2025 Vol. 23, No. 1

General Practice Forum
Strengthen the mechanism to encourage general hospitals to participate in the family doctor contract service
CHEN Siyu, MA Li
2025, 23(1): 1-4. doi: 10.16766/j.cnki.issn.1674-4152.003824
1168 29
Abstract:
The advancement of high-quality contracted family doctor services is an inevitable consequence of the need to fully mobilize the strength of general practitioners in order to continuously increase the supply capacity and connotation construction of contracted services in the new era. This is also one of the important work contents of the general practice department of general hospitals. The policy strongly advocates that general practitioners in secondary and tertiary hospitals should be directly involved in the signing service of family doctors. However, the general practice department of the general hospital itself is confronted with a number of challenges, including a shortage of personnel, a lack of clarity regarding job responsibilities, an uncertain disciplinary positioning, a lack of competitiveness in disciplines, and an unclear development trajectory. Presently, the primary role of general practitioners in secondary and tertiary hospitals is to join the family medical team of primary medical and health institutions, assuming technical guidance, two-way referral and other responsibilities. They do not generally carry out family doctor contract services as family doctors in primary medical and health institutions. Presently, several issues persist, including inadequate motivation, uncertain identity, and insufficient support and assurance. This paper commences with an examination of the policy environment, social environment, current situation, and pertinent mechanisms of general practitioners participating in the signing of family doctors. It then proceeds to propose the following suggestions. It is recommended that improvements be made to the construction of publicity and guidance mechanisms, signing service mechanisms, talent training mechanisms and other related mechanisms. First and foremost, it is imperative to enhance the publicity and guidance measures to reinforce the recognition of general practitioners ' involvement in family doctor signing policies. Furthermore, the formulation of pertinent operational mechanisms and standards based on demand is essential. This should be accompanied by the provision of policy support and the assurance of work guarantees, with a view to fostering continuous improvement in awareness and the formulation of norms at the level of policy and practice. This will ensure the necessary support and guarantees for the implementation of relevant policies. Furthermore, it offers suggestions for general practitioners in general hospitals to engage extensively in the contractual work of family doctors, thereby facilitating the continuous advancement of high-quality family doctor contractual services and enhancing residents ' perception of the value derived from healthcare.
Diagnosis and Treatment Guidelines
Clinical practice guidelines for the diagnosis and treatment of osteoporosis secondary to ankylosing spondylitis
2025, 23(1): 5-16. doi: 10.16766/j.cnki.issn.1674-4152.003825
1433 31
Abstract:
Ankylosing spondylitis (AS) is a chronic inflammatory disease primarily affecting the axial skeleton, including the spine and sacroiliac joints. AS can lead to multi-system complications, with secondary osteoporosis being common. Currently, there are no relevant consensus or guidelines on diagnosis and treatment domestically or internationally. This guideline was jointly initiated by the Zhejiang Medical Association Osteoporosis and Bone Mineral Disease Committee, the Evidence-Based Medicine Center of Lanzhou University, and the Osteoporosis Society of China Association of Gerontology and Geriatrics. It follows the Oxford grading system and the Reporting Items for Practice Guidelines in Healthcare (RIGHT), providing detailed, evidence-based recommendations on eleven clinical questions concerned by frontline rheumatologists and orthopedists in our country. The guidelines aim to strengthen the scientific basis for diagnosing and treating osteoporosis secondary to AS while improving the quality of patient-centered healthcare.
Special Topic/Lung Cancer Research
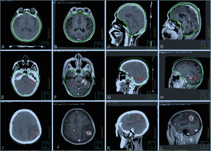
Analysis of the efficacy of combined immunotherapy and radiotherapy in patients with brain metastasis from driver-gene negative non-small cell lung cancer
ZHANG Qun, ZHOU Shixiang, SHI Xueling, YU Dingyue, ZHOU Ying, YU Jiaqi, LI Duojie
2025, 23(1): 17-20. doi: 10.16766/j.cnki.issn.1674-4152.003826
1194 9
Abstract:
  Objective  Exploring the efficacy and safety of combined immunotherapy and radiotherapy in patients with brain metastasis from driver-gene negative non-small cell lung cancer (NSCLC).  Methods  A total of 108 NSCLC patients with brain metastasis, admitted to the First Affiliated Hospital of Bengbu Medical University from January 2020 to December 2023, were selected as the research objects. Patients were divided into the cranial radiotherapy group (single group, 60 cases) and the combined immunotherapy plus cranial radiotherapy group (combined group, 48 cases) according to treatment Methods. The efficacy and toxicity of the two groups were compared. In addition, patients in the combined therapy group were further subdivided into three subgroups: group A (whole brain radiotherapy, WBRT), group B (WBRT combined with local dose radiotherapy), and group C (local radiotherapy) according to the different modes of cranial radiotherapy. The treatment outcomes and side effects of the different radiotherapy modes were compared among the subgroups.  Results  The intracranial Objective response rate (iORR) and disease control rate (iDCR) in the combined therapy group were higher than those of the single therapy group [54.17% (26/48) vs. 35.00% (21/60), χ2=3.985, P=0.046; 75.00% (36/48) vs. 56.67% (34/60), χ2=3.930, P=0.047]. Both groups had tolerable adverse reactions. The comparison of intracranial efficacy among the three subgroups in the combined therapy group showed that the iORR and iDCR of group B were higher than those in the group A (P < 0.001), with no significant difference in the incidence of side effects among the three groups (P>0.05).  Conclusion  Immunotherapy combined with radiotherapy is effective in patients with brain metastasis from driver gene-negative NSCLC. This combination improves the disease control rate without significantly increasing side effects.
Construction and validation for a prognostic model of pyroptosis from lung adenocarcinoma based on machine learning
CHEN Shaoming, HU Yan, HONG Xudong, ZHENG Wei, HU Xugang
2025, 23(1): 21-25. doi: 10.16766/j.cnki.issn.1674-4152.003827
1359 15
Abstract:
  Objective  To construct a prognostic model for lung adenocarcinoma (LUAD) based on pyroptosis related genes (PRGs) and evaluate its association with immune regulation.  Methods  LUAD gene expression and clinicopathological data were obtained from the TCGA database, and differentially expressed PRGs were obtained by the DESeq2 method; the patients were divided into training and validation sets in a 7∶3 ratio by stratified random sampling, and prognosisVrelated genes were screened, and prognostic models were constructed by Cox and Lasso regression; the predictive ability of the prognostic model was evaluated by Kaplan-Meier analysis, ROC curve, and Cox regression analysis in the training set, validation set, and the three test sets (GSE30219, GSE31210, and GSE50081); a nomogram model was constructed to observe the role of the prognostic model combined with the clinical features in the prognostic assessment of LUAD; the correlation between the prognostic model and the immune infiltration was analyzed.  Results  A prognostic model for LUAD consisting of four PRGs, including CPA3, FAT1, MST1, and TFAP2A, was constructed. Patients were divided into the high-risk group and the low-risk group based on median risk scores. Patients in the high-risk group had a poorer prognosis (P < 0.05); The prognostic model risk score has good survival prediction value for patients and was an independent poor prognostic indicator; the nomogram model could effectively predict the survival status. Immune infiltration analysis showed that patients in the high-risk group were in a state of immune dysregulation, and the expression of CD274 and CD276 was significantly elevated.  Conclusion  The prognostic model based on CPA3, FAT1, MST1, and TFAP2A can effectively predict the prognosis of patients with LUAD and correlate with the immune status of the patients, which can be used as an indicator for the evaluation of patient treatment and prognosis.
Prevalence and risk factors of pulmonary nodules among the occupational population in Anshun
FENG Ying, HU Meigui, CHENG Yiju, FAN Maofei
2025, 23(1): 26-30. doi: 10.16766/j.cnki.issn.1674-4152.003828
1261 11
Abstract:
  Objective  As the most common clinical indicator of early lung cancer, the early detection of pulmonary nodules is crucial for lung cancer prevention and treatment. Based on the screening cohort of respiratory diseases in Anshun city, this study analyzed the characteristics of pulmonary nodules in the occupational population and explored associated risk factors. The findings aim to support efforts in the prevention and treatment of lung cancer, and to improve management of individuals with pulmonary nodules in this region.  Methods  A total of 2 730 occupational individuals who underwent low-dose spiral computed tomography (LDCT) chest screening from June 2022 to December 2023 at Anshun People ' s Hospital were selected as research subjects. Demographic data and personal habits of these research subjects were collected through questionnaires at the beginning of the study. The questionnaire data were combined with imaging characteristics of the pulmonary nodules to explore risk factors for pulmonary nodules and positive nodules.  Results  (1) A total of 1 921 occupational individuals (70.36%) were found to have pulmonary nodules. Of these, 914 had positive nodules (33.48%). Miners had the highest prevalence of pulmonary nodules. (2) Risk factors of pulmonary nodules included being male, married, having a junior high school education, smoking, exposure to second-hand smoking, cooking without a range hood, exposure to hazardous substances for more than one year, and having parents with respiratory disease. (3) The number and location of pulmonary nodules varied among occupational groups, through no significant differences were observed in texture, size, or positivity across groups. (4) Cooking without a range hood, age over 50 years old, and smoking index more than 30 pack-years were independent risk factors for positive nodules among traffic police. For miners, smoking index more than 30 pack years and age over 50 years old were independent risk factors. Cooking without a range hood was the sole independent risk factor for positive nodules among sanitation workers and drivers.  Conclusion  Pulmonary nodules are highly prevalent in occupational individuals. Being male, married, smoking, exposure to second-hand smoking, exposure to hazardous substances, and a family history of respiratory disease are independent risk factors of pulmonary nodules. The number and location of pulmonary nodules among different occupational groups. Cooking without a range hood is a universal independent risk factor of positive nodules across all occupational individuals.
General Practice Research
Screening novel targets for combination immunotherapy of colorectal cancer based on cancer immune cycle
ZENG Wei, TANG Jubin, CHEN Xiangzhou, CHEN Wei, YANG Dan, ZHU Jinfeng
2025, 23(1): 31-35. doi: 10.16766/j.cnki.issn.1674-4152.003829
931 12
Abstract:
  Objective  At this stage, immune checkpoint inhibitors (ICIs) are approved for the treatment of colorectal cancer. However, about 50% of dMMR/MSI-H-type patients are primarily resistant to ICIs, and MSS/pMMR-type patients have limited response to single-agent ICIs; therefore, there is an urgent need to find new targets for immune-combination therapy to further improve the therapeutic efficacy of ICIs in patients.  Methods  In this study, we combined the Cancer Immune Cycle Score with the weighted gene co-expression network and systematic analyses to screen immunosuppressive genes in colorectal cancer; analyzed gene expression profiles in colorectal cancer tissues using the GEPIA2 database; CIBERSORT assessed the correlation between gene expression and the level of immune cell infiltration; the TIDE algorithm predicted the gene expression in relation to the efficacy of patient immunotherapy relationship; Kaplan-Meier survival analysis to compare the prognostic differences between groups with high and low expression levels of genes after receiving immunotherapy; and GSEA to analyze the regulatory mechanisms of genes involved in colorectal cancer genesis, development, and affecting the prognosis of patients.  Results  Cancer immune cycle score with weighted gene co-expression network and systematic analysis showed that DDX27 was an immunosuppressive target of colorectal cancer; DDX27 was significantly highly expressed in colorectal cancer tissues (P < 0.001), which was positively correlated with the patients ' later N stage (P=0.005), TNM stage (P=0.006) and infiltration level of suppressive immune cells; patients in the group with high levels of DDX27 expression were poorly treated with immunotherapy, and the overall survival of patients in this group treated with ICI was shorter than that in the group with low levels of DDX27 expression (7.2 months vs. 9.6 months); further analysis showed that DDX27 might be involved in the occurrence and development of colorectal cancer through the regulation of RNA processing and metabolism, and affect the prognosis of patients.  Conclusion  Targeting DDX27 may be a new target for immunotherapy of colorectal cancer by inhibiting the infiltration of immunosuppressive cells and interfering with tumorigenesis and development.
Analysis of 25-hydroxyvitamin D levels and its association with bone turnover markers and bone mineral density in Xiangshan County adults
BAO Hongdan, ZHOU Yafen, SHI Qiongyao, GUO Jingyi, ZHANG Zhenlin, GAO Chao
2025, 23(1): 36-39. doi: 10.16766/j.cnki.issn.1674-4152.003830
711 11
Abstract:
  Objective  To investigate the level and deficiency of 25-hydroxyvitamin D [25(OH)D] in adults living in Xiangshan County, Ningbo City, and to analyze the association between 25(OH)D levels with bone turnover markers (BTMs) and bone mineral density (BMD).  Methods  From August to November 2020, 3 117 volunteers were recruited from Xiangshan County, Ningbo City, including 1 122 males and 1 995 females, with an age range of 22-95 years old. Serum samples were collected for 25(OH)D and BTMs detection. BMD of the lumbar spine, femoral neck, and total hip of the subjects were measured by dual-energy X-ray absorptiometry.  Results  The proportion of 25(OH)D insufficiency and deficiency in the study population was 39.7% (1 236/3 117) and 9.1% (284/3 117), respectively. After grouping by age, the proportion of 25(OH)D deficiency was highest in men and women under 50 years of age, with 11.1% (21/189) and 31.0% (139/449), respectively. After grouping by gender, 25(OH)D levels were negatively associated with special sequence β carboxyterminal peptide of collagen Ⅰ (β-CTX) levels in men and women (male: r=-0.161, P < 0.001; female: r=-0.069, P=0.002). In addition, 25(OH)D levels were positively associated with femoral neck BMD (β=0.001, P=0.019) and total hip BMD (β=0.001, P=0.034) in men.  Conclusion  25(OH)D deficiency and insufficiency are still common in rural areas of Ningbo City, especially among women younger than 50 years old. The results suggest that these people need to pay more attention to their 25(OH)D levels and adjust their lifestyle or use vitamin D supplements early. In addition, 25(OH)D levels were found to be positively associated with BMD and negatively associated with β-CTX levels in this study population.
Abnormal expression and clinical significance of CABYR in gastric cancer
ZHAO Hao, ZHANG Wenjing, YANG Zi, ZHANG Xiaofeng, NIU Jiaqi, SONG Xue
2025, 23(1): 40-44. doi: 10.16766/j.cnki.issn.1674-4152.003831
551 7
Abstract:
  Objective  To investigate the expression of calciumbinding tyrosine phosphorylation-regulated gene (CABYR) in gastric cancer tissues and its relationship with clinicopathological parameters, and to explore its relationship with the long-term prognosis of gastric patient.  Methods  The expression level of CABYR in gastric cancer was analyzed using public cancer databases to assess its impact on disease progression and prognosis. Additionally, 107 gastric cancer patients who underwent radical surgery at the First Affiliated Hospital of Bengbu Medical University from January 2017 to April 2018 were included for validation. Furthermore, the potential biological processes involving CABYR in gastric cancer were predicted using public cancer databases, and its correlation with immune cell infiltration was further analyzed.  Results  Analysis of public cancer databases revealed that the expression level of CABYR in gastric cancer tissue was significantly higher than that in adjacent non-cancerous tissue and was closely associated with clinical staging. Moreover, patients with high CABYR expression had significantly lower postoperative survival rates compared to those with low expression (P < 0.05). In the clinical validation, the expression level of CABYR in gastric cancer tissue was significantly elevated compared to adjacent non-cancerous tissue [(6.944±1.841) vs. (1.000±0.245), P < 0.001], correlating strongly with malignant disease progression. Additionally, the 5-year postoperative survival rate of patients with high CABYR expression was significantly lower compared to the low-expression group (log-rank χ2=32.799, P < 0.05). Cox regression analysis showed that high CABYR expression as an independent risk factor for reduced 5-year postoperative survival (HR=2.985, 95% CI: 1.460-6.104). ROC curve analysis demonstrated that CABYR predicted cancer-related death with 80.39% sensitivity and 73.21% specificity (P < 0.05). Further database analysis revealed that the biological function of CABYR in gastric cancer was mainly associated with immune cell infiltration.  Conclusion  High expression of CABYR is closely associated with gastric cancer progression and can serve as a biomarker for evaluating clinical prognosis.
Analysis of the safety and efficacy of proximal gastrectomy of esophageal-jejunal π-type anastomosis and circular anastomosis
WANG Mingqing, SHENG Weiwei, CAO Guodong, XIA Guozhi, GENG Qilong, XIONG Maoming, HU Kongwang
2025, 23(1): 45-49. doi: 10.16766/j.cnki.issn.1674-4152.003832
804 8
Abstract:
  Objective  Compare the perioperative and postoperative outcomes of two different digestive reconstructions: improved endoscopic esophago-jejunal π-anastomosis and open circular anastomosis in proximal gastrectomy. We investigated the safety and effectiveness of improved π-anastomosis combined with dual channel anastomosis in proximal gastrectomy.  Methods  A retrospective analysis was conducted on the clinical data of 63 cases of gastric cancer who underwent laparoscopic or open proximal gastrectomy, dual-channel anastomosis in the Department of Gastroenterology at the First Affiliated Hospital of Anhui Medical University from January 2018 to January 2023. Among them, 24 cases underwent open esophagojejunal circular anastomosis (circular anastomosis group); 39 cases of full endoscopic esophagojejunal modified π-type anastomosis were selected (π anastomosis group). Compare the clinical data, perioperative recovery, and postoperative complications of two groups of patients to evaluate the safety and efficacy of the improved π-type anastomosis technique.  Results  There were no differences between the π-type anastomosis group and the round astomosis group in terms of preoperative baseline data, number of lymph nodes dissected during operation, cutting edge condition, intraoperative blood loss, operation time and anastomosis time, and postoperative related complication (P>0.05), but the length of the incision [(4.92±0.53) cm vs. (14.33±1.80) cm, P < 0.001], the time of the first activity on the ground [(1.07±0.27) d vs. (1.91±0.58) d, P < 0.001], first exhaust time [(2.17±0.38) d vs. (2.91±0.58) d, t=4.652, P=0.039], the time to return to a full liquid diet, the length of postoperative hospital stay, NRS score on the third postoperative day, the incision infection, and overall postoperative complication grading, these were significant statistical differences (P < 0.05).  Conclusion  The combined esophageal-jejuno-π anastomosis and open circular anastomosis in the double-channel gastrointestinal reconstruction of proximal gastrectomy are equally safe and effective, while the π-type anastomosis is less invasive and has a faster recovery, which is a safe, feasible and worthwhile strategy for gastrointestinal reconstruction.
Causal relationship between fasting plasma glucose and coronary heart disease based on two-sample mendelian randomization
LI Yan, ZHANG Yuxia, SHAN Haiyan
2025, 23(1): 50-54. doi: 10.16766/j.cnki.issn.1674-4152.003833
843 13
Abstract:
  Objective  Using two-sample mendelian randomization analysis to investigate the causal relationship between fasting plasma glucose and coronary heart disease, and to provide a basis for clinical prevention and treatment of coronary heart disease.  Methods  The causal relationship between fasting plasma glucose and coronary heart disease was analyzed using a two-sample Mendelian randomization approach with stringent selection criteria (P < 5×10-8, a distance of 10 000 kb, and r2 < 0.001). To identify instrumental variables closely associated with coronary heart disease and fasting plasma glucose in a European ancestry genome-wide association studies (GWAS) dataset, we extracted SNPs. This analysis included 200 622 fasting plasma glucose samples and 12 171 coronary heart disease cases with 450 839 controls. To validate the results, a repeated Mendelian randomization analysis was conducted using GWAS data from other datasets (fasting plasma glucose: n=24 679; coronary heart disease: 43 518 cases, and 333 759 controls). The primary analytical method used was the inverse variance-weighted method (IVW), and sensitivity analyses were performed to assess the robustness of the Mendelian randomization results.  Results  The IVW analysis strongly supports that higher fasting plasma glucose levels increase the risk of coronary heart disease (OR=1.007, 95% CI: 1.002-1.013, P=0.010). Similar trends were observed in the repeated analyses (OR=1.202, 95% CI: 1.086-1.329, P < 0.001). Sensitivity analyses further reinforce the robustness of the Mendelian randomization estimates.  Conclusion  Mendelian randomization analysis in the European population indicates a causal relationship between fasting plasma glucose and increased coronary heart disease risk. Clinically managing fasting plasma glucose levels within reason may be beneficial in preventing coronary heart disease and its related complications.
Relationship of perineural invasion with clinicopathological features and prognosis in breast cancer patients
PENG Puchao, CHEN Lijie, XUAN Haojun, YAO Min, DENG Zaixing, ZHANG Xin, DING Xiufang
2025, 23(1): 55-58. doi: 10.16766/j.cnki.issn.1674-4152.003834
1127 10
Abstract:
  Objective   The prognostic and survival significance of perineural invasion in breast cancer was not clear, the relationship of perineural invasion with clinicopathological characteristics and the effect on the prognosis of breast cancer were analyzed, so as to provide a basis for accurate evaluation of the prognosis of breast cancer.   Methods   A total of 159 breast cancer patients in Huzhou Maternal and Child Health Care Hospital from January 2018 to December 2021 were selected as the study subjects. According to the presence of perineural invasion, the patients were divided into the PNI-positive group (n=43) and the PNI-negative group (n=116). The clinicopathological characteristics of two groups of breast cancer patients were compared, and univariate and multivariate logistic regression analysis were used to analyze the risk factors of neural invasion of breast cancer. Moreover, the Kaplan-Meier method was used to draw survival curves to compare the differences in disease-free survival between the two groups of patients. Meantime, Cox regression analysis was used to explore the factors affecting the prognosis of breast cancer patients.   Results   Among 159 cases of breast cancer, 43 cases (27.0%) had a perineural invasion. Univariate analysis showed that T stage, axillary lymph node metastasis, TNM staging, and the expression levels of Ki-67 of breast cancer were correlated with perineural invasion (P < 0.05); In the logistic binary regression analysis with multiple factor analysis, axillary lymph node metastasis, TNM staging, and the expression levels of Ki-67 were independent factors influencing the occurrence of breast cancer perineural invasion(P < 0.05). The disease-free survival rate of 43 patients with nerve infiltration was 67.4%, while the disease-free survival rate of 116 patients without nerve infiltration was 87.9%. The difference in disease-free survival rates between the two groups was statistically significant (χ2=12.693, P < 0.05). The results of univariate Cox regression analysis showed that estrogen receptor, progesterone receptor, T stage, TNM staging, nuclear grade, neural infiltration, and molecular typing were the prognostic factors for breast cancer patients (P < 0.05); Cox regression analysis showed that triple-negative breast cancer and perineural invasion were independent prognostic factors of patients with breast cancer (P < 0.05).   Conclusion   Axillary lymph node metastasis, TNM staging, and Ki-67 overexpression were independent related factors of nerve invasion in breast cancer, perineural invasion was an independent prognostic factor of breast cancer patients. It could be used as an indicator to evaluate the prognosis of patients.
A study on clinical characteristics and prognostic factors of HFpEF patients using ARNI based on latent class analysis
HE Wenchao, ZHU Mucheng, SU Quanbin, ZHANG Qi, ZENG Wenbao, YAO Siqi, ZHANG Zhengyi
2025, 23(1): 59-64. doi: 10.16766/j.cnki.issn.1674-4152.003835
820 10
Abstract:
  Objective   This study applied the potential category analysis method with the aim of observing the efficacy of angiotensin receptor enkephalinase inhibitors in patients with HFpEF and analyzing the factors affecting the prognosis of the patients and the related different characteristic subtypes.   Methods   Clinical data of HFpEF patients hospitalized in the Second Hospital of Lanzhou University with ARNI from December 2018 to June 2023 were collected with a one-year follow-up. LASSO regression was used to screen variables, and patient subgroups were explored by latent class analysis (LCA) to determine the optimal number of clusters and to compare the differences in clinical characteristics and prognosis between phenotype groups.   Results   The 1-year mortality rate for patients hospitalized with HFpEF was 37.9% (85 cases). Compared with patients in the nonfatal group, deceased patients were older, had higher creatinine, NT-proBNP, glucose, and urea nitrogen; and had lower BMI, lymphocytes, blood calcium, and albumin. LCA identified 4 phenotypes: phenotype 1 for overweight middle-aged and elderly patients with better renal function and comorbid pulmonary hypertension and atrial fibrillation, with a better prognosis; and phenotype 2 for elderly patients with poor renal function, the highest NT-proBNP, and comorbidities, with poor prognosis; phenotype 3 with the youngest age, the best renal function, mild symptoms of heart failure, good nutritional condition, and fewer comorbidities, with the best prognosis; and phenotype 4 with the lowest BMI, glucose, and serum albumin, the worst renal function, and a combination of pulmonary arterial hypertension, chronic obstructive pulmonary disease, with the poorest prognosis.   Conclusion   Advanced age, poor nutritional status, renal insufficiency, and combined pulmonary hypertension are influential factors in the mortality of patients with HFpEF. The discovery of four HFpEF patient phenotypes with different characteristics and prognostic differences provides a new basis for the application of ARNI in HFpEF patients.
Analysis of factors influencing high risk of type 2 diabetes mellitus combined with malnutrition and sarcopenia in elderly patients
XIE Minghui, LIANG Bing, JIN Guoxi, WEI Nana, LIU Yurun
2025, 23(1): 65-68. doi: 10.16766/j.cnki.issn.1674-4152.003836
929 16
Abstract:
  Objective   This study aims to investigate the high risk of sarcopenia in elderly patients with type 2 diabetes mellitus complicated with malnutrition, and analyze underlying causes of sarcopenia.   Methods   A total of 212 elderly patients with type 2 diabetes mellitus and malnutrition (aged≥60 years old) hospitalized at the First Affiliated Hospital of Bengbu Medical University from September 2023 to April 2024 were selected as the research objects. Malnutrition patients were screened using the mini-nutritional assessment short-form (MNA-SF), and calf circumference was measured to calculate the Ishii score. According to the Ishii scores, the patients were divided into the high-risk group (142 cases) and the low-risk group (70 cases), and comparisons were made between the two groups. Multivariate logistic regression was used to analyze the factors influencing the high risk of sarcopenia.   Results   A comparison between the low-risk group and the high-risk group for sarcopenia in elderly patients with type 2 diabetes mellitus complicated with malnutrition revealed 11 statistically significant independent variables. These variables included age (year), BMI, hemoglobin (Hb), prealbumin (PA), 24-hour urinary microalbumin (24hUMA), insulin resistance index (HOMA-IR), insulin injection, sodium-dependent glucose transporters 2 inhibitor (SGLT-2i), and ADL score (P < 0.05). Multivariate logistic regression analysis showed that age 60-69 years, BMI < 21, PA < 280 mg/L, 24hUMA≥30 mg/24 h, HOMR-IR≥2.69, SGLT-2i, ADL < 70, and insulin were risk factors for high risk of sarcopenia, while insulin injection was a protective factor.   Conclusion   Elderly patients with type 2 diabetes mellitus complicated with malnutrition have a high incidence of sarcopenia. General practitioners should intervene promptly to reverse risk factors, control blood glucose, improve nutritional status, delay the occurrence of sarcopenia, and reduce the risk of diabetic complications such as falls and osteoporosis.
General Clinical Research
Curative effect observation of donepezil combined with calcitriol in the treatment of mild cognitive impairment
SHEN Jiaying, FAN Jiajia, ZHANG Chen, WANG Xiaoyan, ZHU Mengna, REN Jingjing
2025, 23(1): 69-72. doi: 10.16766/j.cnki.issn.1674-4152.003837
804 9
Abstract:
  Objective   The present study aims to compare and analyze the clinical efficacy of donepezil monotherapy versus the combination therapy of donepezil and calcitriol in treating mild cognitive impairment (MCI), with the intention of providing a scientific basis and guidance for therapeutic regimens for MCI patients.   Methods   A total of 172 MCI patients were selected from Huzhou Central Hospital from February 2020 to July 2022 and divided into a control group (74 cases) and an observation group (98 cases) by random number table method. The control group was given donepezil (5 mg/d) and placebo (saline capsule, 1 pill/d) on the basis of non-drug treatment. The observation group was given donepezil (5 mg/d) and calcitriol (0.25 μg/d). Mini-mental state examination (MMSE) scale, Montreal cognitive assessment (MoCA) scale, and functional activity questionnaire (FAQ) were compared between the two groups at the 6th month and 12th month.   Results   There were statistically significant improvements in MMSE, MoCA, and FAQ in both groups at the 6th month and 12th month compared to baseline (P < 0.05). With the 12th month as the main endpoint, the MMSE of the observation group was better than that of the control group (P < 0.05), and there were no significant differences in MoCA and FAQ between the two groups (P>0.05); The incidence of adverse drug reactions in the control group and observation group was 1.35% (1/74) and 1.02% (1/98), respectively, and the proportion of poor medication adherence was 12.16% (9/74) and 11.22% (11/98), respectively. There were no statistically significant between the two groups (P=0.999, 0.849).   Conclusion   Donepezil or combined administration of donepezil + calcitriol based on non-drug intervention has a favorable impact on MCI patients, but the drug combination scheme does not exhibit evident advantages.
Influence of disease perception and treatment confidence on treatment compliance of adolescents with non-suicidal self-injury tendency
SHEN Qinwei, LUO Ping, ZHENG Jifeng
2025, 23(1): 73-76. doi: 10.16766/j.cnki.issn.1674-4152.003838
621 3
Abstract:
  Objective   To investigate the treatment compliance of adolescent patients with non-suicidal self-injury tendency and its related influencing factors, and analyze the effects of disease perception and treatment confidence on treatment compliance.   Methods   A total of 113 adolescent patients with non-suicidal self-injury tendency who were treated in Shaoxing Seventh People' s Hospital from October 2020 to November 2023 were selected as the research object, and their treatment compliance score, disease perception, and treatment confidence were investigated. Pearson correlation analysis was used to analyze the relationship between disease perception and treatment confidence and treatment compliance, and patients were divided into a high compliance group and a low compliance group according to their treatment compliance scores, and the related factors affecting treatment compliance were analyzed by multivariate logistic regression.   Results   37.17% (42/113) patients had poor treatment compliance, and the scores of age, course of disease, drinking history, comorbidity of depression, disease perception, treatment confidence, and RBANS score of patients with high treatment compliance were significantly different from those of patients with low treatment compliance (P < 0.05). Pearson correlation analysis showed that disease perception was negatively correlated with treatment compliance (r=-0.504, P < 0.001), and treatment confidence was positively correlated with treatment compliance (r=0.518, P < 0.001). Multivariate logistic regression analysis showed that the course of disease (OR=0.051), comorbid depression (OR=0.177), disease perception (OR=0.817), confidence in treatment (OR=1.905), and RBANS score (OR=1.221) were the factors that affected the treatment compliance (P < 0.05).   Conclusion   Teenagers with non-suicidal self-injury tendency have poor treatment compliance, and improving patients' disease perception and treatment confidence may be the key goal of intervention measures to improve treatment compliance.
Analysis of the influence of remazolam on delirium risk in elderly surgical patients
HUANG Changjun, XIE Xiuxiu, GUO Shaohui, SHI Siren
2025, 23(1): 77-80. doi: 10.16766/j.cnki.issn.1674-4152.003839
849 4
Abstract:
  Objective   Elderly patients undergoing hip replacement surgery are at high risk of postoperative delirium. The rational selection of anesthetic drugs is crucial to reducing this risk. A new type of ultra-short-acting benzodiazepine intravenous sedative, remazolam, offers advantages such as quick onset, rapid recovery, and no accumulation, making it a great application for elderly patients. This study investigates the effect of remazolam on the risk of postoperative delirium in elderly patients undergoing hip replacement surgery.   Methods   From July 2021 to May 2023, 100 elderly patients scheduled for surgical treatment at the First People' s Hospital of Linping District, Hangzhou, were included as the research object. Patients were divided into the propofol group and the remazolam group by simple randomization method, with 50 cases in each group. The propofol group was given propofol anesthesia induction and intraoperative anesthesia maintenance, while the remazolam group was given remazolam anesthesia induction and intraoperative anesthesia maintenance. The use of vasoactive drugs in the operation between the two groups was recorded. The quality of postoperative recovery and the incidence of postoperative delirium were compared between the two groups.   Results   Neither group required nicardipine during surgery. However, the dosage of dopamine, norepinephrine, atropine, and ephedrine during operation in the remazolam group was lower than those in the propofol group (P < 0.05). There was no statistical difference in QoR-40 scores between the two groups on immediately after anesthesia, 1st postoperative day, and 3rd postoperative day (Waldχ2=0.887, P=0.346). The incidence of delirium in the propofol group was 26.00% (13/50)immediately after anesthesia, 6.00% (3/50) on the first postoperative day, and 2.00% (1/50) on the third postoperative day. In the remazolam group, the incidence was 14.00% (7/50), 4.00% (2/50), and 4.00% (2/50), respectively, with no statistical difference between the two groups (Waldχ2=1.818, P=0.178).   Conclusion   Remazolam effectively reduces the dosage of vasoactive drugs in elderly patients undergoing surgery. However, its effects on postoperative recovery quality and postoperative delirium risk are comparable to those of propofol.
Investigation and analysis of problems related to clinical application of hypoglycemic drugs in diabetic patients
LI Yang, HU Xiaolei, ZHU Yuehao
2025, 23(1): 81-84. doi: 10.16766/j.cnki.issn.1674-4152.003840
869 9
Abstract:
  Objective   Based on the Spanish classification (GRANADA-Ⅱ), drug-related problems (DRPs) in the clinical application of hypoglycemic drugs in inpatients with diabetes is investigated and analyzed.   Methods   A retrospective study was conducted to select 400 hospitalized patients with diabetes admitted to Bengbu Municipal Second People Hospital from January 2023 to December 2023 as the study objects. Drug regimens were evaluated and classified according to the Spanish classification (Granada-Ⅱ).   Results   A total of 400 hospitalized diabetic patients were included, including 202 males and 198 females, involving a total of 16 departments. Drug regimens for these patients were evaluated and classified according to the Granada-Ⅱ classification. The results showed that there were DRPs occurred in 77 cases (19.25%), including DRP3 (55 cases, 13.75%), DRP5 (50 cases, 12.50%), and DRP6 (23 cases, 5.75%). The total dosage was 150 doses. Among them, the inappropriate usage [65 doses (43.33%)] was the most prominent, followed by over-recommended dose medication [24 doses (16.00%)] and incompatibility[23 doses (15.33%)], combined interaction drugs [20 doses (13.33%)] and the lowest incidence was contraindications [18 doses (12.00%)].   Conclusion   There are still some problems in the use of hypoglycemic drugs in patients with diabetes in Bengbu Municipal Second People Hospital, including incompatibility and inappropriate usage, which can be evaluated by Granada-Ⅱ classification. For common DRPs such as drug dose errors and drug interactions, clinical treatment should strengthen patient education, optimize drug treatment plan, and provide individualized medication guidance to reduce the occurrence of DRPs.
Effects of hand, foot, and mouth disease on oral microbiota in children
JIANG Yazhou, ZHU Suyue, QIAO Jibing, SHEN Nan, WU Rang, LIU Feng
2025, 23(1): 85-88. doi: 10.16766/j.cnki.issn.1674-4152.003841
610 4
Abstract:
  Objective  To detect and analyze the changes in oral microbiota of children with hand, foot, and mouth disease (HFMD) by high-throughput sequencing technology.   Methods   A total of 86 children diagnosed with HFMD in Suqian Hospital Affiliated to Xuzhou Medical University from April 2021 to September 2023, as well as 38 healthy children who underwent physical examinations during the same period, were selected as the HFMD group and the control group, respectively. Bilateral buccal mucosal saliva swabs of all the included children were collected and genomic DNA was extracted. 16S rDNA amplicon sequencing was performed after quality inspection. The biological information obtained by sequencing was clustered, annotated, and compared between groups. α diversity analysis and β diversity analysis were used to compare the abundance, diversity, and structural changes. The top ten abundant key bacteria genera of the two groups were significantly compared again to screen biomarkers.   Results   A total of 1 891 OTUs were obtained in the two groups, 1 047 in the HFMD group, and 844 in the control group, with 544 between the groups. Compared to healthy children, the oral microbiota structure of HFMD was changed, and the shannon index (P < 0.05) and ACE index (P < 0.05) were significantly decreased. The key bacterial genera are characterized by a decrease in the abundance of Leptotrichia (P < 0.05) and Capnocytophaga (P < 0.05).   Conclusion   The oral microbiota of HFMD is disordered, with significantly reduced diversity and richness, characterized by a decrease in short-chain fatty acids-producing bacteria. These results can provide some theoretical basis for the study of HFMD microecology mechanism and its targeted intervention in the future.
A study on the temporal and spatial differences in refractive progression among children aged 3-16 in Shanghai
SHAO Jie, HUANG Jiaoling, CHEN Jinzhi, GAO Zitian, HUANG Qian, ZHANG Yi, WANG Yulin
2025, 23(1): 89-93. doi: 10.16766/j.cnki.issn.1674-4152.003842
660 5
Abstract:
  Objective   Explore the characteristics and influencing factors of refractive development in children of different ages and refractive states in urban and suburban areas, and provide the scientific basis for precise prevention and control of myopia.   Methods   Using cluster sampling, a total of 10 652 children in the urban and suburban areas of Shanghai were surveyed to analyze the distribution, progression, and influencing factors of SE.   Results   Compared to the urban and suburban areas, the maximal SE change in the urban area is 7-9 years group [ΔSE (-0.96±1.19) D], while in the suburban area it is the 10-12 years group [ΔSE (-0.60±1.08)D]. Among the school-age children, the hyperopic group has the maximal ΔSE change over 2 years, followed by the pre-myopic group and the low myopia group. The high myopia group has the minimal progression (P < 0.05). The independent influencing factors of ΔSE for children aged 3-9 years are baseline age (β=-0.183), baseline SE (β=-0.267) and region (β=0.300), and for children aged 10-16 years, they are gender (β=-0.139), baseline age (β=0.130), baseline SE (β=-0.046), baseline astigmatism (β=-0.086) and region (β=0.288).   Conclusion   Preschool children should pay attention to their "hyperopia reserve"; Children aged 7-9 in urban areas, 10-12 in suburban areas, or with hyperopia pre-myopia are key monitoring and intervention targets. Improving the spatial spectrum of urban buildings, classrooms, and home layouts is also helpful.
Dynamic changes in metabolic indexes following organophosphorus poisoning and their correlation with prognosis in hospital
XU Xunhong, XU Maohua, LI Xiaohong
2025, 23(1): 94-97. doi: 10.16766/j.cnki.issn.1674-4152.003843
693 6
Abstract:
  Objective   Organophosphorus poisoning has an acute onset and progresses rapidly. Without timely treatment, it may lead to coma or even death. Metabolic indexes change dynamically following acute organophosphorus poisoning, which have the potential value to predict the prognosis of organophosphorus poisoning. Therefore, this study explores the correlation between the dynamic changes of metabolic indexes and prognosis of patients.   Methods   From January 2021 to December 2022, 245 patients with organophosphorus poisoning at the Emergency Medicine Department of the Chun' an Branch of Zhejiang Provincial People' s Hospital were selected as the research object. The blood samples were collected within 72 hours post-poisoning, and the dynamic changes of metabolic indexes were analyzed. At the same time, the prognosis of patients with organophosphorus poisoning were collected, and the correlation between the dynamic changes in metabolic indexes and prognosis was analyzed by Cox regression analysis.   Results   The random blood sugar, sodium ion, serum creatinine, and blood urea nitrogen all changed dynamically within 72 hours after poisoning, while the chloride ion level showed no significant variation. Among the 245 patients, 56 (poor prognosis group) died, while 189 (improved prognosis group) recovered. The sodium ion (HR=2.958, P=0.021), serum creatinine (HR=4.759, P < 0.001), blood urea nitrogen (HR=7.101, P < 0.001), old age (HR=1.109, P=0.001), and longer time from poisoning to admission (HR=6.872, P < 0.001) were the risk factors for the death of patients with organophosphate poisoning. High AChE activity was identified as a protective factor for the death of patients with organophosphorus poisoning (HR=0.910, P < 0.05).   Conclusion   The patients' random blood sugar, sodium ion, serum creatinine, and blood urea nitrogen exhibit dynamic changes within 72 hours after poisoning, while chloride ion levels remain stable. Dynamic changes in sodium ion, serum creatinine, and blood urea nitrogen, as well as age, time to admission, and AChE activity, are significantly related to the prognosis of patients with organophosphorus poisoning.
Application of Skinner' s procedural teaching theory in health education for high-risk patients with diabetic foot
SU Qiaodan, ZHUGE Fuyuan, WANG Jun, TU Xin
2025, 23(1): 98-102. doi: 10.16766/j.cnki.issn.1674-4152.003844
772 5
Abstract:
  Objective  Health education plays an important role in preventing diabetic foot. This study discusses the application of Skinner' s procedural teaching theory in the health education of high-risk patients with diabetic foot, aiming to reduce the risk of diabetic foot occurrence and improve the quality of life of patients.  Methods  From January 2022 to October 2023, a total of 102 high-risk patients with diabetic foot from Shaoxing People' s Hospital were randomly divided into a control group (n=51) and an experimental group (n=51). The study was completed by 48 patients in the control group and 47 in the experimental group, respectively. The control group was given routine health education, while the experimental group was given Skinner' s procedural teaching theory, followed by an intervention for 3 months. Foot care knowledge, self-care behavior score, blood glucose level, and foot skin condition were compared between the two groups.  Results  Scores of foot examination, daily foot care, toenail trimming, foot skin dryness, footwear selection, and foot problem treatment knowledge after health education in experimental groups were higher than those in the control group (P < 0.05). Scores of foot self-care behavior were also higher in the experimental group than those in control group (P < 0.05), except for the item "frequency of foot washing in the past week". Additionally, fasting blood glucose, 2-hour postprandial blood glucose, and glycated hemoglobin levels were significantly lower in the experimental group than those in the control group (P < 0.05). After health education, general condition of the foot of both control group and experimental group were improved compared with that before health education (P < 0.05), and the total improvement of experimental group (OR=2.765, 95% CI: 1.561-4.891, P < 0.001) was better than that of control group (χ2=5.902, P < 0.05).  Conclusion  Compared with the conventional health education, the application of Skinner' s procedural teaching theory in the health education of high-risk patients with diabetic foot improves the knowledge level of foot care, enhances the self-care behavior of foot, regulates the blood sugar levels, and improves the food skin conditions. This approach has positive significance in preventing the occurrence of diabetic foot.
The effect of problem-solving therapy on depressive symptoms and cognitive flexibility in patients with primary moderate to severe depression
FAN Yadan, CHEN Jing, YU Xiaoding, LUO Ping
2025, 23(1): 103-106. doi: 10.16766/j.cnki.issn.1674-4152.003845
921 11
Abstract:
  Objective  To analyze the application effect of problem-solving therapy intervention on the basis of routine nursing in patients with first-episode depression, and its impact on patients' depressive symptoms and cognitive flexibility.  Methods  A total of 126 patients with first-episode moderate to severe depression admitted to the Seventh People' s Hospital of Shaoxing City from February 2021 to October 2023 were selected as the study subjects, and they were divided into the control group (63 cases) and the observation group (63 cases) according to the method of randomized numerical table. The control group accepted routine nursing intervention, while the observation group accepted problem-solving therapy nursing on the basis of the control group. The depressive symptoms [Hamilton depression scale-24 items (HAMD-24)] and cognitive flexibility [cognitive flexibility inventory (CFI)] were compared between two groups of patients.  Results  After the intervention, the scores of each dimension and total score in the HAMD-24 scale of the two groups of patients decreased compared to before the intervention, and the total score of the observation group was (17.84±2.73) points, clearly less than that of the control group [(20.15±3.16) points], with statistical significance (P < 0.05). After intervention, the selectivity, controllability, and total score of the CFI scale in the observation group were (51.81±6.22) points, (18.91±2.74) points, and (71.31±7.40) points, respectively, which were higher than those in the control group [(42.53±4.37) points, (15.72±2.83) points, and (60.22±6.83) points], with statistical significance (P < 0.05).  Conclusion  Problem solving therapy nursing can improve the depressive symptoms and cognitive flexibility of first-onset moderate to severe depression patients on the basis of routine treatment and nursing, and has certain clinical value.
Study on the pelvic floor ultrasound for evaluating the therapeutic effect level of mixed urinary incontinence in women
LIU Shanshan, FANG Yue, ZHOU Yibo
2025, 23(1): 107-110. doi: 10.16766/j.cnki.issn.1674-4152.003846
851 5
Abstract:
  Objective  To improve the clinical treatment level of mixed urinary incontinence (MUI) and enrich the monitoring pathways of MUI condition, the feasibility of using pelvic floor ultrasound for the diagnosis and efficacy monitoring of MUI is explored.  Methods  A total of 170 female patients with MUI admitted to Jinhua Hospital Affiliated to Zhejiang University from June 2020 to September 2023 were randomly divided into a control group (85 cases) and an observation group (85 cases). Patients in the control group were treated with anti-urinary incontinence drugs combined with pelvic floor muscle rehabilitation training, while patients in the observation group were treated with nerve electrical stimulation. The changes in MUI clinical symptom indicators, urodynamic indicators, and pelvic floor ultrasound indicators of patients from before treatment to 12 weeks of treatment were monitored.  Results  After 4 weeks and 8 weeks of treatment, the observation group had significantly lower urinary incontinence frequency [(3.64±1.45) times, (1.36±0.48) times] and 1-hour urinary pad test leakage [(19.15±2.24) g, (5.13±1.18) g] compared to the control group [(6.25±1.74) times, (4.83±1.46) times and (24.73±3.16) g, (12.64±1.59) g, P < 0.001]. In terms of urodynamic indicators, the maximum urine flow rate in the observation group were significantly higher than those in the control group, while the detrusor muscle pressure at maximum urine flow rate were significantly lower than those in the control group (P < 0.001). In terms of pelvic floor ultrasound indicators, the bladder neck movement distance, urethral rotation angle, urethral infundibulum formation rate, and bladder urethral posterior angle in the Valsalva state of the observation group were significantly lower than those in the control group. However, after 12 weeks of treatment, there was no statistically significant difference in various urodynamic and pelvic floor ultrasound indicators between the two groups (P>0.05).  Conclusion  Pelvic floor ultrasound and urodynamic indicators can effectively reflect the changes in the therapeutic effect of prolonged MUI treatment duration. Pelvic floor ultrasound has the characteristics of non-invasive, convenient, low-cost, and easy to repeat detection, making it more advantageous in monitoring the condition and evaluating the therapeutic effect of MUI.
Correlation between the dynamic analysis of D-dimer levels and post-treatment ultrasonic characteristics in patients with venous thrombosis of lower limbs
JIANG Junjie, SHENG Chenwei
2025, 23(1): 111-114. doi: 10.16766/j.cnki.issn.1674-4152.003847
720 7
Abstract:
  Objective  To detect the level of D-dimer in patients with venous thrombosis of lower limbs and analyze the relationship between the ultrasonic characteristics of patients after treatment and the dynamic changes in D-dimer level.  Methods  One hundred and twenty-seven patients with deep venous thrombosis of lower limbs who received anticoagulant therapy at the Huzhou Third People' s Hospital from June 2020 to March 2022 were selected retrospectively. D-dimer levels were recorded before and after treatment. According to the recurrence of venous thromboembolism in lower limbs during follow-up, patients were divided into a recurrence group and a non-recurrence group. The correlation between the dynamic changes in D-dimer levels, the ultrasonic characteristics after treatment, and the time point of recurrence risk was analyzed.  Results  Of the 127 patients, 34 were included in the recurrence group, and the remaining 93 patients were included in the non-recurrence group. FV [(8.53±1.51) cm/s] and other ultrasonic blood flow signal values in the recurrence group were lower than those in the non-recurrence group [(19.79±5.29) cm/s, t=12.231, P < 0.001]. Six months after treatment, D-dimer levels were negatively correlated with the ultrasonic blood flow signal values of FV (r=-0.499, P < 0.001), CIV (r=-0.588, P < 0.001), and POV (r=-0.538, P < 0.001). The differences in D-dimer levels at 6, 9, and 12 months after treatment had statistical significances for the recurrence risk of venous thromboembolism in lower limbs (P < 0.05).  Conclusion  The dynamic changes of D-dimer levels can monitor the recurrence risk in patients with venous thrombosis of lower limbs after anticoagulation treatment. After 3 months of anticoagulation treatment, monitoring for abnormal increase in D-dimer levels is crucial, and extending the duration of anticoagulation treatment may help prevent the recurrence of lower-limb venous thrombosis.
A systematic evaluation of theories and research on self-health management interventions for community populations
LI Wanyu, GU Chao, ZHANG Min, JIN Hua, YU Dehua
2025, 23(1): 115-121. doi: 10.16766/j.cnki.issn.1674-4152.003848
2245 31
Abstract:
Based on the current increase in the number of patients with chronic diseases and the growing demand for health management, the importance of self-health management is becoming more and more prominent, and the implementation of effective self-management by community residents can help to improve the effectiveness of chronic disease management, promote healthy lifestyles, reduce the burden on the healthcare system, and raise health awareness. With the development of health education and behavioral research, health behavior change theory models such as the health belief model, self-efficacy theory, planned behavior theory, social cognitive theory, and self-determination theory, as well as intervention models such as the PRECEDE-PROCEED model, the IKAP model, the CCM model, the trans-theoretical model, the IMB model, and the BCW model, have emerged. These theories and models provide a theoretical foundation for health education and intervention programs, and help health professionals and policy makers design health promotion programs that are more in line with the characteristics of the community by accurately understanding their role and effectiveness in different community settings. This paper reviews the major self-health management theories and models currently applied in community populations at home and abroad, their founding information, theoretical foundations, areas of application and limitations, as well as intervention strategies related to interventions under different research protocols in practical applications, and explores how these theories and models can contribute to changes in health behaviors and the effective management of chronic diseases. Through comprehensive analysis, this paper emphasizes the practical application of theories and models in enhancing the self-management capacity of community populations, and the importance and potential of integrating modern information technology into health management practices.
Research progress of exosome-deriveds non-coding RNA in osteosarcoma metastasis
HU Xuemei, PAN Baolong, BAI Yingying, YANG Yang
2025, 23(1): 122-126. doi: 10.16766/j.cnki.issn.1674-4152.003849
605 5
Abstract:
Osteosarcoma (OS) is a malignant bone tumor primarily affects in children and adolescents, characterized by rapid progression, high malignancy, and easy metastasis. Metastasis of osteosarcoma often occurs in the early stage of the disease, with the lungs being the primary site of spread, contributing significantly to treatment failure and poor prognosis. Exosomes, extracellular vesicles ranging from 40 to 160 nm in diameter, are secreted by a variety of cells and present in numerous body fluids. They play key roles in intercellular communication and maintaining cell structure. Exosomes contain many bioactive substances, such as protein, lipids, mRNA, and ncRNA, which plays a key role in the distant metastasis of osteosarcoma through intercellular signaling. Among the various ncRNAs, miRNA, lncRNA, and circRNA have been widely studied for their roles in regulating osteosarcoma metastasis at multiple molecular levels. The expression levels of exosomal ncRNA in osteosarcoma can either be increased or decreased, influencing tumor progression and metastasis of osteosarcoma by improving cell invasion and migration, inducing epithelial-mesenchymal transition, promoting angiogenesis, and activating related signal pathways. In terms of drug resistance, exosomes can induce drug resistance in sensitive cells by transmitting ncRNA. Due to their unique biological characteristics, exosomes hold great potential as biomarkers for diagnosis, prognosis, and osteosarcoma metastasis. In recent years, exosomal ncRNAs gained considerable attetion in the mechanistic study and clinical application of osteosarcoma. This paper reviews the role of exosomal ncRNA in osteosarcoma metastasis, chemotherapy resistance, and as a potential biomarker, in order to provide insights into the mechanisms, treatment strategies, and prognosis of osteosarcoma metastasis.
Study on the clinical effect of manual lymphatic drainage combined with intramuscular sticking on postoperative rehabilitation of breast cancer patients
HE Ximei, CAO Yachen, ZHOU Xiang, YE Zhiqiang
2025, 23(1): 127-130. doi: 10.16766/j.cnki.issn.1674-4152.003850
842 7
Abstract:
  Objective  In order to improve the postoperative rehabilitation level of breast cancer patients, to explore the clinical effect of manual lymphatic drainage combined with intramuscular plaster in such patients.  Methods  A total of 130 patients who underwent breast cancer surgery in the First Affiliated Hospital of Wenzhou Medical University from January 2020 to December 2022 were included, and divided into study group (65 cases) and control group (65 cases). The control group patients were undergone staged rehabilitation training, and on this basis, the study group patients were received the implementation of manual lymphatic drainage combined with intramuscular effect patch therapy intervention. The changes in shoulder joint mobility of patients before and after intervention were measured. The quality of life, shoulder joint function, and exercise endurance level after intervention were evaluated. The occurrence of upper limb edema in patients during the intervention period were counted.  Results  After intervention, the range of motion of shoulder joint (flexion, abduction, adduction, and extension) in the study group was significantly higher than those in the control group (P < 0.001). The functional assessment of cancertherapy-breast (FACT-B) score and Constant-Murley score of the study group [(118.37±10.79) points, (88.95±7.46) points] were significantly higher than those of the control group [(105.92±10.36) points, (80.46±7.03) points, P < 0.001]. The maximum heart rate duration, 6-minute walking distance, and Gunnar Borg score in the study group were significantly longer or higher than those in the control group, while the heart rate recovery time was significantly shorter than that in the control group (P < 0.001). The incidence of upper limb edema during the intervention period in the study group was significantly lower than that in the control group [9.23% (6/65) vs. 23.08% (15/65), χ2=4.600, P=0.032].  Conclusion  On the basis of rehabilitation training, manual lymphatic drainage combined with intramuscular effect patch can improve the recovery level of shoulder joint function of patients with breast cancer after surgery, improve the quality of life, enhance sports endurance, and help reduce the risk of upper limb edema.
The treatment of third lumbar transverse process syndrome by ultrasound visualization injection and acupotomy based on holistic mechanics
XU Qianlan, WANG Huayan, ZHAN Jingjing, WU Dan, DU Fenfei
2025, 23(1): 131-134. doi: 10.16766/j.cnki.issn.1674-4152.003851
780 4
Abstract:
  Objective  To observe the effect and safety of acupotomy release under ultrasound visualization injection based on global mechanics in patients with third lumbar transverse process syndrome.  Methods  A total of 90 patients with third lumbar transverse process syndrome admitted to Dongyang People' s Hospital from December 2022 to December 2023 were selected as the study objects, and divided into three groups according to the random number table method, with 30 cases in each group. Group A was treated with holistic mechanics-based ultrasound visual injection + acupotomy release treatment, group B was treated with ultrasound visual injection + acupotomy release treatment in third lumbar transverse process, and group C was treated with conventional acupuncture stimulation of pain points. The clinical efficacy, Owestry index, VAS score, patient compliance, and adverse reactions of the three groups were observed and compared before treatment, 1 week, and 4 weeks after treatment.  Results  The total effective rate of group A (96.67%, 29/30) was significantly higher than that of group C (73.33%, 22/30, P < 0.05). It can be seen that the Owestry function index and VAS scores of the three groups have a changing trend over time, and this trend is different in the groups. Before treatment, there were no significant differences in the Owestry index and VAS score among the three groups (P>0.05). After 1 week and 4 weeks of treatment, Owestry index and VAS score were significantly lower than before treatment. After 1 week and 4 weeks of treatment, the Owestry index and VAS scores of group A were significantly lower than those of group B and group C (P < 0.05). The total compliance rate in group A (96.67%, 29/30) was significantly higher than that in group C (70.00%, 21/30, P < 0.05). The total adverse reaction rate of swelling, severe pain, muscle weakness, ecchymosis, and bleeding in group A (3.33%, 1/30) was significantly lower than that in group C (26.67%, 8/30, P < 0.05).  Conclusion  The treatment of third lumbar transverse process syndrome with holistic mechanics-based ultrasound visualization injection combined with acupotomy is effective, which can effectively improve patients' functional index and pain score, improve patients' compliance, and have a low incidence of adverse reactions.
A survey on the research thinking and writing skills of clinical medicine postgraduate students
ZHONG Jianhong, HUO Rongrui, CHEN Kang, YOU Xuemei, MA Liang, NING Ruiling
2025, 23(1): 135-139. doi: 10.16766/j.cnki.issn.1674-4152.003852
876 12
Abstract:
  Objective  To investigate the research thinking, paper writing and publication status, writing challenges, and guidance expectations of clinical medicine postgraduate students, with the goal of optimizing the teaching model for postgraduate research courses.  Methods  A questionnaire survey method was conducted in April 2023 among full-time clinical medicine postgraduate students at Guangxi Medical University, covering six areas: basic information, research thinking, paper writing and publication status, challenges in writing and publishing, course availability, and students' expectations. SPSS 25.0 software was used for statistical analysis.  Results  A total of 2 142 valid questionnaires were collected. The proportion of doctoral students who have presided over graduate innovation projects is significantly higher than that of masters. Few students questioned the literature or professional guidelines they read, actively engaged in academic discussions. The proportion of doctoral students who published papers in international journals was significantly higher than that of master' s students. Most postgraduate students reported difficulties in reading international journal papers, literature extraction and summary, literature searches, application of scientific research tools, and analysis of scientific research data. The main reasons in topic selection included a lack of understanding of subject trends, unclear interests, and difficulty identifying scientific problems. The proportion of postgraduate students who had received training in scientific research thinking and writing was low, and online videos were considered as the most helpful teaching mode. The three most anticipated training topes were scientific research thinking, the design of research methods and experiments, and the selection of journals.  Conclusion  The difficulty in topic selection is high, paper publication is low, and the scientific research ability is poor. It is suggested to set up standardized scientific research thinking training and writing guidance, gradually fostering scientific research thinking of postgraduate students, and improving the training system of postgraduate research ability.
Effectiveness of an intelligent warning system in bundle therapy for septic shock patients
CHEN Xiaolei, WU Huihui, ZHANG Qixia, MU Jingjing, WU Xiaoxiao
2025, 23(1): 140-142. doi: 10.16766/j.cnki.issn.1674-4152.003853
958 6
Abstract:
  Objective   To explore the effect of an intelligent warning system on the management of Intensive Care Unit (ICU) patients with septic shock and to improve the treatment effect.   Methods   A total of 129 patients with septic shock in the ICU of the First Affiliated Hospital of Wenzhou Medical University from January to December 2022 were taken as the control group, and 117 patients from February to December 2023 were taken as the observed group. The control group implemented the comprehensive management of conventional bundle therapy, while the observed group adopted the intelligent warning system of septic shock for disease management.   Results   The completion rate of 1 h and 3 h bundle therapy in the observation group was higher than that of the control group [1 h completion rate: 98/117 (83.8%) vs. 90/129(69.8%); 3 h completion rate: 104/117 (88.9%) vs. 101/129 (78.3%), P < 0.05]. There was no significant difference in the completion rate of 6 h treatment (P>0.05). The lactate level in the observation group was lower than that of the control group, while the 6 h lactate clearance rate was higher than that of the control group (P < 0.05). There was no significant difference between mean arterial pressure and central venous pressure in the two groups (P>0.05). The central venous oxygen saturation and end-tidal partial carbon dioxide pressure in the observation group were significantly higher than that in the control group (P < 0.05). The length of ICU stay in the observation group [(11.73±2.67) d] was shorter than that in the control group [(13.04±2.85) d, t=3.722, P < 0.05]. There was no significant difference in 28 d mortality in the two groups (P>0.05). There was a statistically significant improvement in satisfaction scores for medical staff after implementing the early warning system (P < 0.05).   Conclusion   The intelligent warning system improves the completion rate of bundle treatment for septic shock patients, reduces the serum lactate levels, enhances the 6 h lactate clearance rate, and increases the medical staff satisfaction, making it worthy for clinical promotion and application.
Meta-analysis of preoperative oral carbohydrate effects in patients with thyroidectomy
LIU Jie, HAN Peng, SUI Fang, YAN Jinfeng, ZHANG Xiping, HOU Huan, BI Ying
2025, 23(1): 143-147. doi: 10.16766/j.cnki.issn.1674-4152.003854
552 4
Abstract:
  Objective   To evaluate the efficacy and safety of preoperative oral carbohydrate in patients with thyroidectomy during the perioperative period by meta-analysis, and to guide the clinical implementation.   Methods   CNKI, VIP, Wanfang, PubMed, Embase, Web of Science, Wiley Online Library, and other Chinese and English databases were used to search related RCT. The retrieval period was from the establishment of the database to March 21, 2021. According to the inclusion and exclusion criteria, literature screening and data extraction were conducted independently by two researchers. RevMan software (version 5.3) was used for literature quality evaluation and meta-analysis.   Results   Sixteen randomized controlled trials involving 1 793 patients were included in the study. The experimental group was given oral carbohydrate before surgery, while the control group was given a conventional diet before surgery, The results showed as follows: preoperative indexes of dry mouth and thirst [95% CI (-2.39, -0.47), P=0.003], postoperative indexes of nausea and vomiting [95% CI (0.41, 0.80), P=0.001], indexes of insulin resistance [95% CI (-2.73, -0.69), P=0.001], the first time to get out of bed after surgery [95% CI (-1.56, -0.87), P < 0.01], the first time to eat after surgery [95% CI (-1.07, -0.13), P=0.010], the number of hospitalization days [95% CI (-2.67, -1.55), P < 0.01], and the number of postoperative complications [95% CI (0.08, 0.32), P < 0.01], indicating that the experimental group was better than the control group (P < 0.05).   Conclusion   Compared with conventional care, preoperative oral carbohydrate is safe and beneficial in the perioperative period of patients with thyroidectomy, and has good clinical application value.
Difference of fall risk and risk perception in elderly patients with hip fracture after operation in rehabilitation period
YANG Chang, ZHOU Minjie, LING Lejie, LUO Guogang
2025, 23(1): 148-152. doi: 10.16766/j.cnki.issn.1674-4152.003855
696 5
Abstract:
  Objective   To explore the present situation of fall risk of elderly patients with hip fracture in rehabilitation period after operation and the difference of risk perception level among patients with different fall risk levels.   Methods   A total of 356 elderly patients with hip fracture in rehabilitation period from January 2022 to August 2023 at Wenzhou Hospital of Integrated Traditional Chinese and Western Medicine were selected as the research object. The general information of patients was collected by general data questionnaire, and both fall risk and fall risk perception scale were assessed using standardized scales. Differences between the fall risk and risk perception of elderly patients with hip fracture in rehabilitation period were analyzed.   Results   Among the 356 elderly patients with hip fracture after operation, 78 cases (21.91%) were classified as low risk of falling, 88 cases (24.72%) as middle risk of falling, and 190 cases (53.37%) as high risk of falling. In terms of risk perception, 124 cases (34.83%) had low-perceived, 117 cases (32.87%) had medium-perceived, and 115 cases (32.30%) had high-perceived. There was no significant difference in the overall perception of fall risk among the elderly patients with hip fracture in rehabilitation period after operation (P>0.05). However, there were significant differences in the perception scores of fall risk among the elderly patients with low risk, medium risk, and high risk of hip fracture in the rehabilitation period after operation (P < 0.05). Among patients with low risk of falling, high perception accounted for 51.28% (40/78), while low perception accounted for 32.95% (29/88) among patients with middle risk of falling. In the high-risk group, low perception accounted for 67.37% (128/190).   Conclusion   Elderly patients with hip fracture have a high risk of falling during rehabilitation, with noticeable differences between the risk of falling and the level of risk perception.
Integrating HFEMA and the CATCH model to develop a fall safety management system for elderly patients
JIAO Jianhui, HU Lanying, ZHANG Yu, LI Zhiping, SHAN Qing, ZHANG Xiao, YANG Yan, YUAN Yuan
2025, 23(1): 153-156. doi: 10.16766/j.cnki.issn.1674-4152.003856
846 8
Abstract:
  Objective   To explore the effectiveness of combing the healthcare failure mode and effect analysis (HFEMA) with the CATCH fall management model in constructing a fall management system for elderly hospitalized patients.   Methods   A total of 36 888 elderly patients hospitalized at our hospital from January 2022 to December 2022 were selected as the research objects. The incidence of falls and fall-related injuries, as well as the realization rate of fall education among nursing staff and the awareness rate of fall prevention among elderly patients and their families, were compared before and after the implementation of the HFEMA combined with the CATCH model.   Results   Following the implementation of the combined HFEMA and CATCH fall management model, the incidence of falls in elderly patients decreased significantly, from 0.13% (21/16 696) in the first half of 2022 to 0.04% (9/20 192) in the second half of 2022 (χ2=7.417, P=0.006). Fall injuries of grade 2, 3, and 4 also decreased from 5, 2, and 8 cases to 3, 0, and 4 cases respectively (Z=9.828, P < 0.05). The compliance rate of nursing staff with fall education increased from 95.1% (15 878/16 696) to 100.0% (20 192/20 192), and the awareness rate of fall prevention among elderly patients and their families increased from 85.3% (14 242/16 696) to 92.5% (18 678/20 192), the differences were statistically significant (P < 0.001).   Conclusion   The integration of the HFEMA with the CATCH fall management model effectively reduces the risk of falls in elderly hospitalized patients by combining fall assessment, prevention, and intervention. This system is highly effective and recommended for broader implementation.
Effects of 6S+X management on hospital services in public hospitals under the mode of one hospital and two districts
LIU Yuan, YANG Xuezhi, LIU Xiaoju, SU Xun, YUAN Ting
2025, 23(1): 157-161. doi: 10.16766/j.cnki.issn.1674-4152.003857
812 7
Abstract:
  Objective   To explore the practice effects of 6S+X management on deepening high-quality hospital services in public hospitals under the mode of one hospital and two districts so as to improve the quality of medical services.   Methods   A total of 30 nursing staff from Chengdu 363th Hospital Affiliated to Southwest Medical University were enrolled. According to different service modes, they were divided into control group (315 cases, May 2021-May 2022, routine management) and observation group (315 cases, June 2022-June 2023, 6S+X management). The effect feedback and evaluation, work ability of nursing staffs, incidence of adverse nursing events, awareness of health knowledge, length of hospital stay, hospitalization cost and nursing satisfaction in the two groups were compared.   Results   The scores of ward management, holistic nursing, basic nursing and nursing document management in observation group were (4.49±0.75), (4.52±0.71), (4.92±0.60), (4.62±0.68) points, which were higher than those in the control group [(3.23±0.53), (3.27±0.65), (3.46±0.58), (3.17±0.53) points; t=9.202, 9.643, 13.238, 11.679, all P < 0.001]. The incidence of adverse events in observation group was lower than that in the control group (P < 0.001), and awareness rate of health knowledge was higher than that in the control group (P < 0.001). The average length of hospital stay in observation group was shorter than that in control group [(7.72±1.44) d vs. (9.37±1.63) d, t=20.337, P < 0.001], average hospitalization cost was lower than that in control group [(1 254.62±131.24) yuan vs. (1 638.25±103.78) yuan, t=51.880, P < 0.001], and nursing satisfaction was higher than that in control group [95.24% (300/315) vs. 82.22% (259/315, χ2=26.683, P < 0.001].   Conclusion   6S+X management can deepen high-quality hospital services, and improve management effectiveness and nursing quality in public hospitals under the mode of one hospital and two districts.
The impact of risk grading nursing combined with closed-loop management on clinical symptoms, functional recovery, and psychological status of children with bacterial pneumonia
LIN Xiaomin, CAI Yuanyuan, QIAN Jinji, LIN Xiaoqing
2025, 23(1): 162-166. doi: 10.16766/j.cnki.issn.1674-4152.003858
667 11
Abstract:
  Objective   The present study will discuss the effect of combining risk grading nursing with closed-loop management in children with bacterial pneumonia. The impact on the clinical symptoms, functional recovery, and psychological state of the children will be observed. The study will provide a new theoretical basis for clinical nursing.   Methods   A total of 100 children diagnosed with pneumonia at the Second Affiliated Hospital of Wenzhou Medical University from January 2023 to December 2023 were divided into two groups: a control group and an observation group. The randomization of cases within each group was achieved using a random number list method, with 50 cases allocated to each group. The control group was responsible for the routine nursing management, while the observation group employs risk grading nursing in combination with closed-loop management, based on the control group ' s approach. The study will compare the improvement time of clinical symptoms, lung function levels, comfort levels, and negative emotional levels between the two groups of children. Additionally, it will calculate the satisfaction levels of parents for both groups.   Results   The time required for fever relief, cough relief, wheezing relief and the disappearance of lung rales was found to be shorter in the observation group when compared to the control group (P < 0.05). Following the intervention, the forced expiratory volume in the first second (FEV1), peak expiratory flow (PEF) and forced vital capacity (FVC) of the observation group were all higher than those of the control group (P < 0.05). Following the implementation of the intervention, the results of the comfort questionnaire, the children ' s anxiety self-rating scale (SCARED), and the depression self-rating scale (DSRSC) of the observation group were found to be lower than those in the control group, with a statistical significance of P < 0.05. Furthermore, the satisfaction rate of parents in the observation group was 96% (48/50), which was higher than the 82% (41/50) recorded for the control group, again with a statistical significance of χ2=5.005, P=0.025.   Conclusion   The integration of risk grading nursing with closed-loop management has been demonstrated to effectively alleviate clinical symptoms in children diagnosed with bacterial pneumonia. This approach has also been shown to promote the recovery of lung function in children, alleviate their negative emotions, and improve both their comfort and that of their parents.
Effects of Habilitation nursing model on glycemic control and cognitive function in patients with diabetic encephalopathy
WANG Xue, DONG Binglun, LU Yang, LIU Yu, ZHAO Xin
2025, 23(1): 167-171. doi: 10.16766/j.cnki.issn.1674-4152.003859
600 5
Abstract:
  Objective   To investigate the efficacy of Habilitation nursing model in patients with diabetic encephalopathy (DE) and its influence on glycemic control and cognitive function.   Methods   From January 2021 to June 2023, a total of 398 patients with DE were selected from Qinhuangdao Hospital of Traditional Chinese Medicine (cluster sampling method) and were divided into two groups by random number table method: the observation group (200 patients), which received Habilitation nursing intervention or the control group (198 patients), which received conventional nursing. Relevant clinical indicators were compared between the two groups.   Results   After the intervention, the observation group showed significantly lower levels of 2-hour postprandial glucose [2hPG, (9.28±0.51) mmol/L vs. (9.97±2.11) mmol/L], postprandial glucose excursion [PPGE, (2.28±0.51) mmol/L vs. (2.54±0.45) mmol/L], serum glycosylated hemoglobin A1c [HbA1c, (6.27±0.63)% vs. (6.49±1.26)%], interleukin-6 (IL-6), and neuron-specific enolase (NSE) compared to the control group. The levels of superoxide dismutase (SOD), malondialdehyde (MDA), and scores on the generic quality of life inventory (GQOL-74) were higher than those in the control group, with statistically significant differences (P < 0.05).   Conclusion   The Habilitation nursing model effectively improves glycemic control, enhances cognitive function, reduces inflammation, and alleviates nerve damage in DE patients.
Perioperative anesthesia management for scoliosis correction in a patient with severe pulmonary insufficiency: a case report
ZHU Xurui, HAO Jing, ZHANG Wei, DONG Yuanyuan, GU Xiaoping
2025, 23(1): 172-174. doi: 10.16766/j.cnki.issn.1674-4152.003860
661 18
Abstract:
Patients with combined thoracic deformities due to spinal scoliosis often suffer severe lung function impairment, posing a high risk for anesthesia during surgery. Shortly after spinal orthopaedic surgery, their lung function typically deteriorates further. Therefore, implementing appropriate perioperative anesthesia strategies to protect lung function is crucial. This article reports the anesthesia management during the perioperative period for a case of severe mixed ventilation dysfunction in a patient with preoperative thoracic scoliosis.