2023 Vol. 21, No. 2

Expert Forum
The role and model of general practice of traditional Chinese medicine in the prevention and treatment of cardiovascular diseases
XIAO Hui, TIAN Xin, ZHANG Chun-xiang, DU Hui-ping, CHE Chi, LI Lin
2023, 21(2): 175-179. doi: 10.16766/j.cnki.issn.1674-4152.002839
1133 39
Abstract:
At present, there are still bottlenecks in the prevention and treatment of cardiovascular diseases in China ' s primary medical and health service institutions, and traditional Chinese medicine, as the main force of community primary health services, plays a key role. Under the national conditions of the coexistence of traditional Chinese medicine and western medicine, on the basis of maintaining the characteristics and advantages of "general practice" of traditional Chinese medicine, traditional Chinese medicine uses the unique theoretical system, modes of thinking and its clinical experience, and continuously explores and practices, integrating the model and experience technology of modern medicine to meet the needs of community health service and solve health problems for community residents. This paper comprehensively elucidates the prevention and treatment of cardiovascular diseases by combining traditional Chinese and western medicine under the guidance of the theory of "holistic concept, syndrome differentiation and treatment of non-disease" in traditional Chinese medicine, advocating "human" as the center, and giving full play to the advantages and characteristics of traditional Chinese medicine and general practice. This paper analyzes the function and mode of general practice of traditional Chinese medicine in the prevention and treatment of cardiovascular diseases, and uses the medical measures of "treating the disease before it occurs" in traditional Chinese medicine, such as prevention before disease, prevention of disease and recovery after disease, to diagnose, rehabilitate, prevent and care cardiovascular disease. So as to reduce the harm that cardiovascular disease brings to the human body, in order to alleviate the medical pressure caused by cardiovascular disease. As the inheritors, practitioners of traditional Chinese medicine and health service providers to the community, general practitioners of traditional Chinese medicine provide prevention-oriented, continuous, comprehensive, convenient and effective community health care services for residents. With the strong support of the national primary health care construction and the unremitting efforts of TCM general practitioners, traditional Chinese general practice will become the backbone of the prevention and treatment of cardiovascular diseases in China in the future.
Special Topic/Pediatric Severe Disease
Characteristics and functional outcome of childhood stroke in a pediatric intensive care unit
ZHOU Ji-hua, MING Mei-xiu, CHEN Wei-ming, LU Guo-ping
2023, 21(2): 180-185. doi: 10.16766/j.cnki.issn.1674-4152.002840
756 11
Abstract:
  Objective  To explore the clinical characteristics of children with stroke in a pediatric intensive care unit (PICU) and analyze the risk factors of its functional outcome.  Methods  A total of 163 consecutive childhood stroke patients admitted in PICU of the Affiliated Pediatric Hospital of Fudan University from July 2018 to June 2022 were included. The score of the brain function classification scale at hospital discharge (ranging from 1 to 6 points) ≥ 4 points was regarded as poor functional outcome. Patients characteristics were collected, and multivariate logistic regression analyses were performed to screen risk factors of poor functional outcome at hospital discharge and in-hospital mortality.  Results  Among 163 patients, 88 cases were male patients (54.0%), with an onset age of 4.5 (1.2, 9.3) years. There were 84 cases of ischemic stroke (IS) and 79 cases of hemorrhagic stroke (HS). The overall case-fatality was 16.6% at hospital discharge, and the mortality rates of IS and HS were 8.3% (7/84) and 25.3% (20/79) respectively. There were 55 patients (33.7%) with poor functional outcomes at hospital discharge. Among 136 cases surviving to hospital discharge, 95 cases (69.9%) had residual disability. Lower modified Glasgow Coma Scale (GCS) score on PICU admission was significantly associated with poor functional outcome at hospital discharge (OR=0.658, 95% CI: 0.582-0.743, P < 0.001). HS (OR=3.071, 95% CI: 1.121-8.417, P=0.029) and lower modified GCS score on PICU admission (OR=0.738, 95% CI: 0.648-0.840, P < 0.001) were significantly associated with in-hospital mortality.  Conclusion  Among patients with childhood stroke hospitalized in PICU, IS and HS account for about half of childhood stroke each. One-third cases have poor functional outcome at hospital discharge, however, of those survivors, over two-thirds cases have residual disability. Lower modified GCS on PICU admission is a risk factor of poor functional outcome at hospital discharge and it could be used as a clinical early warning parameter for risk probability prediction. HS and lower modified GCS on PICU admission are risk factors of in-hospital mortality.
Clinical study of dynamic monitoring of serum procalcitonin for anti-infection treatment in children with severe community acquired pneumonia
LIU Yao, WU Jin-huan, FAN Ming-xing, CHEN Jun, ZHAO Shao-dong, MIAO Hong-jun
2023, 21(2): 186-189. doi: 10.16766/j.cnki.issn.1674-4152.002841
738 15
Abstract:
  Objective  To explore the guiding significance and application value of dynamic monitoring of serum procalcitonin for anti-infection therapy in children with severe community acquired pneumonia.  Methods  A total of 150 children with severe community acquired pneumonia treated in Nanjing Children ' s Hospital from January 2019 to June 2022 were enrolled. They were assigned into observation group (65 cases) and control group (85 cases) according to whether dynamic procalcitonin monitoring was performed. The control group was treated with conventional antibacterial drugs, while the observation group was adjusted with the results of PCT dynamic monitoring. The use rate of antibiotics, the course of use, the cumulative consumption of antibiotics, the choice of drugs, the duration of fever, the time of ICU stay, and the outcome of discharge were compared between the two groups.  Results  The cumulative consumption of antibacterial drugs per capita in the control group was 3.50 (1.92, 6.20), while it was significantly lower than that in the observation group [2.13 (1.25, 4.95), P < 0.05]. The duration of antimicrobial treatment in the observation group was about 1 day shorter than that in the control group [7.0 (5.0, 10.0) days vs. 8.0 (5.0, 11.0) days, P < 0.05]. The total cost of antimicrobial drugs in the control group was 1 659.0 (1 036.3, 3 263.2) yuan, which was significantly higher than that in the observation group [762.2 (243.3, 1 423.8) yuan, P < 0.01]. The use rate of special grade antibiotics in the observation group was lower than that in the control group [27.3% (18/66) vs. 51.8% (44/85), P < 0.01]. There was no difference in the duration of fever, the time of ICU stay, the outcome of discharge between the two groups (P>0.05).  Conclusion  Dynamic monitoring of serum PCT is helpful to the rational use of antibiotics in children with severe community-acquired pneumonia, especially for the use, degradation and discontinuation of special grade antibiotics.
Predictive value of the first blood routine parameters within 24 hours of admission for critical illness in children
HANG Hang, ZHAO Wu, SUN Qi, GUO Qi-xiu, MA Xiao-qian, ZHENG Zi-fan
2023, 21(2): 190-194. doi: 10.16766/j.cnki.issn.1674-4152.002842
749 15
Abstract:
  Objective  To explore the correlation between the first blood routine parameters within 24 hours of admission and critical illness in children, and establish ROC curve and a nomogram model to evaluate their predictive value for critical illness in children.  Methods  Patients who underwent blood routine test and completed pediatric critical illness score within 24 hours of admission in the Pediatric Intensive Care Unit of the First Affiliated Hospital of Bengbu Medical College from April 2015 to December 2019 were enrolled. The patients were randomly divided into a training cohort and a validation cohort. The correlation between the variables of the training cohort and critical illness was analyzed by logistic regression analysis. The predictive performances of variables for critical illness in the two cohorts were analyzed by receiver operating characteristic curve. The nomogram prediction model of the training cohort was constructed using R language to assess the occurrence probability of critical illness.  Results  Among 496 patients, there were 283 males and 213 females, with a median age of 2.0 (0.57, 5.88) years. There were 347 patients in the training cohort, and 149 patients in the validation cohort. White cell count (WBC), red cell distribution width-coefficient of variation (RDW-CV), and reticulocyte percentage (RET%) were significantly associated with critical illness in children in the training cohort (all P < 0.05). The receiver operating characteristic curve analysis showed that the areas under the curve of WBC+RDW-CV+RET% combined index for predicting critical illness in the training cohort and the validation cohort were 0.644 and 0.711, respectively. When the optimal cut-off values of 0.357 for the training cohort and 0.290 for the validation cohort were used, sensitivities of the combined index for predicting critical illness were 46.4% and 79.6%, and specificities were 80.0% and 60.0%, respectively. The nomogram prediction model was constructed using WBC, RDW-CV, and RET% of the patients in the training cohort. The concordance index, calibration curve, decision curve, and clinical impact curve analyses indicated that this nomogram could be used to predict critical illness in children.  Conclusion  The first WBC+RDW-CV+RET% combined index within 24 hours of admission has a good predictive performance for critical illness in children. The nomogram constructed by WBC, RDW-CV, and RET% can be used to predict the occurrence probability of critical illness in children.
General Practice Research
Evaluation the screening value of obesity-related indices for non-alcoholic fatty liver disease
LI Jing, LI Xiao-feng, YAN Ni, LIU Ling-jiao
2023, 21(2): 195-198. doi: 10.16766/j.cnki.issn.1674-4152.002843
987 26
Abstract:
  Objective  To explore obesity-related indices suitable for screening non-alcoholic fatty liver disease (NAFLD) in middle-aged and elderly population.  Methods  This cross-sectional study screened 1 281 people aged 40 and above who attended physical examinations at the Health Management Center of Shaanxi Provincial People' s Hospital from January to March 2019. Their medical history was recorded, and they underwent physical examination and laboratory tests. All subjects underwent abdominal ultrasonography. Logistic regression was used to analyse the association between obesity index and the risk of NAFLD. ROC curve was used to evaluate the screening value of obesity indices for the risk of NAFLD.  Results  Among 1 281 subjects, 335 were diagnosed with NAFLD, with a prevalence rate of 26.15%. The blood pressure, triglyceride, total cholesterol, low density lipoprotein cholesterol, transaminase levels, fasting blood glucose, fasting insulin, homeostasis model assessment of insulin resistance, haemoglobin A1c, waist circumference (WC), waist-to-hip ratio (WHR), BMI and lipid accumulation product (LAP) values significantly increased in the NAFLD group, and the high-density lipoprotein cholesterol decreased. Logistic regression analysis showed that WC, WHR, BMI and LAP were significantly correlated with NAFLD after adjusting for confounding factors. Among them, LAP had the strongest correlation with NAFLD. Compared with subjects in the first quartile of LAP, subjects in the fourth quartile had a significantly increased risk of NAFLD (OR=18.055, 95% CI: 7.683-42.427, P < 0.001). The AUC of the four obesity indices were all greater than 0.7, indicating that they had high screening value for NAFLD. LAP had the highest screening value for NAFLD in males and females, with AUC 85.34 (95% CI: 81.78-88.90) in males and AUC 80.22 (95% CI: 76.95-83.48) in females.  Conclusion  LAP is closely associated with the risk of NAFLD and may be an effective tool for screening the disease in middle-aged and elderly people.
Prediction of lymph node metastasis in early cervical cancer by MRI combined with preoperative serological indices and pathological features
ZHAO Meng-qiu, JIN Mao-sheng, LIU Hong-li, LIU Jian
2023, 21(2): 199-202. doi: 10.16766/j.cnki.issn.1674-4152.002844
889 14
Abstract:
  Objective  This study aims to investigate the predictive value of MRI combined with preoperative serological markers: squamous cell carcinoma antigen (SCC-Ag), neutrophil to lymphocyte ratio (NLR) and biopsy pathology in lymph node metastasis of early cervical cancer.  Methods  A total of 307 patients who underwent primary surgery in the First Affiliated Hospital of Bengbu Medical College from January 2019 to February 2022 were selected and divided into lymph node metastasis group (81 cases) and no lymph node metastasis group (226 cases) according to the presence or absence of lymph node metastasis after surgery. The MRI lymph node short diameter, tumour size, interstitial infiltration depth, parauterine and vaginal involvement, preoperative serological indices and pathological features of the 2 groups were compared. The predictive value of lymph node metastasis and the significance of combined diagnosis were analysed.  Results  Logistic regression analysis showed that large short diameter of MRI lymph nodes, large tumor diameter, depth of interstitial infiltration greater than 1/2 muscular layer, parametrial involvement, increased expression of SCC-Ag and positive vascular were independent risk factors for lymph node metastasis of cervical cancer (P < 0.05). The areas under the ROC curve of MRI lymph node diameter, SCC-Ag and NLR for the diagnosis of cervical cancer LNM were 0.806, 0.711 and 0.630, respectively. The optimal cut-off values were 8.50 mm, 2.55 ng/mL and 1.90, respectively. The sensitivity values were 0.654, 0.593 and 0.593, respectively, and the specificity values were 0.881, 0.757 and 0.642, respectively. The area under the ROC curve of MRI lymph node short diameter combined with SCC-Ag diagnosis was 0.846. The area under ROC curve for the combined diagnosis of MRI lymph node short diameter, SCC-Ag and NLR was 0.863. The area under ROC curve of multiple indicators (SCC-Ag, MRI lymph node short diameter, tumour size, interstitial infiltration depth, parauterine involvement, and vascular positive) for combined diagnosis of cervical cancer LNM was 0.926.  Conclusion  Imaging examination (MRI) combined with serological indicators and clinicopathological features can improve the predictive value of cervical cancer lymph node metastasis.
Effect of different proportions of enteral parenteral nutrition on patients with early-stage chronic obstructive pulmonary disease complicated with respiratory failure type Ⅱ
PAN Li-na, XU Lei, MENG Nan-nan, CHENG Yu-ting
2023, 21(2): 203-206. doi: 10.16766/j.cnki.issn.1674-4152.002845
888 12
Abstract:
  Objective  To perform early enteral and parenteral nutrition with different calorie ratios in patients with chronic obstructive pulmonary disease (COPD) and type Ⅱ respiratory failure, and explore the impact of different proportions of early enteral and parenteral nutrition on the clinical treatment effect and prognosis of patients.  Methods  A total of 108 patients with COPD combined with type Ⅱ respiratory failure admitted to the 10th People ' s Hospital of Tongji University from February 2019 to February 2021 were selected and randomly divided into low, medium and high proportion groups, with 36 cases in each group according to random number table method. On the basis of conventional treatment, the three groups were given combined nutritional support with enteral and parenteral calorie ratios of 1∶ 3, 1∶ 1 and 3∶ 1. Respiratory function, nutritional status, gastrointestinal mucosal barrier function and clinical prognosis of the three groups were compared before and after treatment.  Results  After 10 days of treatment, respiratory function, nutritional status and gastrointestinal mucosal barrier function-related indices in the three groups were significantly improved compared with before treatment (all P < 0.05). PaO2, FVC, FEV1/FVC, ALB, PA and TRF in high-proportion groups were significantly higher than those in the medium-and low-proportion groups (all P < 0.05). D-lactic acid, DAO and procalcitonin were significantly lower than those in the medium-and low-proportion groups (all P < 0.05). PaCO2 in the high-proportion group was significantly lower than that in the low-proportion group (P < 0.05), and ALB, PA and TRF in the medium-proportion group were significantly higher than those in the low-proportion group (all P < 0.05). The mechanical ventilation duration, length of ICU stay and total length of hospital stay in the high-proportion group were significantly lower than those in the low-proportion group (all P < 0.05). The 28-day mortality was not significantly different among the three groups (13.8%, 8.33%, 3.56%, χ2=1.543; P=0.462).  Conclusion  Early enteral parenteral combined nutrition can effectively improve the respiratory function, nutritional status and intestinal mucosal barrier dysfunction in patients with COPD and respiratory failure type Ⅱ, as well as the prognosis. The combined nutrition program with enteral parenteral nutrition calorie ratio of 3∶ 1 has the best effect.
Effects of hyperbaric oxygen combined with Xingnaojing injection on the consciousness improvement and serum SOD and NO in comatose patients with traumatic brain injury
WANG Zi-cheng, QI Yin-liang, XU Ji-xiang, LI Wei, ZHOU Xiao-mei
2023, 21(2): 207-209. doi: 10.16766/j.cnki.issn.1674-4152.002846
854 7
Abstract:
  Objective  This study aims to investigate the effects of two therapeutic methods of Xingnaojing injection alone and hyperbaric oxygen combined with Xingnaojing injection on the improvement of consciousness and the levels of SOD and NO in serum of patients with coma caused by traumatic brain injury (TBI).  Methods  The clinical data of 56 patients with severe TBI coma who were treated in the hyperbaric oxygen department and neurosurgery department of Hefei Second People ' s Hospital from May 1, 2021 to January 31, 2022 were collected by retrospective investigation. The patients were divided into the hyperbaric oxygen treatment group (observation group) and non-hyperbaric oxygen treatment group (control group) based on whether they received hyperbaric oxygen treatment during the hospital period, including 32 patients in the observation group and 24 patients in the control group. The Glasgow coma scale (GCS) was used to assess and record the consciousness status in the two groups of patients before and after treatment. The levels of serum superoxide dismutase (SOD) and nitric oxide (NO) were measured before treatment, on the 10th and 20th days of treatment in 2 groups, meantime, the recovery rate of patients was recorded.  Results  The GCS score of the two groups after treatment was higher than that before treatment (all P < 0.05). The GCS score of the observation group after treatment increased to (9.22±2.27) points, which was significantly higher than that of the control group after treatment [(7.71±2.77) points, P < 0.05]. The recovery rate of the observation group [59.4% (19/32)] was significantly higher than that of the control group [29.2% (7/24), P < 0.05]. The SOD level of the two groups increased sequentially before treatment, on the 10th and 20th days of treatment. While, the NO level of the two groups decreased sequentially before treatment, on the 10th and 20th days of treatment.  Conclusion  Hyperbaric oxygen combined with Xingnaojing injection can significantly improve the consciousness of patients with coma caused by traumatic brain injury, and increase the recovery rate. Furthermore, its possible mechanism is related to the increase of serum SOD level and the decrease of serum NO level.
Effect of itravenously laser combined with calcium oxybenzenesulfonate in patients of lower limb varicose great saphenous vein
WU Cheng-wen, KANG Hai-han, LI Fei, ZHANG Xiu-li
2023, 21(2): 210-212. doi: 10.16766/j.cnki.issn.1674-4152.002847
870 10
Abstract:
  Objective  To investigate the therapeutic effect of intravenous laser combined with calcium dobesilate on patients with varicose veins of lower extremities, and to provide reference for clinical treatment.  Methods  A total of 86 patients with varicose veins of the lower extremities who were admitted to the Second Affiliated Hospital of Zhengzhou University from May 2019 to November 2020 were enrolled in the study. The patients were divided into control and observation groups by using random number table method, with 43 cases in each group. Operation time, intraoperative blood loss, incision length and hospital stay were recorded. Heart rate, blood oxygen saturation (SpO2), mean arterial pressure (MAP) and superficial vein blood flow velocity were recorded before and after surgery. The clinical severity of veins (VCSS) and Aberdeen varicose questionnaire (AVVQ) were used to evaluate the patients. The occurrence of postoperative complications was also recorded.  Results  The operation time, intraoperative blood loss, incision length, hospital stay, soreness and pain score, lower extremity swelling score, pigmentation score and lower extremity ulcer score of the observation group were lower than those in the control group (all P < 0.05). The postoperative heart rate [(75.26±10.85) times /min], superficial venous blood flow velocity [(2.23±0.69) cm/s], VCSS score [(7.46±3.64) points], AVVQ score [(6.82±3.41) points] and postoperative complication rate (16.28%, 7/36) of the observation group were lower than those in the control group [(80.92±10.34) times/min, (2.74±0.95) cm/s, (9.72±3.57) points, (10.05±4.62) points, 37.21% (16/36), all P < 0.05], and MAP [(95.48±8.65) mm Hg] was higher than that in the control group [(91.47±8.97) mm Hg, P < 0.05].  Conclusion  Intravenous laser combined with calcium dobesilate can reduce haemodynamic effects, improve the clinical symptoms of patients of lower limb varicose great saphenous vein and reduce postoperative complications.
Effect of adding different amounts of sericin powder on the surface hydrophilicity and mechanical properties of denture base
DILINUER·Maimaitishawuti, MIREZHATI·Tailaiti, ZHOU Qi-qi, HE Hui-yu
2023, 21(2): 213-216. doi: 10.16766/j.cnki.issn.1674-4152.002848
812 14
Abstract:
  Objective  The hydrophilic and mechanical properties of the denture base material will affect the repair effect of the denture base. This study mainly investigates the influence of adding different amounts of silk glue powder on the hydrophilic and mechanical properties of the denture base resin surface.  Methods  Powders and monomers were prepared into 4 combinations: D-300-MMA (Group A), D-250ML-iBMA (Group B), D-100M-EHMA+HEMA (Group C) and D-250E-EHMA+MMA (Group D). Each group was added with different amounts of sericin powder (0%, 1%, 3%, 5%) to obtain 16 kinds of materials. The surface contact angle of the material soaked for 0, 60, 120, 240, 300 and 360 d was measured, and flexural resistance and elastic modulus were calculated.  Results  (1) Statistically significant differences were found in the contact angle, flexural strength and elastic modulus of samples in each group added with different amounts of sericin powder (P < 0.05). (2) The contact angle of the samples without 3% sericin powder in each group was higher than that of the samples added with 3% sericin powder (P < 0.05). The contact angle of the samples in each group added with 3% sericin powder immersed for 180-360 d showed a decreasing trend. The contact angle of group C soaked for 360 d and added with 3% sericin powder was the lowest (58.31°±5.42°). (3) Among the samples without sericin powder, the flexural strength of group A was higher than that of the three other groups (P < 0.05). The flexural strengths of the samples in groups A and D added with 3% sericin powder soaked for 360 days were higher, with values of (122.31±9.73) and (117.47±8.99) MPa, respectively. (4) The elastic modulus of the samples added with 1%, 3% and 5% sericin powder in group B was higher than that of the samples without the powder (P < 0.05). The samples with 5% sericin powder added in group A, 1% sericin powder in group B and 3% sericin powder in group D had higher elastic moduli.  Conclusion  Adding different amounts of sericin powder can increase the hydrophilicity of the denture base surface, however, the flexural strength and elastic modulus will also be affected to a certain extent.
Study of serum cystatin C levels in patients with vascular cognitive impairment
LIU Kai, SU Yan, QU Hong-dang, DU Yuan-yuan, XIONG Bo-chao, XU Li, LUO Song
2023, 21(2): 217-220. doi: 10.16766/j.cnki.issn.1674-4152.002849
824 9
Abstract:
  Objective  To determine the expression of serum cystatin C (CysC) in patients with vascular cognitive impairment (VCI), and to explore the correlation between them and the clinical predictive value of CysC.  Methods  This study included 96 patients with VCI who were enrolled in the First Affiliated Hospital of Bengbu Medical College from January 2021 to February 2022. They were divided into vascular dementia group (VaD, n=35) and vascular cognitive impairment without dementia group (VCIND, n=61) according to the Montreal Cognitive Assessment (MoCA) and ability of daily living (ADL) scores. In addition, 83 healthy elderly with normal cognitive function and brain MRI/CT were selected as normal controls (NC group). Baseline data and serum CysC levels were compared to analyse the relationship of CysC with overall cognition and its specific cognitive domains in patients with VCI. Binary logistic regression and ROC curves were used to evaluate VCI-related risk factors and the predictive value of CysC for the occurrence of VCI.  Results  Significant differences in age, history of hypertension, diabetes, stroke, MoCA scores and CysC were found among the three groups (all P < 0.05). The serum CysC expression increased sequentially in the NC, VCIND and VaD groups, and the differences were statistically significant (all P < 0.05). CysC was negatively correlated with MoCA overall cognition, visual space and executive function, naming, attention and computation, language, delayed memory and orientation in the VCI group (all P < 0.05). The results of multivariate logistic regression model indicated that higher levels of CysC were independent risk factors for VCI (P < 0.05). ROC curve analysis showed that the area under curve (AUC) for predicting the occurrence of VCI by serum CysC level was 0.758, the sensitivity was 70.8%, the specificity was 77.1% and the optimal cut-off value was 0.99 mg/L.  Conclusion  Serum CysC is highly expressed in VCI and is related to the severity of cognitive impairment. It is an independent influencing factor of cognitive impairment and is expected to become a biological indicator for early assessment of VCI.
Relationship between Arg389Gly gene polymorphism and improved ventricular remodelling and clinical prognosis in patients with chronic heart failure
YANG Dan, HUANG Yu-li, XU Shu-nan
2023, 21(2): 221-224. doi: 10.16766/j.cnki.issn.1674-4152.002850
580 14
Abstract:
  Objective  To investigate the relationship between β1 adrenergic receptor Arg389Gly gene polymorphism and cardiac function changes and clinical prognosis in patients with chronic heart failure.  Methods  A total of 120 patients with chronic heart failure who were admitted in the First Affiliated Hospital of Bengbu Medical College from April 2020 to May 2021 were selected. Based on the Arg389Gly genotype, patients were divided into CC (43 cases), GC (56 cases) and GG (21 cases) groups. Clinical data were collected at admission, and patients were followed up for 6 months by outpatient or telephone after discharge and the changes of cardiac function and clinical prognosis of patients in 3 groups before and after drug treatment were analyzed.  Results  The frequency of the Arg389Gly genotype was in the following order: CC (35.8%), GC (46.7%) and GG (17.5%). After 6 months of follow-up, there were statistically significant differences in N-terminal pro-brain natriuretic peptide (NT-proBNP) decrease, left ventricular ejection fraction (LVEF) increase, left ventricular end diastolic dimension (LVDD) and left ventricular end-systolic diameter (LVDS) decrease among the three groups (all P < 0.05), and the improvement of CC group was significantly better than that of GG group (P < 0.017). The decrease of soluble growth stimulation expression gene 2 protein (sST2) in the three groups was statistically significant at 6 months follow-up (P=0.006), and the CC group was better than the GG group (P=0.014). During follow-up, a total of 44 patients had cardiac death, readmission caused by heart failure and malignant arrhythmia events. Log-rank test indicated that the incidence of endpoint events in the three groups was statistically significant (P=0.026). Kaplan-Meier curve indicated that the incidence of endpoint events in the CC group was lower than that in the GG group.  Conclusion  Arg389Gly gene polymorphism is associated with cardiac function changes and clinical prognosis in patients with chronic heart failure.
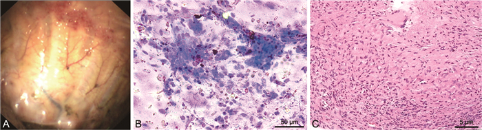
Diagnostic value of rapid on-site evaluation of biopsy specimens during medical thoracoscopy for undiagnosed pleural effusion
XU Wei, LI You, FANG Yu-kun, LI Yu, CHEN Qing-yong, WANG Jian, CHEN Yu
2023, 21(2): 225-230. doi: 10.16766/j.cnki.issn.1674-4152.002851
711 5
Abstract:
  Objective  This study aims to investigate the diagnostic value of manifestations in medical thoracoscopy and multi-site biopsy combined with rapid on-site evaluation (ROSE) in undiagnosed pleural effusion.  Methods  The clinical data of 124 patients with undiagnosed pleural effusion who underwent medical thoracoscopy from June 2016 to December 2017 in the 903th Hospital of People's Liberation Army were analyzed retrospectively. The safety, effectiveness and accuracy of thoracoscopy combined with ROSE in clinical application were systematically analyzed and evaluated by observing pleural changes under thoracoscope, rapid field cytological manifestations of biopsies during operation and comparing with the final pathological diagnosis.  Results  Among the 124 patients who underwent thoracoscopy, 77 cases were benign, 41 cases were malignant, and 6 cases were uncertain. The positive predictive value was 73.81%, the negative predictive value was 86.84%, the sensitivity was 75.60%, the specificity was 85.71%, and the coincidence rate with pathological diagnosis was 82.2%. The positive predictive value, negative predictive value, sensitivity and specificity were 82.98%, 97.18%, 95.12% and 89.61% in the diagnosis of malignant pleural effusion by thoracoscopy combined with ROSE (Kappa value was 0.825, P < 0.001), respectively.  Conclusion  Medical thoracoscopy have the characteristics of high detection rate and high accuracy in pleural effusion, and ROSE technique have a good consistency with the final pathological results. The combination of the two techniques can further improve the diagnostic efficiency of undiagnosed pleural effusion, which is worthy of clinical application.
Analysis of neonatal amino acid metabolism disease screening by tandem mass spectrometry in certain areas of Guangxi
WU Liu-lin, LIN Cai-juan, HUANG Xiao-tao, LUO Jing-si, QIAN Jia-le, GENG Guo-xing
2023, 21(2): 231-233. doi: 10.16766/j.cnki.issn.1674-4152.002852
671 10
Abstract:
  Objective  To analyse the status of neonatal amino acid disorders (AAD) screening with tandem mass spectrometry in certain areas of Guangxi and identify the incidence and types of amino acid disorders.  Methods  A total of 538 944 neonates, outpatient, and hospitalised neonates under the jurisdiction of Guangxi Neonate Disease Screening Centre from June 2011 to December 2020 were screened by tandem mass spectrometry for genetic metabolic diseases. The screening data of amino acid disorders were analysed retrospectively.  Results  Among the 538 944 neonates, 27 cases were diagnosed by genetic testing with six kinds of amino acid disorders, and the overall incidence rate was 1/19 961. These cases included the following: 11 cases of neonatal intrahepatic cholestasis caused by citrin deficiency (NICCD), with the incidence rate of 1/48 995, accounting for 40.74%; 8 cases of phenylketonuria (PKU), with the incidence rate of 1/67 368, accounting for 29.63%; 4 cases of citrullinemia type Ⅰ (CTLN1), with the incidence rate of 1/134 736, accounting for 14.82%; 2 cases of ornithine transcarbamylase deficiency (OTCD), with the incidence rate of 1/269 472, accounting for 7.41%; 1 case of hypermethioninemia (MET), with the incidence rate of 1/538 944, accounting for 3.70%; and 1 case of 6-pyruvoyl terahydropterin synthase deficiency (PTPS), with the incidence rate of 1/538 944, accounting for 3.70%.  Conclusion  NICCD and PKU are the primary amino acid disorders that occur in certain areas of Guangxi. Early screening and diagnosis of neonatal genetic and metabolic diseases are conducive to timely and effective treatment of children, control of birth defects and improvement of birth population quality.
General Clinical Research
Efficacy of serum sTREM-1 combined with SIRS score in the diagnosis of sepsis in burn patients
YANG Jian-hua, LI Xue, LIU Hao
2023, 21(2): 234-237. doi: 10.16766/j.cnki.issn.1674-4152.002853
910 6
Abstract:
  Objective  To explore the changes of serum soluble medullary cell trigger receptor 1 (sTREM-1) and systemic inflammatory response syndrome (SIRS) scores in burn patients, and the diagnostic value of the two indexes in burn patients complicated with sepsis.  Methods  A total of 193 burn patients admitted to Shandong Provincial Third Hospital from March 2019 to October 2020 were selected, including 65 cases of local infection (local infection group), 38 cases of sepsis (sepsis group), and 90 cases of simple burn (simple burns group). Serum sTREM-1 level was detected and SIRS score was performed. The value of sTREM-1 combined with SIRS score in diagnosing burn complicated sepsis was analyzed by receiver operating characteristic curve (ROC).  Results  Serum sTREM-1 level [(169.83±31.54) ng/mL, (124.05±24.09) ng/mL, (72.18±11.58) ng/mL] and SIRS score [3.5 (2.0, 4.0) vs, 1.5(1.0, 2.0), 0.5(0, 1.0)] in the sepsis group were higher than those in the local infection group and the Simple burns group (P < 0.05), and serum sTREM-1 level and SIRS score in the local infection group were higher than those in the simple burns group (P < 0.05). Logistic regression analysis showed that high sTREM-1 level (OR=2.003, 95% CI: 1.945-2.135) was a risk factor for sepsis in burn patients (P < 0.05). ROC analysis showed that the AUC of sTREM-1, SIRS score, combined sTREM-1 and SIRS score in the diagnosis of burn patients with sepsis were 0.731, 0.629 and 0.943, respectively, and the combined diagnosis was higher than that of sTREM-1 and SIRS score alone (P < 0.05).  Conclusion  sTREM-1 and SIRS score have certain value in the diagnosis of sepsis in burn patients, and the combination of the two indexes can improve the diagnostic efficiency.
Clinical efficacy of pharmacogenomic testing in patients with refractory schizophrenia
LAN Wu-yuan, HU Wei-ming, LAN Zhi-yong
2023, 21(2): 238-241. doi: 10.16766/j.cnki.issn.1674-4152.002854
853 8
Abstract:
  Objective  This study aims to improve the efficacy and safety of drug use in patients with refractory schizophrenia, this paper focuses on the application of pharmacogenomic testing in refractory schizophrenia.  Methods  A total of 100 male patients with refractory schizophrenia who were diagnosed and treated in Quzhou Third Hospital from November 2021 to September 2022 were included in this study. The patients were divided into control group (based on doctors' experience) and observation group (based on pharmacogenetic testing) according to the random number table method, with 50 cases in each group. The clinical efficacy, insight, quality of life, social adaptation at 1 month and 1 year after discharge, recurrence rate and adverse reaction rate between the two groups were compared.  Results  After 1 month of treatment, all symptom types (positive, negative, and general psychopathological symptom) in the observation group were lower than those in the control group [(20.11±2.67) points vs. (23.89±3.10) points, (15.02±1.88) points vs. (18.27±2.33) points, (30.35±2.93) points vs. (35.24±3.80) points, all P < 0.001]; the scores of schedule for assessing insight (SAI) and 36 item short form (SF-36) in the observation group were significantly higher than those in the control group [(10.27±1.71) points vs. (7.24±1.62) points, (88.06±18.37) points vs. (73.41±16.82) points, both P < 0.001]. At 1 month and 1 year after discharge, the personal and social functioning scale (PSP)score of the observation group was significantly higher than that of the control group [(68.30±6.10) points vs. (59.24±5.68) points, (81.32±7.30) points vs. (75.49±6.29) points, both P < 0.001]. The incidence of drug-related adverse reactions in the observation group was significantly lower than that in the control group (P < 0.05). One year after discharge, the recurrence rate in the observation group was significantly lower than that in the control group (P < 0.001).  Conclusion  It has obvious advantages to guide the clinical medication of refractory schizophrenia according to the results of pharmacogenomic testing. Patients not only have high compliance and fast symptom relief, but also can promote the quality of life, social adaptability, reduce the recurrence rate and adverse reaction rate, which is worthy of clinical promotion.
Application effect of acupoint electrical stimulation combined with general anesthesia in elderly patients undergoing laparoscopic radical resection of colorectal cancer
LI Ya-nan, WAN Zheng-zuo, LI Yan-yan, JUE Bin, YU Xue-lai, WANG Li-feng
2023, 21(2): 242-246. doi: 10.16766/j.cnki.issn.1674-4152.002855
782 5
Abstract:
  Objective  To analyze the effects of transcutaneous electrical acupoint stimulation (TEAS) combined with general anesthesia on gastrointestinal hormones and postoperative cognitive dysfunction (POCD), and investigate the effect of TEAS combined with general anesthesia in elderly patients after laparoscopic radical resection of colorectal cancer.  Methods  A total of 90 elderly patients who underwent laparoscopic radical resection of colorectal cancer in Hangzhou Hospital of Traditional Chinese Medical from January 2020 to January 2022 were selected and divided into A and B group by random number table method, with 45 cases in each group. Patients in the group A were given general anesthesia treatment, and patients in the group B were given TEAS on the basis of the group A. The perioperative indicators, hemodynamic changes at different time during operation, gastrointestinal hormone levels, central nervous specific (S100β) protein and brain derived neurotrophic factor (BDNF) levels, mini-mental state examination (MMSE) scores, and the occurrence of POCD were compared between the two groups.  Results  The dosage of propofol and remifentanil, awakening time and extubation time of the group B were significantly lower than those in the group A (P < 0.05). The level of central venous pressure (CVP) in the group B was significantly higher than that in the group A (P < 0.05). The levels of gastrin (GAS) and motilin (MTL) in both groups were significantly lower than those before surgery (P < 0.05), and the group B was significantly higher than the group A (all P < 0.05). The S100β level protein was firstly increased and then decreased (P < 0.05), and BDNF level and MMSE score were firstly decreased and then increased (all P < 0.05). The levels of S100β protein in the group B were lower than those in the group A on 1 d, 3 d and 7 d after surgery (all P < 0.05), the levels of BDNF and MMSE score were higher than those in the group A (all P < 0.05). The occurrence of POCD in the group B on 1 d and 3 d after surgery were significantly lower than those in the group A (37.78% vs. 68.89%, 24.44% vs. 51.11%, all P < 0.05).  Conclusion  TEAS combined with general anesthesia can alleviate the inhibitory effect of surgery and anesthesia on gastrointestinal hormone secretion, protect the central nervous system, improve cognitive function, and reduce the occurrence of POCD in elderly patients after laparoscopic radical colorectal cancer surgery.
Expression of KL-6 in patients with rheumatoid arthritis-associated interstitial lung disease
ZHU Cai-xia, TIAN Dou-dou, YU Yun-xia, ZHANG Ke-dong
2023, 21(2): 247-249. doi: 10.16766/j.cnki.issn.1674-4152.002856
1156 18
Abstract:
  Objective  Krebs von den Lungen-6 (KL-6) is mainly expressed in type Ⅱ alveolar epithelium and bronchial epithelial cells, and increased in lung infection, interstitial lung disease. This study plans to investigate the expression of KL-6 in rheumatoid arthritis-related interstitial lung diseases.  Methods  Sixty-eight patients with rheumatoid arthritis (RA) who were diagnosed for the first time and treated in the General Hospital of Ningxia Medical University from January 2018 to December 2020 were collected, including 35 patients with RA without pulmonary interstitial lesions confirmed by chest CT (RA group) and 33 patients with RA with interstitial lung disease (RA-ILD group). Another 30 healthy people at the same time were enrolled. Serum of three groups of patients and joint effusion of some patients in RA group and RA-ILD group were collected respectively, and the expression level of KL-6 was detected by ELISA. The clinical characteristics such as gender, age and course of disease of patients in RA group and RA-ILD group were analyzed. The expression level of KL-6 in serum of patients with chronic obstructive pulmonary disease (COPD) and without COPD in RA group was analyzed.  Results  There was no significant difference in gender and age between RA group and RA-ILD group. The course of disease in the RA-ILD group was significantly longer than that in the RA group [(163.50±88.07) months vs. (94.42±50.14) months, P < 0.05]. In RA group, there were 6 patients with COPD, and there was no significant difference in serum KL-6 level compared with patients without COPD in the same group. The expression level of serum KL-6 in RA-ILD group was (100.96±14.29) U/mL, which were significantly higher than that in RA group [(30.33±5.30) U/mL] and normal control group [(26.67±2.78) U/mL], but there was no significant difference between RA group and normal control group. The level of KL-6 in joint cavity effusion of RA patients was significantly lower than that of RA-ILD patients (P < 0.05).  Conclusion  The expression of KL-6 is increased in RA-ILD patients, and KL-6 is an effective index to reflect the severity of pulmonary interstitial lesions in RA-ILD patients.
Evaluation of fractional carbon dioxide laser in the treatment of early hypertrophic scars after deep burns in children
LIU Ji-song, XING Fu-xi, FU Quan-you, ZHANG Xiang-zhou, LI Yong, XU Dong-wei
2023, 21(2): 250-254. doi: 10.16766/j.cnki.issn.1674-4152.002857
987 8
Abstract:
  Objective  This study aims to investigate the efficacy and safety of dot-matrix carbon dioxide laser in the treatment of early hypertrophic scar after deep burn in children.  Methods  A total of 68 children with deep burns who met the inclusion criteria and were admitted to the Department of Burn and Plastic Surgery, the Third People's Hospital of Bengbu from July 2019 to May 2021 were selected, including 44 males and 24 females. The patients were randomly divided into observation group (n=33) and control group (n=35). Both groups were given conventional treatment (pressure therapy and drug therapy), while the observation group was given carbon dioxide fractional laser on the basis of conventional treatment. The vancouver scar scale (VSS) and the patient and observer scar assessment scale (POSAS) were used to score patients, and adverse reactions and patient satisfaction were recorded.  Results  The overall scores of VSS [(5.54±1.41) points], OSAS [(3.42±0.79) points] and PSAS [(4.00±0.79) points] in the observation group were significantly improved at 3 months after treatment compared with those VSS [(8.24±1.73)], OSAS [(5.00±0.82)], and PSAS [(5.48±0.97)] before treatment, and the differences were all statistically significant (all P < 0.05). The overall scores of VSS [(6.94±1.64) points], OSAS [(4.28±0.75) points] and PSAS [(4.91±0.70) points] in the control group at 3 months after treatment were slightly improved compared with those before treatment, and the differences were statistically significant (all P < 0.05). The overall scores of VSS, OSAS and PSAS in the observation group were lower than those in the control group (all P < 0.05). After treatment, the degree of scar improvement in the observation group was more obvious than that in the control group. During the treatment, 2 patients in the observation group had erythema, 1 patient had pigmentation, and 1 patient had erosions. In the control group, 3 patients had blisters and 2 patients had erosions.  Conclusion  For hypertrophic scar, the addition of fractional carbon dioxide laser treatment on the basis of conventional anti-scar can effectively improve the thickness and blood vessel distribution of scar, reduce itching and pain caused by scar, and improve the patient's quality of life.
Hyperuricemia predicts adverse outcomes ater myocardial infarction with non-obstructive coronary arteries
REN Fei, WEI Teng-fei, TU Sheng
2023, 21(2): 255-258. doi: 10.16766/j.cnki.issn.1674-4152.002858
738 7
Abstract:
  Objective  This study aimed to investigate the potential association between hyperuricemia and the adverse outcomes in myocardial infarction with non-obstructive coronary arteries (MINOCA) patients.  Methods  A total of 168 patients diagnosed with acute myocardial infarction who underwent emergency coronary angiography and were diagnosed as MINOCA in the Department of Cardiology of the People's Hospital of Bozhou from January 2019 to June 2020 were enrolled, and were divided into two groups based on the level of serum creatinine: hyperuricemia group (47 cases) and normouricemia group (121 cases). Follow-up was carried out for 18 months after discharge through outpatient visits, telephone calls, reviewing electronic medical records and clinical notes by two experienced cardiologists to obtain patient's clinical status and major adverse cardiovascular and cerebrovascular events (MACCE) or the first reported outcome case. The study also aimed to explore the association between hyperuricemia and adverse outcomes in MINOCA patients.  Results  All patients had follow-up data, of which 35 MACCE were recorded. The hyperuricemia group was associated with 16 MACCE, whereas 19 MACCE occurred in the normouricemia group. The hyperuricemia group had a higher incidence of MACCE and nonfatal myocardial infarction (MI) compared with the normouricemia group (34.0% vs. 15.7% and 10.6% vs. 0.8%, respectively; both P < 0.05). The increased risk of MACCE in the hyperuricemia group is shown in Kaplan-Meier survival curves, which demonstrated that MINOCA patients within the hyperuricemia group were clearly different from those in the normouricemia group, and this difference is statistically significant (log-rank P=0.003).  Conclusion  Hyperuricemia is associated with adverse outcomes and appears to be an independent predictor of MACCE in MINOCA patients. This finding indicates that the serum uric acid levels may serve as a surrogate biomarker related to risk prediction and adverse outcomes of MINOCA patients.
Clinical observation of Zheng's clinostatic rehabilitation exercise combined with respiratory expectoration valve on patients with severe chronic obstructive pulmonary disease
HUANG Xiao-chen, ZHANG Yong, QIAN Zhao-xia
2023, 21(2): 259-262. doi: 10.16766/j.cnki.issn.1674-4152.002859
1101 6
Abstract:
  Objective  To investigate the clinical effect of Zheng's clinostatic rehabilitation exercise combined with breathing and expelling valve training in patients with severe chronic obstructive pulmonary disease.  Methods  A total of 62 patients with acute exacerbation of severe chronic obstructive pulmonary disease (AECOPD) admitted to the Respiratory Department of Bengbu Third People's Hospital from October 2020 to February 2021 were divided into observation group (n=31) and control group (n=31) by random number table method. All patients were given basic treatment such as anti-infection, antispasmolysis and expectoration and oxygen therapy. The control group received lip-shrinking abdominal rehabilitation treatment, and the observation group received Zheng's clinostatic rehabilitation exercise combined with respiratory expectoration valve. The study period was 12 weeks. Forced expiratory volume in one second (FEV1), forced vital capacity (FVC), FEV1/FVC, CRP, IL-6, CD3+, CD4+, CD45+, COPD assessment test (CAT) and modified British medical research council (mMRC) were observed in the two groups before and after intervention.  Results  After intervention, the levels of IL-6 [6.11(0.82, 10.83) pg/mL] and CRP [9.15(2.15, 18.91) mg/L] in the observation group were significantly lower than those in the control group [8.64(5.41, 15.54) pg/mL, 18.64(6.49, 26.15) mg/L, all P < 0.05]. The levels of CD3+, CD4+ and CD45+ in the observation group were significantly higher than those in control group (all P < 0.05). CAT [(28.03±4.53) points] and mMRC (3.10±0.70) in the observation group was improved compared with that in the control group [(28.77±4.31) points, 3.45±0.62, all P < 0.05]. No significant differences in FEV1, FVC and FEV1/FVC were found in the two groups before and after intervention (all P>0.05).  Conclusion  Zheng's clinostatic rehabilitation exercise combined with respiratory expectoration valve can effectively reduce inflammatory response, enhance immune function, improve dyspnoea and maintain stable lung function.
Diagnostic value of serum miR-18a and miR-485-5p for HPV-positive cervical cancer
LI Dan-ping, LI Zong-min, ZHANG Li-xia, YANG Wei-wei, LI Qiao-li
2023, 21(2): 263-266. doi: 10.16766/j.cnki.issn.1674-4152.002860
603 6
Abstract:
  Objective  To explore the difference of serum MicroRNA (miR)-18a and miR-485-5p expression between cervical cancer patients with human papillomavirus (HPV) and simple cervical cancer patients, and analyze the diagnostic value of the two indicators for HPV-positive cervical cancer.  Methods  A total of 91 patients with HPV-positive cervical cancer admitted to Yellow River Sanmenxia Hospital from January 2020 to January 2021 were selected as the HPV-positive cervical cancer group. Sixty-two women with HPV-positive non-cervical cancer were placed in the HPV-positive group, and 57 healthy women based on physical examination were placed in the control group. Serum miR-18a and miR-485-5p expression was detected by qRT-PCR. Receiver operating characteristic (ROC) curve was used to analyse the diagnostic value of two indicators for HPV-positive cervical cancer.  Results  The expression of serum miR-18a in HPV-positive cervical cancer group was higher, while the expression of miR-485-5p was lower than those in the control group and HPV-positive cervical cancer group (P < 0.05). Serum miR-18a and miR-485-5p expression was associated with FIGO stage, depth of interstitial infiltration and lymph node metastasis in patients with HPV-positive cervical cancer (P < 0.05). The ROC curves showed that the area under the curve (AUC) for miR-18a and miR-485-5p and their combination for the diagnosis of HPV-positive cervical cancer were 0.752, 0.802 and 0.876, respectively, with sensitivities of 67.03%, 75.82% and 83.52%, and specificities of 77.42%, 74.19% and 83.87%, respectively. The AUC of the combined diagnosis of HPV-positive cervical cancer was greater than that of miR-18a and miR-485-5p alone (P < 0.05).  Conclusion  High expression of serum miR-18a and low expression of miR-485-5p in HPV-positive cervical cancer can be used as an auxiliary diagnostic indicator for HPV-positive cervical cancer.
Genetic factors of ventricular septal defect in 199 cases in the second or third trimester of pregnancy
LI Meng, MENG Da-hua, FU Hua-yu, XU Juan-juan, LI Jiao, LI Qiao, HUANG Jin-ai
2023, 21(2): 267-269. doi: 10.16766/j.cnki.issn.1674-4152.002861
802 15
Abstract:
  Objective  This study aims to explore the application value of single-nucleotide polymorphism array (SNP array) in the genetic aetiology of foetal ventricular septal defect.  Methods  A retrospective analysis was performed on 199 cases of foetal ventricular septal defect during the second or third trimester of pregnancy in Maternal and Child Health Hospital of Guangxi Zhuang Autonomous Region from January 2015 to December 2020. Amniocentesis was performed to extract amniotic fluid samples, or umbilical cord venipuncture was performed to extract umbilical cord blood samples. Chromosome karyotype and gene chip were analysed. The pathogenicity of detected CNV was analysed by querying CNV, DGV and PubMed databases.  Results  Twenty-seven cases of foetal amniotic fluid or cord blood chromosomal karyotype abnormalities were detected, with rate of 13.57%. Moreover, 22 cases of chromosome aneuploidy abnormality and 5 cases of chromosome structure abnormality were found. The SNP array detected 41 abnormalities, with the detection rate of 20.60% (41/199). The detection rate of SNP array abnormalities was slightly higher than that of chromosomal karyotype abnormalities; among the cases of microarray abnormalities, 32 cases were pathogenic; of which, 27 cases were consistent with the results of the karyotype analysis, 5 cases showed no abnormal karyotype but the chip detected chromosome microdeletion syndrome and the 9 other cases had chromosome microdeletion/microduplication of unknown clinical significance.  Conclusion  Chromosomal aneuploidy is the main diagnosis of foetal ventricular septal defect in the second or third trimester of pregnancy. SNP array detection technology can detect sub-microscopic pathogenic CNV and provide basis for genetic counselling and prognosis evaluation of foetal ventricular septal defect.
Exploring the community intervention of recurrent abortion based on the concept of "preventing disease from the beginning makes the human body peaceful"
DING Zhao-yang, YAO Yi, GUO Zhi-yi, ZHANG Jian-rong, ZHU Jian-ping, JIANG Li-juan
2023, 21(2): 270-274. doi: 10.16766/j.cnki.issn.1674-4152.002862
787 7
Abstract:
Recurrent abortion is one of the common and frequently occurring diseases in modern gynaecology. It is not only a medical problem but also a social burden that gradually affects marriage life and family harmony, causing serious problems to the physical and mental health of women in childbearing age. Recurrent abortion has the characteristics of "abortion will occur at a specific time". It is more effective to avoid the recurrence of abortion by clarifying the causes of abortion, actively regulating the body and early prevention and intervention. Community intervention aims to change people' s behaviour, habits and lifestyles through comprehensive intervention and then intervene the risk factors in the occurrence and development of diseases. This process fully reflects the connotation of three-level prevention. Traditional community intervention has played a positive role in the prevention and control of recurrent abortion, but the influence of intervention projects is mostly limited to the pilot stage and the pilot area, which is difficult to promote and apply in a large scale. In view of the series of problems of community intervention for recurrent abortion, the writer systematically sorted out Professor Jiang Li-juan' s concept of "prevent disease from the beginning makes the human body peaceful", and specifically elaborated how to carry out effective intervention for patients with recurrent abortion in community practice and built a systematic community intervention system from the "harmony of Qi and blood", phased recuperating; "harmony of will", regulating emotion; "harmony cold and mild", attaching importance to people' s physique; and "doctor-patient harmony", enhancing the concept of disease. This concept is not only applicable to recurrent abortion but also has reference value for the development of community intervention for other diseases. Combining the theory of traditional Chinese medicine with community intervention and giving play to the dominant position of general practitioners of traditional Chinese medicine can optimise the allocation of various resources in the intervention plan to the maximum extent and improve the effectiveness and quality of the intervention practice. Community interventions guided by TCM theory will be a powerful tool for the future of general medicine in primary health care to prevent and treat diseases and promote health.
Effect of auricular Shenmen point pressure on anxiety symptoms of elderly patients with anxiety disorder in community
LU Xiao-feng, WU Hao, LI Xin-xin, CHEN Si-lu, XUE Lian-xue, YANG Ying-huan
2023, 21(2): 275-278. doi: 10.16766/j.cnki.issn.1674-4152.002863
978 5
Abstract:
  Objective  This study aims to explore the effect of auricular Shenmen point pressure on generalised anxiety disorder (GAD) and the improvement of frontal lobe function in elderly people in community.  Methods  Between September 2020 and June 2021 in Jing' an district of Shanghai West Nanjing Road community health service centre and Changning district of Shanghai Mental Health Centre, 90 elderly patients with GAD were recruited and randomly divided into auricular point pressure (AP) group (n=47) and control group (n=43) by random number table. The AP group accepted the 8-week seed point pressure at the ear Shenmen acupoint. The Hamilton Anxiety Scale (HAMA) and Geriatric Anxiety Inventory (GAI) were used before and after intervention, respectively. Frontal assessment battery (FAB) was evaluated in the assessment of frontal lobe.  Results  No significant differences in demographic data, anxiety symptoms and frontal lobe function were found between AP and control groups at baseline (all P>0.05). After 8-week intervention, the HAMA and GAI scores in the AP group were significantly lower than the control group [(15.41±6.79) points vs. (24.32±4.96) points, (7.97±2.71) points vs. (11.99±2.87) points, both P < 0.05], while the FAB scores significantly increased [(10.79±3.41) points vs. (3.61±2.32) points, P < 0.05] compared with those in the control group. The decreasing score of HAMA was negatively correlated with the increasing score of FAB (r=-0.205, P=0.006). The decrease in the HAMA somatic dimension score was positively correlated with the increase in the GAI score (r=0.472, P < 0.001).  Conclusion  Auricular point pressure at Shenmen point can significantly improve anxiety symptoms in elderly patients with GAD in community, and its mechanism of action may be related to improvement of frontal lobe function.
Lifestyle study of Chinese adults with self-reported colorectal cancer
HU Ya-nan, WANG Qiu-tong, HE Feng-die, WANG Dan, YANG Xiao-ying, WANG Li-min, WANG Bao-hua
2023, 21(2): 279-282. doi: 10.16766/j.cnki.issn.1674-4152.002864
910 12
Abstract:
  Objective  To analyse the lifestyle of Chinese adult colorectal cancer patients, thereby providing the basis for colorectal cancer prevention and control.  Methods  The data were obtained from the database of multi-stage cluster random sampling and field survey conducted in 298 counties (districts) of 31 provincial administrative regions under the monitoring of chronic diseases and risk factors in China in 2015. This study used SAS statistical software to clean up, describe and analyse the data and adopted the descriptive analysis χ2 test and multivariate unconditional logistic regression statistical methods.  Results  A total of 108 665 valid self-reported cancer questionnaires were obtained, including 118 patients with self-reported colorectal cancer, 65 males and 53 females. The prevalence rates were 128.45/100 000 and 91.28/100 000. The prevalence of colorectal cancer was higher amongst over 45 years old, cities, mateless (all P < 0.05). After adjusting for confounding factors such as gender, age, education level, marital status and annual family income, the results of multivariate logistic analysis showed that adequate intake of veges (OR=0.758, 95% CI: 0.748-0.767) and fruits (OR=0.391, 95% CI: 0.388-0.395) were the protective factors of colorectal cancer (all P < 0.05). By contrast, smoking (OR=3.707, 95% CI: 3.672-3.742) and drinking (OR=1.198, 95% CI: 1.189-1.206) were the risk factors of colorectal cancer (all P < 0.05).  Conclusion  The intake of vegetables and fruits is a protective factor for colorectal cancer. Smoking and drinking are risk factors for colorectal cancer. It is recommended that residents eat healthy food, ensure adequate intake of vegetables and fruits, and change bad habits such as smoking and drinking to reduce the risk of colorectal cancer.
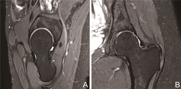
Value of proton density weighted image in evaluating acetabular labrum tears
ZHOU Rong-hua, ZHANG Hai-long, CHENG Xiao-guang, LIANG Wei, JIANG Wen
2023, 21(2): 283-287. doi: 10.16766/j.cnki.issn.1674-4152.002865
674 3
Abstract:
  Objective  To explore the reliability of proton density weighted image (PD-WI) in evaluating acetabular labrum tears.  Methods  Forty trauma hip pain out-patients (20 males and 20 females, age range: 27-65 years, mean age: 40 years) without obvious or slight trauma in Beijing Jishuitan Hospital from March 2019 to January 2020 were recruited and underwent acetabular labral magnetic resonance imaging scan that included PD-WI sequence to exclude acetabular labrum tears and exclude fracture, tumour, infection and other diseases in hip. The presence of acetabular labrum tear was evaluated according to PD-WI image instead of surgical outcome. Classification consisting of basal and substantial tears from previous histological studies was also determined by PD-WI image. All patients underwent surgery in 3 months after scanning. According to surgical outcome, the sensitivity, specificity and accuracy of PD-WI to evaluate acetabular labrum tears and kappa consistency test to evaluate tears and classification were acquired.  Results  The sensitivity, specificity and accuracy of PD-WI to evaluate anterior and lateral-superior acetabular labrum tears were 96.88% and 90.00%, 62.50% and 93.33%, 90.00% and 92.50%, respectively. The PD-WI diagnosis of acetabular labial tears and tear classification was in good agreement with the surgical results (anterior labrum tears: Kappa=0.655, P < 0.001; lateral-superior labrum tears: Kappa=0.806, P < 0.001; all types of tear: Kappa>0.75, P < 0.0001).  Conclusion  PD-WI could be regarded as a reliable imaging method to evaluate acetabular labrum tears and could be helpful for diagnosis and treatment option.
Correlation analysis of serum IL-6, IL-18 and blood ammonia level in patients with hepatic encephalopathy
ZHANG Su-yuan, LI Wen-wen, ZHU Ya-qi, LI Xiao-quan
2023, 21(2): 288-291. doi: 10.16766/j.cnki.issn.1674-4152.002866
790 4
Abstract:
  Objective  The clinical data of patients with liver cirrhosis-related hepatic encephalopathy (HE) were collected, and the correlation among serum interleukin-6 (IL-6), interleukin-18 (IL-18) and blood ammonia levels in patients with HE was analysed retrospectively.  Methods  A total of 95 patients with liver cirrhosis were selected in Rongjun Hospital of Henan province from June 2019 to January 2021. Among them, 41 patients with simple liver cirrhosis were set as non-HE group, and 54 patients with liver cirrhosis and HE were set as HE group. Another 50 healthy persons from our hospital were selected as the health group in the same period. The levels of serum ammonia, IL-6 and IL-18 were compared among the three groups. Differences in the clinical data between HE and non-HE groups were compared, and the risk factors of HE were determined by logistic regression analysis. Pearson correlation analysis was used to evaluate the correlation among serum levels of ammonia, IL-6 and IL-18.  Results  The levels of serum IL-6, IL-18 and blood ammonia in the non-HE and HE groups were higher than those in the healthy group (P < 0.05). The levels of serum IL-6, IL-18 and blood ammonia in the HE group were higher than those in non-HE group (P < 0.05). Logistic regression analysis showed that high serum levels of IL-6, IL-18, total bilirubin (TBIL) and long prothrombin time (PT) were risk factors for cirrhosis-related HE (P < 0.05). Pearson correlation analysis showed that serum IL-6 was positively correlated with serum ammonia level (r=0.690, P < 0.001, 95% CI: 0.518-0.808), and IL-18 was positively correlated with blood ammonia level (r=0.667, P < 0.001, 95% CI: 0.487-0.793).  Conclusion  High serum levels of IL-6, IL-18, TBIL and long PT are risk factors for hepatocirrhosis-related HE, and serum IL-6 and IL-18 levels are positively correlated with the average level of blood ammonia.
Clinical progress of postoperative analgesia in neonates
ZHANG Xian, YAN Fu-xia, CHEN Ling-yu, PAN Shou-dong
2023, 21(2): 292-297. doi: 10.16766/j.cnki.issn.1674-4152.002867
952 9
Abstract:
Given the developmental physiological and pharmacokinetic characteristics of neonates, the postoperative analgesia for this population remains limited to a certain extent. Neonates, particularly preterm infants, are only provided with minimal or no anaesthesia and analgesia. With the in-depth study of physiology, the importance of neonatal analgesia has been paid considerable attention, and postoperative analgesia has begun to develop towards on-demand multi-mode analgesia. Postoperative analgesia for neonates in clinic has various ways, but no unified guide is developed for the drugs and measures of neonatal postoperative analgesia, and clinicians still have concerns about the implementation of neonatal postoperative analgesia. Therefore, this paper summarised the existing methods of postoperative analgesia for neonates. The data are primarily obtained from published clinical studies and case reports, and the specific dosage, analgesic effect, adverse reactions and precautions of various drugs used in postoperative analgesia were counted; thus, clinicians can select appropriate analgesic methods based on the specific situation of children. Based on the classification of analgesic drugs, including opioids (morphine, fentanyl, sufentanil and tramadol), non-opioid drugs (acetaminophen, ketorolac and pyrinidamine), local anaesthetics (bupivacaine, ropivacaine, chloroprocaine and lidocaine) and mixed local anaesthetics EMLA, the different ways and means of administration of the same drug were also summarised and analysed. Non-drug analgesic methods also include high-sugar solution, non-nutritive sucking, posture change and so on. The particularity of neonates increases the difficulty and risk of various operations and effect evaluation. Various analgesic methods still need to be verified by a large number of clinical studies.
Research progress in the treatment of coronary no-reflow phenomenon
LI Qiu-yan, SU Qiang
2023, 21(2): 298-303. doi: 10.16766/j.cnki.issn.1674-4152.002868
1486 34
Abstract:
Cardiovascular disease is a common cause of death worldwide. With the acceleration of population aging, the incidence of acute coronary syndrome (ACS), represented by acute myocardial infarction, is increasing every year. When ACS occurs, coronary blood flow must be restored as soon as possible, and emergency percutaneous coronary intervention (PCI) remains the preferred treatment option. No-reflow phenomenon is a common complication after PCI, it refers to the normal opening of epicardial coronary stenosis or occlusion during coronary intervention, but the blood myocardial tissue has not been effectively re-perfused because the blood at the microcirculation level cannot be completely recovered. When coronary no-reflow phenomenon occurs, the beneficial effect of reperfusion therapy is weakened, and the incidence of major adverse cardiac events (MACES) is significantly increased, resulting in poor patient prognosis. At present, the pathophysiological mechanism of coronary no-reflow phenomenon is not fully understood, and it may be related to coronary microcirculation disorders. Molecular mechanisms include the activation of inflammatory pathways, endothelial cell damage caused by ischaemia and reperfusion, thromboembolism-related damage, microvascular spasm, leukocyte infiltration and cell oedema. No-reflow phenomenon is closely associated with poor clinical outcomes, thus, effective prevention and treatment strategies are important. Recent studies have shown that the preoperative prophylactic use of statins, antiplatelets, vasodilators and certain anti-inflammatory drugs can reduce the occurrence of no-reflow, restore coronary blood flow and improve patient outcomes. In addition, the preventive use of interventional devices has certain application potential. This article reviews the research progress in the prevention and treatment of coronary no-reflow phenomenon in recent years.
Research and progress of hyperprogression after immunotherapy
XING Rong-xue, CUI Tong, TIAN Ying-xuan
2023, 21(2): 304-308. doi: 10.16766/j.cnki.issn.1674-4152.002869
1640 22
Abstract:
As a new milestone in cancer treatment, modern immunotherapy has brought subversive changes to many tumour treatments that lack effective treatment methods. In the past decade, given our knowledge and understanding of adaptive immunity at the molecular level, the development of immune checkpoint inhibitor drugs has been promoted. Immune checkpoint inhibitors such as pembrolizumab and nivolumab are a brand-new treatment model, which is different from traditional chemotherapy or targeted therapy of molecular-level precision therapy. In addition, the regulation of tumour immune microenvironment promotes autoimmune cells to exert powerful anti-tumour effects. It has shown excellent performance in many clinical trials and real-world studies. The significant evident survival benefits, lower incidence of treatment adverse reactions and improved quality of life of patients receiving treatment have indicated its importance in the treatment of many advanced solid tumours. It brings new hope for the treatment of various types of solid tumours, and is a new boon for many patients with advanced tumours. However, with the popularity of its use, some clinicians have found that instead of significant survival benefit in immunotherapy, some patients experienced rapid tumour progression and even rapid death in a short period of time. This phenomenon is known as immunotherapy hyperprogression. At present, the research on the mechanism of hyperprogression and clinical strategies is quite limited. This article aims to review the definition, clinical features, mechanism of occurrence, differential diagnosis and patient management to identify the hyperprogression phenomena as early as possible during treatment and take timely measures to improve the prognosis of patients with advanced cancer and bring survival benefits.
Effects of peripheral magnetic stimulation and transcranial magnetic stimulation on upper extremity motor function in patients with cerebral infarction
CHEN Yan-yan, LI Shu-qiang, CUI Jian, HU Yuan, LIU Bing-jie, WU Rui
2023, 21(2): 309-312. doi: 10.16766/j.cnki.issn.1674-4152.002870
1176 16
Abstract:
  Objective  To observe the effect of peripheral magnetic stimulation and transcranial magnetic stimulation on the recovery of upper limb motor function in patients with cerebral infarction.  Methods  A total of 42 patients with cerebral infarction who were admitted to the Second Affiliated Hospital of Zhengzhou University from September 2020 to November 2021 were included in the study. They were assessed for upper limb motor dysfunction, and divided into the control group (n=20) and observation group (n=22) by using the random number table method. Both groups received routine rehabilitation treatment, and the control group was given transcranial magnetic stimulation. On the basis of the control group, the observation group was given peripheral magnetic stimulation. Before and after the treatment, upper limber Fugl-Meyer assessment of motor recovery (UL-FMA) was used to evaluate patients' upper limb motor function, the modified Barthel index (MBI) was used to evaluate patients' ability of daily living, and diffusion tensor imaging data were used to evaluate the repair of damaged nerve fibre bundles.  Results  After 4 weeks of treatment, the UL-FMA score [32.50 (15.75, 46.50) points] and MBI [76.50 (59.50, 91.25) points] in the observation group were significantly higher than those before treatment (all P < 0.05), while the UL-FMA score [29.50 (10.25, 40.00) points] and MBI [89.00 (50.00, 90.00) points] in the control group were significantly higher than those before treatment (all P < 0.05). The difference of UL-FMA scores before and after treatment [12.00 (9.75, 13.25) scores] in the observation group was statistically significant compared with the UL-FMA deviations before and after treatment [7.00 (5.00, 9.00) scores] in the control group (P < 0.05). The difference of MBI before and after treatment [18.50 (10.00, 22.50) scores] in the observation group was statistically significant compared with the MBI deviations [10.00(7.00, 13.75) scores] in the control group (P < 0.05). The density of damaged nerve fibre bundles increased in both groups.  Conclusion  Transcranial magnetic stimulation combined with peripheral magnetic stimulation promote the upper limb motor function in patients after cerebral infarct and improve patients' activities of daily living.
Acupuncture combined with exercise prescription in the treatment of postpartum lumbago
ZHAO Sheng-jie, ZHAO Wen-juan, LUO Gui-hua, LI Xiu-qin, HOU Jun
2023, 21(2): 313-315. doi: 10.16766/j.cnki.issn.1674-4152.002871
950 11
Abstract:
  Objective  This study aimed to observe the clinical effect of acupuncture combined with exercise prescription on postpartum lumbago.  Methods  From March 2020 to June 2021, a total of 60 patients with postpartum lumbago treated in the Health Management Center of the Affiliated Hospital of Shaanxi University of Chinese Medicine were randomly divided into the observation group and treatment group, with 30 cases in each group. The observation group received acupuncture and exercise prescription. The treatment group was treated with acupuncture and massage for 2 weeks. The pain rating index (PRI) was used to evaluate the pain before and after treatment; the Oswestry dysfunction index (ODI) was used to evaluate the degree of dysfunction, and the changes in various indexes before and after treatment were observed.  Results  The median PRI [(7.17±1.39) points] in the observation group was significantly improved compared with that [(17.67±1.56) points] before treatment (t=32.737, P < 0.001), and the median PRI [(7.47±1.48) points] in the treatment group was significantly improved compared with that [(17.70±1.56) points] before treatment (t=37.330, P < 0.001). The ODI score of the observation group was (15.73±2.75) points after treatment, which was significantly improved compared with that before treatment [(37.17±2.44) points, P < 0.001]. The ODI score of the treatment group was (16.33±2.91) points after treatment, which was significantly improved compared with that before treatment [(37.10±2.51) points, P < 0.001]. No significant difference was observed between the two groups (P>0.05).  Conclusion  Acupuncture combined with exercise prescription and massage can effectively relieve the pain and dysfun ction of patients with postpartum lumbago, there was no significant difference in clinical efficacy.
The Application Value of Scenario Simulation PBL Teaching Method in Improving the Competence of Pediatric Interns
QU Se-hua, ZHANG Zhen, WU Yu-meng, ZHENG Ying-juan, CHEN Yun, ZHANG Hui, CHEN Xin
2023, 21(2): 316-319. doi: 10.16766/j.cnki.issn.1674-4152.002872
735 18
Abstract:
  Objective  To explore the application value of scenario simulation PBL teaching method in improving the competence of pediatric interns.  Methods  From January 2018 to December 2020, a total of 72 clinical medical undergraduate interns in the Department of Pediatrics at the First Affiliated Hospital of Bengbu Medical College were selected as the research objects, and they were equally divided into the observation group (36 cases) and control group (36 cases) based on the random number table method. The interns in the control group received the routine clinical teaching mode, while the interns in the observation group received the PBL teaching method based on job competency simulation. The experimental operation scores were compared, writing ability scores, and teamwork scores of the 2 groups of interns were reported at the end of the internship period. The test scores of the 2 groups were compared at the end of the internship period; the scores of self-evaluation items, such as, the ability and professional identity of the 2 groups were compared. Moreover, the appraisal of the intern' s influence on teaching design, teaching implementation and ability was also evaluated.  Results  The experimental operation score, report writing ability score and teamwork score of interns in the observation group were higher than those in the control group [(88.59±4.32) points vs. (82.97±5.23) points; (86.87±5.66) points vs. (80.76±6.13) points; (91.76±3.87) points vs. (85.39±4.38) points, all P < 0.05]. The test scores of operation skills, theoretical knowledge and total scores in the observation group were higher than those in the control group (all P < 0.05). The scores of self-study ability, communication ability, strain ability, cooperation ability and professional identity in the observation group were all higher than those in the control group (all P < 0.05). The evaluation scores of teaching design, teaching implementation and impact of competencies in the observation group were all higher than those in the control group (all P < 0.05).  Conclusion  The situational simulation PBL teaching method based on post competency can improve the individual ability and team cooperation ability of paediatric interns, which can help them better grasp the practice knowledge and improve the test scores.
Influencing factors and countermeasures of the job transfer training of general practitioners in Qinghai
YUN Jun-qiao, JIN lei, CHENG Ya-ping, LI Sheng-fu, ZHANG Qi
2023, 21(2): 320-323. doi: 10.16766/j.cnki.issn.1674-4152.002873
645 7
Abstract:
  Objective  To investigate the current situation of the job transfer training of general practitioners in Qinghai, summarise the training effect and analyse its influencing factors and provide intervention countermeasures.  Methods  A total of 273 trainees participated in the general practitioners' transfer training in Qinghai General Medicine Clinical Training Base from July 2015 to July 2020 were selected. Basic data including gender, age, education level, professional title type, professional qualification, working years, degree of attention and work study contradiction were obtained. The rate of reaching the standard of job transfer training examination of trainees with different basic conditions was compared. Statistical analysis of the factors affecting the rate of reaching the standard of job transfer training examination was also conducted.  Results  Among 273 general practitioners, 247 reached the standard in the examination and the rate of reaching the standard was 90.48%. The rate of reaching the standard of the job transfer training examination was not significantly different among different genders, professional title types and professional qualification and working years (all P>0.05). Meanwhile, significant differences were found in the rate of reaching the standard of job transfer training examination among different ages, levels of education, degrees of attention and contradictions between work and study (all P < 0.05). These factors affected the rate of reaching the standard of job transfer training. General practitioners were young, highly educated and highly valued and had no work study contradiction had a relatively high rate of reaching the standard of job transfer theory training examination. Logistic analysis showed that older, low education level, poor attention degree and contradiction between work and study were independent risk factors affecting the rate of reaching the standard of the post-transfer training examination (all P < 0.05).  Conclusion  The rate of reaching the standard of job transfer training examination significantly differ among different ages, education levels, attention levels and work study contradictions and is found to be an important factor affecting the training outcome. The teaching of general practitioners' job transfer training can formulate targeted intervention measures and intervene as soon as possible to effectively improve the training outcome.
Incidence and influencing factors of high-output ileostomy in adults: a meta-analysis
SHEN Yuan-juan, DAI Zheng-xiang, LI Ju-yun, WU Xiao-yu, WANG Sai-nan, WANG Qing
2023, 21(2): 324-328. doi: 10.16766/j.cnki.issn.1674-4152.002874
1154 21
Abstract:
  Objective  To perform a systematic review of the incidence and influencing factors of high-output ileostomy (HOI).  Methods  Computer searched CBM, CNKI, WanFang Data, VIP database, PubMed, Web of Science, EMbase, and the Cochrane Library for research literature on factors affecting the occurrence of HOI. The search time was set from the establishment of the database to May 2022. Two researchers screened the literature and extracted data independently. The Newcastle-Ottawa Scale was used to evaluate the risk of bias of the literature. Statistical analysis was performed using Review Manager 5.4.  Results  A total of nine studies were included, all with a score of 7 or above. In addition, 1 844 patients had ileostomy, including 393 patients with HOI. The overall incidence of HOI in patients with ileostomy was 23% (95% CI: 0.18-0.28, P < 0.001). Results of influencing factor analysis showed that inflammatory bowel disease (OR=16.17, 95% CI: 7.00-37.38, P < 0.001), diabetes (OR=13.69, 95% CI: 6.42-29.20, P < 0.001), chemoradiotherapy (OR=4.50, 95% CI: 1.29-15.67, P=0.020) and postoperative outlet obstruction (OR=3.77, 95% CI: 1.57-9.07, P=0.003) were the influencing factors of HOI.  Conclusion  Inflammatory bowel disease, diabetes, radiotherapy, chemoradiotherapy and postoperative outlet obstruction are the influencing factors of HOI, but the number of existing studies is small, and most of them are small sample studies. In addition, the diagnostic criteria of HOI are inconsistent, which affects the results of meta-analysis to a certain extent. Therefore, the above-mentioned conclusions must be further verified.
Construction and evaluation of remote integrated medical care and pension service system for postoperative patients in pension institutions
GU Ye-chun, ZHENG Wan-qiong, ZHANG Yi-ming, HUANG Jia-jia, YU Xiao-min, WEN Meng-meng, XU Hong-bo
2023, 21(2): 329-332. doi: 10.16766/j.cnki.issn.1674-4152.002875
921 7
Abstract:
  Objective  To construct a remote integrated medical care and pension service system for postoperative patients in pension institutions and analyze its application value.  Methods  A total of 50 postoperative patients who were ready to go back to pension institutions were recruited from January 2018 to June 2021, and randomly divided into experimental group (30 cases) and control group (20 cases) according to the ratio of 3∶ 2. After being discharged, the experimental group received remote integrated medical care and pension services, and the control group received medical care and pension services according to traditional scheme. One month after discharge, the number of visits, medical expenses, postoperative recovery, anxiety, depression and satisfaction levels were evaluated.  Results  The number of visits of the experimental group were less than that of the control group [0(0, 1) vs. 1(0, 2), Z=-2.133, P=0.033]. No significant difference in medical expenses was found between the two groups [0 (0, 138.93) yuan vs. 112.20 (0, 291.70) yuan, Z=-1.413, P=0.158]. There was no wound infection in the experimental group and 1 case in the control group, with no significant difference (χ2=1.531, P=0.216). There were no patients with incision bleeding, incision dehiscence, readmission and reoperation in the two groups. There was no significant difference in physical strength between the two groups [(72.33 ± 9.35) points vs. (70.00 ± 9.18) points, t=0.871, P=0.388]. There was no significant difference in weight change between the two groups [1.20 (0.30, 1.73) kg vs. 0.75 (0.10, 1.10) kg, Z=-1.737, P=0.082]. The anxiety and depression scores of the experimental group were lower than that of the control group [(35.04±7.36) points vs. (39.69±8.08) points, t=-2.103, P=0.041; (37.92±7.22) points vs. (42.88±6.46) points, t=-2.477, P=0.017]. The experimental group had higher satisfaction with medical services, psychological comfort, science popularisation and publicity and daily care than the control group (all P < 0.05). No significant difference in cultural entertainment satisfaction was detected between the two groups (P>0.05).  Conclusion  The remote integrated medical care and pension service system can provide efficient medical services for postoperative patients in pension institutions, such as reduced number of medical visits, better psychological comfort and science popularisation and publicity, and can also promote the improvement of daily care.
Safe eating behaviour and influencing factors in patients with dysphagia after stroke
FENG Xiao-yu, LI Jing-wen, ZHANG Yong-jun, YE Hui-ling
2023, 21(2): 333-336. doi: 10.16766/j.cnki.issn.1674-4152.002876
1670 18
Abstract:
  Objective  The safe eating behaviour of patients with dysphagia after stroke was analysed to determine influencing factors and provide reference for clinical practice and pay attention to the eating behaviour of patients with dysphagia.  Methods  Convenience sampling was conducted to select patients with stroke and dysphagia from January 2019 to December 2020 in the First Affiliated Hospital of Guangzhou Medical University. The general information questionnaire including sociodemographic data and disease related data, stroke dysphagia patient safe eating behaviour evaluation scale and safe eating knowledge questionnaire were used to collect data and conduct safety description of eating behaviour and multiple stepwise regression analysis.  Results  A total of 176 stroke patients with swallowing disorders were included. Univariate analysis showed significant differences in safe eating behaviour among patients with different education levels, marital statuses, aspiration pneumonia, language disorder, swallowing treatment, Barthel Index and safe eating behaviour in Watian drinking water test (all P < 0.05). Multivariate stepwise regression analysis showed that Barthel index, total score of safe eating knowledge and swallowing treatment were positively correlated with safe eating behaviour (all P < 0.05), while language disorder and aspiration pneumonia were negatively correlated with safe eating behaviour (all P < 0.05). The multiple correlation coefficient of the five variables was r=0.647, the regression R2 was 0.419 and the adjusted R2 was 0.402.  Conclusion  A variety of factors affect the safe eating behaviour of stroke patients with dysphagia. Barthel index, total score of safe eating knowledge, swallowing treatment, language disorder and diagnosis of inhalation pneumonia are independent influencing factors.
Disease burden and risk factors of pancreatic cancer in China in 1990 and 2019
CAI Hui-long, YUAN Wei-guang, AN Jing, LIN Jing, GUO Jing-jie, DONG Yuan-di, LIU Bao, SUN Hui-xin
2023, 21(2): 337-340. doi: 10.16766/j.cnki.issn.1674-4152.002877
1404 23
Abstract:
  Objective  To analyse the incidence, mortality and disease burden of pancreatic cancer in China in 1990 and 2019.  Methods  The global disease burden database in 2019 was used to analyse the incidence, mortality, disability adjusted life years (DALY), premature death loss years (YLL) and disability life years (YLD) of pancreatic cancer in the total population and age groups in 1990 and 2019. Risk factors attributable to pancreatic cancer were also analysed.  Results  The incidence of pancreatic cancer in China was 114 900 in 2019, and the incidence rate was 8.08/105, representing an increase of 330.34% and 257.52% compared with 1990. In 2019, the number of deaths was 117 400, and the mortality rate was 8.25/105, indicating an increase of 333.21% and 260.26% compared with 1990. In 2019, the DALY, YLD and YLL of pancreatic cancer in China were 2 805 200, 23 900 and 2 781 300, by contrast, form 1990, such values increased by 274.33%, 319.30% and 273.98%, respectively. In 2019, the incidence rate, mortality rate and DALY rate of pancreatic cancer increased with age. The highest incidence rate (44.75/105), mortality rate (50.09/105) and DALY rate (742.81/105) were all observed in the >70 age group. The mortality rate, DALY and YLL attributed to smoking in Chinese patients with pancreatic cancer was 26 552, 612 359 and 607 033, respectively.  Conclusion  The burden of pancreatic cancer in China has increased considerably from 1990 to 2019. Therefore, positive preventive measures should be taken to reduce the burden of pancreatic cancer.
Application of micro-video combined with key point guidance in colonoscopy bowel preparation in elderly patients
CHEN Ling-ling, DUAN Xiao-xia, SHI Cai-hong, ZHENG Hai-lun
2023, 21(2): 341-344. doi: 10.16766/j.cnki.issn.1674-4152.002878
726 3
Abstract:
  Objective  To explore the application effect of micro-video combined with key point guidance on bowel preparation in elderly patients.  Methods  Thirty elderly patients who underwent colonoscopy from August to December 2018 in the Second Affiliated Hospital of Bengbu Medical College were selected as the control group, and 30 elderly patients who underwent colonoscopy from March to December 2019 were selected as the intervention group. Routine bowel preparation health guidance and micro-video combined with key point guidance were used, respectively. The Ottawa bowel preparation scale (OBPS) and bowel preparation compliance scale were used for investigation, and the occurrence of adverse reactions during bowel preparation and the time of entering the lens during the examination were recorded. T-test was used to analyse the differences in the OBPS score and the time of entering the lens between the two groups. Chi-square test was used to analyse the differences in the bowel preparation qualification rate, the incidence of adverse reactions and the bowel preparation compliance between the two groups.  Results  In the intervention group, the OBPS score was (4.03±2.09) points, and the time of entering the lens was (7.20±1.48) min, which were lower than the OBPS score (6.53±2.56) points and the time of entering the lens (8.33±1.75) min in the control group (all P < 0.05). The incidence of adverse reactions in the intervention group was 13.3% (4/30), which was lower than that in the control group [46.7% (14/30), P < 0.05]. In the intervention group, the qualified rate of bowel preparation [73.3% (22/30)], dietary compliance [83.3% (25/30)], medication compliance [80.0% (24/30)] and exercise compliance [76.7% (23/30)] were higher than those in the control group [36.7% (11/30), 26.7% (8/30), 36.7% (11/30) and 30.0% (9/30), respectively], and the differences were statistically significant (all P < 0.05).  Conclusion  Micro-video combined with key point guidance can improve the quality of bowel preparation, which is worthy of clinical promotion and implementation.
Current situation and correlation of innovation ability and self-transcendence of specialist nurses in interventional operating room in Henan Province
PENG Hui-zhen, ZHAO Wen-li, ZHANG Hong-mei, ZHANG Zhen-xiang, LI Hai-yun, DING Nan-nan
2023, 21(2): 345-349. doi: 10.16766/j.cnki.issn.1674-4152.002879
1043 10
Abstract:
  Objective  This study aims to investigate the status quo of self-transcendence and innovative ability of specialist nurses in interventional operation room, explore the correlation between them, and provide basis for improving the training system of specialist nurses.  Methods  This survey study used cluster sampling method. A total of 117 trainees from the training class of specialist nurses in interventional operation room in Henan Province from November 2017 to November 2020 were selected as the research objects. General information questionnaire, self-transcendence scale and nurse innovative ability scale were used for investigation.  Results  The scores of self-transcendence and innovative behaviour ability of 117 specialist nurses in interventional operation room were (52.03±6.32) points and (152.40±30.45) points, respectively. The average score of each dimension was innovation subject (66.22±12.84) points, innovation process (45.37±9.14) points, innovation environment and pressure (26.32±6.78) points, innovation product (15.25±5.32) points. A positive correlation existed between self-transcendence and innovative behaviour ability (r=0.693, P < 0.05). Multiple linear regression analysis showed that 3 important factors influencing the innovative behaviour ability of specialist nurses included self-transcendence, hospital level and position, which could explain 56.6% of the total variance of the innovative behaviour ability.  Conclusion  The innovative behaviour ability of specialist nurses in intervention operation room in Henan Province is at the middle and upper levels and is positively correlated with the level of self-transcendence. Clinical nursing managers should optimise the external support environment, guide the specialist nurses in interventional operating room to break through the shackles of traditional thinking, take the goal as the guidance, give full play to their subjective initiative and role function and realise their phased growth and self-transcendence. Results provide a basis to promote the cultivation of specialist nurses' innovative behaviour ability and their innovative leading role to continuously improve the quality of nursing service.
Establishment and application of a rehabilitation program based on the HACCP principles for ICU-acquired dysphagia
HU Sui-chai, WANG Dan-jin, CHEN Jie, CAO Fu-xiao, LI Xia, YAN Lei-lei
2023, 21(2): 350-353. doi: 10.16766/j.cnki.issn.1674-4152.002880
994 10
Abstract:
  Objective  This study aimed to investigate the application effect and safety of a rehabilitation program based on the hazard analysis and critical control points (HACCP) principles for patients with acquired dysphagia in the intensive care unit (ICU).  Methods  The clinical data of 142 patients with ICU-acquired dysphagia treated in the Second Affiliated Hospital of Wenzhou Medical University from May 2020 to December 2021 were retrospectively analysed. Based on different admission time periods, they were divided into the control group (admission from May 2020 to February 2021) and research group (admission from March 2021 to December 2021), with 71 cases in each group. The control group received conventional rehabilitation training, and the research group received rehabilitation training based on HACCP principles. When leaving the ICU, the Gugging Swallowing Screen (GUSS) assessment scale, the water swallowing test (WST) score, Chinese version of the swallowing quality of life scale (SWAL-QOL) score and the incidence of adverse events (including aspiration, aspiration pneumonia and substandard diet) were compared between the two groups.  Results  After training, the GUSS score in the research group was 19.14±0.43, which was significantly higher than that in the control group (17.84±1.04), and the WST, feeding time, sleep, food choice and symptom frequency scores were 1.34±0.46, 51.37±4.29, 56.48±4.94, 61.22±5.02 and 47.19±4.52, respectively, which were significantly lower than the control group (1.98±0.81, 63.26±5.15, 65.25±5.63, 65.32±5.47 and 53.53±4.16). The difference was statistically significant (t=9.734, 5.789, 14.947, 9.866, 4.653, 8.696; all P < 0.001). The rate of adverse events occurred in the research group was 1.41%(1/71), which was significantly lower than 29.58%(21/71) in the control group, and the difference was statistically significant (χ2=21.515, P < 0.001).  Conclusion  Rehabilitation training based on the HACCP principle for ICU-acquired dysphagia has a significant effect and high safety.
A case of neonatal herpes simplex virus type Ⅰ severe pneumonia and literature review
CAO Fang, YE Tong-sheng, FENG Guang-bin, HUA Shan, WANG Chang
2023, 21(2): 354-356. doi: 10.16766/j.cnki.issn.1674-4152.002881
803 30
Abstract:
A case of severe neonatal pneumonia infected by herpes simplex virus (HSV) type Ⅰ was reported and the literature was reviewed. The respiratory system of the neonate was mainly manifested as "shortness of breath, foaming at the mouth, and choking milk". The Lung CT indicated that both lungs presented widespread diffuse grid changes, which was rare in clinic. After timely diagnosis and ganciclovir intravenous drops combined with interferon atomization antiviral and supportive treatment, the child recovered well, and was discharged with normal growth and development at 1 year follow-up.