留言板

尊敬的读者、作者、审稿人, 关于本刊的投稿、审稿、编辑和出版的任何问题, 您可以本页添加留言。我们将尽快给您答复。谢谢您的支持!

姓名
邮箱
手机号码
标题
留言内容
验证码

当期目录

2026年  第24卷  第2期

全科医学论坛
老年肌少症社区管理方案
于溯, 孙艳格, 丁倩, 李晶, 杜雪平, 张萍, 王鹏, 任龙兵
2026, 24(2): 175-179. doi: 10.16766/j.cnki.issn.1674-4152.004356
19 8
摘要:
肌少症是一种以骨骼肌量和肌力进行性下降为特征的老年综合征,显著增加老年人跌倒、失能风险,严重影响老年人的生活质量。我国基层医疗服务机构对于肌少症的认识与研究起步较晚,作为肌少症防控的主战场,亟需规范化的管理方案。本方案由北京市月坛社区卫生服务中心牵头,基于国内外最新共识与指南,经全科医学、老年医学、营养学、康复医学等多学科专家团队反复讨论制定,旨在为基层医疗工作者提供系统指导。该方案内容包括:明确以65岁以上社区老年人为重点管理对象,遵循“预防为主、防治结合”及“个性化干预”原则;构建以全科医生为核心,联合护士、康复师、营养师的多学科协作团队;强调通过线上线下结合开展科普教育;利用小腿围、SARC-CalF量表、握力测试进行早期筛查;采用肌量、肌力及躯体功能综合评估和诊断;以营养及运动干预为核心,推荐每日蛋白质摄入≥1.2 g/(kg·d)并适当补充维生素D,同时结合抗阻与有氧训练,制定个体化运动处方;并建立转诊标准与随访机制,旨在规范社区肌少症管理流程,改善患者肌肉功能,实现科学防治。
指南与共识
糖尿病胃肠病中西医结合防治指南
中国医师协会中西医结合医师分会内分泌与代谢病专业委员会, 北京中西医结合学会内分泌专业委员会, 北京中医药管理局糖尿病中医防治办公室, 中国中医科学院广安门医院国家临床优势专科中医内分泌科
2026, 24(2): 180-191. doi: 10.16766/j.cnki.issn.1674-4152.004357
20 9
摘要:
《糖尿病胃肠病中西医结合防治指南》是由北京中西医结合学会内分泌专业委员会、北京中医药管理局糖尿病中医防治办公室、中国中医科学院广安门医院国家临床优势专科中医内分泌科组织全国内分泌科、消化内科重点专科临床专家共同编写。本指南以中西医结合为原则,基于循证医学证据采用共识会议法形成推荐意见,本指南内容涉及糖尿病胃肠病的中西医结合诊断、中西医结合治疗、中西医结合康复等。本指南的制订旨在为我国糖尿病胃肠病的规范诊疗提供参考, 提高糖尿病胃肠病的中西医结合防治水平。
专题/脓毒症
基于Lasso-logistic回归建立脓毒症相关肝损伤预测模型及防控策略
高婷, 付红, 邵敏, 宫娟
2026, 24(2): 192-195. doi: 10.16766/j.cnki.issn.1674-4152.004358
15 7
摘要:
  目的  鉴于脓毒症相关肝损伤(SALI)危害严重,本研究旨在运用Lasso-logistic回归构建SALI预测模型,并制定针对性的防控策略。  方法  选取2024年4月1日—2025年4月1日安徽医科大学第一附属医院收治的192例脓毒症患者为研究对象,根据是否发生肝损伤分为SALI组(40例)和NSALI组(152例)。收集2组患者临床相关资料,采取单因素分析研究不同因素对脓毒症患者SALI发生的影响。采用Lasso-logistic回归分析研究SALI发生的危险因素,建立SALI风险预测模型并使用ROC曲线进行验证分析。  结果  2组合并糖尿病、机械通气、合并休克、低氧血症、尿素、血小板计数、血乳酸(LAC)、序贯器官衰竭评分(SOFA评分)比较差异均有统计学意义(P < 0.05)。Lasso-logistic回归分析显示,合并糖尿病、合并休克、LAC、SOFA评分是发生SALI的独立危险因素(P < 0.05)。ROC曲线分析显示,合并糖尿病、合并休克、LAC、SOFA评分及列线图模型均可预测SALI,曲线下面积分别为0.615、0.620、0.843、0.837、0.948,其中列线图风险预测模型的AUC最高。  结论  合并糖尿病、合并休克、LAC、SOFA评分是SALI发生独立危险因素,基于此构建的列线图模型预测与实用价值高,利于为SALI患者制定精准防控策略。
基于双向两样本孟德尔随机化分析腰围增粗与脓毒症的因果关系
刘婷婷, 孙志岭, 肖俏, 文嘉旻, 马佳田, 仇营
2026, 24(2): 196-199. doi: 10.16766/j.cnki.issn.1674-4152.004359
4 0
摘要:
  目的  使用两样本孟德尔随机化分析,探讨腰围与脓毒症之间的潜在因果关系,为临床精准识别中心性肥胖人群中的高风险个体、制定感染性疾病的预防与干预策略提供循证依据。  方法  本研究为两样本双向MR设计,暴露变量为腰围(样本量462 166例),结局变量为脓毒症(病例11 643例,对照474 841例),数据均来源于全基因组关联研究(GWAS)数据集,以P<5×10-8、SNP间距离>10 000 kb、r2<0.001为筛选标准,选取腰围相关的单核苷酸多态性(SNP)作为工具变量。主分析方法为逆方差加权法(IVW),辅以MR-Egger回归、加权中位数法、简单模型及加权模型。通过MR-Egger截距检验评估水平多效性,采用“留一法”进行敏感性分析,确保结果的稳定性和可靠性。  结果  MR分析显示腰围与脓毒症在遗传预测上存在显著正向因果关系,IVW分析显示腰围每增加1个标准差,脓毒症的发生风险增加0.753倍(OR=1.753,95% CI:1.571~1.956,P<0.001),多种方法分析结果一致。敏感性分析及多效性检验提示结果稳健,未发现明显的偏倚。性别分层分析显示,男性和女性腰围与脓毒症风险关系一致。反向MR分析未发现脓毒症对腰围存在显著影响。  结论  本研究结果显示腰围增粗可增加脓毒症的发生风险,提示临床上应关注中心性肥胖人群在感染性疾病中的高风险价值,这为脓毒症的预防和管理提供了遗传学层面的新证据。
连续血液净化治疗对成人脓毒症患者外周血单核细胞mtDNA及线粒体复合物Ⅴ的影响
李智鑫, 吕铁, 金烈洲, 陈铝坚, 应利君
2026, 24(2): 200-204. doi: 10.16766/j.cnki.issn.1674-4152.004360
8 0
摘要:
  目的  脓毒症患者单核细胞线粒体功能受损,本研究通过观察连续性血液净化(CBP)治疗对脓毒症患者单核细胞线粒体DNA(mtDNA)及复合物Ⅴ的影响,探讨CBP治疗是否有助于改善脓毒症患者单核细胞线粒体功能。  方法  采用前瞻性队列研究分析2023年1月—2024年6月绍兴市人民医院重症医学科收治的150例脓毒症患者的临床资料,根据患者是否接受CBP治疗分为CBP组(82例)及非CBP组(68例)。分别在入组及治疗48 h时,检测单核细胞mtDNA、线粒体复合物Ⅴ水平;在2组中选择年龄及疾病严重程度相近的患者各20例,治疗48 h后分离出单核细胞体外培养,脂多糖(LPS)刺激后4、8、12、24、48 h检测mtDNA、线粒体复合物Ⅴ、TNF-α及IL-6水平。  结果  2组患者治疗48 h时mtDNA水平较入组时均明显下调,且CBP组mtDNA水平明显低于非CBP组(303.74±90.97 vs. 534.68±113.78,P < 0.01);CBP组治疗48 h时线粒体复合物Ⅴ水平较入组时明显上升[(101.12±33.46)pg/mL vs. (74.04±25.97)pg/mL,P < 0.01],非CBP组较入组时明显下降[(57.54±13.89)pg/mL vs. (72.84±25.30)pg/mL,P < 0.01];单核细胞体外孵育后4、8 h,CBP组mtDNA、线粒体复合物Ⅴ、TNF-α及IL-6水平均明显高于非CBP组(P < 0.01)。  结论  CBP治疗可能有助于改善脓毒症患者单核细胞线粒体功能。
全科医学论著
晕厥与肝癌患者术后总生存期的相关性
穆洪, 曹鹏禹, 周珊, 果彤, 陈思雨, JalalimaneshRahim, 陈玉茹, 孙玉琳, 刘杰昕, 徐玢, 马力
2026, 24(2): 205-208. doi: 10.16766/j.cnki.issn.1674-4152.004361
7 0
摘要:
  目的  探讨肝细胞肝癌术后1年内发生晕厥与总生存期的关系,为进一步做好肝癌患者的术后管理、提高安宁疗护质量提供参考。  方法  纳入2014年1月—2017年12月就诊于北京天坛医院并接受单纯手术切除肝细胞肝癌的患者,对患者追踪至死亡。收集患者基础资料和术后康复期晕厥发生、肿瘤复发转移等临床资料并进行生存分析,采用Kaplan-Meier法、Cox比例-风险回归模型进行单因素、多因素分析筛选影响总生存期的潜在因素。  结果  105例患者总体中位生存时间为(805.4±45.7)d,主要死因为肝癌。单因素Cox回归分析显示,有糖尿病史、甲胎蛋白水平高、1年内非头颈部转移灶、1年内有晕厥发生、AJCC分期较高均为肝癌术后总生存期的影响因素(P < 0.05)。多因素Cox回归分析显示,甲胎蛋白水平高(OR=1.669,95% CI: 1.031~2.704)、AJCC分期较高(OR=1.322, 95% CI: 1.037~1.685)均为肝癌术后总生存期的独立危险因素。  结论  肝癌术后1年内发生晕厥与肝癌术后总生存期可能有潜在关系,与其他危险因素可能存在交互或间接作用,值得未来在临床中关注。
间质性肺疾病患者居家肺康复行为影响因素的质性研究
许文锦, 王清, 代静泓, 苗桂玲, 高莉, 杨文芬
2026, 24(2): 209-213. doi: 10.16766/j.cnki.issn.1674-4152.004362
6 0
摘要:
  目的  从患者主观体验出发,深入了解间质性肺疾病患者居家肺康复行为的障碍与促进条件,为制订有效的居家肺康复方案提供理论支撑和实践指导。  方法  基于计划行为理论,通过目的抽样,运用描述性质性研究,对2024年9—12月在南京大学医学院附属鼓楼医院有居家肺康复经历的15例间质性肺疾病患者进行半结构式访谈。基于文献回顾、课题组讨论、预访谈,拟订访谈提纲,对访谈过程进行录音,采用MAXQDA 2022软件进行资料管理分析,采用内容分析法分析资料。  结果  共提炼出3个主题,10个亚主题,分别为行为态度因素(感知康复益处、运动恐惧、消极康复期望、康复方案偏好);主观规范因素(正向情感反馈激励康复行为、社会角色压力与责任驱动的“博弈”、医务人员积极态度的驱动效应);感知行为控制因素(不良躯体症状、康复资源获取受阻、康复环境支持不足等)。  结论  间质性肺疾病患者的居家肺康复行为受到行为态度、主观规范和感知行为控制因素的多重影响,医护人员应从患者角度出发,结合行为态度、家庭与社会支持、感知康复难易程度的因素全面考虑,增强间质性肺疾病患者康复价值感知,促进患者树立积极行为态度,完善多元支持系统,减少患者参与康复行为的阻碍因素,为患者提供个性化、全面化、动态调整的肺康复方案。
北京市朝阳区百日咳鲍特菌分离株药物敏感性和抗原基因型研究
庄吉, 李臻, 侯悦, 贾哲, 胡莹雪, 李阳, 刘洁
2026, 24(2): 214-216. doi: 10.16766/j.cnki.issn.1674-4152.004363
7 0
摘要:
  目的  收集百日咳疑似病例的鼻咽拭子,分离并培养百日咳鲍特菌(Bordetella pertussis,Bp)进行药物敏感性和抗原基因型分析,了解2018—2023年北京市朝阳区百日咳鲍特菌分离株的药物敏感性及抗原基因型变化。  方法  收集百日咳疑似病例鼻咽拭子样本1 200份,利用实时荧光定量PCR系统对鼻咽拭子进行检测,使用E-test试纸法评估Bp对红霉素、阿奇霉素等11种抗菌药物的最低抑菌浓度(MIC)。提取Bp基因组DNA,使用二代测序平台进行全基因组测序,获得抗原基因型和耐药相关位点序列。  结果  成功培养60株Bp;流行病学调查显示,年龄 < 1岁的患者有29例(48.3%)。59株对红霉素、克林霉素、阿奇霉素、克拉霉素均表现为耐药(MIC≥256 mg/L),1株对阿奇霉素敏感。此外,60株Bp的抗原序列型别共有2种,为prn1/ptxP1/ptxA1/fim2-1/fim3-1/tcfA2 (5/60,8.3%)、prn2/ptxP3/ptxA1/fim2-1/fim3-1/tcfA2 (55/60,91.7%)。所有菌株的多位点序列分型(MLST)均为ST-2型。所有Bp均发生了23S rRNA A2047G突变。  结论  Bp菌株的药物敏感性和抗原基因型均在发生变化,应增加对Bp菌株变异的研究。
老年胃癌幸存者虚弱症异质性轨迹研究及预后分析
周瑜玲, 陈吉祥, 经雨, 吴海勤, 周敏, 施文燕, 范昕
2026, 24(2): 217-220. doi: 10.16766/j.cnki.issn.1674-4152.004364
8 0
摘要:
  目的  探讨老年胃癌幸存者虚弱症异质性变化轨迹及影响因素,并进行预后分析。  方法  选取2020年6月—2022年6月江苏大学附属医院收治的488例老年胃癌患者,采用Tilburg虚弱指数(TFI)评估患者入院时和术后1、3、6、9、12个月时的虚弱程度。采用增长混合模型(GMM)识别虚弱轨迹亚型,并采用多因素logistic回归分析研究不同轨迹亚型的影响因素,采用Kaplan-Meier生存曲线分析不同轨迹亚型与患者总体生存率的关系。  结果  GMM模型识别出3种虚弱轨迹亚型,分别为低程度虚弱下降型[252例(51.6%)]、中程度虚弱平稳型[124例(25.4%)]和中程度虚弱增长型[112例(23.0%)]。多因素logistic回归分析显示,年龄、糖尿病、贫血、婚姻状况、个人月收入和微型营养评估量表(MNA-SF)评分均为中程度虚弱平稳型的独立影响因素(P<0.05);年龄、糖尿病、家庭照顾者、个人月收入、MNS-SF评分和社会支持评定量表(SSRS)评分均为中程度虚弱增长型的独立影响因素(P<0.05)。低程度虚弱下降型总体生存率高于中程度虚弱平稳型和中程度虚弱增长型(P<0.05);中程度虚弱平稳型总体生存率高于中程度虚弱增长型(P<0.05)。  结论  老年胃癌幸存者术后表现出3种虚弱轨迹亚型,不同虚弱轨迹亚型有不同的独立影响因素且和预后相关。
雷公藤多苷片联合硫酸羟氯喹及戈利木单抗方案治疗老年类风湿关节炎的疗效观察
杨永清, 王丽萍
2026, 24(2): 221-224. doi: 10.16766/j.cnki.issn.1674-4152.004365
14 0
摘要:
  目的  探讨雷公藤多苷片联合硫酸羟氯喹及戈利木单抗治疗老年类风湿关节炎(EORA)的药效与不良反应。  方法  纳入2018年6月—2022年12月就诊于兰州大学第二医院且年龄≥60岁的77例RA患者,采用简单随机分组分为实验组(40例)和对照组(37例)。应用雷公藤多苷片+硫酸羟氯喹(实验组)或者艾拉莫德(对照组)联合戈利木单抗治疗24周。记录类风湿关节炎(RA)的主要疗效指标:ACR疗效标准达到20%改善(ACR20)、50%改善(ACR50)、70%改善(ACR70)、类风湿关节炎疾病活动性评分(DAS28)缓解率,并全程监测不良反应。  结果  治疗第24周实验组分别有97.44%(38/39)、84.62%(33/39)、69.23%(27/39)和87.18%(34/39)的患者达到ACR20、ACR50、ACR70和DAS28;对照组分别有97.06%(33/34)、88.24%(30/34)、70.59%(24/34)和76.47%(26/34)的患者达到ACR20、ACR50、ACR70和DAS28。其中1例实验组患者失访,1例对照组患者失访,2例对照组患者因出现腕关节和踝关节肿胀改用其他方案治疗。  结论  雷公藤多苷片联用硫酸羟氯喹及戈利木单抗治疗RA能有效控制疾病进展,缓解临床症状,不良反应少,安全性良好,患者在治疗24周后整体评价高于对照组,其疗效不劣于艾拉莫德联合戈利木单抗,且经济费用优于对照组,是值得推广的一种治疗方式。
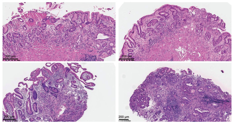
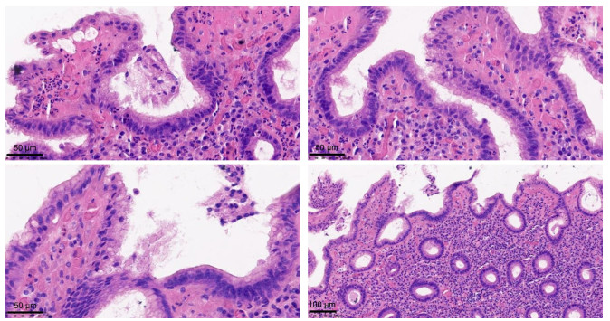
幽门螺旋杆菌感染相关胃炎与自身免疫性胃炎患者病情特征及其鉴别诊断因素分析
华男, 方莹, 严丽园, 陈盼云, 鲁姗姗, 周建波
2026, 24(2): 225-230. doi: 10.16766/j.cnki.issn.1674-4152.004366
9 0
摘要:
  目的  分析幽门螺旋杆菌感染相关胃炎与自身免疫性胃炎(AIG)患者病情特征,并探究影响鉴别诊断的因素,为早期识别胃炎类型提供理论依据。  方法  选取2022年9月—2023年12月于宁波大学附属阳明医院治疗的49例幽门螺旋杆菌(Hp)感染相关性胃炎患者为Hp组,选取同期49例自身免疫性胃炎患者为AIG组。收集2组患者的临床资料,并对患者病情特征和鉴别诊断因素进行回顾性分析及总结。  结果  2组患者胃轻瘫主要症状指数(GCSI)、抗内因子抗体(IFA)阳性、胃蛋白酶原Ⅰ(PGⅠ)、胃蛋白酶原Ⅱ(PGⅡ)、PGⅠ/PGⅡ值、胃泌素-17(G-17)比较,差异均有统计学意义(P < 0.05)。Hp相关性胃炎胃镜下可见胃窦黏膜红白相间,以白为主,黏膜下血管透见。AIG胃镜下可见胃底、胃体黏膜变薄,红白相间,以白为主,黏膜下血管透见,可见增生性息肉,而胃窦部相对正常。Hp相关性胃炎组织病理学表现为固有层浅表单核炎性细胞和胃腺颈部中性粒细胞的弥漫性浸润,可见肠型上皮细胞取代泌酸腺黏膜中的上皮细胞。AIG组织病理学表现为固有层中基底层为主的慢性炎性细胞浸润,可见腺上皮的假幽门化生或胰腺腺泡细胞化生。多因素logistic分析显示,PGⅠ/PGⅡ值(OR=0.278,P < 0.001)、G-17(OR=1.268,P=0.005)均为影响Hp相关性胃炎与AIG鉴别诊断的因素。  结论  G-17、PGⅠ/PGⅡ值和组织病理学可用于鉴别Hp相关性胃炎和AIG,以提高诊断的准确性。
粪便中SFRP2SDC2甲基化联合检测在结直肠癌筛查及预后评估中的价值
温贺新, 林洁, 金学泽, 郝博, 张宗兵, 左芦根, 刘牧林
2026, 24(2): 231-234. doi: 10.16766/j.cnki.issn.1674-4152.004367
11 0
摘要:
  目的  探究粪便中SFRP2SDC2基因甲基化联合检测在结直肠癌(CRC)筛查、诊断及预后评估中的临床价值,为无创筛查和个体化治疗提供依据。  方法  纳入2019年1—12月在蚌埠医科大学第一附属医院接受结肠镜检查的323例受试者,根据检查结果分为CRC组(149例)、腺瘤组(60例)、健康组(114例)。采用实时荧光定量PCR技术检测受试者粪便样本中SFRP2SDC2基因的甲基化水平。使用χ2检验分析不同患者临床病理特征CRC患者甲基化状态差异;采用Kaplan-Meier法比较生存差异;运用Cox回归模型分析影响预后的独立危险因素。  结果  CRC组SFRP2SDC2甲基化阳性率均显著高于腺瘤组和健康组(P < 0.001),且联合检测结果显示CRC组阳性检出率为91.95%(137/149),不同分化程度及TNM分期结直肠癌患者SFRP2SDC2基因甲基化阳性率差异均有统计学意义(P<0.001)。生存分析显示,SFRP2(log-rank χ2=14.300)、SDC2(log-rank χ2=23.240)甲基化阳性患者总生存率更低(P < 0.001)。Cox多因素分析结果显示,分化程度、TNM分期及SFRP2SDC2甲基化可能是结直肠癌预后的独立影响因素(P < 0.05)。  结论  粪便中联合检测SFRP2SDC2基因甲基化可提高结直肠癌检出率,其水平与肿瘤分化、TNM分期及生存率相关,这对早期筛查和个体化治疗具有重要的临床价值。
胃食管反流病与肠易激综合征因果关系的两样本孟德尔随机化研究
翟天祺, 江振宇, 张静洁, 年媛媛, 孟宪梅
2026, 24(2): 235-238. doi: 10.16766/j.cnki.issn.1674-4152.004368
9 0
摘要:
  目的  胃食管反流病(GERD)和肠易激综合征(IBS)是最常见的胃肠道疾病,GERD、IBS对患者的日常生活、工作和心理状态产生不同程度的影响。本研究将运用孟德尔随机化(MR)探究GERD与IBS两种疾病的因果关系。  方法  GERD数据、IBS数据均来自GWAS数据库,分别包括1 590 227例GERD样本,病例组462 753例,对照组1 127 474例;IBS样本486 601例,病例组53 400例,对照组433 201例,以上样本均来自欧洲人群。以IVW为主要分析方法,检验GERD与IBS二者之间的因果关系。运用IVW与MR-Egger法进行异质性检验,运用MR-Egger回归截距进行多效性检验,运用“留一法”检验研究的敏感性,使用F检验是否存在弱工具变量偏倚。  结果  选择GERD为暴露,以IBS为结局时,筛选并纳入191例SNP,结果提示GERD是增加IBS发生的危险因素,具有一定的因果联系(IVW法:OR=1.328,95% CI:1.269~1.390,P < 0.05),进行反向MR分析得出,IBS同样会增加发生GERD的风险(IVW法:OR=1.453,95% CI:1.092~1.932,P < 0.05)。  结论  GERD与IBS存在双向因果关系,GERD的存在会增加IBS的风险,而IBS同样对GERD具有正向作用。
全科临床研究
老年脑卒中恢复期患者积极度及其影响因素分析
钱苑, 张希萍, 董奇敏
2026, 24(2): 239-242. doi: 10.16766/j.cnki.issn.1674-4152.004369
7 0
摘要:
  目的  探究老年脑卒中恢复期患者积极度的影响因素,便于临床制定更具针对性的患者积极度干预策略,以促进患者的自我管理。  方法  采用便利抽样法,选取2024年1—12月杭州市第一人民医院收治的241例脑卒中患者为调查对象,通过医院电子病历系统收集患者人口学信息、疾病资料;采用患者积极度量表(PAM-13)、领悟社会支持量表、脑卒中病耻感量表分别测量积极度、社会支持及病耻感;采用多重线性回归分析患者积极度的影响因素。  结果  老年脑卒中患者PAM-13得分为(59.22±9.36)分,社会支持得分为(59.06±10.31)分,病耻感得分为(46.10±9.17)分。积极度与领悟社会支持呈正相关关系(r=0.419, P<0.01),与病耻感呈负相关关系(r=-0.386, P<0.01)。多重线性回归分析显示,年龄(70~岁,β=-0.103;≥80岁,β=-0.197)、文化程度(高中/中专,β=0.121;大专及以上,β=0.243)、家庭人均月收入(≥3 000元,β=0.262)、婚姻状况(已婚,β=0.110)、自理能力(部分自理,β=0.159;完全自理,β=0.270)、病耻感得分(β=-0.135)、社会支持得分(β=0.238)均是老年脑卒中恢复期患者积极度的影响因素(P < 0.05)。  结论  老年脑卒中恢复期患者积极度与年龄、经济状况、文化程度、婚姻状况、自理能力、病耻感及社会支持水平有关,建议临床针对性制定干预策略,提升患者积极度水平。
慢病防治研究
应激过程模型视角下老年慢性阻塞性肺疾病患者运动恐惧的质性研究
何欢, 赵雪, 蔡鹏, 詹小亚, 马蕾
2026, 24(2): 243-246. doi: 10.16766/j.cnki.issn.1674-4152.004370
9 0
摘要:
  目的  老年慢性阻塞性肺疾病患者心肺功能逐渐降低,运动耐力明显下降,其担心运动会进一步加重呼吸困难症状而对运动产生恐惧心理。本研究从应激过程模型视角进行访谈,深入探究老年慢性阻塞性肺疾病患者运动恐惧的心理体验及其关键影响因素,为临床医护人员制定相关干预措施提供参考依据。  方法  采用目的抽样法,选取2024年5—8月贵州医科大学附属医院收治的老年慢性阻塞性肺疾病患者作为研究对象,进行半结构式访谈,最终访谈患者12例。采用传统内容分析法对资料进行分析归纳并提炼主题。  结果  老年慢性阻塞性肺疾病患者运动恐惧心理体验共归纳出4个主题:(1)运动相关压力源感知与认知偏差(运动诱发不适的威胁感、对运动获益/风险的失衡认知、自我效能低下)。(2)支持系统匮乏(家庭支持不足、医疗信息不准)。(3)消极应对策略(主动回避、情感聚焦式应对如焦虑/无助)。(4)负性身心结局(运动恐惧加剧、功能活动受限)。  结论  老年慢性阻塞性肺疾病患者运动恐惧受多因素的共同影响,在临床实践中,医护人员应及时纠正患者对运动的认知偏差,提供多元支持,引导患者采取积极的应对方式以及为患者提供相应的心理疏导,从而帮助患者减轻运动恐惧体验,促进患者康复。
腹透1年时血清白蛋白变化对腹膜透析患者死亡风险的预测价值
金李, 吕晶, 王晓培, 梁嫦娜, 李昭, 路万虹
2026, 24(2): 247-250. doi: 10.16766/j.cnki.issn.1674-4152.004371
7 0
摘要:
  目的  透析前低蛋白血症影响腹膜透析患者生存,白蛋白(ALB)改善对生存率作用的研究较少。本研究结合随访数据,分析腹膜透析1年时ALB变化对患者预后的影响。  方法  回顾分析西安交通大学第一附属医院肾脏内科2015年1月—2019年12月新置管并规律随访超过1年的356例PD患者资料。根据透析前、透析1年时ALB是否≥35 g/L及其变化, 分为持续ALB低水平组(A组,66例)、ALB升高组(B组,113例)、ALB降低组(C组,24例)、持续ALB高水平组(D组,153例)。采用Kaplan-Meier法比较不同组累积生存率,采用Cox风险回归模型评估全因死亡风险。  结果  与透析1年ALB≥35 g/L患者比较,ALB < 35 g/L者肌酐、血红蛋白、握力较低,超敏CRP、腹膜蛋白清除率较高。多因素logistic回归显示,透析初始月高腹膜蛋白清除率(OR=1.023,P < 0.001)、低握力(OR=0.947,P=0.020)、透析1年时高超敏CRP(OR=1.078,P=0.005)、水肿(OR=2.447,P=0.001)均是透析1年时ALB < 35 g/L的独立影响因素。Cox比例风险模型显示,透析1年时ALB < 35 g/L是腹透患者死亡的独立影响因素(OR=3.164,P=0.001)。  结论  透析初始月高腹膜蛋白清除率及低握力,高超敏CRP、水肿是预测透析1年时ALB < 35 g/L的独立危险因素。透析后ALB升高可明显降低腹膜透析患者的死亡风险。
妇幼卫生研究
多西环素在治疗儿童百日咳中的疗效与安全性
何雨暄, 王华平, 赵仕勇, 詹璐
2026, 24(2): 251-254. doi: 10.16766/j.cnki.issn.1674-4152.004372
9 0
摘要:
  目的  探讨多西环素在8岁及以上儿童百日咳临床治疗中的有效性与安全性。  方法  回顾性分析2023年12月—2024年5月于浙江省中西医结合医院儿科门诊就诊的166例8岁及以上百日咳患儿,根据抗生素选择的不同分为阿奇霉素组(62例),复方磺胺甲噁唑(TMP-SMZ)组(48例)和多西环素组(56例),比较3组治疗效果、症状缓解时间及不良反应发生率等。  结果  阿奇霉素组显效9例,有效11例,无效42例,总有效率为32.25%;TMP-SMZ组显效14例,有效26例,无效8例,总有效率为83.33%;多西环素组显效18例,有效26例,无效12例,总有效率为78.57%。阿奇霉素组总有效率低于其余2组(Bonferroni校正后P<0.001)。阿奇霉素组、TMP-SMZ组、多西环素组症状缓解时间分别为(13.05±4.23)d、(11.00±2.30)d、(11.23±2.59)d,阿奇霉素组长于其余2组(P < 0.05)。不良反应方面,阿奇霉素组和多西环素组分别有11例、5例患儿出现消化道症状;TMP-SMZ组共14例患儿出现不良反应,其中4例为消化道症状,10例为皮疹,其皮疹、总不良反应发生率均高于多西环素组(Bonferroni校正后P < 0.017)。  结论  多西环素能有效缓解8岁及以上百日咳患儿症状,且不良反应较少,具有一定的临床应用价值。
应用中长导管输液在儿童复杂肢体创伤治疗中的优势及相关静脉炎预测
陆静雯, 王瑞, 董浩娟, 孙灰灰
2026, 24(2): 255-258. doi: 10.16766/j.cnki.issn.1674-4152.004373
7 0
摘要:
  目的  儿童复杂肢体创伤需长期静脉治疗,传统留置针静脉炎发生率高。本研究比较中长导管与留置针疗效差异,并建立静脉炎风险预测模型,为临床决策提供依据。  方法  回顾性分析2018年1月—2024年6月无锡市第九人民医院儿童骨科收治的86例复杂肢体创伤患儿临床资料,按静脉通路分为观察组(中长导管,60例)和对照组(外周留置针,26例),比较其输液风险及并发症情况。基于观察组静脉炎发生情况再分为发生组(30例)和未发生组(30例);采用lasso回归筛选风险因素,Logistic回归研究独立危险因素,使用R语言构建预测模型。  结果  观察组不良事件总发生率低于对照组,差异有统计学意义(P < 0.05)。观察组静脉炎发生率为50.00%(30/60),对照组为69.23%(18/26),差异有统计学意义(χ2=3.906,P=0.048)。Logistic回归分析显示,静脉治疗时间增加(B=0.079,OR=1.082)、套管针滞留时间延长(B=0.163,OR=1.177)、药物刺激性强度增高(B=0.562,OR=1.755)均是静脉炎发生的独立危险因素。构建的预测模型AUC为0.933,绝对误差平均值为0.054,具有良好的预测效能。  结论  在治疗中,中长导管与外周留置针的置管成功率相当,但中长导管具有留置时间长、输液风险低、并发症少的优势;且静脉炎预测模型可预测中长导管治疗患者的静脉炎发生概率,为临床决策提供参考。
固肺止咳汤联合孟鲁司特钠治疗儿童慢性咳嗽的疗效及对患儿免疫功能、炎症反应的影响
方芳, 叶龙
2026, 24(2): 259-261. doi: 10.16766/j.cnki.issn.1674-4152.004374
12 0
摘要:
  目的  儿童慢性咳嗽症状缠绵难愈应予以重视,本研究分析固肺止咳汤联合孟鲁司特钠治疗儿童慢性咳嗽(肺脾两虚型)的疗效及对患儿免疫功能、炎症反应的影响。  方法  采用随机数字表法将2023年7月—2024年6月温州市中西医结合医院儿科收治的180例慢性咳嗽儿童分为西药组和中西药结合组,各90例。西药组给予孟鲁司特钠治疗,中西药结合组给予固肺止咳汤+孟鲁司特钠治疗。治疗1个月后比较2组临床疗效、咳嗽改善情况、中医证候积分、免疫功能[免疫球蛋白(IgG、IgM、IgA)]及炎症反应[呼出气一氧化氮(FeNO)、血清超敏C反应蛋白(hs-CRP)、白细胞介素4(IL-4)]。  结果  中西药结合组总有效率高于西药组[85.56%(77/90) vs.70.00%(63/90),χ2=6.300,P=0.012]。中西药结合组咳嗽缓解、咳嗽消失时间均短于西药组[(15.23±3.41)d vs. (18.47±3.65)d、(22.19±1.93)d vs.(24.86±2.05)d,P < 0.05];治疗1个月后,2组中医证候积分、FeNO、hs-CRP、IL-4水平均降低,且中西药结合组低于西药组(P < 0.05);治疗1个月后,2组IgG、IgM、IgA水平均升高,且中西药结合组高于西药组(P < 0.05)。  结论  固肺止咳汤联合孟鲁司特钠可有效治疗儿童慢性咳嗽,改善患儿症状,提高免疫功能,缓解炎症反应。
基社卫生研究
上海市静安区社区卫生服务中心全科医生临床能力评估现况及问题分析
华明, 石建伟, 沈天寒
2026, 24(2): 262-266. doi: 10.16766/j.cnki.issn.1674-4152.004375
10 0
摘要:
  目的  通过开展上海市静安区社区在职全科医生临床能力评估,分析其现况及薄弱点,为在职全科医生临床继续教育深化,助力全科医生临床能力提升提供依据。  方法  2023年8—12月,组织静安区内所有的15家社区卫生服务中心在职的192名临床西医全科医生参加临床诊疗能力评估(包括临床理论知识、临床操作技能)。采用多元线性回归分析全科医生临床能力评估成绩的影响因素。  结果  192名全科医生临床能力评估总成绩平均分为73.42±11.42(合格率86.46%);理论成绩平均分为68.77±15.53(合格率71.35%);操作技能平均分为82.48±16.81(合格率98.96%)。多元线性回归分析显示,规培情况(P < 0.001)、师资情况(P < 0.001)、轮训轮转情况(P=0.003)均是理论成绩得分的影响因素,师资情况(P=0.007)是放射片判读得分的影响因素,规培情况(P < 0.001)、师资情况(P < 0.001)、轮训轮转情况(P=0.025)均是总成绩的影响因素。  结论  社区在职全科医生临床能力总体评分不高,在临床理论知识及心电图方面较为薄弱,相比而言未经过规培、未获得师资、未定期轮训轮岗全科医生的总体临床能力不足更为明显。针对这些因素,未来需从优化毕业后教育与继续教育内容与形式、完善继续教育培训考核与动态评估等方面入手,完善全科医生规范化培训、加强全科师资队伍建设、有序推进轮训轮岗,构建科学合理的全科医生临床能力可持续发展体系,共同推动全科医生临床能力的持续提升。
健康促进与健康教育
FKBP5基因多态性对头发皮质醇预测抑郁症患者自杀意图的影响
罗伏钢, 何茜, 吴月静
2026, 24(2): 267-270. doi: 10.16766/j.cnki.issn.1674-4152.004376
11 0
摘要:
  目的  分析FKBP5 rs1360780基因多态性对头发皮质醇水平预测抑郁症患者自杀意图价值的影响,为遗传分层下客观生物标志物的风险识别提供依据。  方法  选取2022年5月—2024年5月杭州市第七人民医院诊治的抑郁症自杀意图患者80例作为观察组,以1∶1的比例为每位观察组患者匹配基本信息、生活习惯和疾病史相似的无自杀意图抑郁症患者作为对照组。比较不同患者汉密尔顿抑郁量表(HAMD)、自杀意念自评量表(SIOSS)、FKBP5 rs1360780多态性、头发和血清皮质醇水平,分析患者自杀意图的危险因素。  结果  rs1360780 CT/TT、rs1360780 CC以及所有患者中,血清与头发皮质醇水平呈正相关关系,血清和头发皮质醇水平与HAMD和SIOSS呈正相关关系。自罪感(OR=2.568,95% CI:1.345~4.903)、焦虑(OR=2.077,95% CI:1.313~3.286)、绝望感(OR=1.024,95% CI:1.008~1.040)、rs1360780 CT/TT(OR=3.831,95% CI:2.436~6.024)、HAMD(OR=2.440,95% CI:1.847~3.223)和SIOSS(OR=1.506,95% CI:1.060~2.138)升高均是抑郁症患者自杀意图的独立危险因素。  结论  头发皮质醇水平对抑郁症患者自杀意图的预测价值受到FKBP5 rs1360780携带T等位基因的影响。
行支气管镜检查患儿家长健康教育需求现状及影响因素分析
崔玉会, 魏文雅, 黄利娜, 齐美桃, 刘雪娇, 霍培卿
2026, 24(2): 271-274. doi: 10.16766/j.cnki.issn.1674-4152.004377
9 0
摘要:
  目的  本研究旨在探寻行支气管镜检查患儿家长健康教育需求现状,并分析其影响因素,为制定针对性的干预措施提供科学依据。  方法  按入院先后顺序选取2023年3月—2024年2月在河北省儿童医院接受支气管镜检查的200例患儿家长作为研究对象,采用问卷形式调查患儿家长的健康教育需求,总分前25%的家长分入需求较高组,其余家长分入需求一般及无需求组。以logistic回归模型分析影响家长健康教育需求的因素,以ROC曲线分析影响因素对家长健康教育需求现状的预测价值。  结果  200例患儿家长中53例(26.5%)对疾病知识和健康教育需求程度较高。家长年龄、文化程度、职业、家庭月收入等均是影响健康教育需求的因素(P<0.05)。ROC曲线分析显示,家庭月收入、家长文化程度、职业、年龄、联合预测的曲线下面积(AUC)分别为0.715(95% CI:0.655~0.765)、0.783(95% CI:0.722~0.835)、0.727(95% CI:0.683~0.782)、0.661(95% CI:0.601~0.711)、0.878(95% CI:0.815~0.920)。170例(85.0%)患儿家长最期望健康教育知识获取途径为网络。需求较高组对术前准备、术中配合、术后护理及并发症预防方面的健康教育需求较高。  结论  医护人员应根据患儿家长的家庭月收入、文化程度、职业、年龄等情况,提供针对性的健康教育服务。
诊断技术研究
Xpert MTB/RIF在涂阳患者中对NTM肺病的诊断价值及NTM菌种分布特征分析
刘文彬, 唐磊明, 王敏, 蔡成松, 潘峰
2026, 24(2): 275-279. doi: 10.16766/j.cnki.issn.1674-4152.004378
12 0
摘要:
  目的  评估Xpert MTB/RIF在涂阳患者中对非结核分枝杆菌(NTM)肺病的诊断价值以及分析NTM的菌种分布,以提高临床对涂阳NTM肺病患者的早期诊断能力。  方法  回顾性选取2020年4月—2024年9月杭州师范大学附属医院收治的122例住院患者(NTM肺病73例、肺结核49例)为研究对象,以涂阳患者为分析亚组,通过Kappa分析验证Xpert与基质辅助激光解析电离飞行时间质谱(MALDI-TOF MS)对NTM肺病和肺结核的鉴别诊断一致性,同时分析NTM的菌种分布特征。  结果  Xpert在涂阳NTM肺病、涂阴NTM肺病、涂阳肺结核和涂阴肺结核患者中阳性率分别为1.92%(1/52)、0%(0/21)、100.00%(38/38)、72.73%(8/11),1例脓肿分枝杆菌脓肿亚种被Xpert误判为结核分枝杆菌(MTB)。73例NTM肺病患者中单一菌株感染79.45%(58/73),2种及以上NTM菌株混合感染20.55%(15/73),检测出的89株NTM菌型中较常见的分别为胞内分枝杆菌62.92%(56/89)和脓肿分枝杆菌17.98%(16/89)。Xpert与MALDI-TOF MS检测在涂阳患者中对NTM肺病和肺结核鉴别诊断的一致性极好(Kappa=0.938,P < 0.001)。  结论  胞内分枝杆菌是NTM肺病患者中最常见的菌种类型,其次为脓肿分枝杆菌。Xpert在涂阳患者中能有效区分NTM肺病与肺结核,对涂阳NTM肺病的诊断具有显著的临床价值。
颈动脉轻度狭窄患者脑部症状发生与肠道菌群代谢产物和内质网应激产物表达之间的关系
龚楚, 赵伊婷, 汤新乐, 杜敏杰, 张裕祥
2026, 24(2): 280-284. doi: 10.16766/j.cnki.issn.1674-4152.004379
7 0
摘要:
  目的  探讨颈动脉轻度狭窄患者脑部症状发生与肠道菌群代谢产物和内质网应激产物表达之间的关系,明确肠道菌群代谢产物介导内质网应激途径在动脉粥样硬化发生发展中的作用。  方法  回顾性分析2021年1月—2023年6月在新疆医科大学第六附属医院接受颈动脉超声检查的87例患者的数据集,采用qRT-PCR分析外周血内质网应激标记物C/EBP同源蛋白(CHOP)mRNA水平。收集患者入院后首次新鲜粪便样本,并通过高效液相色谱法分析样本中短链脂肪酸(SCFAs)水平。  结果  与无症状组相比,症状组高血压例数、斑块长度、斑块面积、外周血CHOP mRNA表达显著增加(P < 0.05),肠道菌群代谢产物乙酸、丙酸、丁酸、异戊酸、戊酸水平显著降低(P < 0.05)。CHOP mRNA表达与斑块长度、斑块面积均呈正相关关系(r=0.299、0.221,P<0.01),与乙酸、丙酸、丁酸、异戊酸、戊酸水平均呈负相关关系(r=-0.324、-0.285、-0.450、-0.233、-0.332,P<0.05)。斑块长度与丁酸、异戊酸均呈负相关关系(r=-0.302、-0.313,P<0.01)。斑块面积与丙酸、丁酸、异戊酸均呈负相关关系(r=-0.230、-0.261、-0.276,P<0.05)。丁酸的预测能力最高,当截止值为8.8时,其AUC为0.902,灵敏度为77.1%,特异度为84.0%。其次为CHOP mRNA表达,当截止值为0.60时,其AUC为0.811,灵敏度为62.9%,特异度为94.0%。  结论  粪便乙酸、丙酸、丁酸、异戊酸、戊酸水平降低以及外周血CHOP mRNA表达增加可能与轻度颈动脉狭窄患者出现脑部症状相关,并且这些变化又与颈动脉斑块特征相关。
医学综述
老年人急性肌少症研究进展
朱仲鑫, 金芳, 金楚楚, 朱黎明, 姚晓聪
2026, 24(2): 285-288. doi: 10.16766/j.cnki.issn.1674-4152.004380
24 0
摘要:
急性肌少症是一种常见于老年人的肌肉病变,主要由急性疾病、手术或住院等应激事件引发,表现为肌肉质量和功能的快速丧失。随着全球老龄化的加速,急性肌少症已成为重要的公共健康问题,显著影响患者的生活质量和预后。肌少症的发生与年龄增长过程中的生理性变化密切相关,老年人活动量逐渐减少,伴随肌肉生理性减少,叠加衰弱、营养不良和骨质疏松等因素,使得肌少症的诱发风险增加。研究表明,住院老年患者中急性肌少症的发生率较高,然而,由于缺乏常规的肌肉质量和功能评估,其诊断率较低,实际发生率可能被低估。急性肌少症不仅会延长患者的住院时间,还会增加并发症和死亡风险,严重影响患者的预后和生活质量。急性肌少症的发病机制复杂,主要涉及肌肉废用、炎症反应、内分泌紊乱及线粒体损伤等多个方面。针对急性肌少症的干预措施包括运动锻炼、营养干预、神经肌肉电刺激和药物治疗等。尽管在急性肌少症的研究中取得了一定进展,但在发病机制、诊断标准和治疗策略等方面仍面临诸多挑战。未来的研究应着重阐明急性肌少症的分子机制,开发早期诊断指标,优化个体化治疗方案,并建立以老年医学科为主导的多学科协作诊疗模式,以提高临床诊疗水平。鉴于此,本文对急性肌少症的最新研究进展进行了综述,包括其定义、流行病学特征、发病机制、治疗策略及预防措施,旨在为临床医师提供有效的诊疗思路,并为未来的研究提供参考。
中医药防治非酒精性脂肪性肝病的作用机制研究进展
王亚楠, 张金朋, 夏美卉, 任谦谊, 韩信慧, 梁国英
2026, 24(2): 289-293. doi: 10.16766/j.cnki.issn.1674-4152.004381
11 0
摘要:
目前非酒精性脂肪性肝病(NAFLD)发病率越来越高,已成为全球性的健康问题。NAFLD主要表现为肝细胞内脂肪的异常堆积,是一种代谢性疾病,病理机制复杂,与胰岛素抵抗、内质网应激、线粒体功能障碍、氧化应激、自噬、肠道菌群异常等密切相关。目前,西医在NAFLD的治疗上尚未找到特效药物,而中医药在NAFLD防治领域展现出独特优势和巨大潜力。中医认为其病机核心在于肝失疏泄、脾失健运,导致痰湿与瘀血相互交织,阻滞肝络,使体内肥浊之气积聚于肝脏。治疗上以疏肝健脾、化浊祛瘀为基本原则。近年来,大量研究聚焦于中药复方、单药及活性成分的作用机制,揭示其通过多靶点、多通路协同调节有效干预NAFLD进程的核心途径,然而,关于中医药防治NAFLD作用机制的全面综述文章相对较少。本综述系统整合了中医药防治NAFLD的最新研究成果,深入剖析了其基于整体观和辨证论治原则,在分子、细胞及系统层面的多层次、多靶点作用机制。这不仅为深入理解NAFLD的复杂发病网络提供了独特视角,也为临床精准应用中医药、开发基于中药的创新疗法提供了坚实的理论基础和重要的研究方向。
预防/保健 中医/康复
Hammersmith婴儿神经发育评估联合早期针刺在脑损伤高危儿康复治疗中的应用
白玉沛, 曾姣峰, 李玉杰, 韩美美, 刘珍珍, 吕楠
2026, 24(2): 294-298. doi: 10.16766/j.cnki.issn.1674-4152.004382
10 0
摘要:
  目的  目前仍缺乏脑损伤高危患儿早期康复的统一规范。本文探讨Hammersmith婴儿神经发育评估(HINE)联合早期针刺在脑损伤高危患儿康复治疗的应用价值,以期为此类患儿治疗提供依据。  方法  选取2022年11月—2024年5月郑州大学附属儿童医院收治的88例脑损伤高危患儿,使用计算机生成随机数字表法将患者随机分为常规组和治疗组各44例,经严格筛选纳入2组各42例。常规组行常规康复训练,治疗组行常规康复训练、HINE、早期针刺等,疗程3个月。比较治疗总有效率、运动能力[婴幼儿脑性瘫痪粗大运动功能评价量表(GMFM88)和脑瘫患儿精细运动功能测试量表(FMFM)]、神经功能[血清髓鞘碱性蛋白(MBP)、脑源性神经营养因子(BDNF)、神经元特异性烯醇化酶(NSE)]、脑血流动力学[脑动脉平均血流速度(Vm)、动脉收缩期峰值流速(Vs)、血管阻力指数(RI)]、并发症。  结果  治疗组总有效率(95.24%,40/42)高于常规组(76.19%,32/42,χ2=6.222,P=0.013);治疗后,治疗组GMFM88和FMFM的A区和B区评分、血清BDNF、Vm、Vs高于常规组,血清MBP、NSE、RI低于常规组(P < 0.05);2组近远期并发症差异无统计学意义(P>0.05)。  结论  HINE联合早期针刺有利于提升脑损伤高危患儿康复治疗效果,改善患儿运动发育、促进患儿神经修复和保护、增加患儿脑组织血流灌注。
基于智能电子标签系统在疫苗管理中的应用效果分析
王军, 刘晓华, 梁佳志, 陈旭东, 陈俊虎, 黄竹航, 朱芳军
2026, 24(2): 299-301. doi: 10.16766/j.cnki.issn.1674-4152.004383
11 1
摘要:
  目的  评价应用疫苗智能电子标签系统对疫苗管理的效果,为国内疾病预防控制机构进一步研究提供参考。  方法  本研究自2022年1月1日—2023年12月31日选择广州市海珠区6个预防接种门诊作为智能电子标签组,采用简单随机抽样方法抽取6个预防接种门诊(18个门诊)作为纸质标签组,智能电子标签组预防接种门诊采用苏州冷王网络科技有限公司的智能电子标签系统对疫苗实行管理和监测,纸质标签组采用传统的纸质标签管理。2组预防接种门诊各抽取2022年1月以来的400次日常管理形成的数据,分析2组疫苗每天盘点、每月盘点、冷库摆放记录、标签记录、盘点登记表等信息。  结果  智能电子标签系统使疫苗管理实现“六统一”,和纸质标签组纸质标签管理疫苗相比,智能电子标签系统每日的疫苗清点、拣苗耗时平均缩短(2.1±0.2)h(t=132.816,P < 0.001);智能电子标签系统管理疫苗发苗登记错误7次(1.75%),纸质标签40次(10.00%),差异有统计学意义(χ2=24.616,P < 0.001);应用智能电子标签系统管理报废疫苗1 409剂次,疫苗报废率为0.34%,使用纸质标签管理报废疫苗3 291剂次,疫苗报废率为1.80%,差异有统计学意义(χ2=3 400.141,P < 0.001)。  结论  智能电子标签系统符合中国疫苗管理法中有效期规范管理的要求,可以有效、规范管理疫苗,减少疫苗使用差错和疫苗报废的发生,提高预防接种门诊的疫苗管理效率。
全科医学教育研究
基于虚拟现实技术的翻转课堂在肿瘤学临床教学中的应用
张琼, 孔胜男, 李沂泽, 杨静, 张红梅
2026, 24(2): 302-305. doi: 10.16766/j.cnki.issn.1674-4152.004384
7 0
摘要:
  目的  虚拟现实培训系统通过构建三维立体的人体结构模型来应用于医学教育。翻转课堂是以学生为主体的互动教学模式。本文旨在探索虚拟现实技术联合翻转课堂在肿瘤学临床教学中的应用效果。  方法  选取2021—2023年于空军军医大学第一附属医院肿瘤科进行规范化培训的专业学位硕士研究生和住培医师50人为研究对象,采用随机数字表法分为试验组(25人)和对照组(25人)。以乳腺癌临床教学为例,试验组采用基于虚拟现实技术的翻转课堂教学模式进行临床带教,对照组采用传统教学模式,通过临床技能考核、问卷调查及满意度反馈等方式对比2种教学方法的教学效果。  结果  与对照组相比,试验组在诊疗原则制定及前沿临床研究了解掌握方面的考核成绩明显提高(25.84±2.61 vs. 23.64±3.49,t=2.535, P=0.018;25.64±2.27 vs. 22.56±3.39,t=3.774, P<0.001)。试验组在自主学习及查阅文献能力、记忆掌握肿瘤TNM分期、分期的准确率及对肿瘤学学习兴趣方面有较大的提升,组间差异均有统计学意义(P<0.05)。  结论  基于虚拟现实技术的翻转课堂应用于肿瘤学临床教学,使学员在自主学习及查阅文献能力、记忆掌握肿瘤TNM分期、对肿瘤学的学习兴趣方面有较大提升,在诊疗原则及前沿临床研究掌握方面的考核成绩明显提高,对增加教学满意度及提高教学效果起到积极的作用,值得进一步推广应用。
翻转课堂结合CBL教学模式在泌尿外科临床教学中的实践与体会
李彦泽, 宁金卓, 康鹏, 袁润, 姚小兵, 谢金娜, 李浩勇
2026, 24(2): 306-308. doi: 10.16766/j.cnki.issn.1674-4152.004385
8 0
摘要:
  目的  针对传统临床教学中学生被动接受基础知识、临床理论与实践脱节等问题,探讨翻转课堂模式结合以案例为核心的教学模式(CBL)在泌尿外科临床教学中的应用效果。  方法  选取2022年9月—2024年6月于武汉大学人民医院泌尿外科实习的临床医学专业本科生80人,采用抽签分组法,随机分为实验组和对照组,每组40人。实验组采用翻转课堂结合CBL教学模式,对照组采用传统教学模式。比较2组学生的理论知识考核成绩、诊疗思维考核成绩、实践能力考核成绩及教学效果调查问卷结果。  结果  实验组的理论知识考核成绩[(89.5±4.2)分]、诊疗思维考核成绩[(78.4±2.5)分]和实践能力考核成绩[(91.3±3.8)分]均高于对照组的(82.1±5.1)分、(71.6±2.1)分、(83.6±4.6)分,差异均有统计学意义(P < 0.05),且实验组在提高自主学习能力(92.5%,37人)、培养临床思维(97.5%,38人)、增强团队协作(90.0%,36人)等方面满意度均优于对照组(72.5%,29人;67.5%,27人;62.5%,25人;P<0.05)。  结论  翻转课堂模式结合CBL教学模式在泌尿外科临床教学中能显著提高学生的理论基础成绩和临床实践能力,同时提升教学满意度,值得推广应用。
基于健康中国背景下构建全科医学师资胜任力冰山模型
金丽娇, 刘伟荣, 龚海东, 吴越, 郭琳, 王俊林
2026, 24(2): 309-313. doi: 10.16766/j.cnki.issn.1674-4152.004386
11 0
摘要:
  目的  全科医学自80年代引入我国以来,已经取得了阶段性的发展,但目前我国尚缺乏统一完善的全科医学师资队伍建设体系,全科医学师资的岗位胜任能力尚未系统明确。本研究在“健康中国2030”背景下构建全科医学师资岗位胜任力模型,为现阶段全科医学师资队伍的标准化建设提供理论参考。  方法  通过查阅文献、半结构化访谈和专家咨询编制全科医学师资胜任能力特征调查问卷,采用探索性因子分析构建全科医学师资岗位胜任力模型,验证性因子分析进一步验证模型构建的科学性。  结果  构建的全科医学师资胜任力模型包括6个维度,30个胜任特征项,结果显示:χ2/df=1.769,P < 0.001,GFI=0.918,IFI=0.963,TLI=0.959,CFI=0.963,RMSEA=0.039,检验模型的拟合度良好,能较好地代表现阶段全科医学师资的胜任能力要素,较为全面地概括出健康中国背景下我国全科医学师资应具备的胜任能力。  结论  本研究构建的全科医学师资胜任力模型科学性和可行性较好,进一步丰富了全科医学师资队伍建设的理论基础,为全科医学师资的准入、培训及考核标准的制定提供参考依据,为全科医学师资队伍整体素质的提升提供有益参考,同时也对全科医学师资职业发展具有方向性的指导作用,明确能力提升的方向和目标。
医学综合研究
以患者为中心的口苦诊疗策略与实践框架
孙俊生, 吴敬燊, 黄玮欣, 刘旭, 任菁菁, 姚丁烨
2026, 24(2): 314-317. doi: 10.16766/j.cnki.issn.1674-4152.004387
13 0
摘要:
  目的  构建以患者为中心的口苦诊疗策略与实践框架,为全科医生提供规范化的诊疗思路。  方法  通过系统性文献检索,深入探讨口苦的分类、病因,整合中西医认识,结合SOAP记录法,针对基层构建RAPRIOP管理模式并探讨多学科协作诊疗路径。  结果  口苦从临床特征分为一过性与持续性两类,从病因学分为器质性与非器质性两类。诊疗中通过SOAP记录法整合生物-心理-社会多维度信息:结合生物学病史采集与BATHE问诊法获取主观资料(S),通过重点与系统查体结合辅助检查及量表评估获取客观资料(O),综合评估病因、急危重症及严重程度(A),并以RAPRIOP管理模式制定计划(P),涵盖重塑信心、建议、处方、转诊、检查、观察、预防7个环节。同时构建“全科医学为核心、专科协作为支撑、中西医结合为特色”的多学科诊疗模式,辅以三级预防体系,形成系统化诊疗框架。  结论  SOAP记录法可系统整合生物-心理-社会多维度信息,为精准评估口苦提供结构化支撑;RAPRIOP管理模式则能有序落实全流程干预措施。
疾病诊断相关分组视角下缺陷病案首页的改进效果分析
顾晓敏, 陈逸楠
2026, 24(2): 318-320. doi: 10.16766/j.cnki.issn.1674-4152.004388
9 0
摘要:
  目的  分析病案首页填写质量对疾病诊断相关分组(DRGs)及医保费用结算的影响,探讨质量控制措施改进病案首页缺陷的效果,从而提高医院的DRG管理水平。  方法  本研究采用回顾性分析方法,抽取湖州市中心医院2022年出院患者中有缺陷的病案首页8 776份。根据质控前后的数据,分析病例入组率、DRG分组数、费用消耗指数、时间消耗指数及支付差额等指标的差异。  结果  质控后,病例入组率从91.12%(8 014例)提高至99.78%(8 776例),正常倍率组病例增加至7 650例,占比87.17%,高倍率组病例减少至524例,占比5.97%。DRG分组数增加了19组,病例组合指数下降了0.22,费用消耗指数和时间消耗指数分别从1.14和1.21降至1.01和1.02。支付差额也有所下降,特别是消化系统疾病支付差额从-221.69万元降至-16.92万元。统计结果显示,质控前后的各项指标比较差异均有统计学意义(P<0.05)。  结论  引入质控措施显著提高了病案首页的填写质量,优化了病例分类和资源配置,降低了医疗费用和时间消耗,提高了DRG管理水平和医疗服务效率。这些措施在实际应用中有效提升了医院的整体管理和医疗质量,具有重要的参考价值。未来应继续深化质控措施,探索更多创新管理策略,以进一步提升医疗服务质量与效率。
全膝关节置换术后恐动症干预策略的范围综述
杨琳, 舒静, 曹力震
2026, 24(2): 321-324. doi: 10.16766/j.cnki.issn.1674-4152.004389
9 0
摘要:
  目的  对全膝关节置换术后恐动症干预策略研究进行范围审查,归纳总结不同干预策略实施形式、内容及其结论,以期为学者和医护人员未来进一步研究提供参考。  方法  以范围综述的方法对PubMed、Embase、Web of Science、Cochrane Library、中国知网、维普、万方和生物医学文献服务等数据库进行系统检索,时限为建库至2023年12月,收集全膝关节置换术后恐动症干预策略相关文献,对纳入文献进行汇总和描述性分析。  结果  初步检索到1 247篇文献,经过剔去重复文献及不符合纳入标准文献,最终纳入21篇文献,发表于2013—2023年,其中中文15篇,英文6篇,包括认知行为干预疗法、功能锻炼、观看视频、疼痛日记、多学科协作5个类型。干预地点包括医院和家庭,干预周期、频次具有较大差异。结局指标包括恐动症程度、疼痛程度、心理状态、膝关节活动能力等多个方面。  结论  不同的干预策略对患者的恐动情况和心理健康状态均有不同程度的改善,但目前没有公认治疗效果最佳的干预方式,未来研究应注重探索最佳的恐动症干预策略,制定统一规范的评价标准,根据患者实际情况及医疗资源选择和制定科学规范的干预策略。
基于症状管理理论模型的卵巢癌术后化疗患者症状体验及应对的质性研究
徐渴, 杨柳, 邓秀敏, 贾晨雨, 卢婷婷, 李金芝
2026, 24(2): 325-329. doi: 10.16766/j.cnki.issn.1674-4152.004390
11 0
摘要:
  目的  深入探究卵巢癌术后化疗患者的症状体验及应对策略,旨在为构建更精准且个体化的症状管理方案提供参考依据,从而帮助患者更有效地应对化疗带来的挑战,提升整体生活质量。  方法  采用质性研究中的现象学方法,于2023年10月—2024年2月通过目的抽样法对蚌埠医科大学第一附属医院妇瘤科17例卵巢癌术后化疗患者进行面对面的半结构式深度访谈。基于文献回顾并听取了专家意见,依据症状管理理论模型的3个核心方面,初步拟定了访谈提纲。通过预访谈,对提纲进行了修改,并最终确定了访谈提纲。采用Colaizzi 7步分析法通过反复阅读、比较、分析、推理和总结,归纳相似资料,最终形成主题。  结果  卵巢癌术后化疗患者症状体验及应对可归纳为三大主题:症状体验(多重生理症状、刻骨的心理创伤、社会经济方面);症状管理策略(症状管理意识薄弱、症状管理需求较大、症状管理方式欠佳);症状管理效果(消极应对症状、从容应对症状)。  结论  卵巢癌术后化疗患者症状负担涉及生理、心理及社会等多方面,患者在进行症状管理时仍面临较多阻碍和未满足的需求,因此,医护人员应关注患者的症状反应和应对需求,制定系统化的症状管理方案,加强心理疏导与居家支持,帮助其提高症状的自我管理意识和自我管理能力,改善生活质量。
基于5G区域性院前院内急救医疗服务系统工程研究
杨一红, 刘洪波, 周洁浩, 时春焱, 邹蓓蕾
2026, 24(2): 330-334. doi: 10.16766/j.cnki.issn.1674-4152.004391
8 0
摘要:
  目的  通过建设5G区域性院前院内急救医疗智慧平台,探索院前院内以及并入平台的各紧密型医联体之间无缝衔接和协同救治并举的急救新模式。  方法  项目充分利用现代物联网及5G网络技术,建设5G区域性院前院内智慧急救医疗服务系统。收集2023年12月—2024年3月阜阳市人民医院应用该系统接诊的5G急救车辆转运的Ⅰ级和Ⅱ级急危重症患者200例,设为观察组;其他同期非5G常规急救车辆转运的Ⅰ级和Ⅱ级急危重患者200例,设为对照组。课题组成员应用SPSS软件对2组相关临床数据进行统计学比较分析。  结果  项目组建成以阜阳市人民医院为中心,院前、院内和并入平台的紧密型医联体单位之间无缝衔接和协同救治并举的5G区域性智慧急救平台。观察组Ⅰ和Ⅱ级患者院前与院内信息无缝衔接的例数、院内远程会诊指导的患者例数、院内急诊分诊时间以及院内急诊抢救成功率等均优于对照组,差异有统计学意义(P<0.05)。观察组院前院内一键式无缝信息对接的61例(30.5%)患者和远程会诊指导的14例(7.0%)患者疾病谱主要包括心脏骤停、胸痛、卒中以及急性中毒等急危重症。对照组仅2例患者有院前与院内信息对接,无远程实时会诊指导,两者数量明显少于观察组。  结论  基于5G区域性院前院内急救医疗服务系统显著优于传统的急救模式,该项目适合在阜阳地区全域性地进行复制和推广。
全科护理研究
患者安全文化在护士长多元领导风格与护士职业倦怠间的中介作用
张雨健, 许文雪, 王丽君, 刘亚东, 王倩, 曹英娟
2026, 24(2): 335-339. doi: 10.16766/j.cnki.issn.1674-4152.004392
9 0
摘要:
  目的  探讨患者安全文化在护士长多元领导风格与护士职业倦怠之间的中介效应,以期为国内护士职业倦怠的干预提供新视角、新路径。  方法  采用分层便利抽样法,于2024年8—10月选取山东省不同地市10所三级综合医院的1 673名注册护士作为调查对象,采用一般资料调查表、多元领导风格量表、马氏职业倦怠量表-服务行业版以及患者安全文化测评问卷进行调查。运用SPSS 25.0统计学软件分析数据,采用Pearson相关性分析探究变量间关联,通过Bootstrap法分析中介效应,剖析护士长多元领导风格与护士职业倦怠现状相关性,探究患者安全文化于两者间的中介效应。  结果  护士长多元领导风格、护士职业倦怠、患者安全文化得分分别为(33.59±22.87)分、(56.78±20.34)分、(103.74±15.78)分,护士职业倦怠的阳性率为39.7%(664人),护士职业倦怠与变革型领导风格(r=-0.542,P<0.01)呈负相关关系,与交易型领导风格(r=0.321,P<0.01)呈正相关关系,而患者安全文化在交易型领导风格和变革型领导风格对职业倦怠的影响中均起到显著中介效应。  结论  护士职业倦怠程度较为严重,变革型领导风格可以直接影响或通过患者安全文化的中介作用来抑制护士的职业倦怠,提升患者安全文化水平。
基于PDCA模式的手术室管理在肺癌手术患者中的应用效果
贾玉娟, 张熙泽, 李妍, 程志芳
2026, 24(2): 340-344. doi: 10.16766/j.cnki.issn.1674-4152.004393
11 0
摘要:
  目的  探讨将PDCA模式应用于手术室管理中,是否能够有效降低肺癌手术患者的应激反应程度及术后并发症发生率,为优化肺癌手术患者围手术期管理提供科学依据与实践参考。  方法  选取2022年1月—2024年1月在河南中医药大学第一附属医院接受肺癌手术治疗的96例患者,采用随机数字表法将其分为对照组与观察组,各48例。对照组采用常规手术室管理,观察组采用基于PDCA模式的手术室管理。比较2组患者术前及术后的围手术期指标、应激指标及术后并发症发生率、护理满意度。  结果  观察组首次下床活动时间、术中出血量、首次排尿时间、住院时间、首次肛门排气时间均明显低于对照组(P<0.05)。术前,2组患者应激指标[肾上腺素(E)、皮质醇(Cor)、去甲肾上腺素水平(NE)]差异均无统计学意义(P>0.05);术后,2组患者NE、Cor、E水平均有所上升,但观察组均低于对照组(P<0.05)。观察组术后并发症发生率为10.42%(5/48),低于对照组的33.33%(16/48,P<0.05)。观察组患者护理满意度为93.75%(45/48),显著高于对照组的79.17%(38/48,P<0.05)。  结论  基于PDCA模式的手术室管理能够有效改善围手术期指标,降低肺癌手术患者的应激反应,减少术后并发症发生率及提高护理满意度,值得在临床推广应用。
以护士为主导的成人肠内营养患者鼻胃管喂养最佳证据总结
蒋明瑾, 林颖, 姜颖, 徐俐
2026, 24(2): 345-349. doi: 10.16766/j.cnki.issn.1674-4152.004394
12 0
摘要:
  目的  全面检索、评价和整合以护士为主导的成人鼻胃管喂养护理最佳证据,为护理人员执行鼻饲护理循证实践提供理论依据。  方法  基于“6S”证据模型,系统检索国内外相关文献,中文数据库包括中国知网、万方、维普、医脉通指南网、丁香园、CBM等;英文数据库包括BMJ、Up To Date、JBI、PubMed、Cochrane Library、ASPEN、ESPEN、BAPEN、AGA等营养学会、GIN、NGC、NICE等,检索时限从建库至2023年9月。  结果  最终纳入7篇指南、2篇临床决策报告、1篇专家共识和4篇系统评价,共计14篇文献,汇总整合形成9个主题、21条证据。主题包括组织与管理、评估与筛查、喂养启动前、喂养执行流程、喂养监测、中医护理、喂养设备管理、喂养终止时机及健康教育。  结论  本研究汇总整合以护士为主导的鼻胃管喂养最佳证据,为临床护理人员提供了基于循证的、完整的鼻胃管喂养执行证据,应用人员需结合临床情境,提高护理人员循证实践能力,针对性地进行证据运用,以提高鼻饲护理质量,改善患者营养状况及预后。
全科诊疗实践
小脑认知情感综合征1例报告并文献复习
姚红艳, 唐莲, 王倩, 张玉梅
2026, 24(2): 350-353. doi: 10.16766/j.cnki.issn.1674-4152.004395
6 0
摘要:
临床上小脑损伤患者会出现认知功能障碍及情感调节障碍,临床表现轻于大脑受损所致的认知障碍,在实际工作中易被忽略。本文报道1例血管母细胞瘤患者因出现小脑或其环路受损导致出现轻度认知功能障碍及情感调节障碍的病例,患者男性,43岁,因“行走不稳3个月、反应减慢、焦虑、视物异常1.5个月”入院,入院后完善认知心理学测评等相关检查,最终诊断为“很可能的小脑认知情感综合征”;经过个体化的功能康复,患者症状均较前改善。本文对该病例进行报道,以期为临床上小脑认知情感综合征的诊断及治疗提供参考。
慢性髓性白血病患者酪氨酸激酶抑制剂致肝损伤治疗调整1例
于朱若涵, 裴仁治, 陆滢, 林丽
2026, 24(2): 354-356. doi: 10.16766/j.cnki.issn.1674-4152.004396
7 0
摘要:
慢性髓性白血病(chronic myelogenous leukemia, CML)患者酪氨酸激酶抑制剂(tyrosine kinase inhibitors, TKI)治疗相关不耐受的个体化处理是临床难点。本文报道1例老年男性CML慢性期患者,接受伊马替尼治疗后出现3级血液学毒性及药物性肝损伤,减量后仍无法耐受。先后调整为氟马替尼、尼洛替尼治疗,均因肝酶进行性升高及消化道反应停药。最终采用达沙替尼阶梯式减量方案,治疗4个月后达主要分子学反应4(deep molecular response,MR4.0;BCR-ABLIS≤0.01%)且肝纤维化逆转。本病例提示TKI治疗需动态评估疗效与毒性,及时调整用药方案,不同TKI毒性特征存在个体差异,氟马替尼肝毒性较低但消化道反应突出,尼洛替尼可能加重肝纤维化,达沙替尼通过剂量优化可平衡疗效与安全性,对于经济受限患者二代TKI减量策略是可行选择。本案例为多线TKI不耐受患者的个体化治疗提供了经验。