留言板

尊敬的读者、作者、审稿人, 关于本刊的投稿、审稿、编辑和出版的任何问题, 您可以本页添加留言。我们将尽快给您答复。谢谢您的支持!

姓名
邮箱
手机号码
标题
留言内容
验证码

2023年  第21卷  第2期

专家论坛
中医全科医学在心血管疾病防治中的作用与模式
肖荟, 田鑫, 张春祥, 杜慧苹, 车驰, 李林
2023, 21(2): 175-179. doi: 10.16766/j.cnki.issn.1674-4152.002839
1197 39
摘要:
目前中国基层医疗卫生服务机构在防治心血管疾病方面仍存在瓶颈,而中医全科医学作为社区基层卫生服务的主力,在其中发挥着关键性作用。在我国中医与西医并存的国情下,中医全科医学在保持传统中医学“全科”特色及优势的基础上,运用中医独特的理论体系、思维方法、临床经验,不断探索实践,融合现代医学的模式及经验技术,以满足社区卫生服务的需要,为社区居民解决身体健康问题。本文全面阐述了中医全科医学在中医“整体观念、辨证论治、治未病”理论指导下,提倡以“人”为中心,充分发挥中医药及全科医学优势及特色,通过中西医结合治疗方式防治心血管疾病;分析了中医全科医学在防治心血管疾病中的作用及模式,运用未病先防、既病防变、病后防复等中医“治未病”医疗措施,对心血管疾病进行诊疗、康复、预防及保健,减少心血管疾病给人体带来的危害,以缓解心血管疾病所带来的医疗压力。中医全科医生作为中医学的传承者、实践者及社区居民健康的服务者,为居民提供以预防为导向的、连续综合的、便捷有效的社区卫生医疗服务。在国家基层医疗建设的大力支持及中医全科医生的不懈努力下,中医全科医学将成为未来中国防治心血管疾病的中坚力量。
专题/儿科重症
重症监护病房儿童脑卒中临床特征和功能结局分析
周吉华, 明美秀, 陈伟明, 陆国平
2023, 21(2): 180-185. doi: 10.16766/j.cnki.issn.1674-4152.002840
790 11
摘要:
  目的  探讨儿童重症监护病房(PICU)脑卒中临床特征和分析功能结局的危险因素。  方法  选取2018年7月—2022年6月复旦大学附属儿科医院PICU收住的脑卒中连续病例163例,以出院时脑功能分类量表评分(范围1~6分)≥4分为功能结局预后差。采集临床特征,通过多因素logistic回归分析,评估功能结局预后差及院内死亡的危险因素。  结果  163例脑卒中患儿中男88例(54.0%),起病年龄为4.5(1.2, 9.3)岁;缺血性脑卒中(IS)84例,出血性脑卒中(HS)79例,急性期总体出院病死率为16.6%,IS和HS病死率分别为8.3%(7/84)和25.3%(20/79);55例(33.7%)出院时功能结局预后差;136例出院存活患儿中,95例(69.9%)遗留残疾;收入PICU时的改良格拉斯哥昏迷评分(GCS)低(OR=0.658,95% CI:0.582~0.743,P<0.001)与出院时功能结局预后差显著相关;HS(OR=3.071,95% CI:1.121~8.417,P=0.029)和改良GCS低(OR=0.738,95% CI:0.648~0.840,P<0.001)与院内死亡显著相关。  结论  PICU脑卒中患儿中,IS和HS约各占一半,1/3的患儿出院时功能结局预后差,出院存活患儿中超过2/3遗留残疾。收入PICU时的改良GCS低为出院时功能结局预后差的危险因素,HS和改良GCS低为院内死亡的危险因素。
动态监测降钙素原对重症社区获得性肺炎患儿抗感染治疗的临床研究
刘瑶, 吴金桓, 范铭兴, 陈俊, 赵劭懂, 缪红军
2023, 21(2): 186-189. doi: 10.16766/j.cnki.issn.1674-4152.002841
787 15
摘要:
  目的  评估动态监测血清降钙素原对儿童重症社区获得性肺炎抗感染治疗方案的指导意义和应用价值。  方法  选取2019年1月—2022年6月在南京医科大学附属儿童医院重症医学科治疗的重症社区获得性肺炎患儿共150例,根据是否进行血清降钙素原动态监测分为观察组65例和对照组85例。对照组采用常规抗菌药物治疗方案,观察组结合PCT动态监测结果调整用药方案。比较2组患儿抗菌药物使用率、使用疗程、累计抗菌药物消耗数、药物选择、退热时间、ICU滞留时间、出院转归等。  结果  对照组人均累计抗菌药物消耗数为3.50(1.92, 6.20),而观察组明显低于对照组,仅为2.13(1.25,4.95),P < 0.05;观察组的抗菌药物疗程较对照组约缩短1 d[7.0(5.0,10.0)d vs. 8.0(5.0,11.0) d,P < 0.05];对照组的抗菌药物总费用为1 659.0(1 036.3,3 263.2)元, 显著高于观察组[762.2(243.3, 1 423.8)元,P < 0.01];观察组的特殊级抗菌药物使用率低于对照组[27.3%(18/66) vs. 51.8%(44/85),P < 0.01]。观察组退热时间、ICU滞留时间、出院转归与对照组比较差异无统计学意义(均P>0.05)。  结论  动态监测降钙素原有助于重症社区获得性肺炎患儿抗菌药物合理使用,尤其对于特殊级抗菌药物的使用、降级和停用具有指导意义。
入院24 h内首次血常规参数对儿童危重症的预测价值
杭航, 赵武, 孙琦, 郭启秀, 马晓倩, 郑子凡
2023, 21(2): 190-194. doi: 10.16766/j.cnki.issn.1674-4152.002842
789 15
摘要:
  目的  探讨入院24 h内首次血常规参数与儿童危重症的相关性,并建立ROC曲线和列线图模型以评价其对儿童危重症的预测价值。  方法  以2015年4月—2019年12月蚌埠医学院第一附属医院儿童重症监护室入院24 h内行血常规检查并完成小儿危重病例评分的患儿为研究对象。将患儿随机分为训练队列和验证队列,训练队列患儿变量与危重症的相关性采用logistic回归分析。采用受试者工作特征曲线分析变量对2个队列危重症的预测效能,采用R语言构建训练队列列线图预测模型评估危重症的发生概率。  结果  共纳入496例患儿,男283例,女213例,中位年龄2.0(0.57,5.88)岁。训练队列347例,验证队列149例。白细胞计数(WBC)、红细胞分布宽度CV(RDW-CV)及网织红细胞百分比(RET%)与训练队列患儿危重症显著相关(均P < 0.05),WBC+RDW-CV+RET%联合指标预测训练队列及验证队列危重症的曲线下面积分别为0.644和0.711,在最佳截断值为0.357和0.290时,联合指标预测2个队列危重症的灵敏度分别为46.4%和79.6%,特异度分别为80.0%和60.0%。以训练队列WBC、RDW-CV及RET%构建列线图模型,一致性指数、校准曲线、决策曲线和临床影响曲线分析表明列线图可预测儿童危重症。  结论  入院24 h内首次WBC+RDW-CV+RET%对儿童危重症具有较好的预测效能,以WBC、RDW-CV及RET%构建的列线图可预测儿童危重症的发生概率。
全科医学论著
评估肥胖相关指标对非酒精性脂肪肝的筛查价值
李婧, 李小凤, 闫妮, 刘玲娇
2023, 21(2): 195-198. doi: 10.16766/j.cnki.issn.1674-4152.002843
1040 26
摘要:
  目的  探讨筛查中老年人非酒精性脂肪肝(NAFLD)的最佳肥胖相关指标。  方法  本项横断面研究筛选了2019年1—3月在陕西省人民医院健康管理中心参加体检的40岁及以上受试者1 281人,进行病史采集、体格检查及实验室检查,所有受试者均接受腹部B超检查。应用logistic回归分析研究各肥胖指标与NAFLD患病风险的相关性,采用ROC曲线评估肥胖指标对NAFLD患病风险的筛查价值。  结果  在1 281例受试者中,335例诊断为NAFLD,NAFLD的患病率为26.15%。NAFLD组的血压、甘油三酯、总胆固醇、低密度脂蛋白胆固醇、转氨酶、空腹血糖、空腹胰岛素、稳态模型估计的胰岛素抵抗指数、糖化血红蛋白、腰围、腰臀比、BMI、脂质蓄积指数(LAP)均明显升高,高密度脂蛋白胆固醇降低。Logistic回归分析显示,在校正了相关混杂因素后,腰围、腰臀比、BMI、LAP均与NAFLD的患病风险相关。其中LAP与NAFLD的相关性最强,与处于LAP第一分位的受试者相比,处于LAP第四分位的受试者NAFLD的患病风险显著增加(OR=18.055,95% CI: 7.683~42.427,P < 0.001)。4个肥胖相关指标的AUC均>0.7,表明4个肥胖相关指标均对NAFLD有较高的筛查价值。不论男性还是女性,LAP对NAFLD的筛查价值均最高,男性AUC为85.34(95% CI: 81.78~88.90),女性AUC为80.22(95% CI: 76.95~83.48)。  结论  LAP与NAFLD的患病风险密切相关,可能是筛查中老年人NAFLD的有效工具。
MRI联合术前血清学指标及病理特征对早期宫颈癌淋巴结转移的预测价值
赵梦秋, 晋茂生, 刘红丽, 刘健
2023, 21(2): 199-202. doi: 10.16766/j.cnki.issn.1674-4152.002844
938 14
摘要:
  目的  探讨MRI与术前血清学指标鳞状细胞癌抗原(SCC-Ag)、中性粒细胞与淋巴细胞比值(NLR)及活检病理联合对早期宫颈癌淋巴结转移(LNM)的预测价值。  方法  选取2019年1月—2022年2月在蚌埠医学院第一附属医院行初次手术的宫颈癌患者307例,按术后病理是否存在淋巴结转移分为淋巴结转移组81例和未转移组226例,比较2组患者的MRI淋巴结短径、肿瘤直径、间质浸润深度、宫旁浸润和阴道受累,术前血清学指标以及病理特征。分析联合诊断对淋巴结转移的预测价值。  结果  Logistic回归分析显示MRI淋巴结短径大、MRI肿瘤直径大、MRI间质浸润深度>1/2肌层、MRI宫旁浸润、术前SCC-Ag水平升高和脉管浸润是宫颈癌淋巴结转移的独立危险因素(均P < 0.05)。MRI淋巴结短径、术前SCC-Ag水平、NLR诊断宫颈癌LNM的ROC曲线下面积分别为0.806、0.711、0.630,最佳截断值分别为8.50 mm、2.55 ng/mL、1.90,灵敏度分别为0.654、0.593、0.593,特异度分别为0.881、0.757、0.642;MRI淋巴结短径联合SCC-Ag诊断的ROC曲线下面积为0.846;MRI淋巴结短径、术前SCC-Ag水平、NLR三者联合诊断的ROC曲线下面积为0.863。多指标(术前SCC-Ag水平、MRI淋巴结短径、肿瘤直径、间质浸润深度、宫旁浸润以及脉管浸润)联合诊断宫颈癌LNM的ROC曲线下面积为0.926。  结论  影像学检查与血清学指标和临床病理特征联合可以提高对宫颈癌淋巴结转移的预测价值。
早期肠内肠外联合营养的不同比例对慢性阻塞性肺疾病合并Ⅱ型呼吸衰竭患者的影响
潘丽娜, 徐蕾, 孟囡囡, 程玉婷
2023, 21(2): 203-206. doi: 10.16766/j.cnki.issn.1674-4152.002845
945 12
摘要:
  目的  通过对慢性阻塞性肺疾病(COPD)合并Ⅱ型呼吸衰竭患者施行不同热量比例的早期肠内肠外联合营养,探讨早期肠内肠外联合营养的不同比例对患者临床治疗效果及预后影响。  方法  选取上海市第十人民医院2019年2月—2021年2月收治的COPD合并Ⅱ型呼吸衰竭患者108例为研究对象,根据随机数字表法随机分为低、中、高比例组各36例。3组在常规治疗基础上分别给予肠内与肠外热量比为1∶ 3、1∶ 1、3∶ 1的联合营养支持。比较3组治疗前后呼吸功能、营养状况、胃肠道黏膜屏障功能和临床预后情况。  结果  治疗10 d后,3组患者呼吸功能、营养状况、胃肠道黏膜屏障功能相关指标均较治疗前明显改善(均P<0.05);高比例组PaO2、用力肺活量、一秒率、ALB、前白蛋白(PA)、转铁蛋白(TRF)显著高于中、低比例组(均P<0.05);D-乳酸、二胺氧化酶、前降钙素显著低于中、低比例组(均P<0.05);高比例组PaCO2显著低于低比例组(P<0.05),中比例组ALB、PA、TRF显著高于低比例组(均P<0.05);高比例组机械通气时间、ICU住院时间、总住院时间显著低于低比例组(均P<0.05);3组28 d病死率(13.8%、8.33%、3.56%)比较差异无统计学意义(χ2=1.543;P=0.462)。  结论  早期肠内肠外联合营养能有效提高COPD合并Ⅱ型呼吸衰竭患者的呼吸功能、营养状况和肠道黏膜屏障功能,改善预后,其中肠内肠外营养热量比例为3∶ 1的联合营养方案效果最优。
高压氧联合醒脑静注射液对创伤性脑损伤昏迷患者意识改善及血清SOD、NO的影响
王自成, 齐胤良, 许季祥, 李伟, 周小妹
2023, 21(2): 207-209. doi: 10.16766/j.cnki.issn.1674-4152.002846
913 7
摘要:
  目的  探讨临床治疗创伤性脑损伤(TBI)昏迷患者, 单用醒脑静注射液与高压氧联合醒脑静注射液的2种治疗方式对于患者意识改善及血清中氧化应激指标水平的影响。  方法  采用回顾性调查研究法,整理2021年5月1日—2022年1月31日在合肥市第二人民医院高压氧科及神经外科治疗的56例重度TBI昏迷患者的临床资料,根据在院期间患者是否接受高压氧治疗分为高压氧治疗组(观察组)32例和未接受高压氧治疗组(对照组)24例。利用格拉斯哥昏迷量表(GCS)对2组患者治疗前后意识状态进行评估并记录,检测2组治疗前、治疗第10天、治疗第20天血清超氧化物歧化酶(SOD)、一氧化氮(NO)水平并记录患者苏醒率。  结果  治疗后,2组患者GCS评分均较治疗前增高(均P < 0.05),观察组GCS评分为(9.22±2.27)分,明显高于对照组[(7.71±2.77)分,P < 0.05];且观察组苏醒率[59.4%(19/32)]明显高于对照组[29.2%(7/24), P < 0.05]。2组治疗前、治疗第10天和第20天的SOD值均依次上升。2组治疗前、治疗第10天和第20天的NO值均依次下降。  结论  高压氧联合醒脑静注射液治疗创伤性脑损伤昏迷患者可更明显地改善患者意识状态,提升苏醒率,其可能的作用机制与血清SOD水平升高及血清NO水平下降有关。
静脉腔内激光联合羟苯磺酸钙对下肢大隐静脉曲张患者预后的影响
吴成稳, 康海涵, 李飞, 张秀丽
2023, 21(2): 210-212. doi: 10.16766/j.cnki.issn.1674-4152.002847
923 10
摘要:
  目的  探讨静脉腔内激光联合羟苯磺酸钙对下肢大隐静脉曲张患者临床症状、血流动力学、病情严重程度及并发症等的影响,为患者临床治疗提供参考。  方法  选取2019年5月—2020年11月郑州大学第二附属医院收治的86例下肢大隐静脉曲张患者,采用随机数字表法分为对照组和观察组,每组各43例。记录患者手术时间、术中出血量、切口长度和住院时间,记录患者手术前后心率、血氧饱和度(SpO2)、平均动脉压(MAP)、浅静脉血流速度和临床症状评分,采用静脉临床严重程度评分(VCSS)、阿伯丁静脉曲张问卷(AVVQ)对患者进行评估,记录术后并发症发生情况。  结果  观察组患者手术时间、术中出血量、切口长度、住院时间、酸胀疼痛、下肢肿胀、色素沉着、下肢溃疡等临床症状评分均低于对照组(均P<0.05)。观察组术后心率[(75.26±10.85)次/min]、浅静脉血流速度[(2.23±0.69)cm/s]、VCSS评分[(7.46±3.64)分]、AVVQ评分[(6.82±3.41)分]和术后总并发症发生率[16.28%(7/36)]均低于对照组[(80.92±10.34)次/min、(2.74±0.95)cm/s、(9.72±3.57)分、(10.05±4.62)分、37.21%(16/36),均P<0.05],MAP[(95.48±8.65)mm Hg, 1 mm Hg=0.133 kPa]高于对照组[(91.47±8.97)mm Hg, P<0.05]。  结论  静脉腔内激光联合羟苯磺酸钙可减少血流动力学影响,改善下肢大隐静脉曲张患者临床症状,降低术后并发症发生率。
添加不同量丝胶粉对义齿基托树脂表面亲水性及力学特性的影响
迪丽努尔·买买提沙吾提, 米热扎提·泰来提, 周琦琪, 何惠宇
2023, 21(2): 213-216. doi: 10.16766/j.cnki.issn.1674-4152.002848
848 14
摘要:
  目的  义齿基托材料的亲水性和力学特性都会对义齿基托的修复效果造成影响,本次主要研究添加不同量丝胶粉对义齿基托树脂表面亲水性及力学特性的影响。  方法  将不同粉末和单体组成4种组合,A组:D-300-甲基丙烯酸甲酯(MMA); B组:D-250ML-甲基丙烯酸异丁酯(iBMA); C组:D-100M-甲基丙烯酸异辛酯(EHMA)+甲基丙烯酸2-羟基乙酯(HEMA); D组:D-250E-EHMA+MMA。各组添加不同量丝胶粉(0%、1%、3%、5%)得到16种材料。测定材料浸泡0、60、120、240、300、360 d的表面接触角,计算抗折性能、弹性模量。  结果  (1) 各组不同丝胶粉添加量样本的接触角、抗折强度、弹性模量的差异有统计学意义(均P < 0.05)。(2)各组无添加样本接触角高于添加3%丝胶粉样本(均P < 0.05)。各组添加3%丝胶粉样本浸泡180~360 d时间段的接触角呈降低趋势。C组浸泡360 d、添加3%丝胶粉样本的接触角最低(58.31±5.42)°。(3)未添加丝胶粉样本中,A组抗折强度高于其他3组(均P < 0.05)。A组和D组中添加3%丝胶粉样本浸泡360 d的抗折强度较高,为(122.31±9.73)MPa和(117.47±8.99)MPa。(4)B组中添加1%、3%、5%丝胶粉样本的弹性模量高于无添加样本(均P < 0.05)。A组添加5%丝胶粉、B组添加1%丝胶粉和D组添加3%丝胶粉样本的弹性模量较高。  结论  添加不同量丝胶粉可增加义齿基托表面的亲水性,但抗折强度及弹性模量也会受到一定影响。
血管性认知障碍患者血清胱抑素C水平研究
刘凯, 苏燕, 屈洪党, 杜苑苑, 熊勃超, 许力, 骆嵩
2023, 21(2): 217-220. doi: 10.16766/j.cnki.issn.1674-4152.002849
859 9
摘要:
  目的  明确血清胱抑素C(CysC)在血管性认知障碍(VCI)患者中的表达,探讨两者间的相关性及CysC的临床预测价值。  方法  纳入蚌埠医学院第一附属医院2021年1月—2022年2月诊治的VCI患者96例。根据患者日常生活能力及蒙特利尔认知量表(MoCA)评分将患者分为血管性痴呆(VaD)组(35例)和血管性认知障碍非痴呆(VCIND)组(61例),另选取83例认知和颅脑CT/MRI均表现正常的健康老人为对照(NC)组。比较3组基线资料及CysC水平,分析CysC与VCI患者总体认知及特定认知域的关系,采用二元logistic回归分析和ROC曲线评估VCI发生的相关危险因素及CysC对其发生的预测价值。  结果  3组年龄、高血压、糖尿病、卒中史、CysC和MoCA评分差异有统计学意义(均P < 0.05);NC组、VCIND组和VaD组CysC表达水平依次升高,两两比较差异有统计学意义(均P < 0.05);CysC与VCI患者MoCA总评分以及视空间与执行力、命名、计算与注意力、语言、定向、延迟记忆呈负相关关系(均P < 0.05);Logistic回归分析显示CysC表达升高可能是VCI发生的独立危险因素(P < 0.05);ROC曲线分析显示CysC预测VCI发生的AUC为0.758,灵敏度为70.8%,特异度为77.1%,最佳截断值为0.99 mg/L。  结论  血清胱抑素C在VCI中高表达并与认知损害严重程度相关,是认知障碍发生的独立影响因素,有望成为VCI早期评估的生物学指标。
慢性心力衰竭患者Arg389Gly基因多态性与改善心室重塑及临床预后的关系
杨丹, 黄宇理, 徐淑楠
2023, 21(2): 221-224. doi: 10.16766/j.cnki.issn.1674-4152.002850
614 15
摘要:
  目的  探讨β1肾上腺素受体Arg389Gly基因多态性与慢性心力衰竭患者心功能变化情况及临床预后的关系。  方法  选取2020年4月—2021年5月蚌埠医学院第一附属医院的慢性心力衰竭患者120例,根据Arg389Gly基因型将患者分成CC组(43例)、GC组(56例)、GG组(21例)3组。收集患者入院时的临床资料,出院后通过门诊或电话对其进行6个月的随访,分析3组患者药物治疗前后心功能变化情况及临床预后。  结果  Arg389Gly基因型频率分别为35.8%(CC)、46.7%(GC)、17.5%(GG);随访6个月后,3组患者在氨基末端脑钠肽前体(NT-proBNP)降幅、左心室射血分数(LVEF)升幅及左心室舒张末期内径(LVDD)、左心室收缩末期内径(LVDS)降幅上的差异均有统计学意义(均P<0.05),且CC组的改善情况显著优于GG组(P<0.017);3组患者的可溶性生长刺激表达基因2蛋白(sST2)降幅在随访至6个月时其差异有统计学意义(P=0.006),且CC组优于GG组(P=0.014)。在随访过程中出现了心源性死亡、因心力衰竭再入院、恶性心律失常事件的患者共44例,log-rank检验提示3组患者终点事件发生率的差异有统计学意义(P=0.026),Kaplan-Meier曲线提示CC组终点事件的发生率低于GG组。  结论  Arg389Gly基因多态性与慢性心力衰竭患者的心功能变化及临床预后有关。
内科胸腔镜多部位活检联合快速现场评价技术对不明原因胸腔积液的诊断价值
徐炜, 李优, 房宇坤, 李玉, 陈清勇, 王剑, 陈彧
2023, 21(2): 225-230. doi: 10.16766/j.cnki.issn.1674-4152.002851
782 5
摘要:
  目的  探讨内科胸腔镜检查中镜下表现及多部位活检结合快速现场评价技术(简称ROSE技术)对不明原因胸腔积液的诊断价值。  方法  回顾性分析解放军第903医院2016年6月—2017年12月因不明原因胸腔积液行内科胸腔镜检查的124例患者的临床资料,通过观察胸腔镜下胸膜变化,术中活检组织的快速现场细胞学表现,并对照最终的病理诊断,对内科胸腔镜检查联合ROSE技术在临床应用中的安全性、有效性及准确性进行系统分析和评价。  结果  124例行胸腔镜检查的患者中良性病变77例,恶性病变41例,诊断不明确者6例。胸腔镜镜下诊断恶性病变的阳性预测值为73.81%,阴性预测值为86.84%,灵敏度为75.60%,特异度为85.71%,与病理诊断符合率为82.2%。胸腔镜联合ROSE技术诊断恶性胸腔积液的阳性预测值为82.98%,阴性预测值为97.18%,灵敏度为95.12%,特异度为89.61%,胸腔镜联合ROSE技术与最终病理结果的一致性较好(Kappa值为0.825,P<0.001)。  结论  内科胸腔镜在胸腔积液中具有检出率高、准确性高的特点, 而ROSE技术与最终病理结果具有较好的一致性,二者联合进一步提高了不明原因胸腔积液的诊断效率,值得在临床推广应用。
广西部分地区氨基酸代谢病串联质谱筛查结果分析
吴柳霖, 林彩娟, 黄小桃, 罗静思, 钱家乐, 耿国兴
2023, 21(2): 231-233. doi: 10.16766/j.cnki.issn.1674-4152.002852
712 10
摘要:
  目的  对广西部分地区新生儿串联质谱筛查氨基酸代谢病(AAD)情况进行总结分析,了解氨基酸代谢病的发病率及其种类特点。  方法  对2011年6月—2020年12月广西新生儿疾病筛查中心所管辖区的活产新生儿以及门诊及住院新生儿总计538 944例进行遗传代谢病的串联质谱检测,并对其中氨基酸代谢病的数据进行回顾性分析。  结果  在进行遗传代谢病串联质谱筛查的538 944例新生儿中,经基因检测共确诊6种氨基酸代谢病共27例,总体发病率为1/19 961,其中希特林蛋白缺乏症(NICCD)11例, 发病率为1/48 995,占比40.74%;苯丙酮尿症(PKU)8例,发病率为1/67 368,占比29.63%;瓜氨酸血症Ⅰ型(CTLN1)4例,发病率为1/134 736,占比14.82%;鸟氨酸胺甲酰基转移酶缺乏症(OTCD)2例, 发病率为1/269 472,占比7.41%;高甲硫氨酸血症(MET)1例, 发病率为1/538 944,占比3.70%;6-丙酮酰四氢蝶呤合成酶缺乏症(PTPS)1例, 发病率为1/538 944,占比3.70%。  结论  广西部分地区氨基酸代谢病主要以NICCD和PKU为主,新生儿遗传代谢病早期筛查和确诊有利于患儿及时有效的治疗,有利于控制出生缺陷的发生,提高出生人口质量。
全科临床研究
血清sTREM-1联合SIRS评分对烧伤患者并发脓毒症的诊断效能
杨建华, 李雪, 刘浩
2023, 21(2): 234-237. doi: 10.16766/j.cnki.issn.1674-4152.002853
960 6
摘要:
  目的  探讨烧伤患者血清可溶性髓样细胞触发受体1(sTREM-1)及全身炎症反应综合征(SIRS)评分的变化,以及两指标对烧伤患者并发脓毒症的诊断价值。  方法  选择2019年3月—2020年10月山东省立第三医院收治的193例烧伤患者,其中局部感染65例(局部感染组),合并脓毒症38例(脓毒症组),单纯烧伤90例(单纯烧伤组)。检测血清sTREM-1水平,进行SIRS评分,采用受试者工作特征曲线(ROC)分析sTREM-1联合SIRS评分诊断烧伤并发脓毒症的价值。  结果  脓毒症组血清sTREM-1水平[(169.83±31.54)ng/mL、(124.05±24.09)ng/mL、(72.18±11.58)ng/mL],SIRS评分[3.5(2.0, 4.0)分、1.5(1.0, 2.0)分、0.5(0, 1.0)分]高于局部感染组和单纯烧伤组(P<0.05),局部感染组血清sTREM-1水平、SIRS评分高于单纯烧伤组(P<0.05)。Logistic回归分析结果显示,高水平sTREM-1(OR=2.003,95% CI:1.945~2.135)是烧伤患者合并脓毒症的危险因素(P<0.05)。ROC分析结果显示sTREM-1、SIRS评分、联合sTREM-1和SIRS评分诊断烧伤患者合并脓毒症的曲线下面积(AUC)分别为0.731、0.629、0.943,联合诊断高于单独sTREM-1、SIRS评分(P<0.05)。  结论  sTREM-1、SIRS评分在烧伤患者并发脓毒症诊断方面具有一定的价值,联合两项指标可提高诊断效能。
药物基因组学检测在难治性精神分裂症患者中的临床效能
兰吴沅, 胡伟明, 兰智勇
2023, 21(2): 238-241. doi: 10.16766/j.cnki.issn.1674-4152.002854
912 8
摘要:
  目的  为提升难治性精神分裂症患者用药有效性、安全性,本文重点探讨药物基因组学检测在难治性精神分裂症患者中的应用效果。  方法  选择2021年11月—2022年9月在衢州市第三医院诊治的难治性精神分裂症男性患者100例纳入研究,依据随机数表法将患者分为对照组(基于医生经验用药)和观察组(基于药物基因检测用药),每组50例。比较2组临床疗效、自知力、生活质量、出院1个月及1年的社会适应状况、复发率、不良反应发生率。  结果  治疗1个月后,观察组患者阳性症状、阴性症状、一般精神病理症状评分均低于对照组[(20.11±2.67)分vs. (23.89±3.10)分,(15.02±1.88)分vs. (18.27±2.33)分,(30.35±2.93)分vs. (35.24±3.80)分,均P<0.001];观察组自知力评定量表(SAI)与简明健康状况调查问卷(SF-36)评分均明显高于对照组[(10.27±1.71)分vs. (7.24±1.62)分,(88.06±18.37)分vs. (73.41±16.82)分,均P<0.001]。出院1个月及1年后,观察组个人和社会功能量表(PSP)评分均明显高于对照组[(68.30±6.10)分vs. (59.24±5.68)分,(81.32±7.30)分vs. (75.49±6.29)分,均P<0.001];观察组药物相关不良反应发生率明显低于对照组(P<0.05)。出院1年后,观察组复发率明显低于对照组(P<0.001)。  结论  依据药物基因组检测结果指导难治性精神分裂症临床用药优势明显,症状缓解快,可改善患者生活质量、社会适应性,复发率及不良反应率低,值得临床推广应用。
穴位电刺激联合全身麻醉在老年腹腔镜结直肠癌根治术患者中的应用效果
李亚楠, 万政佐, 李岩岩, 阙斌, 于学来, 汪利凤
2023, 21(2): 242-246. doi: 10.16766/j.cnki.issn.1674-4152.002855
836 5
摘要:
  目的  分析经皮穴位电刺激(TEAS)联合全身麻醉对患者胃肠激素及术后认知功能障碍(POCD)的影响,探讨TEAS联合全身麻醉在老年腹腔镜结直肠癌根治术中的应用效果。  方法  选取2020年1月—2022年1月于杭州市中医院行腹腔镜结直肠癌根治术的老年患者90例,使用随机数字表法将患者分为A组(45例)和B组(45例)。A组患者给予全身麻醉处理,B组患者在A组的基础上给予TEAS处理。比较2组患者围手术期指标、术中不同时间血流动力学改变情况、胃肠激素水平、中枢神经特异性(S100β)蛋白及脑源性神经营养因子(BDNF)水平、简易智力状态检查量表(MMSE)评分、POCD发生情况。  结果  B组患者丙泊酚、瑞芬太尼用量、苏醒时间及拔管时间明显低于A组(P < 0.05)。B组中心静脉压(CVP)水平明显高于A组(P < 0.05)。2组胃泌素、胃动素水平较术前明显降低(均P < 0.05),且B组明显高于A组(P < 0.05)。机体S100β蛋白水平先升高后降低(P < 0.05)、BDNF水平及MMSE评分先降低后升高(均P < 0.05),且B组术后1、3、7 d时S100β蛋白水平均低于A组(均P < 0.05),BDNF水平及MMSE评分均高于A组(均P < 0.05)。术后1、3 d,B组POCD发生率低于A组(37.78% vs. 68.89%,24.44% vs. 51.11%,均P < 0.05)。  结论  TEAS联合全身麻醉可减轻老年腹腔镜结直肠癌根治术后患者手术及麻醉对胃肠激素分泌的抑制作用,保护中枢神经系统,改善认知功能,减少POCD的发生。
KL-6在类风湿关节炎相关肺间质病患者中的表达
朱彩侠, 田豆豆, 鱼云霞, 张科东
2023, 21(2): 247-249. doi: 10.16766/j.cnki.issn.1674-4152.002856
1208 18
摘要:
  目的  肺泡Ⅱ型细胞表面抗原-6(KL-6)主要表达于Ⅱ型肺泡上皮及支气管上皮细胞, 在肺部感染、间质性肺疾病中表达升高,本研究拟探讨KL-6在类风湿关节炎相关性间质性肺疾病中的表达。  方法  收集2018年1月—2020年12月在宁夏医科大学总医院风湿免疫科住院的初次诊断且未经治疗的类风湿关节炎(RA)患者68例,其中经胸部CT证实未合并肺间质病变的单纯RA患者35例,合并肺间质病变的RA(RA-ILD)患者33例,同时期健康体检者30名,分别留取3组研究对象血清及部分单纯RA组和RA-ILD组患者关节腔积液,采用EILSA法检测KL-6的表达水平。分析单纯RA组和RA-ILD组患者性别、年龄及病程等临床特征;分析单纯RA组中合并慢性阻塞性肺疾病(COPD)和未合并COPD患者血清KL-6的表达水平。  结果  单纯RA组和RA-ILD组患者性别、年龄差异无统计学意义,RA-ILD组患者病程明显长于单纯RA组[(163.50±88.07)月vs. (94.42±50.14)月,P<0.05];单纯RA组中,有6例患者合并COPD,与同组未合并COPD患者比较,血清KL-6水平差异无统计学意义;RA-ILD组患者血清KL-6表达水平[(100.96±14.29)U/mL]明显高于单纯RA组患者[(30.33±5.30)U/mL]及正常对照组[(26.67±2.78)U/mL],单纯RA组血清KL-6水平与正常对照组差异无统计学意义。单纯RA患者关节腔积液KL-6水平明显低于RA-ILD患者,差异有统计学意义(P<0.05)。  结论  KL-6在RA-ILD患者中表达增高,是反映RA-ILD患者肺间质病变严重程度的有效指标。
点阵二氧化碳激光治疗儿童深度烧伤后早期增生性瘢痕的效果评价
刘继松, 邢福席, 付全有, 章祥洲, 李勇, 徐东卫
2023, 21(2): 250-254. doi: 10.16766/j.cnki.issn.1674-4152.002857
1107 8
摘要:
  目的  深度烧伤后瘢痕增生常严重影响儿童的日常生活,本研究旨在探讨点阵二氧化碳激光治疗儿童深度烧伤后早期增生性瘢痕的疗效及安全性。  方法  选取2019年7月—2021年5月蚌埠市第三人民医院烧伤整形科收治的符合入选标准的深度烧伤患儿68例,其中男44例,女24例。按照随机数字法将患儿分为观察组(33例)与对照组(35例),2组患儿均给予常规治疗(压力治疗和药物治疗), 观察组在常规治疗的基础上加用二氧化碳点阵激光治疗。采用温哥华瘢痕量表(VSS)和患儿与观察者瘢痕评估量表(POSAS)对患儿进行评分,并记录不良反应发生情况和患儿满意度。  结果  治疗后3个月,观察组患儿VSS[(5.54±1.41)分]、OSAS[(3.42±0.79)分]、PSAS[(4.00±0.79)分]总体评分较治疗前VSS[(8.24±1.73)分]、OSAS[(5.00±0.82)分]、PSAS[(5.48±0.97)分]明显改善,差异均有统计学意义(均P < 0.05);对照组患儿VSS[(6.94±1.64)分]、OSAS[(4.28±0.75)分]、PSAS[(4.91±0.70)分]总体评分较治疗前改善,差异均有统计学意义(均P < 0.05),观察组VSS、OSAS、PSAS总体评分均低于对照组(均P<0.05)。治疗后观察组患儿的瘢痕改善程度较对照组更加明显(P < 0.05)。治疗过程中,观察组患儿出现红斑2例,色素沉着1例,糜烂1例,对照组患儿出现水疱3例,糜烂2例。  结论  对于增生性瘢痕,在常规抗瘢痕的基础上加用点阵二氧化碳激光治疗可以有效地改善瘢痕的厚度、血管分布等,减少瘢痕导致的瘙痒、疼痛,提高患儿的生活质量。
慢病防治研究
高尿酸血症在冠状动脉非阻塞型心肌梗死预后中的预测价值
任飞, 魏腾飞, 涂胜
2023, 21(2): 255-258. doi: 10.16766/j.cnki.issn.1674-4152.002858
786 7
摘要:
  目的  探讨高尿酸血症与冠状动脉非阻塞型心肌梗死(MINOCA)患者的不良事件发生之间的潜在联系。  方法  选取2019年1月—2020年6月在亳州市人民医院心内科住院的急性心肌梗死行急诊冠脉造影并确诊为MINOCA的患者,共168例,根据血尿酸水平分为高尿酸血症组(47例)和正常尿酸组(121例)。由经过培训的心内科人员通过医院电子病历系统收集相关基线资料。平均随访18个月,通过门诊复诊、电话随访、调阅电子病历等方式记录出院后随访期间的主要心脑血管不良事件(MACCE)发生情况,并以此作为随访终点事件。比较2组患者基线资料,观察2组患者的预后差异。  结果  168例患者共记录到35次MACCE。高尿酸血症组发生16次MACCE,正常尿酸组发生19次MACCE。与正常尿酸组相比,高尿酸血症组的MACCE和非致死性心肌梗死发生率更高(分别为34.0% vs. 15.7%和10.6% vs. 0.8%;均P < 0.05)。Kaplan-Meier生存分析曲线表明,高尿酸血症组MACCE风险与正常尿酸组生存曲线逐渐分离,且二者差异有统计学意义(log-rank P=0.003)。  结论  对于MINOCA患者来说,高尿酸血症与其不良事件发生密切相关,且很可能是MINOCA患者MACCE事件发生的独立预测因子。血尿酸水平有望作为预测MINOCA患者预后的生物学标志物。
郑氏卧位康复操联合呼吸排痰阀对重度慢性阻塞性肺疾病患者的疗效观察
黄晓晨, 张永, 钱朝霞
2023, 21(2): 259-262. doi: 10.16766/j.cnki.issn.1674-4152.002859
1172 6
摘要:
  目的  探讨重度慢性阻塞性肺疾病(COPD)患者进行郑氏卧位康复操联合呼吸排痰阀训练的临床效果。  方法  收集2020年10月—2021年2月蚌埠市第三人民医院呼吸内科治疗的重度慢性阻塞性肺疾病急性加重期(AECOPD)患者62例,采用随机数字表法分为观察组(31例)和对照组(31例),均给予抗感染、解痉祛痰、氧疗等基础治疗。对照组进行缩唇腹式康复治疗,观察组采用郑氏卧位康复操联合呼吸排痰阀治疗,研究周期为12周。观察2组患者干预前后第1秒用力呼气容积(FEV1)、用力肺活量(FVC)、第1秒用力呼气容积与用力肺活量的比值(FEV1/FVC)、CRP、IL-6、CD3+、CD4+、CD45+、慢性阻塞性肺疾病评估测试(CAT)及改良英国医学研究学会呼吸困难量表(mMRC)。  结果  干预后,观察组IL-6[6.11(0.82,10.83)pg/mL]和CRP[9.15(2.15,18.91)mg/L]较对照组显著降低[8.64(5.41,15.54)pg/mL、18.64(6.49,26.15)mg/L,均P < 0.05],CD3+、CD4+及CD45+较对照组显著升高(均P < 0.05),CAT评分[(28.03±4.53)分]和mMRC分级[(3.10±0.70)级]较对照组改善[(28.77±4.31)分、(3.45±0.62)级,均P < 0.05],干预前后2组FEV1、FVC、FEV1/FVC差异均无统计学意义(均P>0.05)。  结论  郑氏卧位康复操联合呼吸排痰阀能够有效减轻患者的炎症反应,增强机体免疫功能,改善患者的呼吸困难症状,使肺功能维持稳定。
妇幼卫生研究
血清miR-18a、miR-485-5p对HPV阳性宫颈癌的诊断价值
李丹萍, 李宗民, 张丽峡, 杨伟伟, 李巧莉
2023, 21(2): 263-266. doi: 10.16766/j.cnki.issn.1674-4152.002860
636 6
摘要:
  目的  探讨宫颈癌患者伴人乳头瘤病毒(HPV)与单纯宫颈癌患者血清微小RNA(miR)-18a,miR-485-5p表达差异,分析二指标对HPV阳性宫颈癌的诊断价值。  方法  选取2020年1月—2021年1月黄河三门峡医院收治的91例HPV阳性宫颈癌患者为HPV阳性宫颈癌组,62例HPV阳性非宫颈癌妇女为HPV阳性组,57名体检健康妇女为对照组,采用qRT-PCR检测血清miR-18a、miR-485-5p的表达。采用受试者操作特征曲线(ROC)分析血清miR-18a、miR-485-5p对HPV阳性宫颈癌的诊断价值。  结果  HPV阳性宫颈癌组血清miR-18a表达高于对照组和HPV阳性组,而miR-485-5p表达低于对照组和HPV阳性组(均P<0.05)。血清miR-18a、miR-485-5p表达与HPV阳性宫颈癌患者FIGO分期、间质浸润深度、是否淋巴结转移有关(均P<0.05)。ROC曲线显示,miR-18a、miR-485-5p、联合诊断HPV阳性宫颈癌的AUC分别为0.752、0.802、0.876,灵敏度分别为67.03%、75.82%、83.52%,特异度分别为77.42%、74.19%、83.87%。联合诊断HPV阳性宫颈癌的AUC大于miR-18a、miR-485-5p单独诊断(均P<0.05)。  结论  HPV阳性宫颈癌血清miR-18a高表达,miR-485-5p低表达,可作为HPV阳性宫颈癌辅助诊断指标。
199例妊娠中晚期胎儿室间隔缺损的遗传学因素研究
李萌, 蒙达华, 付华钰, 许涓涓, 李娇, 李乔, 黄金爱
2023, 21(2): 267-269. doi: 10.16766/j.cnki.issn.1674-4152.002861
850 15
摘要:
  目的  探讨单核苷酸多态性微阵列芯片技术(single nucleotide polymorphism array,SNP array)检测胎儿室间隔缺损的遗传学病因的应用价值。  方法  回顾性分析2015年1月—2020年12月在广西壮族自治区妇幼保健院就诊的199例妊娠孕中期或孕晚期胎儿室间隔缺损的孕妇资料, 行羊膜腔穿刺抽取羊水标本或脐静脉穿刺抽取脐带血标本, 分析其染色体核型结果与基因芯片结果,结合查询拷贝数变异(copy number variations,CNVs)数据库、DGV以及PubMed等数据库对检出的CNV的致病性进行分析。  结果  199例胎儿羊水或脐带血染色体核型异常27例,检出率为13.57%,其中22例染色体非整倍体异常,5例染色体结构异常。SNP array检出41例异常,检出率为20.60%(41/199),SNP array异常检出率稍高于染色体核型异常检出率;芯片异常中有32例致病性,其中27例与核型分析结果一致,5例核型未见异常而芯片检出染色体微缺失综合征,另外9例为临床意义不明的染色体微缺失/微重复。  结论  孕中晚期产前诊断胎儿室间隔缺损以染色体非整倍体为主,SNP array技术可检测出亚显微致病性CNV,为胎儿室间隔缺损的遗传咨询和预后评估提供依据。
社区卫生研究
基于“防微安和”理念的复发性流产社区干预体系探微
丁朝阳, 姚易, 郭芷亦, 张建容, 朱建平, 姜丽娟
2023, 21(2): 270-274. doi: 10.16766/j.cnki.issn.1674-4152.002862
844 7
摘要:
复发性流产是现代妇科常见多发病之一,其不仅是一个医学问题,更是成为一个逐渐影响婚姻生活及家庭和谐的社会问题,对育龄期女性的身心健康造成了严重困扰。复发性流产具有“应期而堕”的特点,明确流产原因,积极调理身体,及早地预防干预能更有效地避免流产再次发生。社区干预旨在以综合干预手段改变人群的行为习惯与生活方式,进而干预疾病发生、发展中的危险因素,充分体现了三级预防的内涵。传统社区干预手段为复发性流产的防治起到了积极作用,但干预项目影响力多局限于试点阶段与试点区域,难以大范围推广应用。针对复发性流产社区干预的系列问题,系统整理了导师姜丽娟教授“防微安和”理念,从“气血和”,分期调养;“志意和”,调畅情志;“寒温和”,重视人群体质;“医患和”,增强疾病观念4个方面具体阐述了在社区实践中如何针对复发性流产患者进行有效干预,并构建了系统的社区干预体系。“防微安和”理念不仅适用于复发性流产,对其他疾病社区干预的开展亦有参考价值,将中医理论同社区干预相结合并发挥中医全科医生的主体地位,才能最大限度地优化干预计划中各项资源的配置,提高干预实践的实效和质量。以中医理论为指导的社区干预将是未来全科医学在基层卫生保健事业中防治疾病、促进健康的有力武器。
耳神门穴点压对社区老年期焦虑障碍患者焦虑症状的影响
陆啸风, 吴颢, 李欣馨, 陈思路, 薛连学, 杨应环
2023, 21(2): 275-278. doi: 10.16766/j.cnki.issn.1674-4152.002863
1058 5
摘要:
  目的  探索耳神门穴点压对社区老年期广泛性焦虑障碍(GAD)的治疗效果及额叶功能的改善作用。  方法  选择2020年9月—2021年6月就诊于上海市静安区南京西路街道社区卫生服务中心及上海市长宁区精神卫生中心的老年期GAD患者90例,采用随机数字表法将患者随机分为耳穴刺激组(47例)和对照组(43例),耳穴刺激组接受耳神门穴王不留行籽点压,对照组则对耳垂部进行点压,共8周。干预前后分别采用汉密尔顿焦虑量表(HAMA)、老年焦虑量表(GAI)及额叶功能量表(FAB)进行评估。  结果  耳穴刺激组与对照组在基线时点的人口学资料、焦虑症状及额叶功能差异均无统计学意义(均P>0.05)。干预8周后,与对照组比较,耳穴刺激组的HAMA及GAI得分显著降低[(15.41±6.79)分vs. (24.32±4.96)分,(7.97±2.71)分vs. (11.99±2.87)分, 均P<0.05],而FAB得分显著升高[(10.79±3.41)分vs. (3.61±2.32)分, P<0.05]。HAMA的减分值与FAB增分值呈负相关关系(r=-0.205,P=0.006),HAMA躯体维度得分差值与GAI得分差值呈正相关关系(r=0.472,P<0.001)。  结论  耳神门穴点压对社区老年期GAD患者的焦虑症状具有显著的改善作用,其作用机制可能与额叶功能改善相关。
健康促进与健康教育
中国成人自报结直肠癌患者生活方式研究
胡亚男, 王秋童, 何凤蝶, 王丹, 杨晓莹, 王丽敏, 王宝华
2023, 21(2): 279-282. doi: 10.16766/j.cnki.issn.1674-4152.002864
981 13
摘要:
  目的  分析中国成人结直肠癌患者生活方式,为结直肠癌防控提供依据。  方法  数据来源于2015年中国慢性病和危险因素监测,在31个省级行政区的298个县(区)中进行多阶段整群随机抽样和现场调查数据库。本研究通过SAS统计学软件进行数据处理、描述和分析,采用描述性分析、χ2检验、多因素非条件logistic回归模型进行统计分析,P<0.05为差异有统计学意义。  结果  共获得108 665份癌症自报有效问卷,其中自报结直肠癌患者118例,男性65例,女性53例,自报率分别为128.45/10万和91.28/10万。45岁及以上、城市、无配偶等人群中结直肠癌自报率较高(均P < 0.05)。调整性别、年龄、教育水平、婚姻状况、家庭年收入等混杂因素后,多因素logistic分析结果显示,蔬菜摄入充足(OR=0.758, 95% CI: 0.748~0.767)、水果摄入充足(OR=0.391, 95% CI: 0.388~0.395)是结直肠癌患病的保护因素(均P<0.05);吸烟(OR=3.707, 95% CI: 3.672~3.742)、饮酒(OR=1.198, 95% CI: 1.189~1.206)是结直肠癌患病的危险因素(均P<0.05)。  结论  蔬菜、水果摄入是结直肠癌患病的保护因素,吸烟、饮酒是结直肠癌患病的危险因素,建议居民健康饮食,保证蔬菜、水果的充足摄入,改变吸烟、饮酒等不良生活习惯,以降低结直肠癌的患病风险。
诊断技术研究
质子密度加权成像对髋臼盂唇撕裂的评估价值
周荣花, 张海龙, 程晓光, 梁伟, 蒋雯
2023, 21(2): 283-287. doi: 10.16766/j.cnki.issn.1674-4152.002865
741 3
摘要:
  目的  研究质子密度加权成像(PD-WI)对髋臼盂唇撕裂的评估是否可靠。  方法  选取于2019年3月—2020年1月在北京积水潭医院就诊,无明显外伤或轻微外伤后髋关节疼痛的40名患者,男女各20例,年龄为27~65岁,平均年龄为40岁,进行包含PD-WI序列的髋臼盂唇磁共振扫描,排除髋部骨折、肿瘤或感染等因素。在不清楚手术结果的情况下根据PD-WI图像评估髋臼盂唇撕裂的存在,并根据以往组织学的研究通过PD-WI图像将髋臼盂唇撕裂分为盂唇基底部和实质部撕裂2种类型。全部患者在扫描结束后3个月内均接受手术治疗。根据手术结果获取PD-WI评估髋臼盂唇撕裂的敏感度、特异度和准确度,并使用Kappa检验评价髋臼盂唇撕裂和撕裂分型的PD-WI诊断意见与手术结果的一致性。  结果  PD-WI评估髋臼前/外上盂唇撕裂的灵敏度分别为96.88%和90.00%,特异度分别为62.50%和93.33%,准确度分别为90.00%和92.50%,髋臼盂唇撕裂和撕裂分型的PD-WI诊断意见与手术结果的一致性较好或很好(前盂唇撕裂Kappa=0.655,外上盂唇撕裂Kappa=0.806,均P < 0.001;各型撕裂Kappa值均>0.75,均P < 0.001)。  结论  PD-WI能够作为可靠的评估髋臼盂唇撕裂的影像学方法,为患者的诊断和治疗方案的选择提供帮助。
肝硬化相关肝性脑病患者血清中IL-6、IL-18与血氨水平的相关性分析
张素媛, 李文雯, 朱娅琪, 李小全
2023, 21(2): 288-291. doi: 10.16766/j.cnki.issn.1674-4152.002866
820 4
摘要:
  目的  对肝硬化相关肝性脑病(HE)患者临床资料进行收集,回顾性分析HE患者血清白细胞介素6(IL-6)、白细胞介素18(IL-18)水平与血氨水平的相关性。  方法  选取2019年6月—2021年1月河南省荣军医院住院治疗的肝硬化患者95例,其中单纯肝硬化患者41例设为非HE组,肝硬化合并HE患者54例设为HE组,另选同期该院体检健康人员50例,设为健康组。比较3组患者的血氨水平及血清IL-6、IL-18水平;比较HE组与非HE组临床资料的差异,并采用logistic回归分析法分析HE的危险因素;采用Pearson相关性分析法分析血氨水平与血清中IL-6、IL-18水平的相关性。  结果  与健康组比较,非HE组、HE组血清IL-6、IL-18水平及血氨水平均升高(均P<0.05);HE组血清IL-6、IL-18水平及血氨水平高于非HE组(均P<0.05);logistic回归分析显示,血清IL-6、IL-18、总胆红素(TBIL)高,凝血酶原时间(PT)长是肝硬化相关HE的危险因素(均P<0.05);Pearson相关性分析显示,血清IL-6与血氨水平呈正相关(r=0.690,P<0.001,95% CI:0.518~0.808),IL-18与血氨水平呈正相关(r=0.667,P<0.001,95% CI:0.487~0.793)。  结论  血清IL-6、IL-18、TBIL高,PT长均是肝硬化相关HE发生的危险因素,且血清IL-6、IL-18水平与血氨水平均呈正相关。
医学综述
新生儿术后镇痛的临床进展
张弦, 晏馥霞, 陈凌宇, 潘守东
2023, 21(2): 292-297. doi: 10.16766/j.cnki.issn.1674-4152.002867
1010 9
摘要:
由于新生儿自身的发育生理和药代动力学特点,临床上针对这一人群的术后镇痛仍然受到一定程度的限制。新生儿尤其是早产儿仅被提供最少甚至不进行麻醉和镇痛。随着对生理学的深入研究,新生儿镇痛的重要性越来越受到临床医师的重视,术后镇痛也开始向按需的多模式镇痛方向发展。临床上针对新生儿出现各种各样的术后镇痛方式,但目前仍未有针对新生儿术后镇痛的药物和措施制定统一的指南,临床医师对新生儿术后镇痛的实施仍有顾虑。因此本文对已有的新生儿术后镇痛的方法进行总结,数据主要来自已发表的临床研究、病例报道和个案报道,对术后镇痛中使用的各类药物的具体用量、镇痛效果、不良反应和注意事项等进行统计,以便于临床医生应用时可以根据患儿的具体情况选择合适的镇痛方法。根据镇痛药物分类,包括阿片类药物如吗啡、芬太尼、舒芬太尼、曲马多,非阿片类药物如对乙酰氨基酚,酮咯酸,吡硝胺,局部麻醉药如布比卡因、罗哌卡因、氯普鲁卡因、利多卡因、混合局麻药,并对相同药物的不同给药方式和途径进行了总结和分析。非药物镇痛方法包括给予高糖溶液、非营养性吸吮、体位改变等措施。新生儿的特殊性使各类操作和效果评估的难度和风险均提高,各类镇痛方法仍需大量临床研究进行验证。
冠脉无复流现象治疗的研究进展
李秋艳, 苏强
2023, 21(2): 298-303. doi: 10.16766/j.cnki.issn.1674-4152.002868
1586 34
摘要:
心血管疾病是人群中常见的死亡原因之一,随着人口老龄化的加速,心血管疾病中以急性心肌梗死为代表的急性冠脉综合征(ACS)的发病率逐年上升。一旦发生ACS,尽早恢复冠脉的血流就尤为重要,而急诊经皮冠状动脉介入治疗(PCI)仍是目前首选的治疗方案。无复流现象是PCI术后常见的并发症,它是指在冠脉介入治疗过程中,心外膜冠脉狭窄或闭塞已得到正常开通,但由于微循环水平血液仍不能完全恢复,使缺血心肌组织未得到有效再灌注的现象。当冠脉产生无复流现象时,使得再灌注治疗的有益效果减弱,主要不良心脏事件(MACEs)的发生率明显增加,导致患者的不良预后。目前冠脉无复流现象的病理生理学机制尚不完全清楚,可能与冠状动脉微循环障碍有关,分子机制包括炎症通路的激活、缺血与再灌注所致内皮细胞损伤、血栓栓塞症有关的损伤、微血管痉挛、白细胞浸润和细胞水肿等。由于无复流现象与不良的临床结果密切相关,因此,有效的预防和治疗策略非常重要。近来的研究表明,术前预防应用他汀类、抗血小板类、血管扩张剂及某些抗炎药物有助于减少无复流现象的发生、重建冠状动脉血流并改善患者的预后。此外,介入器械的预防使用也具有一定的应用前景。本文就近几年防治冠脉无复流现象治疗的研究进展进行综述。
肿瘤免疫治疗中超进展现象的研究及进展
邢嵘雪, 崔童, 田应选
2023, 21(2): 304-308. doi: 10.16766/j.cnki.issn.1674-4152.002869
1729 22
摘要:
现代免疫治疗作为癌症治疗的新里程碑,为许多缺乏有效治疗方法的肿瘤治疗带来了颠覆性的变革。在过去十年中,由于对分子水平适应性免疫的认识和理解,促进了免疫检查点抑制剂药物的开发。以帕博利珠单抗、纳武利尤单抗为代表的免疫检查点抑制剂是一种全新的治疗模式,不同于传统的化疗或分子水平精准治疗的靶向治疗,其通过对自体免疫细胞及肿瘤免疫微环境的调节作用促使自体免疫细胞发挥强大的抗肿瘤作用,在众多临床试验和真实世界研究中都展现出了不俗的表现,明显的生存获益、更低的治疗不良反应发生率、接受治疗患者生存质量改善,使其成为众多晚期实体瘤治疗中的一颗新星,为多种类型的实体瘤治疗带来了新希望,是众多晚期肿瘤患者的新福音。但随着其使用的普及,有临床医师发现部分患者在免疫治疗中非但没有显著的生存获益,反而出现了短时间内肿瘤快速进展,甚至迅速死亡的情况,这一现象被称为免疫治疗超进展。目前,关于超进展现象出现的机制和临床应对策略的研究相当有限。本文拟从定义、临床特征、发生机制、鉴别诊断及患者管理这几个方面进行综述,以期使临床医师在治疗中尽早识别超进展现象,及时采取措施,改善晚期肿瘤患者预后,带来生存获益。
预防/保健  中医/康复
外周磁刺激联合中枢磁刺激对脑梗死患者上肢运动功能的影响
陈艳艳, 李树强, 崔健, 胡源, 刘冰洁, 吴睿
2023, 21(2): 309-312. doi: 10.16766/j.cnki.issn.1674-4152.002870
1241 16
摘要:
  目的  应用外周磁刺激联合中枢磁刺激的康复方法,观察该方法对脑梗死患者上肢运动功能的恢复效果。  方法  选取2020年9月—2021年11月在郑州大学第二附属医院住院的脑梗死患者共42例为研究对象,经评定均存在上肢运动功能障碍,采用随机数字表法分为对照组(20例)与观察组(22例)。2组均给予常规康复治疗,对照组给予中枢磁刺激治疗,观察组在对照组的基础上加用外周磁刺激治疗。治疗前、后采用上肢Fugl-Meyer运动功能评分量表(UL-FMA)评估患者上肢运动功能恢复情况,采用改良Barthel指数(MBI)评估患者日常生活能力,采用弥散张量成像评估患者受损神经纤维束修复情况。  结果  治疗4周后,观察组UL-FMA评分[32.50(15.75, 46.50)分]、MBI[76.50(59.50, 91.25)分]均较治疗前明显提高(均P<0.05),对照组UL-FMA评分[29.50(10.25, 40.00)分]、MBI[89.00(50.00, 90.00)分]均较治疗前明显提高(均P<0.05);观察组治疗前后UL-FMA评分差值[12.00(9.75, 13.25)分]与对照组[7.00(5.00, 9.00)分]比较差异有统计学意义(P<0.05);观察组治疗前后MBI差值[18.50(10.00, 22.50)分]与对照组[10.00(7.00, 13.75)分]比较差异有统计学意义(P<0.05)。2组患者受损的神经纤维束密度均有所增加。  结论  外周磁刺激联合中枢磁刺激促进了脑梗死患者上肢运动功能的恢复,提高了患者的日常生活能力。
针刺疗法联合运动处方治疗产后腰痛的随机对照研究
赵胜杰, 赵文娟, 罗桂华, 李秀芹, 侯珺
2023, 21(2): 313-315. doi: 10.16766/j.cnki.issn.1674-4152.002871
1018 11
摘要:
  目的  观察针刺联合运动处方治疗产后腰痛的临床疗效。  方法  选取2020年3月—2021年6月在陕西中医药大学附属医院健康管理中心接受治疗的60例产后腰痛患者,按照随机数字表法随机分成观察组和治疗组,每组30例。观察组行针刺和运动处方,治疗组行针刺和推拿疗法,2组患者均治疗2周。治疗前后采用疼痛分级指数(PRI)评价患者疼痛情况,Oswestry功能障碍指数(ODI)评价功能障碍程度,并观察治疗前后各项指标的变化。  结果  观察组治疗后PRI[(7.17±1.39) 分]较治疗前[(17.67±1.56) 分]显著改善(t=32.737,P<0.001),治疗组治疗后PRI[(7.47±1.48) 分]较治疗前[(17.70±1.56) 分]显著改善(t=37.330,P<0.001);治疗后, 观察组ODI评分较治疗前明显改善[(15.73±2.75)分vs. (37.17±2.44)分, P<0.001], 治疗组ODI评分较治疗前明显改善[(16.33±2.91)分vs.(37.10±2.51)分, P<0.001];2组疗效比较差异无统计学意义(P>0.05)。  结论  针刺联合运动处方或推拿治疗均可有效改善产后腰痛患者的疼痛及功能障碍,临床疗效无显著差异。
全科医学教育研究
情景模拟PBL教学法在儿科实习生岗位胜任能力中的应用价值
瞿色华, 张阵, 武玉猛, 郑迎娟, 陈云, 张慧, 陈信
2023, 21(2): 316-319. doi: 10.16766/j.cnki.issn.1674-4152.002872
770 18
摘要:
  目的  探究在情景模拟下以问题为基础的学习(problem-based learning, PBL)教学法在评价儿科实习生岗位胜任能力中的应用价值。  方法  选取2018年1月—2020年12月在蚌埠医学院第一附属医院儿科实习的72位临床医学本科实习生为研究对象,按照随机数表法将其分为观察组和对照组,各36人。对照组实习生接受常规临床带教模式,观察组实习生接受基于岗位胜任能力的情景模拟PBL教学法带教。比较2组实习生实习期结束时实验操作评分、报告撰写能力评分以及团队合作评分;比较2组实习期结束时考试成绩;比较2组实习生能力和职业认同等自我评价项目得分;比较2组实习生对教学设计、教学实施和能力影响的评价。  结果  观察组实习生实验操作评分、报告撰写能力评分、团队合作评分均高于对照组[(88.59±4.32)分vs.(82.97±5.23)分;(86.87±5.66)分vs.(80.76±6.13)分;(91.76±3.87)分vs.(85.39±4.38)分,均P < 0.05]。观察组实习生操作技能考试成绩、理论知识考试成绩以及总成绩均高于对照组(均P < 0.05)。观察组实习生自学能力、沟通能力、应变能力、协作能力、职业认同5个维度自评得分均高于对照组(均P < 0.05)。观察组对教学设计、教学实施以及能力影响的评价得分均高于对照组(均P < 0.05)。  结论  基于岗位胜任能力的情景模拟PBL教学法有利于提高儿科实习生个人能力和团队合作能力,能够帮助实习生更好地掌握实习知识,提高考试成绩。
青海地区全科医生转岗培训效果影响因素及对策研究
岳俊乔, 金磊, 陈亚萍, 李生福, 张麒
2023, 21(2): 320-323. doi: 10.16766/j.cnki.issn.1674-4152.002873
704 7
摘要:
  目的  调查青海地区全科医生转岗培训现况,总结培训效果并分析其影响因素,针对全科医生转岗培训效果影响因素提供干预对策。  方法  选取2015年7月—2020年7月在青海省全科医学临床培训基地参加全科医生转岗培训的273名学员,统计研究对象基本情况,包括性别、年龄、受教育程度、职称类型、执业资格、工作年限,及重视程度、工学矛盾,比较不同基本情况学员转岗培训考试达标率,统计分析转岗培训考试结果达标率的影响因素。  结果  273名全科转岗培训学员考试达标247名,达标率为90.48%。经检验不同性别、职称类型、执业资格、工作年限的全科医生转岗培训考试结果达标率间差异无统计学意义(均P>0.05);而不同年龄、受教育程度及不同重视程度、工学矛盾情况的全科医生转岗培训考试达标率间差异有统计学意义(均P<0.05),这些因素为影响全科医生转岗培训达标率的相关因素;且年龄较年轻、受教育程度较高者、重视程度高者、无工学矛盾者转岗理论培训考试达标率相对较高;logistic分析显示,年龄大、受教育程度低、重视程度差、有工学矛盾是影响全科医生转岗培训考试达标率的独立危险因素(均P<0.05)。  结论  不同年龄、受教育程度、重视程度、工学矛盾的全科医生转岗培训考试达标率是影响全科医生转岗培训效果的因素,全科医生转岗培训教学可据此制定针对性干预措施,及早干预,从而有效提高全科医生转岗培训效果。
医学综合研究
成人高排量回肠造口发生率及影响因素的meta分析
沈圆娟, 戴正香, 李菊云, 吴晓宇, 王赛男, 王青
2023, 21(2): 324-328. doi: 10.16766/j.cnki.issn.1674-4152.002874
1204 22
摘要:
  目的  系统评价高排量回肠造口(high output ileostomy,HOI)的发生率及影响因素。  方法  计算机检索CBM、CNKI、WanFang Data和VIP数据库、PubMed、Web of Science、EMbase、The Cochrane Library,检索有关HOI发生影响因素的研究文献,检索时间设置为建库至2022年5月。2名研究者独立筛选文献并提取资料,采用卡斯尔-渥太华(Newcastle-Ottawa scale,NOS)量表对文献进行偏倚风险评价。采用Review Manager 5.4统计分析。  结果  共有9项研究纳入,得分均在7分及以上。共纳入1 844例回肠造口患者,其中393例HOI,回肠造口患者的HOI总体发生率为23%(95% CI:0.18~0.28,P < 0.001)。影响因素分析结果显示,炎性肠病(OR=16.17,95% CI:7.00~37.38,P < 0.001)、糖尿病(OR=13.69,95% CI:6.42~29.20,P < 0.001)、放化疗(OR=4.50,95% CI:1.29~15.67,P=0.020)、术后出口梗阻(OR=3.77,95% CI:1.57~9.07,P=0.003)为HOI的影响因素。  结论  炎性肠病、糖尿病、放化疗及术后出口梗阻为HOI的影响因素,但现有研究数量较少,多为小样本研究,此外HOI的诊断标准不一致,在一定程度上影响meta分析结果,因此上述结论尚需进一步验证。
养老机构术后远程医养结合体系的构建及评价
顾叶春, 郑万琼, 张益明, 黄佳佳, 余小敏, 温蒙蒙, 许虹波
2023, 21(2): 329-332. doi: 10.16766/j.cnki.issn.1674-4152.002875
995 7
摘要:
  目的  为养老机构术后患者构建远程医养结合体系,并分析其应用价值。  方法  2018年1月—2021年6月,招募50例养老机构老年术后患者,按3∶ 2的比例随机分成实验组(30例)和对照组(20例)。实验组出院后接受远程医养结合体系服务,对照组则按传统方案分别接受“医”和“养”的服务。出院1个月后,分别评价2组的就诊次数、医疗费用、术后恢复情况、焦虑抑郁及满意程度。  结果  实验组的就诊次数较对照组少[0(0,1)次vs. 1(0,2)次,Z=-2.133,P=0.033]。2组的医疗费用差异无统计学意义[0(0,138.93)元vs. 112.20(0,291.70)元,Z=-1.413,P=0.158]。实验组无切口感染患者,对照组有1例,2组差异无统计学意义(χ2=1.531,P=0.216)。2组均无切口出血、切口裂开、再入院及再手术患者。2组间的体力状况差异无统计学意义(72.33±9.35)分vs. (70.00±9.18)分,t=0.871,P=0.388)。2组间的体重变化差异无统计学意义[1.20(0.30,1.73)kg vs. 0.75(0.10,1.10)kg,Z=-1.737,P=0.082]。实验组的焦虑、抑郁得分均较对照组低[(35.04±7.36)分vs. (39.69±8.08)分,t=-2.103,P=0.041;(37.92±7.22)分vs. (42.88±6.46)分,t=-2.477,P=0.017]。实验组对医疗服务、心理慰藉、科普宣传及日常照护的满意程度均较对照组高(均P < 0.05);2组对文化娱乐的满意程度差异无统计学意义(P>0.05)。  结论  远程医养结合体系能够为养老机构老年术后患者提供更好的医疗服务,如减少就诊次数、提供更好的心理慰藉及更好的科普宣传等,同时也能促进日常照护的完善。
脑卒中吞咽障碍患者安全进食行为及影响因素研究
冯晓瑜, 黎静雯, 张咏军, 叶慧玲
2023, 21(2): 333-336. doi: 10.16766/j.cnki.issn.1674-4152.002876
1729 18
摘要:
  目的  通过分析脑卒中吞咽障碍患者安全进食行为,探讨其影响因素,为临床提供参考,重视吞咽障碍患者的进食行为。  方法  采用方便抽样法选取2019年1月—2020年12月在广州医科大学附属第一医院诊断为脑卒中吞咽障碍的患者为调查对象,采用一般资料调查表,包括社会人口学资料及疾病相关资料,脑卒中吞咽障碍患者安全进食行为评价量表、安全进食知识问卷收集资料并进行安全进食行为状况描述及多元逐步回归分析。  结果  本研究共纳入176例脑卒中吞咽障碍患者,单因素分析显示,不同文化程度、婚姻状况、是否发生过吸入性肺炎、语言障碍情况、吞咽治疗情况、Barthel指数、洼田饮水试验分级的安全进食行为比较,差异有统计学意义(均P < 0.05);多元逐步回归分析显示,Barthel指数、安全进食知识总分、吞咽治疗情况与患者安全进食行为呈正相关关系(均P < 0.05),语言障碍、是否发生吸入性肺炎与安全进食行为水平呈负相关关系(均P < 0.05),5个变量的多元相关系数R=0.647,回归的R2=0.419,调整的R2=0.402。  结论  多种因素影响脑卒中吞咽障碍患者的安全进食行为,Barthel指数、安全进食知识总分、吞咽治疗情况、语言障碍、是否发生吸入性肺炎是独立影响因素。
1990年和2019年中国胰腺癌疾病负担及危险因素研究
蔡会龙, 原伟光, 安静, 林晶, 郭晶杰, 董元缔, 柳宝, 孙惠昕
2023, 21(2): 337-340. doi: 10.16766/j.cnki.issn.1674-4152.002877
1483 23
摘要:
  目的  分析1990年和2019年中国胰腺癌发病、死亡和疾病负担情况。  方法  利用2019年全球疾病负担数据库,分析总人群、不同年龄组间1990年和2019年我国胰腺癌发病、死亡、伤残调整寿命年(DALY)、过早死亡损失寿命年(YLL)和伤残损失寿命年(YLD),并对胰腺癌进行危险因素归因分析。  结果  2019年中国胰腺癌发病人数为11.49万,发病率为8.08/10万,较1990年分别增长了330.34%和257.52%。2019年死亡人数为11.74万,死亡率为8.25/10万,较1990年分别上升了333.21%和260.26%。2019年中国胰腺癌DALY、YLD和YLL分别为280.52万人年、2.39万人年和278.13万人年,较1990年分别上升了274.33%、319.30%和273.98%。2019年胰腺癌发病率、死亡率和DALY率均随年龄增长而升高,发病率、死亡率和DALY率最高的年龄组均为>70岁年龄组,分别为44.75/10万、50.09/10万和742.81/10万。中国胰腺癌归因于吸烟导致的死亡人数、DALY和YLL分别为26 552人年、612 359人年和607 033人年。  结论  我国胰腺癌的疾病负担在1990—2019年间有较大增长,应采取积极的预防措施以减轻胰腺癌的疾病负担。
全科护理研究
微视频结合关键点指导在老年患者结肠镜检查肠道准备中的应用
陈玲玲, 段晓侠, 施彩虹, 郑海伦
2023, 21(2): 341-344. doi: 10.16766/j.cnki.issn.1674-4152.002878
778 3
摘要:
  目的  探讨微视频结合关键点指导对老年患者肠道准备的应用效果。  方法  选取2018年8—12月于蚌埠医学院第二附属医院行结肠镜检查的住院老年患者30例为对照组,2019年3—12月行结肠镜检查的住院老年患者30例为干预组,分别采用常规肠道准备健康指导、微视频结合关键点指导。运用渥太华肠道准备评分量表(Ottawa bowel preparation scale, OBPS)、肠道准备依从性量表进行调查,记录肠道准备期间不良反应的发生情况及检查过程中进镜时间。采用t检验分析比较2组患者OBPS得分和进镜时间;χ2检验分析比较2组患者肠道准备合格率、不良反应发生率、肠道准备依从性。  结果  干预组OBPS得分为(4.03±2.09)分,进镜时间为(7.20±1.48)min,均低于对照组OBPS得分(6.53±2.56)分和进镜时间(8.33±1.75)min(均P<0.05)。干预组不良反应发生率[13.3%(4/30)]低于对照组[46.7%(14/30),P<0.05],干预组肠道准备合格率[73.3%(22/30)]、饮食依从性[83.3%(25/30)]、服药依从性[80.0%(24/30)]、运动依从性[76.7%(23/30)]均高于对照组[36.7%(11/30)、26.7%(8/30)、36.7%(11/30)、30.0%(9/30)],差异有统计学意义(均P<0.05)。  结论  微视频结合关键点指导能有效提高肠道准备质量,值得临床推广实施。
河南省介入手术室专科护士创新能力与自我超越现状及其相关性研究
彭会珍, 赵文利, 张红梅, 张振香, 李海云, 丁楠楠
2023, 21(2): 345-349. doi: 10.16766/j.cnki.issn.1674-4152.002879
1099 10
摘要:
  目的  调查介入手术室专科护士自我超越及创新能力现况,探讨两者之间的相关性,为进一步完善专科护士培训体系提供依据。  方法  采用整群抽样方法, 选取2017年11月—2020年11月河南省介入手术室专科护士117名作为研究对象,应用一般资料问卷、自我超越量表、临床护士创新能力评价量表进行调查。  结果  117名介入手术室专科护士自我超越得分为(52.03±6.32)分,创新能力得分为(152.40±30.45)分,各维度平均分:创新主体(66.22±12.84)分、创新过程(45.37±9.14)分、创新环境和压力(26.32±6.78)分、创新产品(15.25±5.32)分。专科护士自我超越与创新能力呈正相关关系(r=0.693,P<0.05)。多元线性回归分析显示,自我超越、医院级别、职务是影响专科护士创新能力的3个重要因素,可共同解释创新能力总变异的56.6%。  结论  河南省介入手术室专科护士创新能力处于中上水平,与自我超越水平呈正相关关系。临床护理管理者应优化外部支持环境,通过不断引领与启智,引导介入手术室专科护士突破传统思维束缚,以目标为导向充分发挥主观能动性和角色功能,实现个人阶段性成长和自我超越,从而促进专科护士创新能力的培养,充分发挥其创新引领作用,持续提高介入专科护理服务质量。
ICU获得性吞咽障碍基于HACCP原则的康复方案的建立与应用
胡碎钗, 王丹进, 陈洁, 曹拂晓, 李霞, 颜雷雷
2023, 21(2): 350-353. doi: 10.16766/j.cnki.issn.1674-4152.002880
1075 10
摘要:
  目的  探讨对重症监护病房(ICU)获得性吞咽障碍患者实施以危害分析和关键控制点(HACCP)原则为基础的康复方案的应用效果及安全性。  方法  回顾性分析2020年5月—2021年12月于温州医科大学附属第二医院治疗的142例ICU获得性吞咽障碍患者的临床资料。按照入院时间不同,分为对照组(2020年5月—2021年2月)与研究组(2021年3—12月),各71例。对照组行常规康复训练,研究组行基于HACCP原则的康复训练。比较2组Gugging吞咽功能评估量表(GUSS)、洼田饮水试验(WST)、中文版吞咽生存质量量表(SWAL-QOL)及不良事件发生率。  结果  训练后,研究组GUSS评分为(19.14±0.43)分,明显高于对照组的(17.84±1.04)分,WST、进食时间、睡眠、食物选择、症状频率评分为(1.34±0.46)分、(51.37±4.29)分、(56.48±4.94)分、(61.22±5.02)分、(47.19±4.52)分,明显低于对照组的(1.98±0.81)分、(63.26±5.15)分、(65.25±5.63)分、(65.32±5.47)分、(53.53±4.16)分,差异有统计学意义(t=9.734、5.789、14.947、9.866、4.653、8.696,均P < 0.001);研究组不良事件发生率为1.41%(1/71),明显低于对照组的29.58%(21/71),差异有统计学意义(χ2=21.515,P < 0.001)。  结论  ICU获得性吞咽障碍基于HACCP原则的康复训练效果显著,且安全性较高。
全科诊疗实践
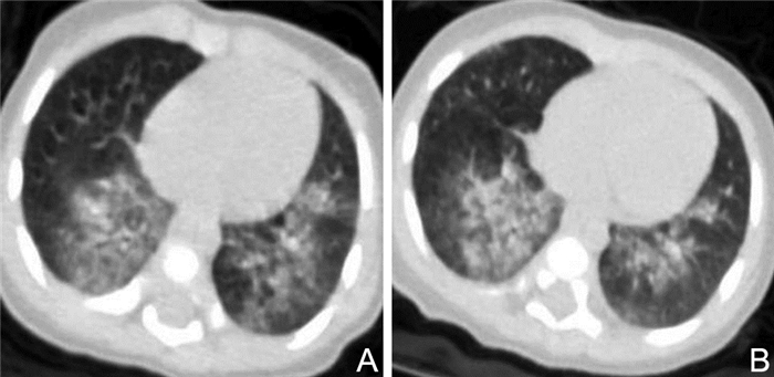
新生儿单纯疱疹病毒Ⅰ型重症肺炎1例并文献复习
曹芳, 叶同生, 冯广彬, 华山, 王昶
2023, 21(2): 354-356. doi: 10.16766/j.cnki.issn.1674-4152.002881
849 30
摘要:
本文报告单纯疱疹病毒(herpes simplex virus,HSV)Ⅰ型感染新生儿重症肺炎1例并文献复习。该新生儿以“气促、口吐泡沫、呛奶”呼吸系统表现为主,肺部CT提示双肺呈广泛弥漫性网格影改变,临床较少见,经及时诊断及给予更昔洛韦静滴联合干扰素雾化抗病毒及支持治疗,患儿恢复良好,出院随访1年,生长发育正常。