2025 Vol. 23, No. 12

General Practice Forum
Exploring the theoretical and practical framework of proactive health under the healthy China strategy
BAI Xue, DOU Hongli, WANG Ruixiong, LI Ying, ZHANG Jing
2025, 23(12): 1995-1999. doi: 10.16766/j.cnki.issn.1674-4152.004277
182 38
Abstract:
  Objective  To systematically elucidate the connotation, theoretical basis, and practical value of 'proactive health, ' explore its operational mechanisms and implementation pathways, and provide theoretical support for promoting the profound transformation of the 'Healthy China' strategy from a 'disease-centred' to a 'health-centred' approach.  Methods  A combination of theoretical analysis and framework construction was employed to trace the theoretical origins of proactive health, revealing the theoretical contributions and localized innovations of traditional Chinese medicine's 'preventing disease before it occurs' philosophy, health ecology, behavioral integration theory, and holistic medicine to proactive health. Its internal operational mechanisms were analyzed from three dimensions: individual psychology, social support, and digital technology. Based on the identification of challenges at the individual, service system, and technology application levels, a systematic practical framework was constructed.  Results  The study clearly demonstrated that proactive health was a new paradigm centred on individual agency, supported by technological empowerment, and safeguarded by multi-stakeholder collaboration. It was a key driver for achieving the 'Healthy China' initiative, addressing challenges such as chronic diseases, and leading industrial transformation. Its effective implementation must be preceded by reshaping public health responsibility perceptions, underpinned by a robust multi-stakeholder collaborative service network, driven by the development of precise and efficient intelligent platforms, and grounded in a sustainable policy support environment.  Conclusion  Proactive health is a key variable driving the transformation of China's health governance model. Its implementation is a multi-dimensional, collaborative system engineering project. Only by organically integrating ideological guidance, service restructuring, technological empowerment, and policy safeguards can individual health responsibility be effectively connected with the social support system, ultimately empowering all citizens to become the primary stewards of their own health and laying a solid foundation for achieving the long-term goal of 'Healthy China'.
Guidelines and Consensus
Chinese expert consensus on community and home-based rehabilitation for lumbar intervertebral disc protrusion
Professional Committee of Science Popularization of Chinese Association of Rehabilitation Medicine
2025, 23(12): 2000-2007. doi: 10.16766/j.cnki.issn.1674-4152.004278
647 39
Abstract:
The continuous rehabilitation of lumbar intervertebral disc protrusion is of crucial significance to patients' long-term prognosis. Relying solely on hospital treatment during the acute phase is often insufficient to meet their long-term rehabilitation needs; therefore, standardized guidance for community and home-based rehabilitation is urgently required. This consensus provides a systematic elaboration on this issue. In terms of community rehabilitation, this consensus focuses on the construction of collaborative networks and service systems, clarifies the indicators for patient referral, establishes a multi-dimensional assessment system, and proposes corresponding pain management strategies and phased exercise programs-all aimed at promoting the orderly and efficient implementation of community rehabilitation work. For home-based rehabilitation, the consensus specifies the transition standards and collaborative management models for transferring patients from the community to home settings, puts forward recurrence prevention measures and suitable types of exercises, establishes monitoring and feedback mechanisms, defines indicators for emergency medical treatment and corresponding response methods, and provides recommendations for home environment modification. These measures are designed to ensure the safety and effectiveness of the home-based rehabilitation process. This consensus is intended to provide practical guidance for primary healthcare providers, standardize the management of community and home-based rehabilitation for lumbar intervertebral disc protrusion, thereby improving rehabilitation quality, reducing disease recurrence rates, and further enhancing patients' quality of life.
Interpretation of Guidelines
Interpretation of the 2025 AHA/ACC hypertension guidelines: new perspectives on hypertension prevention and management
NIE Chaoqun, FENG Yingqing, ZHOU Zhongjiang
2025, 23(12): 2008-2012. doi: 10.16766/j.cnki.issn.1674-4152.004279
638 31
Abstract:
Hypertension, the leading risk factor for cardiovascular diseases worldwide, has shown a continuously expanding prevalence and a distinct younger trend, emerging as a major public health challenge. Scientific optimization of its prevention and treatment strategies is crucial for significantly reducing the morbidity and mortality burdens of stroke, coronary heart disease, and chronic kidney disease. In August 2025, the American Heart Association (AHA) and the American College of Cardiology (ACC) jointly released the first major update to the guidelines for the prevention, detection, evaluation, and management of high blood pressure in adults since 2017. This update is based on new evidence from recent evidence-based medicine and addresses the emerging clinical needs amid the global hypertension epidemic. This article systematically summarizes the core updated content of the guideline, compares the key differences between this version and the 2017 edition from five dimensions-hypertension definition and classification, risk stratification tools, timing of treatment initiation, pharmacological selection strategies, and blood pressure control targets-and interprets the rationale behind the updates in light of evidence-based data. Additionally, targeting general practice settings, it proposes scientific and operable recommendations for guideline application, providing practical references for clinicians to accurately implement the guideline and achieve individualized hypertension management, thereby facilitating the further improvement of hypertension prevention and treatment outcomes.
Special Topic/Stroke
Predictive value of serum TSPO, BDNF, and TNF-α levels for post-stroke depression in patients with acute ischemic stroke
DU Jia, TIAN Xiaojun, WANG Congcong, JI Jiyu
2025, 23(12): 2013-2016. doi: 10.16766/j.cnki.issn.1674-4152.004280
91 5
Abstract:
  Objective  To investigate the predictive value of serum translocator protein 18 kDa (TSPO), brain-derived neurotrophic factor (BDNF), and tumor necrosis factor-α (TNF-α) levels for post-stroke depression (PSD) in patients with acute ischemic stroke (AIS).  Methods  A total of 121 AIS patients admitted to the First Affiliated Hospital of Xinxiang Medical University from January 2022 to January 2024 were enrolled in this study. Based on the 17-item Hamilton depression rating scale assessment at 3 months after discharge, patients were divided into PSD group (n=38) and non-PSD group (n=83). Demographic data, clinical characteristics, and serum levels of TSPO, BDNF, and TNF-α were compared between the two groups. Logistic regression analysis was used to identify independent risk factors for PSD, and a receiver operating characteristic (ROC) curve was constructed to evaluate the predictive value of combined detection of serum TSPO, BDNF, and TNF-α levels for PSD.  Results  Serum TSPO and TNF-α levels were significantly higher in the PSD group than those in the non-PSD group (P < 0.05), while BDNF levels were significantly lower in the PSD group (P < 0.05). Logistic regression analysis showed that elevated serum TSPO (OR=2.065, 95% CI: 1.052-4.055, P < 0.05) and TNF-α (OR=1.374, 95% CI: 1.031-1.832, P < 0.05) levels were risk factors for PSD, while elevated BDNF level (OR=0.696, 95% CI: 0.521-0.929, P < 0.05) was a protective factor. ROC curve analysis showed that the combined detection of serum TSPO, BDNF, and TNF-α levels had a good predictive value for PSD, with an area under the curve of 0.797.  Conclusion  Serum TSPO, BDNF, and TNF-α levels are closely related to the development of PSD in patients with AIS. The combined detection of these three biomarkers may be helpful for early identification of high-risk populations for PSD, providing a basis for clinical prevention and treatment of PSD.
Causal association between iron homeostasis and functional outcome after ischemic stroke: a two-sample univariate and multivariate Mendelian randomization study
CHEN Shixuan, CHEN Zhenzhen, CHEN Wenci, JI Jing
2025, 23(12): 2017-2021. doi: 10.16766/j.cnki.issn.1674-4152.004281
97 7
Abstract:
  Objective  Observational studies suggest an association between serum iron homeostasis and functional outcome after ischemic stroke, but this association is susceptible to confounders and reverse causality. This study utilizes Mendelian randomization (MR) to minimize confounders and assess whether an imbalance in iron homeostasis is causally associated with poor functional outcome after ischemic stroke.  Methods  GWAS data related to iron homeostasis, including serum iron, ferritin, total iron-binding capacity, transferrin saturation, and liver iron content, were selected as exposure variables. GWAS data on functional outcome at three months after ischemic stroke were used as outcome variables. Firstly, univariable MR (UVMR) analysis was conducted, with the random effects inverse variance weighting (IVW) serving as the primary analysis method, and MR-Egger and weighted median (WME) methods as supplementary analyses. Cochran's Q and Rucker's Q tests were employed to assess heterogeneity, while the MR-Egger intercept was used to test for horizontal pleiotropy. Additionally, multivariable MR (MVMR) analysis was performed to evaluate the causal effect after adjusting for BMI.  Results  A total of 117 single nucleotide polymorphisms (SNPs) were ultimately selected as instrumental variables for iron homeostasis, with all SNPs having an F-value greater than 10. The UVMR-IVW results indicated a causal association between serum iron, transferrin saturation, liver iron content, and poor functional outcome at three months after ischemic stroke (P < 0.05). The MVMR-IVW results, adjusted for BMI, showed that serum iron and transferrin saturation maintained significant causal associations with poor functional outcome at three months after ischemic stroke (P < 0.05). All results from MR-Egger and WME methods were consistent with IVW, and no evidence of heterogeneity or horizontal pleiotropy was found.  Conclusion  There is a significant causal association between serum iron overload and poor functional outcome at three months after ischemic stroke.
Application of chain management model for aspiration pneumonia prevention in post-ischemic stroke populations
PENG Huahua, WANG Yongsheng, WANG Dexiu
2025, 23(12): 2022-2025. doi: 10.16766/j.cnki.issn.1674-4152.004282
84 4
Abstract:
  Objective  Aspiration pneumonia (AP) is a common complication in patients with ischemic stroke (IS), which not only prolongs hospital stays but also increases the risk of mortality. Its prevention necessitates a systematic solution. Chain management represents a systematic, continuous, and multidisciplinary collaborative management model. This study aims to explore the application value of the chain management model in preventing AP in IS patients.  Methods  A total of 150 patients with IS admitted to Wenzhou Hospital of Integrated Traditional Chinese and Western Medicine between January 2022 and January 2024 were enrolled and randomly divided into an observation group and a baseline group using the random number table method, with 75 cases in each group. The baseline group received conventional management, while the observation group adopted a chain management model. The occurrence of AP, the score of ischemic stroke-associated pneumonia (AIS-APS), the score of the gugging swallowing screening scale (GUSS), the score of the malnutrition universal screening tool (MUST), the score of the oral health assessment tool (OHAT), and the satisfaction degree of the two groups of IS patients were compared.  Results  The incidence of AP in the observation group was lower than that in the baseline group [12.00% (9/75) vs. 32.00% (24/75), χ2=8.741, P=0.003]. The severity of AP in the observation group was also lower than that in the baseline group (P=0.018). The incidence of AP in IS patients aged ≥65 years was higher than that in IS patients aged < 65 years. Additionally, as the severity of dysphagia increased among IS patients, the incidence of AP exhibited an upward trend (P < 0.05). After the intervention, the observation group had significantly lower AIS-APS, MUST, and OHAT scores, along with a higher GUSS score compared to the baseline group (P < 0.05). Patient satisfaction was notably higher in the observation group than in the baseline group [97.33% (73/75) vs. 85.33% (64/75), χ2=6.822, P=0.009].  Conclusion  The application of the chain management model in patients with IS can reduce the incidence and severity of AP, and has a high patient's satisfaction.
General Practice Research
Research on risk factors for mortality and a predictive model for severe fever with thrombocytopenia syndrome
YANG Yun, WANG Xiaofang, MEI Qing, YAN Xianliang
2025, 23(12): 2026-2029. doi: 10.16766/j.cnki.issn.1674-4152.004283
100 5
Abstract:
  Objective  To investigate risk factors associated with mortality in patients with severe fever with thrombocytopenia syndrome (SFTS) and to establish a mortality risk prediction model, with the aim of providing evidence for therapeutic decision-making and prognosis judgement of SFTS.  Methods  A retrospective analysis was conducted on 30 patients with severe SFTS admitted to the Department of Infectious Disease of the First Affiliated Hospital of USTC (Anhui Provincial Hospital) from January to December 2023. The patients were divided into a survival group (n=15) and the death group (n=15) based on their outcomes. Clinical characteristics and laboratory indicators from the two groups were compared.  Results  Seven variables were selected for further analysis: fever duration ≥ 7 days (a), coma (b), activated partial thromboplastin time (APTT, c), aspartate aminotransferase (AST, d), creatine kinase (CK, e), interleukin-6 (IL-6, f), and monocyte count (MONO, g). The Fisher discriminant analysis was used to establish a predictive death (X) function as follows: X=-23.731+2.66a+18.146b+0.425c-0.009d+0.002f+0.650g, and a predicted survival (Y) function: Y=-16.245-4.594a-0.416b+0.491c-0.015d-0.001e+0.002f+16.057g. The discriminant function values showed that the mortality (X) prediction model had an accuracy of 93.3%, the survival (Y) probability model had an accuracy of 100.0%, and the overall prediction accuracy was 96.7%.  Conclusion  Severe SFTS is associated with high mortality. The mortality prediction model based on fever duration≥7 days, coma, APTT, AST, CK, IL-6, and MONO demonstrates high accuracy and possesses significant predictive value.
Observations on the efficacy and safety of celecoxib combined with diosmin in the treatment of moderate to severe knee osteoarthritis
ZHANG Handong, WANG Gongteng, ZHANG Zhenbin, LI Guangxing, WANG Xufeng, ZHANG Wenqi, SUN Huaqiang, LI Shufeng
2025, 23(12): 2030-2032. doi: 10.16766/j.cnki.issn.1674-4152.004284
198 3
Abstract:
  Objective  To evaluate the clinical efficacy and safety of celecoxib combined with diosmin in the treatment of moderate to severe knee osteoarthritis (KOA) and to explore an optimized therapeutic strategy.  Methods  This prospective randomized controlled study included 86 KOA patients admitted to the First Affiliated Hospital of Shandong First Medical University (Shandong Provincial Qianfoshan Hospital) from June to July 2024. Patients were assigned to the celecoxib group (control) or the celecoxib combined with diosmin group (observation) according to random number table method, with 43 cases in each group. The treatment duration was 8 weeks. The Western Ontario and McMaster Universities osteoarthritis index (WOMAC) scores, knee joint swelling scores and visual analogue scale (VAS) scores of the two groups of patients before taking the medicine, at 4 and 8 weeks after taking the medicine, and at 4, 8 and 12 weeks after discontinuation of treatment were evaluated. The adverse reactions were recorded.  Results  At 4 and 8 weeks post-treatment and 4, 8, and 12 weeks after discontinuation, the observation group showed significantly lower WOMAC scores [8 weeks after taking the medicine: 15 (13, 19) vs. 25 (19, 33), P < 0.001], knee swelling scores [8 weeks after taking the medicine: 1 (1, 1) vs. 1 (1, 2), P < 0.001], and VAS scores [8 weeks after taking the medicine: 3 (2, 3) vs. 3 (3, 4), P < 0.001] compared to the control group. The incidence of adverse reactions was lower in the observation group than in the control group [9.3% (4/43) vs. 37.2% (16/43), P=0.002].  Conclusion  The combination of celecoxib and diosmin provides superior efficacy in reducing pain and swelling in moderate to severe KOA compared to celecoxib alone, with a lower incidence of adverse events, making it a valuable clinical treatment option.
The application of negative vacuum stealing drainage technology combined with Badu Shengji Powder in diabetic foot ulcer patients
FAN Bobo, MA Haitao, CAI Gaopo, DAI Xuena, WANG Hanjie, ZHOU Tao
2025, 23(12): 2033-2037. doi: 10.16766/j.cnki.issn.1674-4152.004285
135 5
Abstract:
  Objective  To investigate the effects of negative vacuum sealing drainage (VSD) technology combined with Badu Shengji Powder on wound healing, serum C-reactive protein (CRP), interleukin-18 (IL-18), and glycogen synthase kinase 3β (GSK-3β) levels in patients with diabetic foot ulcer (DFU).  Methods  A total of 118 DFU patients admitted to the department of peripheral vascular, the First Affiliated Hospital of Henan University of Traditional Chinese Medicine, from January 2023 to May 2025, were separated into the observation group (n=59, VSD technology + Badu Shengji Powder) and the control group (n=59, VSD technology). The effects of the combination on wound healing, CRP, IL-18, GSK-3β, and other indices were analyzed.  Results  Wound area, wound depth, granulation growth and wound exudation scores of both groups significantly decreased after treatment, and the above scores in the observation group [(1.14±0.15) points, (1.23±0.15) points, (1.15±0.16) points and (1.21±0.15) points] were significantly lower than the other group [(1.62±0.17) points, (1.64±0.19) points, (1.72±0.19) points and (1.68±0.17) points, F=14.156, 11.278, 114.287, 13.564, all P < 0.001]; After treatment, CRP, white blood cell count (WBC), IL-18, GSK-3β, transforming growth factor (TGF-β1) and endostatin (ES) in the observation group were significantly lower than those in the control group (P < 0.001), while vascular diameter, blood flow velocity, resistance coefficient, vascular endothelial growth factor (VEGF) and basic fibroblast growth factor (bFGF) significantly higher (P < 0.001).  Conclusion  VSD technology combined with Badu Shengji Powder can effectively promote DFU wound healing, regulate IL-18, GSK-3β, and other indicators, improve the hemodynamics of the back of the foot, and promote angiogenesis.
The relationship of RAB24 expression in gastric cancer with clinical prognosis and immune infiltration
YU Liang, YIN Lixia, NIU Minzhu, CHEN Siao, LIU Yike, GUO Yibing, GENG Zhijun
2025, 23(12): 2038-2041. doi: 10.16766/j.cnki.issn.1674-4152.004286
86 4
Abstract:
  Objective  To investigate the expression of RAB24 in the tissues of gastric cancer patients and its relationship with clinical prognosis, and to deeply analyze the role of RAB24 in regulating the immune infiltration of cancer cells.  Methods  A total of 105 patients who underwent radical gastric cancer surgery in First Affiliated Hospital of Bengbu Medical University from February 2013 and March 2018 was included. Immunohistochemical staining methods were used to analyze the expression of RAB24 in gastric cancer and to explore the relationship between it and patient survival. ROC curve, univariate, and multivariate analyses were performed to assess the predictive value of RAB24 for the 5-year postoperative survival rate and to identify risk factors influencing patient survival. GO and GSEA analyses were performed to predict the biological functions of RAB24 in gastric cancer. Bioinformatics online platforms were used to analyze the relationship between levels of RAB24 and immune infiltration as well as immune cells.  Results  High expression of RAB24 in gastric cancer tissue was significantly associated with poor patient prognosis (P < 0.05) and had a good predictive value for prognosis (AUC=0.844, P < 0.05). The results of Cox regression analysis showed that high expression of RAB24, CEA≥5 μg/L, CA199≥37 kU/L, T3-4 stage, and N2-3 stage were independent risk factors affecting the 5-year survival rate of gastric cancer patients (P < 0.05). Gene enrichment analysis suggested that RAB24 may participate in immune infiltration processes. The results of immune infiltration correlation analysis showed that the expression level of RAB24 was positively correlated with immune infiltration (P < 0.05), while the results of immune cell correlation analysis showed that the expression level of RAB24 was positively correlated with macrophages, myeloid derived suppressor cells, and Th17 cells (P < 0.05), and negatively correlated with effector memory CD4+T cells, Th2 cells, and memory B cells (P < 0.05).  Conclusion  The high expression of RAB24 in gastric cancer may affect the long-term prognosis of gastric cancer patients by influencing the infiltration of immune cells.
Construction of risk model of esophageal and gastric varices rebleeding in cirrhosis based on 2D-SWE
GUO Li, LOU Junge, YAN Yuanyuan
2025, 23(12): 2042-2045. doi: 10.16766/j.cnki.issn.1674-4152.004287
83 4
Abstract:
  Objective  The pathophysiological mechanism of esophageal and gastric varices (EGV) rebleeding in liver cirrhosis is complex, and the mortality rate is high. Identifying the literature factors of EGV rebleeding is important to reduce the mortality rate. Two-dimensional shear wave elastography (2D-SWE) can evaluate the degree of liver hardness and pathological changes in a non-invasive and quantitative manner. This study discusses the construction of the EGV rebleeding risk model based on 2D-SWE to provide a reference for clinical prevention and treatment.  Methods  A total of 162 patients with EGV with cirrhosis admitted to Zhengzhou Central Hospital Affiliated to Zhengzhou University from January 2020 to December 2022 were selected. According to whether rebleeding occurred, the patients were divided into the no rebleeding group (127 cases) and the rebleeding group (35 cases). The risk factors of EGV rebleeding in patients with cirrhosis were analyzed by Logistic regression. To construct a nomogram prediction model for the EGV rebleeding in cirrhotic patients, and evaluate the prediction efficiency of the nomogram model.  Results  The proportion of Child-pugh grade A liver function, the proportion of mild esophageal and gastric varices and the level of ALB in the group without rebleeding were higher than those in the group with rebleeding (P < 0.05), and the proportion of first ligation, liver hardness and spleen hardness in the group with no rebleeding were lower than those in the group with rebleeding (P < 0.05). Logistic multivariate results showed that Child-Pugh grade of liver function, liver hardness, spleen hardness, and ALB were independent influencing factors for EGV rebleeding in cirrhosis (P < 0.05). A nomogram model for predicting EGV rebleeding in cirrhosis was established according to the logistic multi-factor results, and the model was verified. ROC curve analysis results showed that the C-index of the nomogram model was 0.903 (95% CI: 0.846-0.975), and the measured value of the nomogram model was basically consistent with the predicted value, with high predictive value and good clinical effectiveness.  Conclusion  2D-SWE detection of liver and spleen hardness is a risk factor for EGV rebleeding, and the prediction model based on this nomogram has a good predictive effect on EGV rebleeding.
Value of serum neurofilament light chain and glial fibrillary acidic protein levels in predicting neurological recovery and prognosis in patients with acute cerebral infarction
ZHANG Jianqiang, SHEN Ruile
2025, 23(12): 2046-2049. doi: 10.16766/j.cnki.issn.1674-4152.004288
118 4
Abstract:
  Objective  To investigate the impact of serum neurofilament light chain (NfL) and glial fibrillary acidic protein (GFAP) levels on neurological injury and recovery in acute ischemic stroke (AIS) patients, providing evidence for personalized treatment.  Methods  A total of 129 AIS patients admitted to our hospital from January 2020 to December 2022 were included. According to the modified Rankin scale (mRS) score at 3 months post-discharge, patients were divided into a good prognosis group (mRS≤2, 83 cases) and a poor prognosis group (mRS>2, 46 cases). The clinical characteristics and serum levels of NfL and GFAP were compared between the two groups. The prognostic predictive value of these biomarkers and risk factors for poor neurological outcomes in AIS patients were analyzed.  Results  Compared with the good prognosis group, the poor prognosis group had significantly higher levels of NfL (15.2±6.3 vs. 22.8±8.5, t=5.777, P < 0.001) and GFAP [0.85 (0.62, 1.18) vs. 1.12 (0.79, 1.45), U=1 254.000, P=0.003], both of which were positively correlated with NIHSS scores and infarct volume. Multivariate regression analysis showed that elevated NfL (OR=1.861, 95% CI: 1.076-3.220, P=0.024) and GFAP (OR=2.979, 95% CI: 1.428-6.218, P=0.004) were independent influencing factors for poor prognosis in AIS patients. The combined detection of NfL and GFAP demonstrated higher predictive accuracy for neurological outcomes (AUC=0.809) compared to single biomarker detection.  Conclusion  Combined detection of serum NfL and GFAP levels is useful for early identification of AIS patients at risk of poor neurological outcomes and provides evidence for developing personalized treatment strategies.
Effects of auricular therapy combined with estazolam on sleep architecture and cognitive function in patients with senile dementia and sleep disorders
XIA Yezi, SHEN Jiehong, SHI Nengneng, LI Xiaojing
2025, 23(12): 2050-2053. doi: 10.16766/j.cnki.issn.1674-4152.004289
123 3
Abstract:
  Objective  To address sleep disorders in patients with senile dementia, this study compared the therapeutic effects of auricular therapy combined with estazolam versus auricular therapy or estazolam monotherapy, and investigated the effects of the three treatment methods on sleep architecture, cognitive function, and relevant serological indicators, aiming to provide new insights for clinical treatment of senile dementia complicated with sleep disorders.  Methods  A total of 120 patients with senile dementia and sleep disorders admitted to the First Affiliated Hospital of Ningbo University from January 2024 to March 2025 were selected and randomly divided into the auricular therapy group A (30-min stimulation in the morning), the auricular therapy group B (30-min stimulation in the afternoon), the estazolam group, and the combination group (auricular therapy combined with estazolam), with 30 cases in each group. Sleep architecture, cognitive function, serum levels of melatonin (MT), cortisol (COR), and 5-hydroxytryptamine (5-HT), as well as adverse reactions, were compared across the four groups.  Results  After treatment, the combination group showed a lower arousal index (AI) and higher sleep efficiency index (SEI) and percentage of rapid eye movement (REM) sleep time to total sleep time (TST) compared with the other three groups (P < 0.05). After treatment, the mini-mental state examination (MMSE) score of the combination group (23.78±1.20) was higher than those of the other three groups (19.65±1.15, 19.70±1.08, 16.36±1.42, F=219.809, P < 0.001). After treatment, MT and 5-HT levels in the combination group were higher than those in the other three groups, while COR level was lower than those in the other three groups (P < 0.001). No statistically significant difference in the incidence of adverse reactions was observed among the four groups (P=0.309).  Conclusion  Auricular therapy combined with estazolam effectively improves sleep quality, enhances cognitive function, and modulates MT, COR, and 5-HT levels, making it a promising treatment for patients with senile dementia and sleep disorders.
Clinicopathological and prognostic significance of CDK16 in patients with intrauterine membrane carcinoma
FANG Xiaojing, HOU Yanyan, GUO Suyang
2025, 23(12): 2054-2058. doi: 10.16766/j.cnki.issn.1674-4152.004290
67 4
Abstract:
  Objective  To investigate the clinicopathological and prognostic significance of CDK16 expression in intrauterine carcinoma (EC), and to provide an evaluation index for the prognosis of EC.  Methods  A retrospective study was conducted on 96 patients with endometrial cancer who were diagnosed and underwent curative surgery at the First Affiliated Hospital of Bengbu Medical University between February 2019 and December 2022, along with 15 normal endometrial tissue block specimens from the same period. Clinicopathological information was collected and the expression of CDK16 protein was detected by immunohistochemistry. The relationship between the different expression levels of CDK16 and the clinicopathological parameters and prognosis of patients with intrauterine membrane carcinoma were explored.  Results  The high expression rates of CDK16 in normal endometrial tissues and endometrial cancer tissues were 20.0% (3/15) and 67.7% (65/96), respectively. The high expression rate of CDK16 in endometrial cancer tissues was significantly higher than that in normal endometrial tissues (P < 0.05). The high expression rates of CDK16 in FIGO stage Ⅰ/Ⅱ and FIGO stage Ⅲ patients were 61.0% (47/77) and 94.8% (18/19), respectively. The high expression rates of CDK16 in patients without lymph node metastasis and those with lymph node metastasis were 65.9% (58/88) and 87.5% (7/8), respectively. The high expression rate of CDK16 in patients without vascular invasion was lower than that in patients with vascular invasion (P < 0.05). Multivariate Cox proportional hazards model results showed that FIGO stage, lymph node metastasis, CDK16 expression intensity were influencing factors of pro-gression-free survival (PFS) and overall survival (OS), P < 0.05.  Conclusion  The expression of CDK16 is enhanced in intrauterine carcinoma. CDK16 is a potential prognostic marker for intrauterine carcinoma.
Intraoperative lithotripsy demand and its early predictive factors in patients undergoing laparoscopic common bile duct exploration
HU Shuzhen, FENG Xia, ZHANG Leyi
2025, 23(12): 2059-2063. doi: 10.16766/j.cnki.issn.1674-4152.004291
83 5
Abstract:
  Objective  To explore the lithotripsy demand of patients undergoing laparoscopic common bile duct exploration (LCBDE), and analyze the related early prediction factors, so as to build a prediction model of the lithotripsy demand during LCBDE.  Methods  One hundred and fifty-two patients with percutaneous LCBDE admitted to Chun' an Branch of Zhejiang Provincial People' s Hospital from March 2022 to March 2024 were divided into demand group (n=33) and non-demand group (n=119) according to the assistance of laparoscopic lithotripsy during operation. The general data and clinical data of patients in the two groups were compared, and the influencing factors of lithotripsy demand in patients with percutaneous LCBDE were analyzed by multivariate logistic regression.  Results  The ratio of age/common bile duct stone diameter < 1.1 cm in demand group was lower than that in non-demand group, and the ratio of fever, jaundice, nausea and vomiting and peripancreatic exudation was higher than that in non-demand group (P < 0.05). Multivariate logistic regression analysis showed that age (OR=0.824), fever (OR=10.112), jaundice (OR=8.071), nausea and vomiting (OR=5.823) and common bile duct stone diameter (OR=9.148) were the independent risk factors of lithotripsy demand in patients undergoing percutaneous LCBDE (P < 0.05). The ROC curve showed that the AUC of the combined model based on these five indicators was 0.914 (95% CI: 0.858-0.953), and the combined models predicted the risk of lithotripsy demand in patients with percutaneous LCBDE in good agreement with the actual risk.  Conclusion  There are still some patients who need lithotripsy during the treatment of choledocholithiasis by percutaneous LCBDE. Age, fever, jaundice, nausea and vomiting and the diameter of common bile duct stones are independent risk factors, and the combined prediction model based on these five indicators can be used as a clinical tool to predict the demand for lithotripsy in patients with percutaneous LCBDE.
The effect of whey protein and ω-3 fatty acids combined with resistance exercise on the function of elderly sarcopenia patients
WANG Yan, WU Xiaoxue, LIN Yuanyuan, LI Jianmei, XIE Yanhong
2025, 23(12): 2064-2068. doi: 10.16766/j.cnki.issn.1674-4152.004292
110 4
Abstract:
  Objective  With the global aging population, sarcopenia has become a significant health issue affecting the elderly. Current interventions primarily focus on nutritional supplementation and exercise training, but their effects are limited. This study explores the combined effects of whey protein, ω-3 fatty acids, and low-intensity resistance exercise on muscle mass, strength, walking speed, and daily living ability in elderly sarcopenia patients.  Methods  A total of 178 elderly patients diagnosed with sarcopenia between June 2022 and June 2024 at the Lishui Traditional Chinese Medicine Hospital of Zhejiang Chinese Medical University were selected. They were divided into the study group and control group using a random number table, with 89 cases in each group. The study group received whey protein and ω-3 fatty acid supplementation along with low-intensity resistance training, while the control group received conventional health education and low-intensity walking. Assessment indicators included muscle mass, muscle strength, walking speed, activities of daily living (ADL), and the short physical performance battery (SPPB).  Results  After treatment, the study group had higher muscle mass [(4.61±0.52) kg/m2] and muscle strength [(45.82±5.86) kg] than the control group [(3.52±0.45) kg/m2, (40.26±4.29) kg], and had a shorter walking speed [(4.12±0.55) s] compared to the control group [(5.67±0.69) s, P < 0.05]. The ADL score in the study group [(92.53±16.46) points] was higher than that in the control group [(81.51±11.26) points, t=5.213, P < 0.05]. The SPPB score in the study group [(10.16±1.46) points] was higher than that in the control group [(8.26±1.27) points, t=9.263, P < 0.05].  Conclusion  Whey protein combined with ω-3 fatty acids and low-intensity resistance exercise has a significant positive effect on the physical function and activities of daily living in elderly sarcopenia patients.
Effect of two kinds of arthroscopic debridement combined with fibular osteotomy on the coagulation parameters and gait parameters of patients with early-to-mid stage varus knee osteoarthritis
YU Jingchuan, JIAO Hongsheng
2025, 23(12): 2069-2072. doi: 10.16766/j.cnki.issn.1674-4152.004293
62 4
Abstract:
  Objective  To explore the application value of two kinds of arthroscopic debridement combined with fibular osteotomy for the treatment of early-to-mid stage varus knee osteoarthritis (KOA).  Methods  A total of 103 patients with early-to-mid stage varus KOA were collected from January 2021 to January 2023 at North China Medical and Health Group Fengfeng General Hospital. They were divided into two groups according to surgical plans. The study group of 52 patients underwent limited arthroscopic debridement and fibular osteotomy, while the control group of 51 patients underwent extensive arthroscopic debridement and fibular osteotomy. The perioperative indicators, complications, and excellent and good rate of knee joint function were compared between the two groups, as well as the coagulation parameters [fibrinogen (FIB), D-dimer (D-D), activated partial thromboplastin time (APTT)], functional recovery indicators before and after surgery.  Results  The operation time [(38.38±4.46) min vs. (72.74±7.18) min, t=29.235, P < 0.001] and hospitalization time [(4.55±0.78) d vs. (7.00±0.65) d, t=17.300, P < 0.001] of the study group were shorter than those of the control group. The intraoperative blood loss [(190.90±41.12) mL vs. (309.45±68.68) mL, t=10.652, P < 0.001] and postoperative 3-day VAS score [(2.10±0.35) points vs. (2.69±0.40) points, F=7.971, P < 0.001] were lower than those of the control group. The coagulation parameters of the study group were better than those of the control group 3 days after surgery (P < 0.05). There was no significant difference in postoperative functional recovery indicators, complications, and excellent and good knee joint function rates between the two groups (P>0.05).  Conclusion  The combination of fibular osteotomy and limited arthroscopic debridement for the treatment of early-to-mid stage varus KOA patients can optimize the surgical process, reduce perioperative pain, and promote disease recovery.
The occurrence and related factors of delirium in patients undergoing laparoscopic hysterectomy during the anesthesia recovery period
LI Jia, ZHAO Moju, YANG Huiru, GAO Lifeng, GAO Yue, LI Kan, GUO Suna, SHEN Jianjun
2025, 23(12): 2073-2075. doi: 10.16766/j.cnki.issn.1674-4152.004294
88 4
Abstract:
  Objective  To analyze the current status of delirium during anesthesia recovery in patients undergoing laparoscopic hysterectomy, to investigate its influencing factors, in order to provide evidence for clinical prevention and intervention and improve the quality of postoperative rehabilitation.  Methods  A total of 120 female patients who underwent elective laparoscopic hysterectomy in Zhangjiakou First Hospital from January 2021 to January 2024 were selected. Perioperative patient-related data were collected and divided into delirium group and non-delirium group according to whether delirium occurred during the postoperative anesthesia recovery period. The incidence of delirium during recovery from anesthesia in patients undergoing laparoscopic hysterectomy was observed. Univariate and multivariate logistic regression were used to analyze the independent risk factors for delirium during anesthesia recovery in patients undergoing laparoscopic hysterectomy.  Results  The incidence rate of delirium was 13.34% (16/120). Univariate and multivariate logistic regression analysis results showed that sleep disorder, use of dexmedetomidine before/during surgery, CO2 pneumoperitoneum time, operation time, intraoperative blood loss, VAS score and the total amount of anesthetic drugs were factors that affect the occurrence of delirium in patients (P=0.006, 0.033, 0.004, 0.002, 0.010, 0.024 and 0.005; OR 95% CI: 1.501-11.659, 1.074-5.191, 1.287-3.826, 1.250-2.705, 1.310-7.211, 1.109-4.189, and 1.349-5.360).  Conclusion  Sleep disorder, preoperative/during use of dexmedetomidine, CO2 pneumoperitoneum time, operation time, intraoperative blood loss, VAS score and total amount of anesthetic drugs are all factors that contribute to the occurrence of delirium during anesthesia recovery in patients undergoing laparoscopic hysterectomy. Clinical prevention and intervention should be actively targeted at the above risk factors.
Study on levosimendan in the treatment of patients with chronic thromboembolic pulmonary hypertension complicated with right heart failure
XU Jie, HUANG Dongdong, ZHAO Hui, MENG Fangfang, XU Benyong, MA Qiang, ZHAO Qinhua, WU Wenhui
2025, 23(12): 2076-2079. doi: 10.16766/j.cnki.issn.1674-4152.004295
82 3
Abstract:
  Objective  To observe the effect and drug safety of levosimendan on improving the right heart function in patients with chronic thromboembolic pulmonary hypertension (CTEPH) complicated by right heart failure (RHF).  Methods  Fifty-four patients diagnosed with CTEPH and RHF, admitted to the Department of Pulmonary Circulation in Shanghai Pulmonary Hospital Affiliated to Tongji University from June 2021 to December 2022 were prospectively included and randomly divided into two groups: levosimendan group (n=28) and milrinone group (n=26). Both groups received standard treatment for CTEPH and heart failure, including pulmonary hypertension targeted drugs, diuretics, and so on. In addition, levosimendan was administered intravenously in levosimendan group; milrinone was administered in the milrinone group. Key parameters such as blood pressure, heart rate, and N-terminal B-type natriuretic peptide (NT-proBNP), and changes in right heart function and structure were recorded before and 7 days after treatment.  Results  After treatment, the levosimendan group showed significantly reductions in NT-proBNP levels and total bilirubin levels (P < 0.05). Furthermore, improvements in arterial oxygen saturaion and echocardiographic parameters such as pulmonary artery systolic pressure, right atrial diameter, right ventricular end-diastolic diameter, tricuspid annular plane systolic excursion (TAPSE), and S' wave were observed. The increase in TAPSE after treatment was not significant in the milrinone group (P>0.05), while it was significantly elevated in the levosimendan group (P < 0.05). Both drugs were associated with reductions in systemic blood pressure, but no clinical symptoms due to hypotension were observed, and there were no significant impacts on liver and kidney function (P>0.05).  Conclusion  Levosimendan effectively reduces NT-proBNP and bilirubin levels, improves TAPSE, and enhances right heart function in patients with CTEPH and RHF, and demonstrating good safety.
The characteristics and risk factors of PICC related bloodstream infection in children
HU Lihong, YANG Xianling, LI Erna, ZHANG Zihua, WANG Xiaofan, LI Lijing, XU Meixian
2025, 23(12): 2080-2083. doi: 10.16766/j.cnki.issn.1674-4152.004296
128 5
Abstract:
  Objective  To investigate the characteristics of peripherally inserted central catheter (PICC) related bloodstream infection in children, and to analyze the risk factors.  Methods  A total of 1 700 children receiving PICC in Hebei Children' s Hospital from January 2018 to August 2023 were chosen. The differences in general information and catheterization-related conditions were investigated by questionnaire. The characteristics of PICC-related bloodstream infection in children were analyzed, and the risk factors of infection were analyzed by multivariate logistic regression analysis.  Results  A total of 1 700 questionnaires were distributed in this study, and 1 658 were effectively recovered, with a questionnaire recovery rate of 97.53%. Among 1 658 children with PICC, 38 cases had PICC-related bloodstream infection, with an infection rate of 2.29%, and they were included in the infection group. The remaining 1 620 cases were included in the non-infected group. The main pathogenic bacteria were Gram-negative bacilli, with a total of 22 strains (57.89%). The highest number of pathogenic bacteria was Acinetobacter baumannii (23.68%), followed by Enterobacter clacae (21.05%) and Candida parapsilosis (14.71%). The proportions of catheter indwelling time >2 weeks, catheterization frequency >3 times, and dressing change frequency < 3 days in the infection group were 55.26% (21/38), 60.53% (23/38), and 71.05% (27/38), respectively, which were all higher than 26.60% (431/1 620), 33.40% (541/1 620), and 15.37% (249/1 620) in the non-infection group. The differences were statistically significant (χ2=15.378, 12.177, 82.966, P < 0.05). Multivariate logistic regression analysis showed that catheter indwelling time >2 weeks, catheter times >3 times, dressing change frequency < 3 days were all risk factors for PICC-related infection in children (P < 0.05).  Conclusion  The pathogenic bacteria of PICC bloodstream infection in children are mainly closely related to gram-negative bacilli. Catheter indwelling time >2 weeks, catheter times >3 times, and dressing change frequency < 3 days were the risk factors of PICC bloodstream infection.
Impact of social integration on parenting burnout among parents of children with bipolar disorder
DAI Yixi, LI Sisi, LIN Xiaoqing, CHEN Deyu
2025, 23(12): 2084-2087. doi: 10.16766/j.cnki.issn.1674-4152.004297
90 6
Abstract:
  Objective  To explore the current status of social integration and parenting burnout among parents of children with bipolar disorder, and to analyze the correlation and degree of influence between the two, so as to provide a theoretical basis for nursing management.  Methods  A convenience sampling method was used to conduct a questionnaire survey among 212 parents of children with bipolar disorder attending the Psychological Outpatient Clinic of a tertiary hospital in Zhejiang Province from July to December 2024. The survey included a self-designed general demographic questionnaire, a social integration scale, and a parenting burnout scale. A total of 204 valid questionnaires was collected, with an effective response rate of 96.23%. SPSS 23.0 statistical software was used for data processing, and univariate analysis and hierarchical regression were employed to analyze the impact of social integration on parenting burnout among these parents.  Results  The social integration score of the 204 parents was (35.75±7.10) points, and the parenting burnout score was (89.29±15.23) points. Significant differences in parenting burnout scores were observed based on the relationship with the child, age, employment status, and perceived family relationship (P < 0.01). Parenting burnout was negatively correlated with the total social integration score and its subdimensions (r value from -0.633 to -0.406, P < 0.01). Hierarchical regression analysis showed that, after controlling for the influence of general demographic factors, social integration significantly contributed to parenting burnout, explaining 25.9% of the total variance (P < 0.01).  Conclusion  The level of parenting burnout among parents of children with bipolar disorder needs improvement. In addition to factors such as the relationship with the child, age, employment status, and perceived family relationship, social integration also exerts a certain degree of influence on parenting burnout. This suggests that managers should pay greater attention to parenting burnout in these parents and implement multiple measures to effectively reduce its level.
Analysis of risk factors of intrauterine distress in fetus
SHEN Lianmei, SONG Mingxia, YUAN Ling
2025, 23(12): 2088-2091. doi: 10.16766/j.cnki.issn.1674-4152.004298
113 5
Abstract:
  Objective  To analyze the risk factors of fetal intrauterine distress and their impact on neonatal prognosis, providing a basis for clinical intervention.  Methods  A total of 107 cases of intrauterine distress (observation group) and 107 normal pregnant women (control group) admitted to Hangzhou First People' s Hospital from January 2022 to December 2024 were enrolled, and the birth outcomes of neonates in the two groups were compared, and the risk factors affecting the occurrence of intrauterine distress were analyzed by logistic regression analysis and ROC working curve.  Results  Univariate analysis showed that abnormal umbilical cord blood flow, abnormal fetal heart rate, abnormal fetal movement, oligohydramnios, abnormal umbilical cord, placental abruption, gestational hypertension, and gestational diabetes mellitus were risk factors for fetal intrauterine distress (P < 0.05). Multivariate logistic regression analysis revealed that abnormal fetal heart rate, oligohydramnios, placental abruption, abnormal fetal movement, and gestational diabetes mellitus are independent risk factors for fetal distress (P < 0.05). ROC working curve analysis showed that the AUC of abnormal fetal heart rate, oligohydramnios, placental abruption, abnormal fetal movement and gestational diabetes mellitus was greater than 0.7, and the sensitivity (78.9%, 72.6%, 70.1%, 63.2%, 82.4%) and specificity (75.6%, 69.3%, 71.8%, 74.5%, 68.7%) were high. The 5-minute Apgar score was < 7 in the observation group, and the number of cases of neonatal asphyxia, hypoglycemia, hyperbilirubinemia, and fetal growth restriction were higher than those in the control group, and the perinatal mortality rate and Neonatal Intensive Care Unit (NICU) admission rate were also higher than those in the control group (P < 0.05).  Conclusion  Abnormal fetal heart rate, oligohydramnios, placental abruption, abnormal fetal movement, and gestational diabetes mellitus are risk factors for fetal intrauterine distress, and the above factors are likely to lead to adverse birth outcomes. Prenatal monitoring and perinatal care should be strengthened to improve perinatal outcomes.
A meta-analysis of the prevalence and influencing factors of family doctor contract service in China
ZHOU Shan, WANG Jinxia, LI Na, MA Li
2025, 23(12): 2092-2096. doi: 10.16766/j.cnki.issn.1674-4152.004299
119 8
Abstract:
  Objective  To evaluate the current signing rate and key determinants of family doctor contracted services in China, offering insights for policy formulation and service optimization.  Methods  A comprehensive systematic review was conducted across databases including CNKI, Wanfang, VIP, PubMed, and Web of Science, covering cross-sectional studies published from 2018 to 2023. Two researchers independently screened the literature, extracted data. The studies meeting inclusion criteria were assessed using the JBI quality evaluation framework and analyzed with Stata 17.0.  Results  A total of 18 cross-sectional studies were included. The pooled signing rate of family doctor contracted services in China was 54.37% (95% CI: 41.81%-66.66%), with rates of 63.60% in urban areas and 40.80% in rural areas. The main influencing factors included advanced age (OR=1.029, 95% CI: 1.012-1.047, P < 0.001), unemployment (OR=1.517, 95% CI: 1.046-2.223, P=0.025), chronic illness (OR=1.709, 95% CI: 1.636-1.786, P < 0.001), poor economic status (OR=3.177, 95% CI: 2.552-3.955, P < 0.001), health insurance coverage (OR=1.994, 95% CI: 1.687-2.354, P < 0.001), and awareness of the service (OR=8.174, 95% CI: 7.106-9.412, P < 0.001).  Conclusion  Despite progress, the signing rate of family doctor contract service remains below the 2035 target, with a significant gap in rural areas. Policies tailored to local contexts are essential to optimize services and promote community health management.
Correlation analysis between functional status and anxiety-depressive emotions in patients with ankylosing spondylitis
WEI Zhimin, ZHANG Jiaxin, WANG Lei, SONG Chuan, WANG Yiwen, JI Xiaojian, LI Gang, HUANG Feng
2025, 23(12): 2097-2100. doi: 10.16766/j.cnki.issn.1674-4152.004300
105 3
Abstract:
  Objective  To explore the relationship between functional status and anxiety-depressive emotions in patients with ankylosing spondylitis (AS), and to assess potential influences of clinical medications on anxiety-depressive emotions of AS patients in different functional status.  Methods  This study included 148 AS patients treated at Outpatient Rheumatology Clinics in the First Medical Center of Chinese PLA General Hospital from March 2021 to June 2021. The Bath ankylosing spondylitis functional index (BASFI) and Bath ankylosing spondylitis metrology index (BASMI) were used to evaluate the functional status, while the self-rating depression scale (SDS) and the self-rating anxiety scale (SAS) were utilized to assess the emotional disorder. Linear or nonlinear correlation between functional status and anxiety-depressive emotions was analyzed, and potential influences of different treatments on proportions of patients accompanied with anxiety-depressive emotions in subgroups based on functional status were investigated.  Results  Among included AS patients, 30.41% (45/148) were accompanied with emotional disorder, in which proportions of anxiety and depression were 14.19% (21/148) and 22.97% (34/148) respectively. Significant linear correlations were found between BASFI and scores of SAS and SDS (P < 0.001), while the correlation between BASMI and the scores of SAS and SDS was not statistically significant (P > 0.05). In functional limitation subgroup (BASFI < 1.5), AS patients treated with nonsteroidal anti-inflammatory drugs (NSAIDs) exhibited lower proportion of depression than those treated without NSAIDs (P=0.024), whereas impacts of tumor necrosis factor inhibitor, conventional synthetic disease modifying antirheumatic drug, and traditional Chinese medicine on SDS showed no significant difference. The effects of medications on anxiety were statistically non-different.  Conclusion  There are significant correlations between functional status and anxiety-depressive emotions in AS patients. Treatment with NSAIDs may improve the depressive emotional status of AS patients with functional limitation.
The correlation among anxiety, mental resilience and immune response in patients with colorectal cancer after chemotherapy
ZHENG Yanan, ZHANG Jixin, YAN Chenchen, WANG Yifei, JIAO Min
2025, 23(12): 2101-2104. doi: 10.16766/j.cnki.issn.1674-4152.004301
82 4
Abstract:
  Objective  To study the correlation among anxiety, mental resilience, and immune response in patients with colorectal cancer after chemotherapy, in order to provide a reference for clinical treatment.  Methods  A total of 140 patients with chemotherapy after colorectal cancer surgery, admitted to the First Affiliated Hospital of Hebei North University from May 2021 to January 2024, were chosen. The anxiety and mental resilience were evaluated by the Zung anxiety self-rating scale (SAS) and the Chinese version of the Connor-Davidson resilience scale (CD-RISC), and an enzyme-linked immunosorbent assay was used to detect immune response levels and the correlation was analyzed by Pearson correlation. Logistic regression was used to analyze the influencing factors of immune response ability.  Results  The results of single-factor repeated measurement showed that there were significant differences in SAS, tenacity, self-reliance and optimism score before chemotherapy, after 1 course and 3 courses of chemotherapy (P < 0.05), the levels of interleukin-2 (IL-2), IL-4, IL-10 and IL-17 also had significant differences (P < 0.05); The levels of IL-2 and IL-17 were positively correlated with SAS scores, and negatively correlated with scores of various dimensions of mental resilience; IL-4 and IL-10 levels were negatively correlated with SAS scores (r=0.767 and 0.703), and negatively correlated with scores of various dimensions of mental resilience (r=-0.674, -0.714, -0.674, -0.615, -0.643, -0.523); IL-4 and IL-10 levels were negatively correlated with SAS scores (r=-0.664, -0.736), and positively correlated with scores of mental resilience (r=0.502, 0.534, 0.481, 0.601, 0.622, 0.515, P < 0.05). Logistic regression analysis showed that TNM stage, SAS score, mental resilience score, educational level, and per capita monthly income were independent risk factors affecting the immune response ability of patients with colorectal cancer after chemotherapy (OR 95% CI: 1.130-15.990, 1.029-11.557, 1.327-5.841, 1.680-8.125, 1.626-12.630, P < 0.05).  Conclusion  The anxiety and psychological resilience of patients with postoperative chemotherapy for colorectal cancer may be related to the abnormal level of immune response.
The mediating role of health-promoting behaviors in lung cancer patients undergoing chemotherapy between health information avoidance and nutritional status
YU Lirong, PENG Lingcong, ZHANG Shuangshuang
2025, 23(12): 2105-2108. doi: 10.16766/j.cnki.issn.1674-4152.004302
91 4
Abstract:
  Objective  Lung cancer patients undergoing chemotherapy often engage in health information avoidance due to fear, which may indirectly impair their nutritional status. This study aims to uncover the mediating mechanism by which health information avoidance affects nutritional status by suppressing of health-promoting behaviors, thereby providing theoretical foundations for clinical interventions.  Methods  From January 2020 to December 2021, 158 lung cancer patients undergoing chemotherapy in the Department of Respiratory and Critical Care Medicine of the First Affiliated Hospital of Wenzhou Medical University were selected for investigation and analysis by convenient sampling method. Pearson correlation analysis was employed to examine the correlations among patient-generated subjective global assessment tool (PG-SGA), health information avoidance (HIA), and health promoting lifestyle profile-Ⅱ (HPLP-Ⅱ) scores in lung cancer patients undergoing chemotherapy. Hierarchical regression analysis was used to identify the factors influencing nutritional status. The SPSS Process program's Mediation Model 4 was applied to analyze the mediating role of health-promoting behaviors (HPLP-Ⅱ scores) between health information avoidance (HIA scores) and nutritional status (PG-SGA scores).  Results  The PG-SGA score was positively correlated with the HIA score (r=0.533, P < 0.001) and negatively correlated with the HPLP-Ⅱ score (r=-0.518, P < 0.001). The HPLP-Ⅱ score was negatively correlated with the HIA score (r=-0.464, P < 0.001). Health information avoidance positively predicted nutritional status and negatively predicted health-promoting behaviors. After including health-promoting behaviors as a mediator, both health-promoting behaviors and health information avoidance remained significant predictors of nutritional status. The mediating effect of health-promoting behaviors between health information avoidance during lung cancer chemotherapy and nutritional status accounted for 29.55%.  Conclusion  Health information avoidance during lung cancer chemotherapy directly worsens nutritional status and also indirectly impairs nutritional outcomes by reducing engagement in health-promoting behaviors.
Predictive value of myocardial mechanical parameters of spot tracking stratified strain technique on the short-term prognosis after PCI for myocardial infarction
LI Jingliang, ZHANG Jihong, CHEN Fang, LIU Wenjun
2025, 23(12): 2109-2113. doi: 10.16766/j.cnki.issn.1674-4152.004303
73 4
Abstract:
  Objective  Speckle tracking imaging (STI) stratified strain technique was used to detect the myocardial mechanics parameters of patients with myocardial infarction (MI), and its predictive value for the short-term prognosis after percutaneous coronary intervention (PCI) was explored.  Methods  From June 2022 to October 2023, 180 MI patients (MI group) and 40 healthy patients (control group) undergoing PCI in Sanmenxia Hospital of the Yellow River were selected. MI patients were divided into two groups according to short-term prognosis, and receiver operating characteristic (ROC) curves were analyzed to evaluate the predictive value of myocardial mechanical parameters on short-term prognosis after PCI.  Results  The left ventricular ejection fraction, the global medial, middle, and outer longitudinal strains of the left ventricle (GLS-endo, GLS-mid, GLS-epi), and the annulus inward, middle, and outer layers (GCS-endo, GCS-mid, GCS-epi) in the MI group were lower than those in the control group, and the left ventricular systolic volume and end-diastolic volume were higher than those in the control group (P < 0.05). The overall longitudinal strain of the left ventricle and the inward, middle, and outer strain of the left ventricle in the poor prognosis group were lower than those in the good prognosis group (P < 0.05). Logistic regression results showed that Killip grade Ⅲ, 6-12 h vascular opening was a risk factor for poor short-term prognosis, and high levels of GLS-endo and GCS-endo were protective factors (P < 0.05). ROC showed that the prediction efficiency of GLS-endo and GCS-endo combination was higher than that of the single detection (Z=2.019, P=0.044; Z=2.624, P=0.006).  Conclusion  GLS-endo and GCS-endo are the influencing factors of short-term prognosis after PCI in MI patients, and their combination has a high predictive value for poor short-term prognosis.
Analysis of diagnostic valne of stage Ⅰ poorly differentiated lung adenocarcinoma using deep learning model
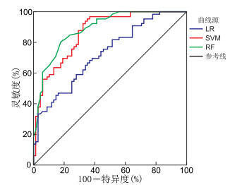
CHEN Jie, GAO Zeqiang, GAO Jie, TANG Siyuan, DAI Ping, XIANG Gang
2025, 23(12): 2114-2117. doi: 10.16766/j.cnki.issn.1674-4152.004304
84 3
Abstract:
  Objective  Pulmonary adenocarcinoma high-grade components include micropapillary type and solid type, and high-grade components ≥20% are defined as poorly differentiated and are independent predictors of poor prognosis. Lobectomy is recommended. In this study, four kinds of deep learning models were used to predict poorly differentiated adenocarcinoma, and the diagnostic efficiency of each model was compared to find the best model to improve the prediction accuracy of poorly differentiated adenocarcinoma.  Methods  Retrospective analysis of 253 lung adenocarcinoma lesions confirmed by pathology at the Affiliated Traditional Chinese Medicine Hospital of Southwest Medical University from October 2021 to March 2024. The CT images were preprocessed and abnormal data screened, then the training, validation, and EfficientNet test sets were divided in the ratio of 8∶1∶1 and fed to the four models of ResNet, MobileNet, DenseNet, and EfficientNet for high-level component prediction.  Results  The AUC values of the four models, ResNet, MobileNet, DenseNet, and EfficientNet, are 0.757, 0.872, 0.877, and 0.812, respectively. DenseNet showed excellent performance in this task. Accuracy, Precision, Recall, and F1-Score were 84.97%, 84.26%, 83.28%, and 84.67%.  Conclusion  Four kinds of deep learning models have a good predictive effect on high-grade components of lung adenocarcinoma, and the DenseNet model has higher predictive accuracy.
Research progress of NLRP3 inflammasome in lupus nephritis
YAN Dechao, WANG Xiaoyan
2025, 23(12): 2118-2122. doi: 10.16766/j.cnki.issn.1674-4152.004305
83 4
Abstract:
Lupus nephritis (LN) is one of the most severe clinical complications of systemic lupus erythematosus (SLE), It significantly impairs the quality of life and prognosis of SLE patients, and is associated with a higher incidence of chronic kidney disease (CKD) and mortality in patients with CKD. The NLRP3 inflammasome is a multi-protein complex belonging to the nucleotide-binding oligomerization domain (NOD)-like receptor (NLR) family. It consists of the following proteins: ASC, NLRP3, and pro-caspase-1. The inflammasome can be activated via three distinct pathways: the classical pathway, the non-classical pathway, and the alternative pathway. The process of activation has been demonstrated to initiate the release of pro-inflammatory cytokines, thus inducing tissue and cellular damage. It has been determined that this process plays a pivotal role in the pathogenesis of numerous autoimmune diseases, including LN. In LN, the NLRP3 inflammasome exerts pathological effects on various renal cells, particularly podocytes and renal tubular cells. Enhanced fluorescence localization and elevated protein expression of the NLRP3 inflammasome (and its core components) can be detected in these cells. It has been established that multiple upstream regulatory factors, including members of the guanylate-binding protein (GBP) family (GBP3, GBP5), CD36, PIM1, IRF2, and S1P, have the capacity to activate the NLRP3 inflammasome and its associated components. This process serves to initiate inflammatory responses and accelerate LN progression. Furthermore, a number of studies have successfully alleviated and treated LN by inhibiting the activation of the NLRP3 inflammasome. This inhibition can be accomplished through two main approaches: the following methods have been employed to increase the expression of endogenous factors such as FGF21 and SIRT1; increasing the expression of endogenous factors exogenously using agents including phytochemicals (e.g.; honokiol, epigallocatechin gallate, procyanidin B2, icaritin, luteolin, the active metabolite M1 of ginsenoside Rg1, ursolic acid, total notoginsenoside saponins, and citral); the NLRP3 inhibitor MCC950, the nuclear factor-κB (NF-κB) inhibitor Bay11-7082; melatonin; xenon; and notoginseng injection. All these strategies improve the progression and prognosis of LN by suppressing the activation of the NLRP3 inflammasome. This article systematically summarizes the composition and activation mechanism of the NLRP3 inflammasome, as well as its activation factors in LN. In addition, it explores treatment strategies for LN targeting the NLRP3 inflammasome, particularly emphasizing the potential therapeutic effects of phytochemicals. This article provides new ideas for the development of LN-related drugs and treatment plans.
A retrospective study on the effect of mirror therapy combined with low-frequency pulse electrical stimulation on hand function recovery in stroke patients with hemiplegia
LIU Bin, WANG Yingge, XIAO Yaru, XU Xiaotian, TANG Tieyu
2025, 23(12): 2123-2127. doi: 10.16766/j.cnki.issn.1674-4152.004306
115 5
Abstract:
  Objective  To investigate the clinical effect of mirror therapy combined with low-frequency pulse electrical stimulation on hand function recovery in stroke patients with hemiplegia and to compare the therapeutic effects between different types of stroke and Brunnstrom stages.  Methods  A retrospective analysis was conducted on the clinical data of 124 patients with hemiplegia after stroke who received rehabilitation treatment at the Affiliated Hospital of Yangzhou University from January 2020 to December 2023. Patients were grouped according to the treatment regimen they actually received. The combined treatment group (n=62) received mirror therapy and low-frequency pulse electrical stimulation treatment on the basis of conventional rehabilitation, while the control group (n=62) only received conventional rehabilitation treatment. The treatment course was 6 weeks. The main evaluation indicators included the Fugl-Meyer assessment of upper limb motor function (FMA-UE), action research arm test (ARAT), grip strength test and modified Barthel index (MBI). The secondary assessment indicators were the modified Ashworth scale (MAS) and electromyography (EMG). Repeated measures analysis of variance was used to compare the therapeutic effects of the two groups.  Results  After 6 weeks of treatment, the FMA-UE score of the combined treatment group increased from (28.76±5.43) points at baseline to (48.95±5.63) points, which was significantly higher than that of the control group [(42.18±5.27) points, F=6.924, P < 0.001]. The improvement amplitudes of ARAT, grip strength and MBI scores in the combined treatment group were significantly greater than those in the control group (P < 0.01). The EMG results showed that the increase in peak voltage in the combined treatment group [(33.33±7.86) μV] was significantly higher than that in the control group [(16.89±6.73) μV, t=6.884, P < 0.001]. Subgroup analysis showed that the combined treatment had a more significant therapeutic effect on patients with ischemic stroke and Brunnstrom stage Ⅲ-Ⅳ (P < 0.01).  Conclusion  Mirror therapy combined with low-frequency pulse electrical stimulation can significantly improve hand function in stroke patients with hemiplegia. This combined therapy may be more effective for patients with moderate to severe hand function impairment, particularly those with ischemic stroke.
Observation on curative effect of Bushen Qiangxin Prescription combined with Dapagliflozin in treating heart failure with preserved ejection fraction
CHU Meili, FANG Zhou, PENG Xuebing, WANG Bin, TONG Xiaolei, LI Shaomin, FANG Zhaohui
2025, 23(12): 2128-2131. doi: 10.16766/j.cnki.issn.1674-4152.004307
107 3
Abstract:
  Objective  To observe the efficacy of Bushen Qiangxin Prescription combined with Dapagliflozin in the treatment of heart failure with preserved ejection fraction (HFpEF), and to explore the treatment of HFpEF with integrated traditional Chinese and Western medicine.  Methods  Seventy patients with HFpEF who were admitted to the Ningguo Hospital of Traditional Chinese Medicine from January 2022 to November 2024 were divided into observation group and control group according to the random number table method, with 35 patients in each group. Both groups received basic treatment primarily consisting of Dapagliflozin, and the observation group was additionally given Bushen Qiangxin Prescription. After 4 weeks, the traditional Chinese medicine (TCM) syndrome score, total effective rate, 6-minute walking distance (6MWD), N-terminal B-type natriuretic peptide precursor (NT-proBNP), and cardiac ultrasound parameters [left ventricular ejection fraction (LVEF), left atrial diameter (LAD), left ventricular posterior wall (LVPW), E/e', tricuspid regurgitation velocity(TRV)] were compared between the two groups.  Results  The total effective rate of TCM syndrome in the observation group was higher than that in the control group (97.1% vs. 68.6%, χ2=10.057, P < 0.01), the TCM pattern score decreased after treatment, and the 6MWD increased, and the observation group was better than the control group (P < 0.01); the level of NT-proBNP decreased, and the value and difference between the two groups were statistically significant after treatment, and the observation group was better (P < 0.01); the two groups had an increase in LVEF and a decrease in E/e' and TRV (P < 0.01), and the magnitude of improvement in the observation group was greater than that in the control group (P < 0.01), and there was no significant difference in LVPW and LAD between the two groups after treatment (P>0.05). No adverse reactions were observed in either group.  Conclusion  The addition of Bushen Qiangxin Prescription in the treatment of HFpEF based on Dapagliflozin can further reduce NT-proBNP, increase 6MWD, significantly improve TCM syndrome, and help improve left ventricular diastolic function, with good safety.
An exploration and practical effect analysis of the outpatient teaching model for general practice residents based on systematic literature review
WANG Cong, REN Zhuozhuo, WANG Shuyi, YANG Shan, WANG Liuyi, LIU Xiaoyu
2025, 23(12): 2132-2135. doi: 10.16766/j.cnki.issn.1674-4152.004308
111 8
Abstract:
  Objective  To investigate the status quo of outpatient teaching for general practice residents in China and explore influencing factors in outpatient teaching for these residents by reviewing medical education literature published between 2002 and 2024.  Methods  The studies related to education research of outpatient teaching for general practice residents were searched from China National Knowledge Infrastructure (CNKI) and Wanfang between 2002 and 2024. With "teaching clinic", "outpatient education", "resident doctor" or "standardized training" as the search keywords, literature management software and statistical software were used to read, analyze and summarize the literature.  Results  A total of 254 articles conforming to the criteria were retrieved, and 30 articles were included according to the exclusion criteria. The research literature on outpatient teaching of general practice residents showed that the publication time was relatively new, the citation amount was high, the publication area was concentrated in the economically developed region, and the research content was concentrated in the teaching mode. Among them, 16.7% (5/30) of the literature listed the scenario simulation teaching mode, and 10.0% (3/30) of the literature listed the video teaching mode. There were 9 teaching modes including supervised outpatient teaching, personalized outpatient teaching, standardized patient teaching, three-tutor hierarchical progressive teaching, three-step feedback method, target teaching method combined with PDCA cycle teaching, and diversified teaching mode.  Conclusion  In recent years, outpatient teaching has gradually become the focus of general medical education research, and the research content focuses on exploring the mode of outpatient teaching and theoretical research. However, at present, the theoretical system research of outpatient teaching system of general practice residents has not been established, and the key content research such as the application standard of outpatient teaching practice and scientific evaluation standard is lacking. The future research direction should focus on empirical research, and strengthen information exchange and experience learning among different regions.
The effect analysis of applying medical scenario simulation in General Practice teaching clinics based on Kirkpatrick's four-level training evaluation model
ZHOU Shuai, WANG Qi, PAN Biyun, WANG Shaojin, YANG Kun
2025, 23(12): 2136-2139. doi: 10.16766/j.cnki.issn.1674-4152.004309
146 6
Abstract:
  Objective  To evaluate the effectiveness of scenario simulation teaching in general practice teaching clinics using the Kirkpatrick evaluation model, aiming to explore a new teaching mode for general practice teaching clinics.  Methods  A total of sixty resident physicians rotating through the General Practice Outpatient Department of Haikou Hospital Affiliated to Xiangya Medical College of Central South University from January 2021 to December 2023 were selected and randomly divided into two groups using a random number table. The experimental group (n=30) received teaching incorporating scenario simulation combined with traditional teaching-clinic methods, while the control group (n=30) received traditional teaching-clinic methods. The outcomes were analyzed assessed according to the four levels of the Kirkpatrick Model: reaction, learning, behavior, and results.  Results  Reaction Level: Satisfaction with participation and mastery in the experimental group [4.50 (4.00, 5.00) points, 4.50 (4.00, 5.00) points] were significantly higher than in the control group [4.00 (3.00, 5.00) points, 4.00 (3.75, 5.00) points, P=0.029, 0.038]. Learning Level: After training, scores for clinical thinking & treatment and communication skills in the experimental group [3.00 (3.00, 4.00) points, 4.00 (3.00, 4.00) points] were higher than in the control group [3.00 (3.00, 3.00) points, 3.00 (3.00, 3.25) points, P=0.021, 0.024]. Behavior Level: After training, the self-directed learning ability score in the experimental group [(156.33±9.82) points] was higher than that in the control group [(148.57±11.33) points, P=0.006]. Results Level: In the annual assessment, the general practice consultation score in the experimental group [(95.60±9.09) points] was higher than that of the control group [(90.10±10.98) points, P=0.039].  Conclusion  Evaluation using the Kirkpatrick four-level model demonstrates that scenario simulation teaching, when incorporated into general practice teaching clinics, enhances teaching quality and provides an effective supplement to traditional instructional approaches.
Current situation and optimization of follow-up plans for undifferentiated diseases in general practice from the perspective of safety netting
WANG Jianqiang, LIU Ying, MA Fanghui, ZHAO Xingxing, YANG Bixiao, GUO Xiujun
2025, 23(12): 2140-2142. doi: 10.16766/j.cnki.issn.1674-4152.004310
81 3
Abstract:
An efficacious approach to the management of clinical uncertainty and the mitigation of the risk of diagnostic oversights are the utilization of safety net recommendations (i.e. conveying structured information to patients about when and where to consult healthcare again). The safety net has been established as the optimal approach for addressing diagnostic uncertainty in the context of international primary healthcare. General undifferentiated diseases are a paradigmatic example of clinical problems with diagnostic uncertainty in China. The extent to which the development of follow-up plans conforms to the basic principles of handling diagnostic uncertainty is unclear at present. The present article introduces and draws upon the definition and content of a safety net, and searches relevant literature on platforms such as CNKI, Wanfang, VIP and Baidu Scholar to analyze the current status of existing follow-up plans for undifferentiated diseases. A comparative analysis is conducted from four perspectives: communication between doctors and patients regarding diagnostic uncertainty, monitoring of warning symptoms, scheduling of follow-up time, and written confirmation of follow-up plans. The results demonstrate that, of the 28 articles included in the analysis, a mere 10 have made specific provisions for follow-up on the risk of a missed diagnosis after diagnosis, The content of these articles is found to be inadequate, indicating a deficiency in grasping the significance of risk management in the context of diagnostic uncertainty. On this basis, and with reference to the fundamental principles of safety net strategies, suggestions for the optimization of follow-up plans were proposed, with the aim of combining the differences in clinical characteristics between undifferentiated diseases and traditional diseases. The specific discussions were conducted from four perspective: differences in clinical thinking, differences in the types of symptoms experienced during follow-up, the development of personalized follow-up plans, and the maintenance of written records. This indicates that the pursuit of clear diagnoses through excessive examination is not the only paradigm for combating disease risks caused by uncertain diagnoses. The implementation of a series of risk management plans, is a strategy that has been demonstrated to facilitate the realization of this objective, while concurrently ensuring optimal feasibility and economic efficiency.
A prediction model for enteral nutrition interruption after gastric cancer surgery established using machine learning algorithms
HOU Hui, WAN Yan, ZHU Congyan, LI Bowen, CHEN Li
2025, 23(12): 2143-2147. doi: 10.16766/j.cnki.issn.1674-4152.004311
79 4
Abstract:
  Objective  Gastric cancer patients face a high risk of enteral nutrition interruption (ENI) after surgery. However, no consensus has been reached regarding the factors influencing postoperative ENI. This study aims to develop an individualized risk prediction model for postoperative ENI in gastric cancer patients using machine learning algorithms based on clinical data, thereby providing guidance for the assessment, prevention, and management of ENI.  Methods  A total of 190 patients with gastric cancer were recruited from Ward 1 and Ward 2 of the Department of General Surgery (Gastric Surgery Division) at the First Affiliated Hospital of Nanjing Medical University between May 2023 and April 2025. Patients were randomly divided into a training set (n=133) and a validation set (n=57) in a ratio of 7∶3. Three machine learning algorithms, namely logistic regression (LR), random forest (RF), and support vector machine (SVM), were adopted to construct prediction models, and model performance were analyzed. The optimal model performance was verified using the validation set data.  Results  LASSO regression identified the following variables associated with ENI after gastric cancer surgery: age, VAS score at 24 hours after surgery, time to first postoperative ambulation, distance of ambulation on postoperative day 1, postoperative complications, tumor stage, and types of antibiotics. The AUC values of the LR, RF, and SVM models were 0.768, 0.893, and 0.861, respectively, with the RF model demonstrating superior predictive performance. The risk threshold range of the RF model was 0.03 to 0.95, within which implementing targeted interventions based on the prediction results of the RF model can provide substantial net clinical benefits for ENI prevention. Using the validation set, the RF model constructed with LASSO-selected variables achieved an AUC of 0.853.  Conclusion  The prediction performances of the three models established based on machine learning algorithms were all satisfactory. In particular, the RF model demonstrated superior predictive efficiency, enabling effective assessment of ENI risk after gastric cancer surgery and reliable identification of high-risk patients.
Construction of evaluation system for physician service capability portrait indicators
JI Bin, LI Gang, GUO Renlin, LING Yun, SHI Hui, LI Wangying, ZHAO Chunyan
2025, 23(12): 2148-2152. doi: 10.16766/j.cnki.issn.1674-4152.004312
127 6
Abstract:
  Objective  To explore the construction of a physician service capability portrait indicator system, with the goal of scientifically evaluating the quality and ability level of physician services.  Methods  From March to June 2025, the research team established a preliminary framework through a systematic literature review, 17 experts were selected for two rounds of correspondence involving hospital administrators, clinicians, and clinical nursing. to Indicator weights were determined using the Analytic Hierarchy Process, and expert consensus were evaluated using Kendall' s coordination coefficient.  Results  The effective response rates for both rounds of questionnaires were 100%, with expert authority coefficients [Cr=0.5× (Ca+Cs)] of 0.87, familiarity coefficients of 0.85±0.12, and judgment coefficients of 0.89 and 0.89, respectively. The first round of expert coordination coefficients were 0.354 for the first level indicator, 0.199 for the second level indicator, and 0.271 for the third level indicator. The second round of expert coordination coefficients were 0.292 for the first level indicator, 0.211 for the second level indicator, and 0.266 for the third level indicator. The indicator system ultimately established 7 primary indicators, 26 secondary indicators, and 50 tertiary indicators. Among the first-level indicators, resource portrait, process portrait, and quality and safety portrait accounted for a large weight in the entire index system. Among the secondary indicators, the service ability, professional and technical ability, complaints, and disputes (the ability to prevent and respond to disputes) in the diagnosis and treatment link accounted for a large weight in the entire index system. In the third level indicators, the weight of outpatient volume, multimedia online exposure frequency, medical document writing qualification rate, and dispute occurrence rate were significantly higher than those of similar indicators (P < 0.05). The dimension of technical quality has the highest weight in the entire indicator system.  Conclusion  This study innovatively constructes a quantitative evaluation model for physician outpatient capabilities, which achieves accurate profiling of service capabilities through multidimensional feature engineering. It has good scientificity, reasonable system settings, and can evaluate physician service capabilities.
Analysis of the development trajectory and influencing factors of symptom burden in perioperative patients with oral cancer
CAI Yayi, XU Dongdong, WANG Yijing
2025, 23(12): 2153-2157. doi: 10.16766/j.cnki.issn.1674-4152.004313
120 6
Abstract:
  Objective  To investigate the status and evolutions of symptom burden among perioperative oral cancer patients at different stages of treatment, and to provide a scientific basis for developing targeted symptom management strategies.  Methods  A total of 210 patients diagnosed with oral cancer who underwent surgical treatment at the Affiliated Stomatology Hospital of Wenzhou Medical University and the First Affiliated Hospital of Wenzhou Medical University from January 2021 to December 2023 were selected as the study objects. Data were collected using self-designed questionnaires, the nutritional risk screening 2002, and the MD Anderson symptom scale-head and neck module (Chinese version). Assessments were conducted at three time points: before surgery (T1), 7 days after surgery (T2), and 1 month after discharge (T3). The trajectory and influencing factors of perioperative symptom burden in patients with oral cancer were analyzed by generalized estimation equation.  Results  A total of 210, 207, and 193 valid questionnaires were collected at T1, T2, and T3, respectively. At T1, the most common symptoms were pain (70.48%), difficulty in swallowing/chewing (59.52%), and mouth ulcers (57.62%). At T2, the predominant symptoms were difficulty in swallowing/chewing (89.85%), difficulty in speaking (89.37%), and mucus problems (83.09%). At T3, the main symptoms were numbness/tingling (89.12%), difficulty in swallowing/chewing (88.60%), and difficulty in speaking (88.60%). The results of generalized estimation equation showed that patients with occupational status as individuals, comorbidities, advanced stage, higher NRS score, and receiving adjuvant therapy experienced higher symptom burden (P < 0.05).  Conclusion  Perioperative oral cancer patients experience a high dynamic symptom burden that varies across disease stages. Clinical staff should strengthen the assessment, monitoring, and management of symptom burden, particularly for patients with comorbidities, stage Ⅳ disease, or oral nutritional risk, to improve overall postoperative outcomes.
Analysis of comprehensive nursing care in the treatment of thoracolumbar compression fractures in the elderly with percutaneous vertebroplasty
CHANG Rong, CHANG Man, YANG Jinyu, CHANG Wenju
2025, 23(12): 2158-2161. doi: 10.16766/j.cnki.issn.1674-4152.004314
117 3
Abstract:
  Objective  To explore and analyze the effects of comprehensive nursing care in the treatment of elderly individuals undergoing percutaneous vertebroplasty for the treatment of vertebral compression fractures.  Methods  This study enrolled 60 patients diagnosed with osteoporotic thoracolumbar vertebral compression fractures at the Department of Orthopaedics, the First Affiliated Hospital of Bengbu Medical University between January 2023 and September 2023. All of the patients underwent percutaneous vertebroplasty. Random number sequences was used to assign patients to two study groups: an observation group (30 cases) and a control group (30 cases). Conventional nursing care was delivered to the control group, while the observation group was given comprehensive nursing intervention measures. A detailed baseline information of both groups was recorded, and a comparative analysis was conducted on key metrics including operative duration, length of hospital stay, heart rate, mean arterial pressure, visual analogue scale (VAS) pain scores, patient satisfaction, and incidence of complications.  Results  During the operation, the heart rate, respiratory rate, and mean arterial pressure of the observation group were significantly lower than those of the control group [(81.51±10.78) times/min vs. (95.78±1 5.15) times/min; (16.87±2.55) times/min vs. (21.51±1.69) times/min; (88.67±12.67) mmHg vs. (98.04±12.01) mmHg, 1 mmHg=0.133 kPa], and the differences were statistically significant (P < 0.05). Following the operation, the VAS score, operation time, and hospital stay of the observation group were found to be significantly lower than those of the control group [(1.68±0.70) points vs. (2.01±0.52) points; (56.17±10.51) min vs. (62.26±9.14) min; (3.81±0.71) d vs. (4.30±1.11) d], and the differences were statistically significant (P < 0.05).  Conclusion  Comprehensive nursing strategies can effectively reduce stress responses in elderly patients with thoracolumbar fractures undergoing percutaneous vertebroplasty, shorten operation time, relieve postoperative pain, reduce hospital stay, and to a certain extent improve patient satisfaction.
The application of the teach-back education model in clean intermittent catheterization for patients with neurogenic bladder
CHEN Yanyan, LIU Xiaoli, TAO Aiping, JIA Man, PAN Sensen, WANG Chenggui
2025, 23(12): 2162-2166. doi: 10.16766/j.cnki.issn.1674-4152.004315
117 5
Abstract:
  Objective  To explore the application effect of the teach-back education model in clean intermittent catheterization for patients with neurogenic bladder. Analyzes its influence on bladder function, satisfaction, and compliance of patients with neurogenic bladder after spinal cord injury, and provides a reference for formulating rehabilitation plans for patients.  Methods  By using the convenience sampling method, 80 patients with neurogenic bladder after spinal cord injury in the Second Affiliated Hospital of Wenzhou Medical University from June 2023 to June 2025 were selected as the research subjects. The patients were ranked and numbered according to the order of their visit. The 80 patients were divided into the control group and the intervention group according to the random number table, with 40 patients in each group. The control group was given conventional CIC education, while the intervention group, on the basis of conventional care, carried out a teach-back educational intervention based on smart nursing. The bladder function, satisfaction, and compliance of the two groups of patients were compared.  Results  The bladder capacity of patients with neurogenic bladder who received the teach-back education model intervention was (327.64±25.44) mL, which was higher than that of the control group (299.07±24.72) mL, the residual urine volume of the bladder was (102.05±9.04) mL, which was lower than that of the control group (110.25±9.16) mL, and the incidence of urinary tract infection was 2.50% (1/40), which was lower than that of the control group (15.00%, 6/40). The differences were statistically significant (P < 0.05). The total score of satisfaction and the scores of each dimension were all higher than those of the control group, and the differences were statistically significant (P < 0.05). The compliance was higher than that of the control group, and the difference was statistically significant (P < 0.05).  Conclusion  The application of the teach-back education model in clean intermittent catheterization for patients with neurogenic bladder can effectively improve the bladder function of patients, reduce the infection rate of the urinary system, increase patient satisfaction and compliance, and can be promoted and used in clinical practice.
Multiple eosinophilic granuloma of thoracic vertebrae in an elderly patient
LI Tongguan, ZHANG Chaowei, SUN Guangzhi, HOU Yanfeng
2025, 23(12): 2167-2169. doi: 10.16766/j.cnki.issn.1674-4152.004316
69 3
Abstract:
This article reports a rare case of elderly thoracic vertebral multifocal eosinophilic granuloma (EG). The patient, a 66-year-old male, presented with "low back and waist pain accompanied by fatigue for over two years, and worsening for three months." After treatment with glucocorticoids combined with immunosuppressive conservative therapy, the clinical manifestations and laboratory tests improved. Pathological biopsy showed the disappearance of granulomatous tissue. Subsequently, due to the occurrence of compression fractures in the affected area, surgical treatment was carried out. This suggests that the treatment of glucocorticoids combined with cyclophosphamide is feasible for adult patients with multi-site bone eosinophilic granuloma.
A case of recurrent bilateral adrenal pheochromocytoma-VHL disease and literature review
XU Weijie, LUO Yu, HE Wentao, XIE Junhui
2025, 23(12): 2170-2173. doi: 10.16766/j.cnki.issn.1674-4152.004317
79 6
Abstract:
This paper reported a patient presented with recurrent bilateral adrenal pheochromocytoma combined with cervical medullary hemangioblastoma, renal cyst, and pancreatic cyst, she had a first-degree relative with renal clear cell carcinoma and was diagnosed as Von Hippel-Lindau (VHL) disease. Genetic testing further confirmed the diagnosis. We summarized the clinical characteristics of VHL disease with adrenal pheochromocytoma reported in the literatures in the past 10 years. Patients with bilateral, recurrent or metastatic pheochromocytoma, or with central angioblastoma, retinal hemangioblastoma, renal cancer, pancreatic neuroendocrine tumor, cyst and cystadenoma of the reproductive system should be highly suspected of VHL disease. We should carry out genetic testing and family investigation as to avoid missed diagnosis and misdiagnosis.
A case report of enteral nutrition improving the quality of life of ultra-elderly patients with esophageal cancer
DU Jiahui, WANG Yu, LI Zongwei, LIU Sihan, YANG Wenying, ZHU Ting
2025, 23(12): 2174-2177. doi: 10.16766/j.cnki.issn.1674-4152.004318
145 7
Abstract:
Progressive dysphagia is a common symptom in patients with esophageal cancer, which is the malignancy with the highest risk of developing malnutrition. In this regard, clinicians often use enteral nutrition to maintain the nutritional status of patients. Based on the case of ultra-elderly esophageal cancer found in the Department of Oncology of our hospital, this article reviews the enteral nutrition support cases of esophageal cancer reported in Chinese and English literature from 2014 to 2024, explores strategies to alleviate the adverse reactions and complications caused by enteral nutrition in patients, and achieves optimal nutritional support for esophageal cancer patients. For patients with esophageal cancer, a comprehensive nutritional screening and evaluation should be performed first, and an individualized nutritional therapy plan should be developed.