2023 Vol. 21, No. 4

Expert Forum
Diagnosis and treatment of medically unspecified disease manifested by fatigue: A general practice perspective
ZHU Jiahong, LIU Ying, REN Jingjing
2023, 21(4): 539-543. doi: 10.16766/j.cnki.issn.1674-4152.002926
1841 152
Abstract:
Fatigue is a main reason for 10%-20% of all consultations with the general outpatient service. A survey showed that fatigue was the most common complaint among patients with medically unspecified diseases in offline general practice clinics in general hospitals. Also, a study found that fatigue could have a significant impact on patients' quality of life, and its severity was associated with mortality. As a common medically unspecified diseases, fatigue has no obvious specificity. It can not only be a normal physiological reaction of the human body, but also can be one of the manifestations of various diseases. Fatigue can be divided into physiological fatigue and pathological fatigue. Its etiology can be various and involve every system. It is difficult to evaluate and treat medically unspecified disease characterized by fatigue. Because of the subjective feeling, it is hard for general practitioners to evaluate the degree of fatigue. In addition to detailed history and physical examination, general practitioners need to objectively assess the degree of fatigue by using some assessment scales. However, there is no assessment scale for medically unspecified disease characterized by fatigue. The management of patients with medically unspecified disease characterized by fatigue includes symptomatic treatment (both non-pharmacological and pharmacological) and long-term follow-up to alleviate symptoms, relieve mood and reduce impairment in daily functioning. Further research is needed on how to provide a continuum of services for patients with fatigue, help some patients to live with their symptoms, and find effective interventions and treatments. We reviewed the literature on the general diagnosis and treatment of medically unspecified disease manifested by fatigue, hoping to help general practitioners with standardized diagnosis and continued management of the patient with fatigue.
Special Topic/Gene Expression in Gastric Cancer
UGT8 expression in gastric cancer tissues and its regulatory effect on gastric cancer metastasis
HE Xuxu, ZHAO Meng, YANG Yiqun, ZUO Lugen, GENG Zhijun, GE Sitang, CHEN Deli
2023, 21(4): 544-548. doi: 10.16766/j.cnki.issn.1674-4152.002927
706 43
Abstract:
  Objective  To study the expression of uridine diphosphate-galactose glycosyltransferase 8(UGT8) in gastric cancer and its association with long-term prognosis and its effect on the metastatic ability of gastric cancer.  Methods  A total of 109 patients who underwent radical gastric cancer resection in the First Affiliated Hospital of Bengbu Medical College from December 2013 to October 2016 were included in this study.The expression level of UGT8 in gastric cancer tissues was detected by immunohistochemistry and western blotting.Statistical methods were applied to analyze the relationship between UGT8 level and clinicopathological parameters in gastric cancer.The Cox regression and ROC curve were used to evaluate the independent risk factors affecting the 5-year survival rate and the diagnostic efficacy of UGT8.The GEO database was used to obtain a dataset of gastric cancer, and GO and KEGG enrichment analysis was performed on UGT8.The effect of UGT8 on metastasis of gastric cancer cells (MGC-803) was analyzed in vitro.  Results  The expression level of UGT8 in gastric cancer tissues was significantly higher than that in adjacent tissues (P < 0.01);The proportion of patients with increased tumor diameter (≥5 cm), T3-4 stage, N2-3 stage, serum CEA≥5 μg/L and serum CA19-9≥37 kU/L in the UGT8 high expression group was significantly higher than that in the UGT8 low expression group (all P < 0.05).Cox regression analysis showed that high UGT8 expression was an independent risk factor affecting the 5-year survival rate of gastric cancer patients.ROC curve analysis showed that UGT8 had a sensitivity of 73.00% and a specificity of 78.30% for predicting death at 5 years after surgery in patients with gastric cancer (P < 0.01).GO enrichment analysis showed that UGT8 was involved in cadherin binding activity, and KEGG enrichment results showed that UGT8 was mainly involved in adhesion pathways.Western blotting showed that UGT8 promoted the phosphorylation level of SDF-1 and CXCR4 in metastasis-related signals (P < 0.05).  Conclusion  The high expression of UGT8 in gastric cancer tissues is associated with poor prognosis, and may be involved in the metastasis of gastric cancer cells by regulating SDF-1/CXCR4 signaling pathway.
Expression of circRNA_0005075 in gastric cancer and the regulation mechanism of cell proliferation and invasion of gastric cancer cells
DOU Guangjian, HUANG Liyong, WU Jiaming, LI Jin, CHEN Zhiheng
2023, 21(4): 549-554. doi: 10.16766/j.cnki.issn.1674-4152.002928
565 18
Abstract:
  Objective  Circular RNA (circRNA) is related with gastric carcinogenesis and development.The aim of this study was to investigate the effect of circRNA_0005075 on gastric cancer cell proliferation and invasion and its regulation of the miR-767-5p/TRIM27 axis.  Methods  The expression level of circRNA_0005075 in gastric cancer tissues and paired adjacent tissues was determined by RT-qPCR and RNA FISH.Lentiviral infection technique was used to overexpress circRNA_0005075 in gastric cancer cells, and the molecular mechanism was explored by in vivo RNA immunoprecipitation, western blotting, luciferase activity assay and rescue experiments.  Results  The relative expression of circRNA_0005075 was 0.51±0.13, which was lower than that in adjacent tissues (3.51±0.69, P < 0.05).The fluorescence intensity OD value of circRNA_0005075 in paracancerous tissue was 1.35±0.24, which was higher than that in cancerous tissue (0.67±0.16, P < 0.05).The overall survival time of gastric cancer patients with low expression of circRNA_0005075 was significantly shorter than that of patients with high expression (P < 0.05).circRNA_0005075 overexpression can inhibit the proliferation and invasion of gastric cancer cells.RT-qPCR and luciferase activity test confirmed that circRNA_0005075 can be combined with miR-767-5p.The binding site of miR-767-5p with TRIM27 was predicted by using the information website (http://www.targetscan.org).Western blotting experiments confirmed that circRNA_0005075 could inhibit the expression of TRIM27 by regulating the expression of miR-767-5p.  Conclusion  circRNA_0005075 inhibits the proliferation and invasion of gastric cancer cells by targeting the miR-767-5p/TRIM27 axis.
Expression and clinical significance of UBE2S in gastric cancer
ZHAO Tianhao, YANG Yiqun, LI Yuetong, ZHANG Xiaofeng, WANG Yueyue, GENG Zhijun, LI Jing, ZUO Lugen, GE Sitang, SONG Xue, DENG Min
2023, 21(4): 555-559. doi: 10.16766/j.cnki.issn.1674-4152.002929
746 14
Abstract:
  Objective  To investigate the expression of ubiquitin-binding enzyme 2S (UBE2S) in gastric cancer (GC) tissues, and to explore its relationship with the long-term prognosis of GC patients.  Methods  A total of 101 GC patients admitted to Department of Gastrointestinal Surgery, the First Affiliated Hospital of Bengbu Medical College from January 2016 to December 2016 were selected as the study subjects.Tumor tissue and clinical information of all patients were collected.UBE2S protein levels in cancer and adjacent tissues were detected by immunohistochemistry, and the relationship between UBE2S and histopathological detection values was analyzed.The effect of UBE2S expression on GC prognosis was investigated and survival curve was drawn.Bioinformatics methods were used to analyze the possible mechanism of UBE2S involved in tumor.  Results  Immunohistochemical analysis showed that the expression of UBE2S in GC tissues was significantly higher than that in adjacent tissues.The positive expression of UBE2S was significantly correlated with CEA, CA19-9, T stage and N stage (P < 0.01).Multivariate analysis suggested that UBE2S was an independent risk factor for gastric cancer (HR=2.832, 95%CI: 1.361-4.170, P < 0.01).Kaplan-Meier survival curve showed that the postoperative survival rate of GC patients was discrepant from different UBE2S expression (log-rank χ2=27.512, P < 0.01).ROC curve results showed AUC=0.789, sensitivity and specificity were 77.42% and 74.36%, respectively.  Conclusion  UBE2S is highly expressed in GC, which is closely related to the prognosis of GC.The high expression of UBE2S may be an independent risk factor for postoperative survival in patients with GC.
General Practice Research
Clinical analysis of targeted broken ligamentum flavum method of unilateral biportal endoscopy in the treatment of lumbar spinal stenosis
HAN Kang, TAN Shusen, ZHANG Zheng, ZHANG Hongxia, MI Na, SONG Ruoxian
2023, 21(4): 560-564. doi: 10.16766/j.cnki.issn.1674-4152.002930
793 14
Abstract:
  Objective  To observe the clinical efficacy and safety of targeted broken ligamentum flavum method of unilateral biportal endoscopy in the treatment of lumbar spinal stenosis.  Methods  A total of 86 patients with lumbar disc herniation admitted to the 960th Hospital of the PLA Joint Logistics Support Force from January 2020 to January 2022 were retrospectively analysed.Patients were divided into 2 groups based on the surgery they had undergone: the targeted broken ligamentum flavum method group (TBM group, 39 cases) and the conventional clamshell method group (CCM group, 47 cases).Using visual analogue scale (VAS), oswestry disability index (ODI) and Japanese orthopaedic association (JOA) scores to assess the pain and functional parameters to record surgical complications.  Results  The mean operating time and bleeding volume were (58.6±14.5) min and (42.6±10.6) mL and the length of the incision was (2.93±0.23) cm in the TBM group, and (81.4±17.6) min and (63.8±18.6) mL and (3.12±0.43) cm in the CCM group, respectively, with statistically significant differences between the 2 groups (all P < 0.001).In contrast, there was no significant difference in the hospital stay time between the 2 groups (P=0.293).No significant differences were observed between the 2 groups in preoperative indices (VAS, ODI, JOA), all P>0.05;no statistically significant differences were observed between the 2 groups postoperatively (all P>0.05).There were significant differences between the 2 groups at different time points after surgery (all P < 0.05).Patients in both groups showed a significant improvement in their postoperative scores compared to their preoperative scores (all P < 0.05).There were no serious complications and there were no significant differences in the short-term between the 2 groups (P>0.05).  Conclusion  The targeted broken ligamentum flavum method of unilateral biportal endoscopy could be a kind of ideal treatment for lumbar spinal stenosis, which could be further promoted in the clinical practice.
A study on protective factors related to the early stages of Alzheimer' s disease
YIN Shuqin, WANG Lina
2023, 21(4): 565-567. doi: 10.16766/j.cnki.issn.1674-4152.002931
572 20
Abstract:
  Objective  To explore the influencing factors of early mild cognitive impairment in Alzheimer's disease and provide guidance for the prevention of cognitive impairment in Alzheimer's disease.  Methods  From January 2021 to January 2022, the elderly in 5 communities in Huzhou City were selected as the research objects, of which a total of 300 elderly patients with mild cognitive impairment (MCI) were selected as the research group, and 300 normal elderly people were selected as the control group.The cognitive activity score, education and socio-economic status, self-rating depression scale (SDS), and neuropsychological tests of the patients were evaluated, and the influence and protective effect of related factors on cognitive deficits were analyzed.  Results  The MMSE score of MCI patients (25.0±1.4) was significantly lower than that of the control group (28.9±1.1).The SDS score (35.5±4.5) was significantly higher than that of the control group (32.0±4.6), and the differences were statistically significant (all P < 0.05).There were statistically significant differences in terms of mean years of education, CAS and SES between the groups (all P < 0.05).After logistic multiple regression analysis, the results showed that high educational background, high CAS grade and high SES grade were protective factors for the development of Alzheimer's disease (all P < 0.05).  Conclusion  Higher levels of cognitive activity and socio-economic status, as well as higher education in community-based elderly patients are significant protective factors against the risk of dementia in Alzheimer's disease.
Application of low molecular weight heparin combined with unfractionated heparin in direct thrombolysis of lower extremity deep vein thrombosis
WANG Ying, WANG Xiaogao, GUAN Zeyu, Ayoade Philip Adegoke, GAO Yong, YU Chaowen, CHEN Shiyuan, LU Ran
2023, 21(4): 568-571. doi: 10.16766/j.cnki.issn.1674-4152.002932
964 20
Abstract:
  Objective  To explore the clinical efficacy of different anticoagulation regimens during catheter-directed thrombectomy (CDT) in deep venous thrombosis (DVT) of the lower extremities.  Methods  A total of 35 DVT patients admitted to the Department of Vascular Surgery of the First Affiliated Hospital of Bengbu Medical College Hospital from March 2021 to February 2022 were selected.They were randomly divided into a low molecular weight heparin+small dose unfractionated heparin pulse group (observation group, 18 cases) and a low molecular weight heparin application group merely (control group, 17 cases) by a random number table method.Thrombolysis effect was assessed by dynamic examination of plasma D-dimer.After treatment completed, the curative effect was analyzed by measuring the difference in the circumference of the lower limbs before and after the operation and the venous patency score.  Results  The plasma D-dimer in the observation group and control group increased during the thrombolysis process (day 3) were (78.26±11.57) and (66.06±12.31) mg/L (t=3.020, P=0.005).The circumference of 15 cm below the knee joint were (1.43±0.34) and (2.48±0.63) cm (t=6.185, P < 0.001);the lower extremity venous patency score was 5.34±0.90 and 7.29±1.19(t=5.235, P < 0.001);the dosage of urokinase were (302.22±20.45)×104 and (381.17±27.59)×104 units (t=9.656, P < 0.001).The comparison of the above two groups of data was statistically significant.  Conclusion  The efficacy of low molecular weight heparin combined with small dose unfractionated heparin pulse anticoagulation of CDT in DVT is excellent and safe.It should be popularized and applied in clinical treatment of lower extremity DVT.
Association of holter monitoring (24-hour ECG) parameters with improvement in left ventricular ejection fraction in heart failure with reduced ejection fraction
DENG Chenghao, CHEN Kangyu, WANG Qi, WU Guohong, YAN Ji
2023, 21(4): 572-575. doi: 10.16766/j.cnki.issn.1674-4152.002933
746 20
Abstract:
  Objective  To evaluate the association between heart rate variability (HRV) and arrhythmias on the improvement of left ventricular ejection fraction (LVEF) by analyzing the clinical data from patients with heart failure with reduced ejection fraction (HFrEF).  Methods  Among 1 344 HFrEF patients first admitted to Anhui Medical University Provincial Hospital for heart failure from November 2018 to November 2021, a total of 286 HFrEF patients with holter monitoring (24-hour ECG) at baseline and echocardiography followed-up within 1 year were screened, and 210 HFrEF patients with sinus rhythm were used for HRV analysis.Patients were divided into a heart failure with improved ejection fraction (HFimpEF) group and control group according to baseline and follow-up echocardiography.The differences between the 2 groups in baseline clinical data, echocardiographic and 24-hour holter monitoring parameters were compared, and logistic regression analysis was used to investigate the factors influencing the improvement in LVEF.  Results  One hundred and thirty-two patients (46.2%) met the criteria of HFimpEF group, with the remaining 154 patients served as control group.HFimpEF patients were mostly female, with higher the mean of the standard deviations of all normal sinus NN intervals for all 5-min segments (SDNN index).Multifactorial logistic regression analysis showed that arrhythmias index was not an influential factor in LVEF improvement; baseline SDNN index (OR: 1.026, 95%CI: 1.008-1.044, P=0.004) was independently associated with LVEF improvement in patients with sinus rhythm.  Conclusion  In HFrEF patients with sinus rhythm, the SDNN Index is an independent predictor of LVEF improvement.
Comparison of the effect of facial artery perforator fasciocutaneous pedicle flap and arbitrary flap in repairing the defect of mid-facial skin tumor
SONG Peijun, LI Xuwen, LI Wei, WANG Huaigu, HUO Jiwu, ZHANG Shuo, XU Jing
2023, 21(4): 576-580. doi: 10.16766/j.cnki.issn.1674-4152.002934
604 5
Abstract:
  Objective  To investigate the clinical application value of using facial artery perforator fasciocutaneous pedicle flap to repair defects after resection of mid-facial skin tumors.  Methods  A total of 40 patients with mid-facial skin tumors treated in the Department of Plastic Burns of the First Affiliated Hospital of Bengbu Medical College from January 2019 to December 2021 were divided into observation group and control group according to the size and location of the wounds left after intraoperative tumor resection, with 20 cases in each group.The observation group underwent facial artery perforator fasciocutaneous pedicle flap repair, while the control group underwent traditional flap repair.The color score, aesthetics score, function score, post-operative scar width, scar elasticity, and skin flap after flap repair, scar color, and patient satisfaction at 6 months post-operation were compared between the two groups.  Results  The color evaluation (7.54±0.17), aesthetic evaluation (7.85±1.17) and functional evaluation (8.20±0.89) of the flap in the observation group were higher than those in the control group[(4.85±1.73), (5.23±1.50) and (6.00±0.93)]6 months after surgery (P < 0.05).The scar width (0.40±0.13), scar elasticity (0.33±0.12), scar flatness (0.24±0.09) and scar color score (0.20±0.06) in the observation group were lower than those in the control group[(0.58±0.18), (0.57±0.13), (0.38±0.16) and (0.36±0.08)].The overall satisfaction in the observation group (95%) was higher than that in the control group (65%), with statistically significant (all P < 0.05).  Conclusion  Compared with traditional arbitrary flap repair, facial artery perforator fasciocutaneous pedicle flap repair can achieve greater satisfaction in postoperative appearance and function, and has high clinical application value.
Efficacy of arthroscopic ankle fusion for the treatment of terminal stage ankle tuberculosis
ZHAN Ying, YUAN Zhencan, ZHANG Qiang
2023, 21(4): 581-584. doi: 10.16766/j.cnki.issn.1674-4152.002935
748 13
Abstract:
  Objective  To evaluate the clinical efficacy and safety of arthroscopic ankle fusion in the treatment of ankle tuberculosis.  Methods  A total of 36 patients with ankle tuberculosis treated by indirect ankle arthrodesis at the Department of Orthopaedics, Shandong Chest Hospital from January 2010 to December 2016 were selected as the research objects. The diagnosis was confirmed by bacterial culture or pathological examination. The tissue samples were obtained by arthroscopy, and the necrotic tissue, synovial tissue hyperplasia and abscission cartilage were removed. Ankle arthrodesis was performed in patients with articular cartilage injury area>2 cm2. Continuous nutritional support and standard anti-tuberculosis drug treatment was given after operation. The patients were followed up with visual analogue (VAS) score, American Orthopaedic ankle association (AOFAS) score, erythrocyte sedimentation rate (ESR) and imaging examination.  Results  Thirty-six patients were followed up for at least 2 years, and the follow-up time ranged from 24 to 94 months. The wound healing was normal in all patients, and the suture was removed in time. Four patients (11.1%) developed new sinus tracts postoperatively, which were cured by changing the medication. Screw fixation was used in 12 cases (33.3%), external fixation in 8 cases (22.2%) and simple plaster fixation in 16 cases (44.4%). X-ray examination confirmed bony fusion in all cases, and the fusion time ranged from 12 to 25 weeks. The VAS score decreased significantly and the AOFAS score increased after treatment (P < 0.05). All patients were cured and discharged, and the course of treatment was 10-42 months. According to the AOFAS score of the final follow-up, 12 cases (33.3%) were excellent, 16 cases (44.4%) were good, and 8 cases (22.2%) were acceptable and there were no poor scores. The overall excellent and good rate was 77.8%.  Conclusion  Arthroscopic treatment of ankle tuberculosis has the advantages of being less invasive and with fewer complications. It can be used to accurately obtain samples from specific areas of tuberculosis for further diagnosis. According to the degree of articular cartilage damage, the surgeon can decide whether to perform an arthrodesis.
Short-term clinical efficacy of iRoot BP Plus and MTA as root-end filling materials in endodontic microsurgery
WANG Lu, WU Guangyuan, LI Wuli
2023, 21(4): 585-588. doi: 10.16766/j.cnki.issn.1674-4152.002936
1368 8
Abstract:
  Objective  The root-end filling is one of the key steps of the endodontic microsurgery, and the selection of the root-end filling material affects the prognosis of the surgery. The purpose of this study is to evaluate the short-term clinical efficacy of the new bioceramic material iRoot BP Plus as the root-end filling material in the endodontic microsurgery and compare it with the trioxide polymer (MTA), so as to provide reference for clinical selection.  Methods  Sixty patients (81 teeth) diagnosed as chronic apical periodontitis with the need for endodontic microsurgery in the Department of Endodontics and Pediatric Dentistry of Anhui Stomatological Hospital from December 2018 to December 2020 were selected. After obtaining the informed consent of the patients, they were randomly divided into two groups through a table of random numbers, the test group was iRoot BP Plus group with 29 patients (39 teeth), and the control group was MTA group with 31 patients (42 teeth). A standardized surgical procedure was performed by a single operator. The patients were followed up at 3 months, 6 months, and 1-year. Clinical and radiographic evaluations acquired at the 1-year follow-up were taken as the primary outcome, and the success rate and prognostic factors of the two groups were statistically analyzed.  Results  The success rate in the iRoot BP Plus and MTA groups were 92.3% and 90.5%, respectively (P>0.05). The analysis of related factors affecting the curative effect of endodontic microsurgery showed that there was no significant difference in gender, age and tooth position (all P>0.05). Although the 1-year follow-up success rate of lesions with diameter ≤10 mm was higher than that of lesions with diameter>10 mm (95.1% vs. 80.0%), the difference was not statistically significant (χ2=2.639, P=0.104).  Conclusion  Both iRoot BP Plus and MTA can achieve satisfactory results as root-end filling materials, which are worthy of clinical promotion and application.
Risk factors for sepsis caused by pyogenic liver abscess
FU Kuan, DUAN Meili, WANG Guoxing
2023, 21(4): 589-592. doi: 10.16766/j.cnki.issn.1674-4152.002937
692 28
Abstract:
  Objective  To analyze the clinical characteristics of pyogenic liver abscess (PLA), to review the risk factors for sepsis caused by pyogenic liver abscess (PLA) and the laboratory indicators that can predict the occurrence of sepsis at an early stage.  Methods  The clinical data of 131 patients with PLA in Beijing Friendship Hospital, Capital Medical University from January 2019 to December 2020 were retrospectively analyzed. Patients meeting the inclusion criteria were divided into a sepsis group (45 cases) and a non-sepsis group (86 cases). SPSS 26.0 statistical software was used to analyze the clinical data of patients in the two groups, and the risk factors of sepsis caused by PLA were determined by univariate and logistic multivariate analysis. Receiver operating characteristic curve (ROC curve) was used to analyze the diagnostic value of neutrophil ratio, serum creatinine and glucose on admission for the sepsis caused by PLA.  Results  The sepsis group had a higher percentage of males and symptoms of chills, and higher neutrophil percentage, hemoglobin, C-reactive protein, glutamic-pyruvic transaminase, total bilirubin, direct bilirubin, creatinine and glucose levels on admission than the non-sepsis groups, while platelets, sodium and carbon dioxide levels were lower than the non-sepsis group (all P < 0.05). Logistic regression analysis showed that the higher percentage of neutrophil, creatinine and glucose at admission were the risk factors for sepsis caused by bacterial liver abscess (all P < 0.05). ROC curve analysis showed that serum neutrophil ratio and creatinine at admission had better diagnostic value for PLA progressing to sepsis, and the AUC values were 0.815 (95% CI: 0.743-0.886) and 0.760 (95% CI: 0.667-0.854), respectively. When the neutrophil ratio is ≥85.8% and creatinine ≥79.75 μmol/L, one needs to be alert for the progression of PLA to sepsis.  Conclusion  The neutrophil ratio is a good predictor of PLA-induced sepsis. In PLA patients, if the neutrophil ratio is ≥85.8% on admission, it is necessary to prevent the progression of sepsis.
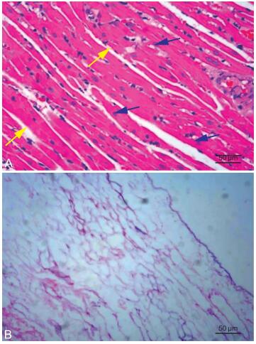
An acellular protocol of whole organ perfusion in rat heart and evaluation of its acellular effect
SUN Zhigang, XIE Ying, LI Haihui, SHEN Guozheng, LIU Xuegang
2023, 21(4): 593-597. doi: 10.16766/j.cnki.issn.1674-4152.002938
1152 19
Abstract:
  Objective  A new perfusion decellularization protocol was used to decellularize isolated SD rat hearts, and the decellularization effect was tested and evaluated.  Methods  Twelve 2-month-old male SD rats from the same litter were randomly divided into decellularized and control groups according to the random number table method, with 6 rats in each group. The hearts of each rat were removed after anesthesia and systemic heparinization. The hearts of the decellularized group were weighed, and then the perfusion needle was inserted retrograde into the ascending aorta and the perfusion device was connected for decellularization, and the changes of heart appearance were observed during the decellularization process. A small amount of tissue was taken from the same part of the left auricle, right auricle, apical region and right ventricular outflow tract of each heart to determine the dsDNA content, and the remaining tissue was prepared in paraffin sections and stained with HE and Masson stain, and then images were collected for analysis.  Results  During decellularization, the heart color gradually became light red, then became relatively transparent, and finally became milky white, and the coronary vascular structure was well preserved as seen by the naked eye. The heart mass before and after decellularization in the decellularized group were (1.27±0.03) g and (0.49±0.02) g, respectively, with statistically significant differences (t=111.164, P < 0.01). The differences in dsDNA content measured at each site in the hearts of both groups were statistically significant (all P < 0.01), and the dsDNA content measured at each site in the decellularized group was significantly lower than 50 ng/mg. Typical myocardial tissue sections were seen in HE-stained sections and Masson stained sections of the control group. In contrast, HE-stained sections and Masson stained sections of the decellularized group were reticulated, with no obvious cellular or nuclear structures, and the coronary artery contours were visible within them.  Conclusion  This decellularization protocol is simple and reliable, and is a more ideal solution for the preparation of cardiac whole-organ decellularized biological scaffolds.
General Clinical Research
Clinical Analysis of 29 cases of Staphylococcus aureus endocarditis
JIANG Ni, ZHOU Baotong, FAN Hongwei, MIAO Qi, LIU Xiaoqing, LI Taisheng
2023, 21(4): 598-601. doi: 10.16766/j.cnki.issn.1674-4152.002939
830 18
Abstract:
  Objective  To analyze the clinical characteristics of Staphylococcus aureus (SA) endocarditis, in order to improve the clinical treatment of this disease.  Methods  Patients with SA endocarditis hospitalized in Peking Union Medical College Hospital from January 2012 to January 2022 were retrospectively analyzed. The epidemiological characteristics, clinical characteristics, laboratory and imaging findings, therapeutic measures and prognosis were analyzed.  Results  A total of 29 patients with SA endocarditis were included. Among them, 16 were males and 13 were females, aged from 17 to 82 years. Among these patients, methicillin sensitive Staphylococcus aureus was found in 16 cases (MSSA group) and methicillin resistant Staphylococcus aureus was found in 13 cases (MRSA group). Seven (24.14%) had congenital heart disease, 19 (65.52%) had underlying chronic diseases, and 4 (13.79%) had a history of previous cardiac surgery. Half of the patients had skin barrier damage in the early stage, all patients had fever during the course of the disease, 18 (62.07%) patients had heart souffle, 22 (75.86%) patients had migration lesions, and most of these were suppurative pericarditis and lung abscess, which were more likely to occur in MSSA group. The positive time of MSSA culture was 14.0 (9.3, 25.5) h in aerobic bottle and 16.0 (10.3, 37.5) h in anaerobic bottle. The positive time of MSSA culture was less than that of MRSA group (Z=-2.289, P=0.022). There were 13 patients with cardiac valve grafts larger than 10 mm, and the grafts were most often attached to the aortic valve with a total of 11 cases (37.93%). The most commonly used antibiotics were vancomycin and daptomycin, and 19 cases (65.52%) received surgical treatment. In the end, the condition of 21 (72.41%) patients improved and 8 (27.59%) got worse.  Conclusion  In high-risk groups with SA infection and long-term fever, careful cardiac auscultation should be carried out, and blood culture and cardiac ultrasound should be completed as soon as possible. Once confirmed, timely antibacterial treatment and timely surgical operation may improve the prognosis.
Effect of sacubitril/valsartan on left atrial remodeling in patients with class Ⅳ cardiac function
ZHU Zhangjin, LI Jingfeng, WANG Chao, LI Yin, NIU Jie, XU Xiaofei, HU Hao
2023, 21(4): 602-605. doi: 10.16766/j.cnki.issn.1674-4152.002940
714 15
Abstract:
  Objective  To investigate the effects of sacubitril/valsartan on the left atrial parameters and remodeling in echocardiography among patients with New York Heart Association(NYHA) class Ⅳ heart failure.  Methods  A total of 90 heart failure and a reduced ejection fraction (HFrEF) patients with NYHA class Ⅳ hospitalized in the First People's Hospital of Chuzhou were retrospectively analyzed. According to drug treatment, they were divided into two groups: the angiotensin enkephalin inhibitor (ARNI) group (48 cases) and the angiotensin converting enzyme inhibitor/angiotensin Ⅱ receptor antagonist (ACEI/ARB) group (42 cases), and the changes and amplitude of left atrial remodeling ultrasound indexes in the two groups after 1 year of treatment were compared.  Results  During follow up, the left atrial transverse diameter (LATD) in ARNI group was significantly shorter than that in ACEI/ARB group [(-6.92±4.09) mm vs. (-3.60±4.48) mm, P < 0.001]; the left atrial volume (LAV) of ARNI group was significantly smaller than that of ACEI/ARB group [(-11.76±5.73) mL vs. (-8.14±6.21) mL, P=0.005]; the left atrial volume index (LAVI) in ARNI group decreased more significantly than that in ACEI/ARB group [(-6.38±4.55) mL/m2 vs. (-4.16±3.69) mL/m2, P=0.014)]; the left atrial globular index (LASI) in ARNI group decreased more significantly than that in ACEI/ARB group (-0.09±0.14 vs. 0.01±0.11, P=0.003). In addition, the number of patients with left atrial reverse remodeling (LARR) in ARNI group was higher [26 (54.2%) vs. 14 (33.3%), P=0.047].  Conclusion  Compared with ACEI/ARB group, the treatment of sacubitril/valsartan can better reduce the LATD, LAV, LAVI, LASI, and improve LARR in HFrEF patients with NYHA class Ⅳ.
Clinical observation on the treatment of temporomandibular joint disorder syndrome using ultrasonic technique combined with a small needle knife
TIAN Taotao, WANG Yuan, DU Xin, DU Fenfei
2023, 21(4): 606-610. doi: 10.16766/j.cnki.issn.1674-4152.002941
834 4
Abstract:
  Objective  To investigate the clinical efficacy of ultrasound technology combined with small needle knife release in the treatment of temporomandibular joint disorder syndrome (TMD) and its effect on patients' pain level and disorder index, so as to provide a reference basis for the standardized clinical treatment of TMD and benefit more patients with TMD.  Methods  A total of 108 patients with TMD who were treated in Dongyang People's Hospital from January 2021 to September 2022 were divided into a control group (54 cases) and an observation group (54 cases) according to different treatment methods. The control group was treated with conventional rehabilitation techniques, including physiotherapy, manual reduction, and exercise therapy. The observation group was treated with ultrasound technique combined with small needle knife release based on conventional rehabilitation techniques. The clinical efficacy, pain degree(VAS), Fricton temporomandibular joint disorder index [dysfunction index (DI), muscle pressure pain index (PI) and temporomandibular disorder index (CMI)] and mouth opening mobility were compared between the two groups.  Results  The total effective rate was 96.3% (52/54) in the observation group and 83.3% (45/54) in the control group, with a statistically significant difference (P < 0.05). The VAS pain scores of patients in the observation group were significantly lower than those in the control group in different states(rest, exercise and chewing) after treatment, 1 month after treatment and 3 months after treatment (P < 0.05).After treatment, 1 month after treatment, and 3 months after treatment, DI, PI, CMI of patients in the observation group were significantly lower than those in the control group, and mouth opening mobility was significantly higher than that in the control group, with a statistically significant difference (all P < 0.05).  Conclusion  The clinical effect of ultrasound technology combined with small needle knife release in the treatment of TMD is significant, which can effectively reduce the patient's pain, improve temporomandibular joint dysfunction and mouth-opening range of motion.
Correlation analysis of serum alkaline phosphatase with calcium and phosphorus metabolism and inflammatory markers in maintenance hemodialysis patients
HUANG Mengdi, CHEN Weidong, LIU Lei
2023, 21(4): 611-614. doi: 10.16766/j.cnki.issn.1674-4152.002942
852 17
Abstract:
  Objective  To investigate the changes of serum alkaline phosphatase (ALP) levels in maintenance hemodialysis (MHD) patients and its clinical application value.  Methods  A total of 736 patients who underwent MHD in five blood purification centers in Bengbu region from October 2020 to May 2021 were included. The patients were grouped according to the quartile of serum ALP. The general data and laboratory indicators of patients in the four groups were statistically compared. Furthermore, the correlation between serum ALP and calcium and phosphorus metabolism and inflammatory indexes was analyzed.  Results  The MHD patients included 415 males (56.39%) and 321 females (43.61%), with an average age of (56.61±13.40) years and a median dialysis age of 44(16, 74) months. The prevalence of hypocalcemia, hyperphosphatemia and secondary hyperparathyroidism (SHPT) were 25.54%, 63.59% and 20.11%, respectively. Among ALP groups, there were statistically significant differences in age, dialysis age, systolic blood pressure, serum calcium, serum phosphorus, calcium-phosphorus product, whole parathyroid hormone (iPTH), creatinine, urea nitrogen, albumin, hs-CRP, white blood cell count (WBC) and ferritin (FER) levels (all P < 0.05). Pearson correlation analysis showed that serum ALP was significantly positively correlated with serum calcium, iPTH, hs-CRP, WBC and FER (all P < 0.05).  Conclusion  Serum ALP combined with blood iPTH monitoring can more accurately identify the types of renal bone disease, and serum ALP level is closely related to inflammatory indicators. Serum ALP can be used as a predictor of cardiovascular disease morbidity and mortality in MHD patients, and is expected to be a new therapeutic target for MHD patients, thereby improving the prognosis of patients.
Application of comprehensive geriatric assessment combined with medical association grading diagnosis and treatment in senile diabetes patients
XU Juan, HU Xinyi, YIN Quanzhong, GU Yihang
2023, 21(4): 615-618. doi: 10.16766/j.cnki.issn.1674-4152.002943
600 13
Abstract:
  Objective  To study the application value of comprehensive geriatric assessment (CGA) combined with medical association grading diagnosis and treatment in screening the risk factors and comprehensive intervention effect of senile diabetes patients.  Methods  A total of 624 elderly patients who received medical treatment in Jiangyin People's Hospital Medical Group from January 2018 to August 2022 were selected, the incidence of diabetes was investigated according to whether they were of advanced age. CGA was used to analyze the differences of various indicators between non-diabetes and diabetes groups in 319 elderly people, and binary logistic regression analysis was used to analyze the influencing factors. Then, 40 elderly patients with diabetes were selected and randomly divided into study group and control group, with 20 patients in each group. The study group was managed using a hierarchical diagnosis and treatment model in a medical consortium, while the control group was managed using traditional methods. After 3 months, various indicators of the two groups of patients were compared.  Results  The prevalence of diabetes in the elderly (37.6%, 120/319) was significantly higher than that in the non-elderly (29.8%, 91/305; χ2=4.218, P=0.040). The elderly diabetes group and the non-diabetes group had statistically significant differences in 23 indicators (P < 0.05). The degree of education (OR=0.322), smoking history (OR=4.398), family history of diabetes (OR=7.714), HbA1c (OR=16.609), BMI (OR=1.200), comorbidity index (OR=1.240), number of drugs taken (OR=1.259), cognitive dysfunction (OR=7.594), sleep disorder (OR=4.101), depression (OR=4.745), apparent weakness (OR=8.200), and constipation (OR=4.003) were the risk factors for senile diabetes. After 3 months of effective intervention on controllable factors, the various blood glucose indicators and the incidence of adverse reactions were all significantly reduced in the senile diabetes patients (P < 0.05).  Conclusion  CGA combined with medical association-general practice grading diagnosis and treatment mode can manage senile diabetes more effectively.
Expression of serum IL-6 and RANTES in children with refractory pneumonia caused by mycoplasma pneumoniae and their relationship with prognosis
ZHANG Songlin, XIONG Leilei, YU Yanjuan, GUO Yanjun
2023, 21(4): 619-621. doi: 10.16766/j.cnki.issn.1674-4152.002944
673 15
Abstract:
  Objective  To explore the influencing factors of refractory mycoplasma pneumoniae pneumonia (RMPP), and analyze the diagnostic value of serum interleukin-6 (IL-6), activated normal T cell expression and secretion factors (RANTES) in RMPP.  Methods  A total of 70 children with mycoplasma pneumoniae pneumonia (MPP) admitted to the Affiliated Children ' s Hospital of Zhengzhou University from March 2019 to April 2021 were selected and divided into MPP group (34 cases) and RMPP group (36 cases) according to diagnostic criteria. The risk factors of RMPP were analysed by univariate analysis, and differences were analysed by multivariate logistic regression. In addition, the receiver operating characteristic curve (ROC) was drawn to analyse the diagnostic value of serum IL-6 and RANTES for RMPP.  Results  The proportion of fever duration >10 days and serum IL-6, RANTES levels in children with RMPP were higher than those in the MPP group, and the differences were statistically significant (all P < 0.05). Multivariate logistic regression analysis showed that serum IL-6 (OR=2.451, 95% CI: 1.856-3.046) and RANTES (OR=2.678, 95% CI: 1.953-3.403) were the risk factors for the occurrence of RMPP. ROC showed that serum IL-6, the AUCs of RANTES and their combination in evaluating the prognosis of RMPP patients were 0.686, 0.701 and 0.824, respectively.  Conclusion  Higher levels of serum IL-6 and RANTES are the risk factors for the occurrence of RMPP, and their combined detection has high clinical value in the diagnosis of RMPP.
Analysis of the influencing factors of Kawasaki disease combined with liver function impairment
SHU Zhongyu, DENG Fang, YANG Shuxinying
2023, 21(4): 622-625. doi: 10.16766/j.cnki.issn.1674-4152.002945
803 13
Abstract:
  Objective  This study aims to analyze the clinical features of Kawasaki disease (KD) with liver function impairment, and to explore the possible influencing factors of it.  Methods  The clinical data of 300 children with KD in Anhui Pediatric Hospital of Fudan University, ranging from January 2020 to December 2020, were collected. According to the presence or absence of liver function impairment, the children were divided into normal liver function group [181 cases (60.3%)] and abnormal liver function group [119 cases (39.7%)].The age, gender, total serum bilirubin (TBIL), serum albumin (ALB), alanine aminotransferase (ALT), aspartate aminotransferase (AST), gamma-glutamyl transpeptidase (GGT), erythrocyte sedimentation rate (ESR), calcitoninogen (PCT), total white blood cell count (WBC), platelet count (PLT), C-reactive protein (CRP) of the children in the 2 groups were compared, PLT, PCT and CRP were included in the binary logistic regression analysis.  Results  Of the 300 children with KD, 189 (63.0%) were male and 111 (37.0%) were female, and the male-to-female ratio was 1.7∶ 1; The minimum age was 2 months, and the maximum age was 9 years, with a median age of 2 years; There were 45 cases (37.8%) under 1 years old, 54 cases (45.4%) were 2-3 years old, 12 cases (10.1%) were 4-5 years old, and 8 cases more than 6 years old (6.7%) in the group with abnormal liver function. Some children showed mild gastrointestinal symptoms. There were 8 children with vomiting (2.7%), 6 with diarrhea (2.0%), 2 with abdominal pain (0.7%) and 1 with hepatomegaly (0.3%). Compared the general data such as age and gender, the differences were not statistically significant (all P>0.05); ALT, AST, ALB, GGT, TBIL, PLT, PCT, CRP were significantly higher in the group with abnormal liver function than in the group with normal liver function, the differences were statistically significant (all P < 0.05). PLT, PCT and CRP were included in the binary logistic regression analysis. The results showed that PLT, PCT and CRP were all influencing factors of abnormal liver function in children with KD (all P < 0.05).  Conclusion  Increased PLT, PCT and CRP are risk factors for KD combined with liver function impairment.
Effect of nasal intermittent positive pressure ventilation combined with caffeine citrate on apnea of prematurity
FU Jie, WEI Guangyou, ZHENG Aihua, LIU Jun, SUI Sumin, LIU Jinguang
2023, 21(4): 626-628. doi: 10.16766/j.cnki.issn.1674-4152.002946
594 8
Abstract:
  Objective  To investigate the efficacy and safety of intermittent nasal positive pressure ventilation (NIPPV) combined with caffeine citrate in the treatment of premature apnea (AOP), and to clarify the best treatment plan of AOP, so as to improve the clinical treatment level.  Methods  A total of 96 children with AOP in NICU of Bozhou People ' s Hospital from October 2019 to July 2021 were selected and divided into observation group (48 cases, NIPPV+caffeine) and control group (48 cases, nasal continuous positive airway pressure + caffeine) by random number table method. The efficacy and incidence of adverse reactions of the two groups were compared.  Results  The incidence of severe apnea, extubation failure rate and non-invasive ventilation time in the observation group were 6.3% (3/48), 8.3% (4/48) and (4.34±1.74) days, respectively, which were significantly lower than those in the control group [20.8% (10/48), 22.9% (11/48) and (5.27±2.46) days], and the differences were statistically significant (all P < 0.05). The duration of invasive ventilation, oxygen inhalation time, the time to reach the whole intestinal feeding and the hospital stay in the observation group were 5.0(2.0, 7.0) days, 8.5(6.0, 12.5) days, (14.92±5.61) days, 18(14.3, 28.0) days, respectively, and there was no significant difference between the observation group and the control group [4.5(2.0, 7.0) days, 8.0(6.0, 17.8) days, (16.67±5.96) days, 17.5(15.0, 23.8) days], all P>0.05. There was no significant difference in the incidence of adverse reactions such as intraventricular hemorrhage (IVH), feeding intolerance, neonatal necrotizing enterocolitis (NEC), bronchopulmonary dysplasia (BPD), retinopathy of prematurity (ROP) and tachycardia between the two groups (all P>0.05).  Conclusion  NIPPV combined with caffeine citrate can reduce the incidence of severe apnea, extubation failure rate and non-invasive ventilation time without increasing the incidence of adverse reactions, which is a safe and effective treatment for AOP.
Analysis on the safety of different aged pregnant women under the new birth policy
ZHANG Yue, CHEN Hongbo, LIU Yu
2023, 21(4): 629-631. doi: 10.16766/j.cnki.issn.1674-4152.002947
1302 9
Abstract:
  Objective  To discusses the pregnancy safety of different elderly pregnant women under the background of the change in birth policy and the standardized management of elderly pregnant women.  Methods  The clinical data of 461 singleton pregnant women in the Anhui Provincial Maternal and Child Health Hospital from January 2020 to December 2020 were collected. According to the maternal age, they were divided into age-appropriate maternity group (20-34 years old, 184 cases), the advanced maternal age group (35-39 years old, 147 cases) and very advanced maternal age group (more than 40 years, 130 cases). Pregnancy complications and outcomes were analyzed.  Results  The gestational diabetes mellitus, premature rupture of membranes, placenta praevia, caesarean section, miscarry, fetal distress were 38, 76, 3, 53, 13, 26 cases respectively in the age-appropriate maternity group, above those in the advanced maternal age group were 54, 44, 10, 84, 9, 9 cases respectively, and those in the very advanced maternal age group were 51, 4, 3, 46, 27, 11 cases respectively. Univariate analysis showed that gestational diabetes mellitus, premature rupture of membranes, placenta previa, cesarean section, abortion and fetal distress were statistically significant. After adjusting the general situation, the risk of cesarean section in the advanced maternal age group is higher than that in the age-appropriate maternity group, and the risk of abortion in the very advanced maternal age group is higher than that in the age-appropriate maternity group.  Conclusion  The risk of caesarean section in the advanced maternal age women was higher than that in pregnant women of appropriate age. The risk of abortion in the advanced maternal age women was higher than that in pregnant women of appropriate age. There is no age-related correlation between other complications and pregnancy outcomes. Standardized management effectively protects the safety of elderly pregnant women.
Utilization of community residents' family doctor contracted services based on social network analysis
RAO Yashu, WANG Junzhou, YANG Yi, ZHONG Xia, TANG Chunyu, CHEN Rui, YANG Shaoqing, YU Hongmei, XU Jing
2023, 21(4): 632-636. doi: 10.16766/j.cnki.issn.1674-4152.002948
514 12
Abstract:
  Objective  To analyze the utilization status of community residents ' family doctor services and provide suggestions for optimizing family doctor services.  Methods  A questionnaire survey was conducted on 605 residents in the community health service centers in 6 main urban areas of Chengdu, and 590 valid questionnaires were collected. Logistic regression was used to analyze the factors affecting service utilization. UCINET 6.0 software was used to analyze centrality and density, and a visual structure diagram was drawn.  Results  Among the survey respondents, women accounted for 63.73%, the age was (51.14±19.81) years old, and 244 (41.36%) had signed up for family doctor services, 88.11% of which were free. The EQ-5D overall health score of the contracted residents was (80.49±11.97) points, and the contracted residents with one and two or more chronic diseases accounted for 43.00% and 27.50% respectively. The degree centrality of doctors and nurses were 0.988 and 0.943 respectively, providing more services. The degree centrality of health record management was 0.963, which was well utilized. Logistic regression showed that residents who had problems with their actions (OR=8.524, 95% CI: 2.089-34.788) and those who contracted and paid for family doctors (OR=2.877, 95% CI: 1.247-6.635) used the services of family doctors better. Residents with an income of 10 001 to 80 000 yuan had worse utilization than those with an income of 150 001 yuan and above.  Conclusion  Doctors and nurses play a prominent role, and the participation of traditional Chinese medicine personnel is insufficient. The utilization of health records management is good, and the utilization of two-way referrals is seriously insufficient. The utilization of family doctor services of community residents will be promoted by paying reasonable fees and focusing on residents with limited mobility.
Service situation of family doctors and the difference between supply and demand in sci-tech innovation bearing functional community
WU Juanli, CHEN Yuanhong, CHENG Huiqin, YANG Cui, DONG Ping, SHI Rong
2023, 21(4): 637-640. doi: 10.16766/j.cnki.issn.1674-4152.002949
670 15
Abstract:
  Objective  To investigate the service situation of family doctors in sci-tech innovation bearing function community, and analyze the difference between supply and demand and the reasons, so as to provide reference for further implementation of family doctor service in functional community.  Methods  Multi-stage random sampling was performed to select the occupational population and all family doctors who provide health services in Changyang Chuanggu, Interconnected Baodi, Urban concept and Four seasons in Yangpu District Bridge Street. Basic information, family doctor service contract status, as well as the supply and demand situation of health management services, disease diagnosis and treatment and referral services, drug equipped, were collected and the reasons for supply and demand differences were analyzed.  Results  A total of 1 045 community professionals and 48 family doctors were investigated. The expectations of both supply and demand for family doctor services were basically the same, mainly focusing on health timing service, health education and guidance, rehabilitation therapy, intelligent health monitoring and evaluation. However, the proportion of actual service supply was far lower than that of service demand. The top three ratios of supply and demand were health education and guidance (71.0%), long prescription for chronic diseases (69.2%) and traditional Chinese medicine health care (65.2%). The ratio of supply and demand for six items, including second-and-third-level hospital drugs, referral to specialist clinics in large hospitals, free health examination, health mistime services, intelligent health monitoring and evaluation and appointment diagnosis, was less than 10.0%. The lack of trust and recognition of family doctors was the primary reason for the difference between supply and demand. The imperfect medical system and primary drug catalogue, the low enthusiasm of both supply and demand, and the limited equipment conditions of diagnosis and treatment facilities in community hospitals were also important reasons for the difference.  Conclusion  It is suggested that the family doctor team should further improve the service ability, integrate high-quality resources, and introduce innovative ideas, so as to provide targeted and refined health management services for the population of sci-tech innovation bearing functional communities.
Design and application evaluation of condensed version of social cognition interaction training intervention program in schizophrenia
SHEN Zhihua, ZHOU Xiangyi, HAN Yu, WANG Yongguang
2023, 21(4): 641-645. doi: 10.16766/j.cnki.issn.1674-4152.002950
1076 24
Abstract:
  Objective  To design a condensed version of social cognition interaction training (SCIT) intervention program and explore the effects of SCIT on social functioning and social cognition in patients with schizophrenia.  Methods  Seventy patients with schizophrenia who were hospitalized in Hangzhou Seventh People ' s Hospital from June 2018 to March 2020 were recruited. They were randomly divided into the intervention group (condensed version of SCIT plus drug treatment) and waiting-list group (only drug treatment). Thirty-one patients in the intervention group and 32 patients in the waiting-list group completed the post-assessment. Positive and negative symptom scale (PANSS), personal and social performance scale (PSP), face emotion identification task (FEIT) and reading the mind in the eyes task (ET) were used to evaluate the psychosis symptoms, social function and social cognitive level of patients in the two groups before and after intervention.  Results  After the intervention, the total score and factor scores of PANSS of two groups were significantly lower than those before intervention (all P < 0.001), but there were no significant difference on the total score and factor scores of PANSS between the two groups (all P>0.05). The scores of PSP, FEIT and ET of two groups were significantly higher than those before intervention, and the scores of intervention group [(70.23±6.39) points, (25.35±1.52) points, (29.48±2.67) points] were higher than those of waiting-list group [(62.69±9.24) points, (22.19±2.24) points, (26.72±2.57) points], the differences were statistically significant (all P < 0.001).  Conclusion  The condensed version of SCIT is a feasible and promising intervention method for improving social cognition and social functioning among inpatients with schizophrenia in China.
Analysis of disease composition and clinical features of 2716 inpatients with mental disorders in children and adolescents
LIU Zhiwei, YANG Rongchun, SUN Liang, ZHANG Jingjing, LIU Yun
2023, 21(4): 646-649. doi: 10.16766/j.cnki.issn.1674-4152.002951
1113 18
Abstract:
  Objective  To analyze the disease composition and clinical characteristics of inpatients with child and adolescent mental disorders in a hospital of Fuyang.  Methods  The medical records of inpatients with mental disorders aged ≤18 years in a hospital in Fuyang from January 1, 2019 to December 31, 2021 were reviewed retrospectively. Demographic and clinical data including gender, age, days of hospitalization and primary diagnosis were collected for data analysis using SPSS 22.0.  Results  (1) A total of 2 716 children and adolescents were collected. The five most common diseases were diagnosed as depressive disorder (958 cases, 35.3%), schizophrenia and other primary psychotic disorders (807 cases, 29.7%), bipolar disorder (236 cases, 8.7%), anxiety disorders (201 cases, 7.4%) and neurodevelopmental disorders (173 cases, 6.4%). In 2019—2021, the inpatients of children and adolescents accounted for 5.8% (817/14 084), 7.5% (608/8 112) and 9.8% (1 291/13 140) of the total hospital patients, respectively. (2) Compared with the patients in the open ward group, the children in the closed ward were older, with a higher proportion of males and a longer hospital stay. (3) Compared to the adolescent group, the average length of hospital stay was longer and the proportion of open wards was higher in the children group (P < 0.001).  Conclusion  The overall hospitalization rate of children and adolescents with mental disorders is high, and is increasing year by year. Inpatients with mental disorders in children and adolescents are mainly characterized by depression disorder, schizophrenia, and other primary psychiatric disorders.
Value of PET/CT on diagnosis and staging of primary bone lymphoma
FENG Hongyan, TU Ning, WANG Ke, XIAO Xiong, WANG Chao, BU Lihong
2023, 21(4): 650-654. doi: 10.16766/j.cnki.issn.1674-4152.002952
749 13
Abstract:
  Objective  Primary bone lymphoma (PBL) is a rare type of malignant lymphoma. This study mainly analyzes the 18F-FDG PET/CT imaging signs of PBL in order to improve the accuracy of the diagnosis and differential diagnosis of PBL, and conduct accurate staging to guide accurate clinical treatment.  Methods  A total of 10 patients with untreated PBL were retrospectively enrolled from March 2018 to October 2020 in PET Center of People ' s Hospital of Wuhan University. We analyzed the PET/CT, MRI characteristic and clinical data of PBL patients. There were 7 males and 3 females. The range of age was 29-73 years old with the median age of 46.0±7.4. Ten patients underwent PET/CT examination and 8 patients underwent MRI scanning. Using bone biopsy results as gold standard, the sites of bone infiltration and the detection rates of the PET/CT and MRI were analyzed.  Results  The main clinical symptoms of PBL patients were bone pain at different locations. The types of pathology of patients all were non-Hodgkin ' s lymphoma, and diffuse large B cell lymphoma in 5 patients. The 18F-FDG PET/CT were high uptake in all of patients with SUVmax 2.7-17.5 (10.2±5.2). Multiple involved lesions were found in 8 patients, while 2 patients presented with a single involved lesion. Four patients were found to be located in extremity skeleton, 2 in the axial skeleton and 4 in the extremity skeleton and axial skeleton. PET/CT also found the lesions infiltrate to the surrounding soft tissue in 6 patients. MRI images lack specificity, the focus showed iso-intensity or low signal on T1WI and slightly high or high signal on T2WI, and enhanced scan showed moderate enhancement. The detection rate of the PET/CT and MRI for PBL were 94.5% and 89.1%, respectively.  Conclusion  18F-FDG PET/CT has the ability to depict bone lesions, and upper draining lymph nodes and extra-nodal involvement. It has good clinical application value for diagnosis and staging of PBL.
Contrast-enhanced ultrasound combined quantitative analysis of the parameters of clinical guidance value in the diagnosis and treatment of inflammatory bowel disease activity
NI Juanjuan, SUN Yixue, SHI Yan, LI Yang, ZHU Yu
2023, 21(4): 655-658. doi: 10.16766/j.cnki.issn.1674-4152.002953
819 8
Abstract:
  Objective  To study the effectiveness of the combined use of contrast-enhanced ultrasound (CEUS) and quantitative analysis parameters for the diagnosis of inflammatory bowel disease (IBD) in terms of inflammatory activity.  Methods  A total of 27 inpatients with IBD admitted to the Department of Gastroenterology of the First Affiliated Hospital of Bengbu Medical College and the outpatient follow-up IBD patients were selected from November 2021 to August 2022. They were divided into ulcerative colitis (UC group, 13 cases) and Crohn ' s disease (CD group, 14 cases) groups according to their pathology and clinical diagnosis. According to the CD activity index score and the modified Mayo scale, the two groups of patients were divided into active and inactive groups. Intestinal wall thickness, power Doppler image (PDI) blood flow, CEUS enhancement mode and quantitative parameters [peak intensity (PI), ascending slope (AS), arrival time (AT), time to peak (TTP)] were compared between active and inactive groups.  Results  The intestinal wall thickness in the active group of UC was greater than that in the inactive group [(8.4±1.3) mm vs. (5.2±1.0) mm, t=4.810, P=0.001]. The intestinal wall thickness in the active group of CD was greater than that in the inactive group [(8.2±1.8) mm vs. (5.1±1.2) mm, t=3.850, P=0.002]. There were significant differences in the grading of intestinal wall blood flow and the enhancement pattern of CEUS between the active and inactive UC groups (all P < 0.05). There were significant differences in PI and AT between the active and inactive UC groups (both P < 0.05). There were significant differences in PI and TTP between the active and inactive CD groups (both P < 0.05).  Conclusion  The intestinal wall thickness, PDI, CEUS enhancement pattern and the quantitative analysis parameters PI, AT and TTP are all relevant to the diagnosis and assessment of inflammatory bowel disease activity.
Tubulointerstitial nephritis and uveitis syndrome: a review
ZHAO Xinyue, MA Hualin, SUN Liping, ZHANG Xinzhou,
2023, 21(4): 659-662. doi: 10.16766/j.cnki.issn.1674-4152.002954
818 20
Abstract:
Tubulointerstitial nephritis and uveitis (TINU) syndrome is defined as the occurrence of tubulointerstitial nephritis (TIN) and uveitis. According to present epidemical statistics, women are more likely to be affected, especially in children and adolescents. The sequence of the clinical manifestations on oculus and kidney may be successive or simultaneous. Humoral immunity and cellular immunity play an important role in this immunological disorder with the reference of HLA gene family. Environmental triggers are also the possible causes of this syndrome. At the beginning of this syndrome, clinical manifestation would be dramatically insidious, with fever, rash, arthralgia, abdominal pain and weight loss. The typical renal manifestation is unexplained renal insufficiency caused by immune-mediated infiltration of renal tubulointerstitial inflammatory cells. The Ocular manifestation is specialized as bilateral acute anterior uveitis. It is an exclusive diagnosis in this syndrome. The infectious uveitis and other systemic and autoimmune diseases caused by bilateral uveitis should be excluded. High heterogeneity has been described in the sequence of uveitis and interstitial nephritis. The challenges in diagnosing this syndrome lie in the long-time interval between the oculus and the kidney and it ' s hard to figure out which organ is affected when systematic therapeutic methods have been used in the one. Furthermore, there is no laboratory examination that can differentiate this syndrome. The process and criticism of diagnosing this syndrome has been in debated yet. According to present reports, partial and systematic steroid therapy has been shown to be effective. From a prognostic point of view, acute tubulointerstitial nephritis a self-limited disease, and the risk of developing chronic kidney disease in the adult population should be taken into account. In contrast, uveitis, especially in children, can persist or recur.
Research progress of Yuanqi theory
MA Ruihong, ZHANG Kuiming, HOU Luyang, CUI Yinglin
2023, 21(4): 663-666. doi: 10.16766/j.cnki.issn.1674-4152.002955
2023 26
Abstract:
"Yuanqi theory" is a very important etiology and pathogenesis theory of traditional Chinese medicine (TCM). Through continuous research by ancient and modern doctors, in recent years, with the deepening of the research on Yuanqi theory and the development of modern medicine, many scholars gradually pay attention to the significance of supplementing and nurturing prescriptions in the diagnosis and treatment of diseases, which makes the Yuanqi theory more and more rich. Therefore, referring to many ancient books and modern literature, the paper discusses the theoretical development, physiological connotation, clinical application status of TCM. Yuanqi theory and its relationship with the pathological changes of modern medicine from the perspective of TCM and modern medicine. In addition to the common causes of Yuanqi damage: such as congenital deficiencies of natural endowments, external feelings of six adultery, diet disorder, overwork, internal injuries from the seven emotions, chronic illness of internal consumption, trauma, pregnancy and childbirth, aging, etc. Modern clinical features such as tumor, AIDS, allergic rhinitis, chronic urticaria, non-alcoholic fatty liver, Alzheimer ' s disease, leukemia and other difficult and complex diseases or post-operative performance are often characterized by Yuanqi deficiency. Ancient and modern doctors emphasized that the development process of disease is in a constant state of change, and should pay attention to the pathogenic factors, the depth of pathogenic factors, congenital constitution, the strength of Stomach Qi and other differences on the development trend and outcome of Yuanqi disease. The study of TCM Yuanqi theory can be used to guide the changing law of human ' s emergence, growth, aging and death. It is also the objective requirement of conforming to the development and change of human disease spectrum and modern medical research models. Combining with the development of TCM theory, the author sorts out the basic concepts, connotations and development of the applications of TCM Yuanqi theory. Starting from the prevention and treatment of many clinical diseases, the author discusses its value in disease diagnosis and treatment, sub-health status, health care, rehabilitation and other aspects, in order to reveal the essence of Yuanqi disease and provide a basis for the prevention and treatment of Yuanqi disease.
Research progress of capsaicin in patients with dysphagia
ZHONG Juanping, ZHANG Lihong, XIE Qi, MA Li, SU Yujie, WANG Xinglei, DOU Xinman
2023, 21(4): 667-671. doi: 10.16766/j.cnki.issn.1674-4152.002956
891 25
Abstract:
Swallowing is an important function to maintain survival, and dysphagia has a high incidence amongst the elderly patients with nervous system diseases, oropharynx diseases, oesophageal diseases and mental diseases. When swallowing causes functional damage, patients often show symptoms such as difficulty in swallowing food, coughing in drinking water and salivation. Serious complications such as lung infection, dehydration, malnutrition, aspiration pneumonia and asphyxia can also occur. Consequently, leading to increased medical expenses, reduced satisfaction, and decreased quality of life for patients. Improving dysphagia aims to accelerate the recovery of swallowing and reducing the above-mentioned risks. At present, the treatment of dysphagia includes drug therapy and rehabilitation physiotherapy, but the compensatory measures of dysphagia and rehabilitation therapy technology have limited effects in improving the neurophysiology and biochemistry of swallowing function. In addition, no specific drug has been developed for the treatment of dysphagia. Capsaicin, as a new treatment method, is widely used in food, and it has low-cost and easy to extract. It has also been applied to patients with dysphagia by scholars at home and abroad, and the therapeutic effect is remarkable. Transient receptor potential vanilloid 1 (TRPV1), as a capsaicin receptor, is an extensive and popular receptor in non-selective cation channels. Capsaicin stimulation can cause swallowing reflex and cough reflex in patients, which makes swallowing process safer and more effective, thereby improving swallowing function and preventing inhalation pneumonia. In this paper, the overview of capsaicin, the mechanism of capsaicin used in patients with dysphagia, the intervention methods and the present situation, understanding and application potential of capsaicin in different patients with dysphagia were reviewed, to provide some theoretical basis and reference value for functional recovery of patients with dysphagia in the future.
Research status of autophagy in hepatocellular carcinoma
TONG Li, ZHENG Xiaofei, GU Wang, ZHANG Chong, ZHANG Chao
2023, 21(4): 672-676. doi: 10.16766/j.cnki.issn.1674-4152.002957
905 22
Abstract:
Autophagy is a phenomenon of "self-engulfment" by degrading damaged or redundant proteins, organelles and other cytoplasmic components in cells to achieve the metabolic needs of cells and the renewal of organelles. Under normal circumstances, autophagy is conducive to maintaining the homeostasis of cells, prevents damaged proteins or organelles from accumulating in cells and generates autophagosomes through the formation and extension of phagosomes, which then fuse with lysosomes to form autophagolysosomes. It can degrade intracellular aggregates and damage organelles to provide nutrients and energy for cell renewal. High levels of autophagy can occur in the liver after metabolism and stress. Autophagy disorders can affect the homeostasis of hepatocytes and lead to the occurrence of various diseases. The lack of autophagy is the key to the development of various liver diseases. Hepatocellular carcinoma is a common hepatic malignant tumour. Autophagy in the early stage of tumour formation can be used as an inhibitory factor for the formation of hepatocellular carcinoma. Advanced hepatocellular carcinoma cells overcome nutrient deficiency and survive under hypoxic environment through autophagy and provide nutrients for cancer cells to promote growth. At present, a large number of studies have shown that autophagy plays an important role in the occurrence and development of hepatocellular carcinoma. Autophagy also has cytoprotective and cytotoxic effects on tumour treatment. Therefore, regulating autophagy can improve the cure rate of hepatocellular carcinoma. To provide new therapeutic targets and directions for liver cancer, this review mainly summarised the mechanism of autophagy and the influence of autophagy on the occurrence and development of hepatocellular carcinoma and its potential therapeutic value.
Clinical effect of Xiaoxun Huazhuo Recipe on colorectal polyps with metabolic syndrome and influencing factors
YANG Yanqing, RUI Rong, WU Pengtao, LI Ying, ZHENG Qinghu, LI Da, TAO Ying, WU Tianxin, ZHOU Lihong
2023, 21(4): 677-680. doi: 10.16766/j.cnki.issn.1674-4152.002958
718 7
Abstract:
  Objective  To evaluate the clinical effect of Xiaoxun Huazhuo Recipe on colorectal polyps with metabolic syndrome of spleen deficiency and phlegm dampness type, and to analyse the influence factors of colorectal polyps recurrence.  Methods  A total of 76 patients with intestinal polyps accompanied by metabolic syndrome were selected from Puxing Community Health Center from January 2020 to June 2021, the patients were randomly divided into treatment group and control group by random number method, with 38 cases in each group. The control group was given symptomatic treatment and health education, while the treatment group was given Xiaoxun Huazhuo Decoction. Both groups were treated continuously for 3 months. The recurrence rate of colorectal polyps and the changes of serum total cholesterol (TC), triglyceride (TG), low density lipoprotein cholesterol (LDL-C), high density lipoprotein cholesterol (HDL-C), fasting blood glucose (FPG), glycosylated haemoglobin (HbA1c), body weight, BMI, waist circumference (WC) and waist hip ratio (WHR) were compared between the two groups 12 months after the treatment. The influencing factors of recurrence were analysed by logistic regression model.  Results  The actual numbers of cases included were 37 in the treatment group and 38 in the control group. The recurrence rates of the two groups 12 months after the treatment were 10.8% (4/37) in the treatment group and 31.6% (12/38) in the control group, with a statistically significant difference (χ2=4.818, P=0.028). The differences in metabolic indices and body mass index (HbA1c, SBP, WHR, FPG, LDL-C) between the two groups before and after treatment were compared and found to be statistically significant (all P < 0.05). Multivariate analysis showed that treatment or not, red meat diet, family history, primary polyp size, BMI were related to recurrence.  Conclusion  Xiaoxun Huazhuo Recipe can reduce the recurrence rate of colorectal polyps 12 months after operation. Comprehensive diet control, exercise, regulation of metabolic abnormalities and active treatment of related diseases should be used as intervention strategies.
Effect of Jieyu Qingxin Anshen Decoction on adverse emotion and quality of life scale score in patients with depression
WANG Jiangang, YAN Huanni, ZHANG Ke, LIU Panmiao
2023, 21(4): 681-684. doi: 10.16766/j.cnki.issn.1674-4152.002959
779 16
Abstract:
  Objective  To explore the effect of Jieyu Qingxin Anshen Decoction in the treatment of depression and its effect on the generation of adverse emotion and the score of quality of life scale (QOL).  Methods  A total of 120 patients with depression collected in the Psychiatric Department of the Sixth People ' s Hospital of Zhoukou City, Henan Province from October 2019 to October 2021 were divided into regular group and study group according to the random number table method, with 60 cases in each group. The patients in the regular group were treated with venlafaxine hydrochloride sustained-release tablets, and the patients in the study group were treated with Jieyu Qingxin Anshen Decoction on the basis of the regular group. After 2 months of treatment, the clinical efficacy, the level of regulating hormone of thalamus adrenal pituitary axis (HPA) axis, brain-derived neurotrophic factor (BDNF), serum high-sensitivity C-reactive protein (hs-CRP) and uric acid (UA), adverse emotion, quality of life and adverse reactions were compared between the two groups.  Results  Compared with the regular group, the total effective rate (91.67% vs. 78.33%) in the study group was significantly higher, while the incidence of adverse reactions (3.33% vs. 13.33%) and adverse reaction symptoms scale (TESS) score [(2.57±1.42) points vs. (4.78±1.47) points] were significantly lower (all P < 0.05). Compared with before treatment, the levels of serum cortisol (COR), adrenocortical hormones (ACTH), hs-CRP, 17-item Hamilton depression scale (HAMD-17) score and Hamilton anxiety scale (HAMA) score in the two groups decreased significantly after treatment, while the levels of serum BDNF, UA and QOL score increased significantly (all P < 0.05), and the change range of the above indexes in the study group were significantly greater than that in the regular group (all P < 0.05).  Conclusion  Jieyu Qingxin Anshen Decoction can improve the adverse emotion and quality of life of patients with depression, with significant therapeutic effect and high safety.
Construction and application of the ideological and political education program of "SPOC+task driven case" in the undergraduate geriatric nursing course
JIANG Nannan, ZHANG Yanli, ZHANG Jing, YE Hong, QIAN Rong
2023, 21(4): 685-688. doi: 10.16766/j.cnki.issn.1674-4152.002960
699 21
Abstract:
  Objective  To explore the application and effect evaluation of "SPOC+ task driven cases" ideological and political education program in geriatric nursing, a nursing undergraduate course, from the perspective of strengthening moral education for cultivating people.  Methods  According to the teaching syllabus, a "SPOC+ task driven" ideological and political education program was constructed. Combined with the characteristics of undergraduates and the requirements of the ideological and political syllabus, task driven ideological and political teaching cases were designed and the SPOC teaching platform was improved. Using the method of cluster sampling method, 116 students in the 2019 undergraduate nursing class A of Bengbu Medical College were selected as the experimental group to implement the "SPOC+ task driven case" ideological and political education teaching mode; and 120 students in the class B were selected as the control group to implement traditional teaching mode. Within one week after the end of the course, the teaching effect was evaluated by theoretical test, attitude questionnaire for the elderly and critical thinking ability questionnaire for the students.  Results  The average score of the students in the experimental group was 76.79±4.22, which was higher than that in the control group (72.45±5.54, P < 0.05); The score of the attitude towards the elderly was 175.42±9.17 in the experimental group, which was significantly higher than that in the control group (88.42±6.72, P < 0.05); The experimental group scored higher than the control group in all dimensions of critical thinking ability (all P < 0.05). The total score of the students ' critical thinking ability in the experimental group was 315.54±12.66, which was higher than that in the control group (224.21±5.22), and the difference was statistically significant (P < 0.05).  Conclusion  The implementation of the "SPOC+ task driven case" ideological and political education program from the perspective of strengthening moral education for cultivating people will help to improve the theoretical achievements of geriatric nursing of nursing undergraduates, improve their attitude towards the elderly, enhance their critical thinking level, promote the improvement of students ' comprehensive quality, and further realize the fundamental task of strengthening moral education for cultivating people in higher education.
Visualisation of syndrome and treatment system of phlegm and blood stasis based on TCM standard literature
QU Yao, RONG Fei, TONG Xu, HU Jingqing
2023, 21(4): 689-692. doi: 10.16766/j.cnki.issn.1674-4152.002961
1575 17
Abstract:
  Objective  This study aimed to systematically sort out the understanding of syndrome and treatment of phlegm and blood stasis in different diseases based on the standard literature of traditional Chinese medicine, excavate and visually display their common characteristics and laws and provide support for the theoretical research and clinical application of syndrome and treatment of phlegm and blood stasis.  Methods  CNKI, Wanfang database, VIP database and CBM were searched, and the textbooks and guidelines containing phlegm and blood stasis were manually searched, such as internal medicine of traditional Chinese medicine, trial implementation of guiding principles for clinical research of new traditional Chinese medicine, diagnostic efficacy standard of TCM diseases and syndromes, national TCM diagnosis and treatment plan, clinical diagnosis and treatment guide of integrated traditional Chinese and Western medicine for psychosis. The retrieval date of periodical literature and work literature is up to November 30, 2021. SPSS Modeler was used for matrix co-occurrence; Aprior was used for modelling, and finally Gephi was used for visual analysis.  Results  Through map search, chest tightness, fatigue, subcutaneous mass and skin numbness are considered as the common clinical symptoms of phlegm and blood stasis syndrome of different diseases. Purple and dark tongue, ecchymosis, thick and greasy tongue coating and astringent pulse are the common tongue and pulse of phlegm and blood stasis syndrome of different diseases. Resolving phlegm, activating blood circulation, removing blood stasis and dredging collaterals are the common treatment methods of phlegm and blood stasis syndrome of different diseases. Pinellia ternata, Poria cocos, peach kernel and licorice are the commonly used traditional Chinese medicine of phlegm and blood stasis syndrome of different diseases.  Conclusion  Phlegm and blood stasis can be seen in almost all clinical system diseases. Traditional Chinese medicine diagnosis and treatment should not only pay attention to the use of common drugs, but also pay attention to the discovery of treatment methods and prescriptions with different disease characteristics. In the future, we can build a macro and micro integrated knowledge map of phlegm and blood stasis to provide assistance for the comprehensive response to phlegm and blood stasis-related diseases.
Bioinformatics analysis of the competing endogenous RNA network associated with papillary thyroid carcinoma
XIA Wenguang, ZHANG Hao, WEI Chuanxiong, Ali Haider, BI Jinzhe, ZENG Jiangzheng
2023, 21(4): 693-697. doi: 10.16766/j.cnki.issn.1674-4152.002962
648 16
Abstract:
  Objective  In recent years, due to the development of high-throughput sequencing, there are more and more studies on circular RNA (circRNA), but there are still a large number of circular RNA to be explored. In this paper, through the study of competitive endogenous RNA (ceRNA) in papillary thyroid carcinoma (PTC), we construct the ceRNA network of circRNA-miRNA-mRNA, explore the potential regulatory mechanism of circular RNA in PTC, and provide new ideas and insights for the clinical search of new markers or therapeutic targets.  Methods  Integrating the two major databases of GEO and TCGA, downloading the microarrays and clinical data related to PTC, and using bioinformatics methods to construct ceRNA network mechanisms related to survival analysis.  Results  A total of 16 differentially expressed genes of circular RNA, 199 miRNA and 4 308 mRNA were identified in the two databases. The possible binding miRNA of circular RNA was predicted by Cancer-Specific CircRNA Database and Wayne diagram was drawn. Eleven differentially expressed miRNA were predicted and integrated into mRNA target genes by TargetScan and miRDB databases. A total of 751 differentially expressed mRNA were obtained, which were integrated into ceRNA network and visualized by the interaction between the three. The protein interaction network was constructed by using the STRING website tool, and the top 10 hub genes with the highest density and closest to centrality were calculated and screened. GO and KEGG pathway enrichment analysis showed that hub genes were closely related to some cancer-related biological functions and pathways. Using the survival package in the R language to analyze the prognostic significance of hub genes, it was found that KCNA1 and NLGN1 were significantly associated with survival in patients with PTC.  Conclusion  In this study, we explored the potential involvement of circRNA in the development and progression of PTC through the ceRNA network. Our findings deepen our understanding of the pathogenesis and treatment of PTC from the perspective of circRNA.
Efficacy and safety of acupoint stimulation in the treatment of angina pectoris caused by coronary heart disease: A meta-analysis
GAO He, WU Peixiang, XIAO Liyun, LI Jing, YIN Juan, ZHANG Huiyuan
2023, 21(4): 698-703. doi: 10.16766/j.cnki.issn.1674-4152.002963
741 7
Abstract:
  Objective  The treatment of coronary heart disease and angina pectoris with acupoint stimulation therapy based on routine treatment have been increasingly reported, but no systematic evaluation of acupoint stimulation on coronary heart disease and angina pectoris has been conducted. At present, the effectiveness and safety of acupoint stimulation therapy in the treatment of coronary heart disease and angina pectoris are evaluated on the basis of the meta method of evidence-based medicine.  Methods  A systematic literature search was performed in the following databases: PubMed, the Cochrane Library, China National Knowledge Infrastructure, Chinese Biomedical Database, VIP and Wanfang Database. Randomised controlled trials (RCTs) on the effects of acupoint stimulation applied on patients with angina pectoris caused by coronary heart disease were collected in accordance with the pre-established inclusion and exclusion criteria. Chinese and English literatures published from the establishment of each database to March 31, 2021, were retrieved by combining subject headings and free terms. Two researchers independently screened out the literatures, extracted the data and evaluated the quality. RevMan 5.4 was used for data synthesis and meta-regression analysis.  Results  Finally, 25 RCTs with 2 095 patients were included, and the quality of the included literatures were all Grade B. Meta-analysis showed the efficacy of angina pectoris (RR=3.89, 95% CI: 2.66-5.70, P < 0.001), ECG efficacy (RR=2.96, 95% CI: 1.93-4.55, P < 0.001), TCM syndrome (RR=3.04, 95% CI: 2.12-4.36, P < 0.001), level of NO after treatment (RR=9.94, 95% CI: 5.69-14.19, P < 0.001) and hs-CRP level (RR=-4.70, 95% CI: -5.27 to -4.13, P < 0.001).  Conclusion  Acupoint stimulation can effectively improve the clinical efficacy of angina pectoris of coronary heart disease, and the occurrence of adverse events is less, with better safety and effectiveness.
Mechanism of Houpo-Mahuang Pair in treating bronchial asthma based on network pharmacology and molecular docking
HOU Xuewen, MENG Yong, HOU Congling, ZHU Danna, HU Yanshen, HOU Chaofeng
2023, 21(4): 704-708. doi: 10.16766/j.cnki.issn.1674-4152.002964
940 21
Abstract:
  Objective  To determine the mechanism of Houpo-Mahuang in treating bronchial asthma through network pharmacology and molecular docking and provide evidence for clinical application.  Methods  Traditional Chinese medicine systems pharmacology database (TCMSP) and Gene Cards databases were used to screen drug and disease targets. Common targets were found after standardised treatment. Cytoscape 3.7.2 software and String database were used to identify main active components and key target information. Gene ontology (GO) and Kyoto encyclopaedia of genes and genomes (KEGG) enrichment analysis were performed using Metascape platform to predict the molecular mechanism of effective components of traditional Chinese medicine acting on diseases. The main effective active components were preliminarily verified by molecular docking with the core targets of diseases.  Results  The main active ingredients of Houpo-Mahuang were quercetin, kaempferol, luteolin, β-sitosterol. The core target proteins were AKT1, IL-6, TNF and TP53. The GO function enrichment obtained 2 044 biological processes, 70 cell components and 165 molecular functions. The KEGG enrichment analysis obtained 329 signalling pathways, mainly including PI3K-Akt signalling pathway, cholinergic synapses, caffeine metabolism and AMPK signalling pathway. The molecular docking showed that the main active ingredients had good binding ability to the core target.  Conclusion  The Houpo-Mahuang treatment of bronchial asthma involves multiple signalling pathways and biological processes, among which the effects of improving airway remodelling, inhibiting airway inflammation, regulating immunity and reducing oxidative stress are mainly achieved through PI3K-Akt signalling pathway, cholinergic synapse, caffeine metabolism and AMPK signalling pathway. Results have certain guiding significance for further clinical research and new drug development.
The effect of ABCDEF cluster nursing strategy on the incidence and duration of delirium after cardiac surgery
CHEN Yu, XING Hongye, XU Zhaojun, ZHOU Xiaoyang
2023, 21(4): 709-712. doi: 10.16766/j.cnki.issn.1674-4152.002965
764 22
Abstract:
  Objective  To analyze the application of ABCDEF cluster nursing strategy in patients after cardiac surgery and its impact on postoperative delirium.  Methods  A total of 120 patients after cardiac surgery admitted to the Department of Critical Care of Ningbo Second Hospital from June 2020 to June 2022 were selected as the study subjects. They were divided into control group and observation group of 60 cases each according to the random number table method. The patients in the control group were treated with routine nursing, while the patients in the observation group were treated with ABCDEF cluster nursing strategy on the basis of the control group. The risk score and occurrence of postoperative delirium, sleep quality and pain severity before and after nursing were compared between the two groups, as well as the duration of mechanical ventilation, ICU stay and hospital stay.  Results  There was no significant difference in delirium risk score between the two groups at admission and 1 day before operation (P>0.05); With the extension of time, the difference of delirium risk score between the two groups was statistically significant (Fbetween groups=10.233, Pbetween groups < 0.001); The incidence of delirium in the observation group was 10.0% (6/60), lower than 30.0% (18/60) in the control group, and the duration of delirium in the observation group was shorter than that in the control group (P < 0.05). After nursing, the scores of sleep quality and pain degree in the observation group were 8 (3, 12) points and (1.95±1.21) points respectively, which were lower than those in the control group [12 (7, 16) points and (2.56±1.21) points, all P < 0.05]; The mechanical ventilation time, ICU stay and hospital stay of patients in the observation group were less than those in the control group (all P < 0.05).  Conclusion  The ABCDEF cluster nursing strategy can reduce the incidence and duration of delirium in patients after cardiac surgery, reduce postoperative pain, improve sleep quality and reduce hospital stay.
Effect of intermittent catheterization combined with pelvic floor muscle rehabilitation training on postoperative rehabilitation in patients with cervical cancer
ZHENG Zhi, WU Zhen, YAN Linzhi, JIN Xiaoqing, ZHAO Yu, MEI Huihong
2023, 21(4): 713-716. doi: 10.16766/j.cnki.issn.1674-4152.002966
834 18
Abstract:
  Objective  To explore the application of intermittent catheterization combined with pelvic floor muscle rehabilitation training in postoperative rehabilitation of patients with cervical cancer, analyze the influence on bladder function and quality of life of patients, and provide reference for the development of postoperative rehabilitation programs for cervical cancer.  Methods  A total of 94 cases of cervical cancer patients who received surgical treatment in the Second Affiliated Hospital of Wenzhou Medical University from October 2020 to October 2022 were included in the study. All patients were divided into experimental group and control group according to random number table method, with 47 cases in each group. The patients in the control group were received conventional pelvic floor rehabilitation measures after operation, and the patients in the experimental group were received intermittent catheterization combined with pelvic floor muscle rehabilitation training. The postoperative pelvic floor muscle strength recovery, pelvic floor function, bladder function and prognostic quality of life were compared between the two groups.  Results  The total effective rate of pelvic floor muscle strength rehabilitation in experimental group was 97.87% (46/47), which was higher than that in control group (72.34%, 34/47, P < 0.05). After 30 days of intervention, the maximum detrusor pressure, maximum urine flow, bladder compliance and other indicators were increased in both groups, and the bladder function index in experimental group was higher than that in control group (P < 0.05). After 30 days of intervention, PFDI-20 score of pelvic floor function was decreased in both groups, and PFDI-20 score of experimental group was lower than that in control group (P < 0.05). After 30 days of intervention, the GQOLI-74 score of quality of life in both groups was improved, and the GQOLI-74 score of experimental group was higher than that in control group (P < 0.05). The incidence of urinary tract infection, urinary retention in experimental group was lower than those in control group (P < 0.05).  Conclusion  Intermittent catheterization combined with pelvic floor muscle rehabilitation training can effectively improve the pelvic floor and bladder function of patients with cervical cancer after surgery, promote the recovery of pelvic floor muscle strength, improve the prognosis of life quality, and it is worthy of active application and promotion.
Clinical effect of interventional nursing measures for children with severe hypoxic ischemic encephalopathy treated with systemic mild hypothermia under invasive ventilation
HE Chun, CHEN Lijuan, HUANG Fengmei, HOU Zhanghua
2023, 21(4): 717-720. doi: 10.16766/j.cnki.issn.1674-4152.002967
627 8
Abstract:
  Objective  To explore the clinical efficacy of interventional nursing measures for children with severe hypoxic ischemic encephalopathy (HIE) treated with systemic mild hypothermia under invasive ventilation.  Methods  A total of 112 children with severe HIE admitted to Chenzhou First People ' s Hospital from February 2017 to February 2020 were selected as the research objects, and randomly divided into observation group and control group with 56 cases each group according to random number method. Both groups were treated with systemic mild hypothermia under invasive ventilation, the control group received routine nursing, and the observation group received interventional nursing measures on the basis of routine nursing. The clinical nursing effect of the two groups were observed and compared.  Results  The total incidence of complications such as urinary retention, pressure ulcers, epiduria, respiratory tract infection, arrhythmia and gastrointestinal bleeding was 26.79% in the observation group, and 83.93% in the control group. The total incidence of complications in the observation group was significantly lower than that in the control group (P < 0.01). The hospitalization days of observation group and control group were (15.83±2.96) d and (22.92±2.87) d, respectively, and the hospitalization expenses were (16 295.31±175.67) yuan and (28 975.33±195.83) yuan, respectively. The hospitalization days and hospitalization expenses of the observation group were significantly lower than those of the control group (all P < 0.001).  Conclusion  Interventional nursing measures can effectively improve the clinical effect of systemic mild hypothermia under invasive ventilation for severe HIE children, reduce the risk of related complications during treatment, shorten the length of hospital stay and save treatment expenses, and it is worthy of clinical promotion and use.