergoing radical abdominal cervical cancer.
Study on the molecular mechanism of miR-335-5p on proliferation and apoptosis of osteoarthritis chondrocytes
WU Jie, FAN Wen-qiang, XU Zhen-dan, LIANG Shu, QIN Yi-lu, WANG Pei-shan
2021, 19(5): 745-748,874. doi: 10.16766/j.cnki.issn.1674-4152.001906
735 5
Abstract:
  Objective  To explore the effect of miR-335-5p on the proliferation and apoptosis of osteoarthritis (OA) chondrocytes.  Methods  OA chondrocytes and normal chondrocytes were isolated and cultured in vitro. The expression of miR-335-5p in the cells was detected by qRT-PCR, and the expression of Tnfrsf1a protein was detected by western blotting. OA chondrocytes were divided into anti-miR-NC group, anti-miR-335-5p group, anti-miR-335-5p+pcDNA group, and anti-miR-335-5p+pcDNA-Tnfrsf1a group. MTT, flow cytometry and western blotting were used to detect proliferation, apoptosis and the protein expression of p53 and Survivin, respectively. Dual luciferase reporter assay verified the targeted regulation relationship between miR-335-5p and Tnfrsf1a. The comparison between the two groups was performed by independent sample t test, the comparison between multiple groups was performed by one-way analysis of variance, and the further comparison between the two groups was performed by LSD-t test.  Results  Compared with normal chondrocyte, the expression of miR-335-5p in OA chondrocytes reduced (0.31±0.08 vs. 1.00±0.00, t=25.875, P < 0.05), while the expression of Tnfrsf1a miRNA (6.54±0.30 vs. 1.00±0.00, t=55.400, P < 0.05) and protein (0.95±0.18 vs. 0.18±0.03, t=12.659, P < 0.05) increased. Compared with the anti-miR-NC group, the OD value of OA chondrocytes in the anti-miR-335-5p group decreased (0.27±0.01 vs. 0.34±0.01, t=14.849, P < 0.05), while the apoptosis rate increased [(19.18±0.88) % vs. (6.89±0.33) %, t=39.230, P < 0.05], and the expression of p53 protein increased (P < 0.05), but the expression of Survivin protein decreased (P < 0.05). miR-335-5p targeted and negatively regulated the expression of Tnfrsf1a. Compared with the miR-335-5p + si-NC group, the OD value of OA chondrocytes in the miR-335-5p + si-Tnfrsf1a group increased, while the apoptosis rate was decreased, and the expression of p53 protein decreased (P < 0.05), but the expression of Survivin protein increased (P < 0.05).  Conclusion  Knockdown of miR-335-5p could inhibit the proliferation and promote apoptosis of OA chondrocyte cells by negatively regulating Tnfrsf1a, and it may become a new target for OA treatment.
Clinical application of CTA combined with CDU-assisted anterolateral thigh flap in repairing and reconstructing defects after tongue cancer operation
GENG Lin-ya, LIAO Sheng-kai, CHEN Yong-feng, ZHAN Zhao-jun, DU Xiao-ying, HONG Xiao, YU Song-tao, LI Xiao-liang
2021, 19(5): 749-752. doi: 10.16766/j.cnki.issn.1674-4152.001907
705 3
Abstract:
  Objective  The postoperative tissue defect of tongue cancer seriously affects the quality of life of patients, which requires improvement of their survival rate and quality of life. CT angiography (CTA), colour Doppler ultrasound (CDU) and their combination were used to assist in designing anterolateral thigh perforator flap for tongue reconstruction so as to seek the best reconstruction of tongue defect with the least damage.  Methods  From July 2017 to September 2020, 40 patients with tongue cancer undergoing surgery for tongue defect were selected from the Department of Stomatology of the First Affiliated Hospital of Bengbu Medical College. The patients were randomly divided into three groups by random number table. Twenty patients in group A were evaluated by CTA combined with CDU before operation, 10 patients in group B were evaluated by CTA before operation and 10 patients in group C were evaluated by CDU before operation. Skin flap repair was performed at the same time during the operation. Fisher accurate probability method was used to analyse the coincidence rate of perforating fulcrum and perforating branch type in the three groups. Variance analysis was used to analyse the operation time and postoperative hospital stay, with P < 0.05 as the statistical significance.  Results  All the flaps of 37 patients survived. One case in group A was partially necrotic, but the muscle flap survived. One patient in group B and group C still died of venous crisis after rescue. A significant difference was observed between groups A and C in the coincidence rate of perforating branch types (P=0.001). The time of skin flap preparation in group A was significantly better than those in groups B and C (P=0.004), but no significant difference was noted among the three groups in the coincidence rate of perforating branch points (P=0.244) and postoperative hospitalization days (P=0.845). Regarding primary healing of donor and recipient incision after operation, satisfactory results were achieved in tongue shape and function recovery, and no obvious complications were found in donor and recipient areas.  Conclusion  CTA combined with CDU has a good guiding significance in repairing postoperative defects of tongue cancer with anterolateral thigh flap.
Comparison of clinical efficacy between percutaneous nephrolithotripsy and transurethral flexible ureteroscopic lithotripsy in the treatment of renal calculi
SONG Ming-ze, TANG Yin
2021, 19(5): 753-755,766. doi: 10.16766/j.cnki.issn.1674-4152.001908
1636 9
Abstract:
  Objective  To compare the percutaneous nephroscope rubble stone extraction (percutaneous nephrostolithotomy, PCNL) and transurethral soft ureter mirror rubble stone extraction (flexible ureteroscopic lithotripsy, FURL) for clinical effect.  Methods  A total of 150 cases of patients with renal stones were selected from the Uropoiesis Surgical Department in the West China Hospital of Sichuan University from February 2019 to February 2020. According to the operation method, they were divided into PCNL (64 cases) and FURL (86 cases) groups. The operation time, intraoperative blood loss, hospital stay, stone clearance and statistics of the two groups of patients were observed and compared with postoperative complications.  Results  For calculi with a diameter of < 2 cm, there was no statistically significant difference in operation time and postoperative stone clearance rate between the two groups (all P>0.05). However, intraoperative blood loss and hospital stay time in the PCNL group were significantly higher than those in the FURL group (all P < 0.01). For calculi with a diameter of ≥2 cm, the operative time of PCNL group was significantly shorter than that of FURL group (P < 0.01). The amount of intraoperative blood loss and length of hospital stay were significantly higher than those of FURL group (all P < 0.01). The postoperative stone clearance rate of PCNL group was significantly higher than that of FURL group (P < 0.05). The incidence of complications in FURL group was significantly lower than that in PCNL group (χ2=4.634, P < 0.05).  Conclusion  For patients with renal calculi with a diameter of≥2 cm, the PCNL surgical scheme has a high stone clearance rate and short operation time, which can be used as the first choice of treatment. However, due to the large intraoperative trauma, large amount of bleeding, long hospital stays and high incidence of postoperative complications, clinicians should pay attention to it. For patients with renal calculi with a diameter of < 2 cm, FURL surgical protocol can be selected, which has less intraoperative trauma, higher stone clearance rate, shorter hospital stays, fewer postoperative complications and higher safety. In the future, appropriate surgical methods should be selected according to the opportunity.
The relationship between the expression of HYAL1 and the progression and prognosis of head and neck squamous cell carcinoma
SU Kui-wei, LI Xiao, CHENG Gang
2021, 19(5): 756-759. doi: 10.16766/j.cnki.issn.1674-4152.001909
740 5
Abstract:
  Objective  This article aims to study the expression level of hyaluronidase 1 (HYAL1) in head and neck squamous cell carcinoma (HNSCC) and its relationship with the survival of HNSCC patients.  Methods  The data of HNSCC patients who underwent radical resection in Zhejiang Provincial People's Hospital from 2008 to 2015 were collected to construct tissue chips, and the expression of HYAL1 in tumor specimens and nearby tissues from 258 patients was detected by immunohistochemistry.  Results  The expression of HYAL1 in HNSCC tissues was significantly lower than that of normal adjacent tissues (P < 0.001). The low expression of HYAL1 was significantly correlated with tumor size (P=0.011), lymph node metastasis (P=0.025) and TNMs staging system (P=0.038). In addition, compared with high HYAL1 expression, low HYAL1 expression was significantly associated with short survival time (P=0.007). The median overall survival of patients with low HYAL1 expression is 36 months, while the median overall survival of patients with high HYAL1 expression has not yet reached (more than 74 months). It is worth noting that in our limited cases, this study did not find any difference in age, gender, lesion site, HPV infection, smoking, drinking, and histological staging between the patients with high low expression of HYAL1.  Conclusion  The low expression of HYAL1 is related to the poor prognosis of these HNSCC patients. HYAL1 may be a clinically valuable prognostic indicator and a potential target for HNSCC treatment.
Clinical characteristics, treatment and follow-up analysis of newly diagnosed systemic lupus erythematosus associated thrombocytopenia
ZHANG Li-li, ZHANG Dong-mei, XIE Chang-hao
2021, 19(5): 760-762,793. doi: 10.16766/j.cnki.issn.1674-4152.001910
1126 11
Abstract:
  Objective  To analyse the clinical features, treatment and platelet (PLT) count recovery of newly diagnosed systemic lupus erythematosus (SLE) associated thrombocytopenia (TP).  Methods  A total of 309 newly diagnosed SLE patients hospitalised in the Department of Rheumatology and Immunology of the First Affiliated Hospital of Bengbu Medical College from April 2012 to December 2018 were reviewed. According to PLT count, the patients were divided into TP group and non-TP group. The clinical manifestations and laboratory indexes between the two groups were analysed by t test, χ2 test and Mann-Whiney U test. The statistically significant indexes were selected for multivariate logistic analysis. The treatment and PLT count recovery of TP group were further analysed.  Results  The incidence of TP was 26.9% among 309 patients with newly diagnosed SLE. The incidences of lupus nephritis, leukopenia, anaemia and positive anti-SSB antibody in the TP group were higher than those in the non-TP group. The incidence of arthritis and the level of complement C3 in the TP group were lower than those in the non-TP group. The SLEDAI score in the TP group was higher than that in the non-TP group. Multivariate logistic analysis showed that anaemia was a risk factor for TP and arthritis was a protective factor for TP. The in-hospital remission rate of TP was 77.2% (61/79).  Conclusion  TP is one of the common manifestations of haematological damage in patients with newly diagnosed SLE, which is often accompanied by anaemia and lupus nephritis. Most of the patients respond well to treatment and have a high remission rate in hospital.
Prognostic value of pretreatment neutrophil-to-lymphocyte ratio and platelet-to-lymphocyte ratio in patients with locally advanced hypopharyngeal cancer treated with radiation
WANG Geng-ming, ZHOU Yan, SUN Qian, DING Jian-ming, ZHOU Shi-xiang, CHEN Man, HAN Yue-feng
2021, 19(5): 763-766. doi: 10.16766/j.cnki.issn.1674-4152.001911
823 6
Abstract:
  Objective  To evaluate retrospectively the prognostic value of pretreatment neutrophil-to-lymphocyte ratio (NLR) and platelet-to-lymphocyte ratio (PLR) in patients with locally advanced hypopharyngeal cancer treated with radiotherapy.  Methods  Twenty-seven patients who received radiotherapy alone, sequential chemoradiotherapy or concurrent chemoradiotherapy for locally advanced hypopharyngeal cancer in our hospital from February 2017 to December 2018 were retrospectively analysed. The patients were divided into two groups: high (NLR group/low NLR group and high PLR group/low PLR groups. Appropriate cut-off points were determined via the receiver operating characteristic curve(ROC) method. The survival curve was established via the Kaplan-Meier method. The survival of the two groups was compared via log-rank test. Multivariate Cox regression analysis was conducted by.  Results  Among the 27 patients, 10 patients were still alive. The median follow-up time was 34 months, and the median survival time was 21 months. The best cut-off value of NLR and PLR before radiotherapy was 2.30 and 131.46, respectively. The 2-year overall survival rates of patients in the high NLR and the low NLR groups before radiotherapy were 18.8% and 45.5%, respectively (P=0.006). The 2-year overall survival rates of patients in the high PLR and the low PLR groups before radiotherapy were 18.8% and 45.5%, respectively (P=0.040). Log rank single-factor analysis revealed that tumour clinical stage, treatment and NLR/PLR ratio before radiotherapy were related to the overall survival of patients (all P < 0.05). Multivariate analysis showed that tumour clinical stage and treatment were independent factors affecting the overall survival of patients.  Conclusion  An increase in NLR/PLR ratio before radiotherapy may affect the prognosis of patients with hypopharyngeal cancer. However, the sample size of this study was small. Thus, further research is needed.