留言板

尊敬的读者、作者、审稿人, 关于本刊的投稿、审稿、编辑和出版的任何问题, 您可以本页添加留言。我们将尽快给您答复。谢谢您的支持!

姓名
邮箱
手机号码
标题
留言内容
验证码

2021年  第19卷  第11期

专家论坛——“党为人民谋健康的100年”专栏
全科视角下社区健康画像的理论与实践
李倩, 王艺霏, 石建伟, 俞文雅, 周良, 高翔, 王朝昕, 吕奕鹏
2021, 19(11): 1797-1801. doi: 10.16766/j.cnki.issn.1674-4152.002170
1438 42
摘要:
用户画像作为一种实现精准个性化信息服务的工具,近年来受到广泛关注。用户画像是“基于用户真实数据的虚拟代表”,最重要的特性是真实性、动态性及独特性。基于不同画像构建角度,用户画像方法主要可分为基于本体画像、基于用户行为画像、基于主题画像、基于用户兴趣画像4种流派,其构建流程是一个用户特征数据采集、数据挖掘及过滤、标签提取及重组、丰富用户画像描述的过程,因其精准化、个性化服务的特点,用户画像可用于进行个性化推荐、精准营销、行为预测、异常检测等不同方向。社区画像是在用户画像的基础上对特定群体开展了前置的范围和边界确认,强调给定群体的共性特征,因此在研究内容和方法上有相应的区别。社区健康画像是社区画像在医疗卫生领域的延展,本质是一定区域内社区主体在医疗卫生领域的信息集合,可根据画像目的不同选择基于用户相似性画像或基于社区差异性画像,未来可应用于地区医疗资源分配、精准个性化医疗服务、医疗卫生服务水平评价、社区居民健康情况监测等方向。现有的社区健康画像研究较少且大多面向线上健康社区,但随着分级诊疗制度不断推进,数据支持技术不断更新,未来基层社区的医疗资源配置问题必将成为公共卫生领域的研究热点,社区健康画像的应用也会越来越多。本文介绍了当前用户画像、社区画像的研究进展和关键技术,并提出社区健康画像的概念、构建流程和方法及其应用前景,为进一步开展社区健康画像相关研究提供参考。
全科医学讲堂
糖尿病常见急性并发症的诊断与治疗
吴晨辰, 吴晓飞
2021, 19(11): 1802-1803.
1276 109
摘要:
全科医学论著
坦索罗辛联合经尿道前列腺等离子电切术对前列腺增生患者生活质量及性功能的影响
唐飞, 陶陶, 罗勇, 朱文尧
2021, 19(11): 1804-1806, 1879. doi: 10.16766/j.cnki.issn.1674-4152.002171
1305 9
摘要:
  目的   探讨经尿道前列腺等离子电切术(transurethral plasmakinetic resection of prostate,TUPKRP)联合口服坦索罗辛对前列腺增生患者生活质量及性功能的影响。   方法   选取2018年6月—2020年1月期间蚌埠市第三人民医院泌尿外科收治的前列腺增生患者80例,采用随机数字表法分成治疗组(40例)和对照组(40例)。治疗组行TUPKRP联合口服坦索罗辛治疗,对照组仅行TUPKRP治疗。比较2组治疗前、治疗后6个月生活质量[国际前列腺生活质量评分(QOL)、国际前列腺症状评分(IPSS)、最大尿流率(Qmax)、剩余尿量(RUV)、夜间排尿次数)]、性功能[国际勃起功能指数(IIEF-5)]及并发症发生率。   结果   2组治疗前QOL、IPSS、Qmax、RUV及IIEF-5比较差异无统计学意义(均P>0.05);治疗后6个月,治疗组和对照组IIEF-5为(19.35±4.16)分和(17.03±3.52)分,2组QOL、IPSS、Qmax、RUV及IIEF-5均较治疗前改善,治疗组IPSS、QOL、Qmax及IIEF-5评分优于对照组;治疗组夜尿次数[(1.13±0.88)次]少于对照组[(1.65±0.86)次],治疗组并发症发生率低于对照组,差异均有统计学意义(均P<0.05)。   结论   坦索罗辛联合TUPKRP治疗前列腺增生患者有利于改善术后排尿、生活质量及性功能,值得临床推广应用。
膜联蛋白A1促进肺成纤维细胞炎症反应及胶原合成的研究
蔡欣, 李炎玉, 苏国媚, 吕秋荣, 赖天文
2021, 19(11): 1807-1810,1900. doi: 10.16766/j.cnki.issn.1674-4152.002172
1489 31
摘要:
  目的  探讨膜联蛋白A1(Annexin A1)对肺成纤维细胞炎症反应、增殖及胶原沉积的作用。   方法  分离小鼠原代肺成纤维细胞,利用不同浓度的Annexin A1干预肺成纤维细胞24 h或48 h后,检测炎症因子、细胞增殖及胶原沉积表达。将C57/BL6小鼠分为对照组、Annexin A1干预组,每组6~8只。Annexin A1干预组每只小鼠气管滴注1 μg/50 μL Annexin A1重组因子,对照组每只小鼠气道滴注50 μL生理盐水,连续干预7 d后取检。检测肺组织炎症因子、Ⅲ型胶原(Collagen Ⅲ)及气道平滑肌肌动蛋白(α-SMA)的表达。   结果  与对照组比较,Annexin A1能促进肺成纤维细胞分泌IL-6、IL-8等炎症因子(均P < 0.05),促进成纤维细胞的增殖,Collagen Ⅲ合成和α-SMA表达增加(均P < 0.05)。与对照组小鼠比较,Annexin A1干预组小鼠的肺泡灌洗液细胞总数[(2.91±0.26)×104/mL vs.(7.03±0.48)×104/mL,t=7.432,P=0.008]及中性粒细胞数目明显升高[(0.12±0.04)×104/mL vs. (1.01±0.05)×104/mL,t=13.810,P < 0.001],炎症因子、胶原沉积及平滑肌表达也显著增加(均P < 0.05)。   结论  Annexin A1具有诱导肺成纤维细胞的炎症反应、增殖及胶原沉积作用,提示可能在气道重构发病中起重要作用。
中青年急性缺血性脑血管病大脑中动脉斑块特点分析
宋建龙, 王梓, 魏建林, 刘畅, 胡伟, 夏成雨, 朱余友
2021, 19(11): 1811-1814. doi: 10.16766/j.cnki.issn.1674-4152.002173
1478 52
摘要:
  目的  应用高分辨率磁共振血管壁成像研究中青年急性缺血性脑血管病大脑中动脉斑块的特点。   方法  收集2018年6月—2020年2月于中国科学技术大学附属第一医院神经内科住院的74例中青年急性缺血性卒中或短暂性脑缺血发作患者资料,责任血管均为大脑中动脉,利用高分辨率磁共振评估斑块分布位置、性质,比较症状侧和无症状侧大脑中动脉和不同性质斑块的位置分布特点。   结果  共扫描74例患者,其中颅内动脉粥样斑块62例,共124根大脑中动脉,其中症状侧血管48根(38.7%),非症状侧血管76根(61.3%)。血管内存在斑块96根,稳定斑块39根(40.6%),不稳定斑块57根(59.4%);上侧16根(16.7%),下侧38根(39.6%),背侧10根(10.4%),腹侧32根(33.3%)。症状侧和非症状侧大脑中动脉不稳定斑块分别有41根和16根(P < 0.01);稳定斑块和不稳定脉斑块位置(腹侧10根vs. 22根,背侧2根vs. 8根,上侧5根vs. 11根,下侧22根vs. 16根,P < 0.05);症状侧和非症状大脑中动脉斑块位置(腹侧16根vs. 16根,背侧6根vs. 4根,上侧9根vs. 7根,下侧14根vs. 24根,P>0.05)。   结论  中青年急性缺血性脑血管病患者大脑中动脉斑块主要分布于血管的下侧和腹侧,症状侧斑块性质多为不稳定斑块,多分布在大脑中动脉的腹侧、背侧和上侧。
25-羟维生素D缺乏与老年射血分数保留心力衰竭的相关性研究
姜苏蓉, 曹雅茹, 王璎瑛, 王小艳, 洪牮, 郭妍
2021, 19(11): 1815-1818, 1835. doi: 10.16766/j.cnki.issn.1674-4152.002174
900 6
摘要:
  目的  探讨血清25-羟维生素D[25(OH)D]水平缺乏与老年射血分数保留心力衰竭(HFpEF)的关系。   方法  选取2019年1月—2020年12月就诊于南京医科大学第一附属医院老年心血管科的老年患者219例,其中HFpEF患者118例,对照组101例。收集患者一般资料,检测常规生化指标、25(OH)D和N末端B型脑钠肽前体(NT-proBNP)水平;心脏超声检查测定心脏结构和功能,并对血清25(OH)D和HFpEF心脏结构功能指标进行相关分析,就老年HFpEF危险因素进行多因素逐步logistic回归分析。   结果  老年HFpEF组血清25(OH)D水平[(37.58±12.92)nmol/L]较对照组[(60.82±13.61)nmol/L]明显降低(P < 0.001);且HFpEF组心脏超声相关指标左房内径(LAD)、左室舒张末期内径(LVDd)、左室收缩末期内径(LVDs)、室间隔厚度(IVS)、左心室质量指数(LVMI)、二尖瓣口E峰流速与二尖瓣环舒张早期峰值速度比值(E/e')、左房容积指数(LAVI)、三尖瓣反流速度(TRV)、肺动脉收缩压(PASP)均高于对照组,左室射血分数(LVEF)、二尖瓣环舒张早期峰值速度(e')平均值低于对照组,差异有统计学意义(均P < 0.05)。Spearman相关分析显示,25(OH)D与LAD、IVS、左室后壁厚度(LVPW)、LVMI、E/e'、LAVI、TRV、PASP、NT-proBNP呈负相关,与e' 平均值呈正相关(均P < 0.05)。多因素逐步logistic回归分析表明:血清25(OH)D水平是老年HFpEF的独立影响因素(OR=0.814,95% CI:0.723~0.916,P=0.001)。   结论  25(OH)D缺乏与老年HFpEF有关,是老年HFpEF的独立危险因素。
住院老年患者血浆同型半胱氨酸水平与肌少症的相关性研究
陆冰, 刘晔, 陈吉海, 顾刘宝, 樊垚, 欧阳晓俊
2021, 19(11): 1819-1822. doi: 10.16766/j.cnki.issn.1674-4152.002175
885 15
摘要:
  目的  探讨老年患者血浆同型半胱氨酸(Hcy)水平与肌少症及认知功能状况的相关性。   方法  连续入选2017年6月—2020年3月在南京医科大学附属老年医院住院的老年患者346例,采用步行速度、握力、四肢骨骼肌指数(ASMI)切点诊断肌少症,行简易精神状态量表(MMSE)评定认知功能。共入选老年患者346例,其中肌少症122例(35.3%),非肌少症224例(64.7%)。比较老年患者肌少症组、非肌少症组Hcy水平及认知功能差异,分析Hcy水平与肌少症严重程度及认知功能状况之间的关系,多因素分析肌少症相关因素。   结果  (1) 与非肌少症组相比,肌少症组人群的年龄更高(P < 0.001),BMI、白蛋白、MMSE评分、受教育程度更低(均P < 0.001),Hcy水平更高(P=0.011)。(2)Pearson相关分析显示男性、女性患者的Hcy水平和步速、四肢骨骼肌指数(ASMI)、MMSE评分均呈负相关关系(均P < 0.05)。(3)多因素logistic回归分析结果显示,年龄(OR=1.064,95% CI 1.023~1.106, P=0.002)、BMI(OR=0.658,95% CI 0.589~0.734, P < 0.001)、受教育程度(OR=0.519,95% CI 0.331~0.812, P=0.004)是肌少症的影响因素。对性别进行分层,受教育程度和BMI是男性肌少症患者的影响因素,Hcy水平、年龄、受教育程度、BMI是女性肌少症患者的影响因素。   结论  老年患者Hcy水平与肌少症之间存在相关性。高Hcy水平是老年女性肌少症的危险因素,受教育程度高和高BMI是肌少症人群的保护因素。Hcy可作为肌少症的一项监测指标, 对疾病的评估、预后预测均有一定的临床意义。
伴有盆腔淋巴结转移的宫颈癌新辅助化疗联合放化疗临床疗效及预后因素分析
张慧慧, 王蓓蓓, 张献文, 王丽华, 魏丽, 李艳, 张競
2021, 19(11): 1823-1826, 1839. doi: 10.16766/j.cnki.issn.1674-4152.002176
880 10
摘要:
  目的  针对伴有盆腔淋巴结转移的中晚期宫颈鳞状细胞癌患者,回顾性分析新辅助化疗联合根治性同步放化疗及巩固化疗的临床疗效及预后影响因素。   方法  选取2015年1月—2018年1月就诊于蚌埠医学院第一附属医院的67例伴有盆腔淋巴结转移的宫颈鳞癌患者,分期为ⅡA~ⅢB期,研究组27例患者接受新辅助化疗联合同步放化疗及巩固化疗,对照组40例患者接受同步放化疗联合巩固化疗。观察2组患者的临床疗效、不良反应,用Kaplan-Meier法绘制的生存曲线,log-rank法比较预后,通过Cox回归模型进行多因素分析。   结果  在客观缓解率及3年无进展生存率方面,研究组明显高于对照组(88.9% vs.67.5%, P < 0.05;70.4% vs.45.0%, P < 0.05)。在3年总生存率方面,研究组稍高于对照组,但差异无统计学意义(77.8% vs.65.0%, P>0.05),2组在血液系统、消化系统、泌尿系统方面出现不良反应的情况,差异无统计学意义(均P>0.05)。Cox模型多因素分析显示,肿瘤分期、淋巴结转移部位是OS的独立影响因素,肿瘤分期、淋巴结转移部位、新辅助化疗是PFS的独立影响因素。   结论  对于伴有盆腔淋巴结转移的中晚期宫颈癌患者,新辅助化疗联合同步放化疗,再进行巩固化疗是一种有效的治疗方式,疗效优于直接进行同步放化疗后巩固化疗,且相关不良反应能够耐受。
椎间孔镜手术与等离子联合胶原酶手术治疗腰椎间盘突出症的临床疗效比较
赵龙, 张荣宜, 刘畅
2021, 19(11): 1827-1830. doi: 10.16766/j.cnki.issn.1674-4152.002177
1039 12
摘要:
  目的  比较经皮椎间孔镜髓核摘除术与低温等离子联合胶原酶髓核消融术2种手术方法在腰椎间盘突出症治疗中的临床疗效。   方法  回顾分析安徽医科大学第一附属医院2018年1月—2020年1月收治的72例腰椎间盘突出症患者临床资料,根据患者接受的手术方式不同将患者分为经皮椎间孔镜髓核摘除术治疗组(A组)和低温等离子联合胶原酶髓核消融术治疗组(B组),每组患者36例,比较分析A组和B组患者术后住院天数,术前、术后1周及术后1、3、6、12个月的疼痛视觉模拟评分(visual analogue scale, VAS),采用改良的MacNab标准进行手术疗效评估。   结果  A组和B组术后1周[A组(3.39±1.29)分, B组(4.00±1.62)分]、术后1个月[A组(2.19±0.86)分, B组(2.56±0.97)分]、术后3个月[A组(1.81±0.98)分, B组(2.25±1.00)分]、术后6个月[A组(1.36±0.64)分, B组(1.94±0.89)分]、术后12个月[A组(1.08±0.77)分, B组(1.69±0.79)分]与术前[A组(6.75±1.20)分, B组(7.00±1.17)分]相比,VAS评分均显著降低(均P < 0.05)。   结论  经皮椎间孔镜髓核摘除术与低温等离子联合胶原酶髓核消融术在腰椎间盘突出症的治疗中均可取得满意的近期疗效,能够显著缓解患者疼痛症状,改善患者生活质量,二者相比经皮椎间孔镜髓核摘除术远期效果更优。
异氟烷调控NF-κB∕iNOS-COX2信号通路抑制三叉神经节卫星胶质细胞炎症的研究
韩宏亮, 洪道先, 陈英, 宋俊杰, 何东海, 李洪影, 贾秋芳
2021, 19(11): 1831-1834. doi: 10.16766/j.cnki.issn.1674-4152.002178
973 11
摘要:
  目的  研究异氟烷(ISO)对离体大鼠三叉神经节卫星胶质细胞炎症的影响,并初步探讨相关机制。   方法  体外培养大鼠三叉神经节卫星胶质细胞,采用四甲基偶氮唑盐(MTT)比色法和乳酸脱氢酶(LDH)法检测并筛选合适的ISO浓度;将细胞按随机数字表法分为对照组、模型组、ISO组和SN50[核转录因子(NF)-κB抑制剂]组,采用硝酸甘油(GTN)构建卫星胶质细胞炎症模型,其中ISO组用1.5% ISO以2 L/min的速率处理30 min,其余组用相同速率的空气处理30 min, 每组设6个复孔;采用酶联免疫吸附测定(ELISA)法和一氧化氮(NO)检测试剂盒检测细胞上清液中白介素-1β(IL-1β)、肿瘤坏死因子-α(TNF-α)、前列腺素E2(PGE2)水平和NO的含量,采用Western blotting法测定细胞中NF-κB p65、环氧合酶2(COX2)及诱导型一氧化氮合酶(iNOS)的蛋白表达情况,采用Fluo-3/AM探针负载法检测钙离子浓度。   方法  ISO组IL-1β、TNF-α、PGE2、NO水平及钙离子浓度分别为(121.49±12.37)ng/L、(88.41±9.53)ng/L、(439.92±28.81)pg/mL、(9.03±1.04)μmol/L、(101.11±8.23)mmol/L,均明显低于模型组(均P < 0.05);Western blotting检测发现,ISO组NF-κB p65、COX2及iNOS蛋白表达分别为0.74±0.15、0.59±0.14、0.51±0.11,均明显低于模型组(均P < 0.05)。SN50组各指标变化趋势与ISO组一致。   结论  适当剂量的ISO可以抑制GTN诱导的三叉神经节卫星胶质细胞炎症,其机制可能与减少炎症因子释放、抑制NF-κB/iNOS-COX2信号通路的激活、降低钙离子浓度有关。
帕立骨化醇对维持性血液透析合并继发性甲状旁腺功能亢进患者心功能的影响
谢伟楠, 刘智
2021, 19(11): 1836-1839. doi: 10.16766/j.cnki.issn.1674-4152.002179
878 10
摘要:
  目的  观察维持性血液透析(MHD)合并继发性甲状旁腺功能亢进(SHPT)患者使用帕立骨化醇后心功能相关参数的变化。   方法  纳入2019年12月—2020年9月在淮南市第一人民医院接受MHD的40例SHPT患者,收集患者使用帕立骨化醇前的一般资料和全段甲状旁腺激素(iPTH)、钙、磷,以及射血分数(EF)、左室舒张末期内径(LVDd)、室间隔厚度(IVST)、左室后壁舒张末厚度(LVPWT)、左室收缩末期内径(LVDs)、左心房内径(LAD)、缩短分数(FS)、左室心肌质量(LVM)、左室心肌质量指数(LVMI),比较用药前后上述指标的变化。   结果  与用药前相比,患者用药后1、3、6个月iPTH明显下降(均P<0.05),钙、磷、钙磷乘积水平相对稳定。治疗6个月后,iPTH下降幅度≥50%的患者例数为21例(52.5%),≥30%的患者有28例(70.0%)。40例患者用药6个月后LVMI、LVM、IVST、LVDd、LVPWT、LVM明显下降(均P<0.01), FS升高(P<0.01),LAD、LVDs、EF未见明显变化(均P>0.05)。其中LVH组的患者LAD、LVMI、LVM、IVST、LVDd、LVPWT、LVM较前明显下降(均P<0.05),FS升高(P < 0.01),非LVH组的心功能相关参数未见明显变化(均P>0.05)。   结论  帕立骨化醇能够明显降低iPTH水平,有效治疗SHPT,对钙、磷及钙磷乘积影响较小,并且能够消退LVH或延缓其进展。
新型神经阻滞针行锁骨上神经阻滞的研究
高静, 边步荣, 薛利军, 高彦东, 郭宇峰, 罗瑞
2021, 19(11): 1840-1842, 1968. doi: 10.16766/j.cnki.issn.1674-4152.002180
1089 12
摘要:
  目的  探讨新型神经阻滞针在锁骨上臂丛神经阻滞麻醉及术后镇痛应用中的优势。   方法  选择2020年1—5月在延安大学第二附属医院榆林市第一医院择期行桡骨骨折手术的患者60例,ASA Ⅰ~Ⅲ级,采用随机数字表法分为2组,使用普通神经阻滞针行锁骨上臂丛阻滞的对照组(C组,30例)、使用新型神经阻滞针行锁骨上臂丛阻滞的观察组(N组,30例)。在超声引导下,观察2组患者麻醉操作时间、置管成功率、局麻药毒性反应发生率、辅助镇痛药使用剂量、术后镇痛泵使用效果、术后恶心呕吐发生率、围术期神经损伤、穿刺部位有否感染、患者满意度。   结果  超声引导下,C组锁骨上臂丛阻滞操作时间为(9.3±1.6)min,长于N组麻醉操作时间[(6.2±1.1)min],差异有统计学意义(P < 0.001)。对照组无置管操作,术后镇痛采用静脉镇痛泵PCA。2组患者术后镇痛有效率比较差异有统计学意义(P < 0.001)。术后随访,N组患者恶心呕吐发生率低于C组,差异有统计学意义(P < 0.001)。术毕48 h患者满意度调查,C组评分[(8.2±0.3)分]低于N组[(9.5±0.5)分],差异有统计学意义(P < 0.001)。2组患者均未发现局麻药毒性反应、神经损伤及穿刺置管部位感染、呼吸抑制等并发症。   结论  新型神经阻滞针行锁骨上臂丛阻滞在桡骨骨折术患者中是更高效、安全的麻醉操作方式,具有更好的术后镇痛效果和患者满意度,为临床提供了借鉴。
多奈哌齐和美金刚联合利培酮治疗阿尔茨海默病精神行为症状的效果分析
齐若兵, 杨永秀, 蒋辉权, 尹肖雯, 陈斌华, 费建惠, 雷兰英, 张学平
2021, 19(11): 1843-1845,1915. doi: 10.16766/j.cnki.issn.1674-4152.002181
1247 11
摘要:
  目的  研究多奈哌齐、盐酸美金刚与利培酮联合治疗阿尔茨海默病(AD)精神行为症状(BPSD)的有效性和安全性。  方法  选取2017年1月—2019年6月杭州市第七人民医院收治的AD伴BPSD患者共150例,根据随机数字法随机分为利培酮组(A组)、利培酮+多奈哌齐组(B组)、利培酮+多奈哌齐+盐酸美金刚组(C组),每组50例。比较3组治疗前及治疗12周后的阳性与阴性症状量表(PANSS)、蒙特利尔认知评估量表(MoCA)、血糖、甘油三酯、胆固醇及不良反应。评估治疗后3组治疗突发症状量表(TESS)评分。  结果  3组治疗后C组MoCA、PANSS评分明显改善。A组MoCA评分为(14.86±3.78)分,B组为(16.94±3.57)分,C组为(18.10±3.73)分,差异有统计学意义(F=9.858,P< 0.05);A组PANSS评分为(110.52±11.55)分,B组为(99.96±8.47)分,C组为(86.14±5.48)分,差异有统计学意义(F=94.100, P < 0.05)。3组不良反应(口干、锥体外系反应)发生率比较差异无统计学意义(均P>0.05),治疗后血糖、血脂、TESS评分、利培酮使用量C组均较A组、B组改善更明显。  结论  利培酮+多奈哌齐与利培酮+多奈哌齐+盐酸美金刚治疗AD伴BPSD后改善认知功能效果较好,副反应较少,可有效减少利培酮药物的治疗剂量,提高患者生活质量。
miR-200C-3p靶向调控ZEB2抑制前列腺癌细胞增殖和迁移的实验研究
李虎, 朱永士, 王宁宁, 郭绍永, 陈志军
2021, 19(11): 1846-1850. doi: 10.16766/j.cnki.issn.1674-4152.002182
777 10
摘要:
  目的  前列腺癌的进展与多种因素有关,本研究旨在探索miR-200C-3p对前列腺癌细胞系的影响,并分析miR-200C-3p与ZEB2的潜在机制。  方法  通过qRT-PCR检测miR-200C-3p在前列腺癌细胞系PC-3、DU145、前列腺上皮细胞RWPE-1的表达量。DU145转染miR-200C-3p后,通过CCK-8、划痕修复实验以及Transwell实验探究增殖与迁移能力。沉默ZEB2后分析DU145增殖和迁移能力的变化,采用双荧光素酶报告法蛋白免疫印迹实验测定miR-200C-3p与E盒结合锌指蛋白2(zinc finger E-box binding homeobox 2,ZEB2)的潜在关系。  结果  qRT-PCR结果显示RWPE-1中miR-200C-3p表达量是DU145的2.5倍左右。DU145转染miR-200C-3p mimics后CCK-8实验组的增殖能力明显弱于对照组,划痕修复实验实验组[(20.33±1.45)%]与对照组[(46.67±2.40)%]相比愈合能力明显减弱(P < 0.001),Transwell实验结果表明实验组(114.30±5.21)与对照组(212.00±6.49)相比迁移能力显著下降(P < 0.001)。沉默ZEB2可抑制DU145细胞的增殖和迁移能力(P < 0.05),双荧光素酶报告和蛋白免疫印迹实验证实miR-200C-3p在DU145中过表达降低了ZEB2的蛋白表达(P < 0.05)。  结论  miR-200C-3p通过介导ZEB2抑制DU145的增殖和迁移。
全科临床研究
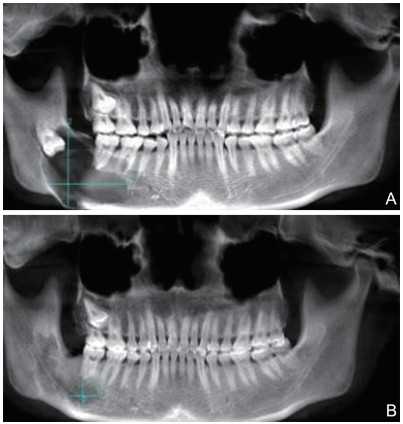
开窗减压术治疗颌骨囊肿的临床价值
金岚, 赵文妍, 阮妍, 钟林玲, 杨帆, 张国兴
2021, 19(11): 1851-1854. doi: 10.16766/j.cnki.issn.1674-4152.002183
1800 15
摘要:
  目的  探讨开窗减压术治疗颌骨囊肿的价值。  方法  回顾性收集2015年6月—2019年5月在诸暨市人民医院口腔颌面外科诊治的88例颌骨囊肿患者的临床资料,依据手术方法不同分为研究组(开窗减压术,48例)与对照组(传统颌骨囊肿刮治术,40例),记录2组手术情况,比较2组手术前后囊腔病变情况,记录囊腔体积减少量、囊腔面积减少量和骨密度的变化;统计2组手术并发症发生情况,跟踪观察2组邻压牙髓坏死状况,比较随访复发率的差异。  结果  研究组的手术时间、术中出血量、术后住院时间分别为(29.83±2.18)min、(12.43±2.11)mL、(2.11±0.48)d,均显著少于对照组[(51.52±10.28)min、(52.34±2.99)mL、(4.72±0.52)d,t=-14.254、-73.191、-24.454,均P < 0.001]。研究组术后3、6、12个月囊腔体积减少量、囊腔面积减少量均多于对照组,骨密度值高于对照组(均P < 0.001)。研究组术后3个月并发症发生率(4.17%)低于对照组(25.00%,χ2=8.041,P=0.005)。研究组术后3个月邻近牙髓坏死率(0.00%)低于对照组(12.50%,P=0.039)。研究组随访复发率为0.00%,略低于对照组的7.50%,但组间差异无统计学意义(P=0.180)。  结论  开窗减压术治疗颌骨囊肿可减少术中出血量,缩小颌骨囊肿,促进囊腔修复,提高骨密度,减少术后并发症,降低邻近牙牙髓坏死发生率。
北京市西城区急性冠脉综合征患者住院时间分析
杨玲, 杜雪平
2021, 19(11): 1855-1857. doi: 10.16766/j.cnki.issn.1674-4152.002184
699 11
摘要:
  目的  分析北京市西城区急性冠脉综合征(ACS)患者住院时间在不同人群中的分布特点、变化趋势及影响因素。  方法  采用整群抽样的方法,于北京市卫健委信息中心搜索西城区2012年1月1日—2016年12月31日住院病历病案首页,再根据国际疾病分类(ICD)的ICD-10编码搜索“I20.--;I21.--;I22.--;I23.--;I24.--;I25.--”6大条目下所有子条目,包含关键词“冠状动脉粥样硬化性心脏病”“心绞痛”“心肌梗死”,经过户籍地址整理、重报病例排查和数据完整性与准确性的审核,筛选ACS患者住院31 448例次。采用SPSS 25.0统计学软件对数据进行分析处理。计量资料不符合正态分布,以M(P25,P75)表示,计数资料以实际数目和百分数(%)统计描述,采用多因素logistic回归分析方法住院时间的影响因素。  结果  ACS患者住院时间中位数为8.00 d,随年龄增长,住院时间延长。非三级医院住院时间中位数为12.00 d,三级医院住院时间中位数为8.00 d。59.09%(13 710/23 202)的不稳定性心绞痛(UA)患者住院时间 < 10 d,72.88%(2 819/3 868)的非ST段抬高型心肌梗死(NSTEMI)患者住院时间≤14 d,77.09%(3 375/4 378)的ST段抬高型心肌梗死(STEMI)患者住院时间≤14 d。经多因素logistic分析,医院级别、住院次数、年龄、ACS诊断分型、费用类别、介入诊疗、急诊入院、性别、住院费用是影响住院时间的因素(均P < 0.001)。  结论  仍有部分ACS患者住院时间超过临床路径建议的标准,尤其是UA患者;非三级医院平均住院时间大于三级医院,一二级医院需进一步规范并提高ACS诊疗技术,同时对其开展冠心病二级预防/心脏康复,减少反复住院,有助于缩短住院时间。
丹参酮胶囊联合常规西医治疗寻常型痤疮的疗效分析
骆华芳, 刘振强
2021, 19(11): 1858-1860,1867. doi: 10.16766/j.cnki.issn.1674-4152.002185
1476 10
摘要:
  目的  研究丹参酮胶囊联合异维A酸软胶囊、克拉霉素片治疗寻常型痤疮的疗效,为临床提供参考。  方法  采用随机数字表法将2019年1月—2020年12月于中国人民解放军联勤保障部队第904医院治疗的137例寻常型痤疮分为对照组(68例,异维A酸软胶囊、克拉霉素片)和研究组(69例,丹参酮胶囊联合异维A酸软胶囊、克拉霉素片),比较2组患者疗效、安全性以及治疗前后皮损积分、炎性因子及体液免疫指标。  结果  研究组临床总有效率(82.61%)高于对照组(66.18%,P<0.05)。研究组治疗后IgG[(8.12±1.28)g/L vs.(12.08±1.29)g/L]、IL-4[(19.13±2.39)ng/L vs.[(25.67±3.36)ng/L]、IL-17[(1.98±0.33)ng/L vs.(2.47±0.41)ng/L]、TNF-α[(28.67±4.52)ng/L vs.(36.28±5.46)ng/L]以及皮损积分脓疱[(1.51±0.35)分vs.(1.89±0.46)分]、丘疹[(1.34±0.22)分vs.(1.73±0.41)分]、粉刺[(1.31±0.28)分vs.(1.79±0.32)分]、结节囊肿[(1.24±0.26)分vs.(1.69±0.22)分]均低于对照组(均P<0.05),2组不良反应发生率比较差异无统计学意义。  结论  丹参酮胶囊联合异维A酸软胶囊、克拉霉素片可有效治疗寻常型痤疮,降低患者炎性因子,一定程度上改善免疫功能。
左西孟旦联合冻干重组人脑利钠肽对缺血性心肌病患者心室重构改善作用的研究
茅焕豪, 叶剑飞, 郑伟峰, 杨莹
2021, 19(11): 1861-1863,1950. doi: 10.16766/j.cnki.issn.1674-4152.002186
977 13
摘要:
  目的  观察左西孟旦联合冻干重组人脑利钠肽治疗缺血性心肌病的临床疗效及对心功能损伤和心室重构的改善作用。  方法  选择2018年6月—2021年2月宁波市第四医院心内科收治的240例缺血性心肌病心力衰竭患者为研究对象,按照随机数字表法分为对照组(120例)和研究组(120例)。对照组患者予以常规治疗,研究组患者增加左西孟旦联合冻干重组人脑利钠肽治疗。检测2组患者治疗前后血清转化生长因子β1(TGF-β1)、核因子-κB(NF-κB)、成纤维细胞生长因23(FGF23)、胱抑素C(CysC)、肌酸激酶同工酶(CK-MB)、N末端原脑利钠肽(NT-proBNP)和超敏C反应蛋白(hs-CRP)等血清生化指标水平,统计左心室舒张末期内径(LVEDD)、左心室收缩末期内径(LVESD)、左室收缩末期容积(LVEDV)、左室收缩末期容积(LVESV)及左心室射血分数(LVEF)等心脏超声指标变化,评价患者治疗后临床疗效,进行6分钟步行试验,观察治疗期间药物不良反应。  结果  治疗后,研究组患者血清NF-κB、CysC、CK-MB、NT-proBNP和hs-CRP含量均显著低于对照组(均P < 0.05);研究组LVEDV和LVESV均显著低于对照组(均P < 0.05),而LVEF[(54.18±4.94)%]显著高于对照组[(49.62±4.61)%, P < 0.05];研究组治疗总体有效率为90.83%,显著高于对照组(76.67%,P < 0.05);研究组治疗后6分钟步行试验结果为(436.51±33.82)m,对照组为(392.74±28.61)m,2组比较差异有统计学意义(P < 0.05)。2组均未出现药物不良反应。  结论  给予缺血性心肌病心力衰竭患者左西孟旦及冻干重组人脑利钠肽联合用药治疗,可有效减轻心室重构和心肌损伤程度,增强心肌功能,提高疗效水平,安全性高。
目标导向容量联合右美托咪定对颅脑损伤患者血流动力学影响及脑保护作用评价
孙洁琼, 管义祥, 王珣, 王东流
2021, 19(11): 1864-1867. doi: 10.16766/j.cnki.issn.1674-4152.002187
742 5
摘要:
  目的  探讨围术期应用目标导向容量治疗联合右美托咪定对创伤性颅脑损伤患者血流动力学的影响及脑保护作用,为临床医师选择治疗方式提供依据。  方法  将南通大学附属海安医院2018年8月—2020年8月期间于重症监护室住院治疗的70例创伤性颅脑损伤患者纳入研究,按照随机数字表法分为观察组和对照组,每组35例。2组患者均采用目标导向容量治疗,观察组患者麻醉诱导采用右美托咪定持续静脉泵注,对照组则应用生理盐水,密切观察并记录2组患者麻醉诱导后(T0)、开硬脑膜时(T1)、关硬脑膜时(T2)、手术结束时(T3)的心率(HR)、平均动脉压(MAP)及血清S100β水平,术前、术后7 d的格拉斯哥昏迷评分(GCS)评分。  结果  2组患者T0时刻HR、MAP、血清S100β水平之间差异无统计学意义(均P>0.05);观察组T1、T2、T3时刻的HR、MAP、血清S100β水平均低于对照组(均P<0.05);2组患者术前GCS评分差异无统计学意义(P>0.05);术后7 d观察组患者GCS评分显著高于对照组[(13.21±1.04)分vs.(11.01±1.55)分,P<0.05]。  结论  围术期应用目标导向容量联合右美托咪定治疗创伤性颅脑损伤患者,能够维持患者脑血流动力学稳定,更好地保护脑功能。
慢病防治研究
慢性肾脏病患者血清HIF-1α、TGF-β1与肾小管间质纤维化及疾病进展的关系
林永强, 陈恬恬, 王超超, 周莹, 蔡小巧, 姜益, 林胜芬
2021, 19(11): 1868-1871,1978. doi: 10.16766/j.cnki.issn.1674-4152.002188
1251 14
摘要:
  目的  探讨血清缺氧诱导因子-1α(HIF-1α)、转化生长因子(TGF-β1)与肾小管间质纤维化(TIF)在慢性肾脏病(CKD)患者中的变化及其对疾病进展预测价值。  方法  选择2019年1月—2020年12月温州市中西医结合医院肾内科收治的CKD患者158例,根据肾小球滤过率(eGFR)值对CKD患者进行分期:1期(38例)、2期(42例)、3期(30例)、4期(28例)、5期(20例),另选取健康体检者40例为对照组,收集各组临床资料及血液样本,应用酶联免疫吸附法(ELISA)检测CKD患者血清HIF-1α、TGF-β1水平,采用Masson染色评估TIF面积。  结果  CKD 1~5期患者HIF-1α[依次为(25.48±4.26)ng/mL、(30.98±5.36)ng/mL、(35.88±6.78)ng/mL、(42.25±5.63)ng/mL、(68.96±6.98)ng/mL]、TGF-β1[依次为(3.98±0.36)ng/mL、(5.23±0.45)ng/mL、(6.78±0.63)ng/mL、(8.96±1.52)ng/mL、(12.97±2.98)ng/mL]显著高于对照组[(12.78±0.69)ng/mL和(1.22±0.15)ng/mL,均P < 0.05]。经Pearson相关性分析显示,血清HIF-1α、TGF-β1与血清CysC、Scr、TIF面积呈正相关(均P < 0.05)。经ROC曲线分析可知,血清HIF-1α、TGF-β1联合诊断可提高TIF诊断灵敏性及特异性。  结论  血清HIF-1α、TGF-β1水平升高与CKD病情进展及肾间质纤维化相关,并可作为CKD患者TIF病情诊断的预测指标,两者联合检测可提高诊断准确性。
妇幼卫生研究
丹参酮联合阿奇霉素治疗支原体肺炎小儿的疗效观察
张慧娟, 邱建利, 闫永彬, 孙晓旭, 赵倩义
2021, 19(11): 1872-1874,1983. doi: 10.16766/j.cnki.issn.1674-4152.002189
1122 7
摘要:
  目的  观察丹参酮治疗支原体肺炎(MP)小儿的疗效及对患者血清IL-6、TNF-α、TGF-β1及Smad3表达的影响。  方法  选取河南中医药大学第一附属医院2018年1月—2020年9月收治的100例MP小儿,按随机数表法分为观察组和对照组,各50例。对照组采用阿奇霉素治疗,观察组采用阿奇霉素联合丹参酮治疗。比较2组总有效率、症状消失时间、血清IL-6、TNF-α、TGF-β1及Smad3表达情况、不良反应。  结果  观察组总有效率为92.00%,高于对照组的76.00%(P < 0.05)。观察组咳嗽、发热、啰音、哮鸣音消失时间分别为(5.37±0.94)d、(2.71±0.51)d、(4.73±0.84)d、(5.82±1.02)d,短于对照组的(6.89±0.88)d、(3.53±0.72)d、(6.23±0.91)d、(7.11±1.31)d(均P < 0.05)。观察组治疗后血清IL-6、TNF-α、TGF-β1、Smad3表达为(16.16±5.49)pg/mL、(7.18±1.71)pg/mL、(15.22±3.06)μg/L和0.20±0.06,低于对照组的(25.41±6.02)pg/mL、(12.98±2.61)pg/mL、(27.27±5.28)μg/L和0.26±0.07,均P < 0.05。2组不良反应总发生率(14.00%vs.10.00%)差异无统计学意义(P>0.05)。  结论  丹参酮可下调Smad3表达来降低血清TGF-β1、IL-6、TNF-α,治疗小儿MP效果满意,安全性高。
多种健脾消食中成药治疗儿童亚急性湿疹的对比研究
杨明, 顾菲, 朱芸, 刘晓雁, 高莹
2021, 19(11): 1875-1879. doi: 10.16766/j.cnki.issn.1674-4152.002190
1458 8
摘要:
  目的  观察比较多种健脾消食中成药治疗儿童亚急性湿疹的临床疗效和安全性。  方法  回顾分析2018年6月—2019年6月首都儿科研究所附属儿童医院收治的186例儿童亚急性湿疹患儿的病例资料。按不同治疗方案将患儿分为对照组(48例,采用常规西药治疗)和观察组(138例,在常规西药治疗基础上联用健脾消食的中成药),观察组按给予中成药的不同分为A组(42例)、B组(57例)和C组(39例),分别给予的中成药为小儿扶脾颗粒、小儿康颗粒和神曲消食口服液。比较4组患儿的临床疗效、复发情况、瘙痒程度、生活质量及不良反应。  结果  1个疗程治疗后,观察组A组、B组和C组的治疗总有效率(83.33%、85.96%、79.49%)均高于对照组的58.33%,且B组与对照组间的差异有统计学意义(P < 0.008);1个疗程治疗后,观察组A组、B组和C组的瘙痒程度评分[(0.64±0.53)分、(0.49±0.37)分、(0.56±0.48)分]和生活质量评分[(5.24±1.93)分、(5.04±1.01)分、(5.59±2.13)分]均明显优于对照组[(1.41±0.72)分和(8.70±2.91)分,均P < 0.05],但A、B、C 3组间两两比较差异无统计学意义(均P>0.05)。A、B、C 3组患儿3个月的湿疹复发率均明显低于对照组(均P < 0.008),且B组3个月湿疹复发率(19.30%)明显低于A组(46.34%,P < 0.008)。各组患者在治疗期间仅发生轻微不良反应,且不良反应发生率比较差异无统计学意义(P>0.05)。  结论  在健脾消食中成药和常规西药联合治疗儿童亚急性湿疹中,小儿康颗粒在提高疗效和降低复发率上更有优势,值得进一步关注。
宫颈高度鳞状上皮内病变行全子宫切除165例临床病理分析
彭照清, 李玉芝, 刘红丽, 刘梦君, 邓立文
2021, 19(11): 1880-1883. doi: 10.16766/j.cnki.issn.1674-4152.002191
864 8
摘要:
  目的  探讨宫颈高度鳞状上皮内病变(high-grade squamous intraepithelial lesion,HSIL)初始治疗行全子宫切除病理升级浸润癌的相关危险因素及病理特点。  方法  回顾性分析2010年1月—2020年1月蚌埠医学院第一附属医院诊断为HSIL,初始治疗行全子宫切除的165例患者,根据绝经年限分为未绝经组(52例)与绝经组(113例),根据病理分为浸润组(26例)与未浸润组(139例),研究影响病理升级的相关危险因素及病理特点。  结果  165例HSIL中浸润癌26例,总发生率(26/165,15.8%)。未绝经组病理升级率(6/52, 11.5%)与绝经组病理升级率(20/113,17.7%),比较差异无统计学意义(χ2=0.756,P=0.385);未绝经组单因素分析:病变点数≥3点、病变累腺、行人工流产≥2次为病理升级的危险因素。logistic回归分析结果显示病变点数≥3点及病变累腺为病理升级的独立危险因素;绝经组单因素分析:病变点数≥3点、病变累腺、绝经年限≥5年为病理升级的危险因素。logistic回归分析显示这3个因素同样也是病理升级的独立危险因素;未绝经组浸润癌6例,4例ⅠA1期;2例ⅠA2期中1例淋巴脉管浸润;绝经组的20例,16例ⅠA1期,其中有1例出现淋巴脉管浸润,4例ⅠA2期。  结论  绝经与否在HSIL患者中直接采用全宫切除对病理升级差异无统计学意义;对于HSIL患者,不论是否绝经,病变点数≥3点及病变累腺都需要警惕浸润癌的发生;绝经年限≥5年者病理升级率会升高;HSIL患者行全宫切除后病理升级患者均为早期浸润癌。
热休克蛋白70与重度子痫前期的临床研究
严檬洁, 谷茂红, 徐友娣
2021, 19(11): 1884-1887. doi: 10.16766/j.cnki.issn.1674-4152.002192
631 4
摘要:
  目的  观察比较早发型与晚发型重度子痫前期的临床特点,探讨热休克蛋白70(heat shock protein 70,HSP70)与重度子痫前期的相关性。  方法  收集南京市第一医院2013年7月—2020年3月收治的84例早发型重度子痫前期(early-onset severe preeclampsia,EOSP)患者、252例晚发型重度子痫前期(late-onset severe preeclampsia,LOSP)患者的临床资料,比较2组患者的一般情况;应用酶联免疫吸附法检测早发型组,晚发型组及448例正常足月妊娠组血清中HSP70含量,并比较3组HSP70含量的差异。  结果  早发型组与晚发型组的年龄、孕前BMI、发病孕周、分娩孕周、期待治疗天数、收缩压、舒张压、24小时尿蛋白定量(24-hour urinary protein quantity, 24h-Upr)、肌酐(creatinine,Cre)、尿素氮(blood urea nitrogen,BUN)、谷丙转氨酶(alanine transaminase,ALT)、谷草转氨酶(aspartate aminotransferase,AST) 及血小板计数(platelet count,PLT)差异均有统计学意义(均P < 0.05)。早发型组HSP70含量为(101.81±6.44)ng/mL;晚发型组HSP70含量为(86.51±10.70)ng/mL;正常孕妇组中HSP70含量为(51.33±15.48)ng/mL。早发型组HSP70含量高于晚发型组(P < 0.05),且晚发型组HSP70含量高于正常孕妇组(P < 0.01)。  结论  HSP70在早发型及晚发型重度子痫前期患者血清中的含量明显高于正常孕妇,且早发型组高于晚发型组,表明血清中HSP70可能与重度子痫前期的发病有关。
社区卫生研究
分级诊疗背景下构建“心脏康复在社区”全科诊疗路径的实施对策
王青青, 陈碧华, 李擎, 高文娟, 康菁
2021, 19(11): 1888-1892. doi: 10.16766/j.cnki.issn.1674-4152.002193
1412 12
摘要:
  目的  我国社区卫生服务已进入学科内涵建设期,社区卫生机构开展特色专科建设是当前提升基层服务内涵、留存基层健康需求的针对性策略。而特色专科依赖于特色专病的解决方案建设,本研究拟对龙华社区“心脏康复在社区”项目2年实践进行复盘。在抓住成功构建重点专病社区全科诊疗路径应把握的核心要素与基本原则基础上,进一步探讨如何在学科建设的高度上,系统化、结构化地梳理出“构建重点专病社区全科诊疗路径的实施对策”。  方法  围绕实施对策的“服务内涵与组织架构及科室设置;人员准入及培养策略;技术供应方筛选及合作机制建立;服务流程开发与配套设施配备;落地实施方案建立与质控及评价体系建立结合具体实践”等5个方面,介绍龙华社区的具体实践和经验启示。  结果  通过5个方面的回顾和梳理,充分挖掘和呈现了龙华社区的具体实践,5个方面的框架可用于未来对学科建设程度进行盘点的工具;整理出了龙华社区在实践过程中所用到的2张清单、3件工具和1套流程,是社区今后进行技术开发时可供参考的工具包。  结论  以上5个维度的充分准备和落实,是“心脏康复在社区”类具有社区和全科特征项目平稳和扎实落地的保障。龙华社区建设过程中所开发和使用的2张清单、3件工具和1套流程,可帮助同行把握细节、指导落地。
“医院-社区-家庭”康复路径在缺血性脑卒中患者中的应用研究
郑红艳, 俞岩, 罗书引, 贾兰, 胡文
2021, 19(11): 1893-1896. doi: 10.16766/j.cnki.issn.1674-4152.002194
1098 9
摘要:
  目的  探讨基于“医院-社区-家庭”康复路径在缺血性脑卒中患者中的应用效果。  方法  选取2019年1月—2020年4月徐州医科大学附属淮安医院收治的缺血性脑卒中患者120例,按照随机数字表法分为对照组和观察组各60例。对照组予传统康复管理,观察组予基于“医院-社区-家庭”康复路径管理。比较2组患者神经功能、肢体功能恢复情况、日常生活活动能力、生活质量、心理状态以及并发症发生情况。  结果  观察组患者的脑卒中神经功能缺损程度[(21.12±2.32)分]低于对照组[(27.81±4.33)分],而简明精神状态得分高于对照组[(21.14±5.65)分vs.(18.89±1.24)分],均P < 0.05;观察组Fugl-Meyer肢体运动功能[(39.49±5.38)分]高于对照组[(33.67±4.02)分],改良Barthel指数[(77.17±8.20)分]高于对照组[(65.17±9.21)分],均P < 0.05;观察组脑卒中生存质量[(164.65±18.76)分]高于对照组[(110.76±21.83)分,P < 0.05],而焦虑自评量表和抑郁自评量表评分低于对照组(P < 0.05);干预期间观察组不良反应总发生率低于对照组(P < 0.05)。  结论  “医院-社区-家庭”康复路径可促进缺血性脑卒中患者的康复,提高生活质量,降低患者负面情绪和不良反应。
健康促进与健康教育
男性重性精神病患者主观睡眠质量状况及影响因素研究
朱彤, 唐小伟, 耿在香, 戴明娣
2021, 19(11): 1897-1900. doi: 10.16766/j.cnki.issn.1674-4152.002195
880 6
摘要:
  目的  探讨男性重性精神病患者主观睡眠质量状况及影响因素。  方法  选取江苏省扬州五台山医院2017年2月—2020年6月收治的男性重性精神病患者108例为研究对象,根据病种不同分为精神分裂症患者82例和双相情感障碍患者26例。分析患者主观睡眠质量及影响因素。  结果  精神分裂症患者主观睡眠总时间[(9.12±1.03)h]和主观入睡时间[(29.64±6.72)min]均明显高于客观睡眠总时间[(7.98±1.02)h]和客观入睡时间[(17.89±5.85)min],P < 0.01;双相情感障碍患者主观睡眠总时间[(6.72±1.67)h]明显低于客观睡眠总时间[(7.83±1.79)h],P < 0.05,而主观入睡时间[(23.52±4.87)min]明显高于客观入睡时间[(11.76±4.96)min],P < 0.01;精神分裂症患者的入睡时间、睡眠障碍因子得分[(1.32±0.18)分、(0.88±0.13)分]明显高于双相情感障碍患者得分[(0.92±0.17)分、(0.78±0.12)分],P < 0.01,而催眠药物因子得分[(0.21±0.08)分]明显低于双相情感障碍患者得分[(0.61±0.07)分],P < 0.01;主观睡眠知觉的影响因素分析发现,焦虑因子分高的重性精神病患者对自身的睡眠评价低(P < 0.01),敌对性得分低的重性精神病患者对自身睡眠的评价高(P < 0.01)。  结论  男性重性精神病患者的主观与客观睡眠状况存在差异,患者常夸大自身睡眠质量差的程度,而焦虑和敌对性等不良情绪会加重患者对自身睡眠质量的错误知觉,是影响重性精神病患者主观睡眠的危险因素。
知信行健康教育模式对乳腺癌患者术后的应用效果研究
陆亿娴, 余晶晶, 刘红, 顾润环, 李晓洁, 仲丽丽, 许月娥
2021, 19(11): 1901-1904. doi: 10.16766/j.cnki.issn.1674-4152.002196
999 8
摘要:
  目的  探讨知信行健康教育模式对乳腺癌患者术后的临床应用效果。  方法  选择徐州医科大学附属淮安医院2018年2月—2019年6月收治的120例乳腺癌患者,根据随机数字表法分为干预组(60例)与对照组(60例)。对照组给予常规健康教育护理模式,干预组给予知信行健康教育护理模式;比较2组乳腺癌患者的健康行为、生存质量、负性情绪及性心理负担改善的情况。  结果  经护理干预,对照组认知功能、躯体功能、总体健康状况积分高于干预前,症状总积分和SAS评分低于干预前,差异均有统计学意义(均P < 0.05);干预组功能性项目各指标积分高于干预前,症状总积分和SAS、SDS评分低于干预前,差异具有统计学意义(均P < 0.05)。护理干预后,干预组健康行为各个维度、生存质量功能性项目(除社会功能)的积极(或认知)程度高于对照组,差异均有统计学意义(均P < 0.05);干预组症候总积分[(41.62±17.27)分]低于对照组[(48.46±19.04)分],干预组SAS、SDS评分及第二性征消失、女性魅力减退、性生活不适应和性生活交流障碍等性心理负担指标的担心程度低于对照组,差异均有统计学意义(均P < 0.05)。  结论  知信行健康教育护理模式可降低乳腺癌患者负面情绪及性心理负担,增加健康行为,提高术后生活质量。
不同肠道菌群分布的精神分裂症患者对奥氮平的反应性研究
杨志, 高晓峰, 倪燕飞, 曹鹏雪, 郑利锋
2021, 19(11): 1905-1907. doi: 10.16766/j.cnki.issn.1674-4152.002197
741 5
摘要:
  目的  探究首诊精神分裂症患者的肠道菌群分布以及不同肠道菌群分布患者对于奥氮平的反应性。  方法  选择2020年3月—2021年1月于衢州市第三人民医院精神科首次诊断和治疗的精神分裂症患者40例作为研究对象,采用16S rRNA测序以及基因数据库检测其肠道菌群分布,根据结果进行分组。采用奥氮平规律治疗8周,比较不同菌群分布的精神分裂症患者治疗效果、阳性与阴性症状量表(PANSS)评分、个人与社会表现量表(PSP)评分的差异。  结果  40例患者中,1型肠道菌群分布共9例,以普雷沃菌属为主;2型共31例,以拟杆菌属、布劳特氏菌属、粪厌氧棒杆菌、孪生菌为主。治疗8周后,1型菌群分布患者的治疗显效率、有效率和无效率分别为55.56%、44.44%、0.00%,2型菌群上述指标分别为19.35%、54.85%、25.81%,差异有统计学意义(Z=2.531,P < 0.05)。1型肠道菌群分布的患者PANSS评分低于2型(t=4.261,P < 0.05),PSP评分高于2型(t=5.921,P < 0.05)。  结论  肠道菌群以普雷沃菌属为主的精神分裂症患者对奥氮平的反应性更佳,更有利于改善症状和个人与社会表现,根据肠道菌群判断患者预后成为一种潜在的方式。
诊断技术研究
H-FABP和RDW及NT-proBNP水平应用于急性非ST段抬高型心肌梗死诊断的价值分析
李傲航, 田媛媛, 高琰, 张金仿
2021, 19(11): 1908-1911. doi: 10.16766/j.cnki.issn.1674-4152.002198
773 10
摘要:
  目的  探讨心型脂肪酸结合蛋白(H-FABP)、红细胞体积分布宽度(RDW)及末端脑钠肽前体(NT-proBNP)水平应用于急性非ST段抬高型心肌梗死(NSTEMI)诊断的价值,为临床NSTEMI诊断提供参考。  方法  选择2019年1月—2020年1月首都医科大学附属北京友谊医院急性NSTEMI患者45例作为NSTEMI组,将其按照Gensini积分分为轻度组、中度组及重度组,另选择同期非心源性胸痛、心绞痛患者45例设为非NSTEMI组,健康体检者45例作为对照组。比较各组H-FABP、RDW及NT-proBNP水平差异,分析其单独及联合检测NSTEMI的诊断价值。  结果  NSTEMI组患者H-FABP、RDW、NT-proBNP水平均明显高于非NSTEMI组和对照组,且非NSTEMI组明显高于对照组(均P < 0.05)。重度组H-FABP、RDW、NT-proBNP水平明显高于轻度以及中度组,且中度组明显高于轻度组(均P < 0.05)。NSTEMI患者H-FABP、RDW、NT-proBNP水平与Gensini积分呈正相关(均P < 0.05)。H-FABP、RDW、NT-proBNP单独及联合诊断NSTEMI的AUC值分别为0.813、0.758、0.866、0.887。  结论  血清H-FABP、RDW、NT-proBNP参与急性NSTEMI的发生发展,其水平随急性NSTEMI患者病情加重而逐渐升高,三者联合检测对NSTEMI具有较高诊断价值。
多层螺旋CT增强扫描与MRI用于肾实性肿瘤鉴别诊断的临床研究
高银, 杨崇一, 何建华, 杨丰强, 王伟根, 应碧伟
2021, 19(11): 1912-1915. doi: 10.16766/j.cnki.issn.1674-4152.002199
1261 4
摘要:
  目的  比较多层螺旋CT增强扫描与MRI对肾实性肿瘤鉴别诊断的效果差异。  方法  以自2017年12月—2020年12月于宁海县第一医院就诊的140例肾脏肿瘤患者为研究对象,全部病例均进行多层螺旋CT增强扫描检测和MRI检测,以组织病理检测结果为金标准,统计分析2种检测手段对不同病理类型和不同病灶大小肾脏肿瘤性质鉴别诊断的诊断效能差异。  结果  多层螺旋CT增强扫描检测对不同病例类型肾实性肿瘤定性诊断灵敏度、特异度和准确率(88.68%、85.29%和87.86%)与MRI检测水平(90.57%、82.35%和88.57%)差异均无统计学意义(χ2=0.203、0.108、0.034;P=0.652、0.742、0.853);多层螺旋CT增强扫描检测对直径≥4 cm的肾实性肿瘤定性诊断灵敏度、特异度和准确率(95.45%、92.31%和94.74%)与MRI检测水平(97.73%、92.31%和96.49%)差异均无统计学意义(χ2=0.345、0.000、0.209;P=0.557、0.999、0.647);多层螺旋CT增强扫描检测与MRI检测对直径 < 4 cm的肾实性肿瘤定性诊断灵敏度、特异度和准确率(83.87%、80.95%和83.13%)与MRI检测水平(85.48%、76.19%和83.13%)差异均无统计学意义(χ2=0.345、0.141、0.999;P=0.557、0.707、0.999)。  结论  多层螺旋CT增强扫描检测与MRI检测对肾实性肿瘤均具有较高临床应用价值,且对于小体积肾实性肿瘤均具有较高鉴别诊断效能,临床可根据患者实际情况合理选择诊断方式。
医学综述
静脉注射丙种球蛋白在新生儿疾病中的应用
周欢, 陈雨霏, 陈筱青
2021, 19(11): 1916-1920. doi: 10.16766/j.cnki.issn.1674-4152.002200
908 14
摘要:
新生儿是人类迈向独立生存的初始阶段,需面对各种各样的挑战和难关,如感染关,但作为主力军的免疫系统发育不完善,防御薄弱、抵抗力不足,易罹患感染性疾病如新生儿感染性肺炎、新生儿败血症、新生儿化脓性脑膜炎、新生儿病毒性脑炎、新生儿肠道病毒性心肌炎等,这些疾病的发生发展影响着新生儿的生存质量,严重者会影响患儿预后,增加家庭负担;同时,新生儿体内从母体血液中获得的还未代谢完成的自身免疫性抗体会造成新生儿的免疫损伤如新生儿溶血病、新生儿红斑狼疮、新生儿血色素沉着症、新生儿同种免疫性血小板减少症、新生儿同种免疫性中性粒细胞减少症、暂时性新生儿重症肌无力等,母源性免疫性疾病部分会随着抗体的代谢完全而缓解,但过渡阶段仍会提升新生儿死亡率。另外,还有一类与免疫功能紊乱相关的疾病如川崎病、新生儿缺氧缺血性脑病、新生儿自身免疫性水疱病、巨噬细胞活化综合征、吉兰-巴雷综合征、僵人综合征等,虽新生儿群体不是其好发人群,但也会偶现其中一种或几种疾病,影响患儿生命。这三大类疾病均可通过静脉注射丙种球蛋白的辅助治疗获得有益的效果。此外,静脉注射丙种球蛋白制剂具有某些病原体的抗体活性,对免疫接种具有一定影响。故本文就丙种球蛋白在新生儿疾病中应用的潜在机制进行综述。
microRNA-145在子宫内膜异位症中的研究进展
高爽, 徐鹏, 王蓓蒂, 李栗扬, 郭钰, 匡野
2021, 19(11): 1921-1924. doi: 10.16766/j.cnki.issn.1674-4152.002201
701 7
摘要:
子宫内膜异位症(EMs)是一种常见的雌激素依赖性疾病,病因尚不明确。表观遗传异常可能是EMs的潜在致病机制,它改变了激素和环境因素对基因表达的反应,其中小分子RNA(miRNA)的差异性表达在EMs的发生、发展过程中发挥一定作用。miRNA是一种非编码调节性单链RNA,通过与信使RNA(mRNA)的3'非编码区(3' UTR)结合在转录或转录后的水平上调节基因表达。已有大量的研究揭示了miRNA作为EMs潜在的强有力的生物标记,这些失调的miRNA中,有些直接参与了疾病的发生,而另一些则与疾病的存在相关,但它们的生物学作用尚不清楚。在这些miRNA中,miR-145在EMs中存在明显的差异性表达。miR-145通过介导细胞黏附分子和细胞骨架元素,如纤溶酶原激活物抑制物-1(PAI-1)、八聚体结合转录因子4(OCT4)以及肌成束蛋白-1(FSCN1)等因子影响内异症病灶的生成。miR-145还受其上游RNA分子的调控,如长链非编码RNA(lncRNA)前列腺癌相关转录物1(PCAT1)可通过miR-145信号通路靶向调控特定基因的表达,从而对EMs的患病风险产生影响。此外,miR-145表达水平的变化可能与EMs中的不孕症有关。本文旨在阐述miR-145在内异症中的作用机制,主要包括细胞的血管形成、腹膜黏附、侵袭、迁移、增殖、自噬、不孕症等内容,以期为临床治疗EMs提供进一步的理论支持。
预防/保健k   中医/康复
解毒活血灌肠方联合中药口服治疗溃疡性结肠炎患者的临床研究
江海燕, 王新月, 王建云, 刘大铭, 孙慧怡, 张雯
2021, 19(11): 1925-1928,1955. doi: 10.16766/j.cnki.issn.1674-4152.002202
988 10
摘要:
  目的  观察解毒活血灌肠方联合中药口服治疗溃疡性结肠炎(ulcerative colitis,UC)的疗效并探讨其可能的机制。  方法  选择2016年7月—2018年6月北京中医药大学东直门医院、北京中医药大学第三附属医院的住院及门诊UC患者80例,根据随机数字表法分2组,灌肠组40例采用解毒活血灌肠方联合中药口服治疗,对照组40例仅采用中药口服治疗。采用改良Mayo评分判定临床疗效,观察治疗前后2组患者相关血清炎症因子水平、结肠组织病理评分及血管内皮生长因子(VEGF)、黏膜地址素细胞黏附分子-1(Madcam-1)的表达,有效病例随访2年。  结果  治疗后2组改良Mayo评分均随时间下降(P < 0.05)。治疗2、4周后灌肠组改良Mayo评分[(3.30±0.18)分、(4.30±0.27)分]低于对照组[(4.85±0.45)分、(6.15±0.38)分, 均P < 0.05]。治疗3个月后2组患者血清IL-8、TNF-α、VEGF、Madcam-1水平较治疗前降低(均P < 0.05),灌肠组各炎症因子水平低于对照组(均P < 0.05)。2组患者结肠组织病理评分较前降低(P < 0.01),灌肠组病理评分低于对照组(P < 0.05)。2组患者结肠黏膜VEGF、Madcam-1表达均低于治疗前(均P < 0.05)。有效病例随访2年,灌肠组复发率低于对照组(P < 0.05)。  结论  中药口服治疗溃疡性结肠炎有效,加用灌肠治疗能更快缓解症状,可能通过减少炎症因子释放,从而减轻血管炎症反应,使患者更长时间稳定于缓解期。
预防/保健   中医/康复
电针复合耳穴埋籽对妇科开腹手术患者术后恶心呕吐的影响
杨光, 李莎, 郑曼
2021, 19(11): 1929-1931,1959. doi: 10.16766/j.cnki.issn.1674-4152.002203
934 9
摘要:
  目的  观察术前1 d电针复合术后耳穴埋籽对妇科开腹手术患者术后恶心呕吐(postoperative nausea and vomiting,PONV)的影响。  方法  选择2016年12月—2018年12月在南京中医药大学附属医院行妇科开腹手术的患者90例,采用随机数字表法分为术前电针组(A组)、术后耳穴埋籽组(B组)和术前电针复合术后耳穴埋籽组(C组)。A组术前1 d进行电针治疗,B组术后耳穴埋籽治疗,C组术前1 d电针复合术后耳穴埋籽治疗。记录患者术后6、24、48 h恶心、呕吐发生率,术后使用止吐药情况,术后首次通气时间,VAS评分。  结果  3组患者中,C组患者术后6、24 h的术后恶心(PON)和术后呕吐(POV)的发生率最低, 术后6 h PON的发生率为30.00%, POV的发生率为26.67%,术后24 h PON的发生率为33.33%,POV的发生率为.30.00%,差异有统计学意义(均P < 0.05)。C组患者术后首次通气时间[(19.44±3.36)h]明显缩短,且术后止吐药的使用率最低(30.00%),差异有统计学意义(均P < 0.05)。3组患者术后48 h的PON和POV的发生率比较,差异无统计学意义(均P>0.05)。3组患者,术后6 h、24 h和48 h的疼痛评分比较差异无统计学意义(均P>0.05)。  结论  妇科开腹手术术前给予电针复合术后耳穴埋籽,可有效降低患者PONV的发生率,缩短术后首次通气时间,同时可以减少术后止吐药使用。
醒脑开窍针法结合作业疗法治疗脑卒中患者上肢功能障碍的疗效观察
张娓, 鲁彦, 李超, 徐磊
2021, 19(11): 1932-1934,1972. doi: 10.16766/j.cnki.issn.1674-4152.002204
699 12
摘要:
  目的  观察醒脑开窍针法结合作业疗法在脑卒中上肢功能障碍康复中应用的疗效。  方法  选取2019年5月—2020年10月阜阳市第五人民医院康复医学科住院治疗的脑卒中患者60例,采用SPSS 21.0统计学软件制作随机表,按入院顺序随机分为治疗组和对照组,每组30例。对照组给予作业治疗,治疗组给予醒脑开窍针法结合作业治疗,均治疗1次/d,5次/周,共4周。比较2组治疗前后上肢Fugl-Meyer运动评分(U-FMA)、改良Barthel指数(MBI)的评分和临床疗效。  结果  治疗后治疗组和对照组U-FMA[(45.37±5.12)分、(38.80±4.35)分]均高于治疗前[(31.37±4.33)分、(32.57±4.19)分,t=16.025、14.297,均P < 0.05],治疗后治疗组U-FMA高于对照组(t=5.352,P < 0.05);治疗后治疗组和对照组MBI评分[(57.83±6.65)分、(47.33±5.68)分]均高于治疗前[(41.17±5.97)分、(40.17±7.01)分,t=25.673、15.577,均P < 0.05],治疗后治疗组MBI评分高于对照组(t=6.572,P < 0.05);治疗组总有效率高于对照组(96.67% vs. 73.33%,χ2=4.706,P < 0.05)。  结论  醒脑开窍针法结合作业疗法可对脑卒中伴有上肢运动障碍起到显著改善作用,能够提高患者日常生活活动能力。
全科医学教育研究
客观结构化临床考试在住院医师规范化培训年度考核中的应用
陈晓晖, 陈静, 王伟, 高涌
2021, 19(11): 1935-1938. doi: 10.16766/j.cnki.issn.1674-4152.002205
1567 12
摘要:
  目的  通过开展对客观结构化临床考试(objective structured clinical examination, OSCE)在住院医师规范化培训年度考核中应用的研究,指导今后OSCE的试题设置,使试题更规范、合理。  方法  选取参加2020年蚌埠医学院第一附属医院住院医师规范化培训年度考核的内科专业学员2018级62人、2019级64人的考核成绩为研究对象,分别分析OSCE设置的信度、效度、难度、区分度,并比较2个年级学员各站考试分数,讨论OSCE试题设置的合理程度及培训时间对成绩的影响。  结果  OSCE设置的信度选择评价者信度进行分析,结果良好;效度使用内容效度进行评价,效度较高;OSCE试题对于2018级学员的难度在0.55~0.78、总难度为0.72,对于2019级学员的难度在0.49~0.79、总难度为0.67,2个年级的单站难度、总体难度基本达到适宜标准;OSCE试题对于2018级学员的区分度为0.18,对于2019级学员的区分度为0.19,稍嫌不足;比较2个年级学员各站考试分数,2018级学员有5站(共6站)成绩高于2019级学员,差异有统计学意义(P < 0.001)。  结论  本次OSCE考站设置较为合理,可以客观反映学员的培训水平及临床实践能力,考核区分度有上升空间,培训时间与成绩呈正相关。
科学可视化作品在药理学教学中的应用
姜牧君, 李民, 马琳艳, 宋宜宁, 董淑英
2021, 19(11): 1939-1942. doi: 10.16766/j.cnki.issn.1674-4152.002206
860 7
摘要:
  目的  本研究为提高《药理学》在本科生中的教学效果,采用将科学可视化(scientific visualization, SV)作品应用于不同的教学环节的新型教学模式。通过分析学生阶段测试成绩及调查问卷结果,评价该模式的教学效果。  方法  选取蚌埠医学院临床医学专业2018级医学二系共8个班级的学生(250人)进行《药理学》教学,采用随机数法将8个班级随机分为2组,每组4个班级共125人。对照组采用传统模式教学,观察组采用科学可视化作品辅助课前预习、课堂教学互动及课后复习的教学模式。  结果  观察组阶段性测试成绩为(81.21±15.30)分,对照组成绩为(66.00±21.70)分;观察组学生及格率为91.20%(114/125),对照组学生及格率为60.80%(76/125)。经分析,采用新教学模式的学生阶段测试成绩及及格率均高于对照组学生(均P < 0.01)。在收回的125份有效调查问卷中,观察组中73.6%(92/125)的学生认为该组课堂教学气氛活跃,92.0%(115/125)的学生认为该模式能够帮助自己梳理知识点,86.4%(108/125)的学生认为该教学模式能够提高学习兴趣。  结论  合理利用科学可视化作品能够整合教学资源,激发学生的学习热情,强化学生对知识点的理解与记忆,提高教学效果。
PBL联合CBL在超声医学教学中的应用研究
都晓英, 唐文波, 宋涛, 孙医学
2021, 19(11): 1943-1945. doi: 10.16766/j.cnki.issn.1674-4152.002207
1226 14
摘要:
  目的  探讨在超声医学科实习、规培学员教学中开展以问题为基础的学习(problem based learning, PBL)教学法联合以病例为基础的学习(case based learning, CBL)教学法的效果。  方法  选取2020年1—12月于蚌埠医学院第一附属医院超声医学科实习、规培的学员50名为研究对象,按随机数字表法分为观察组与对照组,每组25人。对照组以传统教学方式进行教学,观察组采取PBL结合CBL教学模式进行教学。通过理论考核,对超声基础知识和专业知识的掌握情况、操作技巧能力的掌握情况进行考察。同时在教学结束后,以问卷调查表的形式,对2组学员在超声理论知识的掌握、学习兴趣情况、解决实际问题能力、自主学习能力、团队合作能力、临床技能的提高、总体满意度等方面进行了解及分析,综合判断学员对教学模式的满意度。  结果  观察组学员的考核成绩分别为(83.45±8.45)分、(84.86±8.28)分和(85.25±5.26)分,均高于对照组的考核成绩[(76.45±5.78)分、(74.35±6.68)分和(76.45±4.38)分],差异有统计学意义(均P < 0.05)。观察组所有学员对采取PBL结合CBL教学模式的评价均为良好。  结论  与传统教学方式相比,在超声医学科教学中采用PBL结合CBL教学模式进行教学更能够促进学生综合能力的培养,取得良好的教学效果,值得推广应用。
医学综合研究
国内阿尔茨海默病患者认知干预meta分析报告的质量评价
韩广荭, 庞晓丽, 孙会丽, 王伟
2021, 19(11): 1946-1950. doi: 10.16766/j.cnki.issn.1674-4152.002208
763 14
摘要:
  目的  评价国内阿尔茨海默病患者认知干预meta分析报告的质量,并探索其报告质量与摘要之间是否存在线性相关关系。  方法  系统检索知网、万方、维普三大数据库,全面搜集国内阿尔茨海默病患者认知干预的meta分析,检索期限为建库至2019年9月17日。分别基于PRISMA-Abstracts和PRISMA声明,评价纳入文献摘要和全文报告的质量。同时,调查每个PRISMA条目的依从性。采用Pearson相关性分析探索其报告质量与摘要之间的相关关系。  结果  总计纳入9篇meta分析。PRISMA-Abstracts的得分为6~9分, 平均得分为7.56分。PRISMA的得分为19~24分,平均得分为21.78分,其依从性为70.37%~88.89%。Pearson相关性分析结果表明,报告质量与摘要之间无相关性(r=0.401,P=0.285)。  结论  国内阿尔茨海默病患者认知干预meta分析的报告质量总体较好。但摘要和7个PRISMA条目[条目5(方案和注册)、条目15(研究偏倚)、条目16(其他分析)、条目19(研究内部偏倚风险)、条目22(研究间偏倚)、条目23(其他分析)、条目27(资金)]的报告尚不充分,有待进一步提高。
基于数据挖掘的县级医院房颤患者抗凝治疗现状及影响因素研究
林春忠, 赵亮, 王朝昕, 别自东
2021, 19(11): 1951-1955. doi: 10.16766/j.cnki.issn.1674-4152.002209
878 9
摘要:
  目的  本研究基于多中心房颤住院患者的抗凝数据分析挖掘,了解我国东部地区县级医院房颤患者抗凝治疗现状和影响因素,为未来县级房颤患者抗凝提供优化依据,以期预防房颤患者卒中发生从而降低疾病负担。  方法  通过回顾性分析我国东部3家县级医院2018—2019年2 452例房颤住院患者的诊疗及处方数据,描述分析县级医院房颤患者基本情况,并从不同维度分组抗凝差异性比较及县级医院房颤患者抗凝治疗的影响因素。  结果  3家县级医院整体抗凝率为49.96%,CHA2DS2-VASc评分≥2分的房颤患者抗凝率为50.4%,抗凝率在不同入院年份、入院科别、年龄组、合并疾病和出血风险分组比较,差异有统计学意义(均P<0.05);构建CRT决策树模型分析县级医院房颤抗凝的影响因素,最终纳入房颤主诊断、冠心病、心力衰竭、合并疾病数量、入院科别、卒中风险和出血风险、CHA2DS2-VASc评分等15个变量,模型准确度为65.0%,ROC曲线下面积为0.70。  结论  我国东部部分县级医院高卒中风险房颤患者的抗凝率有一定提升,但与三级医院比较仍有较大提升空间,此外,县级医院医生的抗凝规范性有待提升,未来仍需加强县级医院医生在房颤抗凝治疗方面的培训。
重庆市基本公共卫生服务项目绩效考核指标体系实证研究
谭涛, 成撒诺, 邓宇
2021, 19(11): 1956-1959. doi: 10.16766/j.cnki.issn.1674-4152.002210
887 12
摘要:
  目的  对2017年度全市40个区(县)的国家基本公共卫生服务项目实施评估,使重庆市国家公共卫生服务项目实施与管理更加规范,并讨论绩效考核指标体系的优缺点。  方法  将重庆市40个区(县)根据区域经济发展水平分为主城区、近郊区、渝东北和渝东南,共4个区域,应用更适合重庆实际情况的基本公共卫生服务绩效考核指标体系(即组织管理、资金管理、项目执行、项目效果、家庭医生签约服务,共5个1级指标)对全市2017年度的基本公共卫生服务项目于2017年12月份进行现场考核,不同区域之间的考核结果进行差异性分析。  结果  考核指标除组织管理、资金管理外,总分、项目执行、项目效果和家庭医生签约服务在4个不同经济区域比较差异有统计学意义(均P < 0.05),主城区各项指标得分(组织管理6.23分、资金管理4.76分、项目执行69.35分、项目效果8.99分、家庭医生签约服务2.07分)都处于全市前列,渝东南经济发展区各项得分(组织管理6.07分、资金管理4.48分、项目执行60.94分、项目效果8.42分、家庭医生签约服务2.04分)处于末位;项目效果考核指标在各区县得分普遍偏低。  结论  通过考核评价,重庆市基本公共卫生服务区域间差距明显,基本公共卫生服务均等化仍需提高;重庆市基本公共卫生服务质量不高,效果不佳;新指标体系弥补了对重庆市基本公共卫生服务绩效考核面不全、指标简单不够量化等不足。
全科护理研究
三级医院肿瘤科护士的医院伦理气氛感知现状及其影响因素研究
王立萍, 王莹, 王欣雯, 李琼瑶, 涂佳, 赖建军, 吴稚冰
2021, 19(11): 1960-1963. doi: 10.16766/j.cnki.issn.1674-4152.002211
1132 5
摘要:
  目的  探讨三级医院肿瘤科护士的医院伦理气氛感知现状,并分析其影响因素,以期能为临床伦理问题的解决及肿瘤科护士的管理工作提供一定的参考和依据。  方法  使用便利抽样,于2019年6—12月调查浙江省5所三级医院291例肿瘤科护士。使用一般资料调查表、医院伦理气氛量表和中国大五人格量表进行问卷调查。采用单因素分析和多元线性回归方法分析肿瘤科护士医院伦理氛围感知的影响因素。  结果  肿瘤科护士的医院伦理气氛感知总分为(3.43±0.86)分,各维度从高到低依次为法律规范型[(3.92±0.77)分]、规则型[(3.51±0.73)分]、关怀型[(3.42±0.72)分]、功利型[(3.27±0.72)分]和独立判断型[(2.81±0.63)分]。多元线性回归结果显示,上班后医学伦理培训、责任心、宜人性、工作年限和合同制护士是肿瘤科护士医院伦理气氛感知的影响因素,且可解释总变异的51.4%(F=27.823,P < 0.001)。  结论  护理管理者应注重肿瘤科护士的伦理培训,尤其是工作年限较短的护士和合同制护士的伦理意识培养和伦理问题应对技巧的培训,并根据护士的人格特质,合理安排工作岗位,提高护士对医院伦理气氛的感知程度。
链式管理预防小儿神经外科手术压力性损伤的效果
王煜, 韩丁, 边寒雪, 吴新雁, 陈梅丽, 潘守东
2021, 19(11): 1964-1968. doi: 10.16766/j.cnki.issn.1674-4152.002212
1076 10
摘要:
  目的  在小儿神经外科手术中应用链式管理,观察分析其预防小儿神经外科手术压力性损伤的效果。  方法  选取2019年3月—2020年1月在首都儿科研究所附属儿童医院符合纳入标准的神经外科手术患儿120例。按随机数字表法分为对照组和实验组,各60例。对照组接受常规护理模式预防压力性损伤。观察组采用链式管理预防压力性损伤, 建立多科合作的压力性损伤护理小组, 在病房、手术室、麻醉恢复室、重症监护室,针对皮肤情况和预防压力性损伤的措施, 采取“链条式”闭环管理。比较2组患儿手术后2 d内各观测时点压力损伤评分、医护人员满意度和患儿满意度。  结果  观察组和对照组围术期压力性损伤发生率分别为3.3%(2/60)和11.7%(7/60), 差异无统计学意义(P>0.05)。术后即刻至术后24 h,观察组患儿受压部位皮肤情况优于对照组(P < 0.05)。观察组患儿家长满意度和医护满意度均显著高于对照组(均P < 0.05)。  结论  作为一种多科室协同合作的管理模式,链式管理用于小儿神经外科手术有利于降低围术期压力性损伤发生率, 提高家长满意度和医护满意度,促进团队合作, 值得在临床推广。
加速康复护理在腹腔镜子宫全切术患者中的应用研究
孔海燕, 陈丽芬, 周英姿, 滕智敏, 余淑炬, 胡玮, 张徐
2021, 19(11): 1969-1972. doi: 10.16766/j.cnki.issn.1674-4152.002213
1076 7
摘要:
  目的  探讨加速康复护理在腹腔镜子宫全切术患者中的应用效果,为提高护理质量提供依据。  方法  选取2020年7—12月温州医科大学附属第一医院收治的220例行腹腔镜子宫全切手术的患者,按照随机数字表法分为对照组和观察组,每组110例。对照组给予常规护理干预,观察组则给予加速康复护理,包括术前减轻患者的焦虑、抑郁情绪,缩短禁食禁水时间;术中限制性输液;术后早期进食、早期拔管、早期运动锻炼、疼痛管理等护理措施。比较2组患者心理状态、疼痛评分、术后恢复情况、并发症发生率。  结果  护理后(术前1 d), 观察组SAS和SDS评分显著低于对照组(均P<0.05)。观察组术后不同时间的NRS评分均显著低于对照组,差异有统计学意义(均P<0.05)。观察组首次排气时间、首次下床活动时间、术后住院时间分别为(16.73±1.65)h、(12.78±1.43)h和(3.71±0.42)d,均显著低于对照组[(20.61±2.38)h、(21.06±2.45)h和(5.03±0.65)d], 差异有统计学意义(均P<0.05)。观察组并发症发生率为5.45%,显著低于对照组的29.09%(P<0.05)。  结论  加速康复护理应用于腹腔镜子宫全切术患者临床效果理想,值得推广。
全科诊疗实践
以腰背痛和多关节痛为首发表现的梅毒合并艾滋病患者1例
石连杰, 舒建龙, 朱华群, 李胜光
2021, 19(11): 1973-1975. doi: 10.16766/j.cnki.issn.1674-4152.002214
540 10
摘要:
全国首例锥光束乳腺CT引导下导丝定位术并文献复习
蒙丽宇, 苏丹柯, 赖少侣, 康巍, 廖海, 钟武宁
2021, 19(11): 1976-1978. doi: 10.16766/j.cnki.issn.1674-4152.002215
546 9
摘要: