留言板

尊敬的读者、作者、审稿人, 关于本刊的投稿、审稿、编辑和出版的任何问题, 您可以本页添加留言。我们将尽快给您答复。谢谢您的支持!

姓名
邮箱
手机号码
标题
留言内容
验证码

2022年  第20卷  第8期

专家论坛:“一切为了人民健康———我们这十年”专栏
老年共病的研究管理策略
姚元龙, 史威力, 冯娴, 黄文博, 王留义
2022, 20(8): 1267-1270. doi: 10.16766/j.cnki.issn.1674-4152.002574
2691 156
摘要:
当前全球人口老龄化严重,我国也进入了老龄化的加速阶段。老龄化伴随而来的共病问题给经济社会的发展带来了严峻挑战,共病问题的出现严重影响了老年患者的生活质量,同时也造成了多重用药、治疗负担的加重,随着患慢病数目的增多,更有部分患者伴随着心理疾病的困扰,同时, 老年共病还可以引起住院次数增加, 这直接导致了医疗成本和资源利用率大幅增加, 所以共病问题逐渐成了一个社会健康问题。慢性病的共病管理也成了“健康中国2030”关注的重点,目前慢病管理的指南多集中在处理单一疾病,而患有共病的老年人常容易被忽视,许多临床实践表明,针对处理单病的指南并不适合共病问题的解决,为了更好地管理共病患者,国内外学者进行了大量研究,2012年美国老年医学会发布了《老年共病患者的诊疗指导原则》,提出了以患者为中心、针对老年共病患者的诊治策略,该原则为我国共病管理提供了参考思路和理论框架;国内学者在共病研究中也积累了相关经验,强调通过实行多学科整合团队,发展全科医生制度,采取以患者为中心的管理模式,自我管理模式,重视老年综合评估,重视多重用药等更好地管理共病。本文对共病的概念、流行病学、共病的危害及共病管理等展开论述,以期为国内老年共病患者的健康管理起到积极的推动作用。
全科医学讲堂———“国外全科医学介绍”
英国全科医疗的患者管理(续完)
RodgerCharlton, 谢宛玲, 刘曼玲
2022, 20(8): 1271-1272.
501 30
摘要:
全科医学论著
青海省儿童脊柱侧弯发病筛查及相关因素分析
郭海滨, 黄蛟灵, 金红芳, 周璇, 陈楠, 李欣, 杨宇琪, 杜青
2022, 20(8): 1273-1276. doi: 10.16766/j.cnki.issn.1674-4152.002575
1186 75
摘要:
  目的  研究青海省多地5~18岁儿童脊柱侧弯发生情况,为疾病防治提供理论参考。  方法  于2020年10月—2021年2月在青海省西宁市、海东市各简单随机抽样3个区,应用分层整群抽样法在各区抽取2所小学(部分含学前班)、2所初中,每个年级抽取1~2个班,共抽取24所学校,3 582名符合要求的儿童作为研究对象,进行脊柱侧弯筛查和问卷调查。采用SPSS 25.0统计学软件进行数据分析,对影响因素进行总结。  结果  脊柱侧弯筛查阳性率为5.6%(201/3 582),其中≥10岁为9.2%(143/1 549),<10岁为2.9%(58/2 033)。单因素分析显示年龄、户口、家庭年收入、父母学历、父母职业、出生季节及胎次等差异有统计学意义(均P<0.05)。多因素非条件logistic回归模型显示,年龄、体重增长,父亲职业(对比农民)为牧民,母亲职业(对比农民)为牧民、个体户、自由职业为危险因素;而身高、BMI增大,二胎及以上,秋季出生,城镇户口,母亲高学历为保护因素。  结论  青海省儿童因父母职业的特殊性(牧民)、文化程度和家庭收入较低及农村户口,更易患脊柱侧弯。青春期发生率较高,临床应了解危险因素,及时发现脊柱畸形,制定有效措施培养健康用脊习惯,积极预防侧弯的发生和进展。
老年急性脑梗死患者血清高残余胆固醇水平与Lp-PLA2表达的相关性研究
林永娟, 蒋澄, 黄明敏, 李玲玲
2022, 20(8): 1277-1282. doi: 10.16766/j.cnki.issn.1674-4152.002576
1019 32
摘要:
  目的  探讨老年急性脑梗死(AIS)患者残余胆固醇(RC)和脂蛋白相关磷脂酶A2(Lp-PLA2)的相关性,评估两者对AIS病情的预测价值。  方法  选取2019年1月—2021年3月南京大学医学院附属鼓楼医院收治的老年高RC-AIS患者162例(观察组),另外选取同期正常RC-AIS患者165例(对照组),比较2组间血脂指标和Lp-PLA2的差异,采用Pearson法分析相关性,采用ROC曲线评价两者对AIS病情的预测价值。  结果  观察组Lp-PLA2水平、治疗后美国国立卫生院卒中量表(NIHSS)评分高于对照组(Z=4.361、2.182,均P<0.05)。Logistic回归分析示Lp-PLA2(95% CI:1.000~1.007,P=0.045)、治疗后NIHSS评分(95% CI:1.026~1.369,P=0.021)是AIS患者RC水平的独立影响因素。AIS患者RC、Lp-PLA2水平及治疗后NIHSS评分互呈正相关(r=0.683、0.635、0.640,均P<0.001)。RC>0.845 mmol/L、Lp-PLA2>242 ng/mL预测AIS病情严重程度的ROC曲线下面积分别为0.835、0.854,2项指标联合评估的AUC为0.897。  结论  高RC-AIS患者血清Lp-PLA2水平显著升高,两者呈正相关,在预测AIS治疗后神经功能缺损程度和预后中具有良好价值。
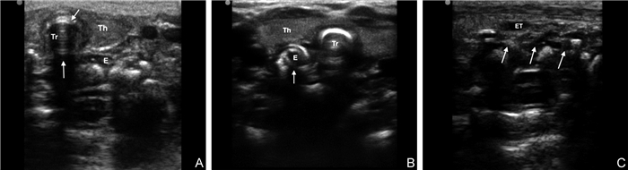
超声成像技术评估气管内插管定位在危重早产儿中的应用
左莉莉, 任义梅, 管亚飞, 龚丽玲, 颜琪, 陈筱青
2022, 20(8): 1283-1286. doi: 10.16766/j.cnki.issn.1674-4152.002577
891 19
摘要:
  目的  探讨超声成像技术评估危重早产儿气管内插管定位的临床应用效果。  方法  选择2019年1月—2021年1月于南京医科大学第一附属医院新生儿监护病房住院并接受气管内插管术的103例早产儿为研究对象,以定位气管内插管方式的不同,分为超声定位组(50例)和以听诊肺部及胃泡判断气管导管在位的对照组(53例),导管固定后均采用胸部X线评估导管的位置。观察并分析超声组声像图特征,比较组间定位气管导管适宜率、误入食管率、误入主支气管(置管过深)率、脱管(置管过浅)率,评价2种方式定位导管的准确性。  结果  超声组定位导管适宜率(86.0% vs. 54.7%, P=0.001)高于对照组,误入主支气管率(6.0% vs. 20.8%, P=0.029)、脱管率(4.0% vs. 17.0%, P=0.033)低于对照组;以X线定位气管导管位置适宜为金标准,2组定位方式为筛查标准,发现超声组定位灵敏度(91.1% vs. 88.9%)、特异度(80.0% vs. 11.8%)、约登指数(71.1% vs. 6.5%)及Kappa一致性系数(0.561 vs. 0.008)均明显高于对照组。  结论  超声成像技术评估气管导管定位实时、有效,可准确判断导管位置及深度,减少放射性暴露累积,值得在危重早产儿中推广应用。
天疱疮患者临床特征和Dsg1及Dsg3抗体结果分析
梁波, 高金平, 张书梅
2022, 20(8): 1287-1290. doi: 10.16766/j.cnki.issn.1674-4152.002578
868 31
摘要:
  目的  研究天疱疮患者的临床特征,分析桥粒芯糖蛋白1抗体(desmoglein 1,Dsg1)和桥粒芯糖蛋白3抗体(desmoglein 3,Dsg3)ELISA检测结果与天疱疮分型及严重程度之间的关联。  方法  选取2021年1—12月安徽医科大学第一附属医院收治的50例天疱疮患者,根据临床表现、实验室指标对天疱疮进行分型和分级,对诱发因素、伴发疾病、皮肤感染情况、Dsg1及Dsg3抗体指数等进行回顾性分析。  结果  50例天疱疮患者中寻常型天疱疮39例、红斑型天疱疮8例、落叶型天疱疮2例和副肿瘤性天疱疮1例;轻度28例,中度11例,重度11例;常见诱发因素和糖皮质激素不规范使用有关,占比20%(10/50);最常见皮肤感染菌为金黄色葡萄球菌,检出率为18%(9/50)。不同类型天疱疮患者Dsg3抗体指数差异有统计学意义(Z=-3.481,P<0.001);不同严重程度天疱疮患者Dsg1及Dsg3抗体差异有统计学意义(P值分别为0.002、0.024)。  结论  天疱疮患者治疗中要注重糖皮质激素的正确使用,皮肤感染在天疱疮患者中较为常见,Dsg1及Dsg3抗体检测在天疱疮患者中具有较高的阳性率,Dsg1及Dsg3抗体指数可作为天疱疮病情评估的指标。
CT引导下口腔颌面部肿瘤穿刺活检的价值分析
宗开洋, 刘若宇, 张传敏, 郭蕴, 许操, 李建成
2022, 20(8): 1291-1294. doi: 10.16766/j.cnki.issn.1674-4152.002579
856 5
摘要:
  目的  研究CT引导下穿刺活检对口腔颌面部肿瘤的诊断及其临床应用价值,探讨其相较于常规超声引导下穿刺活检的优缺点以及在临床应用中的适应证和注意事项。  方法  选取蚌埠医学院第一附属医院2019年1月—2020年5月收治的42例口腔颌面部肿瘤患者进行CT引导下穿刺活检,然后将所取的活组织送检、观察并分析。统计穿刺成功率、并发症的发生情况以及病理结果的准确率。  结果  42例患者定位成功率为100.00%,一次穿刺成功患者41例,成功率为97.62%,1例患者进行二次穿刺。穿刺后有22例患者出现穿刺部位疼痛表现,1例患者出现发热症状。42例患者中,21例患者术前穿刺病理诊断结果为恶性肿瘤,术后病理诊断结果为恶性肿瘤的患者有23例;15例患者术前病理诊断结果为良性肿瘤,术后病理诊断结果为良性肿瘤的患者有17例;6例患者术前穿刺病理诊断结果为非肿瘤性变,术后穿刺病理诊断结果为非肿瘤性变2例。灵敏度为90.00%,特异度为100.00%,准确率为90.48%,具有很好的临床指导与参考作用。  结论  CT相较于超声具有图像清晰、层面连续等优点,同时还可以借助造影剂拍摄增强片以显现某些软组织结构(肌肉、血管)出现的不同密度的变化,更便于判断病变累及范围、大小和性质。口腔颌面部肿瘤在CT引导下穿刺活检后行病理检查准确率高、损伤小、速度快,对于临床治疗具有重要的参考作用,值得临床推广使用。
结直肠癌患者癌组织中IL-23表达水平与预后的相关性研究
苏博, 闫振宇, 王欣欣, 钱国武, 张森, 王晶璇
2022, 20(8): 1295-1298. doi: 10.16766/j.cnki.issn.1674-4152.002580
711 19
摘要:
  目的  探讨结直肠癌患者癌组织中IL-23表达水平与预后的关系。  方法  选取2015年1月1日—2016年12月31日于南阳市中心医院就诊的164例结直肠癌患者并采用免疫组化法检测癌组织中IL-23的表达,染色强度得分×阳性表达率得分为0~1分、2~3分、4~5分和≥6分时分别计为阴性、弱阳性、中度阳性和强阳性,将“中度和强度阳性”视为IL-23高表达,其余为IL-23低表达;纳入2019年1月1日—2019年12月31日南阳市中心医院70例结直肠癌患者(观察组)和35例健康者(对照组),比较血清中IL-23表达的差异。影响因素和诊断效能用Cox风险比例模型和受试者操作特征曲线分析。  结果  癌组织中IL-23高表达119例,低表达45例,主要表达于胞浆中。淋巴结转移(N1~N2)、TNM分期(Ⅲ期)和IL-23表达水平(高表达)是CRC患者预后的独立危险因素(均P < 0.01)。结直肠癌观察组血清中IL-23表达显著高于对照组(t=12.173,P < 0.001)。IL-23诊断结直肠癌的AUC为0.935(95% CI:0.888~0.981),截断值为36.195 ng/mL,诊断灵敏度和特异度为94.30%和80.00%。  结论  IL-23高表达与结直肠癌不良预后有关,可作为预测预后的一项血清学筛查标志物。
CD8+ T细胞、NK细胞在子宫颈癌患者外周血中的表达及意义
哈提拉·吐尔逊, 美力班·吐尔逊, 刘倩, 李金秋, 艾力菲热·加帕尔, 阿仙姑·哈斯木
2022, 20(8): 1299-1301. doi: 10.16766/j.cnki.issn.1674-4152.002581
844 10
摘要:
  目的  分析子宫颈癌患者的外周血中自然杀伤细胞(NK)与CD8+T细胞及免疫卡控点具有IG和ITIM域蛋白的T细胞免疫受体(TIGIT)、程序性死亡受体-1(PD1)、程序性死亡配体-1(PDL1)的表达水平和临床意义。  方法  将2020年9月—2021年2月新疆医科大学第一附属医院收治的14例子宫颈癌患者与14例健康人群分为宫颈癌组与对照组。采用流式细胞术检测CD8+ T细胞与NK细胞在外周血中分布比例及免疫卡控点TIGIT、PD1、PDL1的表达水平。  结果  宫颈癌患者外周血中CD8+ T的比例[(22.66±3.79)%]低于对照组[(28.30±8.61)%,P < 0.01],而NK细胞在宫颈癌外周血中分布的比例与对照组比较差异无统计学意义(P>0.05)。NK细胞中免疫卡控点PDL1在宫颈癌外周血水平为(5.40±4.44)%,低于对照组的(21.03±16.65)%,差异有统计学意义(P < 0.01)。而TIGIT、PD1在宫颈癌外周血的表达与对照组比较差异均无统计学意义(均P>0.05)。CD8+ T细胞上TIGIT、PD1、PDL1在宫颈癌患者外周血中的比例与对照组比较差异无统计学意义(P>0.05)。  结论  检测NK细胞与CD8+ T细胞及免疫卡控点可以监测宫颈癌患者的免疫状态,为临床治疗提供参考。
螺旋断层调强大分割放射治疗肺寡转移瘤近期疗效及预后因素分析
陈如君, 孙谦, 汪庚明, 江浩
2022, 20(8): 1302-1306. doi: 10.16766/j.cnki.issn.1674-4152.002582
646 11
摘要:
  目的  螺旋断层放疗在保护多病灶、大肿瘤周围的正常组织和器官,降低放疗的毒性反应方面有较大优势。本研究主要分析肺寡转移瘤患者应用螺旋断层调强大分割放射治疗的近期疗效和影响预后的危险因素。  方法  回顾性分析2018年1月1日—2021年6月30日就诊于蚌埠医学院第一附属医院肿瘤放疗科的45例完成螺旋断层大分割放疗的肺寡转移瘤患者资料。采用Kaplan-Meier方法计算总生存(OS)、局部控制(LC)和无进展生存(PFS), 运用Cox比例风险模型明确患者预后的独立影响因素。治疗相关毒性采用美国国家癌症研究所常见不良事件评价标准(CTCAE)5.0版本评价。  结果  截至2021年9月30日,全组患者均完成放疗计划,随访时间为16.0(12.3, 24.2)个月,生物等效剂量为76.8(72.8, 90.0)Gy。1年与2年OS率分别为94.8%、58.1%;1年与2年LC率分别为83.8%、74.1%;1年与2年PFS率分别为57.8%、43.3%。单因素分析显示Karnofsky功能状态评分(KPS)>80分与高LC率有关(P=0.043)。多因素分析显示确诊肺转移前有无远处淋巴结转移患者OS比较差异有统计学意义(P=0.041, HR=3.014, 95% CI:1.043~8.706);是否使用四维计算机断层扫描术定位患者PFS比较差异有统计学意义(P=0.035, HR=2.693, 95% CI=1.072~6.761)。无治疗相关性死亡及≥3级的放射性肺炎发生。  结论  螺旋断层调强大分割放射治疗技术在肺寡转移瘤的治疗上是安全有效的,并且KPS>80分、确诊肺转移前无远处淋巴结转移的患者有较长的生存时间。
cTNM-ⅠA期非小细胞肺癌肺门淋巴结转移的规律及临床意义
高雄, 唐震, 贡会源, 李伟, 张雷, 王彪
2022, 20(8): 1307-1310. doi: 10.16766/j.cnki.issn.1674-4152.002583
955 6
摘要:
  目的  探讨肺门淋巴结(第10组淋巴结)在cTNM-ⅠA期非小细胞肺癌(NSCLC)中的转移规律以及临床意义。  方法  回顾性分析2020年1月1日—2021年1月1日蚌埠医学院第一附属医院胸外科收治的233例原发性cTNM-ⅠA期NSCLC患者在接受肺叶切除和系统性淋巴结清扫术后的肿瘤及淋巴结病理情况。  结果  233例患者共取得淋巴结3 145枚,平均每例13.5枚,440枚淋巴结存在癌转移,转移率为14.0%。233例患者中49例有胸内淋巴结转移,其中N1有16例,N1+N2有25例[注:N1为单纯肺内淋巴结存在转移;N1+N2为存在N2(纵隔2~9组淋巴结)转移的同时,亦存在N1(肺内第10~14组淋巴结)],跳跃性N2有8例,总转移率为21.0%(49/233)。其中N1中第10组淋巴结阳性的有10例,占62.5%(10/16),N1+N2中第10组淋巴结阳性的有18例,占72.0%(18/25)。第10组淋巴结转移率在T1b期和T1a期差异具有统计学意义(P < 0.05),第10组淋巴结在低分化及中分化肺癌中的转移率分别为25.9%(21/81)和8.3%(7/84),差异有统计学意义(χ2=9.060,P < 0.05)。  结论  NSCLC中第10组淋巴结转移与原发肿瘤大小、临床病理类型、分化程度密切相关,在N1、N1+N2、N2存在淋巴结转移的情况下,第10组淋巴结阳性的概率较大;因此,早期非小细胞肺癌患者接受手术时优先对第10组淋巴结进行病理检测,根据第10组淋巴结病理情况,决定下一步手术方案更具有科学性。
抗血小板治疗对脓毒症炎症反应和血小板功能及治疗效果的影响
吴淑璐, 牛凯旋, 徐阳, 刘成, 邓晰明
2022, 20(8): 1311-1314. doi: 10.16766/j.cnki.issn.1674-4152.002584
618 11
摘要:
  目的  探讨抗血小板药物阿司匹林对脓毒症患者的炎症控制效果及其安全性。  方法  选取2020年10月—2021年6月蚌埠医学院第一附属医院重症医学科收治的61例脓毒症患者,按照随机数字表法分为对照组(31例)及实验组(30例)。对照组予以常规脓毒症治疗,实验组予以常规治疗+阿司匹林100 mg,经胃管注入,1次/d,连用7 d。对比2组患者治疗前后PCT、CRP、IL-6水平变化,凝血功能(凝血酶原时间、凝血酶时间、活化部分凝血活酶时间)变化,血小板计数与功能(血栓弹力图中的MA值),并观察阿司匹林常见不良反应(消化道出血)的发生率及患者治疗有效率。  结果  经过治疗,2组患者的PCT、CRP、IL-6水平均降低,且实验组降低水平明显大于对照组,差异有统计学意义(P值分别为0.012、0.006、0.043)。实验组的凝血功能变化(凝血酶原时间、凝血酶时间、活化部分凝血活酶时间)和血小板计数变化与对照组相比差异无统计学意义(均P>0.05);实验组的血小板功能指标MA变化与对照组相比差异有统计学意义(P=0.023)。实验组的阿司匹林副反应发生率与对照组相比差异无统计学意义(P=0.694);治疗后实验组患者的急性生理与慢性健康评分Ⅱ及序贯器官衰竭评分比对照组降低明显,差异有统计学意义(P值分别为0.048、0.028);实验组的治疗效果与对照组相比差异无统计学意义(P=0.344)。  结论  抗血小板药物阿司匹林能控制脓毒症患者的炎症反应和血小板功能,且对凝血功能与血小板计数没有明显抑制,并且不增加患者出血的发生率,但没有改善患者的最终治疗效果。
卒中前体育锻炼对软脑膜侧支循环及患者预后的影响
袁长红, 吴晓宇, 刘群, 张璐, 朱迎春
2022, 20(8): 1315-1318. doi: 10.16766/j.cnki.issn.1674-4152.002585
576 12
摘要:
  目的  探讨卒中前体育锻炼水平对急性前循环脑梗死患者软脑膜侧支循环及预后的影响。  方法  选取安徽省第二人民医院神经内科2017年1月—2020年6月收治住院的急性前循环脑梗死患者,采用CT血管造影(CTA)评价的区域软脑膜评分(rLMC)对患者软脑膜侧支循环进行半定量评估,采用现代Saltin-Grimby体育锻炼水平量表(SGPALS)对卒中前患者体育锻炼水平进行量化评估,采用改良Rankin评分(mRS)评估患者发病3个月生活自理能力,比较不同体育锻炼水平间患者rLMC的差异,及对90天改良mRS的影响。  结果  共纳入157例患者,其中低运动量组患者72例,高运动量组85例,高运动量组基线收缩压、基线NIHSS评分、发病3个月mRS评分低于低运动量组(P值分别为0.001、0.039、 < 0.001),rLMC评分高于低运动量组(P=0.023),差异有统计学意义;发病3个月99例患者预后良好(mRS≤2),58例患者预后不良(mRS>2),预后良好组SGPALS评分高于预后不良组(P<0.001),rLMC评分大于预后不良组(P<0.001),既往他汀类药物服用率高于预后不良组(P=0.041),差异有统计学意义;多因素logistic回归分析发现SGPALS评分及rLMC评分高是良好预后的保护性因素(OR=1.455、1.181;P=0.043、0.003),既往糖尿病史、基线NIHSS评分高是良好预后的危险因素(OR=0.366、0.899;P=0.027、0.023)。  结论  卒中前体育锻炼能改善急性前循环脑梗死患者软脑膜侧支循环及发病3个月临床预后。
全科临床研究
双相情感障碍抑郁发作患者自杀行为危险因素分析
孙世帮, 朱春燕, 夏泳
2022, 20(8): 1319-1322. doi: 10.16766/j.cnki.issn.1674-4152.002586
1249 12
摘要:
  目的  自杀是双相情感障碍抑郁发作患者高死亡率的关键因素之一,本研究探讨双相情感障碍抑郁发作患者自杀行为的危险因素,以期减少该类患者自杀行为的发生。  方法  采用横截面研究的方法,纳入2018年1月—2021年12月在杭州市第七人民医院住院治疗的182例双相情感障碍抑郁发作患者,根据有无自杀行为分为伴自杀行为组(80例)和不伴自杀行为组(102例),分别比较2组患者人口学特征、临床特征及甲状腺功能指标,将差异有统计学意义的因素纳入二分类logistic回归模型,分析双相情感障碍抑郁发作患者自杀行为的危险因素。  结果  与不伴自杀行为组比较,伴自杀行为组年龄、首次发病年龄更低,既往自杀未遂次数、既往非自杀性自伤次数更高,既往有自杀未遂行为、既往有非自杀性自伤行为的比例更高,外周血游离三碘甲状腺原氨酸(FT3)、总三碘甲状腺原氨酸(TT3)水平更低(均P<0.05);Logistic回归分析显示,既往存在自杀未遂行为(OR=3.399)、既往存在非自杀性自伤行为(OR=4.190)是双相情感障碍重度抑郁发作患者自杀行为的危险因素;较大的首发年龄(OR=0.874)、较高的FT3(OR=0.153)是该类患者自杀行为的保护因素(均P < 0.05)。  结论  既往自杀未遂行为、既往非自杀性自伤行为是双相抑郁患者自杀行为的风险因子,较大的首发年龄、较高的FT3为保护因子,在临床需加以关注。
急性心肌梗死患者PCI延时与无延时应用比伐芦定的对照研究
李雪冬, 胡业梅, 王真, 吴纲, 李君, 武永元, 商卓
2022, 20(8): 1323-1327. doi: 10.16766/j.cnki.issn.1674-4152.002587
772 6
摘要:
  目的  评价急性心肌梗死(AMI)患者接受经皮冠状动脉介入治疗(PCI)时无延时比伐芦定联合仅冠脉内替罗非班方案的疗效和安全性。  方法  选取2020年4月—2021年3月蚌埠市第二人民医院心内科收治的150例AMI患者,采用随机数字表法随机分为2组: 试验组(无延时组,75例)和对照组(延时组,75例)。观察2组患者术后TIMI血流分级(TFG)及校正的TIMI血流帧数计数(cTFC),术后90 min心电图ST段回落(STR)情况,术后第7天心功能指标,术后30 d内所有出血事件及术后30 d主要不良心血管事件(MACE)。  结果  2组TFG、cTFC、术后90 min心电图STR(Z=0.524,P=0.770)、MACE(1.3% vs. 0,P=0.999)、左心室射血分数[(49.5±6.6) vs. (50.6±5.7),t=-1.092,P=0.276]、左心室舒张末期内径[(50.0±8.9) mm vs. (51.2±7.6) mm,t=-0.888,P=0.376]及室壁运动异常(86.7% vs. 90.1%,χ2=0.597,P=0.440)比较,差异均无统计学意义。试验组30 d内出血事件显著少于对照组,差异有统计学意义(5.3% vs. 18.7%,χ2=6.221,P=0.035)。  结论  对于急性心肌梗死接受直接PCI的患者,无延时比伐芦定联合仅冠脉内替罗非班方案,疗效确定且具有更佳的安全性,是临床实践中可供选择的治疗方案。
不同时相远隔缺血预处理对颈动脉内膜剥脱术患者术后认知功能及脑损伤的影响
袁海军, 黄晓霞, 蓝志坚, 傅理, 彭文勇
2022, 20(8): 1328-1331. doi: 10.16766/j.cnki.issn.1674-4152.002588
768 10
摘要:
  目的  探讨颈动脉内膜剥脱术(CEA)采用不同时相远隔缺血预处理(RIPC)对患者术后认知功能、脑损伤的影响。  方法  选取2020年6月—2021年7月金华市中心医院收治的60例颈动脉重度狭窄患者,择期行颈动脉内膜剥脱术,按随机数字表法分为A组(术前1 h行RIPC方案)和B组(术前24 h行RIPC方案),每组30例,比较2组患者神经、认知功能,血清中枢神经特异性蛋白(S100-β)、脑源性神经营养因子(BDNF)、炎症因子、收缩压(SBP)、舒张压(DBP)、平均动脉压(MAP)、心率(HR)及并发症情况。  结果  2组患者MMSE评分各时间点间、组间、组和时间的交互作用差异均有统计学意义(F=3.302、4.321、8.717,均P<0.05);术后1个月,B组患者MMSE评分[(28.54±1.44)分]明显优于A组[(27.35±1.31)分,P<0.05]。术后24 h B组患者BDNF水平[(4.92±0.51)ng/mL]高于A组[(3.56±0.13)ng/mL,P<0.05]。术后24 h,2组患者IL-6、hs-CRP水平较术前1 d有所提高(均P<0.05);2组患者SBP、DBP、MAP、HR各时间点间、组间、组别和时间的交互作用差异均有统计学意义(均P<0.05)。A组认知功能降低发生率为16.67%,高于B组的10.00%,差异无统计学意义(P>0.05)。  结论  术前24 h实施RIPC能有效缓解CEA后脑损伤情况,提升患者神经、认知功能。
颈深部脓肿患者的临床治疗及效果分析
吴俊, 周兰柱, 孙哲, 王文忠
2022, 20(8): 1332-1335. doi: 10.16766/j.cnki.issn.1674-4152.002589
838 9
摘要:
  目的  探讨颈深部脓肿患者的临床表现和治疗情况,总结治疗经验,以期降低并发症,提高治疗水平。  方法  回顾性选择2018年1月—2021年10月蚌埠医学院第一附属医院耳鼻咽喉头颈外科治疗的22例颈部脓肿患者的临床资料,其中男性17例、女性5例。入院后积极予以广谱抗生素治疗或者手术治疗,观察患者临床特征、诊疗方法及效果。  结果  12例行颈侧切开脓肿引流,其中1例同时行胸腔镜胸腔脓肿清除;1例患者术前颈部CT及三维CT显示为扁桃体异物伴脓肿,行扁桃体切除术+咽部异物探查术,见扁桃体周脓性分泌物,未见异物,好转后出院观察;1例患者术前颈部CT显示为颈部异物伴咽后脓肿,本例插管困难,紧急行气管切开术,后行咽后脓肿切开引流+异物探查+食道镜探查,见大量脓液未见明显异物,好转后出院观察; 4例B超下穿刺持续引流,其中1例引流效果不佳并发脓毒血症放弃治疗;1例颈总动脉假性动脉瘤破裂后行修补;其余3例保守治疗。出院后随访1个月,除放弃治疗1例外其余21例均治愈且无复发。  结论  颈深部脓肿是耳鼻咽喉头颈外科的危急重症之一,术前诊断和紧急切开引流是治疗关键,诊断时应结合多种检查防止漏诊、误诊,必要时可行造影检查。呼吸困难者选择气管切开,全麻麻醉插管评估,合理使用抗生素,密切关注全身情况等在治疗中起到重要作用。
选择性脾动脉栓塞术治疗外伤性脾破裂的临床研究
金晶, 陶亮
2022, 20(8): 1336-1338. doi: 10.16766/j.cnki.issn.1674-4152.002590
1096 8
摘要:
  目的  评价选择性脾动脉栓塞术用于治疗外伤性脾破裂的有效性和安全性。  方法  以2017年3月—2020年3月衢州市人民医院诊治的120例外伤性脾破裂患者为研究对象,按照手术方式不同分为对照组(60例)和研究组(60例)。对照组实施腹腔镜下脾脏部分切除术,研究组实施选择性脾动脉栓塞术。记录患者手术时间、术中出血量、引流管留置时间、术后肛门首次排气时间、术后首次下床时间和住院时间等手术治疗指标,检测患者手术前后外周血IgM、IgA和IgG水平,观察患者并发症情况。  结果  研究组患者手术时间、术中出血量、引流管留置时间、术后肛门首次排气时间、术后首次下床时间和住院时间[(94.73±10.62)min,(196.49±24.62)mL,(2.25±0.36)d,(2.65±0.39)d,(2.84±0.41)d和(5.29±0.61)d]均显著少于对照组[(128.52±12.03)min,(339.62±40.81)mL,(3.57±0.49)d,(3.86±0.51)d,(3.91±0.54)d和(7.46±0.82)d,均P < 0.05];术前和术后3个月,2组患者外周血IgM、IgA和IgG比较差异无统计学意义(均P>0.05);研究组患者围术期并发症总发生率(6.67%)显著低于对照组(21.67%,χ2=5.551,P=0.018)。  结论  选择性脾动脉栓塞术可有效减轻外伤性脾破裂患者手术创伤,缩短术后康复周期,对患者免疫功能影响较小,降低术后并发症发生风险。
慢病防治研究
分级运动康复训练在慢性心力衰竭患者的临床应用效果
陈凌云, 秦琼, 王丽娟, 黄宇理
2022, 20(8): 1339-1342. doi: 10.16766/j.cnki.issn.1674-4152.002591
915 13
摘要:
  目的  通过对慢性心力衰竭患者进行心功能分级,实施分级运动康复训练干预,探讨康复训练对慢性心力衰竭患者治疗总体疗效、心功能相关指标和生活质量水平的干预效果,为慢性心力衰竭患者制定安全有效的康复运动方案提供理论依据。  方法  选取2020年1—12月阜阳市第五人民医院心血管科收治的慢性心力衰竭患者72例,应用随机数字表法分为对照组和干预组各36例。对照组采用临床药物治疗,干预组在药物治疗的基础上增加分级运动康复训练。比较2组患者治疗前后总体疗效、心功能相关指标和生活质量水平变化情况。  结果  对照组患者总有效率为61.11%,干预组为94.44%,干预组总有效率高于对照组,差异有统计学意义(χ2=11.571,P=0.001)。对于心功能Ⅱ级和Ⅲ级患者,干预组LVEF分别为(49.97±6.12)%和(47.83±5.33)%,均优于对照组的(43.41±5.22)%和(41.17±5.08)%;6MWT距离分别为(402.57±69.13)m和(388.48±67.56)m,均优于对照组的(338.11±64.56)m和(332.82±62.31)m;BNP值分别为(215.33±48.72)pg/mL和(376.17±54.47)pg/mL,均低于对照组的(314.43±51.52)pg/mL和(474.92±58.49)pg/mL(均P < 0.05);生活质量总分分别为(43.02±12.48)分和(45.64±13.20)分,均低于对照组的(55.96±12.11)分和(60.72±12.78)分,差异均有统计学意义(均P < 0.05)。  结论  分级运动康复训练在慢性心力衰竭患者的临床应用中,能提高总体疗效,改善心功能,提升生活质量水平,是慢性心衰患者二级预防的重要措施,值得推广应用。
老年血液透析患者自我管理能力对跌倒恐惧的影响研究
吕素玲, 林向东, 陈茹, 陈凌
2022, 20(8): 1343-1345. doi: 10.16766/j.cnki.issn.1674-4152.002592
754 13
摘要:
  目的  了解老年血液透析患者的自我管理能力和跌倒恐惧现状,分析自我管理能力对跌倒恐惧的影响。  方法  选取2019年10月—2020年12月在温州市中医院治疗的328例血液透析患者为研究对象,采用一般资料调查表、修订版跌倒效能量表、血液透析患者自我管理能力量表进行调查。计数资料采用例数和构成比进行描述。符合正态分布的计量资料采用x±s进行描述,组间比较采用成组t检验和方差分析。老年血液透析患者自我管理能力与跌倒恐惧的相关性采用Pearson相关分析。采用多元线性回归分析老年血液透析患者跌倒恐惧的影响因素。  结果  老年血液透析患者跌倒恐惧评分为(65.11±18.81)分,自我管理能力评分为(51.64±9.42)分;不同性别、年龄、婚姻状况、是否规律性锻炼、是否发生过跌倒、透析龄的患者跌倒恐惧评分差异有统计学意义(均P < 0.05);老年血液透析患者自我管理能力与跌倒恐惧总分及各维度评分均呈正相关(均P < 0.01);多元线性回归分析显示,老年血液透析患者的年龄、自我护理能力、是否发生过跌倒和透析龄是跌倒恐惧的主要影响因素(均P < 0.01)。  结论  老年血液透析患者跌倒恐惧处于较高的水平,自我管理能力能够影响患者的跌倒恐惧,临床上应加强老年血液透析患者自我管理能力的健康教育,改善患者的跌倒恐惧情况。
妇幼卫生研究
基于胎盘基因表达谱研究孕期烟草暴露对孕妇和胎儿的影响
刘玄石, 郝婵娟, 徐立新, 李巍
2022, 20(8): 1346-1349. doi: 10.16766/j.cnki.issn.1674-4152.002593
832 12
摘要:
  目的  扩展孕期烟草暴露对孕妇和胎儿造成影响的分子机制的认识。  方法  首先系统检索NCBI GEO和EBI ArrayExpress数据库,挑选符合条件的吸烟和不吸烟2组孕妇胎盘组织的基因表达谱数据集。然后整合并校正了数据集间的差异,采用差异表达、功能注释、富集分析、回归分析等多种生物信息方法和模型研究烟草暴露对孕妇和胎儿的影响。  结果  通过合并后的表达谱数据找到476条差异表达的基因(FDR < 0.5, |log2FC|>0.3),其中上调的基因317条,下调的基因159条。随后通过KEGG、GO以及Reactome、MSigDb对显著差异表达的基因进行功能注释和富集分析,发现这些基因主要出现在细胞外结构组织(P=1.10×10-28)、细胞外基质组织(P=3.44×10-25)以及间充质发育(P=2.60×10-13)等通路上。进一步针对烟草暴露标志物研究,采用回归分析发现CDCA7L基因在校正了母亲年龄等混杂因素后,与母亲血清中的可的宁含量最相关(FDR=0.046)。  结论  通过系统研究,探讨了孕妇和胎儿在烟草暴露环境中可能受到影响的通路,烟草暴露影响胎盘功能和胎儿生长的机制,对后续深入的分子机制研究提出思路。
妊娠期糖尿病孕妇产后高血糖的危险因素分析
林苗, 周平
2022, 20(8): 1350-1352. doi: 10.16766/j.cnki.issn.1674-4152.002594
1145 5
摘要:
  目的  了解妊娠期糖尿病(GDM)孕妇产后高血糖情况,并分析GDM孕妇产后高血糖的影响因素。  方法  选取2017年5月—2020年2月在海南省文昌市人民医院门诊就诊的GDM孕妇206例,根据产后2个月的75 g口服葡萄糖耐量试验(OGTT)结果分为产后高血糖组(54例)和产后血糖正常组(152例)。收集2组孕妇的一般临床资料,对其产后高血糖发生的影响因素进行分析。  结果  206例GDM孕妇产后发生高血糖共54例,产后高血糖发生率为26.21%。单因素分析结果显示,年龄、孕期BMI、巨大胎儿、糖尿病(DM)家族史、孕期OGTT异常项次、孕期使用胰岛素治疗、产后BMI、孕期空腹血糖水平、产后运动与GDM孕妇产后高血糖相关(均P < 0.05);经logistic回归分析显示,年龄(OR=2.261, P=0.023)、DM家族史(OR=3.865, P=0.001)、产后BMI(OR=2.502, P=0.020)、孕期空腹血糖(OR=2.130, P=0.029)、孕期OGTT异常项次增多(OR=4.864, P < 0.001)、孕期使用胰岛素治疗(OR=3.251, P=0.001)是GDM孕妇产后高血糖的独立影响因素。  结论  年龄、DM家族史、产后BMI、孕期OGTT异常项次增多、孕期空腹血糖、孕期使用胰岛素治疗是GDM孕妇产后高血糖的独立影响因素,临床上应采取积极的干预措施,预防产后高血糖的发生。
不同胎龄超低出生体重儿肠内喂养状况比较
柯若, 陈思思, 周瑞茜, 胡莹莹
2022, 20(8): 1353-1356. doi: 10.16766/j.cnki.issn.1674-4152.002595
534 4
摘要:
  目的  探讨和比较不同胎龄超低出生体重儿(ELBWI)肠内喂养状况间的差异。  方法  选取2019年1月—2020年12月温州医科大学附属第二医院新生儿重症监护病房(NICU)收治的ELBWI共120例为研究对象, 根据胎龄将患儿分为胎龄<28周组68例和胎龄≥28周组52例。比较2组肠内喂养状况及肠内营养不耐受(FI)情况。  结果  胎龄<28周组生后前3周奶量明显少于胎龄≥28周组(t=-2.208、-13.148、-27.781,均P < 0.05);胎龄<28周组首次达到足量肠内喂养时间、总住院时间均明显高于胎龄≥28周组(t=8.459、22.654,P < 0.05);而恢复出生体重后体重增长速率、出院时体重均明显低于胎龄≥28周组(t=-10.034、-12.042,均P < 0.05)。住院期间胎龄<28周组支气管肺发育不良(BPD)发生率、坏死性小肠结肠炎(NEC)发生率、有创机械通气比例、2周内应用布洛芬比例、抗生素应用时间>2周比例均明显高于胎龄≥28周组(χ2=7.169、6.114、4.544、4.834、4.488,均P < 0.05);而FI持续时间、生后2周内FI发生率及FI复发率明显高于胎龄≥28周组(均P < 0.05)。  结论  不同胎龄ELBWI的肠内喂养状况差异较大,与胎龄≥28周ELBWI相比较,胎龄<28周ELBWI的FI复发率更高,喂养耐受性差,生长发育缓慢。
早产儿坏死性小肠结肠炎临床特点及肠道病原学分析
卢燕, 潘珊珊
2022, 20(8): 1357-1359. doi: 10.16766/j.cnki.issn.1674-4152.002596
637 2
摘要:
  目的  分析早产儿坏死性小肠结肠炎(NEC)的临床特征。  方法  收集2017年1月—2020年11月在杭州市第一人民医院新生儿科住院符合Bell诊断标准的59例NEC患儿的临床资料并进行回顾性分析。  结果  59例NEC患儿中Ⅰ期22例(37.3%),Ⅱ期或Ⅲ期37例(62.7%)。NEC患儿发病日龄为生后14.0(13.0, 18.0) d,胎龄为(30.7±2.7)周,出生体重为(1 493.9±460.3)g。男36例(61.0%),女23例(39.0%)。NEC患儿发病后临床表现为血便(79.7%,47/59)、胃内潴留(78.0%、46/59)、肠鸣音减弱(57.6%,34/59)、腹胀(52.5%,31/59)。Ⅱ期及以上NEC患儿腹胀、反应差、肠鸣音减弱、心动过速,CRP≥50 mg/L,白细胞 < 4×109/L发生率更高,差异有统计学意义(均P < 0.05)。大便培养阳性率为65.5%(36/55),主要包括肺炎克雷伯菌(29.1%,16/55)、屎肠球菌(20.0%,11/55)、大肠埃希菌(12.7%,7/55)。血培养阳性率为15.1%(8/53),主要包括大肠埃希菌(3.8%,2/53)、肺炎克雷伯菌(3.8%,2/53)。NEC手术治疗比例为20.3%(12/59),病死率为16.9%(10/59)。  结论  早产儿NEC以胎龄28~32周,出生体重1 000~1 950 g为主。NEC患儿胃肠道症状突出,NEC Ⅰ期和Ⅱ期或以上患儿临床表现及实验室检查方面均有显著不同。NEC患儿粪便培养阳性率高,肠道致病菌监测有助于指导临床治疗。
社区卫生研究
上海市某区50岁及以上居民甲状腺结节患病率与影响因素调查
李丽, 于德华, 马瑜, 金花, 陆媛, 付强强
2022, 20(8): 1360-1362. doi: 10.16766/j.cnki.issn.1674-4152.002597
953 11
摘要:
  目的  探讨上海市杨浦区50岁及以上居民甲状腺结节患病情况, 并分析其可能的危险因素。  方法  于2016年4月-2017年4月采用多阶段随机整群抽样, 抽取50岁及以上居民进行甲状腺B超检查及问卷调查, 对可能影响甲状腺结节患病率的因素进行单因素和logistic回归分析。  结果  共获得有效问卷6 002份, 社区老年居民甲状腺结节总体患病率为29.1%(1 747/6 002)。患病率随年龄段的增长而增加, 差异有统计学意义(P < 0.05);女性甲状腺结节患病率为31.2%(1 241/3 980), 男性为25.0%(506/2 022), 女性患病率明显高于男性(P < 0.05);多发结节患病率为1.8%(110/6 002)、两叶结节为11.8%(106/6 002)、峡部结节为0.1%(6/6 002)、右叶结节为7.7%(464/6 002)、左叶结节为7.7%(461/6 002);多因素logistic回归分析结果显示女性(OR=1.364, 95%CI: 1.207~1.542)、年龄增长(66~80岁, OR=1.188, 95%CI: 1.047~1.348;81~岁, OR=1.415, 95%CI: 1.123~1.784)、中心性肥胖(OR=1.167, 95%CI: 1.039~1.310)、缺少体育锻炼(OR=1.236, 95%CI: 1.099~1.390)、睡眠状况差(OR=1.297, 95%CI: 1.154~1.459)是甲状腺结节发生的危险因素。  结论  杨浦区社区50岁及以上老年居民甲状腺结节患病率为29.1%, 女性患病率明显高于男性, 年龄增长、女性、缺乏体育锻炼、中心性肥胖、睡眠质量差可能是甲状腺结节患病的危险因素。
社区老年人群主观认知下降与握力的相关性研究
董雅勤, 王为强
2022, 20(8): 1363-1366. doi: 10.16766/j.cnki.issn.1674-4152.002598
746 13
摘要:
  目的  探讨社区老年人群主观认知下降(SCD)与握力的关系及相关危险因素。  方法  于2021年1-3月采用方便抽样法选取安徽省宿州市东关社区264名常住居民作为研究对象, 根据主观认知下降问卷9(SCD-Q9)评估的结果分为SCD组(153例)和非SCD组(111例)。2组研究对象均进行一般信息问卷调查、体格检查、生化指标等相关检查, 采用握力器测量双手握力。收集2组人群的检测结果进行比较, 采用logistic回归分析, 逐步选择法将性别、年龄等混杂因素纳入回归模型中, 分析主观认知下降与握力的相关性。  结果  (1) 264名研究对象中主观认知下降153例, 占57.95%。(2) SCD组的握力[(23.08±3.09) kg]明显低于非SCD组[(27.99±4.79) kg], 差异有统计学意义(t=8.475, P < 0.001)。(3)2组年龄、性别、睡眠情况比较差异均有统计学意义(均P < 0.05)。(4) Logistic回归分析显示, 未调整混杂因素, 握力与主观认知下降之间有相关性(OR=0.723, 95%CI: 0.664~0.788, P < 0.001);调整相应混杂因素后, 握力与主观认知下降仍有相关性(OR=0.716, 95%CI: 0.653~0.786, P < 0.001)。  结论  低握力、女性、高龄、失眠是SCD的危险因素, 握力测量具有简易、低成本、操作性强等优点, 可作为社区评估认知功能下降的一项指标。
健康促进与健康教育
初入高原工作的医务人员不同应对方式与焦虑抑郁的关系以及心理弹性的中介作用
宋兵, 孙咏冰, 刘慧娟, 孙小坚, 郭佳佳, 王婉雪, 王新华
2022, 20(8): 1367-1371. doi: 10.16766/j.cnki.issn.1674-4152.002599
776 9
摘要:
  目的  探索赴高原执行任务的医务人员的不同应对方式、心理弹性和焦虑抑郁之间的关系以及心理弹性的中介效应。  方法  使用一般调查问卷、简易应对方式问卷(SCSQ)、心理弹性量表(CD-RISC)、医院焦虑抑郁量表(HADS)对2021年9-11月某医院赴高原执行任务的113名医务人员进行问卷调查。  结果  (1) 经分析, 性别、学历和收入在焦虑水平上; 婚姻状态、收入水平在抑郁水平上; 学历和收入在应对方式上; 婚姻状态和收入在心理弹性得分上比较差异有统计学意义(均P < 0.05)。(2)应对方式与心理弹性之间呈正相关(r=0.390, P < 0.01), 与焦虑抑郁之间呈正相关(r=0.371, P < 0.01);心理弹性与焦虑抑郁之间呈正相关(r=0.206, P < 0.05)。其中, 焦虑与消极呈正相关(r=0.550, P < 0.01), 与积极、力量、坚韧呈负相关(r=-0.221, 0.257, -0.221;均P < 0.05);抑郁与积极、乐观、力量、坚韧呈正相关(r=0.425, 0.560, 0.696, 0.694;均P < 0.01)。验证心理弹性在应对方式与焦虑抑郁之间存在中介效应(P=0.001, R2=0.142)。其中, 心理弹性在积极应对与抑郁水平存在完全中介效应; 力量与坚韧在积极应对与焦虑水平存在部分中介效应。  结论  初入高原工作的医务人员存在焦虑、抑郁状态, 应对方式、心理弹性与焦虑抑郁之间有相关性, 心理弹性在应对方式与焦虑抑郁之间存在中介效应。
反复呼吸道感染患儿家长心理健康状况及生活质量调查
刘伟, 陈长浩, 王芳
2022, 20(8): 1372-1375. doi: 10.16766/j.cnki.issn.1674-4152.002600
1027 11
摘要:
  目的  反复呼吸道感染(recurrent respiratory tract infection, RRTI)是临床常见的儿科问题, 影响儿童生长发育, 对其家庭和社会造成负担。通过比较RRTI患儿家长和对照家长的心理健康、生活质量指标的差异, 分析患儿RRTI对家长心理健康状况及生活质量的影响。  方法  采用横断面调查的研究方法, 选取2021年1-5月就诊于安徽医科大学附属宿州医院儿科, 且被诊断为反复呼吸道感染患儿的陪护家长(研究组, 315例), 以及同一时期、同一地区招募的幼儿家长(对照组, 278例), 收集一般资料, 采用患者健康问卷抑郁量表(PHQ-9)、广泛性焦虑障碍量表(GAD-7)以及生活质量测定量表简表(WHOQOL-BREF)分别对抑郁、焦虑症状以及生活质量进行评估。分别比较2组的抑郁、焦虑比例以及生活质量各领域评分, 并分析抑郁、焦虑与生活质量的关系。  结果  研究组抑郁(27.1% vs.9.5%)和焦虑(21.7% vs.6.0%)的比例高于对照组(均P < 0.001)。控制社会人口学变量后, 差异仍有统计学意义(均P < 0.001)。研究组生活质量总分、生理领域以及环境领域得分均低于对照组(均P < 0.05)。控制社会人口学变量后, 差异仍有统计学意义(均P < 0.05)。抑郁和焦虑均会降低生活质量总分以及各领域得分(均P < 0.05)。  结论  RRTI患儿家长易产生抑郁、焦虑情绪, 各领域生活质量下降, 提示需要改变护理方式与加强沟通, 提供适宜的个体化心理干预。
诊断技术研究
颈动脉粥样硬化斑块超声联合血脂指标对心血管疾病的预测价值评估
管晶晶, 时鹏, 李保伍, 刘贝贝, 隋洋, 周平辉, 陈宇
2022, 20(8): 1376-1379. doi: 10.16766/j.cnki.issn.1674-4152.002601
1236 6
摘要:
  目的  探讨颈动脉粥样硬化斑块超声联合血脂指标对心血管疾病的预测价值评估。  方法  选取2019年1月-2021年12月在蚌埠医学院第一附属医院确诊为颈动脉斑块的59例体检者作为观察组, 选取同期59名健康体检者作为对照组, 所有受试者均行颈动脉超声检查和血脂水平测定。  结果  观察组的颈动脉内中膜厚度(IMT)值为(1.58±0.34) mm, 其与对照组IMT值[(0.76±0.12) mm]相比明显更高, 差异有统计学意义(P < 0.05);观察组的LDL-C值和HDL-C值分别为(3.09±1.01) mmol/L和(1.18±0.37) mmol/L, 其与对照组相对应的LDL-C值[(2.67±0.68) mmol/L和HDL-C值(1.33±0.32) mmol/L]相比, 前者显著升高而后者显著降低, 且差异有统计学意义(均P < 0.05);观察组的TC值[(4.94±1.18) mmol/L]和TG值[(1.85±0.67) mmol/L]与对照组[(4.69±0.76) mmol/L、(1.71±0.92) mmol/L]相比虽有一定的升高, 但差异均无统计学意义(均P>0.05)。  结论  心脑血管疾病与血脂异常以及动脉粥样硬化斑块的形成发展具有密切相关性, 高水平的TC、TG和LDL-C导致动脉IMT的增厚继而形成动脉粥样硬化斑块。因此, 对于高脂血症的患者应行颈动脉彩超检查以判断动脉粥样硬化斑块情况, 为早期调控血脂以积极预测相关并发症提供一定的诊断价值。
极速脉搏波技术在系统性红斑狼疮患者颈动脉弹性功能检测中的应用价值
孔淑君, 石彦, 宁艳, 李阳
2022, 20(8): 1380-1383. doi: 10.16766/j.cnki.issn.1674-4152.002602
380 5
摘要:
  目的  应用极速脉搏波技术检测系统性红斑狼疮(SLE)患者颈动脉的弹性功能, 探究其在临床治疗上的应用价值。  方法  选取2020年10月-2021年4月就诊于蚌埠医学院第一附属医院的93例SLE患者作为实验组, 根据临床症状分为: 单纯SLE组(B组, 共45例)、SLE累及多个系统组(C组, 共48例), 同期选取20名健康成年人作为对照组(A组)。采用极速脉搏波技术测量所有入组患者颈总动脉内中膜厚度(IMT)、收缩期开始时的脉搏波传导速度(PWVBS)和收缩期结束时的脉搏波传导速度(PWVES), 并统计结果进行比较分析, 采用Spearman相关性分析研究IMT、PWVBS及PWVES与SLE不同临床分型的相关性, 最后绘制ROC曲线评价诊断效能。   结果  IMT水平比较: A组低于C组, 差异有统计学意义(P < 0.05), 其他组间比较差异均无统计学意义(均P>0.05);PWVBS水平比较: A组<B组<C组, 差异有统计学意义(F=10.068, P < 0.001);PWVES水平比较: A组<B组<C组, 差异有统计学意义(F=27.505, P < 0.001);ITM、PWVBS、PWVES水平与不同SLE临床分型均呈正相关关系(r=0.240、0.442、0.394, 均P < 0.05);PWVBS、PWVES诊断SLE患者颈动脉硬化的ROC曲线下面积分别为0.794(95%CI: 0.694~0.894)、0.960(95%CI: 0.919~1.000)。  结论  SLE患者较健康成年人颈动脉弹性降低, 并随疾病进展其程度更显著。极速脉搏波技术能快速测量SLE患者颈动脉IMT、PWVBS及PWVES水平, 作为血管弹性相关参数指标, 其结果客观, 值得在临床中广泛应用。
医学综述
儿童川崎病合并冠状动脉病变的诊治进展
孙景巍, 祁冬, 田净忆, 董楠, 刘芳
2022, 20(8): 1384-1387. doi: 10.16766/j.cnki.issn.1674-4152.002603
1181 16
摘要:
皮肤黏膜淋巴结综合征即川崎病,自1967年日本医生首次报道以来,全世界60多个国家及地区陆续已有相关病例报告,近些年世界各国的发病率也陆续增加。川崎病病因和发病机制至今仍未明确,一般认为川崎病是一种以急性全身血管炎为主要表现的自限性疾病,主要影响中小型动脉,在婴儿和5岁以下儿童多发。目前认为川崎病最严重的并发症是冠状动脉病变,已取代风湿热成为发达国家儿童后天获得性心脏病的主要病因。随着现代医学诊疗技术的发展,大多数川崎病患儿能够及时准确诊断,再加上积极予以丙种球蛋白治疗,因此川崎病合并冠状动脉病变的发病率有所下降,但最终仍有2%~3%的患儿可能发生冠状动脉狭窄、扩张或闭塞,严重者可导致心肌梗死。因此,如何早期识别川崎病,并在川崎病合并冠脉病变时可以及时发现和干预,从而改善患儿生活质量、降低病死率,已成为川崎病诊疗策略中最值得关注并亟待解决的问题。本文就川崎病合并冠状动脉病变的诊断和治疗进行综述,为临床工作的儿科医生以及管理受川崎病影响儿童的社区全科医师在川崎病合并冠状动脉病变的诊断和治疗上提供一定的参考依据。
基于菌-肠-脑轴的肠肽与焦虑抑郁关系的研究进展
刘莉
2022, 20(8): 1388-1391. doi: 10.16766/j.cnki.issn.1674-4152.002604
1274 24
摘要:
焦虑抑郁是由于不良情绪引起机体出现应激反应而导致的躯体性障碍,是生物、心理和社会因素共同作用导致的心理、生理症状并存的疾病,是当代社会最常见的心理疾病。该病不仅降低个人的生活质量, 还给家庭和社会带来巨大的经济负担。近年来随着高通量测序、序列识别技术及肠道宏基因组学的成熟,肠道微生物的作用被广泛认识和重视。肠道与中枢神经系统间存在着复杂的双向交流,由内分泌、免疫、肠道神经系统等多个系统精心协调完成。因此,肠道又被称为是人体的“第二大脑”。既往研究表明,肠道微生物可能作为微炎性反应状态的启动者,其介导的肠道稳态失衡,进而导致“菌-肠-脑”功能紊乱,在焦虑抑郁的发病过程中起着重要的作用,但具体致病机制目前尚不明确。作为人体最大的内分泌器官,肠道可以分泌数十种不同的信号分子,多以肽类为主。而分泌到体循环中的肠肽可与免疫细胞和迷走神经末梢上的同源受体结合,从而实现间接的肠脑沟通。因此,本文就肠肽作为菌-肠-脑轴的信号分子对焦虑抑郁的影响进行综述,以期为焦虑抑郁的临床诊治提供一定的参考。通过调节肠道微生物来改变抑郁焦虑等心理疾病已成为神经科学和心理学的热点, 维护良好的肠道菌群可能是未来焦虑抑郁预防和治疗的重要方向。
预防/保健  中医/康复
六味地黄丸防治肾阴虚型绝经后骨质疏松的临床疗效评价
李伦莘, 吴连国, 梁博程, 许超, 史晓林, 韦冰, 李琰华, 李敏
2022, 20(8): 1392-1395. doi: 10.16766/j.cnki.issn.1674-4152.002605
1381 19
摘要:
  目的  评价六味地黄丸治疗肾阴虚型绝经后骨质疏松症患者对骨密度、骨转换标志物和生活质量的影响。  方法  纳入2019年1—6月于浙江中医药大学附属第二医院就诊的120例肾阴虚型绝经后骨质疏松症患者,按照随机数表法分为六味地黄丸组(60例)和对照组(60例),治疗1年。检测治疗前后骨转换标志物血清Ⅰ型原胶原氨基末端前肽(P1NP)和Ⅰ型胶原羧基端肽β特殊序列(β-CTX)的表达水平和腰髋部骨密度。应用SF-36量表评估,对比治疗前后患者生活质量改善情况。  结果  治疗后,2组患者血清P1NP、β-CTX及腰椎、髋部骨密度均较入组时明显改变,2组组间血清P1NP、β-CTX及腰椎、髋部骨密度的平均百分比变化差异均有统计学意义(P1NP:t=-12.902,P<0.001;β-CTX:t=-3.646,P<0.001;腰椎:t=13.814,P<0.001;髋部:t=21.606,P<0.001),六味地黄丸组优于对照组。入组时,六味地黄丸组和对照组SF-36量表评分差异无统计学意义(P>0.05);治疗后,2组SF-36量表评分均较治疗前升高(均P<0.001),六味地黄丸组SF-36量表评分[(122.60±3.25)分]高于对照组[(115.62±2.96)分,t=11.743,P<0.001]。  结论  六味地黄丸不仅能够有效降低肾阴虚型绝经后骨质疏松女性骨转换标志物水平,提升腰髋部骨密度,且能明显改善患者的生活质量。
佛山市三水区2016—2019年疑似预防接种异常反应监测分析
周开举, 何永辉, 吴碧娇, 邓洁莹, 陈俊虎
2022, 20(8): 1396-1399. doi: 10.16766/j.cnki.issn.1674-4152.002606
568 8
摘要:
  目的  分析佛山市三水区疑似预防接种异常反应(AEFI)发生率,掌握接种疫苗的安全性,为免疫规划管理提供依据。  方法  通过中国免疫规划信息系统收集2016—2019年佛山市三水区报告的疑似预防接种异常反应个案,采用Excel和SPSS 17.0统计学软件进行描述性分析。  结果  2016—2019年三水区共报告AEFI个案437例,年均报告发生率为30.29/10万剂次,一般反应332例(占73.68%),异常反应76例(占17.39%),未报告过疫苗质量事故、接种事故和心因性反应,报告个案的性别比为1.5 9∶ 1,以1岁以下年龄组报告数最多,≥7岁组最少,1岁以下AEFI报告病例中,8月龄儿童占比最高,达22.78%;接种疫苗到发生疑似预防接种异常反应间隔时间以接种后12 h内占比最高(64.76%);所有报告AEFI共涉及27种疫苗,报告发生率居前3位的疫苗为:23价肺炎疫苗、麻风疫苗、无细胞百白破疫苗;其中异常反应发生率居前3位的疫苗为:麻风疫苗、四价HPV疫苗、23价肺炎疫苗;发生的异常反应前3位分别为过敏反应-荨麻疹26例(34.21%);过敏性皮疹17例(22.37%);过敏反应-斑丘疹12例(15.79%)。  结论  2016—2019年佛山市三水区AEFI监测各项指标均达到监测方案要求,系统运转正常,AEFI监测结果在一定程度上反映了疫苗的安全性,尤其需关注报告发生率居前的疫苗,有必要持续加强AEFI监测,进一步提高监测系统的敏感性和上报及时性。
全科医学教育研究
基于胸部高分辨率CT的三维重建联合PBL教学法在胸外科临床教学中的应用
贡会源, 李小军, 杨晓松, 张雷, 王彪, 耿阳
2022, 20(8): 1400-1402. doi: 10.16766/j.cnki.issn.1674-4152.002607
837 18
摘要:
  目的  探讨基于胸部高分辨率CT(HRCT)的三维重建联合基于问题的教学法(PBL)在胸外科临床带教中的应用经验和效果。  方法  选取2019年12月—2020年10月在蚌埠医学院第一附属医院胸外科实习的60名临床医学专业的本科实习生为研究对象,按随机数字表法分为实验组和对照组,每组各30人。对照组采用常规教学模式进行临床教学, 实验组采用基于胸部HRCT的三维重建联合PBL教学法的教学模式进行临床教学。比较2种教学模式在临床教学中的应用效果。  结果  实验组理论知识成绩为(80.17±8.43)分,高于对照组的(77.33±13.33)分,差异无统计学意义(P>0.05);实验组学生的临床技能考试成绩[(82.90±7.86)分]明显高于对照组[(74.30±4.45)分,P<0.05]。实验组学生临床思维能力增强[(9.12±0.56)分]、实践能力提升[(9.04±0.52)分]、学习兴趣及满意度[(8.62±1.65)分]、教学模式的认可度[(8.67±1.03)分]等项目评分均高于对照组[(6.72±1.26)分、(7.18±1.24)分、(7.33±1.84)分、(6.10±1.64)分,均P<0.05]。  结论  基于胸部HRCT的三维重建联合PBL的教学模式,不仅增加了实习学生的学习兴趣和学习热情,也进一步提升其临床操作技能和综合分析问题的能力,教学效果满意。
医学综合研究
基于CiteSpace软件的国内外心脏康复的知识图谱分析
葛亚如, 王承龙
2022, 20(8): 1403-1407. doi: 10.16766/j.cnki.issn.1674-4152.002608
794 26
摘要:
  目的  本研究对近20年国内外心脏康复领域研究文献进行知识图谱分析,以探索本领域发展的进程、研究热点和前沿趋势。  方法  通过对2000年1月—2021年8月发表在中国知网和Web of Science数据库的心脏康复相关文献进行检索并筛选,利用CiteSpace软件对纳入的文献进行作者、机构国家共现分析,关键词共现、聚类和突现生成图谱,进行可视化分析。  结果  通过主题词检索,共获得中文文献1 238篇,英文文献10 098篇,通过排除标准,剔除中英文文献各197篇和233篇,最终纳入分析的中英文文献分别为1 041篇和9 865篇。中文文献以阜外医院、北京大学人民医院和北京安贞医院等机构发文量较多,英文文献是以美国为代表的欧美发达国家发文数量多。研究机构多为医院或学校,缺乏国家或政府层面的牵头参与,科研力量单一。对于国际间的合作,与以美国为代表的欧美国家合作较密切,但合作呈现局域性特点。研究内容主要集中在心脏康复医疗评估、运动训练评估、健康综合管理、社会心理评估、对结果的评估和心脏康复模式新探索6个方面。  结论  通过知识图谱分析直观地展示了国内外心脏康复发展的现状,相对于国外心脏康复的发展,我国应加快心脏康复学科发展进程,改善心脏康复模式,中西医并重,形成符合中国特色的心脏康复方案。
层次分析法在内镜中心医疗设备精细化管理中的应用
许多, 金小慧, 吴蕾若, 吴婷婷, 徐小群, 林凤
2022, 20(8): 1408-1410. doi: 10.16766/j.cnki.issn.1674-4152.002609
650 2
摘要:
  目的  研究层次分析法在构建内镜中心医疗设备使用精细化管理中的应用效果,为内镜中心医疗设备精细化管理措施的制定提供理论参考。  方法  选择2019年1月—2021年9月温州医科大学附属第一医院内镜中心245件内镜医疗设备和46名医护人员作为研究对象,根据随机数表法将内镜设备分成对照组(n=123)和实验组(n=122), 另外根据内镜设备使用情况,将医护人员分成对照A组和实验B组,各23名。对照组医疗设备采用常规管理,实验组医疗设备在常规管理基础上采用层次分析法实施管理。观察内镜中心医疗设备的使用不当发生率、综合管理效果以及医护人员对内镜医疗设备使用的满意度。  结果  实验组内镜医疗操作安全事故、未按要求填写记录、违规操作发生率均明显低于对照组,差异有统计学意义(均P<0.05);实验组内镜医疗设备的清洗合格、发放准确、回收合格、使用追溯合格均高于对照组,差异有统计学意义(均P<0.05);实验B组医护人员对内镜医疗设备使用的满意度为95.65%(22/23),高于对照A组的73.91%(17/23),差异有统计学意义(P<0.05)。  结论  层次分析法在构建内镜中心医疗设备使用精细化管理中的应用效果确切,能减少设备使用不当发生率,提高医疗设备综合管理效果,进一步提升医护人员对内镜医疗设备使用的满意度。
2015—2020年安徽皖北地区口咽癌发病与死亡分析
李建成, 陈传俊, 薛浩伟, 陈旭兵, 阮敏, 孟箭
2022, 20(8): 1411-1414. doi: 10.16766/j.cnki.issn.1674-4152.002610
791 8
摘要:
  目的  分析2015—2020年安徽省皖北地区口咽癌发病与死亡情况。  方法  收集2015—2020年安徽省皖北地区口咽癌新发和死亡病例,计算口咽癌的发病率、死亡率、0~74岁累积率、35~64岁截缩率等指标,以2010年中国标准人口计算中国年龄标准化发病率(ASRIC)和死亡率(ASRMC),以1985年Segi ' s世界标准人口为标准计算世界年龄标准化发病率(ASRIW)和死亡率(ASRMW)。  结果  于2015—2020年安徽省皖北地区共收集新发口咽癌病例1 020例,死亡病例404例,口咽癌发病率为3.67/10万,ASRIC为3.91/10万,ASRIW为3.12/10万,0~74岁累积率为0.37%,截缩发病率(35~64岁)为5.80/10万。2015—2020年安徽省皖北地区口咽癌死亡率为1.46/10万,ASRMC为1.56/10万,ASRMW为1.24/10万,0~74岁累积率为0.15%,截缩死亡率(35~64岁)为2.36/10万。  结论  2015—2020年皖北地区口咽癌的发病率和死亡率呈增长趋势,尤其是男性和农村地区。加强口咽癌早期预防、诊断和治疗措施,应作为皖北地区口咽癌防控的重点。
基层医疗卫生机构全科医生岗位吸引力的影响因素研究
邰秋园, 黄雪梅, 程欣, 朱赟, 申俊龙
2022, 20(8): 1415-1418. doi: 10.16766/j.cnki.issn.1674-4152.002611
686 4
摘要:
  目的  探讨基层医疗卫生机构全科医生岗位吸引力的影响因素,制定有效策略吸引更多的医学毕业生选择全科岗位,以期稳定并壮大基层医疗卫生机构全科医师队伍。  方法  在文献研究和预调查的基础上设计问卷,2020年4月—7月对403名应届医学毕业生进行问卷调查,收回有效问卷394份,有效回收率为97.77%。采用结构方程模型分析工作环境、政策保障、个人发展和人际关系4个方面与基层医疗卫生机构全科医生岗位吸引力之间的关系。  结果  在基层医疗卫生机构全科医生岗位吸引力结构模型中,工作环境、政策保障、个人发展和人际关系对岗位吸引力的标准化路径系数分别为0.375、0.145、0.236、0.176,表明工作环境对岗位吸引力的影响作用最大,其他影响因素依次是个人发展、人际关系和政策保障。而政策保障、人际关系、工作环境对个人发展的标准化路径系数是0.255、0.168、-0.116,表明政策保障对个人发展的影响最大,而工作环境对个人发展具有一定的负面影响。  结论  轻松的工作环境、稳定的政策保障、和谐的人际关系和良好的个人发展空间有效提升基层医疗卫生机构全科医生岗位吸引力,且稳定的政策保障、和谐的人际关系通过促进个人发展对全科医生岗位吸引力具有显著的间接影响,但松散的工作环境不利于全科医生个人发展成长。
荧光标记法结合PDCA管理对提高多重耐药菌感染患者环境清洁质量的作用
张娟, 许同梅, 林宁, 谢强, 涂秀, 张岚岚
2022, 20(8): 1419-1422. doi: 10.16766/j.cnki.issn.1674-4152.002612
1385 4
摘要:
  目的  针对医院多重耐药菌感染患者的环境清洁质量管理问题,通过开展质量循环改进(plan-do-check-action,PDCA)管理与荧光标记法相结合的干预措施,为临床提高此类患者环境清洁质量的相关研究提供参考依据。  方法  选取滁州市第一人民医院多重耐药菌感染患者床单元作为研究对象,其中2019年1—3月利用荧光标记法对多重耐药菌感染患者床单元的清洁状况进行基线调查(对照组)。2019年4—6月利用荧光标记法监测患者床单元清洁质量,结合监测-反馈培训-改进和提高的PDCA管理模式来逐步提高多重耐药菌感染患者床单元环境清洁质量(观察组)。记录2个时间段内荧光标注的反馈效果,同时对2个时段内多重耐药菌感染患者的防控措施落实情况应用SPSS 22.0统计学软件进行统计比较。  结果  与对照组相比,观察组的荧光标注点清除率和其他环境中发现的荧光点数占比分别由59.87%(282/471)和6.79%(32/471)改善至88.03%(412/468)和1.92%(9/468),组间比较差异具有统计学意义(均P < 0.05)。  结论  通过开展PDCA管理与荧光标记法相结合的干预措施,能够有效提高医院多重耐药菌感染患者的环境清洁质量管理的效果。
基于三级公立医院绩效考核标准的手术患者并发症统计分析
黄俊杰, 黄明智, 朱敬蕊, 黄靖雯
2022, 20(8): 1423-1426. doi: 10.16766/j.cnki.issn.1674-4152.002613
1364 35
摘要:
  目的  手术患者并发症发生率是衡量医院医疗技术能力和管理水平的重要结果指标之一,手术患者并发症的统计和管理是医疗质量管理的重点和难点,参考我国三级公立医院绩效考核对手术患者并发症的统计方法,通过病案首页对某三级公立医院手术患者并发症进行统计和分析。  方法  在提高住院病案首页质量的基础上,参照我国三级公立医院绩效考核的统计方法,利用住院病案首页统计某三级公立医院2019—2020年的手术患者并发症情况,初步分析该院手术患者并发症情况,根据统计结果确定手术患者并发症高风险科室和重点病种。  结果  发生例数最多的手术患者并发症是出血或血肿、手术后切口愈合不良、肺部感染,3种并发症发生数占全院手术患者并发症总数的63.29%。并发症发生例数最多的临床科室在抗菌药物使用、术后护理等方面存在缺陷。  结论  手术患者并发症的管理情况复杂,不同并发症发生的原因多种多样,同一种并发症发生的原因也可能存在较大差异,精确的手术操作、精细化的护理、合理用药、仪器设备的正确使用都是预防手术患者并发症的重要手段。手术患者并发症的管理是诊疗行为全过程的管理,需要信息化的支持、配套制度的有效执行、多部门的协作,需要医院医疗技术水平作为保障。针对手术患者并发症的各项干预措施也应进行评价并不断优化。
全科护理研究
基于医护一体化的预见性护理在输尿管软镜碎石术围术期护理中的应用
李玉洁, 周浩, 席俊华
2022, 20(8): 1427-1429. doi: 10.16766/j.cnki.issn.1674-4152.002614
753 6
摘要:
  目的  在输尿管软镜碎石术患者围术期护理中采用基于医护一体化的预见性护理模式,研究分析其临床应用效果。  方法  选择2021年1—12月在蚌埠市第三人民医院泌尿外科接受输尿管软镜碎石术的50例患者的手术资料,根据围术期采用的护理模式,分为观察组(医护一体化预见性护理模式,25例)和对照组(常规护理模式,25例)。采用SPSS 20.0统计学软件对本研究数据进行统计学分析, 比较2组患者术后首次进食时间、首次下床活动时间、导尿管拔除时间、住院时间、术后并发症发生率及护理满意度。  结果  观察组术后进食时间[(6.72±0.79) h vs. (10.20±0.82) h]、术后下床时间[(6.88±1.00) h vs. (10.84±0.75) h]、术后导尿管拔除时间[(1.44±0.51) d vs. (2.40±0.65) d]、术后静脉输液时间[(3.40±1.12) d vs. (5.04±1.06) d]、住院时间[(6.52±1.05) d vs. (8.00±1.15) d]、术后并发症发生率均低于对照组,差异有统计学意义(均P<0.05)。观察组患者的护理满意度高于对照组(χ2=4.878,P=0.027)。  结论  输尿管软镜碎石术围术期应用医护一体化的预见性护理模式,可以促进患者术后康复,提高护理质量与效果,增加患者的护理满意度。
传统功法五禽戏在颈型颈椎病康复护理中的应用
刘艳, 唐鸣歧, 江波, 江勇
2022, 20(8): 1430-1433. doi: 10.16766/j.cnki.issn.1674-4152.002615
1095 11
摘要:
  目的  观察在康复护理中应用传统功法五禽戏对颈型颈椎病患者颈椎功能恢复以及患者对护理满意度的影响。  方法  选取2017年6月—2021年6月在安徽医科大学附属宿州医院符合纳入标准的60例颈型颈椎病患者,使用随机数字表法分为干预组和对照组各30例,对照组给予常规康复护理,干预组在常规康复护理的基础上给予五禽戏锻炼治疗,上午、下午各1次,1周连续练习5 d,共干预4周。比较2组治疗前后护理满意度、颈椎关节活动度以及治疗前后颈椎功能障碍指数量表(NDI)的变化。  结果  干预组、对照组患者治疗后NDI评分[(9.97±2.77)分、(12.47±6.02)分]与治疗前[(39.37±2.50)分、(38.37±4.05)分]比较差异有统计学意义(均P<0.05),干预组治疗后NDI、护理满意度和对照组比较差异有统计学意义(均P<0.05);干预组治疗后颈椎在前屈、后伸、左右侧屈、左右旋转等方向的活动度均优于对照组(均P<0.05)。2组患者在治疗后颈椎各个方向的活动度较本组治疗前均有不同程度增加(均P<0.05)。  结论  在颈型颈椎病的康复护理中,结合传统功法五禽戏可明显改善颈型颈椎病患者颈椎功能、颈部肌肉的疲劳、疼痛,提高颈型颈椎病患者的生活质量,患者在康复护理过程中也取得较高的满意度。
循证护理模式用于下颌骨骨折患者术后护理的临床观察
徐少君, 徐旭, 严钦, 范丽琴
2022, 20(8): 1434-1437. doi: 10.16766/j.cnki.issn.1674-4152.002616
877 8
摘要:
  目的  观察循证护理模式用于提高下颌骨骨折患者术后康复水平的临床效果。  方法  选择2018年1月—2021年6月温州医科大学附属衢州医院和浙江大学医学院附属第二医院收治的120例下颌骨骨折患者为研究对象,按照入院时间将患者分为对照组(60例)和研究组(60例),2组患者均进行小型钛板颌骨内固定术治疗,对照组患者术后实施常规护理干预,研究组患者实施循证护理干预。记录患者手术时间、术中出血量、住院时间和骨折愈合时间等手术指标,于术后3个月和6个月测定或评估患者咀嚼能力、牙齿咬合力、生活质量和心理健康状况,评价患者口腔卫生健康状况,观察患者术后并发症发生情况。  结果  研究组住院时间[(11.59±1.27)d vs.(16.94±1.45)d]和骨折愈合时间[(41.28±4.09)d vs.(49.62±4.31)d]均显著短于对照组(t=21.543、10.579,均P<0.001);研究组术后3个月咀嚼功能、牙齿咬合力和SF-36评分均显著高于对照组水平(均P<0.001),而2组术后6个月上述指标差异均无统计学意义(均P>0.05);研究组术后6个月HAMA和HAMD评分、PI、DI、GI和SBI均显著低于对照组(均P<0.001);研究组术后并发症总体发生率(5.00%,3/60)显著低于对照组水平(18.33%,11/60,χ2=5.175,P=0.023)。  结论  循证护理模式可有效缩短下颌骨骨折患者术后康复周期,提高术后早期下颌运动功能水平和生活质量,减轻患者心理负担,改善口腔卫生健康状况,有助于减少术后并发症。
Braden单项评分管理对降低院内压力性损伤的预警研究
冯春, 王婧楠, 陈萍
2022, 20(8): 1438-1441. doi: 10.16766/j.cnki.issn.1674-4152.002617
1088 4
摘要:
  目的  探讨Braden单项评分管理对预防院内压力性损伤发生的预警作用,从而降低院内压力性损伤的发生率。  方法  成立由护理部、科护士长、伤口造口专科护士、病区护士长、病区压力性损伤质控员共同组成的网格化压力性损伤管理团队,将院区分为大、中、小3个网格进行督查和跟踪。对2020年1—12月,全院各病区通过OA(office automation)不良事件系统上报的81例院内发生的压力性损伤患者的Braden单项评分、发生部位和原因进行分析,2021年通过医惠系统统计全院Braden单项评分中潮湿、活动力及移动力3项评分<3分的患者,系统导出后根据Braden单项评分管理预警来落实预防措施,观察措施落实后的压力性损伤发生情况。  结果  2021年实施单项评分管理统计院内压力性损伤的发生率由2020年的0.125%降至0.085%。不良事件上报的院内压力性损伤患者中Braden单项评分(活动力、移动力、潮湿)其中一项或两项<3分的患者由2020年的33例降至15例,差异有统计学意义(P<0.05)。且其中压力性损伤分期以1期及2期为主,3期及深部组织损伤发生例数减少,压力性损伤患者愈合率明显上升。  结论  对Braden评分中低危风险及无风险患者落实单项评分管理,早期实施个体化压力性损伤护理干预,针对性落实各项预防措施,能有效降低院内获得性压力性损伤的发生率。
全科诊疗实践
狼疮性肾炎并肺人巨细胞病毒感染1例及文献复习
刘一坤, 刘冰
2022, 20(8): 1442-1445. doi: 10.16766/j.cnki.issn.1674-4152.002618
486 29
摘要:
人巨细胞病毒感染常见于免疫功能受损的免疫宿主,狼疮性肾炎患者以应用激素及免疫抑制剂治疗为主,可导致其成为人巨细胞病毒感染的免疫宿主。人巨细胞病毒性感染是以受感染细胞形成巨大的A型嗜酸性核内及胞质内包涵体为特征。大多数是无症状隐性感染,在免疫功能低下和婴儿中可引起严重的肺部感染而导致死亡。免疫功能低下患者中症状轻、影像学表现重的人巨细胞病毒性肺炎少见,极易被误诊。本文报道1例狼疮性肾炎并症状轻、影像学表现重的人巨细胞病毒肺炎患者,并复习了国内外相关文献。
GFAP基因c.1249delG变异引起的婴儿型亚历山大病1例
赖盼建, 王大燕, 李小兵
2022, 20(8): 1446-1448. doi: 10.16766/j.cnki.issn.1674-4152.002619
493 15
摘要:
探讨婴儿型亚历山大病的遗传性特征。对原因不明的反复抽搐、合并脑白质异常的患者进行高通量测序全外显组测序,筛选出致病基因,最后通过Sanger测序在家系成员中验证基因突变。结果在患者中检测到GFAP基因变异c.1249delG(p.Asp417MetfsTer15)。提示GFAP基因c.1249delG的变异可以引起中国人婴儿型亚历山大病。