留言板

尊敬的读者、作者、审稿人, 关于本刊的投稿、审稿、编辑和出版的任何问题, 您可以本页添加留言。我们将尽快给您答复。谢谢您的支持!

姓名
邮箱
手机号码
标题
留言内容
验证码

2025年  第23卷  第12期

全科医学论坛
健康中国战略下主动健康的理论与实践框架探讨
白雪, 窦红莉, 王瑞雄, 李颖, 张静
2025, 23(12): 1995-1999. doi: 10.16766/j.cnki.issn.1674-4152.004277
182 38
摘要:
  目的  本文旨在系统阐释“主动健康”的内涵、理论基础与实践价值,探究其运行机制与推行路径,为推动“健康中国”战略从“以疾病为中心”向“以健康为中心”的深刻转型提供理论支撑。  方法  采用理论思辨与框架构建相结合的方法,追溯主动健康的理论渊源,揭示中医“治未病”思想、健康生态学、行为整合理论及整体医学对主动健康的理论贡献和其本土化创新。从个体心理、社会支持和数字技术3个维度剖析其内在运行机制,在识别个体、服务体系与技术应用层面挑战的基础上,构建系统性的实践框架。  结果  研究明确,主动健康是以个体能动性为核心、技术赋能为支撑、多元协同为保障的新范式,是实现“健康中国”、破解慢性病等挑战、引领产业转型的关键,其有效落地必须以重塑公众健康责任观念为先导,以夯实多元协同的服务网络为载体,以打造精准高效的智能平台为引擎,以营造可持续的政策支持环境为基石。  结论  主动健康是驱动我国健康治理模式转型的关键变量,其实践是一个需要多维协同的系统工程,只有将理念引导、服务重塑、技术赋能与政策保障四者有机结合,才能将个体健康责任与社会支持系统有效连接,最终赋能全民成为自身健康的第一责任人,为实现“健康中国”的长远目标筑牢根基。
指南与共识
腰椎间盘突出症社区和居家康复中国专家共识
中国康复医学会科学普及专业委员会
2025, 23(12): 2000-2007. doi: 10.16766/j.cnki.issn.1674-4152.004278
648 39
摘要:
腰椎间盘突出症的连续性康复对患者长期预后具有关键意义,仅依靠急性期医院治疗往往难以满足其长期康复需求,因此社区与居家康复亟需规范化指导,本共识针对这一问题展开系统阐述。在社区康复方面,重点围绕协作网络与服务体系建设,明确转诊指征,建立多维度评估体系,并提出相应的疼痛管理策略与分阶段运动方案,以推动社区康复工作有序、高效开展。在居家康复方面,明确了从社区转介至居家的过渡标准及协作管理模式,提出复发预防措施与适宜运动类型,建立监测与反馈机制,界定紧急就医指征及应对方法,同时提供家庭环境改造建议,以保障居家康复过程的安全性与有效性。本共识旨在为基层医疗人员提供实践指导,规范腰椎间盘突出症的社区与居家康复管理,从而提升康复质量,降低疾病复发率,进一步改善患者生活质量。
指南解读
2025 AHA/ACC高血压指南解读:高血压预防与管理的新视角
聂超群, 冯颖青, 周忠江
2025, 23(12): 2008-2012. doi: 10.16766/j.cnki.issn.1674-4152.004279
638 31
摘要:
高血压作为全球心血管疾病的首要危险因素,全球患病规模持续扩大且年轻化趋势明显,已成为重大公共卫生挑战。其防治策略的科学优化,对显著降低脑卒中、冠心病及慢性肾脏病的发病与死亡负担至关重要。2025年8月,美国心脏协会(American Heart Association,AHA)联合美国心脏病学会(American College of Cardiology,ACC)发布了自2017年以来首次重大更新的成人高血压预防、检测、评估及管理指南。此次更新立足近年循证医学新证据,回应全球高血压流行趋势下的临床新需求。本文系统梳理该指南的核心更新内容,从高血压定义与分类、风险分层工具、治疗启动时机、药物选择策略及血压控制目标5个维度,对比其与2017版指南的关键差异,并结合循证证据解析更新逻辑。同时,针对全科医疗场景,提出兼具科学性与可操作性的指南应用建议,为临床医生精准应用指南、实现高血压个体化管理提供实用参考,助力进一步提升高血压防治成效。
专题/脑卒中
血清TSPO联合BDNF、TNF-α对急性缺血性脑卒中患者卒中后抑郁的预测价值
杜佳, 田小军, 王聪聪, 嵇继宇
2025, 23(12): 2013-2016. doi: 10.16766/j.cnki.issn.1674-4152.004280
91 5
摘要:
  目的  评估血清18 kDa易位蛋白(TSPO)、脑源性神经营养因子(BDNF)、肿瘤坏死因子-α(TNF-α)水平对急性缺血性卒中(AIS)患者发生卒中后抑郁(PSD)的临床意义。  方法  选取2022年1月—2024年1月新乡医学院第一附属医院收治的121例AIS患者,根据出院后3个月17项汉密尔顿抑郁量表(HDRS-17)评估是否出现PSD,将其分为PSD组(38例)和非PSD组(83例)。收集2组患者的人口学资料、临床特征,并比较2组患者血清TSPO、BDNF、TNF-α水平差异。采用logistic回归分析筛选PSD的独立危险因素,并绘制ROC曲线评估血清TSPO、BDNF、TNF-α水平联合检测对PSD的预测价值。  结果  PSD组患者血清TSPO、TNF-α水平高于非PSD组(P<0.05),而BDNF水平低于非PSD组(P<0.05)。Logistic回归分析显示,血清TSPO水平升高(OR=2.065,95% CI:1.052~4.055,P<0.05)、TNF-α水平升高(OR=1.374,95% CI:1.031~1.832,P<0.05)均是PSD的危险因素,而BDNF水平升高(OR=0.696,95% CI:0.521~0.929,P<0.05)是PSD的保护因素。ROC曲线分析显示,血清TSPO、BDNF、TNF-α水平联合检测对PSD的预测效能良好,AUC为0.797。  结论  血清TSPO、BDNF、TNF-α水平与AIS患者发生PSD密切相关,联合检测这3种生物标志物可能有助于早期识别PSD高危人群,为临床预防和治疗PSD提供依据。
基于两样本单变量和多变量孟德尔随机化研究铁稳态与缺血性脑卒中后功能结局的因果关联
陈世宣, 陈珍珍, 陈温慈, 计静
2025, 23(12): 2017-2021. doi: 10.16766/j.cnki.issn.1674-4152.004281
97 7
摘要:
  目的  观察性研究表明血清铁稳态与缺血性脑卒中后功能结局相关,但该关联易受混杂因素和反向因果影响。本研究采用孟德尔随机化(MR)方法以减少混杂因素干扰,评估铁稳态失衡是否与缺血性脑卒中后不良功能结局存在因果关联。  方法  选择铁稳态相关的全基因组关联研究(GWAS)数据,包括血清铁、铁蛋白、总铁结合力、转铁蛋白饱和度和肝脏铁含量,作为暴露变量;缺血性脑卒中3个月后功能结局的GWAS数据作为结局变量。首先进行两样本单变量MR(UVMR)分析,随机效应逆方差加权(IVW)作为本研究的主要分析方法,MR-Egger和加权中位数(WME)作为补充性分析方法。Cochran's Q和Rucker's Q检验用于检查异质性,MR-Egger截距用于检验水平多效性。此外,本研究还执行了多变量MR(MVMR)分析,以评估校正BMI后的因果效应。  结果  最终筛选出117个单核苷酸多态性(SNPs)作为铁稳态指标的工具变量,所有SNPs的F值均>10。UVMR-IVW结果显示,血清铁、血清转铁蛋白饱和度和肝脏铁含量与缺血性脑卒中3个月后不良功能结局之间存在因果关联(P<0.05)。校正BMI的MVMR-IVW结果显示,血清铁和血清转铁蛋白饱和度与缺血性脑卒中3个月后不良功能结局之间仍保持显著的因果关联(P<0.05)。所有结果MR-Egger和WME法的方向与IVW一致,且均未发现异质性和水平多效性证据。  结论  血清铁过载与缺血性脑卒中3个月后不良功能结局之间存在显著的因果关联。
链条式管理模式在预防缺血性脑卒中患者吸入性肺炎中的应用
彭华华, 王永盛, 汪德秀
2025, 23(12): 2022-2025. doi: 10.16766/j.cnki.issn.1674-4152.004282
84 4
摘要:
  目的  吸入性肺炎(AP)是缺血性脑卒中(IS)患者的常见并发症,不仅会延长住院时间,还会增加死亡风险,其预防需要系统化的解决方案。链条式管理是一种系统化、连续性、多学科协作的管理模式,本研究旨在探讨链条式管理模式在预防IS患者发生AP方面的应用价值。  方法  选取2022年1月—2024年1月温州市中西医结合医院接诊的150例IS患者,采用随机数字表法分为观察组和基线组,各75例。基线组采用常规管理模式,观察组采用链条式管理模式。比较2组IS患者AP发生情况、缺血性脑卒中相关性肺炎(AIS-APS)评分、Gugging吞咽误吸筛查量表(GUSS)评分、营养不良筛查工具(MUST)评分、口腔健康评估工具(OHAT)评分及满意度。  结果  观察组AP发生率低于基线组[12.00%(9/75) vs. 32.00%(24/75),χ2=8.741,P=0.003]。观察组AP严重程度低于基线组(P=0.018)。年龄≥65岁的IS患者AP发生率高于<65岁的IS患者,随吞咽障碍严重程度升高,IS患者AP发生率呈升高趋势(P<0.05)。干预后观察组AIS-APS、MUST、OHAT评分均低于基线组,GUSS评分高于基线组(P<0.05)。观察组患者满意度均高于基线组[97.33%(73/75) vs. 85.33%(64/75),χ2=6.822,P=0.009]。  结论  链条式管理模式应用于IS患者能降低AP发生率及其严重程度,且患者满意度较高。
全科医学论著
重症发热伴血小板减少综合征患者死亡危险因素及预测模型研究
杨云, 王晓芳, 梅清, 燕宪亮
2025, 23(12): 2026-2029. doi: 10.16766/j.cnki.issn.1674-4152.004283
100 5
摘要:
  目的  研究重症发热伴血小板减少综合征(SFTS)患者死亡的危险因素,建立风险预测模型,以期为重症SFTS的预后判断提供依据。  方法  回顾分析2023年1—12月中国科学技术大学附属第一医院(安徽省立医院)感染科收治的30例重症SFTS患者,根据预后分为存活组(15例)和死亡组(15例),对2组的临床资料进行分析。  结果  选择热程≥7 d(a)、是否昏迷(b)、活化部分凝血活酶时间(APTT, c)、天冬氨酸转氨酶(AST,d)、肌酸激酶(CK, e)、白细胞介素-6(IL-6, f)、单核细胞(MONO,g),通过Fisher判别分析建立预测死亡(X)函数为:X=-23.731+2.632a+18.146b+0.425c-0.009d+0.002f+0.650g;预测存活(Y)函数为:Y=-16.245-4.594a-0.416b+0.491c-0.015d-0.001e+0.002f+16.057g;得到判别函数值,预测死亡(X)风险模型判别正确率为93.3%,预测存活(Y)概率模型正确率为100.0%,整体预测准确率为96.7%。  结论  重症SFTS患者多数为老年人,具有较高的死亡率,基于热程≥7 d、昏迷、APTT、AST、CK、IL-6、MONO建立的死亡预测模型准确率高,有预测价值。
塞来昔布联合地奥司明治疗中重度膝骨关节炎的疗效与安全性观察
张汉东, 王功腾, 张镇斌, 李广兴, 王旭凤, 张文琦, 孙华强, 李树锋
2025, 23(12): 2030-2032. doi: 10.16766/j.cnki.issn.1674-4152.004284
198 3
摘要:
  目的  评估塞来昔布联合地奥司明治疗中重度膝骨关节炎(KOA)的临床疗效和安全性,以探讨优化KOA治疗方案的可行性。  方法  本研究为前瞻性随机对照研究,纳入2024年6—7月山东第一医科大学第一附属医院(山东省千佛山医院)收治的86例KOA患者,采用随机数字表法分为塞来昔布组(对照组)和塞来昔布联合地奥司明组(观察组),每组43例,治疗周期为8周。评估2组患者用药前、用药后4周、用药后8周及停药后4周、8周、12周的西安大略和麦克马斯特大学骨关节炎指数(WOMAC)评分、膝关节肿胀评分和VAS评分,并记录不良反应发生情况。  结果  用药后4周、8周及停药后4周、8周、12周,观察组的WOMAC评分[用药后8周:15(13, 19) vs. 25(19, 33),P<0.001]、膝关节肿胀评分[用药后8周:1(1, 1) vs. 1(1, 2),P<0.001]和VAS评分[用药后8周:3(2,3) vs. 3(3,4),P<0.001]均显著低于对照组。观察组不良反应发生率低于对照组[9.3%(4/43) vs. 37.2%(16/43),P=0.002]。  结论  塞来昔布联合地奥司明较单用塞来昔布能更有效地缓解中重度KOA的疼痛和肿胀,并降低不良反应发生率,具有较高的临床应用价值。
负压封闭引流技术结合拔毒生肌散在糖尿病足溃疡患者中的应用
樊波波, 马海涛, 蔡高坡, 代雪娜, 王汉杰, 周涛
2025, 23(12): 2033-2037. doi: 10.16766/j.cnki.issn.1674-4152.004285
135 5
摘要:
  目的  探讨负压封闭引流(VSD)技术结合拔毒生肌散对糖尿病足溃疡(DFU)患者创面愈合及血清C反应蛋白(CRP)、白介素-18(IL-18)、糖原合酶激酶3β(GSK-3β)水平的影响。  方法  选择2023年1月—2025年5月河南中医药大学第一附属医院周围血管科收治的118例DFU患者,采用随机数字表法分为观察组及对照组,各59例。对照组行VSD技术治疗,观察组行VSD技术结合拔毒生肌散治疗,分析二者结合对患者创面愈合、CRP、IL-18、GSK-3β等指标的影响。  结果  治疗后观察组创面面积、创面深度、肉芽生长、创面渗出评分分别为(1.14±0.15)分、(1.23±0.15)分、(1.15±0.16)分、(1.21±0.15)分,均明显低于对照组[(1.62±0.17)分、(1.64±0.19)分、(1.72±0.19)分、(1.68±0.17)分,F=14.156、11.278、114.287、13.564,P<0.001];治疗后观察组CRP、白细胞计数(WBC)、IL-18、GSK-3β、转化生长因子(TGF-β1)、内皮抑素(ES)水平均低于对照组(P<0.001),血管内径、血流速度、阻力系数、血管内皮生长因子(VEGF)、碱性成纤维生长因子(bFGF)均高于对照组(P<0.001)。  结论  VSD技术结合拔毒生肌散可有效促进DFU创面愈合,调节IL-18、GSK-3β等指标,改善足背血流动力学和促进血管新生。
RAB24在胃癌中高表达与患者临床预后及癌细胞免疫浸润的关系
余晾, 殷丽霞, 牛民主, 陈思奥, 刘亦珂, 郭逸冰, 耿志军
2025, 23(12): 2038-2041. doi: 10.16766/j.cnki.issn.1674-4152.004286
86 4
摘要:
  目的  探讨RAB24在胃癌患者组织中的表达情况及与临床预后的关系,并深入分析其调控癌细胞免疫浸润的作用。  方法  纳入2013年2月—2018年3月期间于蚌埠医科大学第一附属医院接受胃癌根治术的105例患者,采用免疫组织化学染色方法分析胃癌中RAB24的表达情况并探讨其与患者生存期之间的关系。采用ROC曲线、单因素及多因素分析研究RAB24对患者术后5年生存率的预测价值及影响患者生存情况的危险因素。GO及GSEA预测RAB24在胃癌中的生物学功能。网络生物信息学分析RAB24表达与免疫浸润和免疫细胞的关系。  结果  RAB24在胃癌组织中高表达,且其表达与患者预后不良相关(P<0.05),并具有良好的预后预测价值(AUC=0.844,P<0.05)。Cox回归分析结果显示,RAB24高表达、CEA≥5 μg/L、CA199≥37 kU/L、T3~4期、N2~3期是影响胃癌患者术后5年生存率的独立危险因素(P<0.05)。基因富集分析提示,RAB24可能参与免疫细胞浸润等生物学过程。免疫浸润相关性分析结果显示,RAB24表达水平与免疫浸润呈正相关关系(P<0.05);免疫细胞相关性分析结果显示,RAB24表达水平与巨噬细胞、髓源性抑制细胞及17型辅助T细胞呈正相关关系(P<0.05),与效应记忆CD4+ T细胞、2型辅助T细胞及记忆B细胞呈负相关关系(P<0.05)。  结论  RAB24在胃癌组织中高表达,其可能通过作用于免疫细胞浸润,进而影响胃癌患者的远期预后。
基于2D-SWE的肝硬化食管胃静脉曲张再出血风险模型构建
郭丽, 娄君鸽, 闫媛媛
2025, 23(12): 2042-2045. doi: 10.16766/j.cnki.issn.1674-4152.004287
83 4
摘要:
  目的  肝硬化食管胃静脉曲张(EGV)再出血的病理生理机制复杂,且病死率高,明确其再出血的危险因素对降低病死率有重要作用。二维剪切波弹性成像(2D-SWE)能无创、定量地评估肝脏软硬程度,反映肝脏的病理改变。本研究基于2D-SWE构建EGV再出血风险模型,为临床防治提供参考。  方法  选取2020年1月—2022年12月郑州大学附属郑州中心医院收治的162例肝硬化EGV首次出血患者,根据患者是否发生再出血将其分为未再出血组(127例)和再出血组(35例)。采用logistic回归分析研究肝硬化患者EGV再出血的危险因素。构建肝硬化患者EGV再出血的列线图预测模型,并评估列线图模型预测效能。  结果  未再出血组肝功能Child-pugh分级A级、食管胃静脉曲张程度轻度、ALB水平较再出血组更高,未再出血组首次套扎、肝硬度、脾硬度较再出血组更低(P<0.05)。Logistic多因素回归分析结果显示,肝功能Child-pugh分级、肝硬度、脾硬度、ALB均是肝硬化发生EGV再出血的独立影响因素(P<0.05)。ROC曲线分析结果显示,列线图模型C-index指数为0.903(95% CI:0.846~0.975),列线图模型实测值与预测值基本一致,预测价值较高,具有较好的临床有效性。  结论  2D-SWE检测肝脾硬度是影响EGV再出血的危险因素,基于此构建的列线图预测模型对EGV再出血具有较好的预测效能。
血清神经丝轻链和胶质纤维酸性蛋白水平预测急性脑梗死患者神经功能恢复和预后的价值
张建强, 沈瑞乐
2025, 23(12): 2046-2049. doi: 10.16766/j.cnki.issn.1674-4152.004288
119 4
摘要:
  目的  探讨血清神经丝轻链(NfL)和胶质纤维酸性蛋白(GFAP)水平对急性脑梗死(AIS)患者神经损伤和修复的影响,为个体化治疗提供依据。  方法  纳入2020年1月—2022年12月河南科技大学第一附属医院收治的129例AIS患者,根据出院后3个月改良Rankin(mRS)评分将患者分为预后良好组(mRS评分≤2分,83例)和预后不良组(mRS评分>2分,46例)。分析2组患者临床特征和NfL、GFAP水平的差异,评估两者的预后预测价值,分析AIS患者神经功能不良预后的危险因素。  结果  与预后良好组比较,预后不良组NfL(15.2±6.3 vs. 22.8±8.5,t=5.777,P<0.001)和GFAP[0.85(0.62, 1.18) vs. 1.12(0.79, 1.45),U=1 254.000,P=0.003]水平升高,两者与患者美国国立卫生研究院卒中量表(NIHSS)评分和梗死体积呈正相关关系。血清NfL(OR=1.861,95% CI: 1.076~3.220,P=0.024)和GFAP(OR=2.979,95% CI: 1.428~6.218,P=0.004)升高是AIS患者预后不良的独立影响因素。两者联合检测可以提高预测AIS患者神经功能预后的准确性(AUC=0.809)。  结论  联合检测NfL和GFAP水平有助于早期识别神经功能不良的AIS患者,指导个体化治疗方案的制定。
耳穴疗法联合艾司唑仑对老年性痴呆并睡眠障碍患者睡眠结构及认知功能的影响
夏叶子, 沈洁红, 施能能, 李晓静
2025, 23(12): 2050-2053. doi: 10.16766/j.cnki.issn.1674-4152.004289
123 3
摘要:
  目的  为探讨老年性痴呆患者的睡眠障碍问题,本研究对比耳穴疗法联合艾司唑仑与单一应用耳穴疗法、单一应用艾司唑仑的应用效果,并探究3种方式对患者睡眠结构、认知功能及相关血清学指标水平的影响,以期为临床治疗老年性痴呆并睡眠障碍提供新思路。  方法  选取2024年1月—2025年3月宁波大学附属第一医院收治的120例老年性痴呆并睡眠障碍患者,采用简单随机化分组法分为耳穴A组(上午刺激0.5 h)、耳穴B组(下午刺激0.5 h)、艾司唑仑组、联合组(耳穴疗法联合艾司唑仑),各30例,比较4组睡眠结构、认知功能、血褪黑素(MT)、皮质醇(COR)、5-羟色胺(5-HT)水平及不良反应。  结果  治疗后联合组的觉醒指数(AI)低于另外三组,睡眠效率指数(SEI)、快速眼动睡眠时间(REM)占总睡眠时间(TST)百分比高于另外三组(P<0.05);治疗后联合组MMSE评分[(23.78±1.20)分]高于另外三组[(19.65±1.15)分、(19.70±1.08)分、(16.36±1.42)分, F=219.809,P<0.001];治疗后联合组MT、5-HT水平高于另外三组,COR水平低于另外三组(P<0.001);4组不良反应发生率比较差异无统计学意义(P=0.309)。  结论  耳穴疗法联合艾司唑仑有利于提升患者睡眠质量、改善认知功能以及调节MT、COR、5-HT水平,可用于老年性痴呆并睡眠障碍患者的治疗。
CDK16在子宫内膜癌患者中表达的临床病理学及预后意义
方小璟, 侯岩岩, 郭苏阳
2025, 23(12): 2054-2058. doi: 10.16766/j.cnki.issn.1674-4152.004290
67 4
摘要:
  目的  探讨CDK16在子宫内膜癌(EC)中表达的临床病理和预后意义,为评估EC预后提供评估指标。  方法  回顾性分析2019年2月—2022年12月在蚌埠医科大学第一附属医院诊断为子宫内膜癌并接受治愈性手术的96例子宫内膜癌患者及同时期15例正常子宫内膜组织蜡块的资料。收集患者的临床病理信息,采用免疫组织化学方法检测CDK16蛋白的表达,并探讨CDK16的不同表达水平与子宫内膜癌患者的临床病理参数以及预后的相关性。  结果  CDK16在正常的内膜组织细胞和子宫内膜癌组织中高表达率为20.0%(3/15)、67.7%(65/96),子宫内膜癌组织中CDK16高表达率明显高于正常的内膜组织(P<0.05)。CDK16在FIGOⅠ期和FIGOⅡ期、FIGOⅢ期患者中的高表达率分别为61.0%(47/77)和94.8%(18/19),CDK16在无淋巴结转移患者和有淋巴结转移患者中的高表达率分别为65.9%(58/88)和87.5%(7/8),无脉管浸润患者的CDK16高表达率低于有脉管浸润患者(P<0.05)。多因素Cox比例风险模型结果显示,FIGO分期、淋巴结转移、CDK16表达强度均为无进展生存期(PFS)和总生存期(OS)的影响因素(P<0.05)。  结论  CDK16在子宫内膜癌组织中表达增强,是子宫内膜癌潜在的预后标志物。
腹腔镜胆总管探查术患者术中碎石需求及其早期预测模型的构建
胡淑珍, 冯霞, 张乐逸
2025, 23(12): 2059-2063. doi: 10.16766/j.cnki.issn.1674-4152.004291
83 5
摘要:
  目的  探讨腹腔镜胆总管探查术(LCBDE)患者的术中碎石需求,并分析相关早期预测因素,以构建LCBDE术中碎石需求预测模型。  方法  纳入2022年3月—2024年3月浙江省人民医院淳安分院收治的152例LCBDE患者,根据术中腹腔镜下碎石辅助与否分为需求组(33例)和非需求组(119例)。比较2组患者一般资料、临床资料,采用多因素logistic回归分析研究LCBDE患者术中碎石需求的影响因素。  结果  需求组年龄、胆总管结石直径<1.1 cm占比均低于非需求组,发热、黄疸、恶心呕吐及胰腺周围渗出占比均高于非需求组(P<0.05)。多因素logistic回归分析显示,年龄(OR=0.824)、发热(OR=10.112)、黄疸(OR=8.071)、恶心呕吐(OR=5.823)、胆总管结石直径(OR=9.148)均为LCBDE患者术中碎石需求的独立影响因素(P<0.05)。基于五项指标构建的联合预测模型预测LCBDE患者术中碎石需求的AUC为0.914(95% CI:0.858~0.953),模型预测LCBDE患者术中碎石需求的发生风险与实际风险一致性良好。  结论  LCBDE用于胆总管结石治疗时,仍有部分患者术中需要碎石辅助;年龄、发热、黄疸、恶心呕吐和胆总管结石直径是术中碎石需求的独立影响因素,基于五项指标构建的联合预测模型可作为预测LCBDE患者术中碎石需求的临床工具。
全科临床研究
乳清蛋白、ω-3脂肪酸联合抗阻运动对老年肌少症患者功能的影响
王艳, 吴笑雪, 林圆圆, 李建美, 解艳红
2025, 23(12): 2064-2068. doi: 10.16766/j.cnki.issn.1674-4152.004292
110 4
摘要:
  目的  随着全球人口老龄化,肌少症已成为影响老年人健康的重要问题。现有干预主要集中在营养补充和运动训练,但效果有限。本研究探讨乳清蛋白联合ω-3脂肪酸和低强度抗阻运动对老年肌少症患者肌肉质量、力量、步速及日常生活能力的综合改善效果。  方法  选取2022年6月—2024年6月在浙江中医药大学附属丽水中医院确诊的178例老年肌少症患者,采用随机数字表法分为研究组与对照组,每组各89例。对照组接受常规健康教育与低强度步行,研究组接受乳清蛋白和ω-3脂肪酸补充的同时进行低强度抗阻训练。评估指标包括肌肉质量、肌肉力量、步速、日常生活能力(ADL)及简短肌肉功能测试(SPPB)。  结果  治疗后研究组患者的肌肉质量[(4.61±0.52)kg/m2]、肌肉力量[(45.82±5.86)kg]均高于对照组[(3.52±0.45)kg/m2、(40.26±4.29)kg],步速测试[(4.12±0.55)s]低于对照组[(5.67±0.69)s,P<0.05];治疗后研究组患者的ADL评分[(92.53±16.46)分]高于对照组[(81.51±11.26)分, P<0.05];治疗后研究组患者的SPPB评分[(10.16±1.46)分]高于对照组[(8.26±1.27)分, P<0.05]。  结论  乳清蛋白联合ω-3脂肪酸辅以低强度抗阻运动对老年肌少症患者的躯体功能和日常生活能力有显著的积极影响。
2种关节镜清理术联合腓骨截骨术对早中期内翻型KOA患者凝血参数、步态参数的影响
于景川, 焦弘升
2025, 23(12): 2069-2072. doi: 10.16766/j.cnki.issn.1674-4152.004293
62 4
摘要:
  目的  探究2种关节镜清理术联合腓骨截骨术治疗早中期内翻型膝关节骨性关节炎(KOA)的应用价值。  方法  收集2021年1月—2023年1月华北医疗健康集团峰峰总医院收治的103例早中期内翻型KOA患者,根据手术方案分组,研究组52例行关节镜下有限清理术+腓骨截骨术,对照组51例行关节镜下广泛清理术+腓骨截骨术。比较2组围手术期指标、手术前后凝血参数[纤维蛋白原(FIB)、D-二聚体(D-D)、活化部分凝血活酶时间(APTT)]、功能恢复指标、并发症及膝关节功能优良率。  结果  研究组手术时间[(38.38±4.46)min vs. (72.74±7.18)min,t=29.235,P<0.001]、住院时间[(4.55±0.78)d vs. (7.00±0.65)d,t=17.300,P<0.001]短于对照组,术中出血量[(190.90±41.12)mL vs. (309.45±68.68)mL,t=10.652,P<0.001]与术后3 d VAS评分[(2.10±0.35)分vs. (2.69±0.40)分,F=7.971,P<0.001]低于对照组。研究组术后3 d凝血参数优于对照组(P<0.05)。2组术后功能恢复指标、并发症、膝关节功能优良率比较差异均无统计学意义(P>0.05)。  结论  腓骨截骨术联合关节镜下有限清理术治疗早中期内翻型KOA患者,能优化手术流程,减轻围手术期疼痛,促进病情恢复。
腹腔镜下子宫切除术患者麻醉苏醒期谵妄发生现状及其相关因素分析
李佳, 赵墨菊, 杨惠茹, 高丽峰, 高月, 李侃, 郭素娜, 沈建军
2025, 23(12): 2073-2075. doi: 10.16766/j.cnki.issn.1674-4152.004294
88 4
摘要:
  目的  分析腹腔镜下子宫切除术患者麻醉苏醒期谵妄发生现状,探讨其影响因素,为临床预防和干预提供依据,提高术后康复质量。  方法  选取2021年1月—2024年1月于张家口市第一医院择期行腹腔镜下子宫切除术的120例女性患者,收集患者围手术期相关数据,根据术后麻醉苏醒期是否发生谵妄分为谵妄组和非谵妄组。观察腹腔镜下子宫切除术患者麻醉苏醒期谵妄发生率。采用单因素和多因素logistic回归分析腹腔镜下子宫切除术患者麻醉苏醒期谵妄发生的独立危险因素。  结果  子宫切除术患者谵妄发生率为13.34%(16/120);单因素和多因素logistic回归分析结果显示,睡眠障碍、术前/中使用右美托咪定、CO2气腹时间、手术时间、术中出血量、VAS评分及麻醉药物总量均是影响患者发生谵妄的因素(P分别为0.006、0.033、0.004、0.002、0.010、0.024及0.005,OR 95% CI分别为1.501~11.659、1.074~5.191、1.287~3.826、1.250~2.705、1.310~7.211、1.109~4.189及1.349~5.360)。  结论  睡眠障碍、术前/中使用右美托咪定、CO2气腹时间、手术时间、术中出血量、VAS评分及麻醉药物总量均是腹腔镜下子宫切除术患者麻醉苏醒期谵妄发生的影响因素,临床应针对以上影响因素积极预防干预。
慢病防治研究
左西孟旦治疗慢性血栓栓塞性肺动脉高压并发右心衰竭患者的研究
徐杰, 黄冬冬, 赵慧, 孟芳芳, 徐本永, 马强, 赵勤华, 吴文汇
2025, 23(12): 2076-2079. doi: 10.16766/j.cnki.issn.1674-4152.004295
82 3
摘要:
  目的  观察左西孟旦对并发右心衰竭的慢性血栓栓塞性肺动脉高压患者右心功能的改善作用及药物安全性。  方法  前瞻性选取2021年6月—2022年12月上海市肺科医院收治的54例慢性血栓栓塞性肺动脉高压并发右心衰竭患者,采用随机数字表法分为左西孟旦组(28例)和米力农组(26例)。2组患者在接受靶向药物和利尿等药物的基础上,分别加用左西孟旦或米力农。记录患者治疗前与治疗7 d后血压、心率、N末端B型利钠肽(NT-proBNP)等生物标志物,右心功能与结构等变化。  结果  左西孟旦治疗后患者NT-proBNP和总胆红素水平显著下降(P<0.05),动脉氧饱和度提高,超声心动图测得肺动脉收缩压、右房横径、右心室舒张末横径、三尖瓣环收缩期位移(TAPSE)和外侧三尖瓣环的收缩期峰值速度等参数均显著改善。与治疗前比较,米力农组治疗后TAPSE差异无统计学意义(P>0.05),左西孟旦组治疗后TAPSE则显著升高(P<0.05)。2种药物均可降低血压,但均未引起相关临床症状,且对肝肾功能均无明显影响(P>0.05)。  结论  左西孟旦能有效降低慢性血栓栓塞性肺动脉高压并发右心衰竭患者的NT-proBNP及胆红素水平,改善三尖瓣环收缩期位移,且安全性良好。
妇幼卫生研究
儿童PICC导管相关性血流感染特点及危险因素分析
胡丽红, 杨献玲, 李二娜, 张子华, 王晓繁, 李丽景, 徐梅先
2025, 23(12): 2080-2083. doi: 10.16766/j.cnki.issn.1674-4152.004296
128 5
摘要:
  目的  探讨儿童经外周静脉置入中心静脉导管(PICC)相关性血流感染特点,并进行危险因素分析。  方法  选取2018年1月—2023年8月于河北省儿童医院行PICC置管的1 700例儿童,采用问卷调查其一般资料、置管相关情况差异,分析儿童PICC导管相关性血流感染特点,以多因素logistic回归分析感染危险因素。  结果  本次研究共发放1 700份问卷,有效回收1 658份,问卷回收率为97.53%。1 658例PICC置管儿童发生PICC相关性血流感染38例,感染率为2.29%,将其作为感染组,余1 620例作为非感染组。致病菌以革兰氏阴性菌为主,共22株(57.89%),病原菌株数最高的为鲍曼不动杆菌(23.68%),其次为阴沟肠杆菌(21.05%)、近平滑念珠菌(14.71%)。感染组导管留置时间>2周、置管次数>3次、敷料更换频率<3 d所占比例分别为55.26%(21/38)、60.53%(23/38)、71.05%(27/38),均高于非感染组的26.60%(431/1 620)、33.40%(541/1 620)、15.37%(249/1 620),差异均有统计学意义(χ2=15.378、12.177、82.966,P<0.05)。多因素logistic回归分析显示,导管留置时间>2周、置管次数>3次、敷料更换频率<3 d均为患儿PICC相关性感染的危险因素(P<0.05)。  结论  儿童PICC相关性血流感染病原菌主要与革兰氏阴性菌密切相关,导管留置时间>2周、置管次数>3次、敷料更换频率<3 d为PICC相关性血流感染的危险因素。
双相情感障碍儿童父母社会融入对养育倦怠的影响
戴一希, 李思思, 林小清, 陈德裕
2025, 23(12): 2084-2087. doi: 10.16766/j.cnki.issn.1674-4152.004297
90 6
摘要:
  目的  探讨双相情感障碍儿童父母社会融入与养育倦怠的现状,并分析二者之间的相关性及影响程度,以期为护理管理提供理论依据。  方法  于2024年7—12月采取便利抽样法使用自制的一般人口学调查表、社会融入量表、养育倦怠量表对浙江省某三甲医院心理门诊就诊的212名双相情感障碍儿童父母进行问卷调查。共回收有效问卷204份,有效问卷回收率为96.23%。使用SPSS 23.0统计学软件进行数据整理,采用单因素分析及分层回归分析研究双相情感障碍儿童父母社会融入对养育倦怠的影响。  结果  204名双相情感障碍儿童父母社会融入得分为(35.75±7.10)分,养育倦怠得分为(89.29±15.23)分;不同与患儿关系、年龄、是否工作及自觉家庭关系情况双相情感障碍儿童父母养育倦怠得分差异有统计学意义(P<0.01);双相情感障碍儿童父母养育倦怠与社会融入总分及各维度均呈负相关关系(r=-0.633~-0.406,P<0.01);分层回归分析显示,除外一般资料的影响,社会融入能够对双相情感障碍儿童父母养育倦怠产生影响,共解释总变异的25.9%(P<0.01)。  结论  双相情感障碍儿童父母养育倦怠水平有待提高,除与患儿关系、年龄、是否工作及自觉家庭关系情况等因素外,社会融入情况能够对养育倦怠产生一定程度的影响。这提示管理者应提高对双相情感障碍儿童父母养育倦怠的重视程度,通过多种举措有效降低养育倦怠水平。
胎儿宫内窘迫的危险因素分析
沈连梅, 宋明霞, 袁玲
2025, 23(12): 2088-2091. doi: 10.16766/j.cnki.issn.1674-4152.004298
113 5
摘要:
  目的  分析胎儿宫内窘迫的危险因素及这些因素对新生儿预后的影响,为临床干预提供依据。  方法  纳入2022年1月—2024年12月杭州市第一人民医院收治的107例胎儿宫内窘迫产妇(观察组)及107例同期正常妊娠产妇(对照组),比较2组新生儿的出生结局,并采用logistic回归分析和ROC曲线分析影响宫内窘迫发生的危险因素。  结果  单因素分析显示,脐血流异常、胎心率异常、胎动异常、羊水过少、脐带异常、胎盘早剥、妊娠期高血压、妊娠期糖尿病是影响胎儿发生宫内窘迫的危险因素(P<0.05);多因素logistic回归分析显示,胎心率异常、羊水过少、胎盘早剥、胎动异常及妊娠期糖尿病均是胎儿发生宫内窘迫的独立危险因素(P<0.05);ROC曲线分析发现,胎心率异常、羊水过少、胎盘早剥、胎动异常及妊娠期糖尿病预测发生宫内窘迫的AUC均大于0.7,且灵敏度(78.9%、72.6%、70.1%、63.2%、82.4%)和特异度(75.6%、69.3%、71.8%、74.5%、68.7%)较高。观察组中出现5 min Apgar评分<7分、新生儿窒息、低血糖、高胆红素血症及胎儿生长受限的例数均多于对照组,围产儿死亡率及NICU入住率亦高于对照组(P<0.05)。  结论  胎心率异常、羊水过少、胎盘早剥、胎动异常及妊娠期糖尿病是胎儿宫内窘迫的危险因素,上述因素易导致不良出生结局,需加强产前监测和围产期护理,以改善围产儿结局。
基社卫生研究
我国家庭医生签约率及相关因素meta分析
周珊, 王金霞, 李娜, 马力
2025, 23(12): 2092-2096. doi: 10.16766/j.cnki.issn.1674-4152.004299
119 8
摘要:
  目的  探讨我国家庭医生签约率及影响因素,为优化签约服务提供依据。  方法  系统检索2018—2023年知网、万方、维普、PubMed和Web of Science数据库,由2名研究者独立筛选文献、提取数据,采用JBI质量评价标准和Stata 17.0进行meta分析。  结果  纳入18篇横断面研究。我国家庭医生签约率为54.37%(95% CI:41.81%~66.66%),城市为63.60%,农村为40.80%。年龄较大(OR=1.029, 95% CI:1.012~1.047,P<0.001)、无业(OR=1.517, 95% CI:1.046~2.223,P=0.025)、患慢性病(OR=1.709, 95% CI:1.636~1.786,P<0.001)、经济状况较差(OR=3.177, 95% CI:2.552~3.955,P<0.001)、有医保(OR=1.994, 95% CI:1.687~2.354,P<0.001)、知晓签约服务(OR=8.174, 95% CI:7.106~9.412,P<0.001)为主要影响因素。  结论  签约率与2035年目标值尚存差距,农村地区更为显著。需结合地方实际制定政策,优化服务,助力社区卫生管理。
健康促进与健康教育
强直性脊柱炎患者功能状态与焦虑抑郁情绪的相关性分析
魏智民, 张家鑫, 王雷, 宋川, 王一雯, 冀肖健, 李刚, 黄烽
2025, 23(12): 2097-2100. doi: 10.16766/j.cnki.issn.1674-4152.004300
105 3
摘要:
  目的  探讨强直性脊柱炎(AS)患者功能状态与焦虑抑郁情绪之间的关系,及AS临床用药在AS患者不同功能状态中对焦虑抑郁情绪的潜在影响。  方法  本研究纳入2021年3—6月就诊于解放军总医院第一医学中心风湿免疫科的148例AS患者。使用Bath强直性脊柱炎功能指数(BASFI)、Bath强直性脊柱炎测量指数(BASMI)评价患者的功能水平,抑郁自评量表(SDS)和焦虑自评量表(SAS)评价患者的情绪状态,探索AS患者功能水平与焦虑抑郁情绪的线性或非线性相关性,并按不同功能状态分组,分析AS常用药物的使用对AS患者合并焦虑抑郁情绪比例的潜在影响。  结果  AS患者中存在情绪问题者占比30.41%(45/148),其中合并焦虑、抑郁者占比分别为14.19%(21/148)和22.97%(34/148)。结果发现AS患者的BASFI与SAS和SDS评分呈显著线性相关(P < 0.001),而BASMI与SAS和SDS无相关性(P > 0.05)。亚组分析显示,BASFI<1.5的功能障碍亚组中,使用非甾体抗炎药(NSAIDs)治疗的AS患者合并抑郁情绪的比例更低(P=0.024),而肿瘤坏死因子拮抗剂、传统合成改善病情抗风湿药和中药的治疗对焦虑情绪影响的差异无统计学意义;药物对SAS的影响差异均无统计学意义。  结论  AS患者功能受限与焦虑抑郁情绪之间存在显著相关性。NSAIDs治疗可能改善有功能障碍AS患者的抑郁情绪状态。
结直肠癌术后化疗患者焦虑情绪、心理弹性与免疫应答的相关性分析
郑亚男, 张吉欣, 闫晨晨, 王一飞, 焦敏
2025, 23(12): 2101-2104. doi: 10.16766/j.cnki.issn.1674-4152.004301
82 4
摘要:
  目的  对结直肠癌术后化疗患者焦虑情绪、心理弹性与免疫应答的相关性进行研究,以期为临床治疗提供参考。  方法  选择2021年5月—2024年1月河北北方学院附属第一医院收治的140例结直肠癌术后化疗患者,分别采用Zung焦虑自评量表、中文版Connor-Davidson心理弹性量表评估焦虑情绪、心理弹性,酶联免疫吸附法检测免疫应答水平,Pearson相关性分析分析相关性,logistic回归分析研究免疫应答能力影响因素。  结果  单因素重复测量方差分析结果显示,患者SAS、坚韧、自强、乐观评分在化疗前、化疗1个疗程后和化疗3个疗程后差异均存在统计学意义(P<0.05),IL-2、IL-4、IL-10和IL-17水平在化疗前、化疗1个疗程后和化疗3个疗程后差异均存在统计学意义(P<0.05);患者IL-2、IL-17水平与SAS评分均呈正相关关系(r=0.767、0.703),与心理弹性各维度评分均呈负相关关系(r=-0.674、-0.714、-0.674、-0.615、-0.643、-0.523);IL-4、IL-10水平与SAS评分均呈负相关关系(r=-0.664、-0.736),心理弹性各维度评分呈正相关关系(r=0.502、0.534、0.481、0.601、0.622、0.515,P<0.05);logistic回归分析结果显示,TNM分期、SAS评分、心理弹性评分、文化程度和人均月收入均是结直肠癌术后化疗患者免疫应答能力的独立影响因素(OR 95% CI分别为1.130~15.990、1.029~11.557、1.327~5.841、1.680~8.125、1.626~12.630,P<0.05)。  结论  结直肠癌术后化疗患者化疗后焦虑情绪、心理弹性差等可能与免疫应答水平的异常具有一定的相关性。
肺癌化疗患者健康促进行为在健康信息规避与营养状况间的中介作用
余丽蓉, 彭玲聪, 张双双
2025, 23(12): 2105-2108. doi: 10.16766/j.cnki.issn.1674-4152.004302
91 4
摘要:
  目的  肺癌化疗患者易因恐惧回避健康信息,并间接影响营养状况。本研究旨在揭示“健康信息规避”通过抑制“健康促进行为”间接损害“营养状况”的中介机制,为临床干预提供理论依据。  方法  采用方便抽样法选取2020年1月—2021年12月温州医科大学附属第一医院呼吸与危重症医学科收治的158例肺癌化疗患者作为研究对象。采用Pearson相关性分析研究肺癌化疗患者主观整体营养评估工具(PG-SGA)、健康信息规避(HIA)、健康促进生活方式量表Ⅱ(HPLP-Ⅱ)评分间的相关性,采用分层回归分析法分析肺癌化疗患者营养状况的影响因素,采用SPSS Process程序中介模型Model 4分析健康促进行为(HPLP-Ⅱ评分)在健康信息规避(HIA评分)与营养状况(PG-SGA评分)间的中介作用。  结果  PG-SGA评分与HIA评分呈正相关(r=0.533,P<0.001),与HPLP-Ⅱ评分呈负相关(r=-0.518,P<0.001);HPLP-Ⅱ评分与HIA评分呈负相关(r=-0.464,P<0.001)。健康信息规避可正向预测营养状况,负向预测健康促进行为。增加中介变量健康促进行为后,健康促进行为、健康信息规避对营养状况仍有预测作用。健康促进行为在肺癌化疗健康信息规避与营养状况间的中介效应占比为29.55%。  结论  肺癌化疗健康信息规避既可以直接影响营养状况,又可以通过改善健康促进行为间接影响营养状况。
诊断技术研究
斑点追踪分层应变技术心肌力学参数对心肌梗死PCI术后短期预后的预测价值
李京良, 张继红, 陈芳, 刘文军
2025, 23(12): 2109-2113. doi: 10.16766/j.cnki.issn.1674-4152.004303
73 4
摘要:
  目的  采用超声斑点追踪(STI)分层应变技术检测心肌梗死(MI)患者心肌力学参数,并探究其对经皮冠状动脉介入治疗(PCI)术后短期预后的预测价值。  方法  选取2022年6月—2023年10月黄河三门峡医院收治的180例行PCI术的MI患者(MI组)及40例同期健康者(对照组)。根据短期预后将MI患者分为预后良好组(133例)和预后不良组(47例),采用ROC曲线分析心肌力学参数对PCI术后短期预后的预测价值。  结果  MI组左室射血分数,左室整体内、中、外层纵向应变(GLS-endo、GLS-mid、GLS-epi)及环向内、中、外层应变(GCS-endo、GCS-mid、GCS-epi)低于对照组,左心室收缩期容积及舒张末期容积高于对照组(P < 0.05);预后不良组左室整体内、中、外层纵向应变及环向内、中、外层应变低于预后良好组(P < 0.05)。Logistic回归分析显示,Killip Ⅲ级、6~12 h开通罪犯血管是短期预后不良的危险因素,GLS-endo、GCS-endo高水平是其保护因素(P < 0.05)。ROC分析结果显示,GLS-endo、GCS-endo联合的预测效能高于单独检测(Z=2.019,P=0.044;Z=2.624,P=0.006)。  结论  GLS-endo、GCS-endo是MI患者PCI术后短期预后的影响因素,二者联合对短期预后不良的预测价值较高。
运用深度学习模型鉴别Ⅰ期低分化肺腺癌的价值分析
陈杰, 高泽强, 高杰, 唐思源, 代平, 向刚
2025, 23(12): 2114-2117. doi: 10.16766/j.cnki.issn.1674-4152.004304
84 3
摘要:
  目的  肺腺癌高级别成分包括微乳头型、实体型,高级别成分≥20%定义为低分化状态,是患者预后不良的独立预测因素,建议进行肺叶切除。本研究利用4种深度学习模型对低分化腺癌进行预测,比较各模型诊断效能,寻找最佳模型,提高低分化腺癌预测准确性。  方法  回顾性分析西南医科大学附属中医医院2021年10月—2024年3月253个经病理证实的肺腺癌病灶。先对CT图像进行数据预处理及异常数据筛选,然后按照8∶1∶1的比例划分训练验证和测试集,送入到ResNet、MobileNet、DenseNet和EffecientNet 4种模型中,对高级别成分进行预测。  结果  ResNet、MobileNet、DenseNet和EffecientNet四个模型AUC分别为0.757、0.872、0.877、0.812,DenseNet在该任务中展现出色的性能,Accuracy、Precision、Recall和F1-Score分别为84.97%、84.26%、83.28%、84.67%。  结论  4种深度学习模型对肺腺癌高级别成分具有良好的预测作用,DenseNet模型预测准确性更高。
医学综述
NLRP3炎性小体在狼疮性肾炎中的研究进展
闫德超, 王晓燕
2025, 23(12): 2118-2122. doi: 10.16766/j.cnki.issn.1674-4152.004305
83 4
摘要:
作为系统性红斑狼疮(SLE)严重的临床并发症之一,狼疮性肾炎(LN)严重影响SLE患者的生活质量和疾病预后,增加慢性肾脏病的发病率和死亡率。作为NLR家族成员,NLRP3炎性小体是由ASC、NLRP3蛋白和pro-caspase-1组成的多蛋白复合体,可通过经典途径、非经典途径及替代途径等3种方式进行启动激活,其活化引发炎症细胞因子释放,进而损伤组织和细胞,在LN等多种自身免疫疾病的发病机制中扮演关键角色。NLRP3炎性小体在LN中可以累及多种肾脏细胞,尤其是肾脏足细胞和肾小管细胞,可以检测到荧光定位和蛋白表达显著增加。多种上游调节因子可通过活化NLRP3炎性小体及其相关成分启动炎症激活,进而加速LN疾病进展,包括GBP家族(GBP3、GBP5)、CD36、PIM1、IRF2、S1P等。此外,多项研究通过抑制NLRP3炎性小体活化,缓解和治疗LN,FGF21SIRT1等内源性因子表达增加,或者外源性使用植物化学物质(和厚朴酚、表没食子儿茶素没食子酸酯、原花青素B2、淫羊藿苷、黄芩素、人参皂苷活性代谢产物M1、熊果酸、三七总皂苷及柠檬醛等)、NLRP3抑制剂MCC950、NF-κB抑制剂Bay11-7082、褪黑激素、氙气及三七注射液,调节NLRP3炎性小体表达来改善LN的病情和预后。本文系统总结NLRP3炎性小体的构成和激活机制及其在LN中的活化因素,并探讨靶向NLRP3炎性小体的LN治疗策略,特别强调了植物化学物质的潜在治疗效果,为LN相关药物和治疗方案的开发提供新的思路。
预防/保健 中医/康复
镜像疗法结合低频脉冲电刺激对脑卒中偏瘫患者手功能恢复的研究
刘斌, 王英歌, 肖亚茹, 许笑天, 唐铁钰
2025, 23(12): 2123-2127. doi: 10.16766/j.cnki.issn.1674-4152.004306
115 5
摘要:
  目的  探讨镜像疗法结合低频脉冲电刺激对脑卒中偏瘫患者手功能恢复的临床效果,并比较不同类型脑卒中和Brunnstrom分期患者的疗效差异。  方法  回顾性分析2020年1月—2023年12月在扬州大学附属医院接受康复治疗的124例脑卒中偏瘫患者的临床资料。根据患者实际接受的治疗方案进行分组,联合治疗组(62例)在常规康复基础上接受镜像疗法和低频脉冲电刺激治疗,对照组(62例)仅接受常规康复治疗,疗程为6周。主要评估指标包括Fugl-Meyer上肢运动功能评分(FMA-UE)、手臂动作调查测试(ARAT)、握力测试和改良Barthel指数(MBI),次要评估指标为改良Ashworth量表(MAS)和肌电图(EMG)。采用重复测量方差分析比较2组治疗效果。  结果  治疗6周后,联合治疗组FMA-UE评分从基线的(28.76±5.43)分提高到(48.95±5.63)分,显著高于对照组的(42.18±5.27)分(F=6.924,P < 0.001)。联合治疗组ARAT、握力和MBI评分改善幅度均显著大于对照组(P < 0.01)。EMG结果显示,联合治疗组峰值电压增幅[(33.33±7.86)μV]显著高于对照组[(16.89±6.73)μV,t=6.884,P < 0.001]。亚组分析显示,联合治疗对缺血性脑卒中和Brunnstrom Ⅲ~Ⅳ期患者的疗效更显著(P < 0.01)。  结论  镜像疗法结合低频脉冲电刺激能显著改善脑卒中偏瘫患者的手功能。该联合疗法对中重度手功能障碍的缺血性脑卒中患者可能更有效。
补肾强心方联合达格列净治疗射血分数保留型心衰疗效观察
储美丽, 方舟, 彭雪冰, 王斌, 童孝磊, 李绍敏, 方朝晖
2025, 23(12): 2128-2131. doi: 10.16766/j.cnki.issn.1674-4152.004307
107 3
摘要:
  目的  观察补肾强心方联合达格列净治疗射血分数保留型心衰(HFpEF)的疗效,探索中西医结合治疗HFpEF的方法。  方法  将2022年1月—2024年11月就诊于宁国市中医院的70例HFpEF患者按随机数字表法分为观察组与对照组,各35例,2组均接受达格列净为主的基础治疗,观察组另给予中药补肾强心方汤剂。4周后比较2组的中医证候积分与总有效率、6分钟步行距离(6MWD)、N末端B型脑钠肽前体(NT-proBNP)及心脏超声参数[左室射血分数(LVEF)、左心房内径(LAD)、左室后壁厚度(LVPW)、E/e’、三尖瓣反流速度峰值(TRV)]。  结果  观察组中医证候总有效率高于对照组(97.1% vs. 68.6%,χ2=10.057,P<0.01);治疗后中医证候积分均下降,6MWD增加, 且观察组优于对照组(P<0.01);NT-proBNP水平下降,组间治疗后比较及差值比较差异均有统计学意义,观察组更优(P<0.01);2组治疗后LVEF增加,E/e'、TRV减少(P<0.01),且观察组的改善幅度均优于对照组(P<0.01);治疗后2组比较LVPW、LAD差异均无统计学意义(P>0.05);2组均无不良反应。  结论  在以达格列净为主的基础上加用补肾强心方治疗HFpEF,能进一步降低NT-proBNP,提高6MWD,更显著地改善中医证候,有助于改善左室舒张功能,且安全性好。
全科医学教育研究
基于系统性文献综述的国内全科住院医师门诊教学模式探索与实践效果分析
王璁, 任琢琢, 王淑一, 杨珊, 王留义, 刘晓宇
2025, 23(12): 2132-2135. doi: 10.16766/j.cnki.issn.1674-4152.004308
111 8
摘要:
  目的  本文通过回顾2002—2024年发表的医学教育文献,分析我国近年来全科住院医师门诊教学现状,探索全科住院医师进行门诊教学的影响因素。  方法  在CNKI数据库及万方数据库中对2002—2024年发表的医学教育文章进行综述研究,以“教学门诊”“门诊教育”“住院医师”或“规范化培训”为检索关键词,使用文献管理软件和数据统计软件对文献进行阅读、分析和总结。  结果  共检索到符合标准的文献254篇,根据排除标准最终纳入30篇文献。全科住院医师门诊教学研究文献呈现出发表时间较新、引用量较高、发表地区集中于经济较发达区域、研究内容集中于教学模式等特点,16.7%(5/30)的文献列举了情景模拟教学模式,10.0%(3/30)的文献列举了视频教学模式,以及督导式门诊教学、个性化门诊教学、标准化病人教学、三导师分层递进教学、三步反馈法、目标教学法结合PDCA循环教学、多元化教学模式共9种教学模式。  结论  门诊教学已逐渐成为近年来全科医学教育研究热点,研究内容集中于探索门诊教学模式及理论研究。但当前我国全科住院医师门诊教学系统的规范理论体系研究尚未构建起来,缺少门诊教学实践应用标准、科学评价标准等关键内容研究。未来研究方向应侧重于实证研究,更多地加强不同地域间信息交流及经验学习。
基于柯氏四级评估模型对情景模拟教学在全科教学门诊中的评价分析
周帅, 王琦, 潘碧云, 王少津, 杨坤
2025, 23(12): 2136-2139. doi: 10.16766/j.cnki.issn.1674-4152.004309
146 6
摘要:
  目的  应用柯氏评估模型评价情景模拟教学在全科教学门诊的应用效果,以期探索全科教学门诊带教新模式。  方法  选取2021年1月—2023年12月于中南大学湘雅医学院附属海口医院全科门诊轮转的60名住培医师,采用随机数表法分为2组。实验组(30名)采用情景模拟结合传统教学门诊进行教学,对照组(30名)采用传统教学门诊带教。通过柯氏四级评估模型,分别在反应层、学习层、行为层、结果层对结果进行分析。  结果  反应层:在参与度及掌握度的满意度实验组[4.50(4.00, 5.00)分、4.50(4.00, 5.00)分]优于对照组[4.00(3.00, 5.00)分、4.00(3.75, 5.00)分], P=0.029,P=0.038;学习层:培训后,临床思维与治疗、沟通能力评分实验组[3.00(3.00, 4.00)分、4.00(3.00, 4.00)分]优于对照组[3.00(3.00, 3.00)分、3.00(3.00, 3.25)分, P=0.021、0.024];行为层:培训后,自主学习能力评分实验组[(156.33±9.82)分]优于对照组[(148.57±11.33)分,P=0.006];结果层:年度考核中全科接诊得分实验组[(95.60±9.09)分]优于对照组[(90.10±10.98)分, P=0.039]。  结论  通过柯氏四级模型评估,情景模拟教学作为全科教学门诊的补充,可提高教学质量。
医学综合研究
安全网视角下全科未分化疾病随访计划的现状与优化
王剑强, 刘颖, 马方晖, 赵星星, 杨碧霄, 郭秀军
2025, 23(12): 2140-2142. doi: 10.16766/j.cnki.issn.1674-4152.004310
81 3
摘要:
管理临床不确定性,从而降低漏诊风险的一个有效方法是使用安全网建议(即向患者传达关于何时何地再次咨询医疗保健的结构化信息)。安全网已成为国际初级卫生保健中处理诊断不确定性的最佳实践。全科未分化疾病是国内诊断不确定性临床问题的典型代表,其随访计划的制订,在多大程度上符合处理诊断不确定性的基本原则目前尚不清楚。本文介绍和借鉴安全网的定义和内容,通过在CNKI、万方、维普、百度学术等平台检索相关文献,统计现有未分化疾病随访计划的现状,从诊断不确定性的医患沟通、预警症状监测、随访时间安排和随访计划的书面确认等4个方面,对其存在的问题进行比较分析。结果发现,纳入分析的28篇文献中,仅有10篇对诊后漏诊风险的随访有具体安排,内容亦不够全面,提示对诊断不确定状态下风险管理的重要性认识不足。在此基础上笔者参考安全网策略的基本原理,结合未分化疾病与传统疾病临床特征的差异,对随访计划的制定提出了优化建议,从临床思维的区别、不同类型症状在随访中的差异、个性化随访计划的制定、书面记录4个方面进行了具体探讨。结果表明对抗诊断不确定带来的疾病风险,进行过度检查追求明确诊断并非唯一范式,通过一系列风险管理计划的安排同样可以实现这一目标,并具有更好的可行性和经济性。
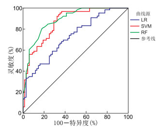
基于机器学习算法建立胃癌术后肠内营养中断的预测模型
侯慧, 万艳, 朱从艳, 李博文, 陈丽
2025, 23(12): 2143-2147. doi: 10.16766/j.cnki.issn.1674-4152.004311
79 4
摘要:
  目的  胃癌患者在术后肠内营养中断(ENI)风险较高,但关于此类患者术后ENI的影响因素尚无统一意见,本研究旨在基于临床资料,利用机器学习算法构建能个体化预测胃癌患者术后ENI风险的模型,为ENI的评估及防治提供指导。  方法  选取2023年5月—2025年4月南京医科大学第一附属医院普外胃外科一、二病区收治的胃癌患者190例,按7∶3随机分为训练集133例和验证集57例。190例胃癌患者均行胃癌根治术治疗。采用逻辑回归(LR)、随机森林(RF)、支持向量机(SVM)3种机器学习算法构建预测模型,并分析模型性能。采用验证集数据验证最优模型效能。  结果  LASSO回归筛选出的胃癌术后ENI相关变量包括年龄、术后24 h VAS评分、术后首次下床时间、术后第1天下床活动距离、术后并发症情况、肿瘤分期、抗生素应用种类。LR、RF、SVM三种模型的AUC值分别为0.768、0.893、0.861,RF模型的预测效能更优。RF模型中风险阈值范围为0.03~0.95,在此范围内对依据RF模型预测结果实施相应措施能为ENI预防计划提供显著的净效益。基于验证集数据及LASSO回归筛选出的胃癌术后ENI相关变量构建RF模型的AUC值为0.853。  结论  基于机器学习算法建立的3种模型预测表现均较好,尤其是RF模型预测效能更优,可有效判断胃癌术后ENI发生风险,识别高风险患者。
医师服务能力画像指标评价体系构建
季斌, 李刚, 郭仁琳, 凌云, 石慧, 李王莺, 赵春艳
2025, 23(12): 2148-2152. doi: 10.16766/j.cnki.issn.1674-4152.004312
127 6
摘要:
  目的  探索构建医师服务能力画像指标体系,以科学地评估医师服务质量及能力水平。  方法  2025年3—6月研究小组通过系统文献回顾建立初步框架,遴选17名专业领域涉及医院行政管理人员、临床医师、临床护理的专家进行两轮函询,运用层次分析法确定指标权重,通过Kendall W协调系数评价专家共识度。  结果  两轮问卷有效回收率均为100%,专家权威系数[Cr=0.5×(Ca+Cs)]均为0.87,熟悉度系数达0.85±0.12,判断系数分别为0.89和0.89;第一轮专家协调系数一级指标为0.354、二级指标为0.199、三级指标为0.271,第二轮专家协调系数一级指标为0.292、二级指标为0.211、三级指标为0.266。指标体系最终确立一级指标7个,二级指标26个,三级指标50个。一级指标中,资源画像、流程画像、质量安全画像在整个指标体系中所占权重较大;二级指标中,诊疗环节服务能力、专业技术能力、投诉、纠纷发生情况(防范应对纠纷能力)在整个指标体系中所占权重较大;三级指标中,门诊量、多媒体线上曝光次数、医疗文书书写合格率、纠纷发生率权重显著高于同类指标(P<0.05)。技术质量维度在整个指标体系中所占权重最大。  结论  本研究创新性构建了医师服务能力量化评估模型,通过多维特征工程实现对服务能力的精准画像,具有较好的科学性,体系设置合理,能够评价医师服务能力。
口腔癌围手术期患者的症状负担发展轨迹及其影响因素分析
蔡雅亿, 徐冬冬, 王艺静
2025, 23(12): 2153-2157. doi: 10.16766/j.cnki.issn.1674-4152.004313
120 6
摘要:
  目的  调查不同阶段口腔癌围手术期患者的症状负担状况及动态变化,为临床工作人员制定症状管理策略提供依据。  方法  选取2021年1月—2023年12月于温州医科大学附属口腔医院及温州医科大学附属第一医院因诊断为口腔癌进行手术治疗的210例患者为研究对象。采用自制问卷、营养风险筛查2002及MD Anderson症状量表-头颈部模块-中文版量表分别在术前(T1)、术后7 d(T2)和出院后1个月(T3)对患者进行评估。采用广义估计方程分析口腔癌患者围手术期症状负担的变化轨迹及影响因素。  结果  T1时间节点有210份有效问卷、T2时间节点有207份有效问卷、T3时间节点有193份有效问卷。T1时间节点:显著存在的症状及发生率依次为疼痛(70.48%)、吞咽/咀嚼困难(59.52%)、口腔溃疡(57.62%)。T2时间节点:显著存在的症状及发生率依次为吞咽/咀嚼困难(89.85%)、说话困难(89.37%)、黏液问题(83.09%)。T3时间节点:显著存在的症状及发生率依次为麻木/刺痛(89.12%)、吞咽/咀嚼困难(88.60%)、说话困难(88.60%)。广义估计方程结果显示:合并症、晚期、NRS评分较高、接受辅助治疗的患者症状负担水平均较高(P<0.05)。  结论  口腔癌围手术期患者症状负担发生率较高,且症状负担随时间变化。应加强对合并症、肿瘤Ⅳ期、有营养风险的口腔癌患者症状负担的评估、监测和管理。
全科护理研究
综合护理策略对老年患者经皮椎体成形术治疗胸腰椎压缩性骨折的效果分析
常荣, 常蔓, 杨金玉, 常文举
2025, 23(12): 2158-2161. doi: 10.16766/j.cnki.issn.1674-4152.004314
117 3
摘要:
  目的  探索和分析老年患者因胸腰椎压缩性骨折接受微创经皮椎体成形手术治疗的综合性护理效果。  方法  选取2023年1—9月蚌埠医科大学第一附属医院骨科诊断为老年胸腰椎压缩性骨折的60例患者,所有患者均接受经皮椎体成形手术。采用随机数序列将患者分为观察组(30例)和对照组(30例)。对照组患者接受传统的护理措施,观察组患者接受综合性护理干预。详细记录2组患者的基本信息,分析比较2组患者手术时长、住院时长、心率、平均动脉压、视觉模拟评分(VAS)、患者满意度及并发症发生情况。  结果  观察组患者术中的心率、呼吸频率、平均动脉压低于对照组[(81.51±10.78)次/min vs. (95.78±15.15)次/min;(16.87±2.55)次/min vs. (21.51±1.69)次/min;(88.67±12.67)mmHg vs. (98.04±12.01)mmHg,1 mmHg=0.133 kPa],差异均有统计学意义(P<0.05)。术后观察组VAS评分、手术时间、住院时间均低于对照组[(1.68±0.70)分vs.(2.01±0.52)分;(56.17±10.51)min vs.(62.26±9.14)min;(3.81±0.71)d vs.(4.30±1.11)d],差异均有统计学意义(P<0.05)。  结论  综合护理策略能有效减轻老年胸腰椎骨折患者经皮椎体成形术中的应激反应,缩短手术时间,缓解术后疼痛,降低住院时长,一定程度上提高患者满意度。
反转式教育模式在神经源性膀胱患者行清洁间歇导尿中的应用
陈琰琰, 刘晓莉, 陶爱萍, 贾曼, 潘森森, 王成贵
2025, 23(12): 2162-2166. doi: 10.16766/j.cnki.issn.1674-4152.004315
117 5
摘要:
  目的  探讨反转式教育模式在神经源性膀胱患者行清洁间歇导尿中的应用效果,分析对脊髓损伤后神经源性膀胱患者膀胱功能、满意度及依从性的影响,为制定患者康复方案提供参考。  方法  采用便利抽样法,选取2023年6月—2025年6月温州医科大学附属第二医院收治的80例脊髓损伤并发神经源性膀胱患者为研究对象,按患者就诊顺序将患者进行排序编号,按随机数字表分为对照组和干预组,每组各40例。对照组给予常规清洁间歇导尿术(CIC)教育,干预组在常规护理基础上,开展基于智慧护理的反转式教育干预,比较2组患者膀胱功能、满意度及依从性。  结果  接受反转式教育模式干预的神经源性膀胱患者膀胱容量为(327.64±25.44)mL,高于对照组的(299.07±24.72)mL,膀胱残余尿量为(102.05±9.04)mL,低于对照组的(110.25±9.16)mL;尿路感染发生率(2.50%,1/40)低于对照组(15.00%, 6/40),差异均有统计学意义(P<0.05);满意度总分及各维度得分均高于对照组,差异均有统计学意义(P<0.05);干预组依从性高于对照组,差异有统计学意义(P<0.05)。  结论  反转式教育模式应用于神经源性膀胱患者行清洁间歇导尿能够有效提高患者膀胱功能,降低泌尿系统感染率,提高患者满意度及依从性,可以在临床上推广使用。
全科诊疗实践
老年胸椎多发嗜酸性肉芽肿1例
李同观, 张朝伟, 孙广智, 侯岩峰
2025, 23(12): 2167-2169. doi: 10.16766/j.cnki.issn.1674-4152.004316
69 3
摘要:
本文报道1例罕见的老年胸椎多发骨嗜酸性肉芽肿(eosinophilic granuloma, EG)病例。患者男性,66岁,因“腰背疼痛伴乏力两年余,加重三个月”就诊。经糖皮质激素联合免疫抑制保守治疗后临床表现及实验室检查好转,病理活检显示肉芽肿组织消失,后因病变部位出现压缩性骨折行外科手术治疗。该病例提示糖皮质激素联合环磷酰胺治疗成人多部位骨嗜酸性肉芽肿患者是可行的。
复发性双侧肾上腺嗜铬细胞瘤-VHL病1例并文献复习
徐惟捷, 罗雨, 何文涛, 谢君辉
2025, 23(12): 2170-2173. doi: 10.16766/j.cnki.issn.1674-4152.004317
79 6
摘要:
本文报道了1例临床表现为复发性双侧肾上腺嗜铬细胞瘤,同时合并颈髓血管母细胞瘤、肾囊肿和胰腺囊肿的患者,患者一级亲属患有肾透明细胞癌,临床诊断为希佩尔-林道综合征(VHL病),通过基因检测结果证实了该诊断。本文总结了近10年文献中报道有肾上腺嗜铬细胞瘤表现的VHL病的临床特点。凡是双侧、复发或转移性嗜铬细胞瘤,或合并有中枢血管母细胞瘤、视网膜血管母细胞瘤、肾癌、胰腺神经内分泌肿瘤或囊肿和生殖系统囊腺瘤等病变的患者需要高度怀疑VHL病,积极进行基因检测和家系调查,避免漏诊误诊。
1例肠内营养改善超高龄食管癌患者生活质量病例报道
杜嘉慧, 王宇, 李宗伟, 刘思涵, 杨文影, 朱婷
2025, 23(12): 2174-2177. doi: 10.16766/j.cnki.issn.1674-4152.004318
145 7
摘要:
进行性吞咽困难是食管癌患者的常见症状,食管癌是营养不良发生风险最高的恶性肿瘤。对此,临床医生往往选用肠内营养来维持患者营养状态。本文以我院肿瘤科发现1例超高龄食管癌患者为典型,通过复习2014—2024年中英文文献报道的食管癌肠内营养支持病例,探索减轻患者肠内营养导致的不良反应及并发症的策略,为食管癌患者实现最佳营养支持。对于食管癌患者,应首先进行全面的营养筛查和评估,制定个体化的营养治疗方案。