2024 Vol. 22, No. 1

Expert Forum
Predictive value of a simple model based on nutritional status indicators for cognitive impairment in elderly people undergoing physical examination in Beijing area
LI Haijing, ZHU Feng, LIU Huijuan, GUAN Rui
2024, 22(1): 1-4. doi: 10.16766/j.cnki.issn.1674-4152.003317
1090 57
Abstract:
  Objective  The relationship between nutritional status and cognitive function is a research focus. This study established a simple model based on nutritional status indicators and analyzed the predictive value of cognitive function impairment in elderly people in Beijing.  Methods  From February 2022 to April 2023, 670 elderly physical examination subjects in the Health Management Center of Model Workers, Beijing Rehabilitation Hospital Affiliated to Capital Medical University were selected and divided into cognitive impairment (CI) group (MoCA < 26) and no cognitive impairment (n-CI) group by using the Montreal cognitive assessment (MoCA). The two groups were compared with the general data, the miniature nutrition assessment scale (MNA) and serum albumin (ALB) indexes, and the relationship between the nutritional status indexes and CI occurrence was analyzed.  Results  The incidence of CI in 670 subjects was 9.10% (61/670) and MoCA score was (22.78±3.15) points. Education level, MNA score [(18.47±3.57) points vs. (23.92±3.95) points] and serum ALB [(30.25±3.86) g/L vs. (38.70±4.26) g/L] in CI group were lower than those in n-CI group (P < 0.05). With the decrease of MNA score and serum ALB level, the incidence of CI was significantly increased (P < 0.05). MoCA score was significantly positively correlated with MNA score and serum ALB (P < 0.05). Lower MNA score and serum ALB were independent risk factors for CI in the elderly population (P < 0.05). The AUC of the simple model based on MNA score and serum ALB was 0.891, which was higher than that predicted by alone (P < 0.05).  Conclusion  Nutritional status is closely related to CI in the elderly. The simple model built based on MNA score and serum ALB has significant value in predicting CI occurrence in the elderly population in Beijing area.
Special Topic/Cervical Carcinoma
Predictive value of MRI combined with CDK4 and Ki-67 for lymph node metastasis in early cervical cancer
YOU Huiting, JIN Maosheng, LIU Jian
2024, 22(1): 5-9. doi: 10.16766/j.cnki.issn.1674-4152.003318
1005 29
Abstract:
  Objective  To explore the predictive value of MRI combined with Cyclin-dependent kinase 4 (CDK4) and Ki-67 in predicting lymph node metastasis of early cervical cancer.  Methods  A total of 101 patients who were diagnosed with cervical cancer for the first time and underwent radical cervical cancer resection in the First Affiliated Hospital of Bengbu Medical College from December 2020 to October 2022 were selected and divided into lymphatic metastasis group (LNM group, n=30) and non-lymphatic metastasis group (NLNM group, n=71) according to pathological results. MRI lymph node metastasis, tumor diameter, stromal infiltration depth, uterine vagina involvement, CDK4, Ki-67 expression and general data were compared between the two groups. The prediction value of lymph node metastasis in early cervical cancer was analyzed.  Results  Single factor results showed that there were statistically significant differences in tumor diameter, SCC-Ag, depth of interstitial invasion, vascular invasion, MRI lymph node metastasis, CDK4 and Ki-67 (P < 0.05). Logistic regression analysis results showed that tumor diameter, squamous cell carcinoma antigen (SCC-Ag), depth of interstitial invasion and Ki-67 were independent risk factors for lymph node metastasis (P < 0.05). The area under the curve (AUC) of CDK4, Ki-67, SCC-Ag and MRI were 0.637, 0.740, 0.792 and 0.857, respectively. The sensitivity were 0.967, 0.833, 0.700, 0.967 and the specificity were 0.282, 0.592, 0.845, 0.634 respectively. The optimal cutoff value of SCC-Ag was 3.6 ng/mL, and the Jorden index was 0.545. The AUC of MRI combined with SCC-Ag in predicting pelvic lymph node metastasis was 0.890, which was smaller than the AUC of MRI combined with CDK4 and Ki-67 in evaluating pelvic lymph node metastasis (0.917), and smaller than the AUC of multiple indicators combined in predicting pelvic lymph node metastasis (0.943, P < 0.05).  Conclusion  MRI alone has low sensitivity in the diagnosis of cervical cancer lymph node metastasis, while CDK4 has high sensitivity but no specificity. When MRI, CDK4 and Ki-67 are combined, both sensitivity and specificity are significantly improved, which has predictive value for preoperative lymph node metastasis.
The chain mediating effect of social alienation and metacognition on symptom distress and fear of cancer recurrence in young and middle-aged patients with cervical cancer
ZHOU Juan, CHEN Dan, LI Boya, ZHANG Yuanyuan, SU Jianping
2024, 22(1): 10-13. doi: 10.16766/j.cnki.issn.1674-4152.003319
1419 26
Abstract:
  Objective  The purpose of this study is to explore the mediating effects of social distancing and metacognition between symptom distress and fear of cancer recurrence in young and middle-aged patients with cervical cancer, in order to provide a new perspective for the management and intervention of fear of cancer recurrence.  Methods  A total of 330 middle-aged and young cervical cancer patients from February to August 2023 in a Grade A cancer hospital in Xinjiang were selected as the study objects by convenience sampling method. The general information questionnaire, the fear of cancer recurrence inventory short form (FCRI-SF), the metacognitive questionnaire (MCQ-30), the general alienation scale (GAS), and the M.D. Anderson symptom inventory (MDASI) were used to conduct the questionnaire survey. The chain mediation effect between variables was tested by percentile Bootstrap method (Process plug-in) with deviation correction.  Results  The average score of fear of cancer recurrence in young and middle-aged patients with cervical cancer was (14.64±6.37) points, and 57.27% of the patients had a high level of fear of cancer recurrence (FCRI-SF≥13 points). Symptom distress was positively correlated with social alienation (r=0.397, P < 0.01), metacognition (r=0.197, P < 0.01) and fear of cancer recurrence (r=0.495, P < 0.01). Symptom distress, social alienation and metcognition of young and middle-aged patients with cervical cancer could significantly positively predict their fear of cancer recurrence (β=0.107, 0.430, 0.156, P < 0.001). Mediating effect analysis showed that social alienation and metcognition played a chain mediating role between symptom distress and fear of cancer recurrence with an effect size of 0.009. The total effect accounted for 4.27%.  Conclusion  There is a high level of fear of cancer recurrence in young and middle-aged patients with cervical cancer. Social alienation and metacognition play a chain mediating role between symptom distress and fear of cancer recurrence.
Application of Constrained, Pareto optimization approach in Monaco system intensity modulation mode for Cervical Cancer Radiotherapy
ZHANG Kun, YANG Jian, NIU Shulei, XU Xinming
2024, 22(1): 14-17. doi: 10.16766/j.cnki.issn.1674-4152.003320
1127 38
Abstract:
  Objective  To explore the application of two optimization methods in Monaco system under intensity modulated radiation therapy (DMLC) and volumetric modulated arc therapy (VMAT) in cervical cancer.  Methods  A total of 40 patients with cervical cancer who received intensity-modulated radiotherapy in Cangzhou People' s Hospital from January 2020 to December 2022 were selected. After IMRT and VMAT, the effects of the two modes were analyzed.  Results  Under Constrained Mode, Dmean [(5 225.41±32.53)cGy vs.(5 205.84±32.99)cGy], Dmax [(5 585.46±51.64)cGy vs.(5 635.99±62.12)cGy], bladder V20 [(78.07±6.31)% vs.(85.68±9.42)%], rectal V20 [(87.58±6.14)% vs.(88.75±5.21)%], rectal V40 [(34.21±6.71)% vs.(37.77±5.41)%], pelvis V20 [(84.74±4.91)% vs.(82.18±4.78)%], pelvis V30 [(51.77±6.73)% vs. (54.73±6.02)%], left femoral head V20 [(42.16±8.40)% vs. (37.37±8.68)%], right femoral head V30 [(9.90±3.43)% vs. (12.32±4.46)%]dose, the differences were significant (P < 0.05). Under the DMLC emphasis, the number of machine jumps in Constrained mode was lower than that in Pareto mode (P < 0.05), under the VMAT emphasis, the number of Pareto mode subfields was lower than that in Constrained mode (P < 0.05), and the number of machine jumps was higher than that in Constrained mode (P < 0.05).  Conclusion  VMAT technology can meet the radiation requirements of cervical cancer patients, and Pareto mode is better for endangering organ protection.
General Practice Research
CD38 influences Treg/Th17 balance to promote rheumatoid arthritis
LIN Haili, DU Xiaokang, WANG Yilu, CAI Chengsong, GAO Jin, PAN Feng
2024, 22(1): 18-20. doi: 10.16766/j.cnki.issn.1674-4152.003321
1024 23
Abstract:
  Objective  To detect the expression of cluster of differentiation 38 (CD38) and the ratio of regulatory T cells (Tregs) to helper T cells 17 (Th17) among CD4+ T cells in the tissues of rheumatoid arthritis (RA) mouse model, and to explore the mechanism by which CD38 in promoting the development of rheumatoid arthritis.  Methods  The collagen-induced mice arthritis model (CIA) were constructed to detect CD38 protein and mRNA expression in synovial tissue, spleen, and lymph nodes by protein immunoblotting and fluorescent quantitative PCR. The ratio of Th17 cells and Treg cells were analyzed by flow cytometry. After differentiation, naive CD4+ T cells isolated from the spleen of mice were tested for CD38 protein expression and the ratio of Th17 cells to Treg cells was calculated; By polarizing naive CD4+ T cells, the protein expression of PI3K, AKT, p-AKT, mTOR, p-mTOR were detected and the effect of CD38 on PI3K/AKT/ mTOR signaling pathway were analyzed.  Results  CD38 protein expression in synovial tissue, spleen, and lymph nodes in CIA were higher than that in the control group, and the differences were statistically significant (P < 0.01). The percentage of naive CD4+ T cells in specific differentiation conditions, compared with the polarized group+sh-NC, the proportion of Th17 cells in the polarized group+sh-CD38 was decreased, and the proportion of Treg cells was increased (P < 0.01). After the polarization treatment of CD4+ T cells, the expression of p-AKT and p-mTOR proteins in the polarized group+sh-NC (3.00±0.08, 3.18±0.12) were higher than that in polarized group+sh-CD38 (2.48±0.09, 1.70±0.10, P < 0.01).  Conclusion  CD38 is highly expressed in CIA, and inhibition of CD38 expression improves CIA inflammation. Under specific differentiation conditions, high CD38 expression increases the proportion of Th17 cells and decreases the proportion of Treg cells. Through polarization, CD38 affects the balance between Treg and Th17 through the PI3K/AKT/mTOR signaling pathway to promote the development of rheumatoid arthritis inflammation.
Retrospective study of Xiaozhi Powder combined with moxa salt bag to prevent urinary retention after procedure for prolapse and hemorrhoids
PAN Jiandan, CHEN Chunli, HU Ali, CAI Danfeng, WANG Shaoyan, ZHENG Afen, ZHENG Chenguo
2024, 22(1): 21-25. doi: 10.16766/j.cnki.issn.1674-4152.003322
672 19
Abstract:
  Objective  To retrospectively investigate the role of traditional Chinese medicine (TCM) treatment technique in preventing urinary retention after procedure for prolapse and hemorrhoids (PPH) surgery.  Methods  A total of 100 patients with mixed hemorrhoids treated with PPH from the Second Affiliated Hospital of Wenzhou Medical University, Yuying Children' s Hospital from January 2020 to January 2022, were divided into two groups according to different treatment methods. The control group was treated with routine western medicine after surgery, while the observation group was treated with Xiaozhi Powder combined with moxa salt bag after surgery, compare the traditional Chinese medicine syndrome scores, urinary status, visual analogue scale (VAS) and changes in urodynamic indicators between the two groups after treatment, calculate the overall efficacy rate of two treatment groups and evaluate the safety of treatment.  Results  The scores of various traditional Chinese medicine syndromes in both groups showed that the residual urine volume in the bladder at 8 hours after surgery was lower than before treatment (P < 0.05), and the observation group was lower than the control group after treatment (P < 0.05); After treatment, the maximum urine flow, detrusor pressure during filling, and maximum bladder volume in both groups were higher than before treatment (P < 0.05), and the observation group was higher than the control group (P < 0.05); The time of first urination, the time of disappearance of abdominal sensation and the incidence of urinary retention at 8 hours after surgery in the observation group were shorter or lower than those in the control group (P < 0.05), and the amount of first urination was more than that in the control group (P < 0.05); The VAS scores of the observation group at 36 hours after surgery were lower than those of the control group (P < 0.05); The overall treatment efficacy rate in the observation group (92.0%, 46/50) was higher than that in the control group (72.0%, 36/50, χ2=6.775, P=0.009); No significant adverse drug reactions were observed in either group.  Conclusion  Xiaozhi Powder in combination with moxa salt bag can effectively adjust the urodynamic indicators of patients after PPH, alleviate abdominal distension, abdominal pain and other uncomfortable symptoms, promote postoperative urination, reduce the risk of postoperative urinary retention, and is worthy of clinical promotion.
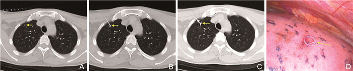
Application effect of watershed analysis of the target pulmonary artery method in thoracoscopic wedge resection of the lung
ZHOU Shao, ZHU Xiao, XING Fubao, WANG Wei, SONG Chao, LI Xiaojun, TANG Zhen, ZHANG Lei
2024, 22(1): 26-29. doi: 10.16766/j.cnki.issn.1674-4152.003323
1062 21
Abstract:
  Objective  To evaluate the feasibility and safety of using arterial watershed analysis in the localization of pulmonary ground glass nodules during thoracoscopic wedge resection.  Methods  A total of 146 patients with thoracoscopic wedge resection admitted to the Department of Thoracic Surgery, the First Affiliated Hospital of Bengbu Medical University from November 2021 to July 2023 were selected as research subjects, and the patients were divided into control group (n=73, traditional CT scan coil positioning) and observation group (n=73, identified by arterial watershed analysis) by random number table method. The localization effects of the two groups were compared.  Results  In the control group, 5 patients were not suitable for CT scan localization due to the special location of nodules after safety evaluation by physicians, and they were transferred to the observation group and successfully localized by watershed analysis of the artery. The hospitalization cost of the observation group [(24 808.66±1 762.28) yuan] was lower than that of the control group [(25 776.73±1 723.93 yuan), t=3.350, P < 0.05]. The incidence of perioperative complications in the observation group was 7.69% (6/78), which was lower than 26.47% (18/68) in the control group (χ2=9.326, P < 0.05). The success rate of first resection in the observation group was 94.87% (74/78), which was higher than 83.82% (57/68) in the control group (χ2=4.810, P < 0.05). There was no significant difference in positioning time, intraoperative blood loss, drainage volume on the first day after surgery, extubation time and pathological type data between the two groups (P>0.05).  Conclusion  The watershed analysis of artery localization method is a potential new localization method for pulmonary nodules, which can effectively ensure the safe surgical margin, improve the success rate of nodule resection at the first time, reduce the hospitalization cost and the incidence of perioperative complications, and the localization is simple, especially suitable for pulmonary nodules in special locations. It is easily accepted by patients and worthy of clinical application.
COL1A2 as a diagnostic and predictive marker in osteoarthritis and the immune infiltration mechanism of osteoarthritis
YANG Dongdong, ZHAO Meng, DU Jiaxiu, SHI Yu
2024, 22(1): 30-33. doi: 10.16766/j.cnki.issn.1674-4152.003324
1194 21
Abstract:
  Objective  Osteoarthritis (OA) is a common degenerative joint disease, but its pathogenesis remains largely unclear. This study aimed to explore the key diagnostic markers and immune microenvironment involved in the development of OA, in order to provide references and assistance for diagnosis and treatment strategies of OA.  Methods  Gene expression datasets GSE169077 and GSE55235 from Gene expression omnibus (GEO) database were analyzed to identify key diagnostic marker genes and detect immune cell infiltration in OA.  Results  A total of 402 differentially expressed genes were obtained, including 230 up-regulated genes and 172 down-regulated genes. After screening and verification, COL1A2 was identified as a key diagnostic marker gene. Analysis of immune cell infiltration showed that neutrophils, dendritic cells, NK cells, T cells, monocytes and macrophages were highly expressed in the OA immune microenvironment.  Conclusion  This study finds that COL1A2 gene may be a key diagnostic marker for OA. COL1A2 may exert biological effects through extracellular matrix (ECM) receptor pathway, focal adhesion (FA) signaling pathway, etc. Neutrophils, dendritic cells, NK cells, T cells and other immune cells play an important role in the immune microenvironment changes of OA. The results help to further understand the pathogenesis of OA and provide a reference for diagnosis and treatment.
A comparative study on the effect of different anesthesia methods on early postoperative inflammatory indicators and rehabilitation in patients undergoing cesarean section
ZHENG Kesong, KANG Fang, HAN Mingming, YANG Chengwei, HUANG Xiang, LI Juan
2024, 22(1): 34-38. doi: 10.16766/j.cnki.issn.1674-4152.003325
860 26
Abstract:
  Objective  To evaluate the effects of different anaesthetic methods on inflammatory markers and rehabilitation after caesarean section, and provide a reference for the selection of anaesthetic methods for caesarean section surgery.  Methods  A total of 1 759 patients undergoing emergency caesarean section in the Southern District of the First Affiliated Hospital of the University of Science and Technology of China from January 2022 to May 2023 were divided into general anaesthesia group (group G, n=200) and epidural anaesthesia group (group E, n=1 559). The parturients were selected according to specific inclusion and exclusion criteria, and then the parturients in the two groups were matched in a 1∶1 ratio using the propensity score method. The effects of two different anaesthetic methods on white blood cell (WBC), platelet to lymphocyte ratio (PLR), neutrophil to lymphocyte ratio (NLR), monocyte to lymphocyte ratio (MLR) and postoperative rehabilitation were compared.  Results  WBC, NLR and MLR in group E were significantly higher than those before surgery, while WBC, PLR, NLR and MLR in group G were significantly higher than those before surgery. Compared with group E, the difference of PLR before and after surgery in group G [16.78 (0.16, 29.36) vs.-2.20 (-21.69, 15.17)] was significantly higher (P < 0.05). In group G, the time from induction of anaesthesia to fetal delivery [6 (3, 12) min vs. 43 (32, 54) min] and the time from skin incision to fetal delivery [3 (2, 7) min vs. 7 (6, 12) min] were significantly shortened, whereas the postoperative farting time [44 (39, 46) h vs. 39 (36, 43) h] was significantly longer (P < 0.05). At 5 minutes before skin incision and during skin incision, group E had significantly lower MAP and HR compared to group G (P < 0.05). There were no significant differences in intraoperative blood loss and postoperative hospital stay between the two groups (P>0.05).  Conclusion  Epidural anaesthesia may be more beneficial for the mother' s recovery, while general anaesthesia is appropriate for emergency delivery of the fetus.
Establishment of CD22 reference intervals in peripheral blood by flow cytometry
YU Liang, ZHAO Hao, YUAN Xiaoying, SONG Ying, LI Jiajia
2024, 22(1): 39-41. doi: 10.16766/j.cnki.issn.1674-4152.003326
737 25
Abstract:
  Objective  To detect the percentage of CD22 in peripheral blood lymphocytes of healthy adults by flow cytometry. The reference range for healthy adults was established according to the requirements of Clinical and Laboratory Standards Institute EP28-A3c.  Methods  Peripheral blood was collected from healthy people who underwent physical examination in Peking University People' s Hospital and the First Affiliated Hospital of Bengbu Medical University from July to November 2022. The peripheral blood CD22 levels of 130 healthy adults were measured by flow cytometry, and the data of each group were grouped according to region, sex and age according to the grouping requirements in the EP28-A3c file, so as to establish the corresponding biological reference interval.  Results  The level of CD22 in peripheral blood of healthy adults was normally distributed, and the positive rates of CD22 in peripheral blood of healthy adults in Beijing and Anhui were (10.87±4.37)% and (12.62±4.03)%, respectively, with no statistical significance (t=1.336, P=0.205). The positive rates of CD22 in male and female peripheral blood were (11.76±4.86)% and (11.85±3.69)%, respectively, and the difference was not statistically significant (t=0.111, P=0.911). They were divided into ≤35 years old group, 36-60 years old group and > 60 years old group. The positive rate of CD22 in peripheral blood of the three groups were (11.53±3.20)%, (11.61±3.80)% and (12.73±6.36)%, respectively, and there was no statistical significance (F=0.761, P=0.469). According to the 90% confidence interval recommended by the International Committee for Clinical Laboratory Standards, the reference intervals of CD22 in lymphocytes (flow cytometry) was 4.82%-18.80%.  Conclusion  The reference intervals of CD22 positive rate in peripheral blood of healthy adults are consistent in different regions, gender and age. It can be combined to establish the reference intervals of CD22 positive rate in peripheral blood of healthy adults.
The correlation between carotid artery ultrasound index and stroke variability in elderly patients undergoing general gastrointestinal anesthesia
ZHANG Xueyin, LUO Hong, CHEN Lijian
2024, 22(1): 42-45. doi: 10.16766/j.cnki.issn.1674-4152.003327
744 19
Abstract:
  Objective  To evaluate the predictive ability of carotid corrected flow time (FTc) and carotid peak flow variability (ΔVpeak) for stroke volume variation (SVV) ≥13% during induction of mechanical ventilation under general anaesthesia in elderly patients.  Methods  A total of 60 patients undergoing laparoscopic gastrointestinal surgery at Hefei First People's Hospital from July 2021 to December 2022 were selected. The ultrasound parameters and hemodynamic parameters were measured 5 min after endotracheal intubation (T1). SVV≥13% was defined as responder group (R group); SVV < 13% was defined as non-responder group (N group). Finally, 30 patients were included in the R and N group, respectively. Five minutes after the volume loading test(T2), the same hemodynamic parameters were measured. Pearson correlation coefficient was used to analyze the correlation between ultrasound parameters and SVV. ROC curve was used to evaluate the ability of FTc and ΔVpeak to predict SVV≥13%.  Results  FTc in group R was significantly lower than that in group N from T0 (before induction of anesthesia) to T2, while ΔVpeak was significantly higher than that in group N (P < 0.05). FTc at T2 was significantly higher than that at T0, whereas ΔVpeak at T2 was significantly lower than that at T0 in both groups (P < 0.05). FTc predicted SVV≥13% with 83.3% sensitivity and 76.7% specificity. ΔVpeak predicted SVV≥13% with 80.0% sensitivity and 63.3% specificity. Pearson correlation analysis showed that the correlation coefficient between FTc and SVV was -0.674, indicating a negative correlation between FTc and SVV. The correlation coefficient between ΔVpeak and SVV was 0.765, indicating that there was a positive correlation between ΔVpeak and SVV.  Conclusion  FTc and ΔVpeak correlate well with SVV. Both FTc and ΔVpeak can predict fluid responsiveness during general anaesthesia in elderly patients.
Correlation analysis of self-identity, shame, and aesthetic restoration tendency in patients with oral and maxillofacial injuries
ZHUANG Yan, KAN Weijuan, WU Xiangbing
2024, 22(1): 46-49. doi: 10.16766/j.cnki.issn.1674-4152.003328
670 10
Abstract:
  Objective  To explore the relationship between self-identity, shame and aesthetic restoration tendencies in patients with oral and maxillofacial injuries, with the aim of deepening understanding of rehabilitation outcomes and providing a basis for developing more effective clinical interventions and support.  Methods  A total of 160 patients with oral and maxillofacial injuries selected at Wuxi People's Hospital Affiliated to Nanjing Medical University from January 2020 to December 2022. Patients were assessed with self-identity scale, social impact scale (to assess stigma) and aesthetic repair tendency scale. The Pearson correlation coefficient method was used to analyze the relationship between self-identity, stigma and aesthetic repair tendency, and the mediation effect analysis program was used to analyze the mediation effect between self-identity, stigma and aesthetic repair tendency.  Results  The self-identity score of patients with oral and maxillofacial injuries was (50.47±6.80) points, the stigma score was (71.33±5.96) points and the aesthetic repair tendency score was (45.24±5.38) points. There was a significant negative correlation between self-identity score and stigma score (r=-0.472, P=0.016), a significant positive correlation between self-identity score and aesthetic repair tendency score (r=0.517, P=0.008), and there was significant positive correlation between stigma score and aesthetic repair tendency score (r=0.490, P=0.012). Stigma had significant predictive power for aesthetic repair tendency (t=5.817, P < 0.001), and stigma had significant predictive power for self-identity (t=-4.263, P < 0.001). Self-identity played a significant mediating role between stigma and aesthetic repair tendency (t=3.317, P < 0.001).  Conclusion  There was a strong relationship between self-identity, stigma and aesthetic repair tendency in patients with oral and maxillofacial injuries. Self-identity played a mediating effect between stigma and aesthetic repair tendency.
Effect of comorbidities on muscle function in elderly hospitalized patients
ZHANG Zezheng, BIAN Ailin
2024, 22(1): 50-54. doi: 10.16766/j.cnki.issn.1674-4152.003329
1061 16
Abstract:
  Objective  To evaluate the muscle function of elderly patients by measuring their skeletal muscle mass, skeletal muscle index, grip strength, and exercise metabolic equivalent METs values, and further explore the impact of comorbidity on muscle function in elderly hospitalized patients.  Methods  Elderly patients (aged ≥ 65 years) hospitalized in the General Medicine Department of Tianjin First Central Hospital from September 2021 to December 2021 were selected as the study subjects. The following general information for the enrolled cases were collected: gender, age, admission symptoms, disease diagnosis, and long-term medication status. The bioelectrical impedance method was used to measure the skeletal muscle mass (SMM, kg), skeletal muscle index (SMI), etc. The grip strength of the dominant hand was measured by the grip strength meter to evaluate the muscle strength, and the exercise metabolic equivalent of task METs value was used to evaluate the daily exercise level. Comorbidity status in elderly patients was evaluated, the Charlson comorbidity index (CCI) was calculated. Sarcopenia was screened based on muscle mass and motor function. The correlation between comorbidities, sarcopenia, and motor ability of the study subjects was analyzed.  Results  The prevalence of comorbidities in this study was 100.0% (88 cases), with the main symptoms of admission complaints being head discomfort, precordial discomfort, and palpitations. Among the enrolled cases, the incidence of sarcopenia was 10.2% (9 cases), and there was a statistically significant difference in grip strength among different age groups (P < 0.05). Spearman correlation analysis revealed a negative correlation between grip strength and CCI, age, and body fat rate (P < 0.05). The values of METs were negatively correlated with age (P < 0.05). The detection rate of tumors in patients with sarcopenia was significantly higher than that in patients without sarcopenia (P < 0.001).  Conclusion  The comorbidities of elderly patients admitted to the general practice department are severe. As comorbidities worsen, muscle function decreases, and the performance in grip strength is more pronounced. The measurement of grip strength is more convenient and reproducible than the measurement of skeletal muscle content and skeletal muscle index, making it suitable for large-scale cross-sectional surveys. This suggests that grip strength plays an important role in the comprehensive evaluation of elderly people. Older women have a higher level of daily exercise than men, suggesting that we should remind older male patients to develop exercise habits when managing their health.
General Clinical Research
Early clinical outcomes of total hip arthroplasty with minimally invasive direct anterior approach and traditional posterolateral approache for femoral head avascular necrosis
LUO Chunlin, SU Zhimeng, ZHONG Yuanming, WU Jianghua
2024, 22(1): 55-58. doi: 10.16766/j.cnki.issn.1674-4152.003330
820 12
Abstract:
  Objective  To compare the early clinical efficacy of total hip arthroplasty with minimally invasive direct anterior approach and traditional lateral approach for the treatment of avascular necrosis of the femoral head.  Methods  A retrospective study was conducted at Baoshun Hospital of Qinzhou from January 2020 to December 2021, involving 60 patients with avascular necrosis of the femoral head. Among them, 30 patients underwent total hip arthroplasty using the minimally invasive direct anterior approach, while the remaining 30 patients underwent the traditional lateral approach. The data of the two groups were collected to compare various factors, including operation time, bleeding volume, hospitalization time, Harris score of the hip joint, patient satisfaction, and postoperative complications.  Results  The average follow-up period for the 60 patients was 12 months. Statistically significant differences were observed between the two groups in terms of mean intraoperative blood loss [(200.8±5.6)mL vs. (401.2±10.4)mL], length of hospital stay [(6.5±1.1)d vs. (10.6±1.2) d], and Harris score [(90.0±3.3) points vs. (84.4±2.8) points] at 1 month post-operation (P < 0.05). At the 6 month follow-up, the overall satisfaction level in group A was higher than that in group B [(98.5±1.3)% vs. (95.2±1.9)%, P < 0.01] and the scar scale score in group A was lower than that in group B [(1.5±0.8) points vs. (3.2±1.0) points, P < 0.01].  Conclusion  Both the minimally invasive direct anterior approach and the posterolateral approach have demonstrated efficacy in treating avascular necrosis of femoral head. However, the minimally invasive direct anterior approach offers distinct advantages, including significantly reduced postoperative pain, decreased intraoperative bleeding, shorter hospital stays, and higher patients satisfaction levels.
Analysis of the difference of intestinal flora between patients with perianal abscess before and after surgery and healthy people
YIN Hezhai, SHEN Lidong, YUAN Mei, WANG Qi, HONG Zhonghua
2024, 22(1): 59-63. doi: 10.16766/j.cnki.issn.1674-4152.003331
826 10
Abstract:
  Objective  The intestinal flora distribution of perianal abscess patients before and after surgery was detected by 16S rDNA gene sequencing to explore whether the flora distribution was different from that of healthy people.  Methods  Clinical data of 15 patients with perianal abscess (observation group) and 15 healthy individuals (control group) who visited the Department of Anorectal of Jiaxing Hospital of Traditional Chinese Medicine Affiliated to Zhejiang Chinese Medicine University between August and November 2022 were collected, their fecal DNA was extracted, and their data including alpha diversity, beta diversity were analyzed by PCR amplification and 16S rDNA gene sequencing, and possible major hallmark flora of perianal abscess were screened.  Results  Alpha diversity analysis showed that compared to the control group, the observation group had preoperative levels of Chao1 and Observed_species increased, while the postoperative Shannon and Simpson indices decreased, with significant differences (P < 0.05). Compared with operative, postoperative Chao1, Shannon, Simpson, Observed_species in the observation decreased (P < 0.05). The relative abundance of Bacillota, Pseudomonadota, Actinomycetota and Bacteroidota was significantly different between the control group and the observation group before and after surgery (P < 0.05). Compared with the control group, the relative abundance of Actinomycetota in the observation group before surgery was reduced (P < 0.05), and the relative abundance of Pseudomonadota after surgery was increased (P < 0.05). Compared with operative, the relative abundance of Pseudomonadota in the observation increased after operation (P < 0.05). The main marker flora of perianal abscess was screened, and receiver operating characteristic analysis showed that Bilophila wadsworthia had the max AUC (AUC=0.831).  Conclusion  The intestinal flora of patients with perianal abscess differs significantly from that of healthy individuals before and after surgery, and the abundance of intestinal flora changes significantly after surgical treatment. Bilophila may be a major marker of perianal abscess.
The efficacy and prognostic markers of anti-PD-1 immunotherapy combined with anti-angiogenic therapy for advanced hepatocellular carcinoma
LIU Wei, ZHANG Yiyin, ZHAO Fang, HU Zhiguo, WANG Ya
2024, 22(1): 64-69. doi: 10.16766/j.cnki.issn.1674-4152.003332
909 15
Abstract:
  Objective  To evaluate the efficacy and safety of anti-PD-1 immunotherapy combined with anti-angiogenic therapy in the treatment of advanced hepatocellular carcinoma and to explore the potential prognostic factors.  Methods  We collected the clinical data of patients with advanced hepatocellular carcinoma who were treated with PD-1 inhibitors combined with anti-angiogenic therapy from March 2020 to December 2022 in Huaibei People's Hospital and observed the clinical efficacy, adverse events. Kaplan-Meier was used to analyze the survival benefit. Univariate and multivariate Cox analysis were performed to evaluate the association between prognostic factors and survival outcomes.  Results  Among the 55 patients enrolled in this study, the objective response rate was 18.2% (10/55) and the disease control rate was 74.5% (41/55). Survival analysis showed that the median progression-free survival (mPFS) was 8.5 months and the median overall survival (mOS) was 17.4 months. Patients who received transcatheter arterial chemoembolization (TACE) had better PFS and OS than those who did not (P < 0.005). PFS and OS were longer in patients with lower NLR (mPFS: 10.1 months vs. 6.5 months; mOS: 18.6 months vs. 14.9 months, P < 0.05). The most common adverse events were fatigue, hypertension, etc. 11 patients experienced grade 3-4 adverse events.  Conclusion  In this real-world study, anti-PD-1 immunotherapy combined with anti-angiogenic therapy could significantly prolong the survival of advanced HCC patients, especially in patients receiving TACE treatment, and the adverse events were controllable. The pre-treatment serum NLR level is an independent prognostic factor to predict PFS and OS, which could help to screen the potential patients who can benefit from immunotherapy.
Analysis of the effect of reperfusion after intravenous thrombolysis in different time windows of acute ischemic stroke on clinical outcome and 90-day prognosis
KOU Qixing, QU Xueping, LIU Songcan, SUN Gen, JI Peng
2024, 22(1): 70-73. doi: 10.16766/j.cnki.issn.1674-4152.003333
639 14
Abstract:
  Objective  To analyze the effect of reperfusion after thrombolysis in different time windows on clinical outcome and 90-day prognosis of acute ischemic stroke (AIS).  Methods  A total of 158 AIS patients who received intravenous thrombolytic therapy in the Department of Neurology of the Northern Ward of the Third People's Hospital of Zhengzhou from October 2020 to October 2022 were selected. The patients were divided into three groups according to the thrombolytic time window: A(42 cases), B (53 cases) and C (63 cases). The thrombolytic time windows were < 3.0 h, 3.0-4.5 h, and >4.5- < 6.0 h, respectively. The clinical results of the three groups were compared. After 90 days of follow-up, the patients were divided into a good prognosis group (89 cases) and a poor prognosis group (69 cases) according to the modified Rankin scale (mRS), and the factors influencing the prognosis of the patients at 90 days were analyzed.  Results  The National Institutes of health stroke scale (NIHSS) score after thrombolysis in group A and group B was lower than that in group C, and the rate of short-term good prognosis was higher than that in group C (P < 0.05). There was no statistical significance in NIHSS score and short-term good prognosis between group A and group B (P>0.05). The incidence of bleeding events in the three groups was 4 (9.52%), 7 (13.21%), and 10 (15.87%), respectively, with no significant difference (χ2=0.882, P>0.05). In the poor prognosis group, age [(67.20±10.33) vs. (60.69±10.41) years], NIHSS score at admission [(12.35±3.50) points vs. (7.91±2.12) points], proportion of atrial fibrillation (17.39% vs. 3.37%) and proportion of thrombolysis >4.5- < 6.0 h after onset (53.62% vs. 29.21%) were higher than in the good prognosis group (P < 0.05). Logistic regression showed that older age, high admission NIHSS score, atrial fibrillation, and thrombolysis time window >4.5- < 6.0 h were independent risk factors for poor prognosis in AIS patients (P < 0.05).  Conclusion  Thrombolysis is beneficial within 4.5 hours of AIS onset. Age, NIHSS score on admission, atrial fibrillation, and time window of thrombolysis may influence the 90-day prognosis of AIS patients.
Nutritional risk screening and influencing factors in patients with type 2 diabetes
LI Jing, ZHOU Yusen, HAO Shuli, WU Wei, MA Guoqi
2024, 22(1): 74-76. doi: 10.16766/j.cnki.issn.1674-4152.003334
993 38
Abstract:
  Objective  To systematically analyze the nutritional status of type 2 diabetes (T2DM) patients based on nutrition risk screening (NRS2002), and screen the main impact indicators of nutritional risk.  Methods  A total of 196 T2DM patients were obtained from the People's Hospital of Bozhou between October 10, 2022 and May 9, 2023. The patients were divided into nutritional risk group (35 cases) and non-nutritional risk group (161 cases) based on the presence or absence of nutritional risk. Statistical analysis was used to investigate the differences in gender and related biochemical indicators (hemoglobin, glycated hemoglobin, albumin, total cholesterol, triglycerides, urea nitrogen, creatinine) between patients with and without nutritional risk. The independent influencing factors of nutritional risk were analyzed using multiple logistic regression analysis.  Results  There was no significant difference in the occurrence of nutritional risks between different genders (P>0.05). The relevant clinical biochemical test results showed that T2DM patients with nutritional risk had significant differences in serum hemoglobin [(122.29±10.07) g/L], albumin [(40.98±3.61) g/L], urea nitrogen [(6.97±0.16) mmol/L], and creatinine [(86.91±5.96) mmol/L] levels compared to non-nutritional risk patients [(128.15±9.96) g/L, (43.38±4.34) g/L, (5.81±0.92) mmol/L, (79.75±8.56) mmol/L, respectively, P < 0.05]. There was no significant difference in the statistics of glycated hemoglobin, total cholesterol, and serum triglycerides between patients with and without nutritional risk (P>0.05). Multiple logistic regression analysis was used to analyze hemoglobin, albumin, urea nitrogen, and creatinine. The results showed that hemoglobin, albumin, and creatinine were related risk factors for nutritional risk in T2DM patients.  Conclusion  NRS2002 is applied to assess the nutritional status of patients with T2DM, and haemoglobin, albumin and creatinine levels are influential factors in the occurrence of nutritional risk in patients with T2DM.
Correlation between lifestyle and menopausal syndrome of females aged 40-69 in Zhejiang Province
HU Kailing, XU Ling, DING Yuehong, MA Linjuan, YING Qian, ZHOU Jianhong, NING Yumei
2024, 22(1): 77-81. doi: 10.16766/j.cnki.issn.1674-4152.003335
788 15
Abstract:
  Objective  To investigate the correlation between lifestyle and menopausal syndrome of females.  Methods  A multi-stage stratified cluster sampling method was used to randomly select 7 856 females aged 40-69 in Zhejiang Province for a questionnaire survey. Mantel-Haenszel test was used for ordered categorical variables, Kruskal-Wallis H test was used for disordered variables and multiple logistic aggression analysis were used to determine the correlation between lifestyle and menopausal syndrome and drawn ROC curve.  Results  Age was associated with menopause and menopausal syndrome (P < 0.05). Passive smoking, drinking, tea drinking, physical exercise intensity, frequency of hair perming and dyeing were associated with menopausal syndrome (P < 0.05). Older age (OR=1.103, 95% CI: 1.094-1.112), menopause (OR=4.011, 95% CI: 3.573-4.503), family members smoking (OR=1.346, 95% CI: 1.206-1.501), and passive smoking in the working environment (OR=1.432, 95% CI: 1.175-1.745) were risk factors for menopausal syndrome (P < 0.05). Lower physical activity intensity (OR=0.881, 95% CI: 0.822-0.944) and low frequency of hair perming (OR=0.823, 95% CI: 0.774-0.876) were protective factors for menopausal syndrome (P < 0.05). The area under the ROC curve for lifestyle-related factors predicting menopause-related symptoms was 0.731.  Conclusion  The lifestyle of females aged 40-69 in Zhejiang Province is correlated with menopausal syndrome. Lifestyle coaching is recommended for females to reduce or relieve menopausal syndrome.
Correlation between serum vitamins and vascular endothelial growth factor in late pregnancy and pre-eclampsia and fetal growth restriction
ZHONG Shuangfei, SHEN Na, HUANG Manxian
2024, 22(1): 82-85. doi: 10.16766/j.cnki.issn.1674-4152.003336
739 16
Abstract:
  Objective  To investigate the association between serum vitamin D and vascular endothelial growth factor (VEGF) levels in late pregnancy and pre-eclampsia and fetal growth restriction (FGR), to provide a basis for clinical diagnosis and management of pre-eclampsia and FGR.  Methods  The 124 patients with pre-eclampsia in the third trimester of pregnancy from July 2020 to December 2022 at Zhoushan Maternal and Child Health Hospital were selected as the study group, including 38 patients with FGR. In addition, 54 normal pregnant women in their third trimester of pregnancy from the same term as the control group. Serum 25-hydroxyvitamin D (25-OH-D) levels were measured by electrochemical immunoassay, and the serum VEGF levels were measured by enzyme-linked immunosorbent assay.  Results  Serum 25-OH-D [(73.42±6.71) nmol/L] and VEGF [(412.31±35.24) pg/mL] in the study group were lower than in the control group [(94.78±5.25) nmol/L, (536.21±26.23) pg/mL, P < 0.05]. Serum 25-OH-D [(69.20±5.96) nmol/L] and VEGF [(394.70±32.17) pg/mL] were lower in the FGR group than in the non-FGR group [(82.97±7.28) nmol/L, (452.17±27.49) pg/mL, P < 0.05]. Pearson analysis showed that 25-OH-D and VEGF were negatively correlated with pre-eclampsia and FGR (P < 0.05). In predicting pre-eclampsia and FGR, the sensitivity of 25-OH-D were 83.30% and 76.29%, and the specificity were 77.43% and 64.19%; VEGF had a sensitivity of 80.13% and 68.08%, and a specificity of 68.92% and 56.24%. 25-OH-D and VEGF were independent risk factors for pre-eclampsia and FGR.  Conclusion  The decrease in serum 25-OH-D and VEGF levels in patients with pre-eclampsia and FGR in the third trimester of pregnancy is negatively correlated with the occurrence of pre-eclampsia and FGR and is a risk factor for pre-eclampsia and FGR.
Risk factors for epileptic seizures after febrile seizures in children and construction of a nomogram prediction model
LI Qingfeng, LIU Huan, DONG Gaiqin
2024, 22(1): 86-88. doi: 10.16766/j.cnki.issn.1674-4152.003337
818 20
Abstract:
  Objective  To analyze the risk factors for epileptic seizures in children after febrile seizures and to develop an individual nomograph model to predict epileptic seizures.  Methods  A total of 296 children with febrile seizures in the Department of Pediatrics, Affiliated Hospital of Yangzhou University from September 2019 to October 2022 were selected as study subjects, the patients were divided into epileptic group (54 cases) and nonepileptic group (242 cases) according to whether they had epileptic seizure after the day of seizure. The factors influencing epileptic seizures in children after febrile seizure were determined by single-factor and multiple-factor logistic regression analyses, a nomogram model was constructed using the R language software package to predict seizures after febrile seizure in children, and a calibration curve and ROC curve were drawn to evaluate the predictive ability of the nomogram model.  Results  The proportions of patients with the age of first seizure between 3 months and 1 year, number of first seizures ≥ 4 times, complex febrile seizures, abnormal electroencephalogram (EEG) and family history of epilepsy in the epileptic group were significantly higher than those in the nonepileptic group (P < 0.05). Age of first seizure between 3 months and 1 year (OR=3.425, P < 0.05), number of first seizures ≥ 4 times (OR=2.974, P < 0.05), complex febrile seizures (OR=4.621, P < 0.05), abnormal EEG (OR=2.836, P < 0.05) and family history of epilepsy (OR=5.572, P < 0.05) were all independent risk factors for epileptic seizure after febrile seizure in children. The calibration curve was close to the ideal curve, and the predictive value of the nomogram model for predicting epileptic seizures after febrile seizure in children was basically in agreement with the actual value. The area under the ROC curve was 0.896 (95% CI: 0.851-0.940), indicating moderate predictive efficiency.  Conclusion  The prediction model based on multifactor logistic regression analysis in this study can better predict seizures after childhood febrile seizures, and has some guidance on prevention and treatment of seizures.
Effect of moxibustion therapy on gastrointestinal dysfunction in patients with uremia
WANG Yifeng, YANG Meixia, CAI Hongzhu, LIU Kun, YU Chunli, FEI Xiuli, YAO Weiguo
2024, 22(1): 89-92. doi: 10.16766/j.cnki.issn.1674-4152.003338
1007 11
Abstract:
  Objective  To observe the effect of moxibustion therapy on the level of inflammatory factors and the traditional Chinese medicine (TCM) syndrome scores and clinical efficacy on gastrointestinal dysfunction in patients with uremia.  Methods  Selected 72 cases of gastrointestinal dysfunction in patients with uremia in Putuo Hospital of Shanghai University of Traditional Chinese Medicine and Jinshan District Central Hospital Affiliated to Shanghai University of Medicine & Health Sciences from May 2021 to January 2022. The patients were divided into a moxibustion group (n=36) and a control group (n=36) by randomized numerical table method. The control group received basic treatment(continuous peritoneal dialysis, antihypertensive therapy, control of blood glucose, support nutritional intake, inhibition of the secretion of stomach acid, improvement of gastrointestinal motility, and other symptomatic treatment). The moxibustion group was supplemented by moxibustion at Zusanli and Sanyin jiao acupoint on the based on the control group. Safety indicators, serum tests for inflammatory factors (CRP, TNF-α, IL-6), and TCM symptomatic efficacy results were collected from patients before and after 1 week of treatment.  Results  Three cases were dislodged during the observation period (2 cases were transferred to hemodialysis treatment and 1 case withdrew), and 69 cases were completed (35 cases in the control group and 34 cases in the moxibustion group). The effective rate of treating gastrointestinal dysfunction in uremia was significantly higher than that of the control group (P < 0.05). The serum CRP, TNF-α, and IL-6 in the moxibustion group and the control group were lower than those before treatment, and the moxibustion group were lower than the cotrol group (P < 0.01). The total effective rate of the treatment of the TCM syndrome in the moxibustion group was (88.24%, 30/34), which was significantly higher than that in the control group (65.71%, 23/35, χ2=4.911, P=0.027).  Conclusion  Moxibustion therapy can significantly reduce the levels of inflammatory factors IL-6, TNF-α, and CRP on gastrointestinal dysfunction in patients with uremia, improves the efficiency of clinical treatment, and has a favorable safety profile.
Analysis of potential irrational drug use and training needs of family doctors in the diagnosis and treatment of patients with multiple chronic diseases
HUANG Qian, XU Xin, SHAO Jie, ZHANG Fang, ZHU Min, ZHOU Lulu, ZHANG Shengbing, HUANG Jiaoling, LIU Wei
2024, 22(1): 93-96. doi: 10.16766/j.cnki.issn.1674-4152.003339
912 14
Abstract:
  Objective  To investigate the potential irrational drug use among community general practitioners in patients with multimorbidity diseases, and explore improvement strategies.  Methods  Twenty-one field research questionnaires of community potentially inappropriate medications (PIM) project were tested in the previous study of this project group. A total of 1 500 prescriptions were collected from 236 general practitioners on duty at 47 community health service centers from December 2021 to January 2022 in Pudong New Area, Shanghai using mechanical sampling method, and an online questionnaire survey was conducted.  Results  The 21 items with the highest frequency of PIM were "Digoxin for heart failure patients with normal ventricular systolic function", "ankle edema dependent on clinical manifestations of non-heart failure treated with loop Diuretic", etc. The difference analysis was made on the subjective frequency of PIM items, the subjective rationality judgment of general practitioners, and the actual objective frequency in prescriptions. The rank sum test suggested that there was a statistically significant difference between the subjective rationality judgment and objective occurrence frequency of 21 potentially irrational drug use items (P < 0.05); Compared with the subjective frequency judgment and subjective rationality judgment of 21 potential irrational drug use items, there was no significant difference between the two items except for the item "Nifedipine regular release dosage form as antihypertensive drug" (P > 0.05), and the other items had significant differences (P < 0.01); Linear regression analysis was conducted using the daily occurrence frequency of 21 PIMs as the dependent variable and 5 factors such as professional title and education as independent variables. The results showed that each factor had no significant impact on the daily occurrence frequency of PIMs (P > 0.05).  Conclusion  Currently, family doctors lack subjective understanding of the potential irrational use of medication in patients with multiple chronic diseases, and it is relatively common. Therefore, unified training and guidance should be carried out.
Investigation on the current state of oral health literacy and the influencing factors among residents in Fuyang city
YANG Jingjing, LIAO Shengkai
2024, 22(1): 97-100. doi: 10.16766/j.cnki.issn.1674-4152.003340
710 13
Abstract:
  Objective  To investigate the current situation of oral health literacy of residents in Fuyang City and explore its influencing factors, so as to provide scientific basis and suggestions for formulating oral health promotion programmes and improving the oral health level of residents.  Methods  From April to June 2021, 1 550 residents in Fuyang City were selected by multi-stage stratified equal-volume random sampling to conduct oral health questionnaire survey, and the scores of residents' oral health knowledge, attitude and practice were statistically analyzed, and relevant influencing factors were analysed by logistic regression.  Results  The median scores of oral health knowledge (K), attitude (A), practice (P) and KAP of residents in Fuyang city were 20.00 (14.00, 24.00) points, 15.00 (11.00, 16.00) points, 9.00 (7.00, 11.00) points and 44.00 (35.00, 49.00) points, respectively; the pass rates were 30.83%, 23.67%, 57.00% and 27.35%. The oral health knowledge, attitude and KAP scores of women were slightly higher than those of men (P < 0.05); the oral health knowledge, attitude and KAP scores of urban residents were significantly higher than those of rural residents (P < 0.05); the oral health practices and KAP scores of residents who had received oral health education, professional health advice and regular oral health check-ups were significantly higher than those who had not (P < 0.05). The results of logistic regression analysis showed that age, education level, occupation and annual household income were the factors influencing KAP scores (P < 0.05).  Conclusion  The oral health literacy of Fuyang residents needs to be improved. We should expand the channels of oral health education, raise the importance of oral hygiene among residents, cultivate good behavioural habits, and comprehensively improve the oral health level of residents.
Effect of cognitive adaptation training on cognitive function and social function of schizophrenia patients
LI Bixia, MA Lingya, YU Xiaoding
2024, 22(1): 101-104. doi: 10.16766/j.cnki.issn.1674-4152.003341
889 14
Abstract:
  Objective  To analyze the nursing effect of cognitive adaptation training on patients with schizophrenia, as well as its impact on indicators such as cognitive function and social function.  Methods  Using convenient sampling method, 166 patients with schizophrenia admitted to Shaoxing Seventh People's Hospital from October 2019 to June 2023 were chosen as the research object, and they were randomly split into control group and observation group, with 83 patients in each group. Patients in the control group were given routine nursing and rehabilitation training, while patients in the observation group were given cognitive adaptation training on the basis of the control group. The mental symptoms, cognitive function and social function of the two teams were compared before and after intervention, and the medication compliance of the two groups was counted.  Results  After the intervention, the positive and negative symptom scale (PANSS) of the two groups decreased, and the scores and total scores of each dimension in the observation group were obviously lower than those in the control group (P < 0.05). After the intervention, the scores of MATRICS consensus cognitive battery (MCCB) of patients in both groups were improved, and the observation group scored (55.71±3.82) points were obviously higher than that in the control groups [(53.21±4.16) points, P < 0.05]. After the intervention, the patients' global assessment of function (GAF) and personal and social performance scale (PSP) in both groups were improved, but the scores of each scale in the observation group were (75.43±5.83) points and (63.35±4.63) points, respectively, which were higher than those in the control groups [(68.92±6.90) points and (58.91±5.39) points, P < 0.05]. The medication compliance of the observation group was higher than that of the control group (P < 0.05).  Conclusion  Cognitive adaptation training can relieve the symptoms of schizophrenia patients on the basis of routine treatment and nursing, improve their cognitive and social functions, and effectively improve their medication compliance, which is worthy of clinical application.
Application value of placenta three-dimensional color power Doppler vascular ultrasound imaging in predicting fetal growth restriction in early pregnancy
ZHU Ling, MEI Lina, SHAO Bingxin
2024, 22(1): 105-107. doi: 10.16766/j.cnki.issn.1674-4152.003342
727 9
Abstract:
  Objective  The placental three-dimensional color power angiographic (3D-CPA) was used to detect the placental three-dimensional power Doppler index of early pregnant women, and its clinical value in predicting fetal growth restriction (FGR) was analyzed.  Methods  From January 2022 to January 2023, 300 pregnant women who underwent fetal structure screening in Huzhou Maternal and Child Health Hospital were selected as the research objects. Fetuses diagnosed as FGR after delivery were included in the study group (n=150) and normal fetuses were included in the control group (n=150). The blood flow index (FI), vascularization index (VI), vascularization-flow index (VFI) and pregnancy outcome were compared between the two groups, and a multivariate logistic regression analysis model was constructed with statistically significant indicators, and the ROC curve was drawn to analyze the value of related indicators in predicting FGR.  Results  The incidence of premature delivery, cesarean section and fetal distress in the study group were significantly higher than those in the control group, while the FI, VI and VFI were lower than those in the control group, with statistical significance (P < 0.05). Multivariate logistic regression model analysis showed that FI (OR=0.919), VI (OR=0.860) and VFI (OR=0.703) were the influencing factors of FGR (P < 0.05). The ROC curve showed that the AUC of FI, VI and VFI were 0.653, 0.702 and 0.802, respectively.  Conclusion  Compared with normal fetal growth and development, placental blood perfusion with FGR is weakened, and the incidence of adverse pregnancy outcomes such as premature delivery, cesarean section and fetal distress is increased. 3D-CPA in early pregnancy has important predictive value for FGR, and can be used as an auxiliary examination method for FGR diagnosis.
The value of quantitative electroencephalography in assessing collateral circulation and prognosis in middle cerebral artery occlusive cerebral infarction
ZHU Yingbiao, GUAN Changrong, LYU Jin, CHEN Weikang, LI Jie, LAN Likang
2024, 22(1): 108-111. doi: 10.16766/j.cnki.issn.1674-4152.003343
821 12
Abstract:
  Objective  To analyze the changes of electroencephalogram (EEG) indices in patients with cerebral infarction and to explore the value of quantitative EEG on collateral circulation and prognosis of middle cerebral artery occlusive cerebral infarction.  Methods  Seventy-eight patients with imaging-confirmed middle cerebral artery occlusive stroke who were seen at the Department of Neurology, Lishui People's Hospital between June 2020 and December 2022 were selected. EEG, multitemporal CTA (mCTA), and NIHSS score were completed within 72 hours of onset. MBI scores were completed 3 months after onset. Collateral circulation was assessed using the mCTA ASITN/SIR-based collateral circulation assessment system. Correlation of EEG indices with mCTA ASITN/SIR-based collateral circulation scores, NIHSS scores, and MBI scores was assessed by Pearson correlation analysis.  Results  The EEG indices DAR, DTABR and pdBSI were negatively correlated with ASITN/SIR collateral circulation scores (r=-0.734, -0.747, -0.759; P < 0.01), MBI scores (r=-0.802, -0.810, -0.853; P < 0.01) and positively correlated with NIHSS scores (r=0.876, 0.875, 0.813; P < 0.01). The EEG indices DAR (t=6.374, P < 0.001), DTABR (t=6.575, P < 0.001) and pdBSI (t=9.171, P < 0.001) were higher in the poor prognosis group than in the good prognosis group. ROC curve analysis showed that the EEG indices DAR, DTABR and pdBSI all had high predictive value for the risk of patients developing adverse outcomes in patients (AUC>0.87).  Conclusion  Quantitative EEG can effectively assess the severity of middle cerebral artery occlusive stroke and collateral circulation, and also has a good predictive value for 3-month neurological prognosis.
Research progress and reflections on the management of postoperative patients with gastrointestinal neoplasms
YANG Sen, GE Xuhua, MA Le, JIN Hua, ZHAO Huaxin, BAI Zhaohui, YU Dehua
2024, 22(1): 112-116. doi: 10.16766/j.cnki.issn.1674-4152.003344
1434 30
Abstract:
The management of postoperative patients with gastrointestinal neoplasms has always been an important hotspot in clinical care. During postoperative recovery, patients may experience a variety of complications, such as infection, bleeding, bowel obstruction, etc. The management of these complications has become a key aspect of postoperative recovery. In addition to the management of complications, nutritional support and dietary management are also important aspects of postoperative patient recovery. As gastrointestinal neoplasm surgery involves partial or total resection of the digestive system, patients' nutritional absorption and dietary intake will be affected. Rehabilitation and functional recovery of postoperative patients are also at the forefront of postoperative management. Surgery for a gastrointestinal neoplasm will have a greater impact on the patient's body, such as affecting digestive function, motor ability, etc. Therefore, the patient's rehabilitation and functional recovery will take longer. During this process, doctors must provide patients with personalized rehabilitation plans, appropriate medication and psychological counselling, etc. to help patients gradually return to normal life. Although research into the management of postoperative patients with gastrointestinal neoplasms has made some progress, it still faces many challenges. For example, unbalanced distribution of medical resources, lack of standardized management mode and lack of patient self-management, which will prevent patients from receiving timely and effective treatment and management, leading to deterioration or complications. In conclusion, the management of postoperative patients with gastrointestinal neoplasms requires comprehensive management and support in many aspects. In the future, it is necessary to further strengthen the development of research related to the management of postoperative patients with gastrointestinal neoplasms and to explore better management methods and approaches that will hopefully improve the rehabilitation outcomes, enhance quality of life, and reduce the incidence of complications in postoperative patients.
Research progress of motor imagery therapy in motor function rehabilitation after stroke
LIN Zhiqiang, WANG Anni, GAO Run, LIU Li
2024, 22(1): 117-120. doi: 10.16766/j.cnki.issn.1674-4152.003345
1431 43
Abstract:
As a chronic non-communicable disease, stroke poses a serious threat to the health of Chinese people, and has five major characteristics: high prevalence, high disability, high mortality, high recurrence, and high economic pressure. According to the global burden of disease (GBD) study, the number of people suffering from stroke in China is the highest in the world, and stroke has already become the first cause of disability and death. Strokes cause a variety of functional disorders, such as motor, speech, and swallowing disorders, among which motor dysfunction is the most common. In recent years, more and more therapeutic methods have been applied in practice, and relevant data suggest that early intervention in stroke rehabilitation is needed, and early rehabilitation has been shown to improve the functional prognosis of stroke patients. In early rehabilitation, motor imagery (MI) therapy, as a new and innovative therapeutic modality, has been shown to play a positive role in the rehabilitation of stroke patients due to its less restrictive implementation, simple operation, and economic convenience. However, the current mainstream explanatory model of MI still has a large ambiguity about its specific neurological mechanism of action, especially at the molecular and cellular levels. In addition, pure motor imagery therapy is mainly applied to ultra-early and early post-stroke rehabilitation with limited therapeutic effects, but with the integration and deepening of MI with second-generation embodied cognition theories in psychology, new embodied motor imagery therapies have begun to be gradually compelling. Therefore, it is very necessary to sort out, integrate and explore MI. In this paper, we will elaborate the research progress of motor imagery therapy in post-stroke motor function rehabilitation by combining the relevant studies in recent years, with a view to providing certain reference value for the depth of research and even the solution of the relevant problems in the future.
Discussion on the mechanism of intestinal flora participating in the pathogenesis of anal fistula by inducing EMT
YE Qianqian, LIU Yicheng, LUO Chunsheng, XU Jin, WANG Qingming
2024, 22(1): 121-125. doi: 10.16766/j.cnki.issn.1674-4152.003346
1159 18
Abstract:
Anal fistula is a common and frequently-occurring disease in anorectal diseases, with perianal pus, pain, and itching as the main symptoms, and young men as the main patients. At present, the pathogenesis of anal fistula is still unclear, and the main treatment is surgery. The prognosis of surgery is closely related to the surgeon's grasp of the internal opening and the protection of the sphincter. In recent years, the study of intestinal flora has become a hot topic, and its role in various diseases has been gradually confirmed. Studies have shown that changes in the bacterial flora and disturbance of the intestinal microenvironment are involved in the occurrence of anal fistulas, which are specifically manifested in the increase in the abundance and diversity of bacterial flora and the infection of enterogenic bacteria. Epithelial-mesenchymal transition (EMT) is an important phenotypic change in diseases such as cancer. With the deepening of research, it has been proven to be involved in the occurrence and development of anal fistulas, which is especially common in Crohn's disease. Based on the anatomical characteristics and mainstream pathogenesis of anal fistula, this article summarizes the correlation between intestinal flora-EMT-anal fistula by sorting out relevant domestic and foreign researches, from the perspective of intestinal flora and anal fistula, intestinal flora and EMT, and expounds the pathogenesis of anal fistula from three aspects: intestinal flora and anal fistula, intestinal flora and EMT, and EMT and anal fistula. It is concluded that the formation of anal fistula may be due to changes in intestinal flora that affect the homeostasis of the intestinal mucosal barrier, thereby inducing the occurrence of EMT and participating in the development of inflammation-induced fibrosis and fistulas. Since there are few studies on EMT and cryptoglandular anal fistula, this mechanism still needs to be further verified in cryptoglandular anal fistula.This mechanism suggests that in the future, we can participate in the prevention and treatment of anal fistula by regulating the intestinal flora of patients, reducing inflammation and intervening in the process of EMT, in order to provide a new way of non-surgical treatment for anal fistula and reduce the pain of diagnosis and treatment of patients.
Clinical study of Xiaoyong Qufu Shengji Decoction combined with thymosin α1 in the treatment of bronchodilation in stable stage of lung Qi deficiency type
ZHOU Minhua, JI Xingzu, CHEN Lingyong
2024, 22(1): 126-129. doi: 10.16766/j.cnki.issn.1674-4152.003347
819 8
Abstract:
  Objective  Based on the traditional Chinese medicine (TCM) theory of "treating the lung close to the temperature", the effect of Xiaoyong Qufu Shengji Decoction combined with thymosin α1 on the stable stage of bronchiectasis was discussed to provide evidence of clinical curative effect.  Methods  From January 2021 to January 2023, 88 patients with lung Qi deficiency type bronchodilation admitted to Lishui Hospital of Traditional Chinese Medicine Affiliated to Zhejiang University of Chinese Medicine were selected and divided into control and study groups of 44 cases each by random number table method. On the basis of conventional symptomatic treatment, the control group was treated with thymosin α1, and the study group was treated with Xiaoyong Qufu Shengji Decoction combined with thymosin α1, all of which were continuously treated and observed for 8 weeks. The TCM syndrome score, lung function [percentage of forced expiratory volume in one second to expected value (FEV1 % pred), ratio of forced expiratory volume in one second to forced vital capacity (FEV1/FVC)], T lymphocyte subsets [CD4+, CD8+, CD4+/CD8+] of the two groups were observed, and the efficacy and adverse reactions of the TCM syndrome were compared.  Results  After treatment, the scores for "cough" and "expectoration" and the total score for TCM syndrome were lower in the study group than in the control group (P < 0.05), and the total efficacy rate for TCM syndrome [90.91% (40/44)] was higher than that in the control group [72.73% (32/44), P < 0.05]. After treatment, FEV1 % pred, FEV1/FVC, CD4+, CD4+/CD8+ in the study group were higher than those in the control group (P < 0.05) and CD8+ were lower than those in the control group (P < 0.05). There was no significant difference in the rate of side effects between groups (P>0.05).  Conclusion  Xiaoyong Qufu Shengji Decoction combined with thymosin α1 can completely relieve the clinical symptoms of bronchodilation of lung Qi deficiency type, improve lung function and immune function, and enhance clinical efficacy and safety.
Clinical efficacy of acupuncture catgut embedding combined with Hushi Guntan decoction in treating polycystic ovary syndrome with phlegm-dampness internal resistance
XU Daofen, HU Xinxin, GAO Chuchu, CHEN Leilei, MA Dazheng, SUN Yun
2024, 22(1): 130-134. doi: 10.16766/j.cnki.issn.1674-4152.003348
763 12
Abstract:
  Objective  The purpose of this study is to analyze the application value of acupuncture and catgut embedding and Hushi Guntan Decoction combined with letrozole in patients with polycystic ovary syndrome with phlegm-dampness internal resistance.  Methods  According to the random number table method, 115 patients with polycystic ovary syndrome with phlegm-dampness internal resistance who were treated in Wenzhou Traditional Chinese Medicine Hospital from October 2021 to October 2022 were divided into two groups. A total of 57 cases in the control group were treated with letrozole, and 58 cases in the treatment group were treated with acupuncture and catgut embedding combined with Hushi Guntan Decoction on the basis of the control group. The levels of sex hormones, glucose and lipid metabolism indexes and polycystic ovarian changes were compared between the two groups.  Results  The levels of LH [(8.76±2.08) U/L] and other sex hormones in the treatment group were lower than those in the control group [(10.28±2.29) U/L, t=3.724, P < 0.05]. Glycolipid metabolism levels such as HbA1c [(4.91±0.91)%] in the treatment group were lower than those in the control group [(5.29±0.87)%, t= 2.289, P < 0.05]. The ovarian volume in the treatment group [(6.52±0.95) cm3] was smaller than that in the control group [(7.66±1.02) cm3, t=6.200, P < 0.05]. The rates of ovulation (86.21%, 50/58) and pregnancy (60.34%, 35/58) in the treatment group were higher than those in the control group [68.42% (39/57), 38.60% (22/57), χ2=5.197, 5.439, P < 0.05].  Conclusion  Acupuncture and catgut embedding combined with Hushi Guntan Decoction can reduce BMI and waist-to-hip ratio, improve the levels of sex hormones, glucose and lipid metabolism and polycystic ovarian changes, restore normal ovulation and increase pregnancy rate.
Analysis of training and practical effectiveness of traditional Chinese medicine (TCM) appropriate technology for primary general practitioners within a medical consortium
LIU Jiancai, ZHENG Hanyin, PAN Hui, YE Linglan, LI Chuanfen
2024, 22(1): 135-139. doi: 10.16766/j.cnki.issn.1674-4152.003349
1009 19
Abstract:
  Objective  To explore and evaluate the effectiveness of the primary general practitioner technology training model based on a medical consortium.  Methods  Totally 108 general practitioners from primary hospitals in Zigong were enrolled for traditional Chinese medicine (TCM) training. Among them, 51 students from the medical consortium of Zigong Traditional Chinese Medicine Hospital in Yantan District were selected as the observation group, while the remaining 57 students were selected as the control group. The observation group followed the medical consortium model, while the control group followed the traditional training class model. After one year, the evaluation was conducted using Kirkpatrick's four-level model, including reaction, learning, behavior and results.  Results  In the reaction layer, the observation group demonstrated a higher total score (40.71±3.79) compared to the control group (37.51±3.42), indicating a significant difference (t=4.609, P < 0.001). In the learning layer, the observation group also achieved a higher total score (72.67±11.69) compared to the control group (67.11±10.28), which was statistically significant (t=2.631, P=0.010). Similarly, in the behavior layer, the observation group obtained a higher total score (34.16±7.85) compared to the control group (30.63±9.98), showing a significant difference (t=2.024, P=0.045). Finally, in the results layer, the observation group had a higher total score (36.16±8.24) compared to the control group (32.33±4.39), which was statistically significant (t=2.960, P=0.004).  Conclusion  The technology training based on a medical consortium has been shown to improve the proficiency of traditional Chinese medicine among primary general practitioners, fostering their learning and medical practices. This training approach offers significant individual, organizational, and radiation benefits.
Analysis of the impact level and influencing factors on the transition of undergraduate nursing students
PAN Qianwen, XU Dong, WANG Xi
2024, 22(1): 140-143. doi: 10.16766/j.cnki.issn.1674-4152.003350
1695 33
Abstract:
  Objective  To investigate the current situation of transition shock of undergraduate nursing students and explore influencing factors: an analyze of challenges in the transformation process to inform targeted intervention programs.  Methods  A total of 256 full-time undergraduate nursing interns from 3 colleges and universities in Anhui Province were selected as research objects by convenient sampling method. The study was conducted from July 2021 to March 2022. The research utilized the theoretical framework of Meleis transition theory and employed a general data questionnaire, transition impact assessment scale for undergraduate nursing interns, and nursing self-concept scale to collect data. The independent sample t-test was used to analyze gender differences, differences based on place of origin, and whether the student was the only child. Variance analysis was used to compare the transformation impact scores, such as reasons for filling out voluntary applications and academic performance in school. The multiple step-up regression method was utilized to analyze the influencing factors of the transformation impact experienced by undergraduate nursing students.  Results  The mean transition impact score for undergraduate nursing students was found to be 48.51±1.71. Additionally, the professional self-concept score was determined to be 82.56±9.77. Statistical analysis showed significant differences in the transformation impact scores based on various factors, including reasons for volunteering, professional satisfaction, pre-job training duration, school concern, and post-graduation career planning (P < 0.05). Furthermore, Pearson correlation analysis demonstrated a negative correlation between the total transformation impact score of undergraduate nursing interns and the total professional self-concept score (r=-0.405, P < 0.01). Multiple stepwise regression analysis identified professional satisfaction, pre-job training duration, the level of school support during the internship, and the professional self-concept of nursing students as significant factors influencing the level of transition impact experienced by undergraduate nursing students (P < 0.05).  Conclusion  The impact level of transition experienced by undergraduate nursing students is moderately high. To effectively manage nursing students and mitigate the impact level of their transition, several measures can be implemented. These include enhancing their professional concept, increasing the level of school support and concern, improving professional satisfaction, and appropriately arranging pre-job training.
Application of reflective teaching combined with NCCBL in pediatric surgical teaching
CHEN Fangfang, ZHANG Yu, WANG Yu, SONG Tao
2024, 22(1): 144-147. doi: 10.16766/j.cnki.issn.1674-4152.003351
756 15
Abstract:
  Objective  To explore the application and effect of reflective teaching combined with negative clinical case-based learning (NCCBL) in pediatric surgery teaching.  Methods  A total of 32 trainees who were trained in the pediatric surgery department in the First Affiliated Hospital of Bengbu Medical University in 2021 were set as a control group and the routine practice teaching method was implemented. In addition, a total of 29 trainees who were trained in the pediatric surgery department in the First Affiliated Hospital of Bengbu Medical University in 2022 were selected as the observation group, and the reflective teaching method combined with NCCBL was adopted. The results of the scientific examination, the recognition of teaching methods, and the assessment of self-ability improvement were compared between the two groups.  Results  The theoretical scores of the observation group and the control group were 89.00 (85.00, 93.00) and 79.59 (75.00, 85.75), respectively, with a statistically significant difference (P < 0.05). The scores of clinical comprehensive quality assessment in the observation group were better than those in the control group (P < 0.05). The observation group had higher self-evaluation of the improvement of learning interest, clinical thinking ability, literature review ability, teamwork ability, and reflective thinking ability than the control group, the differences were statistically significant (P < 0.05). The satisfaction of teaching methods in the observation group was significantly higher than that in the control group (P < 0.05).  Conclusion  In the process of pediatric surgery teaching, we can use reflective teaching combined with NCCBL as a means to break the conventional teaching method, which can fully mobilize the students' learning enthusiasm, improve the teaching quality, to achieve excellence as well as research. As we all know, teaching is learning.
Research hotspot and development trend of cellular burial in atherosclerosis analyzed based on Web of Science
LIAN Yanjie, LIU Zihao, LIU Hongxu, ZHANG Heyi, SHANG Juju, LAI Xiaolei
2024, 22(1): 148-153. doi: 10.16766/j.cnki.issn.1674-4152.003352
695 13
Abstract:
  Objective  To explore the current status, hot spots and dynamic frontiers of research in the field of atherosclerosis (AS) through metric and visualization analysis of the English literature related to AS efferocytosis.  Methods  Using the core collection in Web of Science database as the data source, we analyzed the literature related to AS efferocytosis from the year of library construction to December 1, 2022 by visualization method, analyzed the distribution of countries/regions, institutions, journals and authors with the help of VOSviewer, and drew the keyword visualization map with the help of CiteSpace 6.1.R4 software.  Results  A total of 258 SCI articles were included, and the number of publications showed an increasing trend year by year. High-producing authors Tabas, I A. had the highest number of articles and citations, and the high-producing countries included the United States, China, and Germany, etc. The quality of SCI literature related to AS efferocytosis were high (JCR partition Q1 and Q2), among which the journal "Arteriosclerosis Thrombosis And Vascular Biology" contained the most. "Apoptotic cell", "activation", "expression" were important keywords. "Macrophage", "NLRP3 inflammasome" and "inflammation resolution" were the mutation words in the last three years.  Conclusion  The hotspots of research in this field include apoptotic cells, inflammation, activation, macrophages, phagocytosis, etc. It is predicted that the mechanism of AS efferocytosis, macrophages, and AS treatment strategies will continue to be studied in depth in the future.
APC analysis of the global disease burden of Parkinson's disease from 1990 to 2019
LIU Haoyu, PENG Wenjia, MI Jing, JIA Xianjie, ZHANG Yuyuan
2024, 22(1): 154-157. doi: 10.16766/j.cnki.issn.1674-4152.003353
1147 13
Abstract:
  Objective  Analysis of the trends in the global disease burden of Parkinson's disease from 1990-2019 and to explore the impact of age, period, and cohort on the risk of developing the disease burden of Parkinson's disease.  Methods  By collecting and analyzing the global disease burden of Parkinson's disease from 1990 to 2019, the Joinpoint regression model was used to analyze the trend of the disease burden of Parkinson's disease, and the age-period-cohort model (APC model) was used to analyze the age, period and cohort effects of the disease burden of Parkinson's disease.  Results  The global standard disability-adjusted life years (DALY) rate for Parkinson's disease showed no overall trend from 1990 to 2019 (P>0.05), the standard DALY rate (per 100 000 population) of males and females increased and decreased, respectively. The standard DALY rate of males increased from 102.86 to 106.44, with an annual average increase rate of 0.119% [average annual percentage change (AAPC)=0.119, t=2.559, P=0.010]. The normalized DALY rate (per 100 000 population) in females decreased from 61.61 to 59.91, with an annual average rate of 0.097% (AAPC=-0.097, t=2.565, P=0.010). Results of the APC model showed that the age effect of DALY rate risk of PD increased first and then decreased with increasing age during 1990-2019 (P < 0.05). The period effect increased with the increase of year (P < 0.05). The cohort effect decreased with the progression of the birth cohort (P < 0.05).  Conclusion  From 1990 to 2019, there was no change in the global disease burden of Parkinson's disease, Males showed an upward trend and females showed a downward trend. The risk of disease burden increased first and then decreased with the increase of age, increased with the increase of years, and decreased with the increase of birth cohort. Prevention efforts should be strengthened in special groups such as the elderly. Reducing the future global burden of Parkinson's disease.
Analysis of nutrient supply and satisfaction factors for lunch among students in Jiading District, Shanghai
DONG Yuting, PENG Hui, PENG Qian, BAO Yong
2024, 22(1): 158-162. doi: 10.16766/j.cnki.issn.1674-4152.003354
611 9
Abstract:
  Objective  The purpose of this study is to investigate and analyze the nutrient supply of students' lunch in Jiading District and the satisfaction of primary and secondary school students and parents with school lunch, in order to provide scientific basis for improving the quality of nutritional lunch for primary and secondary school students and improving their nutrition.  Methods  Using a multi-stage stratified cluster random sampling method, a satisfaction survey was conducted on 770 primary and secondary school students from grades 4 to 12 and their parents at a service school randomly selected from each of the 7 school lunch catering enterprises in Jiading District in 2021. A survey and analysis were conducted on the nutrient supply of school lunches provided by catering enterprises using the method of auditing accounts combined with students' lunch recipes.  Results  The satisfaction rate of students with school lunch ranked from high to low as follows: opening time 84.7% (652/770), hot and cold food 76.8% (591/770), quantity 72.1% (555/770), color 71.2% (548/770), aroma 69.5% (535/770), shape 69.2% (533/770), and taste 64.4% (496/770). The satisfaction rate of parents with various factors ranked in descending order from high to low is quantity 92.4% (705/763), meal time 87.5% (668/763), nutrition matching 84.8% (647/763), lunch price 79.6% (607/763), and child weight 62.4% (476/763). The supply of carbohydrates and calcium for school lunches is lower than the recommended value. The supply of protein and fat exceeds the recommended value.  Conclusion  The energy and main nutrients in students' lunch in Jiading District can meet their daily needs, but some energy nutrients do not reach the recommended value. It is suggested to strengthen the nutrition and health education for students, work with parents to guide students to establish the concept of reasonable nutrition and balanced diet, develop good eating habits, and increase the intake of milk and grains, reduce the intake of high-fat foods such as fried foods and promote healthy growth of students.
Effect of nursing intervention based on geriatric comprehensive assessment on quality of life in elderly patients with Parkinson's disease
XIA Xuefen, YANG Suili, LIU Jiongjiong, ZHANG Yang, XU Huiqin
2024, 22(1): 163-167. doi: 10.16766/j.cnki.issn.1674-4152.003355
1446 26
Abstract:
  Objective  The quality of life of older people with Parkinson's disease (PD) is not optimistic and is the focus of clinical nursing research. This study investigated the effect of a nursing intervention based on a nursing intervention based on a comprehensive geriatric assessment (CGA) on their quality of life.  Methods  A total of 120 elderly PD patients admitted to the Department of Neurology, the First Affiliated Hospital of Wenzhou Medical University from August 2021 to August 2022 were selected and divided into control group and observation group, with 60 cases in each group by random number table method. As 2 cases were lost to follow-up in each of the two groups during the study period, statistics and data analysis were performed on 58 cases in each group. The control group received routine care, the observation group received the CGA-based care intervention, and the intervention and observation continued until 6 months after discharge. Activities of daily living (ADL) and the 39-item Parkinson disease questionnaire (PDQ-39) scores were compared between the two groups.  Results  The ADL scores of the observation group were significantly increased at admission, discharge, 1 month and 6 months after discharge (P < 0.05). The ADL scores [(90.17±13.95) points, (91.18±13.05) points] at 1 and 6 months after discharge were significantly higher than those of the control group [(82.16±18.69) points, (79.57±22.19) points] and the difference was statistically significant (P < 0.05). The PDQ-39 scores of both groups at 6 months after discharge were significantly lower than those at admission, and the PDQ-39 scores of the observation group at 6 months after discharge [(29.71±23.97) points] were significantly lower than those of the control group [(45.33±21.84) points], with statistical significance (P < 0.05).  Conclusion  A nursing intervention based on CGA can effectively improve activities of daily living and quality of life in older people with PD, which is worthy of clinical application.
The application of comprehensive management of key risk control in Neurological Intensive Care Unit patients with incontinence-associated dermatitis
YE Kaili, GAO Xiaoxia, YANG Jianjing, YANG Chengya, CHEN Xiaoqing
2024, 22(1): 168-171. doi: 10.16766/j.cnki.issn.1674-4152.003356
727 16
Abstract:
  Objective  To explore the application effect of comprehensive management of key risk control in Neurological Intensive Care Unit patients with incontinence-associated dermatitis (IAD).  Methods  The patients in the Neurological Intensive Care Unit of the First Affiliated Hospital of Wenzhou Medical University from January to December 2021 were taken as the control group, and the inpatients from January to December 2022 were taken as the observation group. The control group implemented routine skin care, and the observation group carried out comprehensive management of key risk control. The incidence of IAD, time of occurrence, duration, severity of IAD, and the qualification rate of skin risk assessment and dynamic renewal of IAD grade assessment were compared between the two groups.  Results  The incidence of IAD was 7.30% (10/137) in the observation group and 25.66% (39/152) in the control group, with a significant difference (P < 0.05). The mean time of IAD in the observation group was (6.72±1.59)d, Which was significantly later than the control group [(4.21±0.81) d, P < 0.05]; the mean duration of (3.45±0.51) d was significantly shorter [(7.67±1.34)d, P < 0.05]; and the severity was less severe (P < 0.05). There were significant differences in skin risk assessment and the dynamic update status of IAD between the two groups (P < 0.05).  Conclusion  The comprehensive management of key risk control can reduce the incidence of IAD, prolong the occurrence time, shorten the duration, and reduce the severity, which is worthy of clinical promotion and application.
Adult common variable immunodeficiency: a case report and literature review
ZHONG Haimei, LING Huaxiang, HUANG Lixia, WANG Hongyan
2024, 22(1): 172-174. doi: 10.16766/j.cnki.issn.1674-4152.003357
970 31
Abstract:
This paper reports a case of adult common variable immunodeficiency (CVID). The patient was a 38-year old man who had been in good health prior to the onset of the disease and had been hospitalized several times over the previous 10 years for pulmonary and other infections. This time, the patient was hospitalized again for a lung infection and was found to have low immunoglobulin levels. After excluding other possible causes of low immunoglobulin, the patient was diagnosed with CVID. The symptoms improved after intravenous immunoglobulin, anti-infective and other treatments. However, there was no significant improvement in immunoglobulin. It is suggested that the patient should be regularly supplemented with intravenous immunoglobulin for a long time after discharge. The relevant literature was also reviewed in this paper.